New Insights into the Mechanism of Immune-Mediated Tissue Injury in Yellow Fever: The Role of Immunopathological and Endothelial Alterations in the Human Lung Parenchyma
Abstract
1. Introduction
2. Methods
2.1. Patients, Samples, and Diagnostic
2.2. Ethical Aspects
2.3. Immunohistochemical Assay
2.4. Quantitative Analysis and Photodocumentation
2.5. Statistical Analysis
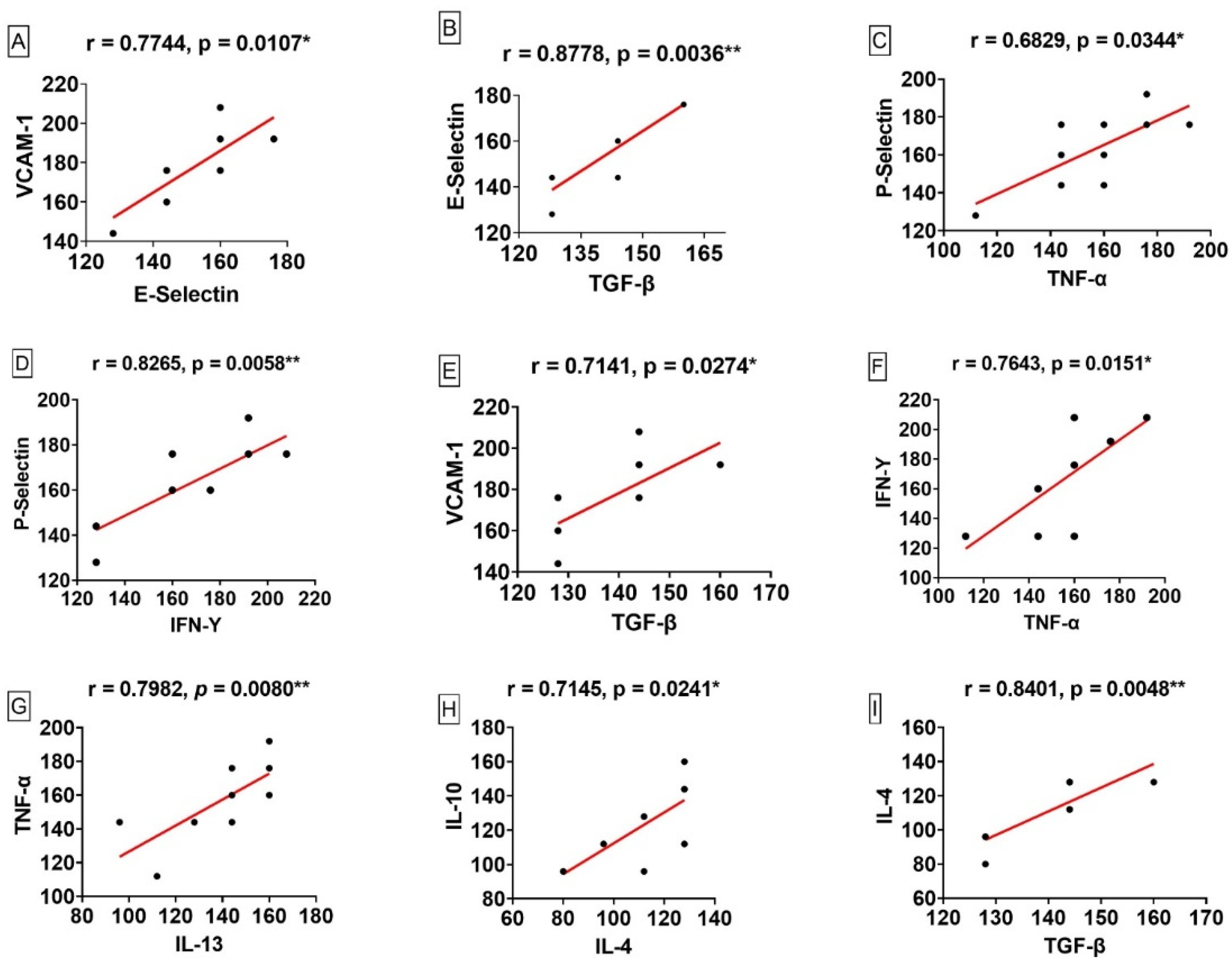
3. Results
4. Discussion
5. Conclusions
Author Contributions
Funding
Institutional Review Board Statement
Informed Consent Statement
Data Availability Statement
Acknowledgments
Conflicts of Interest
Ethics Statements
References
- Olímpio, F.A.; Falcão, L.F.M.; Carvalho, M.L.G.; da Costa Lopes, J.; Mendes, C.C.H.; Filho, A.J.M.; da Silva, C.A.M.; Miranda, V.D.S.C.; Santos, L.C.D.; da Silva Vilacoert, F.S.; et al. Endothelium Activation during Severe Yellow Fever Triggers an Intense Cytokine-Mediated Inflammatory Response in the Liver Parenchyma. Pathogens 2022, 11, 101. [Google Scholar] [CrossRef] [PubMed]
- Quaresma, J.A.; Barros, V.L.; Fernandes, E.R.; Pagliari, C.; Guedes, F.; da Costa Vasconcelos, P.F.; de Andrade Junior, H.F.; Duarte, M.I. Immunohistochemical examination of the role of Fas ligand and lymphocytes in the pathogenesis of human liver yellow fever. Virus Res. 2006, 116, 91–97. [Google Scholar] [CrossRef]
- Quaresma, J.A.; Barros, V.L.; Pagliari, C.; Fernandes, E.R.; Andrade, H.F., Jr.; Vasconcelos, P.F.; Duarte, M.I. Hepatocyte lesions and cellular immune response in yellow fever infection. Trans. R. Soc. Trop. Med. Hyg. 2007, 101, 161–168. [Google Scholar] [CrossRef] [PubMed]
- Ter Meulen, J.; Sakho, M.; Koulemou, K.; Magassouba, N.; Bah, A.; Preiser, W.; Daffis, S.; Klewitz, C.; Bae, H.G.; Niedrig, M.; et al. Activation of the cytokine network and unfavorable outcome in patients with yellow fever. J. Infect. Dis. 2004, 190, 1821–1827. [Google Scholar] [CrossRef] [PubMed]
- Xiao, S.Y.; Zhang, H.; Guzman, H.; Tesh, R.B. Experimental yellow fever virus infection in the Golden hamster (Mesocricetus auratus). II. Pathology. J. Infect. Dis. 2001, 183, 1437–1444. [Google Scholar] [CrossRef]
- Hudson, N.P. The Pathology of Experimental Yellow Fever in the Macacus Rhesus: III. Comparison with the Pathology of Yellow Fever in Man. Am. J. Pathol. 1928, 4, 419–430.9. [Google Scholar]
- Duarte-Neto, A.N.; Cunha, M.D.P.; Marcilio, I.; Song, A.T.W.; de Martino, R.B.; Ho, Y.L.; Pour, S.Z.; Dolhnikoff, M.; Saldiva, P.H.N.; Duarte, M.I.S.; et al. Yellow fever and orthotopic liver transplantation: New insights from the autopsy room for an old but re-emerging disease. Histopathology 2019, 75, 638–648. [Google Scholar] [CrossRef]
- Ferreira, M.S.; Júnior, P.S.B.; Cerqueira, V.D.; Rivero, G.R.C.; Júnior, C.A.O.; Castro, P.H.G.; Silva, G.A.D.; Silva, W.B.D.; Imbeloni, A.A.; Sousa, J.R.; et al. Experimental yellow fever virus infection in the squirrel monkey (Saimiri spp.) I: Gross anatomical and histopathological findings in organs at necropsy. Mem. Inst. Oswaldo Cruz 2020, 115, e190501. [Google Scholar] [CrossRef]
- Fabro, A.T.; Engelman, G.G.; Ferreira, N.N.; Velloni, J.M.F.; Espósito, D.L.A.; da Fonseca, B.A.L.; Brunaldi, M.O. Yellow Fever-induced Acute Lung Injury. Am. J. Respir. Crit. Care Med. 2019, 200, 250–252. [Google Scholar] [CrossRef]
- Domingo, C.; Patel, P.; Yillah, J.; Weidmann, M.; Méndez, J.A.; Nakouné, E.R.; Niedrig, M. Advanced yellow fever virus genome detection in point-of-care facilities and reference laboratories. J. Clin. Microbiol. 2012, 50, 4054–4060. [Google Scholar] [CrossRef]
- Menting, S.; Thai, K.T.; Nga, T.T.; Phuong, H.L.; Klatser, P.; Wolthers, K.C.; Binh, T.Q.; de Vries, P.J.; Beld, M. Internally controlled, generic real-time PCR for quantification and multiplex real-time PCR with serotype-specific probes for serotyping of dengue virus infections. Adv. Virol. 2011, 2011, 514681. [Google Scholar] [CrossRef] [PubMed][Green Version]
- Fernandes, N.C.C.A.; Cunha, M.S.; Guerra, J.M.; Diaz-Delgado, J.; Ressio, R.A.; Cirqueira, C.S.; Kanamura, C.T.; Fuentes-Castillo, D.; Catão-Dias, J.L. Yellow Fever as Cause of Death of Titi Monkeys (Callicebus Spp.). Vet. Pathol. 2021, 58, 730–735. [Google Scholar] [CrossRef]
- Quaresma, J.A.; Barros, V.L.; Pagliari, C.; Fernandes, E.R.; Guedes, F.; Takakura, C.F.; Andrade, H.F., Jr.; Vasconcelos, P.F.; Duarte, M.I. Revisiting the liver in human yellow fever: Virus-induced apoptosis in hepatocytes associated with TGF-beta, TNF-alpha and NK cells activity. Virology 2006, 345, 22–30. [Google Scholar] [CrossRef] [PubMed]
- Hubbard, A.K.; Rothlein, R. Intercellular adhesion molecule-1 (ICAM-1) expression and cell signaling cascades. Free Radic. Biol. Med. 2000, 28, 1379–1386. [Google Scholar] [CrossRef]
- Lawson, C.; Wolf, S. ICAM-1 signaling in endothelial cells. Pharmacol. Rep. 2009, 61, 22–32. [Google Scholar] [CrossRef]
- Stocker, C.J.; Sugars, K.L.; Harari, O.A.; Landis, R.C.; Morley, B.J.; Haskard, D.O. TNF-alpha, IL-4, and IFN-gamma regulate differential expression of P- and E-selectin expression by porcine aortic endothelial cells. J. Immunol. 2000, 164, 3309–3315. [Google Scholar] [CrossRef] [PubMed]
- Muller, W.A. Mechanisms of leukocyte transendothelial migration. Annu. Rev. Pathol. 2011, 6, 323–344. [Google Scholar] [CrossRef]
- Chase, S.D.; Magnani, J.L.; Simon, S.I. E-selectin ligands as mechanosensitive receptors on neutrophils in health and disease. Ann. Biomed. Eng. 2012, 40, 849–859. [Google Scholar] [CrossRef]
- Grailer, J.J.; Kodera, M.; Steeber, D.A. L-selectin: Role in regulating homeostasis and cutaneous inflammation. J. Dermatol. Sci. 2009, 56, 141–147. [Google Scholar] [CrossRef]
- Luo, J.; Li, C.; Xu, T.; Liu, W.; Ba, X.; Wang, X.; Zeng, X. PI3K is involved in β1 integrin clustering by PSGL-1 and promotes β1 integrin-mediated Jurkat cell adhesion to fibronectin. Mol. Cell. Biochem. 2014, 385, 287–295. [Google Scholar] [CrossRef]
- Schoenborn, J.R.; Wilson, C.B. Regulation of interferon-gamma during innate and adaptive immune responses. Adv. Immunol. 2007, 96, 41–101. [Google Scholar] [CrossRef] [PubMed]
- Maynard, C.L.; Weaver, C.T. Diversity in the contribution of interleukin-10 to T-cell-mediated immune regulation. Immunol. Rev. 2008, 226, 219–233. [Google Scholar] [CrossRef]
- Mosser, D.M.; Zhang, X. Interleukin-10: New perspectives on an old cytokine. Immunol. Rev. 2008, 226, 205–218. [Google Scholar] [CrossRef] [PubMed]
- Thornhill, M.H.; Wellicome, S.M.; Mahiouz, D.L.; Lanchbury, J.S.; Kyan-Aung, U.; Haskard, D.O. Tumor necrosis factor combines with IL-4 or IFN-gamma to selectively enhance endothelial cell adhesiveness for T cells. The contribution of vascular cell adhesion molecule-1-dependent and -independent binding mechanisms. J. Immunol. 1991, 146, 592–598. [Google Scholar] [PubMed]
- Schleimer, R.P.; Sterbinsky, S.A.; Kaiser, J.; Bickel, C.A.; Klunk, D.A.; Tomioka, K.; Newman, W.; Luscinskas, F.W.; Gimbrone, M.A., Jr.; McIntyre, B.W.; et al. IL-4 induces adherence of human eosinophils and basophils but not neutrophils to endothelium. Association with expression of VCAM-1. J. Immunol. 1992, 148, 1086–1092. [Google Scholar]
- Li, M.O.; Flavell, R.A. Contextual regulation of inflammation: A duet by transforming growth factor-beta and interleukin-10. Immunity 2008, 28, 468–476. [Google Scholar] [CrossRef]
- Taflin, C.; Charron, D.; Glotz, D.; Mooney, N. Regulation of the CD4+ T cell allo-immune response by endothelial cells. Hum. Immunol. 2012, 73, 1269–1274. [Google Scholar] [CrossRef]
- Paul, W.E. Interleukin-4: A prototypic immunoregulatory lymphokine. Blood 1991, 77, 1859–1870. [Google Scholar] [CrossRef]
- Li, L.; Elliott, J.F.; Mosmann, T.R. IL-10 inhibits cytokine production, vascular leakage, and swelling during T helper 1 cell-induced delayed-type hypersensitivity. J. Immunol. 1994, 153, 3967–3978. [Google Scholar]
- Oriente, A.; Fedarko, N.S.; Pacocha, S.E.; Huang, S.K.; Lichtenstein, L.M.; Essayan, D.M. Interleukin-13 modulates collagen homeostasis in human skin and keloid fibroblasts. J. Pharmacol. Exp. Ther. 2000, 292, 988–994. [Google Scholar]
- Wynn, T.A.; Barron, L. Macrophages: Master regulators of inflammation and fibrosis. Semin. Liver Dis. 2010, 30, 245–257. [Google Scholar] [CrossRef] [PubMed]
- Gotsch, U.; Jäger, U.; Dominis, M.; Vestweber, D. Expression of P-selectin on endothelial cells is upregulated by LPS and TNF-alpha in vivo. Cell Adhes. Commun. 1994, 2, 7–14. [Google Scholar] [CrossRef] [PubMed]
- Weller, A.; Isenmann, S.; Vestweber, D. Cloning of the mouse endothelial selectins. Expression of both E- and P-selectin is inducible by tumor necrosis factor alpha. J. Biol. Chem. 1992, 267, 15176–15183. [Google Scholar] [CrossRef]
- Doukas, J.; Pober, J.S. IFN-gamma enhances endothelial activation induced by tumor necrosis factor but not IL-1. J. Immunol. 1990, 145, 1727–1733. [Google Scholar] [PubMed]
- Yamaoka, J.; Kabashima, K.; Kawanishi, M.; Toda, K.; Miyachi, Y. Cytotoxicity of IFN-gamma and TNF-alpha for vascular endothelial cell is mediated by nitric oxide. Biochem. Biophys. Res. Commun. 2002, 291, 780–786. [Google Scholar] [CrossRef]
- Cosentino, G.; Soprana, E.; Thienes, C.P.; Siccardi, A.G.; Viale, G.; Vercelli, D. IL-13 down-regulates CD14 expression and TNF-alpha secretion in normal human monocytes. J. Immunol. 1995, 155, 3145–3151. [Google Scholar]
- De Waal Malefyt, R.; Figdor, C.G.; Huijbens, R.; Mohan-Peterson, S.; Bennett, B.; Culpepper, J.; Dang, W.; Zurawski, G.; de Vries, J.E. Effects of IL-13 on phenotype, cytokine production, and cytotoxic function of human monocytes. Comparison with IL-4 and modulation by IFN-gamma or IL-10. J. Immunol. 1993, 151, 6370–6381. [Google Scholar]
- DiChiara, M.R.; Kiely, J.M.; Gimbrone, M.A., Jr.; Lee, M.E.; Perrella, M.A.; Topper, J.N. Inhibition of E-selectin gene expression by transforming growth factor beta in endothelial cells involves coactivator integration of Smad and nuclear factor kappaB-mediated signals. J. Exp. Med. 2000, 192, 695–704. [Google Scholar] [CrossRef]
- Gamble, J.R.; Khew-Goodall, Y.; Vadas, M.A. Transforming growth factor-beta inhibits E-selectin expression on human endothelial cells. J. Immunol. 1993, 150, 4494–4503. [Google Scholar]
- Melrose, J.; Tsurushita, N.; Liu, G.; Berg, E.L. IFN-gamma inhibits activation-induced expression of E- and P-selectin on endothelial cells. J. Immunol. 1998, 161, 2457–2464. [Google Scholar]
- Park, S.K.; Yang, W.S.; Lee, S.K.; Ahn, H.; Park, J.S.; Hwang, O.; Lee, J.D. TGF-beta(1) down-regulates inflammatory cytokine-induced VCAM-1 expression in cultured human glomerular endothelial cells. Nephrol. Dial. Transplant. 2000, 15, 596–604. [Google Scholar] [CrossRef] [PubMed]






| Case | State | Sex | Age | I.T. (Days) | Patient | Year |
|---|---|---|---|---|---|---|
| 1 | TO | M | 30 | N.I. | 494/00 | 2000 |
| 2 | GO | M | 23 | N.I. | 074/07 | 2007 |
| 3 | GO | F | 63 | 2 | 043/08 | 2008 |
| 4 | DF | M | 55 | - | 088/08 | 2008 |
| 5 | GO | M | 42 | N.I. | 095/08 | 2008 |
| 6 | DF | M | 35 | N.I. | 154/08 | 2008 |
| 7 | GO | M | 35 | N.I. | 062/16 | 2016 |
| 8 | PB | M | - | N.I. | 102/16 | 2016 |
| 9 | GO | M | 15 | 7 | 346/16 | 2016 |
| 10 | GO | M | 27 | 1 | 369/16 | 2016 |
Publisher’s Note: MDPI stays neutral with regard to jurisdictional claims in published maps and institutional affiliations. |
© 2022 by the authors. Licensee MDPI, Basel, Switzerland. This article is an open access article distributed under the terms and conditions of the Creative Commons Attribution (CC BY) license (https://creativecommons.org/licenses/by/4.0/).
Share and Cite
Vasconcelos, D.B.; Falcão, L.F.M.; da Ponte, L.C.T.; Silva, C.C.; Martins, L.C.; Nunes, B.T.D.; Martins Filho, A.J.; Franco, E.C.S.; Duarte, M.I.S.; Sousa, J.R.d.; et al. New Insights into the Mechanism of Immune-Mediated Tissue Injury in Yellow Fever: The Role of Immunopathological and Endothelial Alterations in the Human Lung Parenchyma. Viruses 2022, 14, 2379. https://doi.org/10.3390/v14112379
Vasconcelos DB, Falcão LFM, da Ponte LCT, Silva CC, Martins LC, Nunes BTD, Martins Filho AJ, Franco ECS, Duarte MIS, Sousa JRd, et al. New Insights into the Mechanism of Immune-Mediated Tissue Injury in Yellow Fever: The Role of Immunopathological and Endothelial Alterations in the Human Lung Parenchyma. Viruses. 2022; 14(11):2379. https://doi.org/10.3390/v14112379
Chicago/Turabian StyleVasconcelos, Danielle Barbosa, Luiz Fabio Magno Falcão, Lucas Coutinho Tuma da Ponte, Camilla Costa Silva, Livia Caricio Martins, Bruno Tardelli Diniz Nunes, Arnaldo Jorge Martins Filho, Edna Cristina Santos Franco, Maria Irma Seixas Duarte, Jorge Rodrigues de Sousa, and et al. 2022. "New Insights into the Mechanism of Immune-Mediated Tissue Injury in Yellow Fever: The Role of Immunopathological and Endothelial Alterations in the Human Lung Parenchyma" Viruses 14, no. 11: 2379. https://doi.org/10.3390/v14112379
APA StyleVasconcelos, D. B., Falcão, L. F. M., da Ponte, L. C. T., Silva, C. C., Martins, L. C., Nunes, B. T. D., Martins Filho, A. J., Franco, E. C. S., Duarte, M. I. S., Sousa, J. R. d., Vasconcelos, P. F. d. C., & Quaresma, J. A. S. (2022). New Insights into the Mechanism of Immune-Mediated Tissue Injury in Yellow Fever: The Role of Immunopathological and Endothelial Alterations in the Human Lung Parenchyma. Viruses, 14(11), 2379. https://doi.org/10.3390/v14112379

