Development of a Competitive Enzyme-Linked Immunosorbent Assay Targeting the-p30 Protein for Detection of Antibodies against African Swine Fever Virus
Abstract
1. Introduction
2. Materials and Methods
2.1. Expression and Purification of Recombinant p30 in Escherichia coli
2.2. Production of p30 Monoclonal Antibody
2.3. Indirect ELISA
2.4. Solid Phase Blocking ELISA (bELISA)
2.5. Mapping of Epitope and Alignment of p30 Protein
2.6. Preparation of the HRP-Labeled mAb Conjugate
2.7. Serum Panel
2.8. Solid Phase Competitive ELISA (cELISA)
2.9. Assessment of cELISA Specificity and Repeatability
2.10. Detection Antibody in ASFV-Positive Standard Serum
2.11. Data Analysis
3. Results
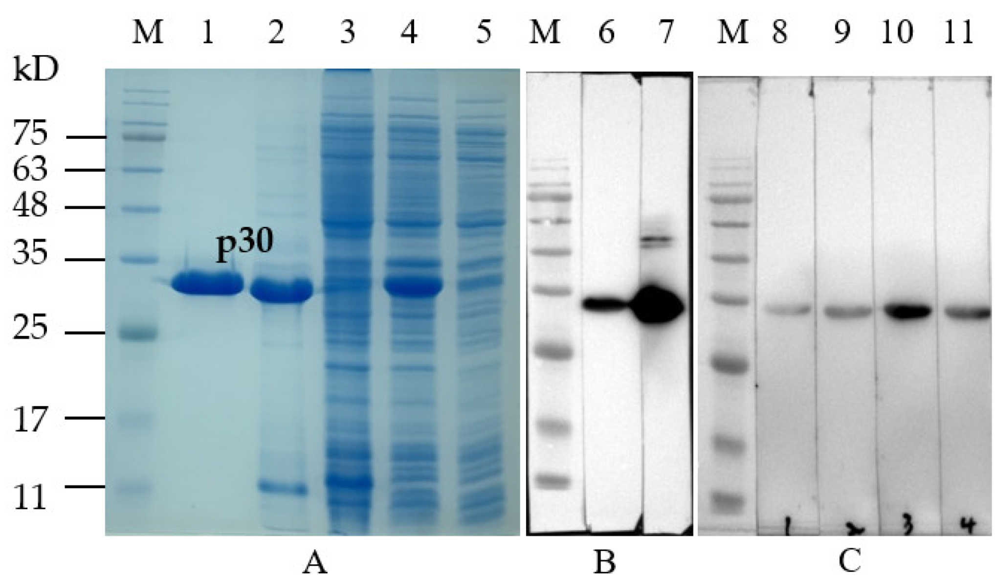
3.1. Expression of Recombinant p30 Protein
3.2. Production of mAbs against p30 of ASFV
3.3. Assessing Potential of mAbs as Reagent in bELISA
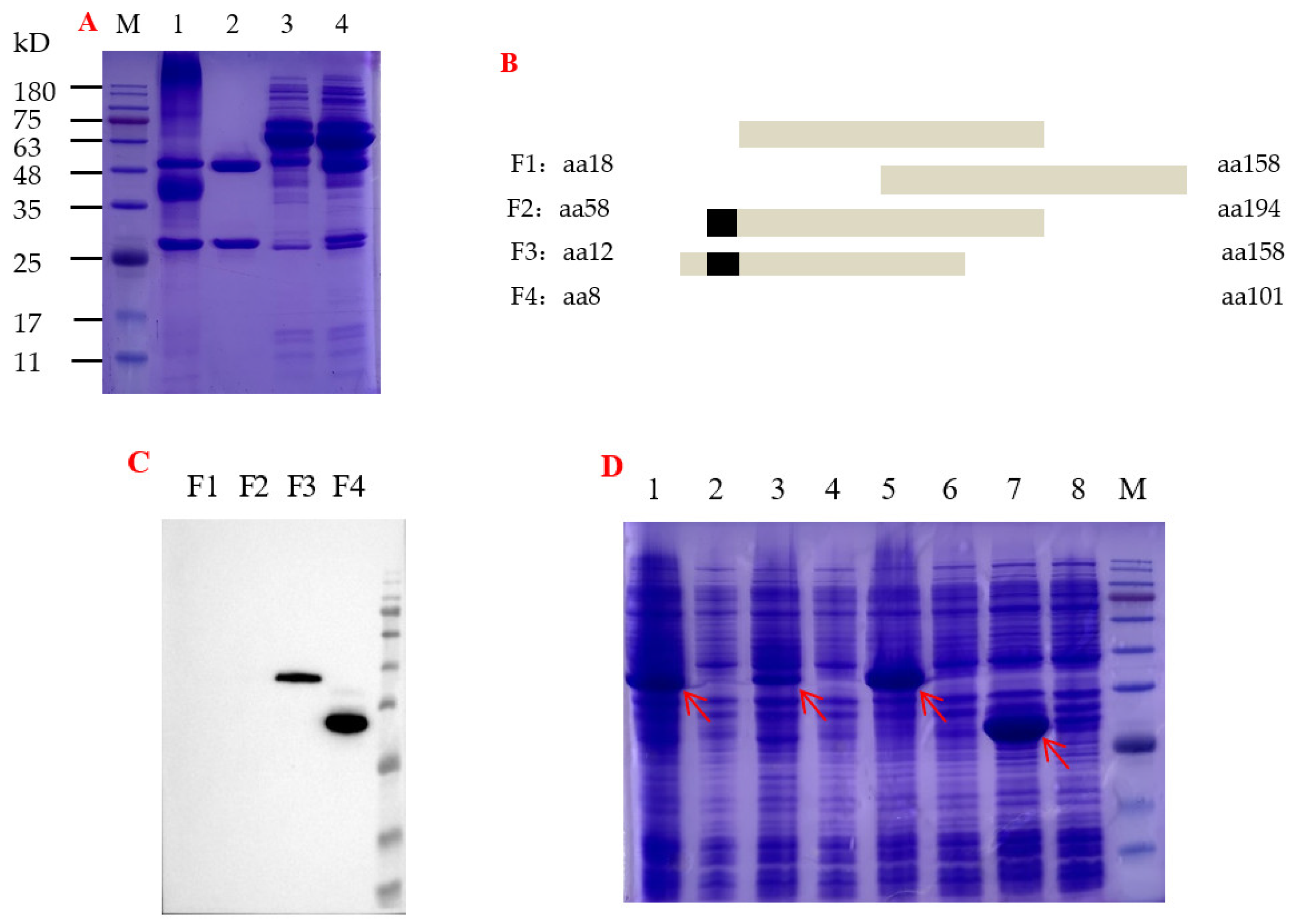
3.4. Preparation of the HRP-Labeled mAb-2B4 and Its Antigenic Epitope Screening
3.5. Establishment of cELISA Based on HRP-Labeled mAb-2B4
3.6. Assessment of cELISA Specificity and Repeatability
3.7. Analytical Sensitivity of the cELISA
4. Discussion
Supplementary Materials
Author Contributions
Funding
Institutional Review Board Statement
Informed Consent Statement
Data Availability Statement
Conflicts of Interest
References
- Arzt, J.; White, W.R.; Thomsen, B.V.; Brown, C.C. Agricultural diseases on the move early in the third millennium. Vet. Pathol. 2010, 47, 15–27. [Google Scholar] [CrossRef] [PubMed]
- Blome, S.; Franzke, K.; Beer, M. African swine fever—A review of current knowledge. Virus Res. 2020, 287, 198099. [Google Scholar] [CrossRef] [PubMed]
- Costard, S.; Mur, L.; Lubroth, J.; Sanchez-Vizcaino, J.M.; Pfeiffer, D.U. Epidemiology of African swine fever virus. Virus Res. 2013, 173, 191–197. [Google Scholar] [CrossRef] [PubMed]
- Mazur-Panasiuk, N.; Zmudzki, J.; Wozniakowski, G. African Swine Fever Virus—Persistence in Different Environmental Conditions and the Possibility of its Indirect Transmission. J. Vet. Res. 2019, 63, 303–310. [Google Scholar] [CrossRef] [PubMed]
- Yuan, F.; Petrovan, V.; Gimenez-Lirola, L.G.; Zimmerman, J.J.; Rowland, R.R.; Fang, Y. Development of a Blocking Enzyme-Linked Immunosorbent Assay for Detection of Antibodies against African Swine Fever Virus. Pathogens 2021, 10, 760. [Google Scholar] [CrossRef]
- Bellini, S.; Rutili, D.; Guberti, V. Preventive measures aimed at minimizing the risk of African swine fever virus spread in pig farming systems. Acta Vet. Scand. 2016, 58, 82. [Google Scholar] [CrossRef]
- OIE Technical Disease Card: African Swine Fever. Available online: https://www.woah.org/en/document/african_swine_fever/ (accessed on 20 June 2022).
- Ge, S.; Li, J.; Fan, X.; Liu, F.; Li, L.; Wang, Q.; Ren, W.; Bao, J.; Liu, C.; Wang, H.; et al. Molecular Characterization of African Swine Fever Virus, China, 2018. Emerg. Infect. Dis. 2018, 24, 2131–2133. [Google Scholar] [CrossRef]
- Sun, E.; Zhang, Z.; Wang, Z.; He, X.; Zhang, X.; Wang, L.; Wang, W.; Huang, L.; Xi, F.; Huangfu, H.; et al. Emergence and prevalence of naturally occurring lower virulent African swine fever viruses in domestic pigs in China in 2020. Sci. China Life Sci. 2021, 64, 752–765. [Google Scholar] [CrossRef]
- Sun, E.; Huang, L.; Zhang, X.; Zhang, J.; Shen, D.; Zhang, Z.; Wang, Z.; Huo, H.; Wang, W.; Huangfu, H.; et al. Genotype I African swine fever viruses emerged in domestic pigs in China and caused chronic infection. Emerg. Microbes Infect. 2021, 10, 2183–2193. [Google Scholar] [CrossRef]
- Ata, E.B.; Li, Z.J.; Shi, C.W.; Yang, G.L.; Yang, W.T.; Wang, C.F. African swine fever virus: A raised global upsurge and a continuous threaten to pig husbandry. Microb. Pathog. 2022, 167, 105561. [Google Scholar] [CrossRef]
- Pastor, M.J.; Laviada, M.D.; Sanchez-Vizcaino, J.M.; Escribano, J.M. Detection of African swine fever virus antibodies by immunoblotting assay. Can. J. Vet. Res. 1989, 53, 105–107. [Google Scholar]
- Zhao, H.; Ren, J.; Wu, S.; Guo, H.; Du, Y.; Wan, B.; Ji, P.; Wu, Y.; Zhuang, G.; Zhang, A.; et al. HRP-conjugated- nanobody-based cELISA for rapid and sensitive clinical detection of ASFV antibodies. Appl. Microbiol. Biotechnol. 2022, 106, 4269–4285. [Google Scholar] [CrossRef]
- Perez-Filgueira, D.M.; Gonzalez-Camacho, F.; Gallardo, C.; Resino-Talavan, P.; Blanco, E.; Gomez-Casado, E.; Alonso, C.; Escribano, J.M. Optimization and validation of recombinant serological tests for African Swine Fever diagnosis based on detection of the p30 protein produced in Trichoplusia ni larvae. J. Clin. Microbiol. 2006, 44, 3114–3121. [Google Scholar] [CrossRef]
- Tesfagaber, W.; Wang, L.; Tsegay, G.; Hagoss, Y.T.; Zhang, Z.; Zhang, J.; Huangfu, H.; Xi, F.; Li, F.; Sun, E.; et al. Characterization of Anti-p54 Monoclonal Antibodies and Their Potential Use for African Swine Fever Virus Diagnosis. Pathogens 2021, 10, 178. [Google Scholar] [CrossRef]
- Caixia, W.; Songyin, Q.; Ying, X.; Haoyang, Y.; Haoxuan, L.; Shaoqiang, W.; Chunyan, F.; Xiangmei, L. Development of a Blocking ELISA Kit for Detection of ASFV Antibody Based on a Monoclonal Antibody Against Full-Length p72. J. AOAC Int. 2022, 105, 1428–1436. [Google Scholar] [CrossRef]
- Cubillos, C.; Gomez-Sebastian, S.; Moreno, N.; Nunez, M.C.; Mulumba-Mfumu, L.K.; Quembo, C.J.; Heath, L.; Etter, E.M.; Jori, F.; Escribano, J.M.; et al. African swine fever virus serodiagnosis: A general review with a focus on the analyses of African serum samples. Virus Res. 2013, 173, 159–167. [Google Scholar] [CrossRef]
- Yu, X.; Zhu, X.; Chen, X.; Li, D.; Xu, Q.; Yao, L.; Sun, Q.; Ghonaim, A.H.; Ku, X.; Fan, S.; et al. Establishment of a Blocking ELISA Detection Method for Against African Swine Fever Virus p30 Antibody. Front. Vet. Sci. 2021, 8, 781373. [Google Scholar] [CrossRef]
- Wen, X.; He, X.; Zhang, X.; Liu, L.; Guan, Y.; Zhang, Y.; Bu, Z. Genome sequences derived from pig and dried blood pig feed samples provide important insights into the transmission of African swine fever virus in China in 2018. Emerg. Microbes Infect. 2019, 8, 303–306. [Google Scholar] [CrossRef]
- Petrovan, V.; Yuan, F.; Li, Y.; Shang, P.; Murgia, M.V.; Misra, S.; Rowland, R.R.R.; Fang, Y. Development and characterization of monoclonal antibodies against p30 protein of African swine fever virus. Virus Res. 2019, 269, 197632. [Google Scholar] [CrossRef]
- Zhang, X.; Liu, X.; Wu, X.; Ren, W.; Zou, Y.; Xia, X.; Sun, H. A colloidal gold test strip assay for the detection of African swine fever virus based on two monoclonal antibodies against P30. Arch. Virol. 2021, 166, 871–879. [Google Scholar] [CrossRef]
- Yang, H. Animal Immunology, 2nd ed.; China Agricultural University Press: Beijing, China, 2003; pp. 309–312. [Google Scholar]
- Wang, L.; Mi, S.; Madera, R.; Ganges, L.; Borca, M.V.; Ren, J.; Cunningham, C.; Cino-Ozuna, A.G.; Li, H.; Tu, C.; et al. A neutralizing monoclonal antibody-based competitive ELISA for classical swine fever C-strain post-vaccination monitoring. BMC Vet. Res. 2020, 16, 14. [Google Scholar] [CrossRef] [PubMed]
- Teklue, T.; Sun, Y.; Abid, M.; Luo, Y.; Qiu, H.J. Current status and evolving approaches to African swine fever vaccine development. Transbound. Emerg. Dis. 2020, 67, 529–542. [Google Scholar] [CrossRef] [PubMed]
- Gallardo, C.; Nieto, R.; Soler, A.; Pelayo, V.; Fernandez-Pinero, J.; Markowska-Daniel, I.; Pridotkas, G.; Nurmoja, I.; Granta, R.; Simon, A.; et al. Assessment of African Swine Fever Diagnostic Techniques as a Response to the Epidemic Outbreaks in Eastern European Union Countries: How To Improve Surveillance and Control Programs. J. Clin. Microbiol. 2015, 53, 2555–2565. [Google Scholar] [CrossRef] [PubMed]
- Jia, N.; Ou, Y.; Pejsak, Z.; Zhang, Y.; Zhang, J. Roles of African Swine Fever Virus Structural Proteins in Viral Infection. J. Vet. Res. 2017, 61, 135–143. [Google Scholar] [CrossRef]
- Murgia, M.V.; Mogler, M.; Certoma, A.; Green, D.; Monaghan, P.; Williams, D.T.; Rowland, R.R.R.; Gaudreault, N.N. Evaluation of an African swine fever (ASF) vaccine strategy incorporating priming with an alphavirus-expressed antigen followed by boosting with attenuated ASF virus. Arch. Virol. 2019, 164, 359–370. [Google Scholar] [CrossRef]
- Wu, P.; Lowe, A.D.; Rodriguez, Y.Y.; Murgia, M.V.; Dodd, K.A.; Rowland, R.R.; Jia, W. Antigenic regions of African swine fever virus phosphoprotein P30. Transbound. Emerg. Dis. 2020, 67, 1942–1953. [Google Scholar] [CrossRef]
- Cao, S.; Lu, H.; Wu, Z.; Zhu, S. A duplex fluorescent quantitative PCR assay to distinguish the genotype I and II strains of African swine fever virus in Chinese epidemic strains. Front. Vet. Sci. 2022, 9, 1475. [Google Scholar] [CrossRef]
- Li, X.; Hu, Y.; Liu, P.; Zhu, Z.; Chen, C.; Wu, X. Development and application of a duplex real-time PCR assay for differentiation of genotypes I and II African swine fever viruses. Transbound. Emerg. Dis. 2022, 69, 2971–2979. [Google Scholar] [CrossRef]
- Gao, Q.; Feng, Y.; Yang, Y.; Luo, Y.; Gong, T.; Wang, H.; Gong, L.; Zhang, G.; Zheng, Z. Establishment of a Dual Real-Time PCR Assay for the Identification of African Swine Fever Virus Genotypes I and II in China. Front. Vet. Sci. 2022, 9, 627. [Google Scholar] [CrossRef]
- Yang, H.; Peng, Z.; Song, W.; Zhang, C.; Fan, J.; Chen, H.; Hua, L.; Pei, J.; Tang, X.; Wu, B. A triplex real-time PCR method to detect African swine fever virus gene-deleted and wild type strains. Front. Vet. Sci. 2022, 9, 1425. [Google Scholar] [CrossRef]
- Song, R.; Liu, P.; Yang, Y.; Lee, H.S.; Chen, C.; Wu, X.; Li, X. Development of a Duplex Insulated Isothermal PCR Assay for Rapid On-Site Detection and Differentiation of Genotypes 1 and 2 of African Swine Fever Virus. Front. Cell Infect. Microbiol. 2022, 12, 961. [Google Scholar] [CrossRef]
- Castro, C.; Gourley, M. Diagnostic testing and interpretation of tests for autoimmunity. J. Allergy Clin. Immunol. 2010, 125 (Suppl. S2), S238–S247. [Google Scholar] [CrossRef]
- Krasowski, M.D. Educational Case: Hemolysis and Lipemia Interference With Laboratory Testing. Acad. Pathol. 2019, 6, 2374289519888754. [Google Scholar] [CrossRef]
- Oura, C.A.; Edwards, L.; Batten, C.A. Virological diagnosis of African swine fever--comparative study of available tests. Virus Res. 2013, 173, 150–158. [Google Scholar] [CrossRef]







| Monoclonal Antibodies | ||||
|---|---|---|---|---|
| 1F2 | 1D11 | 2B4 | 2H11 | |
| Ig subclass | IgG1 | IgG1 | IgG1 | IgG1 |
| Light chain type | κ | κ | κ | κ |
| Sera | Intra-Assay | Inter-Assay | ||||
|---|---|---|---|---|---|---|
| Mean OD | SD | CV% | Mean OD | SD | CV% | |
| 1 | 0.145 | 0.005 | 3.4 | 0.145 | 0.012 | 8.1 |
| 2 | 0.172 | 0.010 | 6.0 | 0.167 | 0.013 | 7.7 |
| 3 | 0.187 | 0.005 | 2.4 | 0.206 | 0.017 | 8.3 |
| 4 | 0.574 | 0.019 | 3.3 | 0.551 | 0.037 | 6.7 |
| 5 | 0.528 | 0.023 | 4.4 | 0.579 | 0.025 | 4.3 |
| 6 | 0.513 | 0.020 | 3.8 | 0.537 | 0.021 | 3.8 |
| 7 | 0.997 | 0.028 | 2.9 | 0.940 | 0.012 | 1.3 |
| 8 | 1.033 | 0.035 | 3.4 | 0.992 | 0.023 | 2.3 |
Disclaimer/Publisher’s Note: The statements, opinions and data contained in all publications are solely those of the individual author(s) and contributor(s) and not of MDPI and/or the editor(s). MDPI and/or the editor(s) disclaim responsibility for any injury to people or property resulting from any ideas, methods, instructions or products referred to in the content. |
© 2023 by the authors. Licensee MDPI, Basel, Switzerland. This article is an open access article distributed under the terms and conditions of the Creative Commons Attribution (CC BY) license (https://creativecommons.org/licenses/by/4.0/).
Share and Cite
Zhou, J.; Ni, Y.; Wang, D.; Fan, B.; Zhu, X.; Zhou, J.; Hu, Y.; Li, L.; Li, B. Development of a Competitive Enzyme-Linked Immunosorbent Assay Targeting the-p30 Protein for Detection of Antibodies against African Swine Fever Virus. Viruses 2023, 15, 154. https://doi.org/10.3390/v15010154
Zhou J, Ni Y, Wang D, Fan B, Zhu X, Zhou J, Hu Y, Li L, Li B. Development of a Competitive Enzyme-Linked Immunosorbent Assay Targeting the-p30 Protein for Detection of Antibodies against African Swine Fever Virus. Viruses. 2023; 15(1):154. https://doi.org/10.3390/v15010154
Chicago/Turabian StyleZhou, Junming, Yanxiu Ni, Dandan Wang, Baochao Fan, Xuejiao Zhu, Jinzhu Zhou, Yiyi Hu, Li Li, and Bin Li. 2023. "Development of a Competitive Enzyme-Linked Immunosorbent Assay Targeting the-p30 Protein for Detection of Antibodies against African Swine Fever Virus" Viruses 15, no. 1: 154. https://doi.org/10.3390/v15010154
APA StyleZhou, J., Ni, Y., Wang, D., Fan, B., Zhu, X., Zhou, J., Hu, Y., Li, L., & Li, B. (2023). Development of a Competitive Enzyme-Linked Immunosorbent Assay Targeting the-p30 Protein for Detection of Antibodies against African Swine Fever Virus. Viruses, 15(1), 154. https://doi.org/10.3390/v15010154

