Comparison of Infectious Bronchitis Virus (IBV) Pathogenesis and Host Responses in Young Male and Female Chickens
Abstract
:1. Introduction
2. Materials and Methods
2.1. Virus
2.2. Experimental Animals
2.3. Sex Determination in Chickens
2.4. Experimental Design
2.5. Techniques
2.5.1. Enzyme-Linked Immunosorbent Assay (ELISA)
2.5.2. RNA Extraction and cDNA Synthesis
2.5.3. IBV Genome Load Quantification
2.5.4. Immunohistochemistry (IHC)
2.5.5. Histopathology
2.6. Statistical Analyses
3. Results
3.1. Clinical Manifestations
3.2. Anti-IBV Antibody Titer
3.3. Viral Shedding
3.4. IBV Genome Loads in Tissues
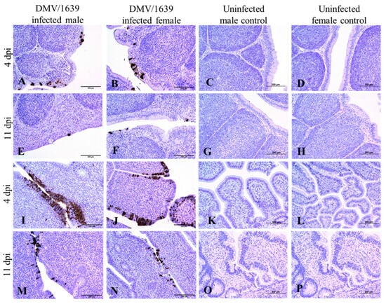
3.5. IBV Antigen in Tissues
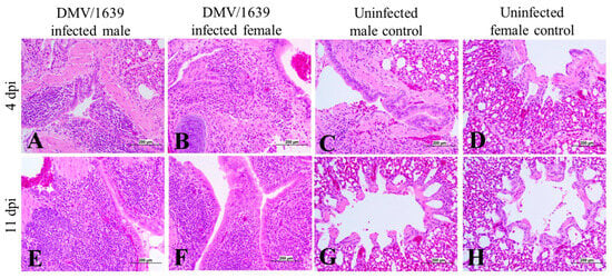
3.6. Histopathology
3.7. Immunohistochemical Staining of B (BU-1+) and T (CD+8) Cells
4. Discussion
Supplementary Materials
Author Contributions
Funding
Institutional Review Board Statement
Informed Consent Statement
Data Availability Statement
Acknowledgments
Conflicts of Interest
References
- Woo, P.C.Y.; de Groot, R.J.; Haagmans, B.; Lau, S.K.P.; Neuman, B.W.; Perlman, S.; Sola, I.; van der Hoek, L.; Wong, A.C.P.; Yeh, S.H. ICTV Virus Taxonomy Profile: Coronaviridae 2023. J. Gen. Virol. 2023, 104, 001843. [Google Scholar] [CrossRef]
- Schalk, A.F.; Hawn, M.C. An Apparently New Respiratory Disease of Baby Chicks. J. Am. Vet. Med. Assoc. 1931, 78, 413–423. [Google Scholar]
- Cavanagh, D.; Mawditt, K.; Welchman Dde, B.; Britton, P.; Gough, R.E. Coronaviruses from pheasants (Phasianus colchicus) are genetically closely related to coronaviruses of domestic fowl (infectious bronchitis virus) and turkeys. Avian Pathol. 2002, 31, 81–93. [Google Scholar] [CrossRef]
- TAFS-Forum. World Livestock Disease Atlas a Quantitative Analysis of Global Animal Health Data (2006–2009); The World Bank: Washington, DC, USA, 2011. [Google Scholar]
- Ambali, A.G.; Jones, R.C. Early pathogenesis in chicks of infection with an enterotropic strain of infectious bronchitis virus. Avian Dis. 1990, 34, 809–817. [Google Scholar] [CrossRef]
- Barnard, D.L. Coronaviruses: Molecular and Cellular Biology. Future Virol. 2008, 3, 119–123. [Google Scholar] [CrossRef]
- Wickramasinghe, I.N.; de Vries, R.P.; Gröne, A.; de Haan, C.A.; Verheije, M.H. Binding of avian coronavirus spike proteins to host factors reflects virus tropism and pathogenicity. J. Virol. 2011, 85, 8903–8912. [Google Scholar] [CrossRef]
- Bande, F.; Arshad, S.S.; Omar, A.R.; Bejo, M.H.; Abubakar, M.S.; Abba, Y. Pathogenesis and Diagnostic Approaches of Avian Infectious Bronchitis. Adv. Virol. 2016, 2016, 4621659. [Google Scholar] [CrossRef]
- Ignjatovic, J. Epidemiology of infectious bronchitis in Australia. In Proceedings of the 1st International Symposium on Infectious Bronchitis, Rauischholzhausen, Germany, 23–26 June 1988; p. 84. [Google Scholar]
- Isham, I.M.; Hassan, M.S.H.; Abd-Elsalam, R.M.; Ranaweera, H.A.; Mahmoud, M.E.; Najimudeen, S.M.; Ghaffar, A.; Cork, S.C.; Gupta, A.; Abdul-Careem, M.F. Impact of Maternal Antibodies on Infectious Bronchitis Virus (IBV) Infection in Primary and Secondary Lymphoid Organs of Chickens. Vaccines 2023, 11, 1216. [Google Scholar] [CrossRef]
- Najimudeen, S.M.; Abd-Elsalam, R.M.; Ranaweera, H.A.; Isham, I.M.; Hassan, M.S.H.; Farooq, M.; Abdul-Careem, M.F. Replication of infectious bronchitis virus (IBV) Delmarva (DMV)/1639 variant in primary and secondary lymphoid organs leads to immunosuppression in chickens. Virology 2023, 587, 109852. [Google Scholar] [CrossRef]
- Cubillos, A.; Ulloa, J.; Cubillos, V.; Cook, J.K. Characterisation of strains of infectious bronchitis virus isolated in Chile. Avian Pathol. 1991, 20, 85–99. [Google Scholar] [CrossRef]
- Raj, G.D.; Jones, R.C. An in vitro comparison of the virulence of seven strains of infectious bronchitis virus using tracheal and oviduct organ cultures. Avian Pathol. 1996, 25, 649–662. [Google Scholar] [CrossRef]
- Cook, J.K.; Huggins, M.B. Newly isolated serotypes of infectious bronchitis virus: Their role in disease. Avian Pathol. 1986, 15, 129–138. [Google Scholar] [CrossRef]
- Crinion, R.A.; Hofstad, M.S. Pathogenicity of four serotypes of avian infectious bronchitis virus for the oviduct of young chickens of various ages. Avian Dis. 1972, 16, 351–363. [Google Scholar] [CrossRef]
- Albassam, M.A.; Winterfield, R.W.; Thacker, H.L. Comparison of the nephropathogenicity of four strains of infectious bronchitis virus. Avian Dis. 1986, 30, 468–476. [Google Scholar] [CrossRef]
- Chandra, M. Comparative nephropathogenicity of different strains of infectious bronchitis virus in chickens. Poult Sci. 1987, 66, 954–959. [Google Scholar] [CrossRef]
- Cumming, R.B. The control of avian infectious bronchitis/nephrosis in Australia. Aust. Vet. J. 1969, 45, 200–203. [Google Scholar] [CrossRef]
- Hofmann, T.; Schmucker, S.S.; Bessei, W.; Grashorn, M.; Stefanski, V. Impact of Housing Environment on the Immune System in Chickens: A Review. Animals 2020, 10, 1138. [Google Scholar] [CrossRef]
- Animas, S.B.; Otsuki, K.; Tsubokura, M.; Cook, J.K. Comparison of the susceptibility of chicks of different ages to infection with nephrosis/nephritis-causing strain of infectious bronchitis virus. J. Vet. Med. Sci. 1994, 56, 449–453. [Google Scholar] [CrossRef]
- Macdonald, J.W.; Randall, C.J.; McMartin, D.A. An inverse age resistance of chicken kidneys to infectious bronchitis virus. Avian Pathol. 1980, 9, 245–259. [Google Scholar] [CrossRef]
- Bumstead, N.; Huggins, M.B.; Cook, J.K. Genetic differences in susceptibility to a mixture of avian infectious bronchitis virus and Escherichia coli. Br. Poult. Sci. 1989, 30, 39–48. [Google Scholar] [CrossRef]
- Nakamura, K.; Cook, J.K.; Otsuki, K.; Huggins, M.B.; Frazier, J.A. Comparative study of respiratory lesions in two chicken lines of different susceptibility infected with infectious bronchitis virus: Histology, ultrastructure and immunohistochemistry. Avian Pathol. 1991, 20, 241–257. [Google Scholar] [CrossRef]
- Leitner, G.; Heller, E.D.; Friedman, A. Sex-related differences in immune response and survival rate of broiler chickens. Vet Immunol. Immunopathol. 1989, 21, 249–260. [Google Scholar] [CrossRef]
- Younis, M.E.M.; Jaber, F.A.; Majrashi, K.A.; Ghoneim, H.A.; Shukry, M.; Shafi, M.E.; Albaqami, N.M.; Abd El-Hack, M.E.; Abo Ghanima, M.M. Impacts of synthetic androgen and estrogenic antagonist administration on growth performance, sex steroids hormones, and immune markers of male and female broilers. Poult. Sci. 2023, 102, 102244. [Google Scholar] [CrossRef]
- Lockyear, O.; Breedlove, C.; Joiner, K.; Toro, H. Distribution of Infectious Bronchitis Virus Resistance in a Naïve Chicken Population. Avian Dis. 2022, 66, 101–105. [Google Scholar] [CrossRef]
- Taneja, V. Sex Hormones Determine Immune Response. Front. Immunol. 2018, 9, 1931. [Google Scholar] [CrossRef]
- Ansar Ahmed, S.; Penhale, W.J.; Talal, N. Sex hormones, immune responses, and autoimmune diseases. Mechanisms of sex hormone action. Am. J. Pathol. 1985, 121, 531–551. [Google Scholar]
- Schuurs, A.H.; Verheul, H.A. Effects of gender and sex steroids on the immune response. J. Steroid Biochem. 1990, 35, 157–172. [Google Scholar] [CrossRef]
- Foo, Y.Z.; Nakagawa, S.; Rhodes, G.; Simmons, L.W. The effects of sex hormones on immune function: A meta-analysis. Biol. Rev. Camb. Philos. Soc. 2017, 92, 551–571. [Google Scholar] [CrossRef]
- Roved, J.; Westerdahl, H.; Hasselquist, D. Sex differences in immune responses: Hormonal effects, antagonistic selection, and evolutionary consequences. Horm. Behav. 2017, 88, 95–105. [Google Scholar] [CrossRef]
- Gagnon, C.A.; Bournival, V.; Koszegi, M.; Nantel-Fortier, N.; St-Sauveur, V.G.; Provost, C.; Lair, S. Quebec: Avian pathogens identification and genomic characterization: 2021 annual review of the Molecular Diagnostic Laboratory, Université de Montréal. Can. Vet. J. 2022, 63, 486–490. [Google Scholar]
- Hassan, M.S.H.; Ojkic, D.; Coffin, C.S.; Cork, S.C.; van der Meer, F.; Abdul-Careem, M.F. Delmarva (DMV/1639) Infectious Bronchitis Virus (IBV) Variants Isolated in Eastern Canada Show Evidence of Recombination. Viruses 2019, 11, 1054. [Google Scholar] [CrossRef]
- Hassan, M.S.H.; Ali, A.; Buharideen, S.M.; Goldsmith, D.; Coffin, C.S.; Cork, S.C.; van der Meer, F.; Boulianne, M.; Abdul-Careem, M.F. Pathogenicity of the Canadian Delmarva (DMV/1639) Infectious Bronchitis Virus (IBV) on Female Reproductive Tract of Chickens. Viruses 2021, 13, 2488. [Google Scholar] [CrossRef]
- Hassan, M.S.H.; Buharideen, S.M.; Ali, A.; Najimudeen, S.M.; Goldsmith, D.; Coffin, C.S.; Cork, S.C.; van der Meer, F.; Abdul-Careem, M.F. Efficacy of Commercial Infectious Bronchitis Vaccines against Canadian Delmarva (DMV/1639) Infectious Bronchitis Virus Infection in Layers. Vaccines 2022, 10, 1194. [Google Scholar] [CrossRef]
- Reed, L.J.; Muench, H. A simple method of estimating fifty per cent endpoints. Am. J. Epidemiol. 1938, 27, 493–497. [Google Scholar] [CrossRef]
- He, L.; Martins, P.; Huguenin, J.; Van, T.N.; Manso, T.; Galindo, T.; Gregoire, F.; Catherinot, L.; Molina, F.; Espeut, J. Simple, sensitive and robust chicken specific sexing assays, compliant with large scale analysis. PLoS ONE 2019, 14, e0213033. [Google Scholar] [CrossRef]
- Kameka, A.M.; Haddadi, S.; Kim, D.S.; Cork, S.C.; Abdul-Careem, M.F. Induction of innate immune response following infectious bronchitis corona virus infection in the respiratory tract of chickens. Virology 2014, 450–451, 114–121. [Google Scholar] [CrossRef]
- Hussein, E.A.; Hair-Bejo, M.; Adamu, L.; Omar, A.R.; Arshad, S.S.; Awad, E.A.; Aini, I. Scoring System for Lesions Induced by Different Strains of Newcastle Disease Virus in Chicken. Vet. Med. Int. 2018, 2018, 9296520. [Google Scholar] [CrossRef]
- Schindelin, J.; Arganda-Carreras, I.; Frise, E.; Kaynig, V.; Longair, M.; Pietzsch, T.; Preibisch, S.; Rueden, C.; Saalfeld, S.; Schmid, B.; et al. Fiji: An open-source platform for biological-image analysis. Nat. Methods 2012, 9, 676–682. [Google Scholar] [CrossRef]
- Sego, T.J.; Aponte-Serrano, J.O.; Ferrari Gianlupi, J.; Heaps, S.R.; Breithaupt, K.; Brusch, L.; Crawshaw, J.; Osborne, J.M.; Quardokus, E.M.; Plemper, R.K.; et al. A modular framework for multiscale, multicellular, spatiotemporal modeling of acute primary viral infection and immune response in epithelial tissues and its application to drug therapy timing and effectiveness. PLoS Comput. Biol. 2020, 16, e1008451. [Google Scholar] [CrossRef]
- Yang, W.; Liu, X.; Wang, X. The immune system of chicken and its response to H9N2 avian influenza virus. Vet. Q. 2023, 43, 1–14. [Google Scholar] [CrossRef]
- Boonham, N.; Kreuze, J.; Winter, S.; van der Vlugt, R.; Bergervoet, J.; Tomlinson, J.; Mumford, R. Methods in virus diagnostics: From ELISA to next generation sequencing. Virus Res. 2014, 186, 20–31. [Google Scholar] [CrossRef]
- Chousalkar, K.K.; Roberts, J.R.; Reece, R. Comparative histopathology of two serotypes of infectious bronchitis virus (T and n1/88) in laying hens and cockerels. Poult. Sci. 2007, 86, 50–58. [Google Scholar] [CrossRef]
- Klein, D. Quantification using real-time PCR technology: Applications and limitations. Trends Mol. Med. 2002, 8, 257–260. [Google Scholar] [CrossRef]
- Eyzaguirre, E.; Haque, A.K. Application of immunohistochemistry to infections. Arch. Pathol. Lab. Med. 2008, 132, 424–431. [Google Scholar] [CrossRef]
- Awan, M.S.; Irfan, B.; Zahid, I.; Mirza, Y.; Ali, S.A. Comparison of Polymerase Chain Reaction and Immunohistochemistry Assays for Analysing Human Papillomavirus Infection in Oral Squamous Cell Carcinoma. J. Clin. Diagn. Res. 2017, 11, Xc10–Xc13. [Google Scholar] [CrossRef]
- Suárez-Lledó, M.; Marcos, M.; Cuatrecasas, M.; Bombi, J.A.; Fernández-Avilés, F.; Magnano, L.; Martínez-Cibrián, N.; Llobet, N.; Rosiñol, L.; Gutiérrez-García, G.; et al. Quantitative PCR Is Faster, More Objective, and More Reliable Than Immunohistochemistry for the Diagnosis of Cytomegalovirus Gastrointestinal Disease in Allogeneic Stem Cell Transplantation. Biol. Blood Marrow Transplant. 2019, 25, 2281–2286. [Google Scholar] [CrossRef]
- Raj, G.D.; Jones, R.C. Immunopathogenesis of infection in SPF chicks and commercial broiler chickens of a variant infectious bronchitis virus of economic importance. Avian Pathol. 1996, 25, 481–501. [Google Scholar] [CrossRef]
- van Ginkel, F.W.; Padgett, J.; Martinez-Romero, G.; Miller, M.S.; Joiner, K.S.; Gulley, S.L. Age-dependent immune responses and immune protection after avian coronavirus vaccination. Vaccine 2015, 33, 2655–2661. [Google Scholar] [CrossRef]
- Gonzales-Viera, O.; Crossley, B.; Carvallo-Chaigneau, F.R.; Blair, E.R.; Rejmanek, D.; Erdoǧan-Bamac, Ő.; Sverlow, K.; Figueroa, A.; Gallardo, R.A.; Mete, A. Infectious Bronchitis Virus Prevalence, Characterization, and Strain Identification in California Backyard Chickens. Avian Dis. 2021, 65, 188–197. [Google Scholar] [CrossRef]
- Farsang, A.; Bódi, I.; Fölker, O.; Minkó, K.; Benyeda, Z.; Bálint, Á.; Kiss, A.L.; Oláh, I. Coronavirus infection retards the development of the cortico-medullary capillary network in the bursa of Fabricius of chicken. Acta Vet. Hung 2018, 66, 20–27. [Google Scholar] [CrossRef]
- Pei, J.; Briles, W.E.; Collisson, E.W. Memory T cells protect chicks from acute infectious bronchitis virus infection. Virology 2003, 306, 376–384. [Google Scholar] [CrossRef]
- Kotani, T.; Wada, S.; Tsukamoto, Y.; Kuwamura, M.; Yamate, J.; Sakuma, S. Kinetics of lymphocytic subsets in chicken tracheal lesions infected with infectious bronchitis virus. J. Vet. Med. Sci. 2000, 62, 397–401. [Google Scholar] [CrossRef]
- Najimudeen, S.; Barboza-Solis, C.; Ali, A.; Buharideen, S.M.; Isham, I.M.; Hassan, M.S.H.; Ojkic, D.; Van Marle, G.; Cork, S.C.; van der Meer, F.; et al. Pathogenesis and host responses in lungs and kidneys following Canadian 4/91 infectious bronchitis virus (IBV) infection in chickens. Virology 2022, 566, 75–88. [Google Scholar] [CrossRef]














Disclaimer/Publisher’s Note: The statements, opinions and data contained in all publications are solely those of the individual author(s) and contributor(s) and not of MDPI and/or the editor(s). MDPI and/or the editor(s) disclaim responsibility for any injury to people or property resulting from any ideas, methods, instructions or products referred to in the content. |
© 2023 by the authors. Licensee MDPI, Basel, Switzerland. This article is an open access article distributed under the terms and conditions of the Creative Commons Attribution (CC BY) license (https://creativecommons.org/licenses/by/4.0/).
Share and Cite
Isham, I.M.; Abd-Elsalam, R.M.; Mahmoud, M.E.; Najimudeen, S.M.; Ranaweera, H.A.; Ali, A.; Hassan, M.S.H.; Cork, S.C.; Gupta, A.; Abdul-Careem, M.F. Comparison of Infectious Bronchitis Virus (IBV) Pathogenesis and Host Responses in Young Male and Female Chickens. Viruses 2023, 15, 2285. https://doi.org/10.3390/v15122285
Isham IM, Abd-Elsalam RM, Mahmoud ME, Najimudeen SM, Ranaweera HA, Ali A, Hassan MSH, Cork SC, Gupta A, Abdul-Careem MF. Comparison of Infectious Bronchitis Virus (IBV) Pathogenesis and Host Responses in Young Male and Female Chickens. Viruses. 2023; 15(12):2285. https://doi.org/10.3390/v15122285
Chicago/Turabian StyleIsham, Ishara M., Reham M. Abd-Elsalam, Motamed E. Mahmoud, Shahnas M. Najimudeen, Hiruni A. Ranaweera, Ahmed Ali, Mohamed S. H. Hassan, Susan C. Cork, Ashish Gupta, and Mohamed Faizal Abdul-Careem. 2023. "Comparison of Infectious Bronchitis Virus (IBV) Pathogenesis and Host Responses in Young Male and Female Chickens" Viruses 15, no. 12: 2285. https://doi.org/10.3390/v15122285
APA StyleIsham, I. M., Abd-Elsalam, R. M., Mahmoud, M. E., Najimudeen, S. M., Ranaweera, H. A., Ali, A., Hassan, M. S. H., Cork, S. C., Gupta, A., & Abdul-Careem, M. F. (2023). Comparison of Infectious Bronchitis Virus (IBV) Pathogenesis and Host Responses in Young Male and Female Chickens. Viruses, 15(12), 2285. https://doi.org/10.3390/v15122285

