A Fulminant Case of Adenovirus Genotype C108 Infection in a Pediatric Stem Cell Transplant Recipient with x-Linked Lymphoproliferative Syndrome Type 1
Abstract
1. Introduction
2. Materials and Methods
2.1. Virus Isolation and Initial Molecular Typing
2.2. Next Generation Whole Genome Sequencing, Genome Assembly and Annotation
2.3. Sequence Data Analysis
2.4. Proteotyping
3. Results
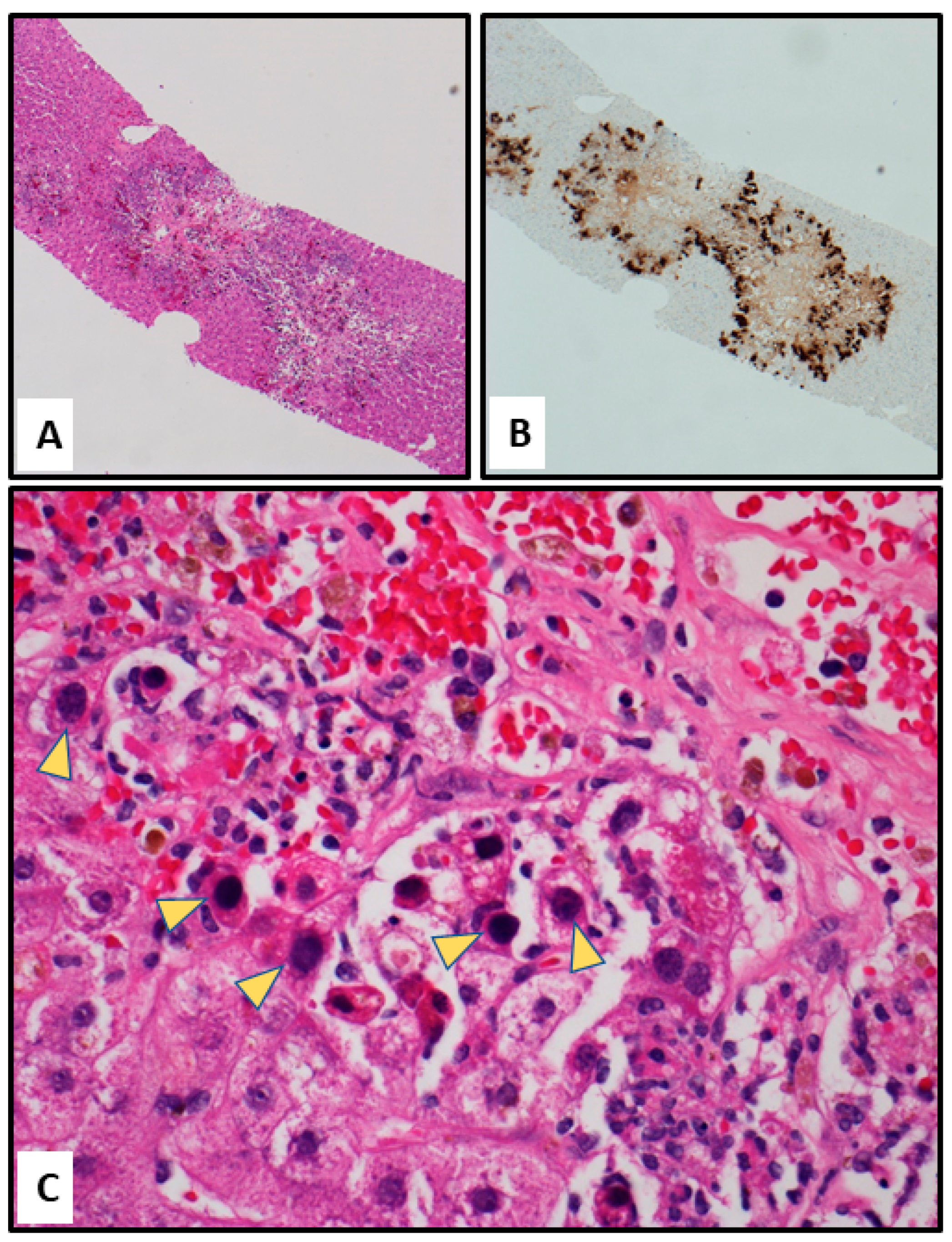
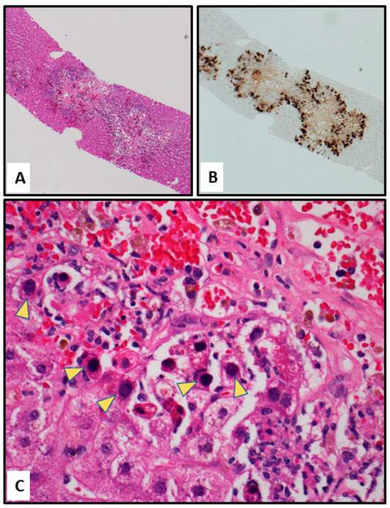
3.1. Case Report
3.2. Virology Investigation and Findings
4. Discussion
5. Conclusions
Author Contributions
Funding
Institutional Review Board Statement
Informed Consent Statement
Data Availability Statement
Acknowledgments
Conflicts of Interest
References
- Lion, T. Adenovirus infections in immunocompetent and immunocompromised patients. Clin. Microbiol. Rev. 2014, 27, 441–462. [Google Scholar] [CrossRef] [PubMed]
- Lion, T.; Wold, W.S.W. Adenoviruses. In Fields Virology, 7th ed.; Peter, M.H., David, M.K., Jeffrey, L.C., Blossom, A.D., Eds.; Wolters Kluwer Health: Philadelphia, PA, USA, 2021; Volume 2. [Google Scholar]
- Zhao, H.; Liu, Y.; Feng, Z.; Feng, Q.; Li, K.; Gao, H.; Qian, S.; Xu, L.; Xie, Z. A fatal case of viral sepsis and encephalitis in a child caused by human adenovirus type 7 infection. Virol. J. 2022, 19, 154. [Google Scholar] [CrossRef] [PubMed]
- Al-Heeti, O.M.; Cathro, H.P.; Ison, M.G. Adenovirus Infection and Transplantation. Transplantation 2022, 106, 920–927. [Google Scholar] [CrossRef] [PubMed]
- Tebruegge, M.; Curtis, N. Adenovirus infection in the immunocompromised host. Adv. Exp. Med. Biol. 2010, 659, 153–174. [Google Scholar] [CrossRef]
- Grimley, M.S.; Chemaly, R.F.; Englund, J.A.; Kurtzberg, J.; Chittick, G.; Brundage, T.M.; Bae, A.; Morrison, M.E.; Prasad, V.K. Brincidofovir for Asymptomatic Adenovirus Viremia in Pediatric and Adult Allogeneic Hematopoietic Cell Transplant Recipients: A Randomized Placebo-Controlled Phase II Trial. Biol. Blood Marrow Transplant. 2017, 23, 512–521. [Google Scholar] [CrossRef]
- Doan, M.L.; Mallory, G.B.; Kaplan, S.L.; Dishop, M.K.; Schecter, M.G.; McKenzie, E.D.; Heinle, J.S.; Elidemir, O. Treatment of adenovirus pneumonia with cidofovir in pediatric lung transplant recipients. J. Heart Lung Transplant. 2007, 26, 883–889. [Google Scholar] [CrossRef]
- Parikh, S.H.; Mendizabal, A.; Benjamin, C.L.; Komanduri, K.V.; Antony, J.; Petrovic, A.; Hale, G.; Driscoll, T.A.; Martin, P.L.; Page, K.M.; et al. A novel reduced-intensity conditioning regimen for unrelated umbilical cord blood transplantation in children with nonmalignant diseases. Biol. Blood Marrow Transplant. 2014, 20, 326–336. [Google Scholar] [CrossRef]
- Foster, J.H.; Cheng, W.S.; Nguyen, N.Y.; Krance, R.; Martinez, C. Immunoglobulin prophylaxis in pediatric hematopoietic stem cell transplant. Pediatr. Blood Cancer 2018, 65, e27348. [Google Scholar] [CrossRef]
- Feuchtinger, T.; Matthes-Martin, S.; Richard, C.; Lion, T.; Fuhrer, M.; Hamprecht, K.; Handgretinger, R.; Peters, C.; Schuster, F.R.; Beck, R.; et al. Safe adoptive transfer of virus-specific T-cell immunity for the treatment of systemic adenovirus infection after allogeneic stem cell transplantation. Br. J. Haematol. 2006, 134, 64–76. [Google Scholar] [CrossRef]
- Rubinstein, J.D.; Zhu, X.; Leemhuis, T.; Pham, G.; Ray, L.; Emberesh, S.; Jodele, S.; Thomas, S.; Cancelas, J.A.; Bollard, C.M.; et al. Virus-specific T cells for adenovirus infection after stem cell transplantation are highly effective and class II HLA restricted. Blood Adv. 2021, 5, 3309–3321. [Google Scholar] [CrossRef]
- Galletta, T.J.; Lane, A.; Lutzko, C.; Leemhuis, T.; Cancelas, J.A.; Khoury, R.; Wang, Y.M.; Hanley, P.J.; Keller, M.D.; Bollard, C.M.; et al. Third-Party and Patient-Specific Donor-Derived Virus-Specific T Cells Demonstrate Similar Efficacy and Safety for Management of Viral Infections after Hematopoietic Stem Cell Transplantation in Children and Young Adults. Transplant. Cell Ther. 2023, 29, 305–310. [Google Scholar] [CrossRef] [PubMed]
- Dodge, M.J.; MacNeil, K.M.; Tessier, T.M.; Weinberg, J.B.; Mymryk, J.S. Emerging antiviral therapeutics for human adenovirus infection: Recent developments and novel strategies. Antiviral. Res. 2021, 188, 105034. [Google Scholar] [CrossRef] [PubMed]
- Kajon, A.E. Buffer Exchange, a Simple Option That Significantly Increases the Chances of Isolation of Adenoviruses from Blood and Other Clinical Specimens. Microbiol. Spectr. 2023, 11, e0045423. [Google Scholar] [CrossRef]
- Kajon, A.E.; Lamson, D.M.; St George, K. Characterization of human adenoviruses of medical importance: Isolation of infectious virus from clinical specimens and molecular typing. Curr. Protoc. Microbiol. 2023, 3, e916. [Google Scholar] [CrossRef]
- Kajon, A.E.; Erdman, D.D. Assessment of genetic variability among subspecies b1 human adenoviruses for molecular epidemiology studies. Methods Mol. Med. 2007, 131, 335–355. [Google Scholar] [CrossRef] [PubMed]
- Patel, R.R.; Hodinka, R.L.; Kajon, A.E.; Klieger, S.; Oikonomopoulou, Z.; Petersen, H.; Rand, E.; Attiyeh, E.F.; Fisher, B.T. A Case of Adenovirus Viremia in a Pediatric Liver Transplant Recipient With Neutropenia and Lymphopenia: Who and When Should We Treat? J. Pediatr. Infect. Dis. Soc. 2015, 4, e1–e5. [Google Scholar] [CrossRef][Green Version]
- Mitchell, S.L.; Kajon, A.E.; Kaplan, S.L.; Kim, J.; Cardenas, A.M. An unusual case of disseminated adenovirus infection in a cystic fibrosis, liver transplant patient. J. Clin. Virol. 2016, 81, 64–67. [Google Scholar] [CrossRef] [PubMed]
- Kajon, A.E.; Lamson, D.M.; Spiridakis, E.; Cardenas, A.M.; Babady, N.E.; Fisher, B.T.; St George, K. Isolation of a novel intertypic recombinant human mastadenovirus B2 from two unrelated bone marrow transplant recipients. New Microbes New Infect. 2020, 35, 100677. [Google Scholar] [CrossRef]
- Shean, R.C.; Makhsous, N.; Stoddard, G.D.; Lin, M.J.; Greninger, A.L. VAPiD: A lightweight cross-platform viral annotation pipeline and identification tool to facilitate virus genome submissions to NCBI GenBank. BMC Bioinform. 2019, 20, 48. [Google Scholar] [CrossRef]
- Nguyen, L.T.; Schmidt, H.A.; von Haeseler, A.; Minh, B.Q. IQ-TREE: A fast and effective stochastic algorithm for estimating maximum-likelihood phylogenies. Mol. Biol. Evol. 2015, 32, 268–274. [Google Scholar] [CrossRef]
- Minh, B.Q.; Schmidt, H.A.; Chernomor, O.; Schrempf, D.; Woodhams, M.D.; vonHaeseler, A.; Lanfear, R. IQ-TREE 2: New Models and Efficient Methods for Phylogenetic Inference in the Genomic Era. Mol. Biol. Evol. 2020, 37, 1530–1534, Corrigendum in Mol. Biol. Evol. 2020, 37, 2461. [Google Scholar] [CrossRef] [PubMed]
- Tavare, S. Some probabilistic and statistical problems in the analysis of DNA sequences. Lect. Math. Life Sci. 1986, 17, 57. [Google Scholar]
- Yang, Z. Maximum likelihood phylogenetic estimation from DNA sequences with variable rates over sites: Approximate methods. J. Mol. Evol. 1994, 39, 306–314. [Google Scholar] [CrossRef] [PubMed]
- Yamada, K.D.; Tomii, K.; Katoh, K. Application of the MAFFT sequence alignment program to large data-reexamination of the usefulness of chained guide trees. Bioinformatics 2016, 32, 3246–3251. [Google Scholar] [CrossRef]
- Lole, K.S.; Bollinger, R.C.; Paranjape, R.S.; Gadkari, D.; Kulkarni, S.S.; Novak, N.G.; Ingersoll, R.; Sheppard, H.W.; Ray, S.C. Full-length human immunodeficiency virus type 1 genomes from subtype C-infected seroconverters in India, with evidence of intersubtype recombination. J. Virol. 1999, 73, 152–160. [Google Scholar] [CrossRef]
- The R Core Team. R: A Language and Environment for Statistical Computing; R Foundation for Statistical Computing: Vienna, Austria, 2013; Available online: http://www.R-project.org/2013 (accessed on 12 January 2024).
- Kumar, S.; Stecher, G.; Tamura, K. MEGA7: Molecular Evolutionary Genetics Analysis Version 7.0 for Bigger Datasets. Mol. Biol. Evol. 2016, 33, 1870–1874. [Google Scholar] [CrossRef]
- Obenauer, J.C.; Denson, J.; Mehta, P.K.; Su, X.; Mukatira, S.; Finkelstein, D.B.; Xu, X.; Wang, J.; Ma, J.; Fan, Y.; et al. Large-scale sequence analysis of avian influenza isolates. Science 2006, 311, 1576–1580. [Google Scholar] [CrossRef]
- Gonzalez, G.; Hayes, M.; Balansay, M.; Underwood, R.; Balagot, C.; Pan, R.; Pineda, K.; Iniguez-Stevens, E.; Kriner, P.; Estrada, I.; et al. Two novel recombinant human mastadenovirus D genotypes associated with acute respiratory illness. J. Med. Virol. 2023, 95, e28653. [Google Scholar] [CrossRef]
- Mao, N.; Zhu, Z.; Rivailler, P.; Chen, M.; Fan, Q.; Huang, F.; Xu, W. Whole genomic analysis of two potential recombinant strains within Human mastadenovirus species C previously found in Beijing, China. Sci. Rep. 2017, 7, 15380. [Google Scholar] [CrossRef]
- Chamberlain, J.M.; Sortino, K.; Sethna, P.; Bae, A.; Lanier, R.; Bambara, R.A.; Dewhurst, S. Cidofovir Diphosphate Inhibits Adenovirus 5 DNA Polymerase via both Nonobligate Chain Termination and Direct Inhibition, and Polymerase Mutations Confer Cidofovir Resistance on Intact Virus. Antimicrob. Agents Chemother. 2019, 63, e01925-18. [Google Scholar] [CrossRef]
- Purtilo, D.T.; Cassel, C.K.; Yang, J.P.; Harper, R. X-linked recessive progressive combined variable immunodeficiency (Duncan’s disease). Lancet 1975, 1, 935–940. [Google Scholar] [CrossRef] [PubMed]
- Worth, A.J.; Houldcroft, C.J.; Booth, C. Severe Epstein-Barr virus infection in primary immunodeficiency and the normal host. Br. J. Haematol. 2016, 175, 559–576. [Google Scholar] [CrossRef]
- Panchal, N.; Booth, C.; Cannons, J.L.; Schwartzberg, P.L. X-Linked Lymphoproliferative Disease Type 1: A Clinical and Molecular Perspective. Front. Immunol. 2018, 9, 666. [Google Scholar] [CrossRef] [PubMed]
- Chung, M.H.; Chua, G.T.; Leung, D.; Chan, K.W.; Nicholls, J.; Lau, Y.L. Fatal SARS in X-Linked Lymphoproliferative Disease Type 1: A Case Report. Front. Pediatr. 2022, 10, 794110. [Google Scholar] [CrossRef] [PubMed]
- Chen, M.; Zhu, Z.; Huang, F.; Liu, D.; Zhang, T.; Ying, D.; Wu, J.; Xu, W. Adenoviruses associated with acute respiratory diseases reported in Beijing from 2011 to 2013. PLoS ONE 2015, 10, e0121375. [Google Scholar] [CrossRef]
- Dhingra, A.; Hage, E.; Ganzenmueller, T.; Bottcher, S.; Hofmann, J.; Hamprecht, K.; Obermeier, P.; Rath, B.; Hausmann, F.; Dobner, T.; et al. Molecular Evolution of Human Adenovirus (HAdV) Species C. Sci. Rep. 2019, 9, 1039. [Google Scholar] [CrossRef]
- Servellita, V.; Sotomayor Gonzalez, A.; Lamson, D.M.; Foresythe, A.; Huh, H.J.; Bazinet, A.L.; Bergman, N.H.; Bull, R.L.; Garcia, K.Y.; Goodrich, J.S.; et al. Adeno-associated virus type 2 in US children with acute severe hepatitis. Nature 2023, 617, 574–580. [Google Scholar] [CrossRef]
- Morfopoulou, S.; Buddle, S.; Torres Montaguth, O.E.; Atkinson, L.; Guerra-Assuncao, J.A.; Moradi Marjaneh, M.; Zennezini Chiozzi, R.; Storey, N.; Campos, L.; Hutchinson, J.C.; et al. Genomic investigations of unexplained acute hepatitis in children. Nature 2023, 617, 564–573. [Google Scholar] [CrossRef]






| Genotype Accession No. | Seq | C1 AC000017 | C2 AC000007 | C5 AC000008 | C6 HQ413315 | C57 HQ003817 | C89 MH121097 | C104 MH558113 | C108 MF315029 | C108* OQ518339 | C ND ‡ MF315028 | C108** OQ518330 |
|---|---|---|---|---|---|---|---|---|---|---|---|---|
| Molecular ID | P1H1F1 | P2H2F2 | P5H5F5 | P6H6F6 | P1H5F6 | P89H2F2 | P1H1F2 | P1H2F2 | P1H2F2 | P1H2F2 | P1H2F2 | |
| UNMC+ OQ108498/OQ108499 | WGS | 94.8 | 98.9 | 93.7 | 96.5 | 96 | 98.7 | 98.0 | 99.6 | 99.5 | 99.1 | 99.2 |
| Penton base | Nt | 99.9 | 98.7 | 98.0 | 99.7 | 99.9 | 97.7 | 99.9 | 99.8 | 99.9 | 99.8 | 99.9 |
| AA | 100 | 99.0 | 98.3 | 99.8 | 99.8 | 98.3 | 100 | 99.8 | 100 | 99.8 | 100 | |
| Hexon | Nt | 85.5 | 98.8 | 81.7 | 88.2 | 87.2 | 97.5 | 85.4 | 99.9 | 99.9 | 98.8 | 98.8 |
| AA | 90.6 | 99.9 | 86.3 | 89.4 | 90.2 | 99.3 | 90.6 | 99.9 | 99.9 | 99.9 | 99.9 | |
| Fiber | Nt | 72.1 | 99.7 | 72.6 | 67.7 | 67.3 | 99.6 | 99.8 | 99.9 | 99.8 | 99.8 | 99.7 |
| AA | 72.5 | 99.7 | 69.2 | 67.2 | 66.4 | 99.7 | 99.8 | 99.8 | 99.8 | 99.8 | 99.7 |
Disclaimer/Publisher’s Note: The statements, opinions and data contained in all publications are solely those of the individual author(s) and contributor(s) and not of MDPI and/or the editor(s). MDPI and/or the editor(s) disclaim responsibility for any injury to people or property resulting from any ideas, methods, instructions or products referred to in the content. |
© 2024 by the authors. Licensee MDPI, Basel, Switzerland. This article is an open access article distributed under the terms and conditions of the Creative Commons Attribution (CC BY) license (https://creativecommons.org/licenses/by/4.0/).
Share and Cite
Becken, B.A.; Lamson, D.M.; Gonzalez, G.; Patel, S.; St. George, K.; Kajon, A.E. A Fulminant Case of Adenovirus Genotype C108 Infection in a Pediatric Stem Cell Transplant Recipient with x-Linked Lymphoproliferative Syndrome Type 1. Viruses 2024, 16, 137. https://doi.org/10.3390/v16010137
Becken BA, Lamson DM, Gonzalez G, Patel S, St. George K, Kajon AE. A Fulminant Case of Adenovirus Genotype C108 Infection in a Pediatric Stem Cell Transplant Recipient with x-Linked Lymphoproliferative Syndrome Type 1. Viruses. 2024; 16(1):137. https://doi.org/10.3390/v16010137
Chicago/Turabian StyleBecken, Bradford A., Daryl M. Lamson, Gabriel Gonzalez, Sachit Patel, Kirsten St. George, and Adriana E. Kajon. 2024. "A Fulminant Case of Adenovirus Genotype C108 Infection in a Pediatric Stem Cell Transplant Recipient with x-Linked Lymphoproliferative Syndrome Type 1" Viruses 16, no. 1: 137. https://doi.org/10.3390/v16010137
APA StyleBecken, B. A., Lamson, D. M., Gonzalez, G., Patel, S., St. George, K., & Kajon, A. E. (2024). A Fulminant Case of Adenovirus Genotype C108 Infection in a Pediatric Stem Cell Transplant Recipient with x-Linked Lymphoproliferative Syndrome Type 1. Viruses, 16(1), 137. https://doi.org/10.3390/v16010137

