First Report of TTSuV1 in Domestic Swiss Pigs
Abstract
1. Introduction
2. Materials and Methods
2.1. Animals and Tissues
2.2. Histologic Examination
2.3. Quantitative Real-Time Polymerase Chain Reaction (Real-Time PCR) for Detection of TTSuV1
2.4. DNA In Situ Hybridization (ISH) for TTSuV1
2.5. Immunohistochemistry (IHC) and Histochemistry
2.6. Statistical Analysis
3. Results
3.1. Histology and TTSuV1 Detection by Real-Time PCR
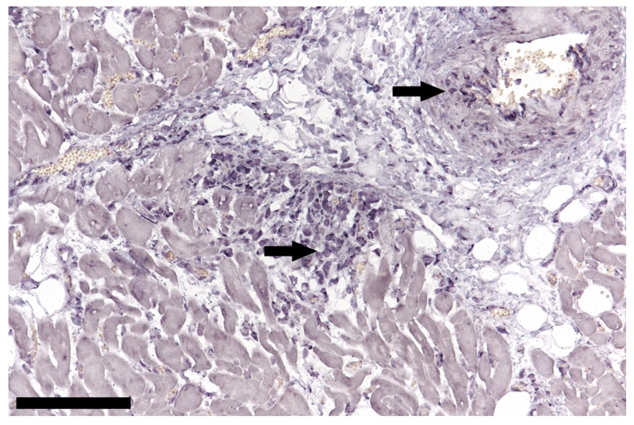
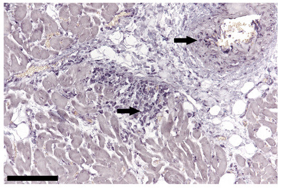
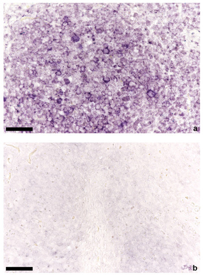
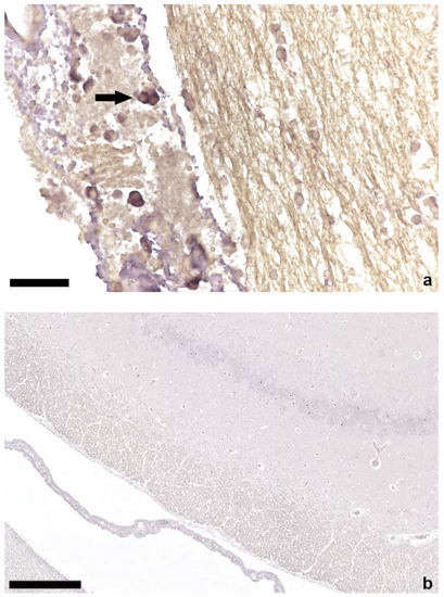
3.2. TTSuV1 Detection by DNA ISH and Immunohistochemical/Histochemical Investigation of the Porcine Brain
4. Discussion
5. Conclusions
Supplementary Materials
Author Contributions
Funding
Institutional Review Board Statement
Informed Consent Statement
Data Availability Statement
Acknowledgments
Conflicts of Interest
References
- Nishizawa, T.; Okamoto, H.; Konishi, K.; Yoshizawa, H.; Miyakawa, Y.; Mayumi, M. A novel DNA virus (TTV) associated with elevated transaminase levels in posttransfusion hepatitis of unknown etiology. Biochem. Biophys. Res. Commun. 1997, 241, 92–97. [Google Scholar] [CrossRef]
- Miyata, H.; Tsunoda, H.; Kazi, A.; Yamada, A.; Khan, M.A.; Murakami, J.; Kamahora, T.; Shiraki, K.; Hino, S. Identification of a novel GC-rich 113-nucleotide region to complete the circular, single-stranded DNA genome of TT virus, the first human circovirus. J. Virol. 1999, 73, 3582–3586. [Google Scholar] [CrossRef]
- Mushahwar, I.K.; Erker, J.C.; Muerhoff, A.S.; Leary, T.P.; Simons, J.N.; Birkenmeyer, L.G.; Chalmers, M.L.; Pilot-Matias, T.J.; Dexai, S.M. Molecular and biophysical characterization of TT virus: Evidence for a new virus family infecting humans. Proc. Natl. Acad. Sci. USA 1999, 96, 3177–3182. [Google Scholar] [CrossRef] [PubMed]
- Leary, T.P.; Erker, J.C.; Chalmers, M.L.; Desai, S.M.; Mushahwar, I.K. Improved detection systems for TT virus reveal high prevalence in humans, non-human primates and farm animals. J. Gen. Virol. 1999, 80, 2115–2120. [Google Scholar] [CrossRef] [PubMed]
- Li, L.; Giannitti, F.; Low, J.; Keyes, C.; Ullmann, L.S.; Deng, X.; Aleman, M.; Pesavento, P.A.; Pusterla, N.; Delwart, E. Exploring the virome of diseased horses. J. Gen. Virol. 2015, 96, 2721–2733. [Google Scholar] [CrossRef]
- Okamoto, H.; Nishizawa, T.; Takahashi, M.; Tawara, A.; Peng, Y.; Kishimoto, J.; Wang, Y. Genomic and evolutionary characterization of TT virus (TTV) in tupaias and comparison with species-specific TTVs in humans and non-human primates. J. Gen. Virol. 2001, 82, 2041–2050. [Google Scholar] [CrossRef]
- Okamoto, H.; Takahashi, M.; Nishizawa, T.; Tawara, A.; Fukai, K.; Muramatsu, U.; Naito, Y.; Yoshikawa, A. Genomic characterization of TT viruses (TTVs) in pigs, cats and dogs and their relatedness with species-specific TTVs in primates and tupaias. J. Gen. Virol. 2002, 83, 1291–1297. [Google Scholar] [CrossRef]
- International Committee on Taxonomy of Viruses (ICTV). Available online: https://talk.ictvonline.org/taxonomy (accessed on 4 March 2022).
- Cortey, M.; Macera, L.; Segalés, J.; Kekarainen, T. Genetic variability and phylogeny of Torque teno sus virus 1 (TTSuV1) and 2 (TTSuV2) based on complete genomes. Vet. Microbiol. 2011, 148, 125–131. [Google Scholar] [CrossRef]
- Cortey, M.; Pileri, E.; Segalés, J.; Kekarainen, T. Globalisation and global trade influence molecular viral population genetics of Torque Teno Sus Viruses 1 and 2 in pigs. Vet. Microbiol. 2012, 156, 81–87. [Google Scholar] [CrossRef] [PubMed]
- Lee, Y.; Lin, C.M.; Jeng, C.R.; Chang, H.W.; Chang, C.C.; Pang, V.F. The pathogenic role of torque teno sus virus 1 and 2 and their correlations with various viral pathogens and host immunocytes in wasting pigs. Vet. Microbiol. 2015, 180, 186–195. [Google Scholar] [CrossRef] [PubMed]
- Sibila, M.; Martínez-Guinó, L.; Huerta, E.; Llorens, A.; Mora, M.; Grau-Roma, L.; Kekarainen, T.; Segalés, J. Swine torque teno virus (TTV) infection and excretion dynamics in conventional pig farms. Vet. Microbiol. 2009, 139, 213–218. [Google Scholar] [CrossRef] [PubMed]
- Aramouni, M.; Segalés, J.; Sibila, M.; Martin-Valls, G.E.; Nieto, D.; Kekarainen, T. Torque teno sus virus 1 and 2 viral loads in postweaning multisystemic wasting syndrome (PMWS) and porcine dermatitis and nephropathy syndrome (PDNS) affected pigs. Vet. Microbiol. 2011, 153, 377–381. [Google Scholar] [CrossRef] [PubMed]
- Kekarainen, T.; Sibila, M.; Segalés, J. Prevalence of swine Torque teno virus in post-weaning multisystemic wasting syndrome (PMWS)-affected and non- PMWS-affected pigs in Spain. J. Gen. Virol. 2006, 87, 833–837. [Google Scholar] [CrossRef] [PubMed]
- Blois, S.; Mallus, F.; Liciardi, M.; Pilo, C.; Camboni, T.; Macera, L.; Maggi, F.; Manzin, A. High prevalence of co-infection with multiple Torque teno sus virus species in Italian pig herds. PLoS ONE 2014, 9, e113720. [Google Scholar] [CrossRef]
- Ramos, N.; Mirazo, S.; Botto, G.; Teixeira, T.F.; Cibulski, S.P.; Castro, G.; Cabrera, K.; Roehe, P.M.; Arbiza, J. High frequency and extensive genetic heterogeneity of TTSuV1 and TTSuVk2a in PCV2-infected and non-infected domestic pigs and wild boars from Uruguay. Vet. Microbiol. 2018, 224, 78–87. [Google Scholar] [CrossRef]
- McKeown, N.E.; Fenaux, M.; Halbur, P.G.; Meng, X.J. Molecular characterization of porcine TT virus, an orphan virus, in pigs from six different countries. Vet. Microbiol. 2004, 104, 113–117. [Google Scholar] [CrossRef]
- Xiao, C.T.; Giménez-Lirola, L.; Huang, Y.W.; Meng, X.J.; Halbur, P.G.; Opriessnig, T. The prevalence of Torque teno sus virus (TTSuV) is common and increases with the age of growing pigs in the United States. J. Virol. Methods 2012, 183, 40–44. [Google Scholar] [CrossRef]
- Subramanyam, V.; Hemadri, D.; Kashyap, S.P.; Hiremath, J.; Barman, N.N.; Ralte, E.L.; Patil, S.S.; Suresh, K.P.; Rahaman, H. Detection of torque teno sus virus infection in Indian pigs. Vet. World 2019, 12, 1467–1471. [Google Scholar] [CrossRef]
- Gallei, A.; Pesch, S.; Esking, W.S.; Keller, C.; Ohlinger, V.F. Porcine Torque teno virus: Determination of viral genomic loads by genogroup-specific multiplex rt-PCR, detection of frequent multiple infections with genogroups 1 or 2, and establishment of viral full-length sequences. Vet. Microbiol. 2010, 143, 202–212. [Google Scholar] [CrossRef]
- Jarosova, V.; Pogranichniy, R.; Celer, V. Prevalence and age distribution of porcine torque teno sus virus (TTSuV) in the Czech Republic. Folia Microbiol. 2011, 56, 90–94. [Google Scholar] [CrossRef]
- Lang, C.; Griessler, A.; Pirker, E.; Söllner, H.; Segalés, J.; Kekarainen, T.; Ritzmann, M. Detection of porcine Circovirus type 2 and Torque-Teno-Sus-virus 1 and 2 in semen samples of boars from an Austrian artificial insemination centre. Tierärztl. Prax. Ausg. G 2011, 39, 201–204. [Google Scholar]
- Novosel, D.; Cubric-Curik, V.; Jungic, A.; Lipej, Z. Presence of Torque teno sus virus in porcine circovirus type 2-associated disease in Croatia. Vet. Rec. 2012, 171, 529. [Google Scholar] [CrossRef] [PubMed]
- McMenamy, M.J.; McKillen, J.; McNair, I.; Duffy, C.; Blomström, A.L.; Charreyre, C.; Welsh, M.; Allan, G. Detection of a porcine boca-like virus in combination with porcine circovirus type 2 genotypes and Torque teno sus virus in pigs from postweaning multisystemic wasting syndrome (PMWS)-affected and non-PMWS-affected farms in archival samples from Great Britain. Vet. Microbiol. 2013, 164, 293–298. [Google Scholar] [PubMed]
- Hino, S.; Miyata, H. Torque teno virus (TTV): Current status. Rev. Med. Virol. 2007, 17, 45–57. [Google Scholar] [CrossRef]
- Ikuta, Y.; Oba, K.; Nai, E.; Katori, T.; Hashino, M.; Inamine, Y.; Matsunaga, S.; Yamaoka, Y.; Sekizuka, T.; Ryo, A.; et al. Aseptic meningitis caused by torque teno virus in an infant: A case report. J. Med. Case Rep. 2019, 13, 302. [Google Scholar] [CrossRef]
- Kubacki, J.; Fraefel, C.; Bachofen, C. Implementation of next-generation sequencing for virus identification in veterinary diagnostic laboratories. J. Vet. Diagn. Investig. 2021, 33, 235–247. [Google Scholar] [CrossRef]
- Brassard, J.; Gagné, M.J.; Houde, A.; Poitras, E.; Ward, P. Development of a real-time TaqMan PCR assay for the detection of porcine and bovine Torque teno virus. J. Appl. Microbiol. 2010, 108, 2191–2198. [Google Scholar] [CrossRef]
- Lee, Y.; Lin, C.M.; Jeng, C.R.; Pang, V.F. Detection of torque teno sus virus 1 and 2 in porcine tissues by in situ hybridization using multi-strained pooled probes. Vet. Microbiol. 2014, 172, 390–399. [Google Scholar] [CrossRef]
- Saura-Martinez, H.; Al-Saadi, M.; Stewart, J.P.; Kipar, A. Sheep-associated malignant catarrhal fever: Role of latent virus and macrophages in vasculitis. Vet. Pathol. 2021, 58, 332–345. [Google Scholar] [CrossRef]
- Liu, J.; Guo, L.; Zhang, L.; Wei, Y.; Huang, L.; Wu, H.; Liu, C. Three new emerging subgroups of Torque teno sus viruses (TTSuVs) and co-infection of TTSuVs with porcine circovirus type 2 in China. Virol. J. 2013, 10, 189. [Google Scholar] [CrossRef]
- Aramouni, M.; Segalés, J.; Cortey, M.; Kekarainen, T. Age-related tissue distribution of swine Torque teno sus virus 1 and 2. Vet. Microbiol. 2010, 146, 350–353. [Google Scholar] [CrossRef] [PubMed]
- Martínez-Guinó, L.; Kekarainen, T.; Segalés, J. Evidence of Torque teno virus (TTV) vertical transmission in swine. Theriogenology 2009, 71, 1390–1395. [Google Scholar] [CrossRef] [PubMed]
- Pozzuto, T.; Mueller, B.; Meehan, B.; Ringler, S.S.; McIntosh, K.A.; Ellis, J.A.; Mankertz, A.; Krakowka, S. In utero transmission of porcine torque teno viruses. Vet. Microbiol. 2009, 137, 375–379. [Google Scholar] [CrossRef] [PubMed]
- Leme, R.A.; Alfieri, A.F.; Alfieri, A.A. Torque teno sus virus (TTSuV) infection at different stages of pig production cycle. Pesq. Vet. Bras. 2013, 33, 840–846. [Google Scholar] [CrossRef][Green Version]
- Cornelissen-Keijsers, V.; Jiménez-Melsió, A.; Sonnemans, D.; Cortey, M.; Segalés, J.; van den Born, E.; Kekarainen, T. Discovery of a novel Torque teno sus virus species: Genetic characterization, epidemiological assessment and disease association. J. Gen. Virol. 2012, 93, 2682–2691. [Google Scholar] [CrossRef][Green Version]
- Ellis, J.A.; Allan, G.M.; Krakowka, S. Effect of coinfection with genogroup 1 porcine torque teno virus on porcine circovirus type 2-associated postweaning multisystemic wasting syndrome in gnotobiotic pigs. Am. J. Vet. Res. 2008, 69, 1608–1614. [Google Scholar] [CrossRef]
- Ghosh, S.; Soto, E.; Illanes, O.; Navarro, R.; Aung, M.S.; Malik, Y.S.; Kobayashi, N.; Fuentealba, C. High detection rates of Torque teno sus virus in co-infection with important viral pathogens in porcine kidneys on St. Kitts Island, Lesser Antilles. Transbound. Emerg. Dis. 2018, 65, 1175–1181. [Google Scholar] [CrossRef]
- Krakowka, S.; Ellis, J.A. Evaluation of the effects of porcine genogroup 1 torque teno virus in gnotobiotic swine. Am. J. Vet. Res. 2008, 69, 1623–1629. [Google Scholar] [CrossRef]
- Sidler, X.; Sydler, T.; Mateos, J.M.; Klausmann, S.; Brugnera, E. Porcine Circovirus Type 2 Pathogenicity Alters Host’s Central Tolerance for Propagation. Pathogens 2020, 9, 839. [Google Scholar] [CrossRef]
- Teixeira, T.F.; Dezen, D.; Cibulski, S.P.; Varela, A.P.; Holz, C.L.; Franco, A.C.; Roehe, P.M. Torque teno sus virus (TTSuV) in cell cultures and trypsin. PLoS ONE 2011, 6, e17501. [Google Scholar] [CrossRef]
- Righi, F.; Arnaboldi, S.; Filipello, V.; Ianiro, G.; Di Bartolo, I.; Calò, S.; Bellini, S.; Trogu, T.; Lelli, D.; Bianchi, A.; et al. Torque Teno Sus Virus (TTSuV) Prevalence in Wild Fauna of Northern Italy. Microorganisms 2022, 10, 242. [Google Scholar] [CrossRef] [PubMed]
- Blomström, A.L.; Ståhl, K.; Masembe, C.; Okoth, E.; Okurut, A.R.; Atmnedi, P.; Kemp, S.; Bishop, R.; Belák, S.; Berg, M. Viral metagenomic analysis of bushpigs (Potamochoerus larvatus) in Uganda identifies novel variants of Porcine parvovirus 4 and Torque teno sus virus 1 and 2. Virol. J. 2012, 9, 192. [Google Scholar] [CrossRef] [PubMed]
- Kekarainen, T.; Segalés, J. Torque teno virus infection in the pig and its potential role as a model of human infection. Vet. J. 2009, 180, 163–168. [Google Scholar] [CrossRef] [PubMed]
- Okamoto, H.; Takahashi, M.; Nishizawa, T.; Tawara, A.; Sugai, Y.; Sai, T.; Tanaka, T.; Tsuda, F. Replicative forms of TT virus DNA in bone marrow cells. Biochem. Biophys. Res. Commun. 2000, 270, 657–662. [Google Scholar] [CrossRef] [PubMed]
- Okamoto, H.; Ukita, M.; Nishizawa, T.; Kishimoto, J.; Hoshi, Y.; Mizuo, H.; Tanaka, T.; Miyakawa, Y.; Mayumi, M. Circular double-stranded forms of TT virus DNA in the liver. J. Virol. 2000, 74, 5161–5167. [Google Scholar] [CrossRef] [PubMed]
- Mancuso, R.; Saresella, M.; Hernis, A.; Agostini, S.; Piancone, F.; Caputo, D.; Maggi, F.; Clerici, M. Torque teno virus (TTV) in multiple sclerosis patients with different patterns of disease. J. Med. Virol. 2013, 85, 2176–2183. [Google Scholar] [CrossRef]




| Antibody | Company/Item Number | Dilution | Pretreatment |
|---|---|---|---|
| GFAP | Dako Z0334 | 1:600 | pressure cooker pH 6 |
| beta-APP | Millipore MAB348 | 1:800 | pressure cooker pH 6 |
| Iba-1 | Wako 019-19741 | 1:750 | pressure cooker pH 6 |
| CD3 | Dako M725401 | 1:15 | pressure cooker pH 9 |
| CD79a | Bio-Rad MCA2538GA | 1:1000 | pressure cooker pH 9 |
| FOXP3 | Invitrogen 14-5773-82 | 1:50 | pressure cooker pH 6 |
| Tissue | TTSuV1 ISH Positive |
|---|---|
| Brain | 8/38 |
| Mesenteric lymph node | 9/22 |
| Spleen | 8/22 |
| Lung | 9/22 |
| Heart | 2/22 |
| Liver | 0/22 |
| Kidney | 0/22 |
| Brain PCR Pos * | Brain PCR Neg * | Spleen PCR Pos | Spleen PCR Neg | Lung PCR Pos | Lung PCR Neg | |
|---|---|---|---|---|---|---|
| Brain ISH pos | 8 | 0 | 2 | 0 | 2 | 0 |
| Brain ISH neg | 20 | 10 | 15 | 5 | 15 | 5 |
| Lymph node pos | 9 | 0 | 8 | 1 | 9 | 0 |
| Lymph node neg | 7 | 6 | 9 | 4 | 8 | 5 |
| Spleen ISH pos | 8 | 0 | 7 | 1 | 8 | 0 |
| Spleen ISH neg | 8 | 6 | 10 | 4 | 9 | 5 |
| Lung ISH pos | 9 | 0 | 8 | 1 | 9 | 0 |
| Lung ISH neg | 7 | 6 | 9 | 4 | 8 | 5 |
| Heart ISH pos | 2 | 0 | 2 | 0 | 2 | 0 |
| Heart ISH neg | 14 | 6 | 15 | 5 | 15 | 5 |
| Liver ISH pos | 0 | 0 | 0 | 0 | 0 | 0 |
| Liver ISH neg | 16 | 6 | 17 | 5 | 17 | 5 |
| Kidney ISH pos | 0 | 0 | 0 | 0 | 0 | 0 |
| Kidney ISH neg | 16 | 6 | 17 | 5 | 17 | 5 |
Publisher’s Note: MDPI stays neutral with regard to jurisdictional claims in published maps and institutional affiliations. |
© 2022 by the authors. Licensee MDPI, Basel, Switzerland. This article is an open access article distributed under the terms and conditions of the Creative Commons Attribution (CC BY) license (https://creativecommons.org/licenses/by/4.0/).
Share and Cite
Polster, S.; Lechmann, J.; Lienhard, J.; Peltzer, D.; Prähauser, B.; Bachofen, C.; Seehusen, F. First Report of TTSuV1 in Domestic Swiss Pigs. Viruses 2022, 14, 870. https://doi.org/10.3390/v14050870
Polster S, Lechmann J, Lienhard J, Peltzer D, Prähauser B, Bachofen C, Seehusen F. First Report of TTSuV1 in Domestic Swiss Pigs. Viruses. 2022; 14(5):870. https://doi.org/10.3390/v14050870
Chicago/Turabian StylePolster, Sabrina, Julia Lechmann, Julia Lienhard, Deborah Peltzer, Barbara Prähauser, Claudia Bachofen, and Frauke Seehusen. 2022. "First Report of TTSuV1 in Domestic Swiss Pigs" Viruses 14, no. 5: 870. https://doi.org/10.3390/v14050870
APA StylePolster, S., Lechmann, J., Lienhard, J., Peltzer, D., Prähauser, B., Bachofen, C., & Seehusen, F. (2022). First Report of TTSuV1 in Domestic Swiss Pigs. Viruses, 14(5), 870. https://doi.org/10.3390/v14050870

