Effects of Alkaline Solutions on the Structure and Function of Influenza A Virus
Abstract
1. Introduction
2. Materials and Methods
2.1. Preparation of Alkaline Solutions
2.2. Cells and Viruses
2.3. Plaque Assay
2.4. Transmission Electron Microscope Assay
2.5. Sodium Dodecyl Sulfate–Polyacrylamide Gel Electrophoresis
2.6. Western Blotting
2.7. Silver Staining
2.8. HA Activity
3. Results
3.1. Antiviral Effect of Alkaline Solutions on IAV
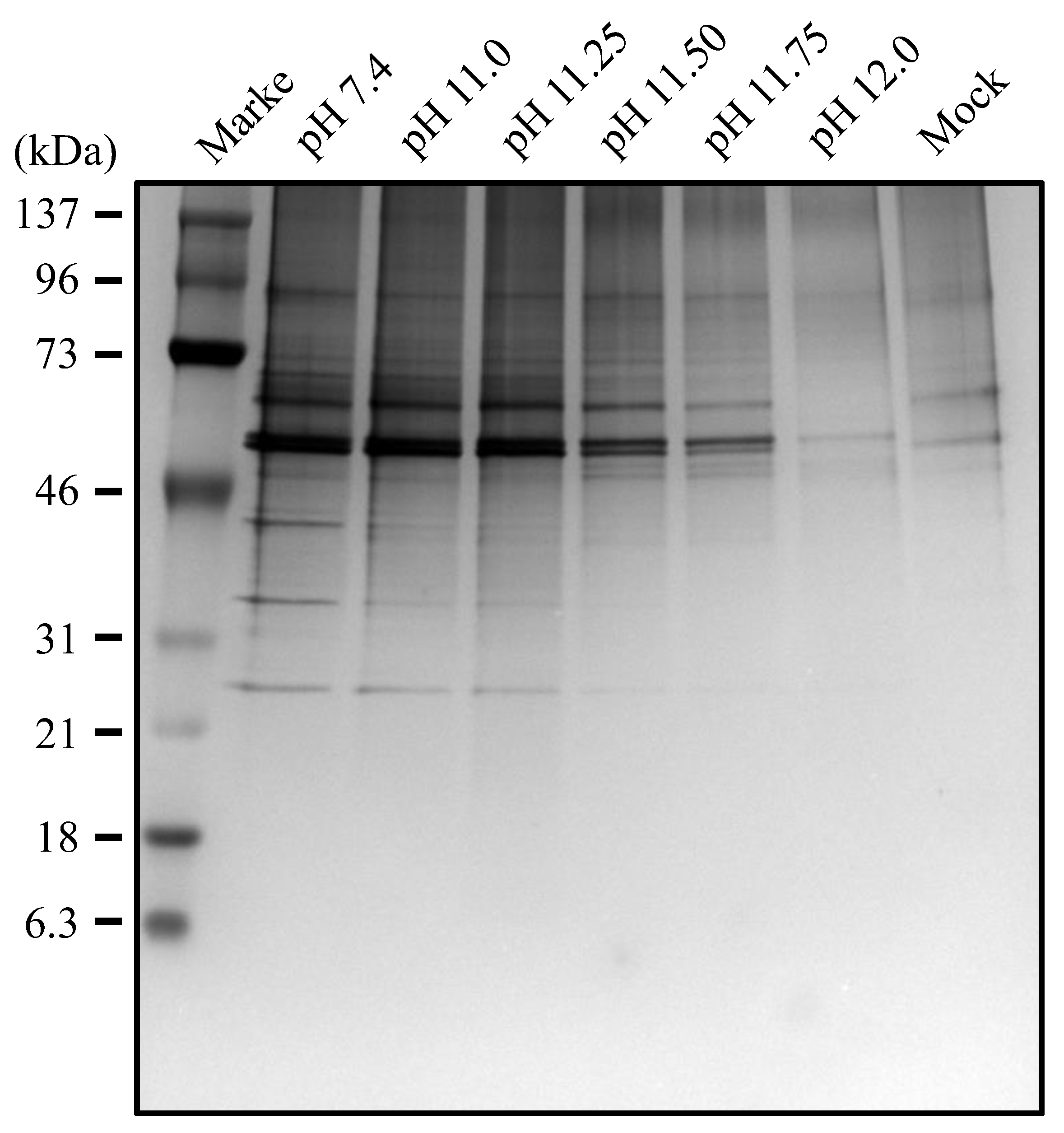
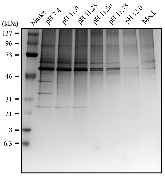
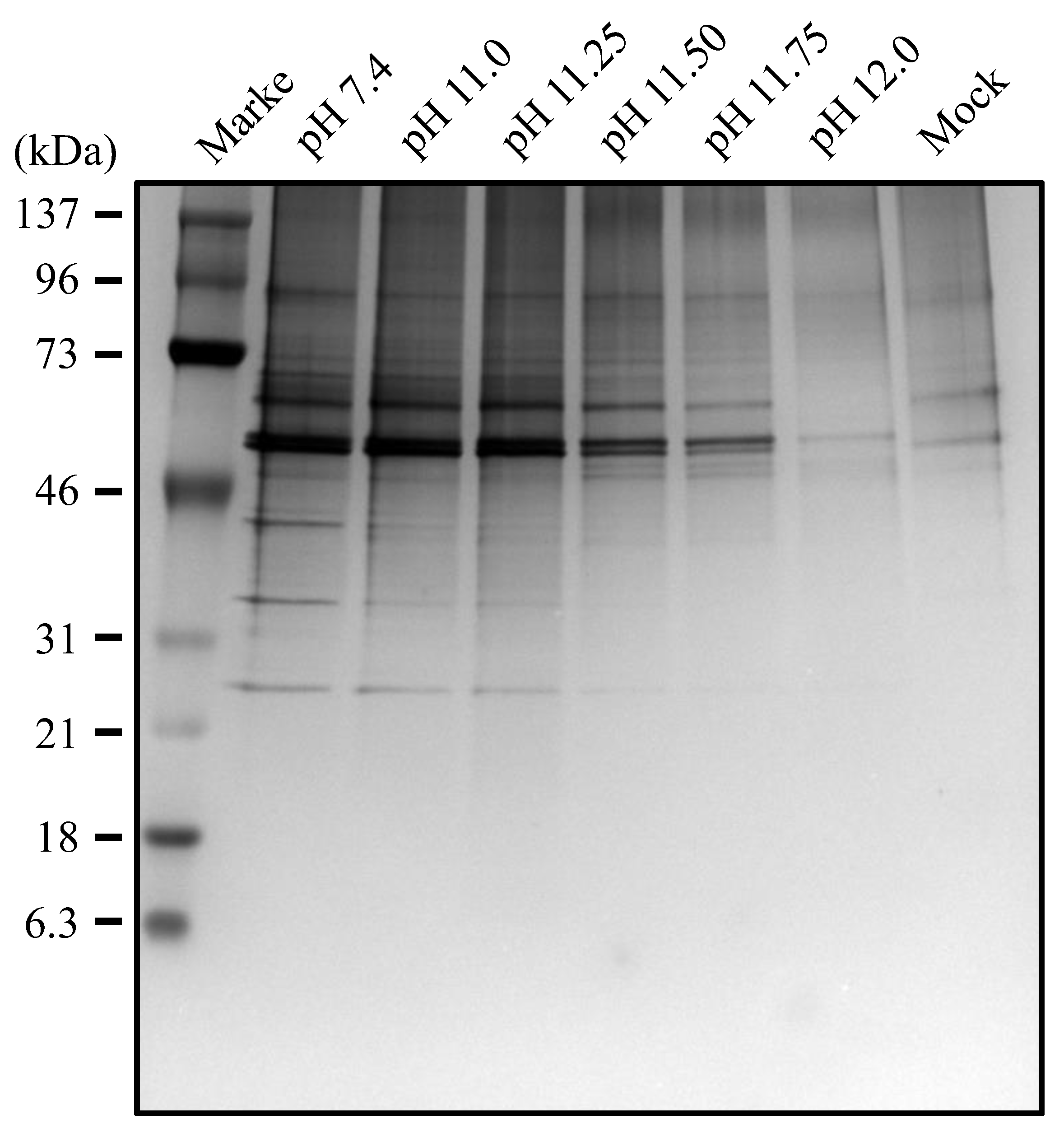
3.2. Effect of Alkaline Solutions on Viral Proteins
3.3. Effect of Alkaline Solutions on Viral Morphology
3.4. Effect of Alkaline Solutions on IAV Infectivity
3.5. Denaturation of IAV Proteins by Alkaline Solutions
4. Discussion
5. Conclusions
Author Contributions
Funding
Institutional Review Board Statement
Informed Consent Statement
Data Availability Statement
Acknowledgments
Conflicts of Interest
References
- Jester, B.; Uyeki, T.M.; Jernigan, D.B.; Tumpey, T.M. Historical and clinical aspects of the 1918 H1N1 pandemic in the United States. Virology 2019, 527, 32–37. [Google Scholar] [CrossRef]
- Yi, S.; Zhang, W.X.; Zhou, Y.G.; Wang, X.R.; Du, J.; Hu, X.W.; Lu, Q.B. Epidemiological change of influenza virus in hospitalized children with acute respiratory tract infection during 2014–2022 in Hubei Province, China. Virol. J. 2023, 20, 122. [Google Scholar] [CrossRef]
- Iuliano, A.D.; Roguski, K.M.; Chang, H.H.; Muscatello, D.J.; Palekar, R.; Tempia, S.; Cohen, C.; Gran, J.M.; Schanzer, D.; Cowling, B.J.; et al. Estimates of global seasonal influenza-associated respiratory mortality: A modelling study. Lancet 2018, 391, 1285–1300. [Google Scholar] [CrossRef]
- Harris, A.; Cardone, G.; Winkler, D.C.; Heymann, J.B.; Brecher, M.; White, J.M.; Steven, A.C. Influenza virus pleiomorphy characterized by cryoelectron tomography. Proc. Natl. Acad. Sci. USA 2006, 103, 19123–19127. [Google Scholar] [CrossRef]
- Hutchinson, E.C.; Charles, P.D.; Hester, S.S.; Thomas, B.; Trudgian, D.; Martínez-Alonso, M.; Fodor, E. Conserved and host-specific features of influenza virion architecture. Nat. Commun. 2014, 5, 4816. [Google Scholar] [CrossRef]
- Wu, N.C.; Wilson, I.A. Influenza Hemagglutinin Structures and Antibody Recognition. Cold Spring Harb Perspect. Med. 2020, 10, a038778. [Google Scholar] [CrossRef]
- Ciacci Zanella, G.; Snyder, C.A.; Arruda, B.L.; Whitworth, K.; Green, E.; Poonooru, R.R.; Telugu, B.P.; Baker, A.L. Pigs lacking TMPRSS2 displayed fewer lung lesions and reduced inflammatory response when infected with influenza A virus. Front. Genome Ed. 2023, 5, 1320180. [Google Scholar] [CrossRef]
- Peitsch, C.; Klenk, H.D.; Garten, W.; Bottcher-Friebertshauser, E. Activation of influenza A viruses by host proteases from swine airway epithelium. J. Virol. 2014, 88, 282–291. [Google Scholar] [CrossRef]
- Hirst, G.K. The Quantitative Determination of Influenza Virus and Antibodies by Means of Red Cell Agglutination. J. Exp. Med. 1942, 75, 49–64. [Google Scholar] [CrossRef]
- Macias, A.E.; McElhaney, J.E.; Chaves, S.S.; Nealon, J.; Nunes, M.C.; Samson, S.I.; Seet, B.T.; Weinke, T.; Yu, H. The disease burden of influenza beyond respiratory illness. Vaccine 2021, 39 (Suppl. 1), A6–A14. [Google Scholar] [CrossRef]
- Collaborators, G.I. Mortality, morbidity, and hospitalisations due to influenza lower respiratory tract infections, 2017: An analysis for the Global Burden of Disease Study 2017. Lancet Respir. Med. 2019, 7, 69–89. [Google Scholar] [CrossRef]
- Javanian, M.; Barary, M.; Ghebrehewet, S.; Koppolu, V.; Vasigala, V.; Ebrahimpour, S. A brief review of influenza virus infection. J. Med. Virol. 2021, 93, 4638–4646. [Google Scholar] [CrossRef] [PubMed]
- Yamada, S.; Suzuki, Y.; Suzuki, T.; Le, M.Q.; Nidom, C.A.; Sakai-Tagawa, Y.; Muramoto, Y.; Ito, M.; Kiso, M.; Horimoto, T.; et al. Haemagglutinin mutations responsible for the binding of H5N1 influenza A viruses to human-type receptors. Nature 2006, 444, 378–382. [Google Scholar] [CrossRef] [PubMed]
- Shoji, M.; Sugimoto, M.; Matsuno, K.; Fujita, Y.; Mii, T.; Ayaki, S.; Takeuchi, M.; Yamaji, S.; Tanaka, N.; Takahashi, E.; et al. A novel aqueous extract from rice fermented with Aspergillus oryzae and Saccharomyces cerevisiae possesses an anti-influenza A virus activity. PLoS ONE 2021, 16, e0244885. [Google Scholar] [CrossRef] [PubMed]
- Rachidi, H.; Hamdaoui, S.; Merimi, I.; Bengourram, J.; Latrache, H. COVID-19: Unbalanced management of occupational risks-case of the analysis of the chemical risk related to the use of disinfectants in the dairy industry in Morocco. Env. Sci. Pollut. Res. Int 2022, 29, 106–118. [Google Scholar] [CrossRef]
- Skehel, J.J.; Wiley, D.C. Receptor binding and membrane fusion in virus entry: The influenza hemagglutinin. Annu. Rev. Biochem. 2000, 69, 531–569. [Google Scholar] [CrossRef]
- Takeda, Y.; Okuyama, Y.; Nakano, H.; Yaoita, Y.; Machida, K.; Ogawa, H.; Imai, K. Antiviral Activities of Hibiscus sabdariffa L. Tea Extract Against Human Influenza A Virus Rely Largely on Acidic pH but Partially on a Low-pH-Independent Mechanism. Food Env. Virol. 2020, 12, 9–19. [Google Scholar] [CrossRef]
- Baatartsogt, T.; Bui, V.N.; Trinh, D.Q.; Yamaguchi, E.; Gronsang, D.; Thampaisarn, R.; Ogawa, H.; Imai, K. High antiviral effects of hibiscus tea extract on the H5 subtypes of low and highly pathogenic avian influenza viruses. J. Vet. Med. Sci. 2016, 78, 1405–1411. [Google Scholar] [CrossRef]
- Tosheva, I.I.; Saygan, K.S.; Mijnhardt, S.M.; Russell, C.J.; Fraaij, P.; Herfst, S. Hemagglutinin stability as a key determinant of influenza A virus transmission via air. Curr. Opin. Virol. 2023, 61, 101335. [Google Scholar] [CrossRef]
- Muhammad, K.; Das, P.; Yaqoob, T.; Riaz, A.; Manzoor, R. Effect of physico-chemical factors on survival of avian influenza virus (H7N3 type). Int. J. Agric. Biol. 2001, 4, 416–418. [Google Scholar]
- Shahid, M.A.; Abubakar, M.; Hameed, S.; Hassan, S. Avian influenza virus (H5N1); effects of physico-chemical factors on its survival. Virol. J. 2009, 6, 38. [Google Scholar] [CrossRef] [PubMed]
- Jeong, E.K.; Bae, J.E.; Kim, I.S. Inactivation of influenza A virus H1N1 by disinfection process. Am. J. Infect. Control 2010, 38, 354–360. [Google Scholar] [CrossRef] [PubMed]
- Jang, Y.; Shin, J.S.; Yoon, Y.S.; Go, Y.Y.; Lee, H.W.; Kwon, O.S.; Park, S.; Park, M.S.; Kim, M. Salinomycin Inhibits Influenza Virus Infection by Disrupting Endosomal Acidification and Viral Matrix Protein 2 Function. J. Virol. 2018, 92, e01441-18. [Google Scholar] [CrossRef]
- Dopieralski, P.; Ribas-Arino, J.; Anjukandi, P.; Krupicka, M.; Marx, D. Unexpected mechanochemical complexity in the mechanistic scenarios of disulfide bond reduction in alkaline solution. Nat. Chem. 2017, 9, 164–170. [Google Scholar] [CrossRef]
- Momen, S.; Alavi, F.; Aider, M. Alkali-mediated treatments for extraction and functional modification of proteins: Critical and application review. Trends Food Sci. Technol. 2021, 110, 778–797. [Google Scholar] [CrossRef]
- Whitaker, J.R.; Feeney, R.E. Chemical and physical modification of proteins by the hydroxide ion. Crit. Rev. Food Sci. Nutr. 1983, 19, 173–212. [Google Scholar] [CrossRef]
- Deleu, L.J.; Lambrecht, M.A.; Van de Vondel, J.; Delcour, J.A. The impact of alkaline conditions on storage proteins of cereals and pseudo-cereals. Curr. Opin. Food Sci. 2019, 25, 98–103. [Google Scholar] [CrossRef]
- Darnell, M.E.; Subbarao, K.; Feinstone, S.M.; Taylor, D.R. Inactivation of the coronavirus that induces severe acute respiratory syndrome, SARS-CoV. J. Virol. Methods 2004, 121, 85–91. [Google Scholar] [CrossRef]
- Siqueira, J.F.; Lopes, H.P. Mechanisms of antimicrobial activity of calcium hydroxide: A critical review. Int. Endod. J. 1999, 32, 361–369. [Google Scholar] [CrossRef]
- Zhai, H.; Chan, H.P.; Farahmand, S.; Maibach, H.I. Measuring human skin buffering capacity: An in vitro model. Ski. Res. Technol. 2009, 15, 470–475. [Google Scholar] [CrossRef]
- Nakashima, R.; Kawamoto, M.; Miyazaki, S.; Onishi, R.; Furusaki, K.; Osaki, M.; Kirisawa, R.; Sakudo, A.; Onodera, T. Evaluation of calcium hydrogen carbonate mesoscopic crystals as a disinfectant for influenza A viruses. J. Vet. Med. Sci. 2017, 79, 939–942. [Google Scholar] [CrossRef] [PubMed][Green Version]
- ISO 10993-2:2022. Available online: https://www.iso.org/standard/78866.html (accessed on 20 October 2024).
- Park, K.S.; Kim, Y.S.; Cho, Y.H.; Lee, M.Y.; Chung, M.S. Effects of alkalinity of household dishwashing liquids on hand skin. Contact Dermat. 2001, 45, 95–98. [Google Scholar] [CrossRef] [PubMed]
- Shu, T.; Okajima, M.; Wada, Y.; Shimokawa, K.; Ishii, F. The treatment effect of the burn wound healing by electrolytic-reduction ion water lotion combination therapy. Part 2: Two degree burn of forearm to the dorsum of the hand. Biosci. Trends 2010, 4, 213–217. [Google Scholar] [PubMed]
- Okajima, M.; Shimokawa, K.; Ishii, F. The healing effect of electrolytic-reduction ion water on burn wounds. Biosci. Trends 2010, 4, 31–36. [Google Scholar]
- Shu, T.; Okajima, M.; Wada, Y.; Shimokawa, K.; Ishii, F. The treatment effect of the atopic dermatitis by electrolytic-reduction ion water lotion. Drug Discov. Ther. 2010, 4, 499–503. [Google Scholar]







Disclaimer/Publisher’s Note: The statements, opinions and data contained in all publications are solely those of the individual author(s) and contributor(s) and not of MDPI and/or the editor(s). MDPI and/or the editor(s) disclaim responsibility for any injury to people or property resulting from any ideas, methods, instructions or products referred to in the content. |
© 2024 by the authors. Licensee MDPI, Basel, Switzerland. This article is an open access article distributed under the terms and conditions of the Creative Commons Attribution (CC BY) license (https://creativecommons.org/licenses/by/4.0/).
Share and Cite
Seguchi, M.; Yamaguchi, S.; Tanaka, M.; Mori, Y.; Tsurudome, M.; Ito, M. Effects of Alkaline Solutions on the Structure and Function of Influenza A Virus. Viruses 2024, 16, 1636. https://doi.org/10.3390/v16101636
Seguchi M, Yamaguchi S, Tanaka M, Mori Y, Tsurudome M, Ito M. Effects of Alkaline Solutions on the Structure and Function of Influenza A Virus. Viruses. 2024; 16(10):1636. https://doi.org/10.3390/v16101636
Chicago/Turabian StyleSeguchi, Manato, Seiji Yamaguchi, Mamoru Tanaka, Yukihiro Mori, Masato Tsurudome, and Morihiro Ito. 2024. "Effects of Alkaline Solutions on the Structure and Function of Influenza A Virus" Viruses 16, no. 10: 1636. https://doi.org/10.3390/v16101636
APA StyleSeguchi, M., Yamaguchi, S., Tanaka, M., Mori, Y., Tsurudome, M., & Ito, M. (2024). Effects of Alkaline Solutions on the Structure and Function of Influenza A Virus. Viruses, 16(10), 1636. https://doi.org/10.3390/v16101636

