Myocardial Infarction Following COVID-19 Vaccine Administration: Post Hoc, Ergo Propter Hoc?
Abstract
1. Introduction
2. Methods
2.1. Inclusion Criteria
2.2. Exclusion Criteria
2.3. Post-Mortem Cardiac Magnetic Resonance
2.4. Histopathological and Immunohistochemical Analysis
2.5. Toxicological Analysis
2.6. Antibodies Anti-Platelet Factor 4 and Tryptase Analysis
2.7. Genetic Analysis
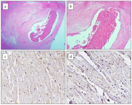
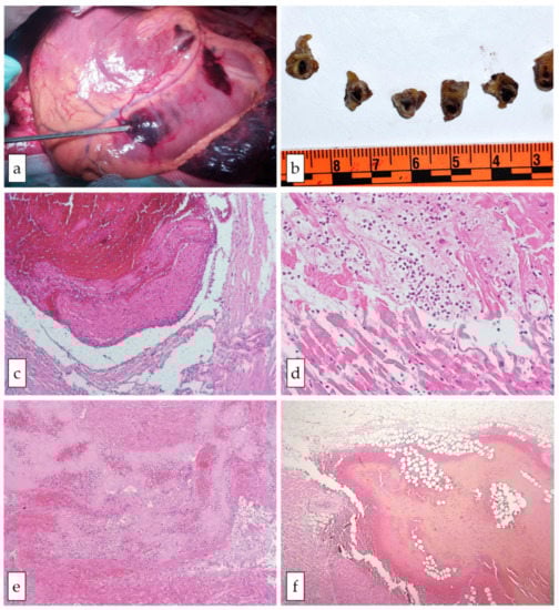
3. Results—Case Description
4. Discussion
5. Conclusions
Author Contributions
Funding
Institutional Review Board Statement
Conflicts of Interest
References
- Krammer, F. SARS-CoV-2 vaccines in development. Nature 2020, 586, 516–527. [Google Scholar] [CrossRef] [PubMed]
- World Health Organization. The Different Types of COVID-19 Vaccines. Available online: https://www.who.int/news-room/feature-stories/detail/the-race-for-a-covid-19-vaccine-explained (accessed on 4 March 2022).
- Korang, S.K.; von Rohden, E.; Veroniki, A.A.; Ong, G.; Ngalamika, O.; Siddiqui, F.; Juul, S.; Nielsen, E.E.; Feinberg, J.B.; Petersen, J.J.; et al. Vaccines to prevent COVID-19: A living systematic review with Trial Sequential Analysis and network meta-analysis of randomized clinical trials. PLoS ONE 2022, 17, e0260733. [Google Scholar] [CrossRef] [PubMed]
- Centers for Disease Control and Prevention. COVID 19—How to Protect Yourself & Others. Available online: https://www.cdc.gov/coronavirus/2019-ncov/prevent-getting-sick/prevention.html (accessed on 5 March 2022).
- World Health Organization. WHO Coronavirus (COVID-19) Dashboard—Overview. Available online: https://covid19.who.int/ (accessed on 5 March 2022).
- Ministero della Salute. Report Vaccini Anti COVID-19. Available online: https://www.governo.it/it/cscovid19/report-vaccini/ (accessed on 5 March 2022).
- European Medicines Agency. Safety of COVID-19 Vaccines. Available online: https://www.ema.europa.eu/en/human-regulatory/overview/public-health-threats/coronavirus-disease-covid-19/treatments-vaccines/vaccines-covid-19/safety-covid-19-vaccines (accessed on 5 March 2022).
- World Health Organization. Manufacturing, Safety and Quality Control of Vaccines. Available online: https://www.who.int/news-room/feature-stories/detail/manufacturing-safety-and-quality-control (accessed on 5 March 2022).
- Klein, N.P.; Lewis, N.; Goddard, K.; Fireman, B.; Zerbo, O.; Hanson, K.E.; Donahue, J.G.; Kharbanda, E.O.; Naleway, A.; Nelson, J.C.; et al. Surveillance for Adverse Events After COVID-19 mRNA Vaccination. JAMA 2021, 326, 1390–1399. [Google Scholar] [CrossRef] [PubMed]
- Aye, Y.N.; Mai, A.S.; Zhang, A.; Lim, O.Z.H.; Lin, N.; Ng, C.H.; Chan, M.Y.; Yip, J.; Loh, P.-H.; Chew, N.W.S. Acute myocardial infarction and myocarditis following COVID-19 vaccination. QJM Int. J. Med. 2021, hcab252. [Google Scholar] [CrossRef]
- Hippisley-Cox, J.; Patone, M.; Mei, X.W.; Saatci, D.; Dixon, S.; Khunti, K.; Zaccardi, F.; Watkinson, P.; Shankar-Hari, M.; Doidge, J.C. Risk of thrombocytopenia and thromboembolism after COVID-19 vaccination and SARS-CoV-2 positive testing: Self-controlled case series study. BMJ 2021, 374, n1931. [Google Scholar] [CrossRef] [PubMed]
- Virani, S.S.; Alonso, A.; Aparicio, H.J.; Benjamin, E.J.; Bittencourt, M.S.; Callaway, C.W.; Carson, A.P.; Chamberlain, A.M.; Cheng, S.; Delling, F.N.; et al. Heart Disease and Stroke Statistics—2021 Update. Circulation 2021, 143, E254–E743. [Google Scholar] [CrossRef] [PubMed]
- Lathrop, S.L.; Ball, R.; Haber, P.; Mootrey, G.T.; Braun, M.; Shadomy, S.V.; Ellenberg, S.S.; Chen, R.T.; Hayes, E.B. Adverse event reports following vaccination for Lyme disease: December 1998–July 2000. Vaccine 2002, 20, 1603–1608. [Google Scholar] [CrossRef]
- Moro, P.L.; Arana, J.; Cano, M.; Lewis, P.; Shimabukuro, T.T. Deaths Reported to the Vaccine Adverse Event Reporting System, United States, 1997–2013. Clin. Infect. Dis. 2015, 61, 980–987. [Google Scholar] [CrossRef][Green Version]
- Schneider, J.; Sottmann, L.; Greinacher, A.; Hagen, M.; Kasper, H.-U.; Kuhnen, C.; Schlepper, S.; Schmidt, S.; Schulz, R.; Thiele, T.; et al. Postmortem investigation of fatalities following vaccination with COVID-19 vaccines. Int. J. Legal Med. 2021, 135, 2335–2345. [Google Scholar] [CrossRef]
- Maiese, A.; Baronti, A.; Manetti, A.C.; Di Paolo, M.; Turillazzi, E.; Frati, P.; Fineschi, V. Death after the Administration of COVID-19 Vaccines Approved by EMA: Has a Causal Relationship Been Demonstrated? Vaccines 2022, 10, 308. [Google Scholar] [CrossRef]
- Istituto Superiore di Sanità. Gruppo di Lavoro ISS Diagnostica e sorveglianza microbiologica COVID-19: Aspetti di analisi molecolare e sierologica. In Raccomandazioni per il Corretto Prelievo, Conservazione e Analisi sul Tampone Oro/Rino-Faringeo per la Diagnosi di COVID-19; Istituto Superiore di Sanità: Roma, Italy, 2020. [Google Scholar]
- Basso, C.; Basso, C.; Aguilera, B.; Banner, J.; Cohle, S.; d’Amati, G.; de Gouveia, R.H.; di Gioia, C.; Fabre, A.; Gallagher, P.J.; et al. Guidelines for autopsy investigation of sudden cardiac death: 2017 update from the Association for European Cardiovascular Pathology. Virchows Arch. 2017, 471, 691–705. [Google Scholar] [CrossRef]
- Aquaro, G.D.; Di Paolo, M.; Guidi, B.; Ghabisonia, K.; Pucci, A.; Aringheri, G.; Gorgodze, N.; Veronica, M.; Chiti, E.; Burchielli, S.; et al. Post-mortem CMR in a model of sudden death due to myocardial ischemia: Validation with connexin-43. Eur. Radiol. 2021, 31, 8098–8107. [Google Scholar] [CrossRef] [PubMed]
- Guidi, B.; Aquaro, G.D.; Gesi, M.; Emdin, M.; di Paolo, M. Postmortem cardiac magnetic resonance in sudden cardiac death. Heart Fail. Rev. 2018, 23, 651–665. [Google Scholar] [CrossRef] [PubMed]
- Aquaro, G.D.; Camastra, G.; Monti, L.; Lombardi, M.; Pepe, A.; Castelletti, S.; Maestrini, V.; Todiere, G.; Masci, P.; di Giovine, G.; et al. Reference values of cardiac volumes, dimensions, and new functional parameters by MR: A multicenter, multivendor study. J. Magn. Reson. Imaging 2017, 45, 1055–1067. [Google Scholar] [CrossRef] [PubMed]
- Turillazzi, E.; Di Paolo, M.; Neri, M.; Riezzo, I.; Fineschi, V. A theoretical timeline for myocardial infarction: Immunohistochemical evaluation and western blot quantification for Interleukin-15 and Monocyte chemotactic protein-1 as early markers. J. Transl. Med. 2014, 12, 188. [Google Scholar] [CrossRef]
- Varela, M.L.I.; Adamczuk, Y.P.; Forastiero, R.R.; Martinuzzo, E.M.; Cerrato, G.S.; Pombo, G.; Carreras, O.L. Major and potential prothrombotic genotypes in a cohort of patients with venous thromboembolism. Thromb. Res. 2001, 104, 317–324. [Google Scholar] [CrossRef]
- O’Rourke, M.F. Subacute heart rupture following myocardial infarction. Clinical features of a correctable condition. Lancet 1973, 2, 124–126. [Google Scholar] [CrossRef]
- Jamaludin, S.; Azmir, N.A.; Ayob, A.F.M.; Zainal, N. COVID-19 exit strategy: Transitioning towards a new normal. Ann. Med. Surg. 2020, 59, 165–170. [Google Scholar] [CrossRef]
- Rahmani, A.M.; Mirmahaleh, S.Y.H. Coronavirus disease (COVID-19) prevention and treatment methods and effective parameters: A systematic literature review. Sustain. Cities Soc. 2021, 64, 102568. [Google Scholar] [CrossRef]
- Gasmi, A.; Noor, S.; Tippairote, T.; Dadar, M.; Menzel, A.; Bjørklund, G. Individual risk management strategy and potential therapeutic options for the COVID-19 pandemic. Clin. Immunol. 2020, 215, 108409. [Google Scholar] [CrossRef]
- Sharma, A.K.; Sharma, V.; Sharma, A.; Pallikkuth, S.; Sharma, A.K. Current Paradigms in COVID-19 Research: Proposed Treatment Strategies, Recent Trends and Future Directions. Curr. Med. Chem. 2020, 28, 3173–3192. [Google Scholar] [CrossRef]
- World Health Organization. Causality Assessment of an Adverse Event Following Immunization (AEFI): User Manual for the Revised WHO Classification, 2nd ed., 2019 Update. 2019. Available online: https://www.who.int/publications/i/item/causality-assessment-aef (accessed on 10 May 2022).
- Sessa, F.; Salerno, M.; Esposito, M.; Di Nunno, N.; Zamboni, P.; Pomara, C. Findings and Causality Relationship between Death and COVID-19 Vaccination: A Systematic Review. J. Clin. Med. 2021, 10, 5876. [Google Scholar] [CrossRef]
- Favaloro, E.J.; Pasalic, L.; Lippi, G. Review and evolution of guidelines for diagnosis of COVID-19 vaccine induced thrombotic thrombocytopenia (VITT). Clin. Chem. Lab. Med. 2022, 60, 7–17. [Google Scholar] [CrossRef]
- McGonagle, D.; De Marco, G.; Bridgewood, C. Mechanisms of Immunothrombosis in Vaccine-Induced Thrombotic Thrombocytopenia (VITT) Compared to Natural SARS-CoV-2 Infection. J. Autoimmun. 2021, 121, 102662. [Google Scholar] [CrossRef] [PubMed]
- Greinacher, A.; Langer, F.; Makris, M.; Pai, M.; Pavord, S.; Tran, H.; Warkentin, T.E. Vaccine-induced immune thrombotic thrombocytopenia (VITT): Update on diagnosis and management considering different resources. J. Thromb. Haemost. 2022, 20, 149–156. [Google Scholar] [CrossRef] [PubMed]
- Pomara, C.; Sessa, F.; Ciaccio, M.; Dieli, F.; Esposito, M.; Giammanco, G.; Garozzo, S.; Giarratano, A.; Prati, D.; Rappa, F.; et al. COVID-19 Vaccine and Death: Causality Algorithm According to the WHO Eligibility Diagnosis. Diagnostics 2021, 11, 955. [Google Scholar] [CrossRef] [PubMed]
- Edler, C.; Klein, A.; Schröder, A.S.; Sperhake, J.P.; Ondruschka, B. Deaths associated with newly launched SARS-CoV-2 vaccination (Comirnaty®). Leg. Med. Tokyo 2021, 51, 101895. [Google Scholar] [CrossRef]
- Tajstra, M.; Jaroszewicz, J.; Gąsior, M. Acute Coronary Tree Thrombosis After Vaccination for COVID-19. JACC Cardiovasc. Interv. 2021, 14, e103–e104. [Google Scholar] [CrossRef]
- Fazlollahi, A.; Zahmatyar, M.; Noori, M.; Nejadghaderi, S.A.; Sullman, M.J.M.; Shekarriz-Foumani, R.; Kolahi, A.; Singh, K.; Safiri, S. Cardiac complications following mRNA COVID-19 vaccines: A systematic review of case reports and case series. Rev. Med. Virol. 2021, 32, e2318. [Google Scholar] [CrossRef]
- Lee, E.; Chew, N.W.S.; Ng, P.; Yeo, T.J. A spectrum of cardiac manifestations post Pfizer-BioNTech COVID-19 vaccination. QJM Int. J. Med. 2021, 114, 661–662. [Google Scholar] [CrossRef]
- Boivin, Z.; Martin, J. Untimely Myocardial Infarction or COVID-19 Vaccine Side Effect. Cureus 2021, 13, e13651. [Google Scholar] [CrossRef] [PubMed]
- Chatterjee, S.; Ojha, U.K.; Vardhan, B.; Tiwari, A. Myocardial infarction after COVID-19 vaccination-casual or causal? Diabetes Metab. Syndr. Clin. Res. Rev. 2021, 15, 1055–1056. [Google Scholar] [CrossRef] [PubMed]
- Chiang, C.-Y.; Chen, C.-Y.; Yu, W.-L.; Kan, W.-C.; Feng, Y.-H. Myocardial Infarction and Azygos Vein Thrombosis After ChAdOx1 nCoV-19 Vaccination in a Hemodialysis Patient. Cureus 2021, 13, e18390. [Google Scholar] [CrossRef]
- Kounis, N.G.; Mazarakis, A.; Tsigkas, G.; Giannopoulos, S.; Goudevenos, J. Kounis syndrome: A new twist on an old disease. Future Cardiol. 2011, 7, 805–824. [Google Scholar] [CrossRef] [PubMed]
- Kounis, N.G.; Koniari, I.; de Gregorio, C.; Velissaris, D.; Petalas, K.; Brinia, A.; Assimakopoulos, S.F.; Gogos, C.; Kouni, S.N.; Kounis, G.N.; et al. Allergic Reactions to Current Available COVID-19 Vaccinations: Pathophysiology, Causality, and Therapeutic Considerations. Vaccines 2021, 9, 221. [Google Scholar] [CrossRef]
- Kounis, N.G. Serum tryptase levels and Kounis syndrome. Int. J. Cardiol. 2007, 114, 407–408. [Google Scholar] [CrossRef]
- Li, W.X.; Dai, S.X.; Zheng, J.J.; Liu, J.Q.; Huang, J.F. Homocysteine metabolism gene polymorphisms (MTHFR C677T, MTHFR A1298C, MTR A2756G and MTRR A66G) jointly elevate the risk of folate deficiency. Nutrients 2015, 7, 6670–6687. [Google Scholar] [CrossRef]
- Chita, D.S.; Tudor, A.; Christodorescu, R.; Buleu, F.N.; Sosdean, R.; Deme, S.M.; Mercea, S.; Moldovan, A.P.; Pah, A.M.; Axelerad, A.D.; et al. MTHFR Gene Polymorphisms Prevalence and Cardiovascular Risk Factors Involved in Cardioembolic Stroke Type and Severity. Brain Sci. 2020, 10, 476. [Google Scholar] [CrossRef]
- Ponti, G.; Roli, L.; Oliva, G.; Manfredini, M.; Trenti, T.; Kaleci, S.; Iannella, R.; Balzano, B.; Coppola, A.; Fiorentino, G.; et al. Homocysteine (Hcy) assessment to predict outcomes of hospitalized COVID-19 patients: A multicenter study on 313 COVID-19 patients. Clin. Chem. Lab. Med. 2021, 59, E354–E357. [Google Scholar] [CrossRef]
- Cappadona, C.; Paraboschi, E.M.; Ziliotto, N.; Bottaro, S.; Rimoldi, V.; Gerussi, A.; Azimonti, A.; Brenna, D.; Brunati, A.; Cameroni, C.; et al. MEDTEC Students against Coronavirus: Investigating the Role of Hemostatic Genes in the Predisposition to COVID-19 Severity. J. Pers. Med. 2021, 11, 1166. [Google Scholar] [CrossRef]
- Zhang, Q.; Jin, Y.; Li, X.; Peng, X.; Peng, N.; Song, J.; Xu, M. Plasminogen activator inhibitor-1 (PAI-1) 4G/5G promoter polymorphisms and risk of venous thromboembolism—A meta-analysis and systematic review. Vasa 2020, 49, 141–146. [Google Scholar] [CrossRef] [PubMed]
- Wang, B.; Xu, P.; Shu, Q.; Yan, S.; Xu, H. Combined Effect of MTHFR C677T and PAI-1 4G/5G Polymorphisms on the Risk of Venous Thromboembolism in Chinese Lung Cancer Patients. Clin. Appl. Thromb. Hemost. 2021, 27, 10760296211031291. [Google Scholar] [CrossRef] [PubMed]
- Cinemre, H.; Bilir, C.; Akdemir, N. Isolated Renal Vein Thrombosis Associated With MTHFR-1298 and PAI-1 4G Gene Mutations. Clin. Appl. Thromb. Hemost. 2009, 16, 708–710. [Google Scholar] [CrossRef] [PubMed]
- Cernera, G.; Comegna, M.; Gelzo, M.; Savoia, M.; Bruzzese, D.; Mormile, M.; Zarrilli, F.; Amato, F.; Micco, P.; Castaldo, G. Molecular Analysis of Prothrombotic Gene Variants in Patients with Acute Ischemic Stroke and with Transient Ischemic Attack. Med. Kaunas 2021, 57, 723. [Google Scholar] [CrossRef] [PubMed]



| Case Number | Sex | Age, Years | Previous Conditions | Vaccine | Vaccination-to-Death Interval | Circumstances of Death and Previous Symptoms |
|---|---|---|---|---|---|---|
| #1 | M | 69 | DM2, COPD, smoking | BNT162b2, 1st dose | 48 h | Unwitnessed Complained of shivering, thoracic, and upper limbs pain some hours before |
| #2 | M | 58 | None | BNT162b2, 2nd dose | ~8 h | Unwitnessed Complained of thoracic pain < 1 h before |
| #3 | M | 76 | None | BNT162b2, 1st dose | 21 days | Unwitnessed |
| #4 | M | 68 | Hypertension | BNT162b2, 2nd dose | 72 h | Sudden death during cycling, preceded by headache and thoracic pain |
| #5 | F | 50 | Cocaine abuse, smoking | mRNA1273, 1st dose | <24 h | Unwitnessed |
| Case Number | Macroscopic Findings | PM-CMR Findings | Histological and IHC Findings | MI Age | Toxicological Screening | Anti-PF4 | Tryptase |
|---|---|---|---|---|---|---|---|
| #1 | Hemopericardium, heart laceration on the posterior wall of the left ventricle, pre-existing critical three-vessel atherosclerotic disease, coronary thrombosis | Not performed | Coronary thrombosis of right coronary artery with significant stenosis. MI at the rupture site. | 24–48 h | Negative | Negative | Negative |
| #2 | Pre-existing three-vessel atherosclerotic disease, coronary thrombosis, hypoplastic right coronary artery | Ischemic damage | Coronary thrombosis of left anterior descending artery. IHC diagnostic of MI. | <24 h | Negative | Negative | Negative |
| #3 | Hemopericardium, heart laceration posterior wall of the left ventricle, pre-existing three-vessel atherosclerotic disease | Not performed | MI at the rupture site. | 15/20 days | Negative | Negative | Negative |
| #4 | Pre-existing three-vessel atherosclerotic disease, coronary thrombosis | Ischemic damage | Coronary thrombosis of left anterior descending artery. IHC diagnostic of MI. | <24 h | Negative | Negative | Negative |
| #5 | Pre-existing three-vessel atherosclerotic disease, coronary thrombosis | Ischemic damage | Coronary thrombosis of left anterior descending artery. IHC diagnostic of MI. | <24 h | Negative | Negative | Negative |
| Gene Variant | Case #1 | Case #2 | Case #3 | Case #4 | Case #5 |
|---|---|---|---|---|---|
| MTHFR C677T | CT | CT | CC | CT | CC |
| MTHFR A1298C | AC | AC | CC | AA | AC |
| Factor II G20210A | GG | GG | GG | GG | GG |
| Factor V G1691A | GG | GG | GG | GG | GG |
| Factor V-HR2 | AG | AA | AA | AA | AA |
| Factor XIII V34L | CA | CA | CA | CC | CA |
| HPA-1 a/b | TC | TC | TT | TT | TT |
| PAI-1 4G/5G | 4G/4G | 4G/5G | 4G/4G | 4G/5G | 5G/5G |
| Beta-Fibrinogen 455G > A | GG | GG | GG | GA | GG |
Publisher’s Note: MDPI stays neutral with regard to jurisdictional claims in published maps and institutional affiliations. |
© 2022 by the authors. Licensee MDPI, Basel, Switzerland. This article is an open access article distributed under the terms and conditions of the Creative Commons Attribution (CC BY) license (https://creativecommons.org/licenses/by/4.0/).
Share and Cite
Baronti, A.; Gentile, F.; Manetti, A.C.; Scatena, A.; Pellegrini, S.; Pucci, A.; Franzini, M.; Castiglione, V.; Maiese, A.; Giannoni, A.; et al. Myocardial Infarction Following COVID-19 Vaccine Administration: Post Hoc, Ergo Propter Hoc? Viruses 2022, 14, 1644. https://doi.org/10.3390/v14081644
Baronti A, Gentile F, Manetti AC, Scatena A, Pellegrini S, Pucci A, Franzini M, Castiglione V, Maiese A, Giannoni A, et al. Myocardial Infarction Following COVID-19 Vaccine Administration: Post Hoc, Ergo Propter Hoc? Viruses. 2022; 14(8):1644. https://doi.org/10.3390/v14081644
Chicago/Turabian StyleBaronti, Arianna, Francesco Gentile, Alice Chiara Manetti, Andrea Scatena, Silvia Pellegrini, Angela Pucci, Maria Franzini, Vincenzo Castiglione, Aniello Maiese, Alberto Giannoni, and et al. 2022. "Myocardial Infarction Following COVID-19 Vaccine Administration: Post Hoc, Ergo Propter Hoc?" Viruses 14, no. 8: 1644. https://doi.org/10.3390/v14081644
APA StyleBaronti, A., Gentile, F., Manetti, A. C., Scatena, A., Pellegrini, S., Pucci, A., Franzini, M., Castiglione, V., Maiese, A., Giannoni, A., Pistello, M., Emdin, M., Aquaro, G. D., & Di Paolo, M. (2022). Myocardial Infarction Following COVID-19 Vaccine Administration: Post Hoc, Ergo Propter Hoc? Viruses, 14(8), 1644. https://doi.org/10.3390/v14081644

