Inhibition of Cyclin-Dependent Kinases 8/19 Restricts Bacterial and Virus-Induced Inflammatory Responses in Monocytes
Abstract
1. Introduction
2. Materials and Methods
2.1. Cell Culture Studies
2.2. Resazurin Cytotoxicity Assay
2.3. Transwell Migration Assay
2.4. Scratch Assay
2.5. RNA Extraction, Reverse Transcription, and Quantitative Real-Time PCR
2.6. Western Blot Analysis
2.7. Statistical Analysis
3. Results
3.1. CDK8/19 Inhibition Reduces the Induction of mRNA Levels of Key Proinflammatory Cytokines by Influenza Virus and LPS in Monocytic Cells
3.2. CDK8/19 Inhibitor Downregulates S727 Phosphorylation of STAT1 and Upregulates NFκB p65 S536 Phosphorylation
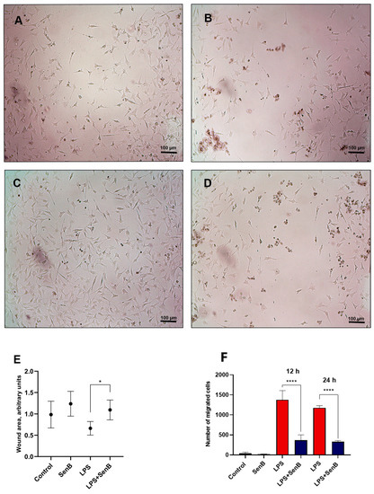
3.3. Reduced THP1 Cell Clustering and Migratory Activity in the Presence of CDK8/19 Inhibitor
3.4. CDK8/19 Inhibition Is Not Associated with Cytotoxic Responses in THP1 Monocytes and Peripheral Blood-Derived Mononuclear Cells
4. Discussion
Supplementary Materials
Author Contributions
Funding
Institutional Review Board Statement
Informed Consent Statement
Acknowledgments
Conflicts of Interest
References
- Chousterman, B.G.; Swirski, F.K.; Weber, G.F. Cytokine storm and sepsis disease pathogenesis. Semin. Immunopathol. 2017, 39, 517–528. [Google Scholar] [CrossRef]
- Fajgenbaum, D.C.; June, C.H. Cytokine Storm. NEJM 2020, 383, 2255–2273. [Google Scholar] [CrossRef]
- Takeuchi, O.; Akira, S. Pattern Recognition Receptors and Inflammation. Cell 2010, 140, 805–820. [Google Scholar] [CrossRef] [PubMed]
- Dannappel, M.V.; Sooraj, D.; Loh, J.J.; Firestein, R. Molecular and in vivo Functions of the CDK8 and CDK19 Kinase Modules. Front. Cell Dev. Biol. 2019, 6, 171. [Google Scholar] [CrossRef] [PubMed]
- Richter, W.F.; Wang, G. The Mediator complex as a master regulator of transcription by RNA polymerase II. Nat. Rev. Mol. Cell Biol. 2022, 11, 732–749. [Google Scholar] [CrossRef]
- Bancerek, J.; Poss, Z.C.; Steinparzer, I.; Sedlyarov, V.; Pfaffenwimmer, T.; Mikulic, I.; Kovarik, P. CDK8 Kinase Phosphorylates Transcription Factor STAT1 to Selectively Regulate the Interferon Response. Immunity 2013, 2, 250–262. [Google Scholar] [CrossRef] [PubMed]
- Roninson, I.B.; Győrffy, B.; Mack, Z.T.; Shtil, A.A.; Shtutman, M.S.; Chen, M.; Broude, E.V. Identifying cancers impacted by CDK8/19. Cells 2019, 8, 821. [Google Scholar] [CrossRef]
- Chen, M.; Liang, J.; Ji, H.; Yang, Z.; Altilia, S.; Hu, B.; Roninson, I.B. CDK8/19 Mediator kinases potentiate induction of transcription by NFκB. Proc. Natl. Acad. Sci. USA 2017, 114, 10208–10213. [Google Scholar] [CrossRef]
- Lv, Y.; Li, Y.; Wang, J.; Li, M.; Zhang, W.; Zhang, H.; Shen, Y.; Li, C.; Du, Y.; Jiang, L. MiR-382-5p suppresses M1 macrophage polarization and inflammatory response in response to bronchopulmonary dysplasia through targeting CDK8: Involving inhibition of STAT1 pathway. Genes Cells 2021, 26, 772–781. [Google Scholar] [CrossRef]
- Martinez-Fabregas, J.; Wang, L.; Pohler, E.; Cozzani, A.; Wilmes, S.; Kazemian, M.; Mitra, S.; Moraga, I. CDK8 Fine-Tunes IL-6 Transcriptional Activities by Limiting STAT3 Resident Time at the Gene Loci. Cell Rep. 2020, 33, 108545. [Google Scholar] [CrossRef]
- Yamamoto, S.; Hagihara, T.; Horiuchi, Y.; Okui, A.; Wani, S.; Yoshida, T.; Inoue, T.; Tanaka, A.; Ito, T.; Hirose, Y.; et al. Mediator cyclin-dependent kinases upregulate transcription of inflammatory genes in cooperation with NF-κB and C/EBPβ on stimulation of Toll-like receptor 9. Genes Cells 2017, 22, 265–276. [Google Scholar] [CrossRef] [PubMed]
- Akamatsu, M.; Mikami, N.; Ohkura, N.; Kawakami, R.; Kitagawa, Y.; Sugimoto, A.; Hirota, K.; Nakamura, N.; Ujihara, S.; Kurosaki, T.; et al. Conversion of antigen-specific effector/memory T cells into Foxp3-expressing Tregcells by inhibition of CDK8/19. Sci. Immunol. 2019, 4, eaaw2707. [Google Scholar] [CrossRef] [PubMed]
- Hofmann, M.H.; Mani, R.; Engelhardt, H.; Impagnatiello, M.A.; Carotta, S.; Kerenyi, M.; Moll, J. Selective and potent CDK8/19 inhibitors enhance NK-cell activity and promote tumor surveillance. Mol. Cancer Ther. 2020, 19, 1018–1030. [Google Scholar] [CrossRef] [PubMed]
- Guo, Z.; Wang, G.; Lv, Y.; Wan, Y.Y.; Zheng, J. Inhibition of Cdk8/Cdk19 activity promotes treg cell differentiation and suppresses autoimmune diseases. Front. Immunol. 2019, 10, 1988. [Google Scholar] [CrossRef]
- Freitas, K.A.; Belk, J.A.; Sotillo, E.; Quinn, P.J.; Ramello, M.C.; Malipatlolla, M.; Daniel, B.; Sandor, K.; Klysz, D.; Bjelajac, J.; et al. Enhanced T cell effector activity by targeting the Mediator kinase module. Science 2022, 378, eabn5647. [Google Scholar] [CrossRef]
- McDermott, M.S.; Chumanevich, A.A.; Lim, C.-U.; Liang, J.; Chen, M.; Altilia, S.; Oliver, D.; Rae, J.M.; Shtutman, M.; Kiaris, H.; et al. Inhibition of CDK8 mediator kinase suppresses estrogen dependent transcription and the growth of estrogen receptor positive breast cancer. Oncotarget 2017, 8, 12558–12575. [Google Scholar] [CrossRef]
- Chen, M.; Li, J.; Liang, J.; Thompson, Z.S.; Kathrein, K.; Broude, E.V.; Roninson, I.B. Systemic Toxicity Reported for CDK8/19 Inhibitors CCT251921 and MSC2530818 Is Not Due to Target Inhibition. Cells 2019, 8, 1413. [Google Scholar] [CrossRef]
- Grievink, H.W.; Luisman, T.; Kluft, C.; Moerland, M.; Malone, K.E. Comparison of Three Isolation Techniques for Human Peripheral Blood Mononuclear Cells: Cell Recovery and Viability, Population Composition, and Cell Functionality. Biopreserv. Biobank 2016, 14, 410–415. [Google Scholar] [CrossRef]
- Praditpornsilpa, K.; Tiranathanagul, K.; Susantitaphong, P.; Katavetin, P.; Trakarnvanich, T.; Townamchai, N.; Kanjanabuch, T.; Avihingsanon, Y.; Tungsanga, K.; Eiam-Ong, S. Effects of different levels of endotoxin contamination on inflammatory cytokine production by peripheral blood mononuclear cells after high-flux hemodialysis. Blood Purif. 2011, 32, 112–116. [Google Scholar] [CrossRef]
- Danilenko, A.V.; Kolosova, N.P.; Shvalov, A.N.; Ilyicheva, T.N.; Svyatchenko, S.V.; Durymanov, A.G.; Bulanovich, J.A.; Goncharova, N.I.; Susloparov, I.M.; Marchenko, V.Y.; et al. Evaluation of HA-D222G/N polymorphism using targeted NGS analysis in A (H1N1) pdm09 influenza virus in Russia in 2018–2019. PLoS ONE 2021, 16, e0251019. [Google Scholar] [CrossRef]
- Chanput, W.; Peters, V.; Wichers, H. THP-1 and U937 Cells. In The Impact of Food Bioactives on Health: In Vitro and Ex Vivo Models; Verhoeckx, K., Cotter, P., López-Expósito, I., Eds.; Springer Cham: New York, NY, USA, 2015; pp. 147–159. [Google Scholar] [CrossRef]
- Mock, D.J.; Frampton, M.W.; Nichols, J.E.; Domurat, F.M.; Signs, D.J.; Roberts, N.J. Influenza Virus Infection of Human Lymphocytes Occurs in the Immune Cell Cluster of the Developing Antiviral Response. Viruses 2018, 10, 420. [Google Scholar] [CrossRef]
- Suratanee, A.; Rebhan, I.; Matula, P.; Kumar, A.; Kaderali, L.; Rohr, K.; Bartenschlager, R.; Eils, R.; König, R. Detecting host factors involved in virus infection by observing the clustering of infected cells in siRNA screening images. Bioinformatics 2010, 26, i653–i658. [Google Scholar] [CrossRef] [PubMed]
- Lamichhane, P.; Samarasinghe, A.E. The Role of Innate Leukocytes during Influenza Virus Infection. J. Immunol. Res. 2019, 2019, 8028725. [Google Scholar] [CrossRef] [PubMed]
- Vanderbeke, L.; Van Mol, P.; Van Herck, Y.; De Smet, F.; Humblet-Baron, S.; Martinod, K.; Antoranz, A.; Arijs, I.; Boeckx, B.; Bosisio, F.M.; et al. Monocyte-driven atypical cytokine storm and aberrant neutrophil activation as key mediators of COVID-19 disease severity. Nat. Commun. 2021, 12, 4117. [Google Scholar] [CrossRef] [PubMed]
- Jafarzadeh, A.; Chauhan, P.; Saha, B.; Jafarzadeh, S.; Nemati, M. Contribution of monocytes and macrophages to the local tissue inflammation and cytokine storm in COVID-19: Lessons from SARS and MERS, and potential therapeutic interventions. Life Sci. 2020, 257, 118102. [Google Scholar] [CrossRef] [PubMed]
- Porter, D.C.; Farmaki, E.; Altilia, S.; Schools, G.P.; West, D.K.; Chen, M.; Chang, B.-D.; Puzyrev, A.T.; Lim, C.-U.; Rokow-Kittell, R.; et al. Cyclin-dependent kinase 8 mediates chemotherapy-induced tumor-promoting paracrine activities. Proc. Natl. Acad. Sci. USA 2012, 109, 13799–13804. [Google Scholar] [CrossRef]
- Westerling, T.; Kuuluvainen, E.; Maäkelaä, T.P. Cdk8 is essential for preimplantation mouse development. Mol. Cell Biol. 2007, 27, 6177–6182. [Google Scholar] [CrossRef]
- Sharko, A.C.; Lim, C.-U.; McDermott, M.S.J.; Hennes, C.; Philavong, K.P.; Aiken, T.; Tatarskiy, V.V.; Roninson, I.B.; Broude, E.V. The Inhibition of CDK8/19 Mediator Kinases Prevents the Development of Resistance to EGFR-Targeting Drugs. Cells 2021, 10, 144. [Google Scholar] [CrossRef]
- Ding, X.; Sharko, A.C.; McDermott, M.S.J.; Schools, G.P.; Chumanevich, A.; Ji, H.; Li, J.; Zhang, L.; Mack, Z.T.; Sikirzhytski, V.; et al. Inhibition of CDK8/19 Mediator kinase potentiates HER2-targeting drugs and bypasses resistance to these agents in vitro and in vivo. Proc. Natl. Acad. Sci. USA 2022, 119, e2201073119. [Google Scholar] [CrossRef]
- Malone, C.F.; Kim, M.; Alexe, G.; Engel, K.; Forman, A.B.; Robichaud, A.; Conway, A.S.; Goodale, A.; Meyer, A.; Khalid, D.; et al. Transcriptional Antagonism by CDK8 Inhibition Improves Therapeutic Efficacy of MEK Inhibitors. Cancer Res. 2022, 83, 285–300. [Google Scholar] [CrossRef]
- Philip, S.; Kumarasiri, M.; Teo, T.; Yu, M.; Wang, S. Cyclin-Dependent Kinase 8: A New Hope in Targeted Cancer Therapy? Miniperspective. J. Med. Chem. 2018, 61, 5073–5092. [Google Scholar] [CrossRef] [PubMed]
- Pelish, H.E.; Liau, B.B.; Nitulescu, I.I.; Tangpeerachaikul, A.; Poss, Z.C.; Da Silva, D.H.; Caruso, B.T.; Arefolov, A.; Fadeyi, O.; Christie, A.L.; et al. Mediator kinase inhibition further activates super-enhancer-associated genes in AML. Nature 2015, 526, 273–276. [Google Scholar] [CrossRef] [PubMed]
- Liang, J.; Chen, M.; Hughes, D.; Chumanevich, A.A.; Altilia, S.; Kaza, V.; Lim, C.-U.; Kiaris, H.; Mythreye, K.; Pena, M.M.; et al. CDK8 Selectively Promotes the Growth of Colon Cancer Metastases in the Liver by Regulating Gene Expression of TIMP3 and Matrix MetalloproteinasesCDK8 in Colon Cancer Hepatic Metastasis. Cancer Res. 2018, 78, 6594–6606. [Google Scholar] [CrossRef] [PubMed]
- Boraschi, D. What Is IL-1 for The Functions of Interleukin-1 Across Evolution. Front. Immunol. 2022, 13, 872155. [Google Scholar] [CrossRef] [PubMed]
- Mantovani, A.; Dinarello, C.A.; Molgora, M.; Garlanda, C. IL-1 and related cytokines in innate and adaptive immunity in health and disease. Immunity 2019, 4, 778–795. [Google Scholar] [CrossRef]
- Nambu, A.; Nakae, S.; Iwakura, Y. IL-1β, but not IL-1α, is required for antigen-specific T cell activation and the induction of local inflammation in the delayed-type hypersensitivity responses. Int. Immunol. 2006, 5, 701–712. [Google Scholar] [CrossRef]
- Schenk, M.; Fabri, M.; Krutzik, S.R.; Lee, D.J.; Vu, D.M.; Sieling, P.A.; Montoya, D.; Liu, P.T.; Modlin, R.L. Interleukin-1β triggers the differentiation of macrophages with enhanced capacity to present mycobacterial antigen to T cells. Immunology 2014, 2, 174–180. [Google Scholar] [CrossRef]
- McDermott, M.F. TNF and TNFR biology in health and disease. Cell. Mol. Biol. 2001, 4, 619–635. [Google Scholar]
- Zganiacz, A.; Santosuosso, M.; Wang, J.; Yang, T.; Chen, L.; Anzulovic, M.; Alexander, S.; Gicquel, B.; Wan, Y.; Bramson, J.; et al. TNF-alpha is a critical negative regulator of type 1 immune activation during intracellular bacterial infection. J. Clin. Investig. 2004, 3, 401–413. [Google Scholar] [CrossRef]
- Carson, W.F.; Salter-Green, S.E.; Scola, M.M.; Joshi, A.; Gallagher, K.A.; Kunkel, S.L. Enhancement of macrophage inflammatory responses by CCL2 is correlated with increased miR-9 expression and downregulation of the ERK1/2 phosphatase Dusp6. Cell Immunol. 2017, 314, 63–72. [Google Scholar] [CrossRef]
- Esche, C.; Stellato, C.; Beck, L.A. Chemokines: Key Players in Innate and Adaptive Immunity. J. Investig. Dermatol. 2005, 125, 615–628. [Google Scholar] [CrossRef] [PubMed]
- Liu, M.; Guo, S.; Stiles, J.K. The emerging role of CXCL10 in cancer (Review). Oncol. Lett. 2011, 4, 583. [Google Scholar] [CrossRef] [PubMed]
- Birkenheuer, C.H.; Brewster, C.D.; Quackenbush, S.L.; Rovnak, J. Retroviral Cyclin Controls Cyclin-Dependent Kinase 8-Mediated Transcription Elongation and Reinitiation. J. Virol. 2015, 89, 5450–5461. [Google Scholar] [CrossRef]
- Rice, S.; Kim, S.-M.; Rodriguez, C.; Songock, W.; Raikhy, G.; Lopez, R.; Henderson, L.; Yusufji, A.; Bodily, J. Suppression of a Subset of Interferon-Induced Genes by Human Papillomavirus Type 16 E7 via a Cyclin Dependent Kinase 8-Dependent Mechanism. Viruses 2020, 12, 311. [Google Scholar] [CrossRef] [PubMed]
- Butler, M.; Chotiwan, N.; Brewster, C.D.; DiLisio, J.E.; Ackart, D.F.; Podell, B.K.; Basaraba, R.J.; Perera, R.; Quackenbush, S.L.; Rovnak, J. Cyclin-Dependent Kinases 8 and 19 Regulate Host Cell Metabolism during Dengue Virus Serotype 2 Infection. Viruses 2020, 12, 654. [Google Scholar] [CrossRef] [PubMed]





| Gene | Forward Primer Sequence (5′ > 3′) | Reverse Primer Sequence (5′ > 3′) |
|---|---|---|
| IL6 | ATGAGGAGACTTGCCTGGTG | GCATTTGTGGTTGGGTCAGG |
| IL1B | TGGAAGGAGCACTTCATCTGTT | TCGCCAGTGAAATGATGGCT |
| IL10 | CGCCTTGATGTCTGGGTCTT | CGAGATGCCTTCAGCAGAGT |
| TNFA | TCAGCCTCTTCTCCTTCCTG | GCCAGAGGGCTGATTAGAGA |
| CXCL10 | AAGTGGCATTCAAGGAGTACCT | GGACAAAATTGGCTTGCAGGA |
| CCL2 | TCTCAAACTGAAGCTCGCAC | CATTGATTGCATCTGGCTGAG |
| HPRT1 | TATATCCAACACTTCGTGGGGTC | ACAGGACTGAACGTCTTGCTC |
Disclaimer/Publisher’s Note: The statements, opinions and data contained in all publications are solely those of the individual author(s) and contributor(s) and not of MDPI and/or the editor(s). MDPI and/or the editor(s) disclaim responsibility for any injury to people or property resulting from any ideas, methods, instructions or products referred to in the content. |
© 2023 by the authors. Licensee MDPI, Basel, Switzerland. This article is an open access article distributed under the terms and conditions of the Creative Commons Attribution (CC BY) license (https://creativecommons.org/licenses/by/4.0/).
Share and Cite
Kokinos, E.K.; Tsymbal, S.A.; Galochkina, A.V.; Bezlepkina, S.A.; Nikolaeva, J.V.; Vershinina, S.O.; Shtro, A.A.; Tatarskiy, V.V.; Shtil, A.A.; Broude, E.V.; et al. Inhibition of Cyclin-Dependent Kinases 8/19 Restricts Bacterial and Virus-Induced Inflammatory Responses in Monocytes. Viruses 2023, 15, 1292. https://doi.org/10.3390/v15061292
Kokinos EK, Tsymbal SA, Galochkina AV, Bezlepkina SA, Nikolaeva JV, Vershinina SO, Shtro AA, Tatarskiy VV, Shtil AA, Broude EV, et al. Inhibition of Cyclin-Dependent Kinases 8/19 Restricts Bacterial and Virus-Induced Inflammatory Responses in Monocytes. Viruses. 2023; 15(6):1292. https://doi.org/10.3390/v15061292
Chicago/Turabian StyleKokinos, Elena K., Sergey A. Tsymbal, Anastasia V. Galochkina, Svetlana A. Bezlepkina, Julia V. Nikolaeva, Sofia O. Vershinina, Anna A. Shtro, Victor V. Tatarskiy, Alexander A. Shtil, Eugenia V. Broude, and et al. 2023. "Inhibition of Cyclin-Dependent Kinases 8/19 Restricts Bacterial and Virus-Induced Inflammatory Responses in Monocytes" Viruses 15, no. 6: 1292. https://doi.org/10.3390/v15061292
APA StyleKokinos, E. K., Tsymbal, S. A., Galochkina, A. V., Bezlepkina, S. A., Nikolaeva, J. V., Vershinina, S. O., Shtro, A. A., Tatarskiy, V. V., Shtil, A. A., Broude, E. V., Roninson, I. B., & Dukhinova, M. (2023). Inhibition of Cyclin-Dependent Kinases 8/19 Restricts Bacterial and Virus-Induced Inflammatory Responses in Monocytes. Viruses, 15(6), 1292. https://doi.org/10.3390/v15061292

