Full-Length Genomic RNA of Foot-and-Mouth Disease Virus Is Infectious for Cattle by Injection
Abstract
:1. Introduction
2. Materials and Methods
2.1. Cells and Viruses
2.1.1. Cell Culture
2.1.2. Susceptibility of Cells to Free Viral RNA
2.1.3. Selection of Virus Isolates
2.1.4. Preparation of Virus Stocks
2.1.5. RNA Extraction and In Vitro Transfection
2.1.6. RT-qPCR
2.2. Material for Inoculation
2.2.1. Assessment of RNA Degradation by Atomization
2.2.2. Preparation of RNA Inoculum
2.2.3. Negative Control: Exclusion of Virus Contamination
2.2.4. Positive Control: Demonstration of Full-Length Viral RNA
2.3. Animal Experiments
2.3.1. Animals and Ethics Statement
2.3.2. Experimental Design
2.3.3. Monitoring and Sample Collection during the Trials
2.3.4. Necropsy
2.4. Sample Processing
2.4.1. Virus Isolation and RT-qPCR in Ex Vivo Samples
2.4.2. Sequence Analysis
2.4.3. Histopathology
2.5. Statistical Analysis
3. Results
3.1. Susceptibility of Cells to Free FMDV RNA
3.2. Virus Stocks for Animal Experiments
3.3. Assessment of RNA Degradation by Atomization
3.4. Confirmatory Tests of RNA Inoculum
3.5. Clinical Findings
3.6. Virus Isolation
3.7. FMDV RT-qPCR
3.8. Sequencing
3.9. Necropsy
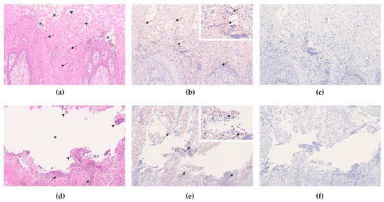
3.10. Histology
3.11. Statistical Analysis
4. Discussion
4.1. Self-Transfection of BHK-21 Cells
4.2. Infectivity of Full-Length FMDV RNA
Supplementary Materials
Author Contributions
Funding
Institutional Review Board Statement
Informed Consent Statement
Data Availability Statement
Acknowledgments
Conflicts of Interest
References
- Bachrach, H.L.; Breese, S.S.; Callis, J.J.; Hess, W.R.; Patty, R.E. Inactivation of foot-and-mouth disease virus by pH and temperature changes and by formaldehyde. Proc. Soc. Exp. Biol. Med. 1957, 95, 147–152. [Google Scholar] [CrossRef] [PubMed]
- Kühn, R.; Luz, N.; Beck, E. Functional analysis of the internal translation initiation site of foot-and-mouth disease virus. J. Virol. 1990, 64, 4625–4631. [Google Scholar] [CrossRef] [PubMed]
- Vázquez-Calvo, A.; Saiz, J.-C.; McCullough, K.C.; Sobrino, F.; Martín-Acebes, M.A. Acid-dependent viral entry. Virus Res. 2012, 167, 125–137. [Google Scholar] [CrossRef] [PubMed]
- van Jansen Vuren, P.; Singanallur, N.B.; Keck, H.; Eschbaumer, M.; Vosloo, W. Chemical inactivation of foot-and-mouth disease virus in bovine tongue epithelium for safe transport and downstream processing. J. Virol. Methods 2022, 305, 114539. [Google Scholar] [CrossRef]
- Romey, A.; Relmy, A.; Gorna, K.; Laloy, E.; Zientara, S.; Blaise-Boisseau, S.; Bakkali Kassimi, L. Safe and cost-effective protocol for shipment of samples from Foot-and-Mouth Disease suspected cases for laboratory diagnostic. Transbound. Emerg. Dis. 2018, 65, 197–204. [Google Scholar] [CrossRef]
- European Commission for the Control of Foot-and-Mouth Disease. Shipment of Lateral Flow Devices. 2021. Available online: https://perma.cc/ELC6-UKE7 (accessed on 15 March 2022).
- Baranowski, E.; Molina, N.; Núñez, J.I.; Sobrino, F.; Sáiz, M. Recovery of infectious foot-and-mouth disease virus from suckling mice after direct inoculation with in vitro-transcribed RNA. J. Virol. 2003, 77, 11290–11295. [Google Scholar] [CrossRef]
- Rodríguez Pulido, M.; Sobrino, F.; Borrego, B.; Sáiz, M. Attenuated foot-and-mouth disease virus RNA carrying a deletion in the 3’ noncoding region can elicit immunity in swine. J. Virol. 2009, 83, 3475–3485. [Google Scholar] [CrossRef]
- Liu, G.; Zhang, Y.; Ni, Z.; Yun, T.; Sheng, Z.; Liang, H.; Hua, J.; Li, S.; Du, Q.; Chen, J. Recovery of infectious rabbit hemorrhagic disease virus from rabbits after direct inoculation with in vitro-transcribed RNA. J. Virol. 2006, 80, 6597–6602. [Google Scholar] [CrossRef]
- Key, K.F.; DiCristina, J.; Gillespie, J.; Guenette, D.K.; Meng, X.J. Direct inoculation of RNA transcripts from an infectious cDNA clone of porcine reproductive and respiratory syndrome virus (PRRSV) into the lymph nodes and tonsils of pigs initiates PRRSV infection in vivo. Arch. Virol. 2007, 152, 1383–1387. [Google Scholar] [CrossRef] [PubMed]
- LaRocco, M.; Krug, P.W.; Kramer, E.; Ahmed, Z.; Pacheco, J.M.; Duque, H.; Baxt, B.; Rodriguez, L.L. A continuous bovine kidney cell line constitutively expressing bovine αvβ6 integrin has increased susceptibility to foot-and-mouth disease virus. J. Clin. Microbiol. 2013, 51, 1714–1720. [Google Scholar] [CrossRef] [Green Version]
- Callahan, J.D.; Brown, F.; Osorio, F.A.; Sur, J.H.; Kramer, E.; Long, G.W.; Lubroth, J.; Ellis, S.J.; Shoulars, K.S.; Gaffney, K.L.; et al. Use of a portable real-time reverse transcriptase-polymerase chain reaction assay for rapid detection of foot-and-mouth disease virus. J. Am. Vet. Med. Assoc. 2002, 220, 1636–1642. [Google Scholar] [CrossRef] [PubMed]
- Sambrook, J.; Russell, D.W. Fragmentation of DNA by nebulization. CSH Protoc. 2006, 2006, pdb.prot4539. [Google Scholar] [CrossRef]
- Henderson, W.M. A comparison of different routes of inoculation of cattle for detection of the virus of foot-and-mouth disease. J. Hyg. (Lond.) 1952, 50, 182–194. [Google Scholar] [CrossRef] [PubMed]
- Henderson, W.M. The Quantitative Study of Foot-and-Mouth Disease Virus; Agricultural Research Council Report Series No. 8; H.M. Stationery Office: London, UK, 1949; pp. ix, 50p. [Google Scholar]
- Dill, V.; Beer, M.; Hoffmann, B. Simple, quick and cost-efficient: A universal RT-PCR and sequencing strategy for genomic characterisation of foot-and-mouth disease viruses. J. Virol. Methods 2017, 246, 58–64. [Google Scholar] [CrossRef] [PubMed]
- Haas, B.; Ahl, R.; Böhm, R.; Strauch, D. Inactivation of viruses in liquid manure. Rev. Sci. Tech. 1995, 14, 435–445. [Google Scholar] [CrossRef]
- Dekker, A. Inactivation of foot-and-mouth disease virus by heat, formaldehyde, ethylene oxide and γ radiation. Vet. Rec. 1998, 143, 168–169. [Google Scholar] [CrossRef]
- Bieker, J.M. Chemical Inactivation of Viruses. Ph.D. Thesis, Kansas State University, Manhattan, KS, USA, 2006. [Google Scholar]
- Sarkar, A.; Selvan, R.P.T.; Kishore, S.; Ganesh, K.; Bhanuprakash, V. Comparison of different inactivation methods on the Comparison of different inactivation methods on the stability of Indian vaccine strains of foot and mouth disease virus. Biologicals 2017, 48, 10–23. [Google Scholar] [CrossRef]
- Stenfeldt, C.; Eschbaumer, M.; Rekant, S.I.; Pacheco, J.M.; Smoliga, G.R.; Hartwig, E.J.; Rodriguez, L.L.; Arzt, J. The Foot-and-Mouth Disease Carrier State Divergence in Cattle. J. Virol. 2016, 90, 6344–6364. [Google Scholar] [CrossRef]
- Spuhler, V. Die Infektiosität des Ribonukleinsäureanteils von Maul- und Klauenseuche-Virus. Experientia 1959, 15, 155. [Google Scholar] [CrossRef]
- Wheeler, T.T.; Maqbool, N.J.; Gupta, S.K. Mapping, phylogenetic and expression analysis of the RNase (RNase A) locus in cattle. J. Mol. Evol. 2012, 74, 237–248. [Google Scholar] [CrossRef]
- Robinovitch, M.R.; Sreebny, L.M.; Smuckler, E.A. Ribonuclease and Ribonuclease Inhibitor of the Rat Parotid Gland and Its Secretion. J. Biol. Chem. 1968, 243, 3441–3446. [Google Scholar] [CrossRef]
- Boix, E.; Nogués, M.V. Mammalian antimicrobial proteins and peptides: Overview on the RNase A superfamily members involved in innate host defence. Mol. Biosyst. 2007, 3, 317–335. [Google Scholar] [CrossRef]
- Gupta, S.K.; Haigh, B.J.; Griffin, F.J.; Wheeler, T.T. The mammalian secreted RNases: Mechanisms of action in host defence. Innate Immun. 2013, 19, 86–97. [Google Scholar] [CrossRef] [PubMed]
- Zhou, A. Expression cloning of 2-5A-dependent RNAase: A uniquely regulated mediator of interferon action. Cell 1993, 72, 753–765. [Google Scholar] [CrossRef]
- Rugeles, M.T.; Trubey, C.M.; Bedoya, V.I.; Pinto, L.A.; Oppenheim, J.J.; Rybak, S.M.; Shearer, G.M. Ribonuclease is partly responsible for the HIV-1 inhibitory effect activated by HLA alloantigen recognition. Aids 2003, 17, 481–486. [Google Scholar] [CrossRef]
- Paton, D.J.; Gubbins, S.; King, D.P. Understanding the transmission of foot-and-mouth disease virus at different scales. Curr. Opin. Virol. 2018, 28, 85–91. [Google Scholar] [CrossRef]





Publisher’s Note: MDPI stays neutral with regard to jurisdictional claims in published maps and institutional affiliations. |
© 2022 by the authors. Licensee MDPI, Basel, Switzerland. This article is an open access article distributed under the terms and conditions of the Creative Commons Attribution (CC BY) license (https://creativecommons.org/licenses/by/4.0/).
Share and Cite
Keck, H.; Litz, B.; Hoffmann, B.; Sehl-Ewert, J.; Beer, M.; Eschbaumer, M. Full-Length Genomic RNA of Foot-and-Mouth Disease Virus Is Infectious for Cattle by Injection. Viruses 2022, 14, 1924. https://doi.org/10.3390/v14091924
Keck H, Litz B, Hoffmann B, Sehl-Ewert J, Beer M, Eschbaumer M. Full-Length Genomic RNA of Foot-and-Mouth Disease Virus Is Infectious for Cattle by Injection. Viruses. 2022; 14(9):1924. https://doi.org/10.3390/v14091924
Chicago/Turabian StyleKeck, Hanna, Benedikt Litz, Bernd Hoffmann, Julia Sehl-Ewert, Martin Beer, and Michael Eschbaumer. 2022. "Full-Length Genomic RNA of Foot-and-Mouth Disease Virus Is Infectious for Cattle by Injection" Viruses 14, no. 9: 1924. https://doi.org/10.3390/v14091924
APA StyleKeck, H., Litz, B., Hoffmann, B., Sehl-Ewert, J., Beer, M., & Eschbaumer, M. (2022). Full-Length Genomic RNA of Foot-and-Mouth Disease Virus Is Infectious for Cattle by Injection. Viruses, 14(9), 1924. https://doi.org/10.3390/v14091924

