Use of Pembrolizumab for Treatment of Progressive Multifocal Leukoencephalopathy in People Living with HIV
Abstract
:1. Introduction
2. Materials and Methods
3. Results
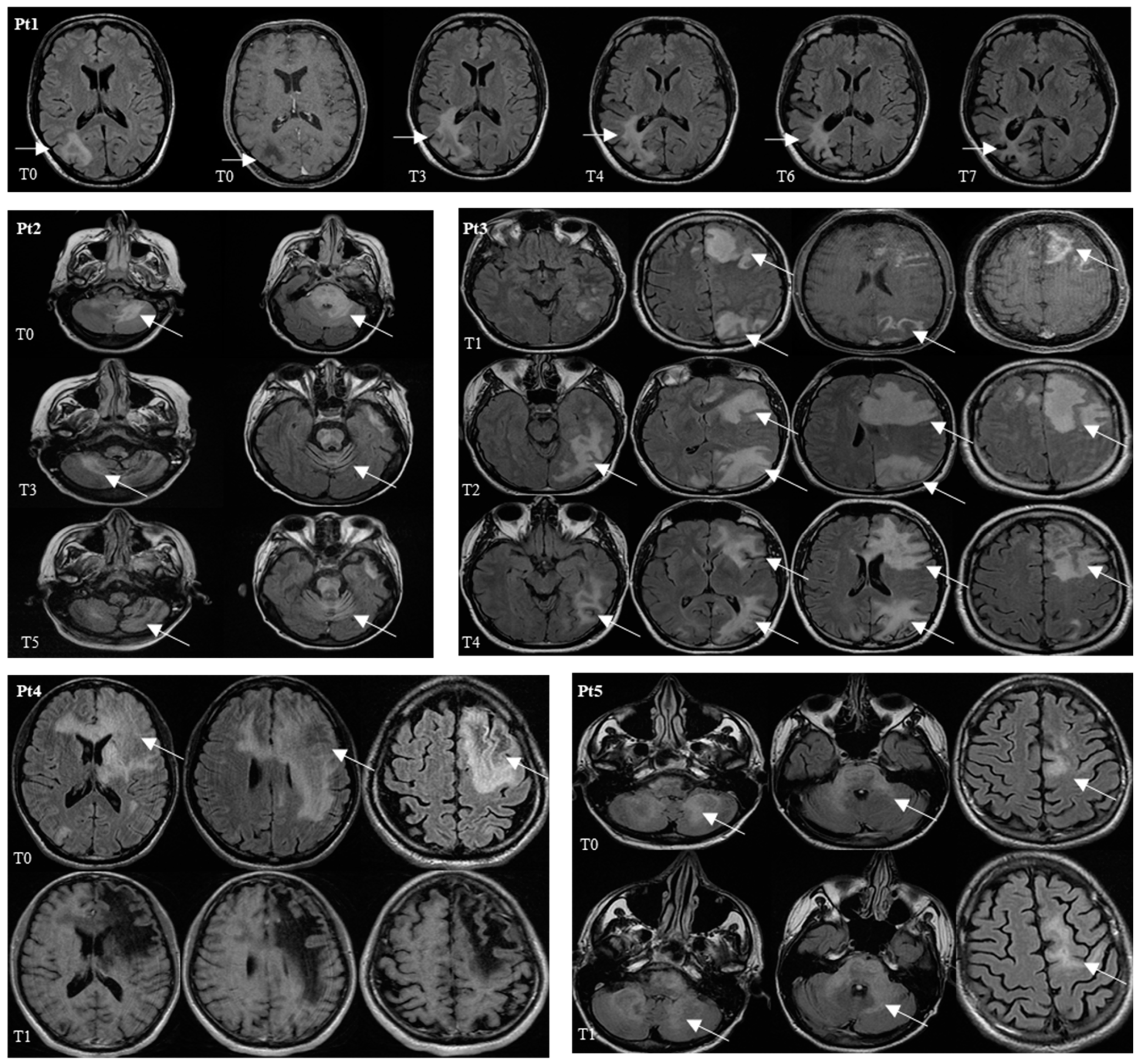
3.1. Clinical Characteristics of Patients
3.2. Virological and Anti JCV-Specific Response
4. Discussion
5. Conclusions
Author Contributions
Funding
Institutional Review Board Statement
Informed Consent Statement
Data Availability Statement
Acknowledgments
Conflicts of Interest
References
- Koralnik, I.J. Progressive multifocal leukoencephalopathy revisited: Has the disease outgrown its name? Ann. Neurol. 2006, 60, 162–173. [Google Scholar] [CrossRef]
- Wollebo, H.S.; White, M.K.; Gordon, J.; Berger, J.R.; Khalili, K. Persistence and pathogenesis of the neurotropic polyomavirus JC. Ann. Neurol. 2015, 77, 560–570. [Google Scholar] [CrossRef] [PubMed]
- Ferenczy, M.W.; Marshall, L.J.; Nelson, C.; Atwood, W.J.; Nath, A.; Khalili, K.; Major, E.O. Molecular Biology, Epidemiology, and Pathogenesis of Progressive Multifocal Leukoencephalopathy, the JC Virus-Induced Demyelinating Disease of the Human Brain. Clin. Microbiol. Rev. 2012, 25, 471–506. [Google Scholar] [CrossRef] [PubMed] [Green Version]
- Berger, J.R.; Pall, L.; Lanska, D.; Whiteman, M. Progressive Multifocal Leukoencephalopathy in Patients with HIV Infection. J. Neurovirology 1998, 4, 59–68. [Google Scholar] [CrossRef] [PubMed]
- Anand, P.; Hotan, G.C.; Vogel, A.; Venna, N.; Mateen, F.J. Progressive multifocal leukoencephalopathy: A 25-year retrospective cohort study. Neurol. Neuroimmunol. Neuroinflamm. 2019, 6, e618. [Google Scholar] [CrossRef] [PubMed] [Green Version]
- Summers, N.A.; Kelley, C.F.; Armstrong, W.; Marconi, V.C.; Nguyen, M.L. Not a Disease of the Past: A Case Series of Progressive Multifocal Leukoencephalopathy in the Established Antiretroviral Era. AIDS Res. Hum. Retroviruses 2019, 35, 544–552. [Google Scholar] [CrossRef] [Green Version]
- Bartsch, T.; Rempe, T.; Leypoldt, F.; Riedel, C.; Jansen, O.; Berg, D.; Deuschl, G. The spectrum of progressive multifocal leukoencephalopathy: A practical approach. Eur. J. Neurol. 2019, 26, 566-e41. [Google Scholar] [CrossRef]
- Khanna, N.; Elzi, L.; Mueller, N.J.; Garzoni, C.; Cavassini, M.; Fux, C.A.; Vernazza, P.; Bernasconi, E.; Battegay, M.; Hirsch, H.H.; et al. Incidence and Outcome of Progressive Multifocal Leukoencephalopathy over 20 Years of the Swiss HIV Cohort Study. Clin. Infect. Dis. 2009, 48, 1459–1466. [Google Scholar] [CrossRef]
- Bennett, K.M.; Fernandes, P.M. Novel treatments for progressive multifocal leukoencephalopathy. Br. J. Hosp. Med. 2020, 81, 1–9. [Google Scholar] [CrossRef]
- Cortese, I.; Muranski, P.; Enose-Akahata, Y.; Ha, S.-K.; Smith, B.; Monaco, M.; Ryschkewitsch, C.; Major, E.O.; Ohayon, J.; Schindler, M.; et al. Pembrolizumab Treatment for Progressive Multifocal Leukoencephalopathy. N. Engl. J. Med. 2019, 380, 1597–1605. [Google Scholar] [CrossRef]
- Tan, C.S.; Bord, E.; Broge, T.A.; Glotzbecker, B.; Mills, H.; Gheuens, S.; Rosenblatt, J.; Avigan, D.; Koralnik, I.J. Increased Program Cell Death–1 Expression on T Lymphocytes of Patients With Progressive Multifocal Leukoencephalopathy. JAIDS J. Acquir. Immune Defic. Syndr. 2012, 60, 244–248. [Google Scholar] [CrossRef] [Green Version]
- Gosert, R.; Kardas, P.; Major, E.O.; Hirsch, H.H. Rearranged JC Virus Noncoding Control Regions Found in Progressive Multifocal Leukoencephalopathy Patient Samples Increase Virus Early Gene Expression and Replication Rate. J. Virol. 2010, 84, 10448–10456. [Google Scholar] [CrossRef] [Green Version]
- Daniel, D.C.; Kinoshita, Y.; Khan, M.A.; Del Valle, L.; Khalili, K.; Rappaport, J.; Johnson, E.M. Internalization of Exogenous Human Immunodeficiency Virus-1 Protein, Tat, by KG-1 Oligodendroglioma Cells Followed by Stimulation of DNA Replication Initiated at the JC Virus Origin. DNA Cell Biol. 2004, 23, 858–867. [Google Scholar] [CrossRef]
- Van Loy, T.; Thys, K.; Ryschkewitsch, C.; Lagatie, O.; Monaco, M.C.; Major, E.O.; Tritsmans, L.; Stuyver, L.J. JC Virus Quasispecies Analysis Reveals a Complex Viral Population Underlying Progressive Multifocal Leukoencephalopathy and Supports Viral Dissemination via the Hematogenous Route. J. Virol. 2015, 89, 1340–1347. [Google Scholar] [CrossRef] [Green Version]
- Johnson, E.M.; Wortman, M.J.; Dagdanova, A.V.; Lundberg, P.S.; Daniel, D.C. Polyomavirus JC in the Context of Immunosuppression: A Series of Adaptive, DNA Replication-Driven Recombination Events in the Development of Progressive Multifocal Leukoencephalopathy. Clin. Dev. Immunol. 2013, 2013, 1–10. [Google Scholar] [CrossRef] [Green Version]
- Yasuda, Y.; Yabe, H.; Inoue, H.; Shimizu, T.; Yabe, M.; Yogo, Y.; Kato, S. Comparison of PCR-amplified JC virus control region sequences from multiple brain regions in PML. Neurology 2003, 61, 1617–1619. [Google Scholar] [CrossRef]
- Cortese, I.; Reich, D.S.; Nath, A. Progressive multifocal leukoencephalopathy and the spectrum of JC virus-related disease. Nat. Rev. Neurol. 2020, 17, 37–51. [Google Scholar] [CrossRef]
- Fournier, A.; Martin-Blondel, G.; Lechapt-Zalcman, E.; Dina, J.; Kazemi, A.; Verdon, R.; Mortier, E.; De La Blanchardière, A. Immune Reconstitution Inflammatory Syndrome Unmasking or Worsening AIDS-Related Progressive Multifocal Leukoencephalopathy: A Literature Review. Front. Immunol. 2017, 8, 577. [Google Scholar] [CrossRef] [Green Version]
- Melliez, H.; Mary-Krause, M.; Bocket, L.; Guiguet, M.; Abgrall, S.; De Truchis, P.; Katlama, C.; Martin-Blondel, G.; Henn, A.; Revest, M.; et al. Risk of Progressive Multifocal Leukoencephalopathy in the Combination Antiretroviral Therapy Era in the French Hospital Database on Human Immunodeficiency Virus (ANRS-C4). Clin. Infect. Dis. 2018, 67, 275–282. [Google Scholar] [CrossRef] [PubMed] [Green Version]
- Manzardo, C.; Guardo, A.C.; Letang, E.; Plana, M.; Gatell, J.M.; Miro, J.M. Opportunistic infections and immune reconstitution inflammatory syndrome in HIV-1-infected adults in the combined antiretroviral therapy era: A comprehensive review. Expert Rev. Anti-Infect. Ther. 2015, 13, 751–767. [Google Scholar] [CrossRef]
- Harypursat, V.; Zhou, Y.; Tang, S.; Chen, Y. JC Polyomavirus, progressive multifocal leukoencephalopathy and immune reconstitution inflammatory syndrome: A review. AIDS Res. Ther. 2020, 17, 1–11. [Google Scholar] [CrossRef] [PubMed]
- Guidelines for the Prevention and Treatment of Opportunistic Infections in Adults and Adolescents with HIV. Available online: https://clinicalinfo.hiv.gov/en/guidelines/adult-and-adolescent-opportunistic-infection/progressive-multifocal?view=full (accessed on 28 June 2021).
- Tan, K.; Roda, R.; Ostrow, L.; McArthur, J.; Nath, A. PML-IRIS in patients with HIV infection: Clinical manifestations and treatment with steroids. Neurology 2009, 72, 1458–1464. [Google Scholar] [CrossRef] [PubMed]
- Sainz-De-La-Maza, S.; Casado, J.L.; Elias, M.J.P.; Moreno, A.; Quereda, C.; Moreno, S.; Corral, I. Incidence and prognosis of immune reconstitution inflammatory syndrome in HIV-associated progressive multifocal leucoencephalopathy. Eur. J. Neurol. 2016, 23, 919–925. [Google Scholar] [CrossRef] [PubMed]
- Dolladille, C.; Ederhy, S.; Allouche, S.; Dupas, Q.; Gervais, R.; Madelaine, J.; Sassier, M.; Plane, A.-F.; Comoz, F.; Cohen, A.A.; et al. Late cardiac adverse events in patients with cancer treated with immune checkpoint inhibitors. J. Immunother. Cancer 2019, 8, e000261. [Google Scholar] [CrossRef] [Green Version]
- Mascolo, A.; Scavone, C.; Ferrajolo, C.; Rafaniello, C.; Danesi, R.; Del Re, M.; Russo, A.; Coscioni, E.; Rossi, F.; Alfano, R.; et al. Immune Checkpoint Inhibitors and Cardiotoxicity: An Analysis of Spontaneous Reports in Eudravigilance. Drug Saf. 2021, 44, 957–971. [Google Scholar] [CrossRef]


| Patients’ Characteristics | Pt 1: M, 52 years old, MSM CDC-C3 (Kaposi’s Sarcoma) Previously: R-CHOP for Castelman Disease (2014), ABVD for Hodgkin Lymphoma (2019) KS 80 | Pt 2: F, 46 years old, IDU CDC-B3 at diagnosis of HIV Previously: HCV-Ab, arterial hypertension, thyreopathy, psychosis KS 50 | Pt3: M, 36 years old, MSM CDC-C3 at diagnosis of HIV (PCP) No other comorbidities KS 70 | Pt 4: M, 43 years old, MSM CDC-A2 (PHI) Previously: syphilis KS 60 | Pt 5: M, 30 years old, MSM CDC-C3 (PML) Previously: gastritis KS 50 |
| cART History | 2012 to 2016 FTC/TDF/EFV→FTC/TDF/RPV Off therapy until 2019 At T0: FTC/TDF/DTC | Off therapy At T0: FTC/TDF/DTG | Off therapy At T0: BIC/F/TAF | From 2012 to 2016 FTC/TDF/DRV/r→ FTC/TDF/DRV/c→ E/c/FTC/TAF Off therapy since 2016 At T0 (2020): FTC/TAF/DRV/c+DTG | Start 1 month before PML diagnosis with FTC/TAF/BIC+DRV/c |
| Viro-Immunological Assessment | At T0: CD4 T 282 cells/mmc (15.6%) HIV RNA <30 cps/mL CSF JCV DNA 262,800 cps/mL At T7: CD4 T 264 cells/mmc (13%) HIV RNA <30 cps/mL CSF JCV DNA 20 cps/mL | At T0: CD4 T 158 cells/mmc (11.2%) HIV RNA 5,950,845 cps/mL CSF JCV DNA 9540 cps/mL At T5: CD4 T 276 cells/mmc (17.5%) HIV RNA <30 cps/mL CSF JCV DNA 33 cps/mL | At T0: CD4 T 89 cells/mmc (6.8%) HIV RNA 619 cps/mL CSF JCV DNA 183 cps/mL At T5: CD4 T 55 cells/mmc (6%) HIV RNA <30 cps/mL CSF JCV DNA 43 cps/mL | At T0: CD4 T 64 cells/mmc (13.2%) HIV RNA 28,344 cps/mL CSF JCV DNA 338,910 cps/mL At T2: CD4 T 75 cells/mmc (11.5%), HIV RNA <30 cps/mL CSF JCV DNA 10 cps/mL | At T0: CD4 T 15 cells/mmc (2.2%), HIV RNA 351 cps/mL CSF JCV DNA 14,430 cps/mL At T2: CD4 T 35 cells/mmc (4.5%) HIV RNA 170 cps/mL CSF JCV DNA 33 cps/mL |
| Neurological Signs/ Symptoms | Left hemianopia and loss of vision | Ataxia, loss of vision, left dysmetria and psychosis | Aphasia, confusion and comitial crisis | Aphasia and faciobrachial crural hemiparesis | Cognitive impairment, behavioral disturbances, progressive facio-brachial-crural hemiparesis, aphasia |
| Clinical Outcomes | Clinical and radiological improvement |
Lack of evolution Clinical and radiological stability | Clinical and radiological improvement | Death due to sepsis | Death due to sepsis |
Publisher’s Note: MDPI stays neutral with regard to jurisdictional claims in published maps and institutional affiliations. |
© 2022 by the authors. Licensee MDPI, Basel, Switzerland. This article is an open access article distributed under the terms and conditions of the Creative Commons Attribution (CC BY) license (https://creativecommons.org/licenses/by/4.0/).
Share and Cite
Pinnetti, C.; Cimini, E.; Vergori, A.; Mazzotta, V.; Grassi, G.; Mondi, A.; Forbici, F.; Amendola, A.; Grisetti, S.; Baldini, F.; et al. Use of Pembrolizumab for Treatment of Progressive Multifocal Leukoencephalopathy in People Living with HIV. Viruses 2022, 14, 970. https://doi.org/10.3390/v14050970
Pinnetti C, Cimini E, Vergori A, Mazzotta V, Grassi G, Mondi A, Forbici F, Amendola A, Grisetti S, Baldini F, et al. Use of Pembrolizumab for Treatment of Progressive Multifocal Leukoencephalopathy in People Living with HIV. Viruses. 2022; 14(5):970. https://doi.org/10.3390/v14050970
Chicago/Turabian StylePinnetti, Carmela, Eleonora Cimini, Alessandra Vergori, Valentina Mazzotta, Germana Grassi, Annalisa Mondi, Federica Forbici, Alessandra Amendola, Susanna Grisetti, Francesco Baldini, and et al. 2022. "Use of Pembrolizumab for Treatment of Progressive Multifocal Leukoencephalopathy in People Living with HIV" Viruses 14, no. 5: 970. https://doi.org/10.3390/v14050970
APA StylePinnetti, C., Cimini, E., Vergori, A., Mazzotta, V., Grassi, G., Mondi, A., Forbici, F., Amendola, A., Grisetti, S., Baldini, F., Candela, C., Casetti, R., Campioni, P., Capobianchi, M. R., Agrati, C., & Antinori, A. (2022). Use of Pembrolizumab for Treatment of Progressive Multifocal Leukoencephalopathy in People Living with HIV. Viruses, 14(5), 970. https://doi.org/10.3390/v14050970

