Clinical Picture and Risk Factors of Severe Respiratory Symptoms in COVID-19 in Children
Abstract
:1. Introduction
2. Materials and Methods
2.1. Patient Enrollment
2.2. Clinical Evaluation
2.3. Laboratory Parameters
2.4. SARS-CoV-2 Infection Testing
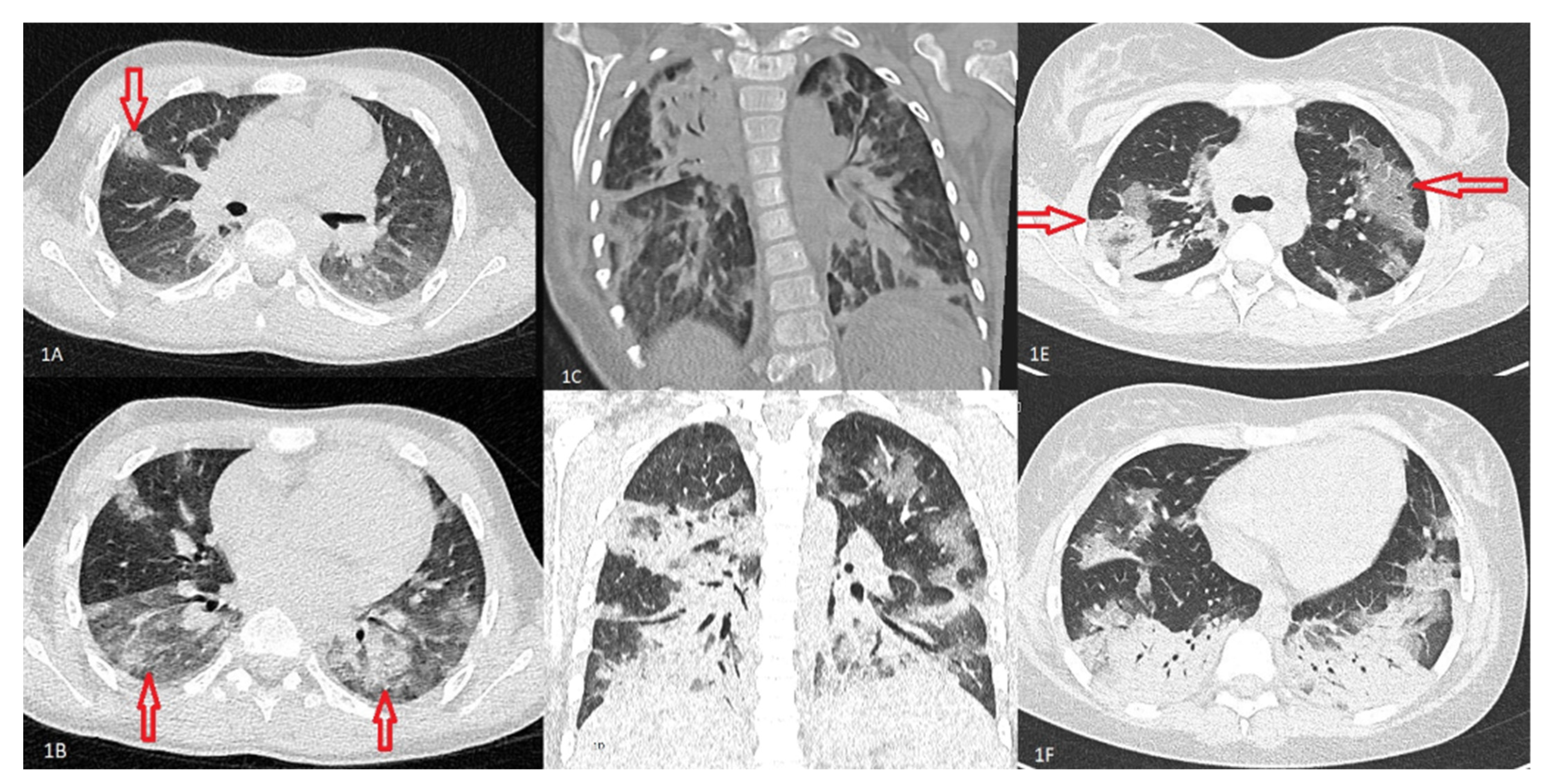
2.5. Imaging
2.6. Cohort Division
- Mild to moderate COVID-19—symptoms of upper respiratory tract infection, mild to moderate gastrointestinal symptoms—267 children.
- COVID-19 related pneumonia—clinical and imaging findings of pneumonia, no need for oxygen therapy to maintain SpO2 > 95%—31 children.
- COVID-19 related pneumonia with oxygen therapy—clinical and imaging findings of pneumonia, oxygen therapy required to maintain SpO2 > 95%—29 children (OT).
- COVID-19 related pneumonia with intensive care—clinical and imaging findings of pneumonia, mechanical ventilation and intensive care required—five children (ICU).
2.7. Treatment
2.8. Statistical Analysis
3. Results
4. Discussion
5. Conclusions
Author Contributions
Funding
Institutional Review Board Statement
Informed Consent Statement
Data Availability Statement
Acknowledgments
Conflicts of Interest
References
- Borrelli, M.; Corcione, A.; Castellano, F.; Nastro, F.F.; Santamaria, F. Coronavirus Disease 2019 in Children. Front. Pediatr. 2021, 9, 668484. [Google Scholar] [CrossRef]
- Lu, X.; Zhang, L.; Du, H.; Zhang, J.; Li, Y.Y.; Qu, J.; Zhang, W.; Wang, Y.; Bao, S.; Li, Y.; et al. SARS-CoV-2 Infection in Children. N. Engl. J. Med. 2020, 382, 1663–1665. [Google Scholar] [CrossRef] [PubMed] [Green Version]
- Garazzino, S.; Montagnani, C.; Donà, D.; Meini, A.; Felici, E.; Vergine, G.; Bernardi, S.; Giacchero, R.; Vecchio, A.L.; Marchisio, P.; et al. Multicentre Italian study of SARS-CoV-2 infection in children and adolescents, preliminary data as at 10 April 2020. Eurosurveillance 2020, 25, 2000600. [Google Scholar] [CrossRef] [PubMed]
- Götzinger, F.; Santiago-García, B.; Noguera-Julián, A.; Lanaspa, M.; Lancella, L.; Carducci, F.I.C.; Gabrovska, N.; Velizarova, S.; Prunk, P.; Osterman, V.; et al. COVID-19 in children and adolescents in Europe: A multinational, multicentre cohort study. Lancet Child Adolesc. Health 2020, 4, 653–661. [Google Scholar] [CrossRef]
- Dong, Y.; Mo, X.; Hu, Y.; Qi, X.; Jiang, F.; Jiang, Z.; Tong, S. Epidemiology of COVID-19 Among Children in China. PEDIATRICS 2020, 145, e20200702. [Google Scholar] [CrossRef] [Green Version]
- Mehta, N.S.; Mytton, O.T.; Mullins, E.W.; Fowler, T.A.; Falconer, C.L.; Murphy, O.B.; Langenberg, C.; Jayatunga, W.J.; Eddy, D.H.; Nguyen-Van-Tam, J.S.; et al. SARS-CoV-2 (COVID-19): What Do We Know About Children? A Systematic Review. Clin. Infect. Dis. 2020, 71, 2469–2479. [Google Scholar] [CrossRef] [PubMed]
- Graff, K.; Smith, C.; Silveira, L.; Jung, S.; Curran-Hays, S.; Jarjour, J.; Carpenter, L.; Pickard, K.; Mattiucci, M.; Fresia, J.; et al. Risk Factors for Severe COVID-19 in Children. Pediatr. Infect. Dis. J. 2021, 40, 137. [Google Scholar] [CrossRef]
- Mania, A.; Pokorska-Śpiewak, M.; Figlerowicz, M.; Pawłowska, M.; Mazur-Melewska, K.; Faltin, K.; Talarek, E.; Zawadka, K.; Dobrzeniecka, A.; Ciechanowski, P.; et al. Pneumonia, gastrointestinal symptoms, comorbidities, and coinfections as factors related to a lengthier hospital stay in children with COVID-19—analysis of a paediatric part of Polish register SARSTer. Infect. Dis. 2021, 1–9. [Google Scholar] [CrossRef]
- Leidman, E.; Duca, L.M.; Omura, J.D.; Proia, K.; Stephens, J.W.; Sauber-Schatz, E.K. COVID-19 Trends Among Persons Aged 0–24 Years—United States, March 1–December 12, 2020. MMWR. Morb. Mortal. Wkly. Rep. 2021, 70, 88–94. [Google Scholar] [CrossRef]
- Smith, C.; Odd, D.; Harwood, R.; Ward, J.; Linney, M.; Clark, M.; Hargreaves, D.; Ladhani, S.N.; Draper, E.; Davis, P.J.; et al. Deaths in children and young people in England after SARS-CoV-2 infection during the first pandemic year. Nat. Med. 2021, 1–8. [Google Scholar] [CrossRef] [PubMed]
- Channappanavar, R.; Zhao, J.; Perlman, S. T cell-mediated immune response to respiratory coronaviruses. Immunol. Res. 2014, 59, 118–128. [Google Scholar] [CrossRef] [PubMed] [Green Version]
- Children and COVID-19: State-Level Data Report. Available online: http://www.aap.org/en/pages/2019-novel-coronavirus-covid-19-infections/children-and-covid-19-state-level-data-report/ (accessed on 24 November 2021).
- Badal, S.; Bajgain, K.T.; Badal, S.; Thapa, R.; Bajgain, B.B.; Santana, M.J. Prevalence, clinical characteristics, and outcomes of pediatric COVID-19: A systematic review and meta-analysis. J. Clin. Virol. 2021, 135, 104715. [Google Scholar] [CrossRef] [PubMed]
- Pokorska-Śpiewak, M.; Talarek, E.; Mania, A.; Pawłowska, M.; Popielska, J.; Zawadka, K.; Figlerowicz, M.; Mazur-Melewska, K.; Faltin, K.; Ciechanowski, P.; et al. Clinical and Epidemiological Characteristics of 1283 Pediatric Patients with Coronavirus Disease 2019 during the First and Second Waves of the Pandemic—Results of the Pediatric Part of a Multicenter Polish Register SARSTer. J. Clin. Med. 2021, 10, 5098. [Google Scholar] [CrossRef]
- Oualha, M.; Bendavid, M.; Berteloot, L.; Corsia, A.; Lesage, F.; Vedrenne, M.; Salvador, E.; Grimaud, M.; Chareyre, J.; de Marcellus, C.; et al. Severe and fatal forms of COVID-19 in children. Arch. Pédiatrie 2020, 27, 235–238. [Google Scholar] [CrossRef]
- Pathak, E.B.; Salemi, J.L.; Sobers, N.; Menard, J.; Hambleton, I. COVID-19 in Children in the United States: Intensive Care Admissions, Estimated Total Infected, and Projected Numbers of Severe Pediatric Cases in 2020. J. Public Health Manag. Pr. 2020, 26, 325–333. [Google Scholar] [CrossRef]
- Liguoro, I.; Pilotto, C.; Bonanni, M.; Ferrari, M.E.; Pusiol, A.; Nocerino, A.; Vidal, E.; Cogo, P. SARS-COV-2 infection in children and newborns: A systematic review. Eur. J. Pediatrics 2020, 179, 1029–1046. [Google Scholar] [CrossRef]
- Le Guen, C.L.; King, N.A.; Zhao, H.; Renza-Stingone, E.P.; Gerhard, G.S.; Soans, R.S. COVID-19 patients with obesity at risk for worse outcomes despite younger age and fewer inflammatory derangements. Surg. Obes. Relat. Dis. 2021, 17, 1722–1730. [Google Scholar] [CrossRef] [PubMed]
- Molla, G.K.; Uzun, Ö.Ü.; Koç, N.; Yeşil, B.Ö.; Bayhan, G.I. Evaluation of nutritional status in pediatric patients diagnosed with Covid-19 infection. Clin. Nutr. ESPEN 2021, 44, 424–428. [Google Scholar] [CrossRef]
- Castagnoli, R.; Votto, M.; Licari, A.; Brambilla, I.; Bruno, R.; Perlini, S.; Rovida, F.; Baldanti, F.; Marseglia, G.L. Severe Acute Respiratory Syndrome Coronavirus 2 (SARS-CoV-2) Infection in Children and Adolescents. JAMA Pediatr. 2020, 174, 882. [Google Scholar] [CrossRef] [Green Version]
- Kompaniyets, L.; Agathis, N.T.; Nelson, J.M.; Preston, L.E.; Ko, J.Y.; Belay, B.; Pennington, A.F.; Danielson, M.L.; DeSisto, C.L.; Chevinsky, J.R.; et al. Underlying Medical Conditions Associated With Severe COVID-19 Illness Among Children. JAMA Netw. Open 2021, 4, e2111182. [Google Scholar] [CrossRef]
- Bayramoğlu, E.; Akkoç, G.; Ağbaş, A.; Özlem, A.; Yurdakul, K.; Duru, H.N.S.; Elevli, M. The association between vitamin D levels and the clinical severity and inflammation markers in pediatric COVID-19 patients: Single-center experience from a pandemic hospital. Eur. J. Nucl. Med. Mol. Imaging 2021, 180, 2699–2705. [Google Scholar] [CrossRef] [PubMed]
- Mania, A.; Mazur-Melewska, K.; Lubarski, K.; Kuczma-Napierała, J.; Mazurek, J.; Jończyk-Potoczna, K.; Służewski, W.; Figlerowicz, M. Wide spectrum of clinical picture of COVID-19 in children—From mild to severe disease. J. Infect. Public Health 2021, 14, 374–379. [Google Scholar] [CrossRef] [PubMed]
- Henry, B.M.; Benoit, S.W.; Oliveira, M.H.; Hsieh, W.C.; Benoit, J.; Ballout, R.A.; Plebani, M.; Lippi, G. Laboratory abnormalities in children with mild and severe coronavirus disease 2019 (COVID-19): A pooled analysis and review. Clin. Biochem. 2020, 81, 1–8. [Google Scholar] [CrossRef]
- Li, J.; Thoon, K.C.; Chong, C.Y.; Maiwald, M.; Kam, K.; Nadua, K.; Tan, N.W.; Yung, C.F. Comparative Analysis of Symptomatic and Asymptomatic SARS-CoV-2 Infection in Children. Ann. Acad. Med. Singap. 2020, 49, 530–537. Available online: https://annals.edu.sg/pdf/49VolNo8Aug2020/V49N8p530.pdf (accessed on 25 November 2021). [CrossRef] [PubMed]
- Palabiyik, F.; Kokurcan, S.O.; Hatipoglu, N.; Cebeci, S.O.; Inci, E. Imaging of COVID-19 pneumonia in children. Br. J. Radiol. 2020, 93. [Google Scholar] [CrossRef]
- Marczyńska, M.; Pokorska-Śpiewak, M.; Talarek, E.; Figlerowicz, M.; Kalicki, B.; Kuchar, E.; Majda-Stanisławska, E.; Pawłowska, M.; Sulik, A.; Sybilski, A.; et al. MANAGEMENT OF A CHILD WITH COVID-19. Przegląd Pediatr. 2000;49:7. Available online: https://przegladpediatryczny.pl/files/4300.pdf (accessed on 24 November 2021).
- Beigel, J.H.; Tomashek, K.M.; Dodd, L.E.; Mehta, A.K.; Zingman, B.S.; Kalil, A.C.; Hohmann, E.; Chu, H.Y.; Luetkemeyer, A.; Kline, S.; et al. Remdesivir for the Treatment of COVID-19—preliminary report. N. Engl. J. Med. 2020, 383, 1813–1826. [Google Scholar] [CrossRef] [PubMed]
- Figlerowicz, M.; Mania, A.; Lubarski, K.; Lewandowska, Z.; Służewski, W.; Derwich, K.; Wachowiak, J.; Mazur-Melewska, K. First case of convalescent plasma transfusion in a child with COVID-19-associated severe aplastic anemia. Transfus. Apher. Sci. 2020, 59, 102866. [Google Scholar] [CrossRef]
- Małecki, P.; Faltin, K.; Mania, A.; Mazur-Melewska, K.; Cwalińska, A.; Zawadzka, A.; Bukowska, A.; Lisowska, K.; Graniczna, K.; Figlerowicz, M. Effects and Safety of Convalescent Plasma Administration in a Group of Polish Pediatric Patients with COVID-19: A Case Series. Life 2021, 11, 247. [Google Scholar] [CrossRef]
- Rawson, T.M.; Moore, L.; Zhu, N.; Ranganathan, N.; Skolimowska, K.; Gilchrist, M.; Satta, G.; Cooke, G.; Holmes, A. Bacterial and Fungal Coinfection in Individuals With Coronavirus: A Rapid Review To Support COVID-19 Antimicrobial Prescribing. Clin. Infect. Dis. 2020, 71, 2459–2468. [Google Scholar] [CrossRef]


| Clinical Feature | COVID-19 Mild-Moderate | COVID-19 Related Pneumonia | COVID-19 Related Pneumonia with Oxygen Therapy | COVID-19 Related Pneumonia with Intensive Care | p-Value |
|---|---|---|---|---|---|
| Number of children (% cohort) | 267 (80.42%) | 31 (9.34%) | 29 (8.73%) | 5 (1.5%) | |
| Age (months) M (IQR) | 62 (16–154) | 30 (8–59) | 84 (14–173) | 21 (14–164) | 0.126 |
| Gender male/female | 137/130 (51.31/48.69%) | 19/12 (61.29/38.71%) | 14/15 (48.28/51.72%) | 2/3 (40/60%) | 0.667 |
| BMI Z-score M (IQR) | 0.20 (−0.475–1.160) | 0.220 (−0.130–0.460) | 2.080 (1.038–2.178) | −2.875 (−5.210–0.540) | 0.0417 * |
| Household contact (% group) | 124 (46.44%) | 21 (6.45%) | 12 (41.38%) | 1 (20.00%) | 0.074 |
| Comorbidities (% group) | 86 (31.01%) | 11 (32.26%) | 25 (86.21%) | 4 (80.00%) | <0.00001 * |
| Complex comorbidities | 1 (0.38%) | - | 3 (10.35%) | 3 (60.00%) | <0.00001 * |
| Asthma (%) | 3 (3.61%) | - | - | - | <0.0001 * |
| Cardiovascular diseases | 8 (2.99%) | 1 (3.23%) | 3 (10.35%) | - | |
| Immune deficiency | 7 (2.67%) | - | 1 (3.45%) | - | |
| Obesity | 4 (1.50%) | - | 6 (20.69%) | - | |
| Diabetes mellitus | 6 (2.25%) | 1 (3.23%) | 1 (3.45%) | - | |
| Hypertension | 1 (0.38%) | 1 (3.23%) | - | - | |
| Neurological disorders | 2 (0.38%) | 2 (6.45%) | 3 (6.89%) | 3 (60.00%) | |
| Genetic syndromes | - | - | 5 (17.24%) | 2 (20.00%) | |
| Other | 55 (21.35%) | 6 (25.80%) | 8 (27.58%) | 2 (20.00%) | |
| Coinfections (% group) | 5 (1.87%) | 1 (3.23%) | - | - | 0.761 |
| Pandemic peaks 1st/2nd/3rd | 25/119/123 | 5/13/13 | 2/14/13 | 0/3/2 | 0.855 |
| Length of hospital stay (days) M (IQR) | 3 (2–7) | 5 (4–7) | 10 (6–18) | 32 (29–33) | <0.000001 * |
| Clinical Feature | COVID-19 Mild–Moderate | COVID-19 Related Pneumonia | COVID-19 Related Pneumonia with Oxygen Therapy | COVID-19 Related Pneumonia with Intensive Care | p-Value |
|---|---|---|---|---|---|
| Number of children (cohort %) | 267 (80.42%) | 31 (9.34%) | 29 (8.73%) | 5 (1.5%) | |
| Clinical Signs and Symptoms—Number (group%) | |||||
| Fever | 119 (44.57%) | 13 (41.93%) | 21 (72.41%) | 4 (80.00%) | 0.0138 * |
| Duration of fever (days)-M (IQR) | 1 (0–2) | 2 (1–3) | 2 (0–5) | 5 (2.25–7.25) | 0.0015 * |
| Cough | 79 (29.59%) | 19 (7.11%) | 17 (6.37%) | 4 (80.00%) | <0.0001 * |
| Dyspnea | 17 (6.36%) | 3 (9.68%) | 18 (62.07%) | 4 (80.00%) | <0.0001 * |
| Sore throat | 58 (21.72%) | 11 (35.48%) | 5 (17.24%) | - | 0.164 |
| Gastrointestinal symptoms | 83 (31.09%) | 10 (32.26%) | 4 (13.79%) | 1 (20.00%) | 0.251 |
| Auscultation abnormalities | 20 (7.49%) | 3 (9.68%) | 11 (37.93%) | 4 (80.00%) | <0.0001 * |
| Skin lesions | 34 (12.73%) | 3 (9.68%) | 5 (17.24%) | - | 0.661 |
| Neurological symptoms | 6 (2.25%) | 4 (12.90%) | 6 (20.69%) | 3 (60.00%) | <0.00001 * |
| Laboratory Tests Median (IQR) | |||||
| WBC G/l | 7.86 (5.89–10.77) | 9.42 (6.21–13.93) | 6.25 (4.17–11.06) | 8.08 (6.78–12.67) | 0.128 |
| Neutrophils G/l | 3.58 (1.94–6.19) | 2.89 (1.93–7.15) | 2.51 (1.61–4.72) | 4.42 (3.72–6.70) | 0.293 |
| Lymphocytes g/l | 2.48 (1.64–4.46) | 2.92 (1.62–6.22) | 2.12 (0.93–3.88) | 2.69 (1.92–3.69) | 0.412 |
| Platelets G/l | 276 (227–360) | 216 (220–355) | 240 (142–353) | 269 (137–253) | 0.067 |
| CRP mg/dL | 0.24 (0.05–0.84) | 0.46 (0.06–2.75) | 0.58 (0.18–2.29) | 1.41 (1.33–4.14) | 0.0078 * |
| PCT ng/ml | 0.04 (0.02–0.08) | 0.05 (0.03–0.23) | 0.06 (0.03–0.14) | 3.82 (0.7–38.79) | 0.00015 * |
| LDH IU/L | 256 (203–310) | 303 (260–354) | 324 (284–406) | 1627 (576–2503) | <0.000001 * |
| CK IU/L | 91 (66–140) | 125 (88–160) | 157 (92–463) | 216 (122–865) | 0.026 * |
| ALT IU/L | 16 (12–23) | 19.5 (14–31) | 32 (15–38) | 45 (29–382) | 0.001 |
| AST IU/L | 29 (21–39) | 39 (31–49) | 44 (30–52) | 50 (32–452) | <0.0001 * |
| Urea mg/dL | 21.99 (16.00–27.00) | 20.00 (15.99–27.50) | 21.89 (14.50–29.50) | 59.00 (36.00–104.95) | 0.005 * |
| Creatinine mg/dL | 0.35 (0.25–0.52) | 0.26 (0.22–0.39) | 0.28 (0.18–0.48) | 0.56 (0.34–2.54) | 0.0078 * |
| Fibrinogen mg/dL | 256 (218–327) | 276 (214–445) | 293 (240–368) | 235 (123–296) | 0.264 |
| D-dimer mg/L | 0.515 (0.268–0.952) | 0.595 (0.380–1.070) | 0.825 (0.358–1.397) | 2.340 (1.715–24.350) | 0.0017 * |
| Chest Imaging Number (group%) | |||||
| Chest imaging abnormalities: | |||||
| PBT II GGO II + GGO | 52 (19.48%) - 1 (0.38%) - | 3 (9.68%) 26 (83.87%) - - | 2 (6.89%) 21 (72.41%) - 3 (10.34%) | - 4 (80.00%) - 1 (20.00%) | <0.0001* |
| Treatment—Number (group%) | |||||
| Empirical antibiotic | 103 (38.58%) | 30 (96.77%) | 16 (55.17%) | 5 (100%) | <0.0001 * |
| Oxygen therapy | - | - | 29 (100%) | 5 (100%) | <0.0001 * |
| Intravenous steroids | 21 (7.87%) | 5 (16.13%) | 11 (37.93%) | 5 (100%) | <0.0001 * |
| Inhalation steroids | 8 (2.99%) | 12 (38.71%) | 23 (79.31%) | 4 (80.00%) | <0.0001 * |
| Remdesivir | - | - | 6 (20.69%) | 3 (60.00%) | <0.0001 * |
| Convalescent plasma | 6 (2.45%) | 2 (6.45%) | 8 (27.59%) | 4 (80.00%) | <0.0001 * |
| Factor | Odds Ratio (OR) | 95% Confidence Interval (95% CI) |
|---|---|---|
| Comorbidities | 92.39 | 4.19–2036.90 |
| Dyspnoea | 45.81 | 4.05–518.21 |
| Auscultation abnormalities | 34.33 | 2.59–454.64 |
| LDH IU/L | 1.11 | 1.05–1.14 |
| Parameter | Sensitivity (%) | 95% CI | Specificity (%) | 95% CI | +LR | -LR | +PV | -PV |
|---|---|---|---|---|---|---|---|---|
| CRP > 0.55 mg/dL | 73.91 | 51.6–9.8 | 68.12 | 62.3–73.6 | 2.32 | 0.38 | 16.2 | 96.9 |
| LDH > 280 IU/L | 88.00 | 68.8–9.5 | 60.58 | 54.1–66.8 | 2.23 | 0.20 | 18.8 | 98.0 |
| CK > 192 IU/L | 56.25 | 29.9–80.2 | 91.24 | 85.2–95.4 | 6.42 | 0.48 | 42.9 | 94.7 |
| D-dimer > 0.74 mg/L | 72.73 | 49.8–89.3 | 66.32 | 59.1–73.0 | 2.16 | 0.41 | 20.0 | 95.5 |
Publisher’s Note: MDPI stays neutral with regard to jurisdictional claims in published maps and institutional affiliations. |
© 2021 by the authors. Licensee MDPI, Basel, Switzerland. This article is an open access article distributed under the terms and conditions of the Creative Commons Attribution (CC BY) license (https://creativecommons.org/licenses/by/4.0/).
Share and Cite
Mania, A.; Faltin, K.; Mazur-Melewska, K.; Małecki, P.; Jończyk-Potoczna, K.; Lubarski, K.; Lewandowska, Z.; Cwalińska, A.; Rosada-Kurasińska, J.; Bartkowska-Śniatkowska, A.; et al. Clinical Picture and Risk Factors of Severe Respiratory Symptoms in COVID-19 in Children. Viruses 2021, 13, 2366. https://doi.org/10.3390/v13122366
Mania A, Faltin K, Mazur-Melewska K, Małecki P, Jończyk-Potoczna K, Lubarski K, Lewandowska Z, Cwalińska A, Rosada-Kurasińska J, Bartkowska-Śniatkowska A, et al. Clinical Picture and Risk Factors of Severe Respiratory Symptoms in COVID-19 in Children. Viruses. 2021; 13(12):2366. https://doi.org/10.3390/v13122366
Chicago/Turabian StyleMania, Anna, Kamil Faltin, Katarzyna Mazur-Melewska, Paweł Małecki, Katarzyna Jończyk-Potoczna, Karol Lubarski, Zuzanna Lewandowska, Agnieszka Cwalińska, Jowita Rosada-Kurasińska, Alicja Bartkowska-Śniatkowska, and et al. 2021. "Clinical Picture and Risk Factors of Severe Respiratory Symptoms in COVID-19 in Children" Viruses 13, no. 12: 2366. https://doi.org/10.3390/v13122366
APA StyleMania, A., Faltin, K., Mazur-Melewska, K., Małecki, P., Jończyk-Potoczna, K., Lubarski, K., Lewandowska, Z., Cwalińska, A., Rosada-Kurasińska, J., Bartkowska-Śniatkowska, A., & Figlerowicz, M. (2021). Clinical Picture and Risk Factors of Severe Respiratory Symptoms in COVID-19 in Children. Viruses, 13(12), 2366. https://doi.org/10.3390/v13122366

