Subacute Sclerosing Panencephalitis in Children: The Archetype of Non-Vaccination
Abstract
1. Introduction
1.1. Pathogenesis
1.2. Clinical Features and Diagnosis
1.3. Treatment
2. Materials and Methods
2.1. Dyken’s Criteria for SSPE Diagnosis
2.2. Case Descriptions
3. Results
Case Series
4. Discussion
5. Conclusions
Author Contributions
Funding
Institutional Review Board Statement
Informed Consent Statement
Data Availability Statement
Acknowledgments
Conflicts of Interest
References
- Campbell, H.; Andrews, N.; Brown, K.E.; Miller, E. Review of the effect of measles vaccination on the epidemiology of SSPE. Int. J. Epidemiol. 2007, 36, 1334–1348. [Google Scholar] [CrossRef] [PubMed]
 - Alexander, J.P.; Patel, M.; Goodson, J.; Alexander, J. Progress Toward Regional Measles Elimination—Worldwide, 2000–2019. MMWR Morb. Mortal. Wkly. Rep. 2020, 69, 1700–1705. [Google Scholar] [CrossRef]
 - Phadke, V.K.; Bednarczyk, R.A.; Omer, S.B.; Omer, S. Vaccine Refusal and Measles Outbreaks in the US. JAMA 2020, 324, 1344–1345. [Google Scholar] [CrossRef] [PubMed]
 - Durrheim, D.N.; Andrus, J.K.; Tabassum, S.; Bashour, H.; Githanga, D.; Pfaff, G. A dangerous measles future looms beyond the COVID-19 pandemic. Nat. Med. 2021, 27, 360–361. [Google Scholar] [CrossRef]
 - White, J.M.; McDonald, H.; Tessier, E.; White, J. Early impact of the coronavirus disease (COVID-19) pandemic and physical distancing measures on routine childhood vaccinations in England, January to April 2020. Eurosurveillance 2020, 25, 2000848. [Google Scholar] [CrossRef]
 - Garg, R.K.; Mahadevan, A.; Malhotra, H.S.; Rizvi, I.; Kumar, N.; Uniyal, R. Subacute sclerosing panencephalitis. Rev. Med. Virol. 2019, 29, e2058. [Google Scholar] [CrossRef]
 - Miller, C.; Farrington, C.P.; Harbert, K. The epidemiology of subacute sclerosing panencephalitis in England and Wales 1970–1989. Int. J. Epidemiol. 1992, 21, 998–1006. [Google Scholar] [CrossRef] [PubMed][Green Version]
 - Jafri, S.K.; Kumar, R.; Ibrahim, S. Subacute sclerosing panencephalitis—Current perspectives. Pediatr. Health Med. Ther. 2018, 9, 67–71. [Google Scholar] [CrossRef]
 - Lawrence, D.M.; Patterson, C.E.; Gales, T.L.; D’Orazio, J.L.; Vaughn, M.M.; Rall, G.F. Measles virus spread between neurons requires cell contact but not CD46 expression, syncytium formation, or extracellular virus production. J. Virol. 2000, 74, 1908–1918. [Google Scholar] [CrossRef] [PubMed]
 - Magurano, F.; Marella, G.L.; Marchi, A.; Filia, A.; Marsella, L.T.; Potenza, S.; Massa, R.; Bucci, P.; Baggieri, M.; Nicoletti, L. A case of fulminant subacute sclerosing panencephalitis presenting with acute myoclonic-astatic epilepsy. Ann. Ist. Super. Sanita 2017, 53, 167–169. [Google Scholar] [CrossRef] [PubMed]
 - Budka, H.; Lassmann, H.; Popow-Kraupp, T. Measles virus antigen in panencephalitis. An immunomorphological study stressing dendritic involvement in SSPE. Acta Neuropathol. 1982, 56, 52–62. [Google Scholar] [CrossRef] [PubMed]
 - Allen, I.V.; McQuaid, S.; McMahon, J.; Kirk, J.; McConnell, R. The significance of measles virus antigen and genome distribution in the CNS in SSPE for mechanisms of viral spread and demyelination. J. Neuropathol. Exp. Neurol. 1996, 55, 471–480. [Google Scholar] [CrossRef] [PubMed]
 - Plumb, J.; Duprex, W.P.; Stewart Cameron, C.H.; Richter-Landsberg, C.; Talbot, P.; McQuaid, S. Infection of human oligodendroglioma cells by a recombinant measles virus expressing enhanced green fluorescent protein. J. Neurovirol. 2002, 8, 24–34. [Google Scholar] [CrossRef] [PubMed]
 - Hübschen, J.M.; Gouandjika-Vasilache, I.; Dina, J. Measles. Lancet 2022, 399, 678–690. [Google Scholar] [CrossRef]
 - World Health Organization. Update of the nomenclature for describing the genetic characteristics of wild-type measles viruses: New genotypes and reference strains. Wkly. Epidemiol. Rec. 2003, 78, 229–232. [Google Scholar]
 - Rima, B.K.; Earle, J.A.P.; Yeo, R.P.; Herlihy, L.; Baczko, K.; Ter Meulen, V.; Carabana, J.; Caballero, M.; Celma, M.L.; Fernandez-Munoz, R. Temporal and geographical distribution of measles virus genotypes. J. Gen. Virol. 1995, 76, 1173–1180. [Google Scholar] [CrossRef]
 - Barrero, P.R.; Grippo, J.; Viegas, M.; Mistchenko, A.S. Wild-type Measles Virus in Brain Tissue of Children with Subacute Sclerosing Panencephalitis, Argentina. Emerg. Infect. Dis. 2003, 9, 1333. [Google Scholar] [CrossRef]
 - Baczko, K.; Lampe, J.; Liebert, U.G.; Brinckmann, U.; ter Meulen, V.; Pardowitz, I.; Budka, H.; Cosby, S.L.; Isserte, S.; Rima, B.K. Clonal expansion of hypermutated measles virus in a SSPE brain. Virology 1993, 197, 188–195. [Google Scholar] [CrossRef]
 - Baricevic, M.; Forcic, D.; Santak, M.; Mazuran, R. A comparison of complete untranslated regions of measles virus genomes derived from wild-type viruses and SSPE brain tissues. Virus Genes 2007, 35, 17–27. [Google Scholar] [CrossRef]
 - Barrero, P.R.; Zandomeni, R.O.; Mistchenko, A.S. Measles virus circulation in Argentina: 1991–1999. Arch. Virol. 2001, 146, 815–823. [Google Scholar] [CrossRef]
 - Shirogane, Y.; Takemoto, R.; Suzuki, T.; Kameda, T.; Nakashima, K.; Hashiguchi, T.; Yanagi, Y. CADM1 and CADM2 Trigger Neuropathogenic Measles Virus-Mediated Membrane Fusion by Acting in cis. J. Virol. 2021, 95, e00528-21. [Google Scholar] [CrossRef] [PubMed]
 - Watanabe, S.; Shirogane, Y.; Sato, Y.; Hashiguchi, T.; Yanagi, Y. New Insights into Measles Virus Brain Infections. Trends Microbiol. 2019, 27, 164–175. [Google Scholar] [CrossRef] [PubMed]
 - Ning, X.; Ayata, M.; Kimura, M.; Komase, K.; Furukawa, K.; Seto, T.; Ito, N.; Shingai, M.; Matsunaga, I.; Yamano, T.; et al. Alterations and diversity in the cytoplasmic tail of the fusion protein of subacute sclerosing panencephalitis virus strains isolated in Osaka, Japan. Virus Res. 2002, 86, 123–131. [Google Scholar] [CrossRef]
 - Schmid, A.; Spielhofer, P.; Cattaneo, R.; Baczko, K.; Ter Meulen, V.; Billeter, M.A. Subacute sclerosing panencephalitis is typically characterized by alterations in the fusion protein cytoplasmic domain of the persisting measles virus. Virology 1992, 188, 910–915. [Google Scholar] [CrossRef]
 - Brunel, J.; Kweder, H.H.; Ainouze, M.M.; Brunel, J.J. Measles Virus: Identification in the M Protein Primary Sequence of a Potential Molecular Marker for Subacute Sclerosing Panencephalitis. Adv. Virol. 2015, 2015, 769837. [Google Scholar] [CrossRef]
 - Watanabe, S.; Shirogane, Y.; Suzuki, S.O.; Ikegame, S.; Koga, R.; Yanagi, Y. Mutant fusion proteins with enhanced fusion activity promote measles virus spread in human neuronal cells and brains of suckling hamsters. J. Virol. 2013, 87, 2648–2659. [Google Scholar] [CrossRef]
 - Watanabe, S.; Ohno, S.; Shirogane, Y.; Suzuki, S.O.; Koga, R.; Yanagi, Y. Measles virus mutants possessing the fusion protein with enhanced fusion activity spread effectively in neuronal cells, but not in other cells, without causing strong cytopathology. J. Virol. 2015, 89, 2710–2717. [Google Scholar] [CrossRef]
 - Mathieu, C.; Bovier, F.T.; Ferren, M.; Lieberman, N.A.P.; Predella, C.; Lalande, A.; Peddu, V.; Lin, M.J.; Addetia, A.; Patel, A.; et al. Molecular Features of the Measles Virus Viral Fusion Complex That Favor Infection and Spread in the Brain. MBio 2021, 12, e00799-21. [Google Scholar] [CrossRef]
 - Shirogane, Y.; Watanabe, S.; Yanagi, Y. Cooperation between different RNA virus genomes produces a new phenotype. Nat. Commun. 2012, 3, 1235. [Google Scholar] [CrossRef]
 - Tahara, M.; Takeda, M.; Yanagi, Y. Altered interaction of the matrix protein with the cytoplasmic tail of hemagglutinin modulates measles virus growth by affecting virus assembly and cell-cell fusion. J. Virol. 2007, 81, 6827–6836. [Google Scholar] [CrossRef]
 - Angius, F.; Smuts, H.; Rybkina, K.; Stelitano, D.; Eley, B.; Wilmshurst, J.; Ferren, M.; Lalande, A.; Mathieu, C.; Moscona, A.; et al. Analysis of a Subacute Sclerosing Panencephalitis Genotype B3 Virus from the 2009–2010 South African Measles Epidemic Shows That Hyperfusogenic F Proteins Contribute to Measles Virus Infection in the Brain. J. Virol. 2019, 93, e01700-18. [Google Scholar] [CrossRef]
 - Cathomen, T.; Naim, H.Y.; Cattaneo, R. Measles viruses with altered envelope protein cytoplasmic tails gain cell fusion competence. J. Virol. 1998, 72, 1224–1234. [Google Scholar] [CrossRef]
 - Gascon, G.G.; Frosch, M.P. Case records of the Massachusetts General Hospital. Weekly clinicopathological exercises. Case 15-1998. A 34-year-old woman with confusion and visual loss during pregnancy. N. Engl. J. Med. 1998, 338, 1448–1456. [Google Scholar] [CrossRef] [PubMed]
 - Sato, Y.; Watanabe, S.; Fukuda, Y.; Hashiguchi, T.; Yanagi, Y.; Ohno, S. Cell-to-Cell Measles Virus Spread between Human Neurons Is Dependent on Hemagglutinin and Hyperfusogenic Fusion Protein. J. Virol. 2018, 92, e02166-17. [Google Scholar] [CrossRef] [PubMed]
 - Makhortova, N.R.; Askovich, P.; Patterson, C.E.; Gechman, L.A.; Gerard, N.P.; Rall, G.F. Neurokinin-1 enables measles virus trans-synaptic spread in neurons. Virology 2007, 362, 235–244. [Google Scholar] [CrossRef] [PubMed]
 - Shimizu, T.; Matsuishi, T.; Iwamoto, R.; Handa, K.; Yoshioka, H.; Kato, H.; Ueda, S.; Hara, H.; Tabira, T.; Mekada, E. Elevated levels of anti-CD9 antibodies in the cerebrospinal fluid of patients with subacute sclerosing panencephalitis. J. Infect. Dis. 2002, 185, 1346–1350. [Google Scholar] [CrossRef] [PubMed]
 - Takemoto, R.; Suzuki, T.; Hashiguchi, T.; Yanagi, Y.; Shirogane, Y. Short-Stalk Isoforms of CADM1 and CADM2 Trigger Neuropathogenic Measles Virus-Mediated Membrane Fusion by Interacting with the Viral Hemagglutinin. J. Virol. 2022, 96, e00528-21. [Google Scholar] [CrossRef] [PubMed]
 - Generous, A.R.; Harrison, O.J.; Troyanovsky, R.B.; Mateo, M.; Navaratnarajah, C.K.; Donohue, R.C.; Pfaller, C.K.; Alekhina, O.; Sergeeva, A.P.; Indra, I.; et al. Trans-endocytosis elicited by nectins transfers cytoplasmic cargo, including infectious material, between cells. J. Cell Sci. 2019, 132, jcs235507. [Google Scholar] [CrossRef] [PubMed]
 - Gutierrez, J.; Issacson, R.S.; Koppel, B.S.; Koppel, B. Subacute sclerosing panencephalitis: An update. Dev. Med. Child Neurol. 2010, 52, 901–907. [Google Scholar] [CrossRef] [PubMed]
 - Torisu, H.; Kusuhara, K.; Kira, R.; Bassuny, W.M.; Sakai, Y.; Sanefuji, M.; Takemoto, M.; Hara, T. Functional MxA promoter polymorphism associated with subacute sclerosing panencephalitis. Neurology 2004, 62, 457–460. [Google Scholar] [CrossRef] [PubMed]
 - Nakao, F.; Inoue, T.; Kira, R.; Nakao, F. Contribution of the interleukin 4 gene to susceptibility to subacute sclerosing panencephalitis. Arch. Neurol. 2002, 59, 822–827. [Google Scholar] [CrossRef]
 - Gadoth, N.; Kott, E.; Levin, S.; Hahn, T. The interferon system in subacute sclerosing panencephalitis and its response to isoprinosine. Brain Dev. 1989, 11, 308–312. [Google Scholar] [CrossRef]
 - Anlar, B.; Yalaz, K.; Öktem, F.; Köse, G. Long-term follow-up of patients with subacute sclerosing panencephalitis treated with intraventricular α-interferon. Neurology 1997, 48, 526–528. [Google Scholar] [CrossRef]
 - Oldstone, M.B.A.; Dales, S.; Tishon, A.; Lewicki, H.; Martin, L. A role for dual viral hits in causation of subacute sclerosing panencephalitis. J. Exp. Med. 2005, 202, 1185–1190. [Google Scholar] [CrossRef] [PubMed]
 - Jabbour, J.T.; Garcia, J.H.; Lemmi, H.; Ragland, J.; Duenas, D.A.; Sever, J.L. Subacute sclerosing panencephalitis. A multidisciplinary study of eight cases. JAMA 1969, 207, 2248–2254. [Google Scholar] [CrossRef]
 - Mekki, M.; Eley, B.; Hardie, D.; Wilmshurst, J.M. Subacute sclerosing panencephalitis: Clinical phenotype, epidemiology, and preventive interventions. Dev. Med. Child Neurol. 2019, 61, 1139–1144. [Google Scholar] [CrossRef] [PubMed]
 - Mustafa, M.M.; Weitman, S.D.; Winick, N.J.; Bellini, W.J.; Timmons, C.F.; Siegel, J.D. Subacute measles encephalitis in the young immunocompromised host: Report of two cases diagnosed by polymerase chain reaction and treated with ribavirin and review of the literature. Clin. Infect. Dis. 1993, 16, 654–660. [Google Scholar] [CrossRef]
 - Dyken, P.R.; Swift, A.; Durant, R.H. Long-term follow-up of patients with subacute sclerosing panencephalitis treated with inosiplex. Ann. Neurol. 1982, 11, 359–364. [Google Scholar] [CrossRef] [PubMed]
 - Jones, C.E.; Huttenlocher, P.R.; Dyken, P.R.; Jabbour, J.T.; Maxwell, K.W. Inosiplex therapy in subacute sclerosing panencephalitis. A multicentre, non-randomised study in 98 patients. Lancet 1982, 1, 1034–1037. [Google Scholar] [CrossRef]
 - Haddad, F.S.; Risk, W.S. Isoprinosine treatment in 18 patients with subacute sclerosing panencephalitis: A controlled study. Ann. Neurol. 1980, 7, 185–188. [Google Scholar] [CrossRef] [PubMed]
 - Miyazaki, K.; Hashimoto, K.; Suyama, K.; Sato, M.; Abe, Y.; Watanabe, M.; Kanno, S.; Maeda, H.; Kawasaki, Y.; Hosoya, M. Maintaining Concentration of Ribavirin in Cerebrospinal Fluid by a New Dosage Method; 3 Cases of Subacute Sclerosing Panencephalitis Treated Using a Subcutaneous Continuous Infusion Pump. Pediatr. Infect. Dis. J. 2019, 38, 496–499. [Google Scholar] [CrossRef] [PubMed]
 - Hosoya, M.; Mori, S.; Tomoda, A.; Mori, K.; Sawaishi, Y.; Kimura, H.; Shigeta, S.; Suzuki, H. Pharmacokinetics and effects of ribavirin following intraventricular administration for treatment of subacute sclerosing panencephalitis. Antimicrob. Agents Chemother. 2004, 48, 4631–4635. [Google Scholar] [CrossRef]
 - Hosoya, M.; Shigeta, S.; Mori, S.; Tomoda, A.; Shiraishi, S.; Miike, T.; Suzuki, H. High-dose intravenous ribavirin therapy for subacute sclerosing panencephalitis. Antimicrob. Agents Chemother. 2001, 45, 943–945. [Google Scholar] [CrossRef]
 - Gascon, G.G. International Consortium on Subacute Sclerosing Panencephalitis; Panencephalitis, International Consortium 439 on Subacute Sclerosing. Randomized treatment study of inosiplex versus combined inosiplex and intraventricular interferon-440 alpha in subacute sclerosing panencephalitis (SSPE): International multicenter study. J. Child Neurol. 2003, 18, 819–827. [Google Scholar] [CrossRef] [PubMed]
 - Tomoda, A.; Shiraishi, S.; Hosoya, M.; Hamada, A.; Miike, T. Combined treatment with interferon-alpha and ribavirin for subacute sclerosing panencephalitis. Pediatr. Neurol. 2001, 24, 54–59. [Google Scholar] [CrossRef]
 - Faruk Aydin, Ö.; Şenbil, N.; Kuyucu, N.; Gürer, Y.K.Y. Combined treatment with subcutaneous interferon-alpha, oral isoprinosine, and lamivudine for subacute sclerosing panencephalitis. J. Child Neurol. 2003, 18, 104–108. [Google Scholar] [CrossRef] [PubMed]
 - Gascon, G.; Yamani, S.; Crowell, J.; Stigsby, B.; Nester, M.; Kanaan, I.; Jallu, A. Combined oral isoprinosine-intraventricular alpha-interferon therapy for subacute sclerosing panencephalitis. Brain Dev. 1993, 15, 346–355. [Google Scholar] [CrossRef]
 - Sliva, J.; Pantzartzi, C.N.; Votava, M. Inosine Pranobex: A Key Player in the Game Against a Wide Range of Viral Infections and Non-Infectious Diseases. Adv. Ther. 2019, 36, 1878–1905. [Google Scholar] [CrossRef] [PubMed]
 - Tomoda, A.; Nomura, K.; Shiraishi, S.; Hamada, A.; Ohmura, T.; Hosoya, M.; Miike, T.; Sawaishi, Y.; Kimura, H.; Takashima, H.; et al. Trial of intraventricular ribavirin therapy for 431 subacute sclerosing panencephalitis in Japan. Brain Dev. 2003, 25, 514–517. [Google Scholar] [CrossRef]
 - Hashimoto, K.; Hosoya, M.; Hosoya, M. Advances in Antiviral Therapy for Subacute Sclerosing Panencephalitis. Molecules 2021, 26, 427. [Google Scholar] [CrossRef] [PubMed]
 - Ohya, T.; Yamashita, Y.; Shibuya, I.; Hara, M.; Nagamitsu, S.; Kaida, H.; Kurata, S.; Ishibashi, M.; Matsuishi, T. A serial 18FDG-436 PET study of a patient with SSPE who had good prognosis by combination therapy with interferon alpha and ribavirin. Eur. J. Paediatr. Neurol. 2014, 18, 536–539. [Google Scholar] [CrossRef]
 - Takahashi, T.; Hosoya, M.; Kimura, K.; Ohno, K.; Mori, S.; Takahashi, K.; Shigeta, S. The cooperative effect of interferon-α and ribavirin on subacute sclerosing panencephalitis (SSPE) virus infections, in vitro and in vivo. Antivir. Res. 1998, 37, 29–35. [Google Scholar] [CrossRef]
 - Magurano, F.; Baggieri, M.; Marchi, A.; Rezza, G.; Nicoletti, L.; Eleonora, B.; Concetta, F.; Stefano, F.; Maedeh, K.; Paola, B.; et al. SARS-CoV-2 infection: The environmental endurance of the virus can be influenced by the increase of temperature. Clin. Microbiol. Infect. 2021, 27, 289.e5–289.e7. [Google Scholar] [CrossRef]
 - Magurano, F.; Baggieri, M.; Fortuna, C.; Bella, A.; Filia, A.; Rota, M.C.; Benedetti, E.; Bucci, P.; Marchi, A.; Nicoletti, L. Measles elimination in Italy: Data from laboratory activity, 2011–2013. J. Clin. Virol. 2015, 64, 34–39. [Google Scholar] [CrossRef] [PubMed]
 - Pınar, A.; Tuncer Kurne, A.; Lay, İ.; Acar, N.P.; Karahan, S.; Karabudak, R.; Akbıyık, F. Cerebrospinal fluid oligoclonal banding patterns and intrathecal immunoglobulin synthesis: Data comparison from a wide patient group. Neurol. Sci. Neurophysiol. 2018, 35, 21–28. [Google Scholar] [CrossRef]
 - Yum, M.S.; Kwak, M.; Yeh, H.; Yum, M. A long-term subacute sclerosing panencephalitis survivor treated with intraventricular interferon-alpha for 13 years. Korean J. Pediatr. 2019, 62, 108–112. [Google Scholar] [CrossRef]
 - Anlar, B.; Aydin, O.F.; Guven, A.; Sonmez, F.M.; Kose, G.; Herguner, O. Retrospective evaluation of interferon-beta treatment in subacute sclerosing panencephalitis. Clin. Ther. 2004, 26, 1890–1894. [Google Scholar] [CrossRef]
 - D’Souza, R.; D’Souza, R. Vitamin A for treating measles in children. Cochrane Database Syst. Rev. 2001. [Google Scholar] [CrossRef]
 - Gungor, S.; Olmez, A.; Firat, P.A.; Haliloǧlu, G.; Anlar, B. Serum retinol and beta-carotene levels in subacute sclerosing panencephalitis. J. Child Neurol. 2007, 22, 341–343. [Google Scholar] [CrossRef]
 - Arciuolo, R.J.; Jablonski, R.R.; Zucker, J.R.; Rosen, J.B. Effectiveness of Measles Vaccination and Immune Globulin Post- Exposure Prophylaxis in an Outbreak Setting-New York City, 2013. Clin. Infect. Dis. 2017, 65, 1843–1847. [Google Scholar] [CrossRef]
 - Barrabeig, I.; Rovira, A.; Rius, C.; Muñoz, P.; Soldevila, N.; Batalla, J.; Domínguez, A. Effectiveness of measles vaccination for control of exposed children. Pediatr. Infect. Dis. J. 2011, 30, 78–80. [Google Scholar] [CrossRef] [PubMed]
 - Young, M.K. The indications and safety of polyvalent immunoglobulin for post-exposure prophylaxis of hepatitis A, rubella and measles. Hum. Vaccin. Immunother. 2019, 15, 2060–2065. [Google Scholar] [CrossRef] [PubMed]
 - Young, M.K.; Nimmo, G.R.; Cripps, A.W.; Jones, M.A. Post-exposure passive immunisation for preventing measles. Cochrane Database Syst. Rev. 2014. [Google Scholar] [CrossRef] [PubMed]
 - Temte, J.L.; McLean, H.Q.H.; Fiebelkorn, A.P.A.; Temte, J.L.J. Prevention of measles, rubella, congenital rubella syndrome, and mumps, 2013: Summary recommendations of the Advisory Committee on Immunization Practices (ACIP). Morb. Mortal. Wkly. Rep. Recomm. Rep. 2022, 62, 1–34. [Google Scholar]
 - Ferren, M.; Horvat, B.; Mathieu, C. Measles encephalitis: Towards new therapeutics. Viruses 2019, 11, 1017. [Google Scholar] [CrossRef]
 - Endo, A.; Izumi, H.; Miyashita, M.; Taniguchi, K.; Okubo, O.; Harada, K. Current efficacy of postexposure prophylaxis against measles with immunoglobulin. J. Pediatr. 2001, 138, 926–928. [Google Scholar] [CrossRef]
 - Reiber, H.; Lange, P. Quantification of virus-specific antibodies in cerebrospinal fluid and serum: Sensitive and specific detection of antibody synthesis in brain. Clin. Chem. 1991, 37, 1153–1160. [Google Scholar] [CrossRef]
 - Jacobi, C.; Lange, P.; Reiber, H.; Reiber, H. Quantitation of intrathecal antibodies in cerebrospinal fluid of subacute sclerosing panencephalitis, herpes simplex encephalitis and multiple sclerosis: Discrimination between microorganism-driven and polyspecific immune response. J. Neuroimmunol. 2007, 187, 139–146. [Google Scholar] [CrossRef]
 




| Stage | Clinical Features | 
|---|---|
| 1 | Irritability, personality changes, difficulty in school, lethargy and/or speech impairment | 
| 1A | Mild mental and/or behavioural changes | 
| 1B | Marked mental changes | 
| 2 | Movement disorders, such as dyskinesia, dystonia and myoclonus, seizures and/or dementia | 
| 2A | Myoclonus and/or other involuntary movements and/or epileptic seizures | 
| 2B | Focal deficits | 
| 2C | Marked involuntary movements, severe myoclonus and/or focal deficits with impairment of daily activities | 
| 2D | Akinetic mutism, vegetative state, decerebrated, decorticated rigidity or coma | 
| 3 | Extrapyramidal symptoms, decerebrate posturing and/or spasticity | 
| 4 | Coma, vegetative state, autonomic failure or akinetic mutism | 
| Authors and Type | Location | Number of Subjects | Mean Age (Years)  | Therapy | Stage of Disease at the Start of Therapy | Duration of Treatment | Follow-Up Duration | Results | Adverse Effects | Recommendations | 
|---|---|---|---|---|---|---|---|---|---|---|
| [48] Open label  | USA | 15 | 11.5 | Isoprinosine 100 mg/kg/day  | IV (7 sbj) III (1 sbj) II (6 sbj)  | 22 months (mean)  | 49 months (mean) | 4 died, 4 stable, 7 reduction in stage of 1 point  | Mild hyperuricemia | Isoprinosine may be efficacious in the treatment of SSPE. | 
| [49] Clinical trial  | USA Canada  | 98 | 9.8 | Isoprinosine 100 mg/kg/day  | NR | 1 month–9 years (range) | 1 year (mean) | Probability of survival at 2, 4, 6 and 8 years from onset of SSPE was 78%, 69%, 65% and 61%, compared with 38%, 20%, 14% and 8%, respectively, in a composite control group (p < 0.001)  | NR | Inosiprinosine seems to be able to prolong life in patients with SSPE. | 
| [42] Open label  | Israel | 11 | 14.5 | Isoprinosine  4 mg  | II (10 sbj) I (1 sbj)  | 3 months–7 years (range)  | NR | NR | No side effects | The expected downhill clinical course of SSPE was not influenced by isoprinosine.  | 
| [50] Open label  | Lebanon | 18 | 9.5 | Isoprinosine 50–100 mg/kg/day  | IV (3 sbj) III (2 sbj) II (13 sbj)  | 3–27 weeks (range)  | NR | 10 died, 3 stable, 5 slow decline  | No side effects | There is little support for any clinical efficacy of isoprinosine in SSPE. | 
| [51] Case series  | Japan | 3 | 15 | Ribavirin 1–4 mg/kg/day and INF-α 6 × 105 IU/day with continuous intraventricular  plus isoprinosine 100 mg/kg/day orally  | II (2 sbj) III (1 sbj)  | Ribavirin plus INF-α for 14 days, repeated after 10–21 days, and daily isoprinosine for 5–7 years  | 5–7 years (range)  | 2 slow progression, 1 stable  | Swelling of the lips and gums, as well as disturbance of consciousness for bolus administration of ribavirin haemolytic anaemia  | The clinical symptoms were temporarily relieved in all cases. | 
| [52] Case series  | Japan | 5 | 10.5 | Ribavirin 1–9 mg/kg/day and INF-α (dose NR) intraventricular plus isoprinosine (dose NR) orally  | IV (2 sbj) III (2 sbj) II (1 sbj)  | Ribavirin for 10 days, repeated after 20 days  | 3–13 months (range)  | 4 improved, 1 progression  | Lip swelling, conjunctival hyperaemia and drowsiness | Intraventricular administration of ribavirin is effective against SSPE if the CSF ribavirin concentration is maintained at a high level.  | 
| [53] Case series  | Japan | 2 | 13.5 | Ribavirin 10–30 mg/kg/day IV for 7 days, combined with intraventricular INF-α therapy (300 × 104 IU 3 times a week) and oral isoprinosine (5600 mg/day)  | III (1 sbj) II (1 sbj)  | Ribavirin for 7 days, repeated weekly for more than 6 months | NR | 1 stable, 1 improved  | Reversible anaemia and oral mucosal swelling | Intravenous administration of high-dose ribavirin combined with intraventricular administration of INF-α should be further pursued for their potential use in the therapy of SSPE patients.  | 
| [54] RCT  | International | 67 | 8.5 | Group A: 39 sbj inosiplex 100 mg/kg/day orally Group B: 28 sbj INF-α intrathecal 1,000,000 U/m2 twice a week  | IIB (27 sbj) IIA (33 sbj) 1B (17 sbj) 1° (3 sbj)  | 6 months | NR | Group A: 8 died, 2 improved, 10 stabilised, 6 worsened after treatment stopped, 17 deteriorated, 4 insufficient data; Group B: 4 died, 2 improved, 6 stabilised, 1 worsened after treatment stopped, 14 deteriorated, 5 insufficient data  | Hyperpyrexia CNS infection, shunt infection and blocked reservoir  | There was no statistically significant difference between the two groups on three outcome measures: the Neurological Disability Index, the Brief Assessment Examination and stage. | 
| [55] Case series  | Japan | 2 | 13.5 | Isoprinosine (180–200 mg/kg/day orally) daily and 300 × 104 IU of intrathecal IFN-α 3 times a week and IV ribavirin with an initial dose of 30–100 mg/kg/day for 1 week  | III (1 sbj) II (1 sbj)  | 3–13 months | NR | 2 stable | Hypertemia, anaemia, lip swelling  | Early administration of intrathecal high-dose INF-α and IV ribavirin should be considered as a possible therapy for SSPE.  | 
| [56] RCT  | Turkey | 19 | 5.5 | Isoprinosine (100 mg/kg/day orally), lamivudine  (10 mg/kg/day orally) and subcutaneous interferon IFN-α 10 mU/m2/3 times a week  | IIIB (8 sbj) IIIA (3 sbj) IIB (3 sbj) IIA (3 sbj) IB (2 sbj)  | IFN-α for 6 months and isoprinosine and lamivudine given during follow-up  | 16 months (mean)  | 3 died, 8 worsened, 4 stable, 3 improved  | Hypertemia and irritability | Combination treatment protocol resulted in higher remission rates and longer survival periods when compared with controls. | 
| [57] Open label  | Saudi Arabia | 18 | 8.9 | Oral isoprinosine (100 mg/kg/day) and intraventricular INF-α starting at 500,000 U twice a week and later increased to 3 million U biweekly  | II (11 sbj) III (7 sbj)  | Oral isoprinosine, 100 mg/kg/day and intraventricular IFN-α beginning at 500,000 U twice a week, increased to 3 million U every 2 weeks  | 10 months (mean) | 4 died, 3 improved, 4 stable, 7 worsened  | Ventriculitis-meningitis, thrombocytopenia, febrile reactions and lethargy | Combined oral isoprinosine intraventricular interferon appears to be an effective treatment for SSPE. | 
| Major | |
|---|---|
| 1 | Elevated CSF measles antibody titres * | 
| 2 | Typical or atypical clinical history | 
| Minor | |
| 3 | Typical EEG | 
| 4 | Elevated CSF globulin levels ** | 
| 5 | Brain biopsy | 
| 6 | Molecular diagnostic test to identify the MeV mutated genome | 
| General Information | Clinical Findings at Diagnosis | CSF Analysis | Instrumental Exams | Anatomopathology | |||||||||||
|---|---|---|---|---|---|---|---|---|---|---|---|---|---|---|---|
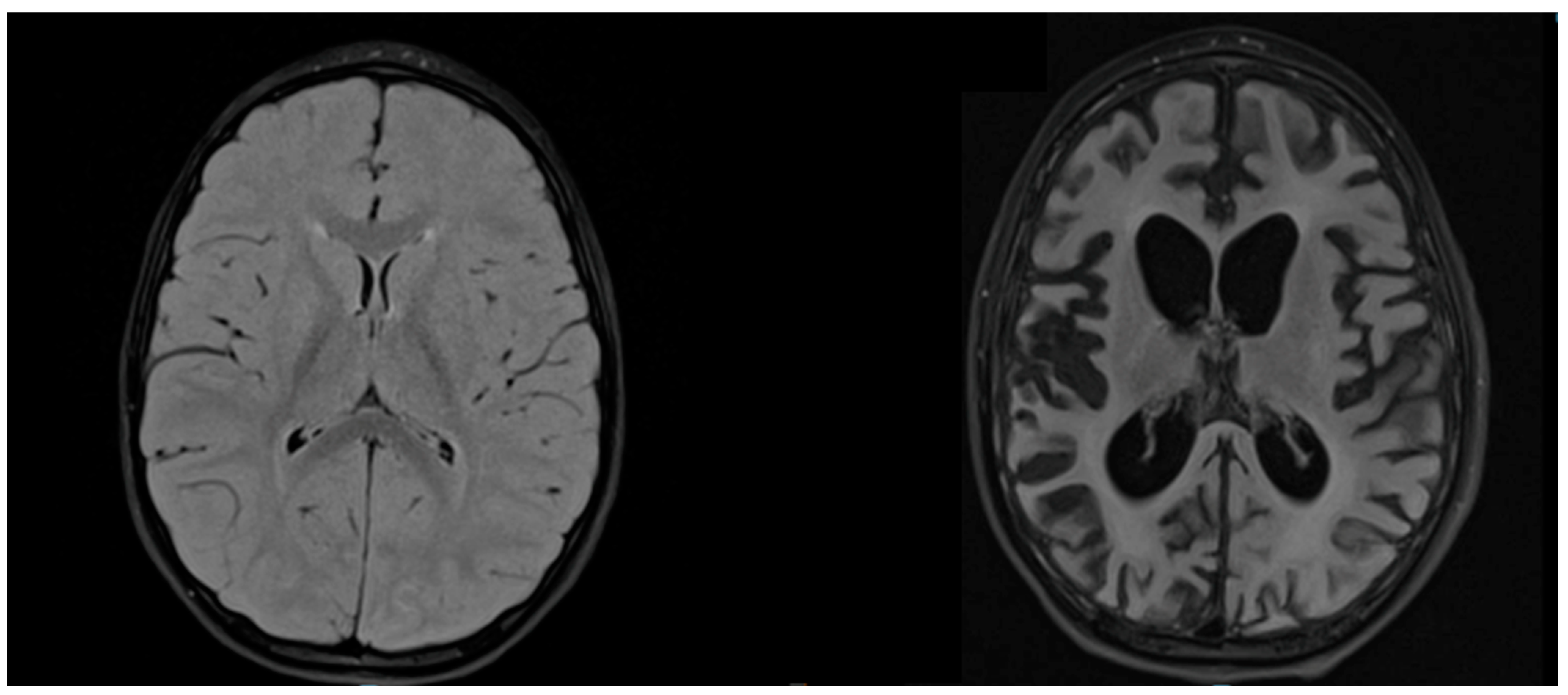
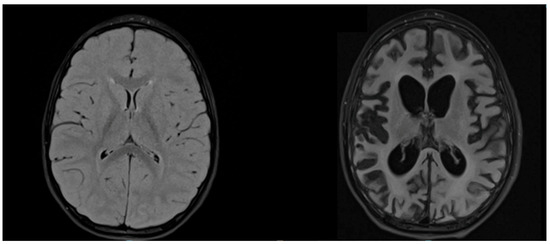
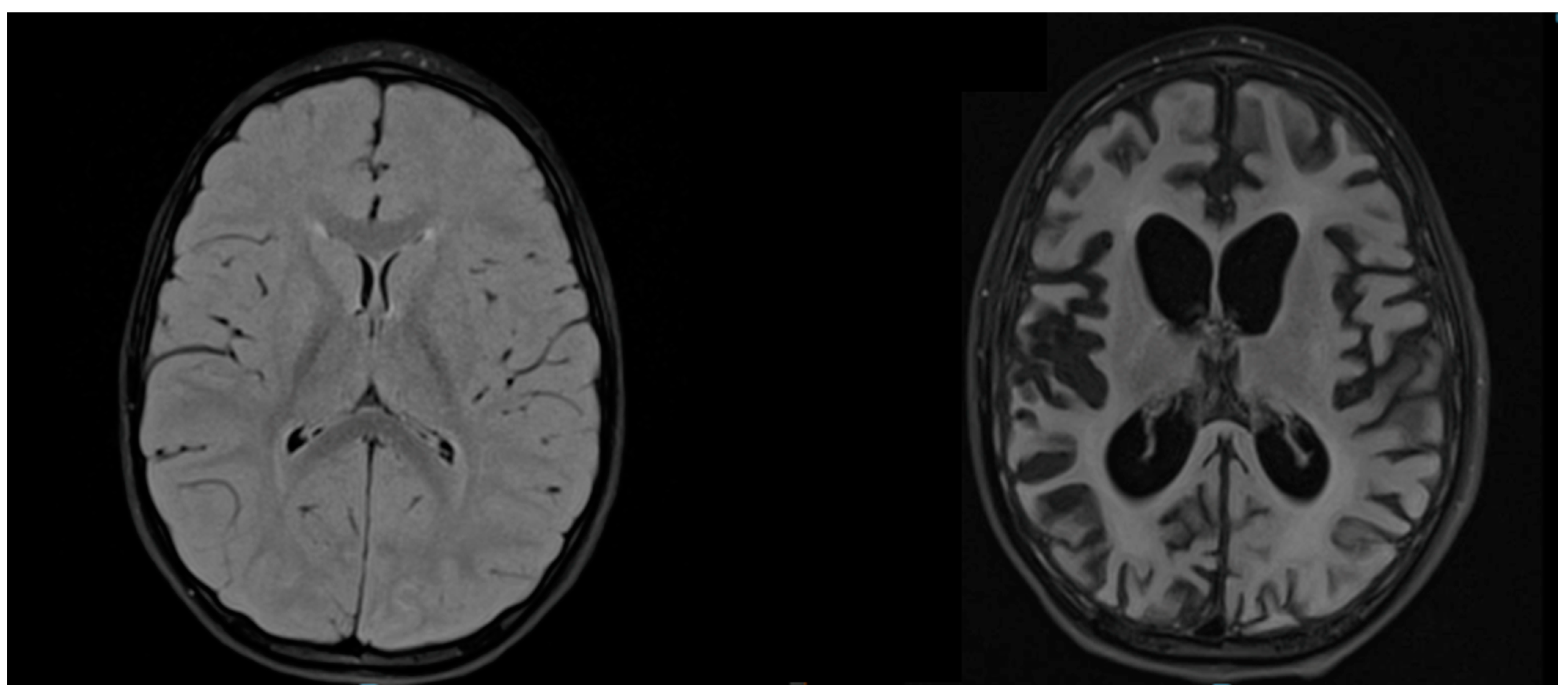
| Patient | Sex | Age at Measles Exposure | Epidemiological Link | Measles Vaccine Doses and Age at Doses *  | Age at Onset of SSPE Symptoms | SSPE Onset Symptoms | Clinical Stage **  | Protein (mg/dL)  | Cell mmc  | Total IgG (mg/dL) | Link Index ^  | Oligoclonal Bands ^^  | EEG | MRI Brain: Areas of T2-Weighted Hyperintense Changes  | Brain Biopsy | 
| A | M | 15 days  | Mother | I (1 y); II (6 y) | 3.9 y | Regressive behaviours, massive myoclonus, atonic seizures | 2 A | 29.3 | 0 | 19.9 | 10.78 | Profile type 3 (more than 6 IgG-type bands in CSF)  | Periodic bursts of high-voltage slow waves every 7 s | Frontal and parietal cortical and subcortical regions | Not performed | 
| B | M | 3 years  | NA | I (1 y); II (7 y) | 15 y | Focal and atonic seizures, massive myoclonus, cognitive impairment, ballistic movements | 2 C (#) | 29.3 | 3 | 4.66 | 1.32 | Profile type 3 (more than 6 IgG-type bands in CSF)  | Periodic bursts every 11 s with right-sided and temporo-parietal predominance | Centrum semiovale, internal capsule, corona radiata | Not performed | 
| C | M | 11 months  | Mother | Not vaccinated | 5.5 y | Cognitive impairment, focal epilepsy,  acute deterioration with spastic tetraparesis, enteral feeding  | 3 | 29.4 | 2 | 21.5 | 7.08 | Profile type 4 | Periodic bursts with right-sided slow diffuse activity | Thalamic, mesencephalic, capsular, corpus callosum regions | Not performed | 
| D | M | 14 days  | Mother | I (1.1 y) | 3.9 y | Myoclonus, atonic seizures | 2 B | 23 | 1 | 12.9 | 2.25 | Profile type 3 (at least 3 IgG-type bands in CSF)  | Diffuse periodic bursts of high-voltage slow waves | Bilateral posterior parieto-occipital regions | Not performed | 
| CSF Test at Diagnosis | Blood Test at Diagnosis | ||||||||
|---|---|---|---|---|---|---|---|---|---|
| Patient | IgG Anti-Measles AU/mL (ELISA) | IgM Anti-Measles | Total IgG mg/dL *  | PRNT80 | Measles Genome | IgG Anti-Measles AU/mL (ELISA) | IgM Anti Measles | PNRT80 | Measles Genome | 
| A | >300 | No | 19.9 | 320 | Neg | >300 | No | 10,240 | Neg | 
| B | >300 | No | 6.6 | 320 | Neg | >300 | No | 10,240 | Neg | 
| C | >300 | No | 21.5 | 160 | Pos | >300 | No | 5120 | Neg | 
| D | >300 | No | 12.9 | 20 | Neg | >300 | No | 80 | Neg | 
| Treatment | Follow-Up | |||||||||
|---|---|---|---|---|---|---|---|---|---|---|
| Patient | Duration of Intrathecal Interferon Therapy with 2b INTRON A | Co-Adjuvant Treatment | Other Treatments | 6 Months | Last Follow-Up | |||||
| Clinical Staging | EEG | MRI Brain | When | Re-Staging | Clinical | EEG | ||||
| A | 5-day escalation regimen *:one dose of 1,000,000 U/m2 weekly for 6 months; 1,000,000 U/m2 every 2 weeks for 6 months Total: 1 year  | Oral inosiplex 100 mg/kg/day Total: 2.5 years  | Antiepileptic drugs and motor rehabilitation  | 2B | Slow brain electrical activity, with a plurifocal peak and irregular short periods of voltage suppression | Progressive cortical atrophy, significant reduction in the corpus callosum | 2.8 years later | 2C from 2A; slow progression  | Spastic tetraparesis, absent language, good understanding | Left-sided depressed activity without an ictal or periodic pattern | 
| B | 5-day escalation regimen *: one dose of 1,000,000 U/m2 weekly for 6 months; 250,000 U/day through a continuous intrathecal infusion pump for 2.5 years Total: 3 years  | Oral inosiplex 100 mg/kg/day Total: 3.6 years  | Antiepileptic drugs and motor rehabilitation  | 2C | Unorganised cerebral electrical activity and paroxysms of large slow waves at 2 c/s, with a periodic course and diffuse EEG expression | NA | 4 years later | 2C from 2C; stabilisation  | Cognitive impairment, walking with support, ability to express primary needs | Poorly organised electrical activity without pathological potentials | 
| C | 5-day escalation regimen *: one dose of 1,000,000 U/m2 weekly for 12 months; 1,000,000 U/m2 monthly for 2 years Total: 3 years  | Oral inosiplex 100 mg/kg/day Total: 3.2 years  | Antiepileptic drugs and motor rehabilitation  | 3 | Sequences of 2 c/s delta potentials with epileptiform elements in frontal–central regions bilaterally; no periodic pattern | Progressive atrophy, significant reduction in the corpus callosum, increased dilation of the ventricular system | 7 years later | 2D from 3; improvement  | Spastic tetraparesis, improved environmental participation, oral feeding | Poorly organised electrical activity with ictal episodes associated with acoustic stimulation | 
| D | 5-day escalation regimen *: one dose of 1,000,000 U/m2 weekly for 3 months; after 3 months without therapy, the same therapy regimen repeated for another 6 months Total: 9 months  | Oral ribavirin 20 mg/kg/day in two doses for 7 days; one dose of IgEV (1 g/kg) vitamin A 50.000 UI 2 times a day for 1 month  | Antiepileptic drugs and motor rehabilitation  | 2B ** Progression  | Slow cerebral activity with high-voltage theta waves (5 Hz) in centrum-temporo-parietal regions | Frontal right-sided cavitation area, resulting from the previous abscess; rapidly progressive global atrophy with extension of leukodystrophy; no recent tissue lesions | 1 year later | 2D from 2A; progression  | Spastic tetraparesis, dystonia and tremors, enteral feeding | Poorly organised and asymmetrical electrical activity without an ictal pattern  | 
Publisher’s Note: MDPI stays neutral with regard to jurisdictional claims in published maps and institutional affiliations.  | 
© 2022 by the authors. Licensee MDPI, Basel, Switzerland. This article is an open access article distributed under the terms and conditions of the Creative Commons Attribution (CC BY) license (https://creativecommons.org/licenses/by/4.0/).
Share and Cite
Papetti, L.; Amodeo, M.E.; Sabatini, L.; Baggieri, M.; Capuano, A.; Graziola, F.; Marchi, A.; Bucci, P.; D’Ugo, E.; Kojouri, M.; et al. Subacute Sclerosing Panencephalitis in Children: The Archetype of Non-Vaccination. Viruses 2022, 14, 733. https://doi.org/10.3390/v14040733
Papetti L, Amodeo ME, Sabatini L, Baggieri M, Capuano A, Graziola F, Marchi A, Bucci P, D’Ugo E, Kojouri M, et al. Subacute Sclerosing Panencephalitis in Children: The Archetype of Non-Vaccination. Viruses. 2022; 14(4):733. https://doi.org/10.3390/v14040733
Chicago/Turabian StylePapetti, Laura, Maria Elisa Amodeo, Letizia Sabatini, Melissa Baggieri, Alessandro Capuano, Federica Graziola, Antonella Marchi, Paola Bucci, Emilio D’Ugo, Maedeh Kojouri, and et al. 2022. "Subacute Sclerosing Panencephalitis in Children: The Archetype of Non-Vaccination" Viruses 14, no. 4: 733. https://doi.org/10.3390/v14040733
APA StylePapetti, L., Amodeo, M. E., Sabatini, L., Baggieri, M., Capuano, A., Graziola, F., Marchi, A., Bucci, P., D’Ugo, E., Kojouri, M., Gioacchini, S., Marras, C. E., Nucci, C. G., Ursitti, F., Sforza, G., Ferilli, M. A. N., Monte, G., Moavero, R., Vigevano, F., ... Magurano, F. (2022). Subacute Sclerosing Panencephalitis in Children: The Archetype of Non-Vaccination. Viruses, 14(4), 733. https://doi.org/10.3390/v14040733
        
                                                
