Viral Haemorrhagic Septicemia Virus (VHSV) Isolated from Atlantic Herring, Clupea harengus, Causes Mortality in Bath Challenge on Juvenile Herring
Abstract
1. Introduction
2. Materials and Methods
2.1. Challenge Material
2.2. Fish and Experimental Design
2.3. Tissue Sampling
2.4. Detection of Virus
2.5. Bacteriology
3. Results
3.1. Clinical Disease and Mortality
3.2. rt-RT-PCR
3.3. Cultivation of VHSV
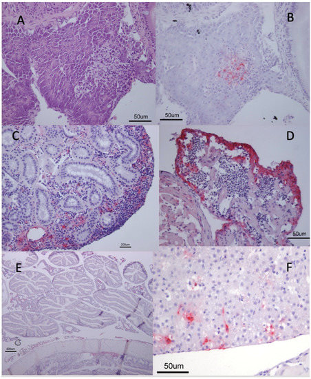
3.4. Histology and Immunohistochemistry
4. Discussion
Author Contributions
Funding
Institutional Review Board Statement
Informed Consent Statement
Data Availability Statement
Conflicts of Interest
References
- OIE. Infection with Viral Haemorrhagic Septicaemia Virus. In Manual of Diagnostic Tests for Aquatic Animals; The World Organisation for Animal Health: Paris, France, 2021; Available online: https://www.woah.org/fileadmin/Home/eng/Health_standards/aahm/current/2.3.10_VHS.pdf (accessed on 25 October 2022).
- Meyers, T.R.; Short, S.; Lipson, K.; Batts, W.N.; Winton, J.R.; Willcock, J.; Brown, E. Association of viral hemorrhagic septicemia virus with epizootic hemorrhages of the skin in Pacific herring Clupea harengus pallasi from Prince William Sound and Kodiak Island, Alaska, USA. Dis. Aquat. Org. 1994, 38, 81–86. [Google Scholar] [CrossRef] [PubMed]
- Hedrick, R.P.; Batts, W.N.; Yun, S.; Traxler, G.S.; Kaufman, J.; Winton, J.R. Host and geographic range extensions of the North American strain of viral hemorrhagic septicemia virus. Dis. Aquat. Org. 2003, 55, 211–220. [Google Scholar] [CrossRef] [PubMed]
- Elsayed, E.; Faisal, M.; Thomas, M.; Whelan, G.; Batts, W.; Winton, J. Isolation of viral haemorrhagic septicaemia virus from muskellunge, Esox masquinongy (Mitchill), in Lake St. Clair, Michigan, USA reveals a new sublineage of the North American genotype. J. Fish Dis. 2006, 29, 611–619. [Google Scholar] [CrossRef] [PubMed]
- Groocock, G.H.; Getchell, R.G.; Wooster, G.A.; Britt, K.L.; Batts, W.N.; Winton, J.R.; Casey, R.N.; Casey, J.W.; Bowser, P.R. Detection of viral hemorrhagic septicemia in round gobies in New Yourk State (USA) waters of lake Ontario and the St. Lawrence River. Dis. Aquat. Org. 2007, 76, 187–192. [Google Scholar] [CrossRef] [PubMed]
- Elston, R.A.; Meyers, T.R. Effect of viral hemorrhagic septicemia virus on Pacific herring in Prince William Sound, Alaska, from 1989 to 2005. Dis. Aquat. Org. 2009, 83, 223–246. [Google Scholar] [CrossRef] [PubMed]
- VHSV Expert Panel and Working Group. Viral hemorrhagic septicemia virus (VHSV IVb) risk factors and association measures derived by expert panel. Prev. Vet. Med. 2010, 94, 128–139. [Google Scholar] [CrossRef]
- Kocan, R.; Bradley, M.; Elder, N.; Meyers, T.R.; Batts, W.N.; Winton, J.R. North American strain of viral hemorrhagic septicemia virus is highly pathogenic for laboratory-reared Pacific herring. J. Aquat. Anim. Health 1997, 9, 279–290. [Google Scholar] [CrossRef]
- Hershberger, P.K.; Gregg, J.; Pacheco, C.; Winton, J.; Traxler, G. Larval Pacific herring, Clupea pallasii (Valenciennes) are highly susceptible to viral haemorrhagic septicaemia and survivors are partially protected after their metamorphosis to juveniles. J. Fish Dis. 2007, 30, 445–458. [Google Scholar] [CrossRef]
- Hershberger, P.K.; MacKenzie, A.H.; Gregg, J.L.; Wilmot, M.D.; Powers, R.L.; Purcell, M.K. Long-term shedding from fully convalesced individuals indicates that Pacific herring are a reservoir for viral hemorrhagic septicemia virus. Dis. Aquat. Org. 2021, 144, 245–252. [Google Scholar] [CrossRef]
- Escobar, L.E.; Escobar-Dodero, J.; Phelps, N.B.D. Infectious disease in fish: Global risk of viral hemorrhagic septicemia. Rev. Fish Biol. Fish. 2018, 28, 637–655. [Google Scholar] [CrossRef]
- Brudeseth, B.E.; Evensen, Ø. Occurence of viral hemorrhagic septicaemia virus in wild marine fish species in the coastal regions of Norway. Dis. Aquat. Sci. 2002, 52, 21–28. [Google Scholar] [CrossRef] [PubMed][Green Version]
- Skall, H.F.; Olesen, N.J.; Mellergaard, S. Prevalence of viral haemorrhagic septicaemia virus in Danish marine fishes and its occurrence in new host species. Dis. Aquat. Sci. 2005, 66, 145–151. [Google Scholar] [CrossRef] [PubMed]
- Skall, H.F.; Olesen, N.J.; Mellergaard, S. Viral haemorrhagic septicaemia virus in marine fish and its implications for fish farming—A review. J. Fish Dis. 2005, 28, 509–529. [Google Scholar] [CrossRef]
- Mortensen, H.F.; Heuer, O.E.; Lorenzen, N.; Otte, L.; Olesen, N.J. Isolation of viral haemorrhagic septicaemia virus (VHSV) from wild marine fish species in the Baltic Sea, Kattegat, Skagerrak and the North Sea. Virus Res. 1999, 63, 95–106. [Google Scholar] [CrossRef] [PubMed]
- Sandlund, N.; Gjerset, B.; Bergh, Ø.; Modahl, I.; Olesen, N.J.; Johansen, R. Screening for viral hemorrhagic septicemia virus in marine fish along the Norwegian coastal line. PLoS ONE 2014, 9, e108529. [Google Scholar] [CrossRef] [PubMed][Green Version]
- Johansen, R.; Bergh, Ø.; Modahl, I.; Dahle, G.; Gjerset, B.; Holst, J.C.; Sandlund, N. High prevalence of viral haemorrhagic septicaemia virus (VHSV) in Norwegian spring-spawning herring. Mar. Ecol. Prog. Ser. 2013, 478, 223. [Google Scholar] [CrossRef]
- Hershberger, P.K.; Gregg, J.L.; Grady, C.A.; Taylor, L.; Winton, J.R. Chronic and persistent viral hemorrhagic septicemia virus infections in Pacific herring. Dis. Aquat. Org. 2010, 93, 43–49. [Google Scholar] [CrossRef]
- Dickey-Collas, M.; Nash, R.D.M.; Brunel, T.; van Damme, C.J.G.; Marshall, T.; Payne, M.R.; Corten, A.; Geffen, A.J.; Peck, M.A.; Hatfield, E.M.C.; et al. Lessons learned from stock collapse and recovery of North Sea herring: A review. ICES J. Mar.Sci. 2010, 67, 1875–1886. [Google Scholar] [CrossRef]
- Lorenzen, N.; Olesen, N.J.; Jørgensen, P.E.V. Production and characterization of monoclonal antibodies to four Egtved virus structural proteins. Dis. Aquat. Org. 1988, 4, 35–42. [Google Scholar] [CrossRef]
- Dale, O.B.; Ørpetveit, I.; Lyngstad, T.M.; Kahns, S.; Skall, H.F.; Olesen, N.J.; Dannevig, B.H. Outbreak of viral haemorrhagic septicaemia (VHS) in seawater-farmed rainbow trout in Norway caused by VHS virus Genotype III. Dis. Aquat. Org. 2009, 85, 93–103. [Google Scholar] [CrossRef]
- Jonstrup, S.P.; Kahns, S.; Skall, H.F.; Boutrup, T.S.; Olesen, N.J. Development and validation of a novel Taqman-based real-time RT-PCR assay suitable for demonstrating freedom from viral haemorrhagic septicaemia virus. J. Fish Dis. 2013, 36, 9–23. [Google Scholar] [CrossRef] [PubMed]
- OIE. Viral haemorrhagic septicaemia. In Manual of Diagnostic Tests for Aquatic Animals; The World Organisation for Animal Health: Paris, France, 2009; Available online: www.oie.int/fileadmin/Home/eng/Internationa_Standard_Setting/docs/pdf/2.3.09.VHS.pdf (accessed on 25 October 2022).




| Days Post Challenge | VHSV DK-4p168 (Genotype III) | VHSV NO-F-CH/2009 (Genotype Ib) |
|---|---|---|
| 1 * | 0/5 | 0/5 |
| 5 * | 0/5 | 0/5 |
| 7 | 1/5 | 4/5 |
| 11 * | 2/10 | 9/10 |
| 21 rt-RT-PCR 21 Cell culture | 3/5 (2/5) | 4/4 4/4 |
| 30 rt-RT-PCR 30 Cell culture | 8/9 7/9 | 8/8 7/9 |
Disclaimer/Publisher’s Note: The statements, opinions and data contained in all publications are solely those of the individual author(s) and contributor(s) and not of MDPI and/or the editor(s). MDPI and/or the editor(s) disclaim responsibility for any injury to people or property resulting from any ideas, methods, instructions or products referred to in the content. |
© 2023 by the authors. Licensee MDPI, Basel, Switzerland. This article is an open access article distributed under the terms and conditions of the Creative Commons Attribution (CC BY) license (https://creativecommons.org/licenses/by/4.0/).
Share and Cite
Bergh, Ø.; Boutrup, T.S.; Johansen, R.; Skall, H.F.; Sandlund, N.; Olesen, N.J. Viral Haemorrhagic Septicemia Virus (VHSV) Isolated from Atlantic Herring, Clupea harengus, Causes Mortality in Bath Challenge on Juvenile Herring. Viruses 2023, 15, 152. https://doi.org/10.3390/v15010152
Bergh Ø, Boutrup TS, Johansen R, Skall HF, Sandlund N, Olesen NJ. Viral Haemorrhagic Septicemia Virus (VHSV) Isolated from Atlantic Herring, Clupea harengus, Causes Mortality in Bath Challenge on Juvenile Herring. Viruses. 2023; 15(1):152. https://doi.org/10.3390/v15010152
Chicago/Turabian StyleBergh, Øivind, Torsten Snogdal Boutrup, Renate Johansen, Helle Frank Skall, Nina Sandlund, and Niels Jørgen Olesen. 2023. "Viral Haemorrhagic Septicemia Virus (VHSV) Isolated from Atlantic Herring, Clupea harengus, Causes Mortality in Bath Challenge on Juvenile Herring" Viruses 15, no. 1: 152. https://doi.org/10.3390/v15010152
APA StyleBergh, Ø., Boutrup, T. S., Johansen, R., Skall, H. F., Sandlund, N., & Olesen, N. J. (2023). Viral Haemorrhagic Septicemia Virus (VHSV) Isolated from Atlantic Herring, Clupea harengus, Causes Mortality in Bath Challenge on Juvenile Herring. Viruses, 15(1), 152. https://doi.org/10.3390/v15010152

