Betapapillomaviruses in p16-Negative Vulvar Intraepithelial Lesions Associated with Squamous Cell Carcinoma
Abstract
:1. Introduction
2. Materials and Methods
2.1. Case Selection and Interpretation
2.2. Immunohistochemistry
2.3. Immunohistochemistry Interpretation
2.4. HPV Genotyping
2.5. Quantitative PCR
2.6. RNA In Situ Hybridization (ISH)
2.7. Statistical Analysis
3. Results
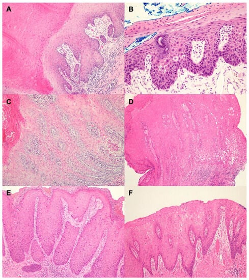
3.1. Case Characteristics
3.2. HPV Genotyping
3.2.1. p16-Negative Lesions
3.2.2. p16-Positive Lesions
3.3. HPV Viral Loads
3.4. Clinical Relevance
4. Discussion
5. Conclusions
Supplementary Materials
Author Contributions
Funding
Institutional Review Board Statement
Informed Consent Statement
Data Availability Statement
Acknowledgments
Conflicts of Interest
References
- World Health Organization. Female Genital TUMOURS, 5th ed.; World Health Organization: Geneva, Switzerland, 2020. [Google Scholar]
- Jenkins, T.M.; Mills, A.M. Putative precancerous lesions of vulvar squamous cell carcinoma. Semin. Diagn. Pathol. 2021, 38, 27–36. [Google Scholar] [CrossRef] [PubMed]
- Roy, S.F.; Wong, J.; Le Page, C.; Tran-Thanh, D.; Barkati, M.; Pina, A.; Trinh, V.Q.; Rahimi, K. DEVIL, VAAD and vLSC constitute a spectrum of HPV-independent, p53-independent intra-epithelial neoplasia of the vulva. Histopathology 2021, 19, 975–988. [Google Scholar] [CrossRef] [PubMed]
- Rakislova, N.; Alemany, L.; Clavero, O.; del Pino, M.; Saco, A.; Quirós, B.; Lloveras, B.; Alejo, M.; Halec, G.; Quint, W.; et al. Differentiated Vulvar Intraepithelial Neoplasia-like and Lichen Sclerosus-like Lesions in HPV-associated Squamous Cell Carcinomas of the Vulva. Am. J. Surg. Pathol. 2018, 42, 828–835. [Google Scholar] [CrossRef]
- Akbari, A.; Pinto, A.; Amemiya, Y.; Seth, A.; Mirkovic, J.; Parra-Herran, C. Differentiated exophytic vulvar intraepithelial lesion: Clinicopathologic and molecular analysis documenting its relationship with verrucous carcinoma of the vulva. Mod. Pathol. 2020, 33, 2011–2018. [Google Scholar] [CrossRef]
- Barlow, E.L.; Lambie, N.; Donoghoe, M.W.; Naing, Z.; Hacker, N.F. The Clinical Relevance of p16 and p53 Status in Patients with Squamous Cell Carcinoma of the Vulva. J. Oncol. 2020, 2020, 3739075. [Google Scholar] [CrossRef] [PubMed]
- Rakislova, N.; Alemany, L.; Clavero, O.; del Pino, M.; Saco, A.; Marimon, L.; Quirós, B.; Lloveras, B.; Ribera-Cortada, I.; Alejo, M.; et al. HPV-independent Precursors Mimicking High-grade Squamous Intraepithelial Lesions (HSIL) of the Vulva. Am. J. Surg. Pathol. 2020, 44, 1506–1514. [Google Scholar] [CrossRef] [PubMed]
- Dasgupta, S.; Ewing-Graham, P.C.; Swagemakers, S.M.; van der Spek, P.J.; van Doorn, H.C.; Hegt, V.N.; Koljenović, S.; van Kemenade, F.J. Precursor lesions of vulvar squamous cell carcinoma—Histology and biomarkers: A systematic review. Crit. Rev. Oncol. 2020, 147, 102866. [Google Scholar] [CrossRef]
- Heller, D.S.; Day, T.; Allbritton, J.I.; Scurry, J.; Radici, G.; Welch, K.; Preti, M. Diagnostic Criteria for Differentiated Vulvar Intraepithelial Neoplasia and Vulvar Aberrant Maturation. J. Low. Genit. Tract Dis. 2021, 25, 57–70. [Google Scholar] [CrossRef]
- Hoang, L.N.; Park, K.J.; Soslow, R.A.; Murali, R. Squamous precursor lesions of the vulva: Current classification and diagnostic challenges. Pathology 2016, 48, 291–302. [Google Scholar] [CrossRef]
- Watkins, J.C.; Howitt, B.E.; Horowitz, N.S.; Ritterhouse, L.L.; Dong, F.; Macconaill, L.E.; Garcia, E.; Lindeman, N.I.; Lee, L.J.; Berkowitz, R.S.; et al. Differentiated exophytic vulvar intraepithelial lesions are genetically distinct from keratinizing squamous cell carcinomas and contain mutations in PIK3CA. Mod. Pathol. 2017, 30, 448–458. [Google Scholar] [CrossRef]
- Nascimento, A.F.; Granter, S.R.; Cviko, A.; Yuan, L.; Hecht, J.L.; Crum, C.P. Vulvar Acanthosis with Altered Differentiation: A Precursor to Verrucous Carcinoma? Am. J. Surg. Pathol. 2004, 28, 638–643. [Google Scholar] [CrossRef] [PubMed]
- Salama, A.M.; Momeni-Boroujeni, A.; Vanderbilt, C.; Ladanyi, M.; Soslow, R. Molecular landscape of vulvovaginal squamous cell carcinoma: New insights into molecular mechanisms of HPV-associated and HPV-independent squamous cell carcinoma. Mod. Pathol. 2022, 35, 274–282. [Google Scholar] [CrossRef] [PubMed]
- Nooij, L.S.; ter Haar, N.T.; Ruano, D.; Rakislova, N.; van Wezel, T.; Smit, V.T.; Trimbos, B.J.; Ordi, J.; van Poelgeest, M.I.; Bosse, T. Genomic Characterization of Vulvar (Pre)cancers Identifies Distinct Molecular Subtypes with Prognostic Significance. Clin. Cancer Res. 2017, 23, 6781–6789. [Google Scholar] [CrossRef] [PubMed]
- Parra-Herran, C.; Nucci, M.R.; Singh, N.; Rakislova, N.; Howitt, B.E.; Hoang, L.; Gilks, C.B.; Bosse, T.; Watkins, J.C. HPV-independent, p53-wild-type vulvar intraepithelial neoplasia: A review of nomenclature and the journey to characterize verruciform and acanthotic precursor lesions of the vulva. Mod. Pathol. 2022, 35, 1317–1326. [Google Scholar] [CrossRef] [PubMed]
- Weinstein, J.N.; Akbani, R.; Broom, B.M.; Wang, W.; Verhaak, R.G.W.; McConkey, D. Comprehensive molecular characterization of urothelial bladder carcinoma. Nature 2014, 507, 315–322. [Google Scholar]
- Thompson, E.F.; Shum, K.; Wong, R.W.C.; Trevisan, G.; Senz, J.; Huvila, J.; Leung, S.; Huntsman, D.G.; Gilks, C.B.; McAlpine, J.N.; et al. Significance of p53 and presence of differentiated vulvar intra-epithelial neoplasia (dVIN) at resection margin in early stage human papillomavirus-independent vulvar squamous cell carcinoma. Int. J. Gynecol. Cancer 2022, 32, 1229–1235. Available online: https://ijgc.bmj.com/content/32/10/1229 (accessed on 7 June 2023). [CrossRef]
- Tessier-Cloutier, B.; Kortekaas, K.E.; Thompson, E.; Pors, J.; Chen, J.; Ho, J.; Prentice, L.M.; McConechy, M.K.; Chow, C.; Proctor, L.; et al. Major p53 immunohistochemical patterns in in situ and invasive squamous cell carcinomas of the vulva and correlation with TP53 mutation status. Mod. Pathol. 2020, 33, 1595–1605. [Google Scholar] [CrossRef]
- Hpvcenter. HPV Reference Clones. Available online: https://www.hpvcenter.se/human_reference_clones/ (accessed on 20 October 2021).
- Bouvard, V.; Baan, R.; Straif, K.; Grosse, Y.; Secretan, B.; El Ghissassi, F.; Benbrahim-Tallaa, L.; Guha, N.; Freeman, C.; Galichet, L.; et al. A review of human carcinogens—Part B: Biological agents. Lancet Oncol. 2009, 10, 321–322. [Google Scholar] [CrossRef]
- Cogliano, V.; Baan, R.; Straif, K.; Grosse, Y.; Secretan, B.; El Ghissassi, F. Carcinogenicity of human papillomaviruses. Lancet Oncol. 2005, 6, 204. [Google Scholar] [CrossRef]
- Galati, L.; Brancaccio, R.N.; Robitaille, A.; Cuenin, C.; Luzi, F.; Fiorucci, G.; Chiantore, M.V.; Marascio, N.; Matera, G.; Liberto, M.C.; et al. Detection of human papillomaviruses in paired healthy skin and actinic keratosis by next generation sequencing. Papillomavirus Res. 2020, 9, 100196. [Google Scholar] [CrossRef]
- Rollison, D.E.; Viarisio, D.; Amorrortu, R.P.; Gheit, T.; Tommasino, M. An Emerging Issue in Oncogenic Virology: The Role of Beta Human Papillomavirus Types in the Development of Cutaneous Squamous Cell Carcinoma. J. Virol. 2019, 93, 10–128. [Google Scholar] [CrossRef]
- Romero-Medina, M.C.; Venuti, A.; Melita, G.; Robitaille, A.; Ceraolo, M.G.; Pacini, L.; Sirand, C.; Viarisio, D.; Taverniti, V.; Gupta, P.; et al. Human papillomavirus type 38 alters wild-type p53 activity to promote cell proliferation via the downregulation of integrin alpha 1 expression. PLoS Pathog. 2020, 16, e1008792. [Google Scholar] [CrossRef]
- Tommasino, M. The biology of beta human papillomaviruses. Virus Res. 2017, 231, 128–138. [Google Scholar] [CrossRef]
- Smelov, V.; Muwonge, R.; Sokolova, O.; McKay-Chopin, S.; Eklund, C.; Komyakov, B.; Gheit, T. Beta and gamma human papillomaviruses in anal and genital sites among men: Prevalence and determinants. Sci. Rep. 2018, 8, 8241. [Google Scholar] [CrossRef]
- Schmitt, M.; Dondog, B.; Waterboer, T.; Pawlita, M.; Tommasino, M.; Gheit, T. Abundance of Multiple High-Risk Human Papillomavirus (HPV) Infections Found in Cervical Cells Analyzed by Use of an Ultrasensitive HPV Genotyping Assay. J. Clin. Microbiol. 2010, 48, 143–149. [Google Scholar] [CrossRef]
- Stockfleth, E.; Nindl, I.; Sterry, W.; Ulrich, C.; Schmook, T.; Meyer, T. Human Papillomaviruses in Transplant-Associated Skin Cancers. Dermatol. Surg. 2004, 30, 604–609. [Google Scholar] [PubMed]
- Brimer, N.; Lyons, C.; Wallberg, A.E.; Pol, S.B.V. Cutaneous papillomavirus E6 oncoproteins associate with MAML1 to repress transactivation and NOTCH signaling. Oncogene 2012, 31, 4639–4646. [Google Scholar] [CrossRef] [PubMed]
- White, E.A.; Kramer, R.E.; Tan, M.J.A.; Hayes, S.D.; Harper, J.W.; Howley, P.M. Comprehensive Analysis of Host Cellular Interactions with Human Papillomavirus E6 Proteins Identifies New E6 Binding Partners and Reflects Viral Diversity. J. Virol. 2012, 86, 13174–13186. [Google Scholar] [CrossRef] [PubMed]
- Brimer, N.; Drews, C.M.; Pol, S.B.V. Association of papillomavirus E6 proteins with either MAML1 or E6AP clusters E6 proteins by structure, function, and evolutionary relatedness. PLoS Pathog. 2017, 13, e1006781. [Google Scholar] [CrossRef]
- Wang, J.; Aldabagh, B.; Yu, J.; Arron, S.T. Role of human papillomavirus in cutaneous squamous cell carcinoma: A meta-analysis. J. Am. Acad. Dermatol. 2014, 70, 621–629. [Google Scholar] [CrossRef]
- Accardi, R.; Gheit, T. Cutaneous HPV and skin cancer. Presse Med. 2014, 43, e435–e443. [Google Scholar] [CrossRef] [PubMed]
- Preti, M.; Rotondo, J.C.; Holzinger, D.; Micheletti, L.; Gallio, N.; McKay-Chopin, S.; Carreira, C.; Privitera, S.S.; Watanabe, R.; Ridder, R.; et al. Role of human papillomavirus infection in the etiology of vulvar cancer in Italian women. Infect. Agents Cancer 2020, 15, 20. [Google Scholar] [CrossRef] [PubMed]
- Weissenborn, S.J.; Nindl, I.; Purdie, K.; Harwood, C.; Proby, C.; Breuer, J.; Majewski, S.; Pfister, H.; Wieland, U. Human Papillomavirus-DNA Loads in Actinic Keratoses Exceed those in Non-Melanoma Skin Cancers. J. Investig. Dermatol. 2005, 125, 93–97. [Google Scholar] [CrossRef] [PubMed]
- Purdie, K.J.; Surentheran, T.; Sterling, J.C.; Bell, L.; McGregor, J.M.; Proby, C.M.; Harwood, C.A.; Breuer, J. Human Papillomavirus Gene Expression in Cutaneous Squamous Cell Carcinomas from Immunosuppressed and Immunocompetent Individuals. J. Investig. Dermatol. 2005, 125, 98–107. [Google Scholar] [CrossRef] [PubMed]
- Viarisio, D.; Müller-Decker, K.; Accardi, R.; Robitaille, A.; Dürst, M.; Beer, K.; Jansen, L.; Flechtenmacher, C.; Bozza, M.; Harbottle, R.; et al. Beta HPV38 oncoproteins act with a hit-and-run mechanism in ultraviolet radiation-induced skin carcinogenesis in mice. PLoS Pathog. 2018, 14, e1006783. [Google Scholar] [CrossRef] [PubMed]
- Hasche, D.; Stephan, S.; Braspenning-Wesch, I.; Mikulec, J.; Niebler, M.; Gröne, H.-J.; Flechtenmacher, C.; Akgül, B.; Rösl, F.; Vinzón, S.E. The interplay of UV and cutaneous papillomavirus infection in skin cancer development. PLoS Pathog. 2017, 13, e1006723. Available online: https://www.ncbi.nlm.nih.gov/pmc/articles/PMC5708609/ (accessed on 7 June 2023). [CrossRef]
- Preti, M.; Bucchi, L.; Micheletti, L.; Privitera, S.; Corazza, M.; Cosma, S.; Gallio, N.; Borghi, A.; Bevilacqua, F.; Benedetto, C. Four-decade trends in lymph node status of patients with vulvar squamous cell carcinoma in northern Italy. Sci. Rep. 2021, 11, 5661. Available online: https://www.ncbi.nlm.nih.gov/pmc/articles/PMC7952703/ (accessed on 15 September 2023). [CrossRef]
- Preti, M.; Joura, E.; Vieira-Baptista, P.; Van Beurden, M.; Bevilacqua, F.; Bleeker, M.C.; Bornstein, J.; Carcopino, X.; Chargari, C.; Cruickshank, M.E.; et al. The European Society of Gynaecological Oncology (ESGO), the International Society for the Study of Vulvovaginal Disease (ISSVD), the European College for the Study of Vulval Disease (ECSVD) and the European Federation for Colposcopy (EFC) consensus statements on pre-invasive vulvar lesions. Int. J. Gynecol. Cancer 2022, 32, 830–845. [Google Scholar]
- ACree, I.; AWhite, V.; Indave, B.I.; Lokuhetty, D. Revising the WHO classification: Female genital tract tumours. Histopathology 2019, 76, 151–156. [Google Scholar]
- Tessier-Cloutier, B.; Pors, J.; Thompson, E.; Ho, J.; Prentice, L.; McConechy, M.; Aguirre-Hernandez, R.; Miller, R.; Leung, S.; Proctor, L.; et al. Molecular characterization of invasive and in situ squamous neoplasia of the vulva and implications for morphologic diagnosis and outcome. Mod. Pathol. 2021, 34, 508–518. Available online: https://pubmed.ncbi.nlm.nih.gov/32792599/ (accessed on 10 August 2023). [CrossRef]
- Darragh, T.M.; Colgan, T.J.; Cox, J.T.; Heller, D.S.; Henry, M.R.; Luff, R.D.; McCalmont, T.; Nayar, R.; Palefsky, J.M.; Stoler, M.H.; et al. The Lower Anogenital Squamous Terminology Standardization Project for HPV-Associated Lesions: Background and Consensus Recommendations from the College of American Pathologists and the American Society for Colposcopy and Cervical Pathology. Int. J. Gynecol. Pathol. 2013, 32, 76–115. [Google Scholar] [CrossRef] [PubMed]
- Liu, Y.A.; Ji, J.X.; Almadani, N.; Crawford, R.I.; Gilks, C.B.; Kinloch, M.; Hoang, L. Comparison of p53 immunohistochemical staining in differentiated vulvar intraepithelial neoplasia (dVIN) with that in inflammatory dermatoses and benign squamous lesions in the vulva. Histopathology 2021, 78, 424–433. Available online: https://pubmed.ncbi.nlm.nih.gov/32799363/ (accessed on 10 August 2023). [CrossRef] [PubMed]
- Kortekaas, K.E.; Solleveld-Westerink, N.; Tessier-Cloutier, B.; Rutten, T.A.; Poelgeest, M.I.; Gilks, C.B.; Hoang, L.N.; Bosse, T. Performance of the pattern-based interpretation of p53 immunohistochemistry as a surrogate for TP53 mutations in vulvar squamous cell carcinoma. Histopathology 2020, 77, 92–99. [Google Scholar] [CrossRef] [PubMed]
- Gheit, T.; Vaccarella, S.; Schmitt, M.; Pawlita, M.; Franceschi, S.; Sankaranarayanan, R.; Sylla, B.S.; Tommasino, M.; Gangane, N. Prevalence of human papillomavirus types in cervical and oral cancers in central India. Vaccine 2009, 27, 636–639. [Google Scholar] [CrossRef]
- Gheit, T.; Landi, S.; Gemignani, F.; Snijders, P.J.F.; Vaccarella, S.; Franceschi, S.; Canzian, F.; Tommasino, M. Development of a Sensitive and Specific Assay Combining Multiplex PCR and DNA Microarray Primer Extension to Detect High-Risk Mucosal Human Papillomavirus Types. J. Clin. Microbiol. 2006, 44, 2025–2031. [Google Scholar] [CrossRef]
- Weissenborn, S.J.; Wieland, U.; Junk, M.; Pfister, H. Quantification of beta-human papillomavirus DNA by real-time PCR. Nat. Protoc. 2009, 5, 1–13. [Google Scholar] [CrossRef]
- Ren, S.; Gaykalova, D.A.; Guo, T.; Favorov, A.V.; Fertig, E.J.; Tamayo, P.; Callejas-Valera, J.L.; Allevato, M.; Gilardi, M.; Santos, J.; et al. HPV E2, E4, E5 drive alternative carcinogenic pathways in HPV positive cancers. Oncogene 2020, 39, 6327–6339. [Google Scholar] [CrossRef]
- Strickley, J.D.; Messerschmidt, J.L.; Awad, M.E.; Li, T.; Hasegawa, T.; Ha, D.T.; Nabeta, H.W.; Bevins, P.A.; Ngo, K.H.; Asgari, M.M.; et al. Immunity to commensal papillomaviruses protects against skin cancer. Nature 2019, 575, 519–522. [Google Scholar] [CrossRef]
- Dell’Oste, V.; Azzimonti, B.; De Andrea, M.; Mondini, M.; Zavattaro, E.; Leigheb, G.; Weissenborn, S.J.; Pfister, H.; Michael, K.M.; Waterboer, T.; et al. High β-HPV DNA Loads and Strong Seroreactivity Are Present in Epidermodysplasia Verruciformis. J. Investig. Dermatol. 2009, 129, 1026–1034. [Google Scholar] [CrossRef]
- Vasiljević, N.; Hazard, K.; Dillner, J.; Forslund, O. Four novel human betapapillomaviruses of species 2 preferentially found in actinic keratosis. J. Gen. Virol. 2008, 89, 2467–2474. [Google Scholar] [CrossRef]
- Cohen, D.N.; Lawson, S.K.; Shaver, A.C.; Du, L.; Nguyen, H.P.; He, Q.; Johnson, D.B.; Lumbang, W.A.; Moody, B.R.; Prescott, J.L.; et al. Contribution of Beta-HPV Infection and UV Damage to Rapid-Onset Cutaneous Squamous Cell Carcinoma during BRAF-Inhibition Therapy. Clin. Cancer Res. 2015, 21, 2624–2634. [Google Scholar] [CrossRef] [PubMed]
- Donà, M.G.; Gheit, T.; Latini, A.; Benevolo, M.; Torres, M.; Smelov, V.; McKay-Chopin, S.; Giglio, A.; Cristaudo, A.; Zaccarelli, M.; et al. Alpha, beta and gamma Human Papillomaviruses in the anal canal of HIV-infected and uninfected men who have sex with men. J. Infect. 2015, 71, 74–84. [Google Scholar] [CrossRef]
- Woelber, L.; Prieske, K.; Eulenburg, C.; Oliveira-Ferrer, L.; De Gregorio, N.; Klapdor, R.; Kalder, M.; Braicu, I.; Fuerst, S.; Klar, M.; et al. p53 and p16 expression profiles in vulvar cancer: A translational analysis by the Arbeitsgemeinschaft Gynäkologische Onkologie Chemo and Radiotherapy in Epithelial Vulvar Cancer study group. Am. J. Obstet. Gynecol. 2021, 224, 595.e1–595.e11. Available online: https://pubmed.ncbi.nlm.nih.gov/33453182/ (accessed on 10 August 2023). [CrossRef]
- Kortekaas, K.E.; Bastiaannet, E.; van Doorn, H.C.; van Steenwijk, P.J.; Ewing-Graham, P.C.; Creutzberg, C.L.; Akdeniz, K.; Nooij, L.S.; van der Burg, S.H.; Bosse, T.; et al. Vulvar cancer subclassification by HPV and p53 status results in three clinically distinct subtypes. Gynecol. Oncol. 2020, 159, 649–656. Available online: https://pubmed.ncbi.nlm.nih.gov/32972785/ (accessed on 10 August 2023). [CrossRef] [PubMed]
- Stehman, F.B.; Bundy, B.N.; Ball, H.; Clarke-Pearson, D.L. Sites of failure and times to failure in carcinoma of the vulva treated conservatively: A Gynecologic Oncology Group study. Am. J. Obstet. Gynecol. 1996, 174, 1128–1133; discussion 1132–1133. [Google Scholar] [CrossRef] [PubMed]
- Aerts, L.; Enzlin, P.; Vergote, I.; Verhaeghe, J.; Poppe, W.; Amant, F. Sexual, Psychological, and Relational Functioning in Women after Surgical Treatment for Vulvar Malignancy: A Literature Review. J. Sex. Med. 2012, 9, 361–371. [Google Scholar] [CrossRef] [PubMed]




| Characteristic | All Patients n = 26 | HSIL ** n = 14 | dVIN n = 3 | ASP ** n = 9 | ||||
|---|---|---|---|---|---|---|---|---|
| Mean age at diagnosis, years (range) | 62.2 | (31–88) | 56.6 | (31–80) | 74.0 | (65–87) | 67.0 | (40–88) |
| Smoking Status | ||||||||
| Current or former | 13 | (50.0%) | 8 | (57.1%) | 1 | (33.3%) | 4 | (44.4%) |
| Never | 13 | (50.0%) | 6 | (42.9%) | 2 | (66.7%) | 5 | (55.6%) |
| p16, n (%) | ||||||||
| Positive | 14 | (53.8%) | 14 | (100%) | 0 | (0) | 0 | (0) |
| Negative | 12 | (46.2%) | 0 | (0) | 3 | (100%) | 9 | (100%) |
| p53, n (%) | ||||||||
| Overexpressed basal | 7 | (26.9%) | 2 | (14.3%) | 0 | (0) | 5 | (55.6%) |
| Basal sparing | 10 | (38.5%) | 10 | (71.4%) | 0 | (0) | 0 | (0) |
| Mutant overexpression | 4 | (15.4%) | 1 | (7.1%) | 3 | (100%) | 0 | (0) |
| Wild type | 5 | (19.2%) | 1 | (7.1%) | 0 | (0) | 4 | (44.4%) |
| SCC Subtype, n (%) | ||||||||
| Keratinizing | 17 | (65.4%) | 8 | (57.1%) | 3 | (100%) | 6 | (66.6%) |
| Non-keratinizing | 3 | (11.5%) | 3 | (21.4%) | 0 | (0) | 0 | (0) |
| Verrucous | 4 | (15.4%) | 1 | (7.1%) | 0 | (0) | 3 | (33.3%) |
| Missing | 1 | (3.8) | 1 | (7.1%) | 0 | (0) | 0 | (0) |
| SCC Invasion Type | ||||||||
| Infiltrative | 20 | (76.9%) | 12 | (85.7%) | 2 | (66.7%) | 6 | (66.7%) |
| Pushing | 5 | (19.2%) | 2 | (14.3%) | 1 | (33.3%) | 2 | (22.2%) |
| Infiltrative/pushing | 1 | (3.8%) | 0 | (0) | 0 | (0) | 1 | (11.1%) |
| Multifocal, n (%) | ||||||||
| Yes | 5 | (19.2%) | 3 | (21.4%) | 1 | (33.3%) | 1 | (11.1%) |
| No | 21 | (80.1%) | 11 | (78.6%) | 2 | (66.7%) | 8 | (88.9%) |
| Immunosuppression, n (%) | ||||||||
| Yes | 3 | (11.5%) | 3 | (21.4%) | 0 | (0) | 0 | (0) |
| No | 23 | (88.5%) | 11 | (47.8%) | 3 | (100%) | 9 | (100%) |
| Initial Intraepithelial Diagnosis, n (%) | ||||||||
| ASP | 2 | (7.6%) | 0 | (0) | 0 | (0) | 1 | (11.1%) |
| dVIN | 9 | (34.6%) | 1 | (7.1%) | 3 | (100%) | 5 | (55.6%) |
| HSIL, usual type | 12 | (46.2%) | 11 | (78.6%) | 0 | (0) | 1 | (11.1%) |
| VIN3, mixed usual/differentiated | 1 | (3.8%) | 0 | (0) | 0 | (0) | 1 | (11.1%) |
| Verrucous squamous lesion | 1 | (3.8%) | 1 | (7.1%) | 0 | (0) | 0 | (0) |
| No definitive precursor diagnosis * | 1 | (3.8%) | 0 | (0) | 0 | (0) | 1 | (11.1%) |
| p16 Status | Case | HPV Type | |
|---|---|---|---|
| β | High-Risk α | ||
| N | 3 | 16 | |
| N | 5 | 111 | |
| N | 6 | 105 | 16 |
| N | 11 | 5 | 31, 51 |
| N | 15 | 5, 23 | |
| N | 28 | 111 | 31, 51 |
| N | 42 | ||
| N | 45 | 9 | 16 |
| N | 57 | 110 | 16 |
| N | 7 | ||
| N | 47 | ||
| N | 10 | 24 | |
| P | 20 | 75, 145 | 16 |
| P | 21 | 16, 31 | |
| P | 22 | ||
| P | 24 | 36, 25 | 16, 39 |
| P | 26 | 16, 31 | |
| P | 31 | 18 | |
| P | 32 | 16 | |
| P | 34 | ||
| P | 36 | 16, 31 | |
| P | 40 | 16 | |
| P | 49 | 31, 56 | |
| P | 50 | 9 | 16 |
| P | 51 | 16 | |
| P | 56 | 16 | |
| Intraepithelial Morphology | HPV Genotype | Assay LOD | Intraepithelial Viral Load * | Invasive Viral Load * | Patient Number | Co-Infection with α-HPV |
|---|---|---|---|---|---|---|
| HSIL | HPV 9 | 0.19 | 0.94 | NA | 50 | Yes, HPV 16 |
| HSIL | HPV 24 | 1.21 | 0.23 | 0.16 | 20 | Yes, HPV 16 |
| ASP | HPV 111 | 2.72 | 153.60 | 105.62 | 5 | No |
| ASP | HPV 5 | 3.01 | 0.05 | NA | 15 | No |
| ASP | HPV 5 | 3.01 | 1.64 | 0.25 | 5 | No |
Disclaimer/Publisher’s Note: The statements, opinions and data contained in all publications are solely those of the individual author(s) and contributor(s) and not of MDPI and/or the editor(s). MDPI and/or the editor(s) disclaim responsibility for any injury to people or property resulting from any ideas, methods, instructions or products referred to in the content. |
© 2023 by the authors. Licensee MDPI, Basel, Switzerland. This article is an open access article distributed under the terms and conditions of the Creative Commons Attribution (CC BY) license (https://creativecommons.org/licenses/by/4.0/).
Share and Cite
Lozar, T.; Keske, A.; Dube Mandishora, R.S.; Yu, Q.; Bailey, A.; Xu, J.; Tommasino, M.; McGregor, S.M.; Lambert, P.F.; Gheit, T.; et al. Betapapillomaviruses in p16-Negative Vulvar Intraepithelial Lesions Associated with Squamous Cell Carcinoma. Viruses 2023, 15, 1950. https://doi.org/10.3390/v15091950
Lozar T, Keske A, Dube Mandishora RS, Yu Q, Bailey A, Xu J, Tommasino M, McGregor SM, Lambert PF, Gheit T, et al. Betapapillomaviruses in p16-Negative Vulvar Intraepithelial Lesions Associated with Squamous Cell Carcinoma. Viruses. 2023; 15(9):1950. https://doi.org/10.3390/v15091950
Chicago/Turabian StyleLozar, Taja, Aysenur Keske, Racheal S. Dube Mandishora, Qiqi Yu, Adam Bailey, Jin Xu, Massimo Tommasino, Stephanie M. McGregor, Paul F. Lambert, Tarik Gheit, and et al. 2023. "Betapapillomaviruses in p16-Negative Vulvar Intraepithelial Lesions Associated with Squamous Cell Carcinoma" Viruses 15, no. 9: 1950. https://doi.org/10.3390/v15091950
APA StyleLozar, T., Keske, A., Dube Mandishora, R. S., Yu, Q., Bailey, A., Xu, J., Tommasino, M., McGregor, S. M., Lambert, P. F., Gheit, T., & Fitzpatrick, M. B. (2023). Betapapillomaviruses in p16-Negative Vulvar Intraepithelial Lesions Associated with Squamous Cell Carcinoma. Viruses, 15(9), 1950. https://doi.org/10.3390/v15091950

