Severe COVID-19 in Cardiopath Young Pregnant Patient without Vertical Transmission
Abstract
:1. Introduction
2. Materials and Methods
2.1. Study Design
2.2. Clinical Protocol
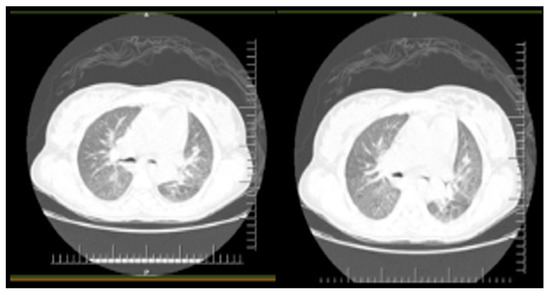
3. Results
3.1. Specimen Collection and Diagnostic Testing for SARS-CoV-2
3.2. Patient’s Labor and Personal Protective Equipment (PPE)
4. Discussion
5. Conclusions
Author Contributions
Funding
Institutional Review Board Statement
Informed Consent Statement
Data Availability Statement
Conflicts of Interest
References
- World Health Organization (WHO). Pneumonia of Unknown Cause—China. 2020. Available online: https://www.who.int/csr/don/05-january-2020-pneumonia-of-unkown-cause-china/en/ (accessed on 21 March 2020).
- World Health Organization (WHO). Novel Coronavirus—China. 2020. Available online: https://www.who.int/csr/don/12-january-2020-novel-coronavirus-china/en/ (accessed on 22 March 2020).
- Zhu, N.; Zhang, D.; Wang, W.; Li, X.; Yang, B.; Song, J.; Zhao, X.; Huang, B.; Shi, W.; Lu, R.; et al. A novel Coronavirus from patients with pneumonia in China, 2019. N. Engl. J. Med. 2020, 382, 727–733. [Google Scholar] [CrossRef] [PubMed]
- Huang, C.; Wang, Y.; Li, X.; Ren, L.; Zhao, J.; Hu, Y.; Zhang, L.; Fan, G.; Xu, J.; Gu, X.; et al. Clinical Features of Patients Infected with 2019 Novel Coronavirus in Wuhan, China. Lancet 2020, 395, 497–506. [Google Scholar] [CrossRef] [Green Version]
- Wang, D.; Hu, B.; Hu, C.; Zhu, F.; Liu, X.; Zhang, J.; Wang, B.; Xiang, H.; Cheng, Z.; Xiong, Y.; et al. Clinical Characteristics of 138 Hospitalized Patients with 2019 Novel Coronavirus-Infected Pneumonia in Wuhan, China. JAMA 2020, 323, 1061–1069. [Google Scholar] [CrossRef] [PubMed]
- Holshue, M.L.; DeBolt, C.; Lindquist, S.; Lofy, K.H.; Wiesman, J.; Bruce, H.; Spitters, C.; Ericson, K.; Wilkerson, S.; Tural, A.; et al. First Case of 2019 Novel Coronavirus in the United States. N. Engl. J. Med. 2020, 382, 929–936. [Google Scholar] [CrossRef] [PubMed]
- Iqbal, S.N.; Overcash, R.; Mokhtari, N.; Saeed, H.; Gold, S.; Auguste, T.; Mirza, M.U.; Ruiz, M.E.; Chahine, J.J.; Waga, M.; et al. An Uncomplicated Delivery in a Patient with COVID-19 in the United States. N. Engl. J. Med. 2020, 382, e34. [Google Scholar] [CrossRef] [PubMed]
- Brazilian Ministry of Health (BMH). Coronavirus Epidemiological Bulletin 2021. 2021. Available online: https://covid.saude.gov.br/pt/ (accessed on 21 December 2021).
- World Health Organization (WHO). Laboratory Testing of Human Suspected Cases of Novel Coronavirus (nCoV) Infection—Interim Guidance. 2020. Available online: https://www.who.int/health-topics/coronavirus/laboratory-diagnostics-for-novel-coronavirus (accessed on 1 April 2020).
- Corman, V.M.; Landt, O.; Kaiser, M.; Molenkamp, R.; Meijer, A.; Chu, D.K.; Bleicker, T.; Brünink, S.; Schneider, J.; Schmidt, M.L.; et al. Detection of 2019 novel coronavirus (2019-nCoV) by real-time RT-PCR. Eurosurveillance 2020, 25, 2000045. [Google Scholar] [CrossRef] [PubMed] [Green Version]
- Peng, Z.; Wang, J.; Mo, Y.; Duan, W.; Xiang, G.; Yi, M.; Bao, L.; Shi, Y. Unlikely SARS-CoV-2 vertical transmission from mother to child: A Case Report. J. Infect. Public Health 2020, 13, 818–820. [Google Scholar] [CrossRef] [PubMed]
- Yan, J.; Guo, J.; Fan, C.; Juan, J.; Yu, X.; Li, J.; Feng, L.; Li, C.; Chen, H.; Qiao, Y.; et al. Coronavirus Disease 2019 (COVID-19) in Pregnant Women: A Report Based on 116 Cases. Am. J. Obstet. Gynecol. 2020, 223, 111.e1–111.e14. [Google Scholar] [CrossRef] [PubMed]
- Yang, Z.; Wang, M.; Zhu, Z.; Liu, Y. Coronavirus disease 2019 (COVID-19) and pregnancy: A systematic review. J. Matern.-Fetal Neonatal Med. 2020, 30, 1–4. [Google Scholar] [CrossRef] [PubMed]
- Dashraath, P.; Wong, J.L.J.; Lim, M.X.K.; Lim, L.M.; Li, S.; Biswas, A.; Choolani, M.; Mattar, C.; Su, L.L. Coronavirus disease 2019 (COVID-19) pandemic and pregnancy. Am J Obstet Gynecol. 2020, 222, 521–531. [Google Scholar] [CrossRef] [PubMed]
- Qiancheng, X.; Jian, S.; Lingling, P.; Lei, H.; Xiaogan, J.; Weihua, L.; Gang, Y.; Shirong, L.; Zhen, W.; GuoPing, X.; et al. Coronavirus disease 2019 in pregnancy. Int. J. Infect. Dis. 2020, 95, 376–383. [Google Scholar] [CrossRef] [PubMed]
- Lima, S.S.; Queiroz, M.A.F.; Machado, L.F.A.; Vallinoto, A.C.R.; Ishak, M.D.O.G.; Ishak, R. Retrospective epidemiology of the SARS-CoV-2 (and COVID-19) epidemic among 27 Brazilian cities. J. Clin. Virol. Plus 2021, 1, 100053. [Google Scholar] [CrossRef]
- Alzamora, M.C.; Paredes, T.; Caceres, D.; Webb, C.M.; Valdez, L.M.; La Rosa, M. Severe COVID-19 during Pregnancy and Possible Vertical Transmission. Am. J. Perinatol. 2020, 18, 861–865. [Google Scholar] [CrossRef] [PubMed] [Green Version]
- Schwartz, D.A. An Analysis of 38 Pregnant Women With COVID-19, Their Newborn Infants, and Maternal-Fetal Transmission of SARS-CoV-2: Maternal Coronavirus Infections and Pregnancy Outcomes. Arch. Pathol. Lab. Med. 2020, 144, 799–805. [Google Scholar] [CrossRef] [PubMed] [Green Version]
- Mehan, A.; Venkatesh, A.; Girish, M. COVID-19 in pregnancy: Risk of adverse neonatal outcomes. J. Med. Virol. 2020, 92, 2295–2297. [Google Scholar] [CrossRef] [PubMed]
- Takemoto, M.L.; Menezes, M.D.O.; Andreucci, C.B.; Knobel, R.; Sousa, L.; Katz, L.; Fonseca, E.B.; Nakamura-Pereira, M.; Magalhães, C.G.; Diniz, C.S.; et al. Clinical characteristics and risk factors for mortality in obstetric patients with severe COVID-19 in Brazil: A surveillance database analysis. BJOG 2020, 127, 1618–1626. [Google Scholar] [CrossRef] [PubMed]
- Fenizia, C.; Biasin, M.; Cetin, I.; Vergani, P.; Mileto, D.; Spinillo, A.; Gismondo, M.R.; Perotti, F.; Callegari, C.; Mancon, A.; et al. Analysis of SARS-CoV-2 vertical transmission during pregnancy. Nat. Commun. 2020, 11, 5128. [Google Scholar] [CrossRef] [PubMed]
- Kotlyar, A.M.; Grechukhina, O.; Chen, A.; Popkhadze, S.; Grimshaw, A.; Tal, O.; Taylor, H.S.; Tal, R. Vertical transmission of coronavirus disease 2019: A systematic review and meta-analysis. Am. J. Obstet. Gynecol. 2021, 224, 35–53.e3. [Google Scholar] [CrossRef] [PubMed]
- Goh, X.L.; Low, Y.F.; Ng, C.H.; Amin, Z.; Ng, Y.P.M. Incidence of SARS-CoV-2 vertical transmission: A meta-analysis. Arch. Dis. Child.-Fetal Neonatal Ed. 2021, 106, 112–113. [Google Scholar] [CrossRef] [PubMed]

| Test | References | Days Following Cesarean Procedure | |||||||||
|---|---|---|---|---|---|---|---|---|---|---|---|
| D2 | D3 | D4 | D5 | D6 | D7 | D8 | D9 | D10 | D11 | ||
| 02/04 | 03/04 | 04/04 | 05/04 | 06/04 | 07/04 | 08/04 | 09/04 | 10/04 | 11/04 | ||
| C reactive protein (mg/dL) | <1.0 | 0.5 | 2.0 | 7.42 | 4.6 | 9.0 | - | - | 15.6 | 9.0 | - |
| Sodium (mmol/L) | 137–145 | 146 | 149 | 150 | 147 | 148 | - | - | 147 | 146 | 149 |
| Potassium (mmol/L) | 3.5–5.1 | 3.4 | 3.2 | 3.9 | 2.4 | 2.7 | - | - | 3.0 | 4.1 | 4.9 |
| pCO2 (mmhg) | 35–45 | 76 | 34 | 36 | 32.4 | 100 | - | - | 44.4 | 47 | 44 |
| pO2 (mmhg) | 75–100 | 76 | 165 | 191 | 78.4 | 107 | - | - | 56 | 130 | 139 |
| Urea (mg/dL) | 15–36 | 25 | 48 | 45 | 26 | 28 | - | - | 24 | 33 | - |
| Creatinine (mg/dL) | 0.52–1.04 | 0.3 | 0.3 | 0.2 | 0.2 | 0.3 | - | - | 0.2 | 0.2 | - |
| Calcium (mg/dL) | 8.4–10.2 | 7.8 | 7.3 | 8.0 | 7.4 | - | - | - | 7.2 | 6.9 | - |
| Hemoglobin (g/dL) | 12–18 | 9.1 | 8.6 | 8.9 | 8.6 | 8.9 | - | - | 8.5 | 7.8 | - |
| Hematocrit (%) | 36–55 | 27.7 | 23.6 | 27 | 26.2 | 28.1 | - | - | 24.1 | 25 | - |
| Leukocytes (per mm3) | 4.000–10.000 | 9022 | 6771 | 11.570 | 12.030 | 13.400 | 13.550 | - | 10.430 | 9985 | - |
| Segments (per mm3) | 5.232 | 4739 | 3564 | 8.625 | 11.517 | - | - | - | - | - | - |
| Lymphocyte (per mm3) | 1.160–4.100 | 3069 | 1355 | 1339 | 1004 | 1221 | - | - | 627 | 1011 | - |
| Lactic acid (mmol/L) | 0.5–2.0 | 2.3 | 0.6 | 0.7 | 0.9 | 0.7 | - | - | 1.0 | 1.5 | 4.9 |
| Total bilirubin (mg/dL) | 0.2–1.3 | 0.32 | 0.29 | 0.25 | 0.20 | 0.70 | - | - | - | - | - |
| Platelets (per mm3) | 150.000–440.000 | 162.800 | 161.600 | 197.900 | 259.00 | - | - | - | 233.100 | 206.300 | - |
| AST‡ (U/L) | 14–36 | 71 | 39 | 69 | - | - | - | - | 86 | 95 | - |
| ALT† (U/L) | <35 | 23 | 19 | 16 | - | - | - | - | 15 | 16 | - |
Publisher’s Note: MDPI stays neutral with regard to jurisdictional claims in published maps and institutional affiliations. |
© 2022 by the authors. Licensee MDPI, Basel, Switzerland. This article is an open access article distributed under the terms and conditions of the Creative Commons Attribution (CC BY) license (https://creativecommons.org/licenses/by/4.0/).
Share and Cite
França, A.P.F.d.M.; Pereira, D.d.V.; Rodrigues, E.V.; Vieira, F.N.; Machado, K.S.; Nogueira, P.A.; Fonseca, R.R.d.S.; Machado, L.F.A. Severe COVID-19 in Cardiopath Young Pregnant Patient without Vertical Transmission. Viruses 2022, 14, 675. https://doi.org/10.3390/v14040675
França APFdM, Pereira DdV, Rodrigues EV, Vieira FN, Machado KS, Nogueira PA, Fonseca RRdS, Machado LFA. Severe COVID-19 in Cardiopath Young Pregnant Patient without Vertical Transmission. Viruses. 2022; 14(4):675. https://doi.org/10.3390/v14040675
Chicago/Turabian StyleFrança, Ana Paula Figueiredo de Montalvão, Danielly do Vale Pereira, Elaine Valéria Rodrigues, Flávia Nunes Vieira, Karine Santos Machado, Pedro Aleixo Nogueira, Ricardo Roberto de Souza Fonseca, and Luiz Fernando Almeida Machado. 2022. "Severe COVID-19 in Cardiopath Young Pregnant Patient without Vertical Transmission" Viruses 14, no. 4: 675. https://doi.org/10.3390/v14040675
APA StyleFrança, A. P. F. d. M., Pereira, D. d. V., Rodrigues, E. V., Vieira, F. N., Machado, K. S., Nogueira, P. A., Fonseca, R. R. d. S., & Machado, L. F. A. (2022). Severe COVID-19 in Cardiopath Young Pregnant Patient without Vertical Transmission. Viruses, 14(4), 675. https://doi.org/10.3390/v14040675

