Barcoding of Plant Viruses with Circular Single-Stranded DNA Based on Rolling Circle Amplification
Abstract
1. Introduction
2. The Broad Practical Application of RCA
3. Sampling Is Simple
4. Extraction of Nucleic Acids
5. Run-Off and De Novo Primed Replication
6. The Best Choice of the Restriction Enzymes
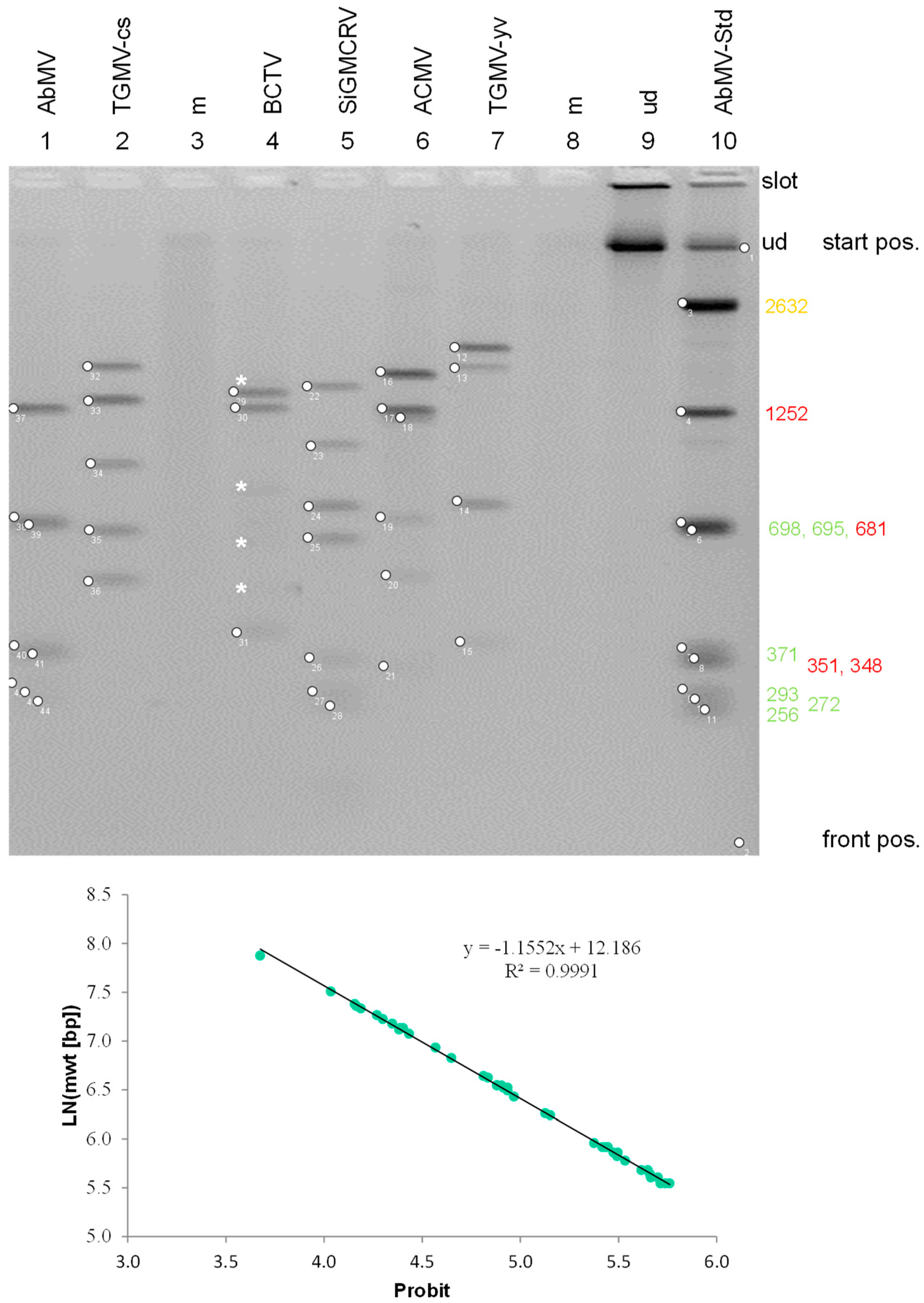
7. Standardization to Determine Fragment Sizes
8. Get the Unknown and Unexpected
9. Resurrection of Viruses
10. Get the Whole Sequence Information
11. Outlook
Supplementary Materials
Funding
Acknowledgments
Conflicts of Interest
References
- Saunders, K.; Bedford, I.D.; Yahara, T.; Stanley, J. Aetiology: The earliest recorded plant virus disease. Nature 2003, 422, 831. [Google Scholar] [CrossRef] [PubMed]
- Fischer, A.; Strohmeier, S.; Krenz, B.; Jeske, H. Evolutionary liberties of the Abutilon mosaic virus cluster. Virus Genes 2015, 50, 63–70. [Google Scholar] [CrossRef] [PubMed]
- Wege, C.; Gotthardt, R.D.; Frischmuth, T.; Jeske, H. Fulfilling Koch’s postulates for Abutilon mosaic virus. Arch. Virol. 2000, 145, 2217–2225. [Google Scholar] [CrossRef] [PubMed]
- Moffat, A. Geminiviruses emerge as serious crop threat. Science 1999, 286, 1835. [Google Scholar] [CrossRef]
- Rosas-Diaz, T.; Zhang, D.; Lozano-Duran, R. No evidence of seed transmissibility of Tomato yellow leaf curl virus in Nicotiana benthamiana. J. Zhejiang Univ. Sci. B 2017, 18, 437–440. [Google Scholar] [CrossRef] [PubMed]
- Kil, E.J.; Kim, S.; Lee, Y.J.; Byun, H.S.; Park, J.; Seo, H.; Kim, C.S.; Shim, J.K.; Lee, J.H.; Kim, J.K.; et al. Tomato yellow leaf curl virus (TYLCV-Il): A seed-transmissible geminivirus in tomatoes. Sci. Rep. 2016, 6, 19013. [Google Scholar] [CrossRef] [PubMed]
- Anabestani, A.; Behjatnia, S.A.A.; Izadpanah, K.; Tabein, S.; Accotto, G.P. Seed transmission of beet curly top virus and beet curly top iran virus in a local cultivar of petunia in Iran. Viruses 2017, 9, 299. [Google Scholar] [CrossRef] [PubMed]
- Pooggin, M.M. How can plant DNA viruses evade siRNA-directed DNA methylation and silencing? Int. J. Mol. Sci. 2013, 14, 15233–15259. [Google Scholar] [CrossRef] [PubMed]
- Hanley-Bowdoin, L.; Bejarano, E.R.; Robertson, D.; Mansoor, S. Geminiviruses: Masters at redirecting and reprogramming plant processes. Nat. Rev. Microbiol. 2013, 11, 777–788. [Google Scholar] [CrossRef] [PubMed]
- Jeske, H. Geminiviruses. In Torque Teno Virus: The Still Elusive Human Pathogens; zur Hausen, H., de Villiers, E.-M., Eds.; Springer: Berlin, Germany, 2009; Volume 331, pp. 185–226. [Google Scholar]
- Briddon, R.W.; Stanley, J. Subviral agents associated with plant single-stranded DNA viruses. Virology 2006, 344, 198–210. [Google Scholar] [CrossRef] [PubMed]
- Hassan, I.; Orilio, A.F.; Fiallo-Olive, E.; Briddon, R.W.; Navas-Castillo, J. Infectivity, effects on helper viruses and whitefly transmission of the deltasatellites associated with sweepoviruses (genus Begomovirus, family Geminiviridae). Sci. Rep. 2016, 6, 30204. [Google Scholar] [CrossRef] [PubMed]
- Fiallo-Olive, E.; Tovar, R.; Navas-Castillo, J. Deciphering the biology of deltasatellites from the New World: Maintenance by New World begomoviruses and whitefly transmission. New Phytol. 2016, 212, 680–692. [Google Scholar] [CrossRef] [PubMed]
- Lozano, G.; Trenado, H.P.; Fiallo-Olive, E.; Chirinos, D.; Geraud-Pouey, F.; Briddon, R.W.; Navas-Castillo, J. Characterization of non-coding DNA satellites associated with sweepoviruses (genus Begomovirus, Geminiviridae)—Definition of a distinct class of begomovirus-associated satellites. Front. Microbiol. 2016, 7, 162. [Google Scholar] [CrossRef] [PubMed]
- Zhou, X. Advances in understanding begomovirus satellites. Annu. Rev. Phytopathol. 2013, 51, 357–381. [Google Scholar] [CrossRef] [PubMed]
- Zerbini, F.M.; Briddon, R.W.; Idris, A.; Martin, D.P.; Moriones, E.; Navas-Castillo, J.; Rivera-Bustamante, R.; Roumagnac, P.; Varsani, A.; Ictv Report, C. ICTV virus taxonomy profile: Geminiviridae. J. Gen. Virol. 2017, 98, 131–133. [Google Scholar] [CrossRef] [PubMed]
- Briddon, R.W.; Martin, D.P.; Roumagnac, P.; Navas-Castillo, J.; Fiallo-Olive, E.; Moriones, E.; Lett, J.M.; Zerbini, F.M.; Varsani, A. Alphasatellitidae: A new family with two subfamilies for the classification of geminivirus- and nanovirus-associated alphasatellites. Arch. Virol. 2018, 163, 2587–2600. [Google Scholar] [CrossRef] [PubMed]
- Inoue-Nagata, A.K.; Albuquerque, L.C.; Rocha, W.B.; Nagata, T. A simple method for cloning the complete begomovirus genome using the bacteriophage phi 29 DNA polymerase. J. Virol. Methods 2004, 116, 209–211. [Google Scholar] [CrossRef] [PubMed]
- Haible, D.; Kober, S.; Jeske, H. Rolling circle amplification revolutionizes diagnosis and genomics of geminiviruses. J. Virol. Methods 2006, 135, 9–16. [Google Scholar] [CrossRef] [PubMed]
- Schubert, J.; Habekuss, A.; Kazmaier, K.; Jeske, H. Surveying cereal-infecting geminiviruses in Germany—Diagnostics and direct sequencing using rolling circle amplification. Virus Res. 2007, 127, 61–70. [Google Scholar] [CrossRef] [PubMed]
- Knierim, D.; Maiss, E. Application of phi29 DNA polymerase in identification and full-length clone inoculation of tomato yellow leaf curl Thailand virus and tobacco leaf curl Thailand virus. Arch. Virol. 2007, 152, 941–954. [Google Scholar] [CrossRef] [PubMed]
- Owor, B.E.; Shepherd, D.N.; Taylor, N.J.; Edema, R.; Monjane, A.L.; Thomson, J.A.; Martin, D.P.; Varsani, A. Successful application of FTA classic card technology and use of bacteriophage phi 29 DNA polymerase for large-scale field sampling and cloning of complete maize streak virus genomes. J. Virol. Methods 2007, 140, 100–105. [Google Scholar] [CrossRef] [PubMed]
- Kumar, Y.; Hallan, V.; Zaidi, A.A. Molecular characterization of a distinct bipartite begomovirus species infecting tomato in India. Virus Genes 2008, 37, 425–431. [Google Scholar] [CrossRef] [PubMed]
- Homs, M.; Kober, S.; Kepp, G.; Jeske, H. Mitochondrial plasmids of sugar beet amplified via rolling circle method detected during curtovirus screening. Virus Res. 2008, 136, 124–129. [Google Scholar] [CrossRef] [PubMed]
- Nahid, N.; Amin, I.; Mansoor, S.; Rybicki, E.P.; van der Walt, E.; Briddon, R.W. Two dicot-infecting mastreviruses (family Geminiviridae) occur in Pakistan. Arch. Virol. 2008, 153, 1441–1451. [Google Scholar] [CrossRef] [PubMed]
- Shepherd, D.N.; Martin, D.P.; Lefeuvre, P.; Monjane, A.L.; Owor, B.E.; Rybicki, E.P.; Varsani, A. A protocol for the rapid isolation of full geminivirus genomes from dried plant tissue. J. Virol. Methods 2008, 149, 97–102. [Google Scholar] [CrossRef] [PubMed]
- Wu, C.Y.; Lai, Y.C.; Lin, N.S.; Hsu, Y.H.; Tsai, H.T.; Liao, J.Y.; Hu, C.C. A simplified method of constructing infectious clones of begomovirus employing limited restriction enzyme digestion of products of rolling circle amplification. J. Virol. Methods 2008, 147, 355–359. [Google Scholar] [CrossRef] [PubMed]
- De Oliveira Ferreira, P.D.T.; Lemos, T.O.; Nagata, T.; Inoue-Nagata, A.K. One-step cloning approach for construction of agroinfectious begomovirus clones. J. Virol. Methods 2008, 147, 351–354. [Google Scholar] [CrossRef] [PubMed]
- Ramsell, J.N.E.; Boulton, M.I.; Martin, D.P.; Valkonen, J.P.T.; Kvarnheden, A. Studies on the host range of the barley strain of wheat dwarf virus using an agroinfectious viral clone. Plant Pathol. 2009, 58, 1161–1169. [Google Scholar] [CrossRef]
- Grigoras, I.; Timchenko, T.; Katul, L.; Grande-Perez, A.; Vetten, H.J.; Gronenborn, B. Reconstitution of authentic nanovirus from multiple cloned DNAs. J. Virol. 2009, 83, 10778–10787. [Google Scholar] [CrossRef] [PubMed]
- Rosario, K.; Duffy, S.; Breitbart, M. Diverse circovirus-like genome architectures revealed by environmental metagenomics. J. Gen. Virol. 2009, 90, 2418–2424. [Google Scholar] [CrossRef] [PubMed]
- Fernandes, F.R.; Cruz, A.R.R.; Faria, J.C.; Zerbini, F.M.; Aragao, F.J.L. Three distinct begomoviruses associated with soybean in Central Brazil. Arch. Virol. 2009, 154, 1567–1570. [Google Scholar] [CrossRef] [PubMed]
- Kleinow, T.; Nischang, M.; Beck, A.; Kratzer, U.; Tanwir, F.; Preiss, W.; Kepp, G.; Jeske, H. Three C-terminal phosphorylation sites in the Abutilon mosaic virus movement protein affect symptom development and viral DNA accumulation. Virology 2009, 390, 89–101. [Google Scholar] [CrossRef] [PubMed]
- Kumar, Y.; Bhardwaj, P.; Hallan, V.; Zaidi, A.A. Detection and characterization of Ageratum enation virus and a nanovirus-like satellite DNA1 from Zinnia causing leaf curl symptoms in India. J. Gen. Plant Pathol. 2010, 76, 395–398. [Google Scholar] [CrossRef]
- Pandey, P.; Mukhopadhya, S.; Naqvi, A.R.; Mukherjee, S.K.; Shekhawat, G.S.; Choudhury, N.R. Molecular characterization of two distinct monopartite begomoviruses infecting tomato in India. Virol. J. 2010, 7. [Google Scholar] [CrossRef] [PubMed]
- Krenz, B.; Wege, C.; Jeske, H. Cell-free construction of disarmed Abutilon mosaic virus-based gene silencing vectors. J. Virol. Methods 2010, 169, 129–137. [Google Scholar] [CrossRef] [PubMed]
- Briddon, R.W.; Heydarnejad, J.; Khosrowfar, F.; Massumi, H.; Martin, D.P.; Varsani, A. Turnip curly top virus, a highly divergent geminivirus infecting turnip in Iran. Virus Res. 2010, 152, 169–175. [Google Scholar] [CrossRef] [PubMed]
- Paprotka, T.; Metzler, V.; Jeske, H. The first DNA 1-like alpha satellites in association with New World begomoviruses in natural infections. Virology 2010, 404, 148–157. [Google Scholar] [CrossRef] [PubMed]
- Guenoune-Gelbart, D.; Sufrin-Ringwald, T.; Capobianco, H.; Gaba, V.; Polston, J.E.; Lapidot, M. Inoculation of plants with begomoviruses by particle bombardment without cloning: Using rolling circle amplification of total DNA from infected plants and whiteflies. J. Virol. Methods 2010, 168, 87–93. [Google Scholar] [CrossRef] [PubMed]
- Tiwari, N.; Padmalatha, K.V.; Singh, V.B.; Haq, Q.M.I.; Malathi, V.G. Tomato leaf curl Bangalore virus (ToLCBV): Infectivity and enhanced pathogenicity with diverse betasatellites. Arch. Virol. 2010, 155, 1343–1347. [Google Scholar] [CrossRef] [PubMed]
- Packialakshmi, R.M.; Srivastava, N.; Girish, K.R.; Usha, R. Molecular characterization of a distinct begomovirus species from Vernonia cinerea and its associated DNA-beta using the bacteriophage Phi 29 DNA polymerase. Virus Genes 2010, 41, 135–143. [Google Scholar] [CrossRef] [PubMed]
- Paprotka, T.; Metzler, V.; Jeske, H. The complete nucleotide sequence of a new bipartite begomovirus from Brazil infecting Abutilon. Arch. Virol. 2010, 155, 813–816. [Google Scholar] [CrossRef] [PubMed]
- Paprotka, T.; Boiteux, L.S.; Fonseca, M.E.N.; Resende, R.O.; Jeske, H.; Faria, J.C.; Ribeiro, S.G. Genomic diversity of sweet potato geminiviruses in a Brazilian germplasm bank. Virus Res. 2010, 149, 224–233. [Google Scholar] [CrossRef] [PubMed]
- Kumar, A.; Kumar, J.; Khan, J.A. Sequence characterization of cotton leaf curl virus from Rajasthan: Phylogenetic relationship with other members of geminiviruses and detection of recombination. Virus Genes 2010, 40, 282–289. [Google Scholar] [CrossRef] [PubMed]
- Tobias, I.; Kiss, B.; Salanki, K.; Palkovics, L. The nucleotide sequence of barley strain of Wheat dwarf virus isolated in hungary. Cereal Res. Commun. 2010, 38, 67–74. [Google Scholar] [CrossRef]
- Van Brunschot, S.L.; Persley, D.M.; Geering, A.D.W.; Campbell, P.R.; Thomas, J.E. Tomato yellow leaf curl virus in Australia: Distribution, detection and discovery of naturally occurring defective DNA molecules. Australas. Plant Pathol. 2010, 39, 412–423. [Google Scholar] [CrossRef]
- Blinkova, O.; Victoria, J.; Li, Y.Y.; Keele, B.F.; Sanz, C.; Ndjango, J.B.N.; Peeters, M.; Travis, D.; Lonsdorf, E.V.; Wilson, M.L.; et al. Novel circular DNA viruses in stool samples of wild-living chimpanzees. J. Gen. Virol. 2010, 91, 74–86. [Google Scholar] [CrossRef] [PubMed]
- Snehi, S.K.; Raj, S.K.; Khan, M.S.; Prasad, V. Molecular identification of a new begomovirus associated with yellow mosaic disease of Jatropha gossypifolia in India. Arch. Virol. 2011, 156, 2303–2307. [Google Scholar] [CrossRef] [PubMed]
- Packialakshmi, R.M.; Usha, R. A simple and efficient method for agroinfection of Vernonia cinerea with infectious clones of Vernonia yellow vein virus. Virus Genes 2011, 43, 465–470. [Google Scholar] [CrossRef] [PubMed]
- Paprotka, T.; Deuschle, K.; Metzler, V.; Jeske, H. Conformation-selective methylation of geminivirus DNA. J. Virol. 2011, 85, 12001–12012. [Google Scholar] [CrossRef] [PubMed]
- Krenz, B.; Neugart, F.; Kleinow, T.; Jeske, H. Self-interaction of Abutilon mosaic virus replication initiator protein (rep) in plant cell nuclei. Virus Res. 2011, 161, 194–197. [Google Scholar] [CrossRef] [PubMed]
- Park, J.; Lee, H.; Kim, M.K.; Kwak, H.R.; Auh, C.K.; Lee, K.Y.; Kim, S.; Choi, H.S.; Lee, S. Phylogenetic lineage of tobacco leaf curl virus in Korea and estimation of recombination events implicated in their sequence variation. Virus Res. 2011, 159, 124–131. [Google Scholar] [CrossRef] [PubMed]
- Zaim, M.; Kumar, Y.; Hallan, V.; Zaidi, A.A. Velvet bean severe mosaic virus: A distinct begomovirus species causing severe mosaic in Mucuna pruriens (L.) dc. Virus Genes 2011, 43, 138–146. [Google Scholar] [CrossRef] [PubMed]
- Horn, J.; Lauster, S.; Krenz, B.; Kraus, J.; Frischmuth, T.; Jeske, H. Ambivalent effects of defective DNA in beet curly top virus-infected transgenic sugarbeet plants. Virus Res. 2011, 158, 169–178. [Google Scholar] [CrossRef] [PubMed]
- Zhang, S.C.; Ling, K.S. Genetic diversity of sweet potato begomoviruses in the United States and identification of a natural recombinant between sweet potato leaf curl virus and sweet potato leaf curl Georgia virus. Arch. Virol. 2011, 156, 955–968. [Google Scholar] [CrossRef] [PubMed]
- Kumar, Y.; Hallan, V.; Zaidi, A.A. First report of Ageratum enation virus infecting Crassocephalum crepidioides (Benth.) s. Moore and Ageratum conyzoides L. In india. J. Gen. Plant Pathol. 2011, 77, 214–216. [Google Scholar] [CrossRef]
- Wyant, P.S.; Gotthardt, D.; Schafer, B.; Krenz, B.; Jeske, H. The genomes of four novel begomoviruses and a new Sida micrantha mosaic virus strain from Bolivian weeds. Arch. Virol. 2011, 156, 347–352. [Google Scholar] [CrossRef] [PubMed]
- Tobias, I.; Shevchenko, O.; Kiss, B.; Bysov, A.; Snihur, H.; Polischuk, V.; Salanki, K.; Palkovics, L. Comparison of the nucleotide sequences of wheat dwarf virus (WDV) isolates from Hungary and Ukraine. Pol. J. Microbiol. 2011, 60, 125–131. [Google Scholar] [PubMed]
- Aranha, S.D.; de Albuquerque, L.C.; Boiteux, L.S.; Inoue-Nagata, A.K. Detection and complete genome characterization of a begomovirus infecting okra (Abelmoschus esculentus) in Brazil. Trop. Plant Pathol. 2011, 36, 14–20. [Google Scholar] [CrossRef]
- Marquez-Martin, B.; Aragon-Caballero, L.; Fiallo-Olive, E.; Navas-Castillo, J.; Moriones, E. Tomato leaf deformation virus, a novel begomovirus associated with a severe disease of tomato in Peru. Eur. J. Plant Pathol. 2011, 129, 1–7. [Google Scholar] [CrossRef]
- Snehi, S.K.; Srivastava, A.; Raj, S.K. Biological characterization and complete genome sequence of a possible strain of Indian cassava mosaic virus from Jatropha curcas in India. J. Phytopathol. 2012, 160, 547–553. [Google Scholar] [CrossRef]
- Rocha, K.C.G.; Marubayashi, J.M.; Mituti, T.; Gioria, R.; Kobori, R.F.; Melo, A.M.T.; Pavan, M.A.; Krause-Sakate, R. Evaluation of resistance to tomato severe rugose virus (ToSRV) in Capsicum spp. genotypes. Trop. Plant Pathol. 2012, 37, 314–318. [Google Scholar] [CrossRef]
- Tavares, S.S.; Ramos-Sobrinho, R.; Gonzalez-Aguilera, J.; Lima, G.S.A.; Assuncao, I.P.; Zerbini, F.M. Further molecular characterization of weed-associated begomoviruses in Brazil with an emphasis on Sida spp. Planta Daninha 2012, 30, 305–315. [Google Scholar] [CrossRef]
- Rosario, K.; Dayaram, A.; Marinov, M.; Ware, J.; Kraberger, S.; Stainton, D.; Breitbart, M.; Varsani, A. Diverse circular ssDNA viruses discovered in dragonflies (Odonata: Epiprocta). J. Gen. Virol. 2012, 93, 2668–2681. [Google Scholar] [CrossRef] [PubMed]
- Idris, A.M.; Abdullah, N.M.; Brown, J.K. Leaf curl diseases of two solanaceous species in Southwest Arabia are caused by a monopartite begomovirus evolutionarily most closely related to a species from the nile basin and unique suite of betasatellites. Virus Res. 2012, 169, 296–300. [Google Scholar] [CrossRef] [PubMed]
- Kumar, J.; Singh, S.P.; Kumar, J.; Tuli, R. A novel mastrevirus infecting wheat in India. Arch. Virol. 2012, 157, 2031–2034. [Google Scholar] [CrossRef] [PubMed]
- Nawaz-Ul-Rehman, M.S.; Briddon, R.W.; Fauquet, C.M. A melting pot of Old World begomoviruses and their satellites infecting a collection of Gossypium species in Pakistan. PLoS ONE 2012, 7. [Google Scholar] [CrossRef] [PubMed]
- Wyant, P.S.; Kober, S.; Schwierzok, A.; Kocher, C.; Schafer, B.; Jeske, H.; Wege, C. Cloned tomato golden mosaic virus back in tomatoes. Virus Res. 2012, 167, 397–403. [Google Scholar] [CrossRef] [PubMed]
- Whon, T.W.; Kim, M.S.; Roh, S.W.; Shin, N.R.; Lee, H.W.; Bae, J.W. Metagenomic characterization of airborne viral DNA diversity in the near-surface atmosphere. J. Virol. 2012, 86, 8221–8231. [Google Scholar] [CrossRef] [PubMed]
- Matic, S.; da Cunha, A.T.P.; Thompson, J.R.; Tepfer, M. An analysis of viruses associated with cassava mosaic disease in three Angolan provinces. J. Plant Pathol. 2012, 94, 443–450. [Google Scholar]
- Valverde, R.A.; Singh, R.; Sabanadzovic, S. Detection and identification of Clerodendron golden mosaic china virus in Salvia splendens. Eur. J. Plant Pathol. 2012, 133, 499–503. [Google Scholar] [CrossRef]
- Wyant, P.S.; Strohmeier, S.; Schafer, B.; Krenz, B.; Assuncao, I.P.; Lima, G.S.D.; Jeske, H. Circular DNA genomics (circomics) exemplified for geminiviruses in bean crops and weeds of Northeastern Brazil. Virology 2012, 427, 151–157. [Google Scholar] [CrossRef] [PubMed]
- Dayaram, A.; Opong, A.; Jaschke, A.; Hadfield, J.; Baschiera, M.; Dobson, R.C.J.; Offei, S.K.; Shepherd, D.N.; Martin, D.P.; Varsani, A. Molecular characterisation of a novel cassava associated circular ssDNA virus. Virus Res. 2012, 166, 130–135. [Google Scholar] [CrossRef] [PubMed]
- Silva, S.J.C.; Castillo-Urquiza, G.P.; Hora, B.T.; Assuncao, I.P.; Lima, G.S.A.; Pio-Ribeiro, G.; Mizubuti, E.S.G.; Zerbini, F.M. Species diversity, phylogeny and genetic variability of begomovirus populations infecting leguminous weeds in Northeastern Brazil. Plant Pathol. 2012, 61, 457–467. [Google Scholar] [CrossRef]
- Zaffalon, V.; Mukherjee, S.K.; Reddy, V.S.; Thompson, J.R.; Tepfer, M. A survey of geminiviruses and associated satellite DNAs in the cotton-growing areas of Northwestern India. Arch. Virol. 2012, 157, 483–495. [Google Scholar] [CrossRef] [PubMed]
- Delwart, E.; Li, L.L. Rapidly expanding genetic diversity and host range of the Circoviridae viral family and other rep encoding small circular ssDNA genomes. Virus Res. 2012, 164, 114–121. [Google Scholar] [CrossRef] [PubMed]
- Oteng-Frimpong, R.; Levy, Y.; Torkpo, S.K.; Danquah, E.Y.; Offei, S.K.; Gafni, Y. Complete genome sequencing of two causative viruses of cassava mosaic disease in Ghana. Acta Virol. 2012, 56, 305–314. [Google Scholar] [CrossRef] [PubMed]
- Kumar, J.; Gunapati, S.; Singh, S.P.; Gadre, R.; Sharma, N.C.; Tuli, R. Molecular characterization and pathogenicity of a carrot (Daucus carota) infecting begomovirus and associated betasatellite from India. Virus Res. 2013, 178, 478–485. [Google Scholar] [CrossRef] [PubMed]
- Satya, V.K.; Malathi, V.G.; Velazhahan, R.; Rabindran, R.; Jayamani, P.; Alice, D. Characterization of betasatellite associated with the yellow mosaic disease of grain legumes in Southern India. Acta Virol. 2013, 57, 405–414. [Google Scholar] [CrossRef] [PubMed]
- Srivastava, A.; Raj, S.K.; Kumar, S.; Snehi, S.K.; Kulshreshtha, A.; Hallan, V.; Pande, S.S. Molecular identification of Ageratum enation virus, betasatellite and alphasatellite molecules isolated from yellow vein diseased Amaranthus cruentus in India. Virus Genes 2013, 47, 584–590. [Google Scholar] [CrossRef] [PubMed]
- Sikorski, A.; Massaro, M.; Kraberger, S.; Young, L.M.; Smalley, D.; Martin, D.P.; Varsani, A. Novel myco-like DNA viruses discovered in the faecal matter of various animals. Virus Res. 2013, 177, 209–216. [Google Scholar] [CrossRef] [PubMed]
- Al Rwahnih, M.; Dave, A.; Anderson, M.M.; Rowhani, A.; Uyemoto, J.K.; Sudarshana, M.R. Association of a DNA virus with grapevines affected by red blotch disease in California. Phytopathology 2013, 103, 1069–1076. [Google Scholar] [CrossRef] [PubMed]
- Bernardo, P.; Golden, M.; Akram, M.; Naimuddin; Nadarajan, N.; Fernandez, E.; Granier, M.; Rebelo, A.G.; Peterschmitt, M.; Martin, D.P.; et al. Identification and characterisation of a highly divergent geminivirus: Evolutionary and taxonomic implications. Virus Res. 2013, 177, 35–45. [Google Scholar] [CrossRef] [PubMed]
- Jyothsna, P.; Haq, Q.M.I.; Jayaprakash, P.; Malathi, V.G. Molecular evidence for the occurrence of Abutilon mosaic virus, a New World begomovirus in India. Indian J. Virol. 2013, 24, 284–288. [Google Scholar] [CrossRef] [PubMed]
- Geetanjali, A.S.; Shilpi, S.; Mandal, B. Natural association of two different betasatellites with sweet potato leaf curl virus in wild morning glory (Ipomoea purpurea) in India. Virus Genes 2013, 47, 184–188. [Google Scholar] [CrossRef] [PubMed]
- Roy, A.; Spoorthi, P.; Bag, M.K.; Prasad, T.V.; Singh, R.; Dutta, M.; Mandal, B. A leaf curl disease in germplasm of rapeseed-mustard in India: Molecular evidence of a weed-infecting begomovirus-betasatellite complex emerging in a new crop. J. Phytopathol. 2013, 161, 522–535. [Google Scholar] [CrossRef]
- Kardani, S.G.; Heydarnejad, J.; Zakiaghl, M.; Mehrvar, M.; Kraberger, S.; Varsani, A. Diversity of beet curly top Iran virus isolated from different hosts in Iran. Virus Genes 2013, 46, 571–575. [Google Scholar] [CrossRef] [PubMed]
- Roy, A.; Spoorthi, P.; Panwar, G.; Bag, M.K.; Prasad, T.V.; Kumar, G.; Gangopadhyay, K.K.; Dutta, M. Molecular evidence for occurrence of tomato leaf curl New Delhi virus in ash gourd (Benincasa hispida) germplasm showing a severe yellow stunt disease in India. Indian J. Virol. 2013, 24, 74–77. [Google Scholar] [CrossRef] [PubMed]
- Pramesh, D.; Mandal, B.; Phaneendra, C.; Muniyappa, V. Host range and genetic diversity of croton yellow vein mosaic virus, a weed-infecting monopartite begomovirus causing leaf curl disease in tomato. Arch. Virol. 2013, 158, 531–542. [Google Scholar] [CrossRef] [PubMed]
- Kamaal, N.; Akram, M.; Pratap, A.; Yadav, P. Characterization of a new begomovirus and a beta satellite associated with the leaf curl disease of french bean in Northern India. Virus Genes 2013, 46, 120–127. [Google Scholar] [CrossRef] [PubMed]
- Coco, D.; Calil, I.P.; Brustolini, O.J.B.; Santos, A.A.; Inoue-Nagata, A.K.; Fontes, E.P.B. Soybean chlorotic spot virus, a novel begomovirus infecting soybean in Brazil. Arch. Virol. 2013, 158, 457–462. [Google Scholar] [CrossRef] [PubMed]
- Kanakala, S.; Sakhare, A.; Verma, H.N.; Malathi, V.G. Infectivity and the phylogenetic relationship of a mastrevirus causing chickpea stunt disease in India. Eur. J. Plant Pathol. 2013, 135, 429–438. [Google Scholar] [CrossRef]
- Tiwari, N.; Singh, V.B.; Sharma, P.K.; Malathi, V.G. Tomato leaf curl joydebpur virus: A monopartite begomovirus causing severe leaf curl in tomato in West Bengal. Arch. Virol. 2013, 158, 1–10. [Google Scholar] [CrossRef] [PubMed]
- Ali-Shtayeh, M.S.; Jamous, R.M.; Hussein, E.Y.; Mallah, O.B.; Abu-Zeitoun, S.Y. Squash leaf curl virus (SLCV): A serious disease threatening cucurbits production in Palestine. Virus Genes 2014, 48, 320–328. [Google Scholar] [CrossRef] [PubMed]
- Just, K.; Leke, W.N.; Sattar, M.N.; Luik, A.; Kvarnheden, A. Detection of tomato yellow leaf curl virus in imported tomato fruit in Northern Europe. Plant Pathol. 2014, 63, 1454–1460. [Google Scholar] [CrossRef]
- Jeske, H.; Kober, S.; Schafer, B.; Strohmeier, S. Circomics of Cuban geminiviruses reveals the first alpha-satellite DNA in the Caribbean. Virus Genes 2014, 49, 312–324. [Google Scholar] [CrossRef] [PubMed]
- Bang, B.; Lee, J.; Kim, S.; Park, J.; Nguyen, T.T.; Seo, Y.S. A rapid and efficient method for construction of an infectious clone of tomato yellow leaf curl virus. Plant Pathol. J. 2014, 30, 310–315. [Google Scholar] [CrossRef] [PubMed]
- Kil, E.J.; Byun, H.S.; Kim, S.; Kim, J.; Park, J.; Cho, S.; Yang, D.C.; Lee, K.Y.; Choi, H.S.; Kim, J.K.; et al. Sweet pepper confirmed as a reservoir host for tomato yellow leaf curl virus by both agro-inoculation and whitefly-mediated inoculation. Arch. Virol. 2014, 159, 2387–2395. [Google Scholar] [CrossRef] [PubMed]
- Paz-Carrasco, L.C.; Castillo-Urquiza, G.P.; Lima, A.T.M.; Xavier, C.A.D.; Vivas-Vivas, L.M.; Mizubuti, E.S.G.; Zerbini, F.M. Begomovirus diversity in tomato crops and weeds in Ecuador and the detection of a recombinant isolate of Rhynchosia golden mosaic Yucatan virus infecting tomato. Arch. Virol. 2014, 159, 2127–2132. [Google Scholar] [CrossRef] [PubMed]
- Khatri, S.; Nahid, N.; Fauquet, C.M.; Mubin, M.; Nawaz-ul-Rehman, M.S. A betasatellite-dependent begomovirus infects ornamental rose: Characterization of begomovirus infecting rose in Pakistan. Virus Genes 2014, 49, 124–131. [Google Scholar] [CrossRef] [PubMed]
- Ullah, R.; Akhtar, K.P.; Moffett, P.; Mansoor, S.; Briddon, R.W.; Saeed, M. An analysis of the resistance of Gossypium arboreum to cotton leaf curl disease by grafting. Eur. J. Plant Pathol. 2014, 139, 837–847. [Google Scholar] [CrossRef]
- Srivastava, A.; Kumar, S.; Raj, S.K. Association of Pedilanthus leaf curl virus with yellow mottling and leaf curl symptoms in two jasmine species grown in India. J. Gen. Plant Pathol. 2014, 80, 370–373. [Google Scholar] [CrossRef]
- Ali-Shtayeh, M.S.; Jamous, R.M.; Mallah, O.B.; Abu-Zeitoun, S.Y. Molecular characterization of watermelon chlorotic stunt virus (WmCSV) from Palestine. Viruses 2014, 6, 2444–2462. [Google Scholar] [CrossRef] [PubMed]
- Dugdale, B.; Mortimer, C.L.; Kato, M.; James, T.A.; Harding, R.M.; Dale, J.L. Design and construction of an in-plant activation cassette for transgene expression and recombinant protein production in plants. Nat. Protoc. 2014, 9, 1010–1027. [Google Scholar] [CrossRef] [PubMed]
- Bach, J.; Jeske, H. Defective DNAs of beet curly top virus from long-term survivor sugar beet plants. Virus Res. 2014, 183, 89–94. [Google Scholar] [CrossRef] [PubMed]
- Silva, F.N.; Lima, A.T.M.; Rocha, C.S.; Castillo-Urquiza, G.P.; Alves, M.; Zerbini, F.M. Recombination and pseudorecombination driving the evolution of the begomoviruses tomato severe rugose virus (ToSRV) and tomato rugose mosaic virus (ToRMV): Two recombinant DNA-A components sharing the same DNA-B. Virol. J. 2014, 11, 66. [Google Scholar] [CrossRef] [PubMed]
- Idris, A.; Al-Saleh, M.; Piatek, M.J.; Al-Shahwan, I.; Ali, S.; Brown, J.K. Viral metagenomics: Analysis of begomoviruses by illumina high-throughput sequencing. Viruses 2014, 6, 1219–1236. [Google Scholar] [CrossRef] [PubMed]
- Richter, K.S.; Kleinow, T.; Jeske, H. Somatic homologous recombination in plants is promoted by a geminivirus in a tissue-selective manner. Virology 2014, 452, 287–296. [Google Scholar] [CrossRef] [PubMed]
- Yang, X.L.; Zhou, M.N.; Qian, Y.J.; Xie, Y.; Zhou, X.P. Molecular variability and evolution of a natural population of tomato yellow leaf curl virus in Shanghai, China. J. Zhejiang Univ.-Sci. B 2014, 15, 133–142. [Google Scholar] [CrossRef] [PubMed]
- Nehra, C.; Gaur, R.K. Molecular characterization of chilli leaf curl viruses infecting new host plant Petunia hybrida in India. Virus Genes 2015, 50, 58–62. [Google Scholar] [CrossRef] [PubMed]
- Srivastava, A.; Jaidi, M.; Kumar, S.; Raj, S.K. Molecular identification of a new begomovirus associated with leaf crumple disease of Jatropha curcas L. in India. Arch. Virol. 2015, 160, 617–619. [Google Scholar] [CrossRef] [PubMed]
- Chen, S.; Huang, Q.Q.; Wu, L.Q.; Qian, Y.J. Identification and characterization of a maize-associated mastrevirus in China by deep sequencing small RNA populations. Virol. J. 2015, 12, 156. [Google Scholar] [CrossRef] [PubMed]
- Ammara, U.E.; Al-Ansari, M.; Al-Shihi, A.; Amin, I.; Mansoor, S.; Al-Maskari, A.Y.; Al-Sadi, A.M. Association of three begomoviruses and a betasatellite with leaf curl disease of basil in Oman. Can. J. Plant Pathol. 2015, 37, 506–513. [Google Scholar] [CrossRef]
- Rishishwar, R.; Mazumdar, B.; Dasgupta, I. Diverse and recombinant begomoviruses and various satellites are associated with bhendi yellow vein mosaic disease of okra in India. J. Plant Biochem. Biot. 2015, 24, 470–475. [Google Scholar] [CrossRef]
- Liang, P.B.; Navarro, B.; Zhang, Z.X.; Wang, H.Q.; Lu, M.G.; Xiao, H.; Wu, Q.F.; Zhou, X.P.; Di Serio, F.; Li, S.F. Identification and characterization of a novel geminivirus with a monopartite genome infecting apple trees. J. Gen. Virol. 2015, 96, 2411–2420. [Google Scholar] [CrossRef] [PubMed]
- Ma, Y.X.; Navarro, B.; Zhang, Z.X.; Lu, M.G.; Zhou, X.P.; Chi, S.Q.; Di Serio, F.; Li, S.F. Identification and molecular characterization of a novel monopartite geminivirus associated with mulberry mosaic dwarf disease. J. Gen. Virol. 2015, 96, 2421–2434. [Google Scholar] [CrossRef] [PubMed]
- Sudarshana, M.R.; Perry, K.L.; Fuchs, M.F. Grapevine red blotch-associated virus, an emerging threat to the grapevine industry. Phytopathology 2015, 105, 1026–1032. [Google Scholar] [CrossRef] [PubMed]
- Sharma, S.K.; Kumar, P.V.; Geetanjali, A.S.; Pun, K.B.; Baranwal, V.K. Subpopulation level variation of banana streak viruses in India and common evolution of banana and sugarcane badnaviruses. Virus Genes 2015, 50, 450–465. [Google Scholar] [CrossRef] [PubMed]
- Herrera, F.; Aboughanem-Sabanadzovic, N.; Valverde, R.A. A begomovirus associated with yellow vein symptoms of Oxalis debilis. Eur. J. Plant Pathol. 2015, 142, 203–208. [Google Scholar] [CrossRef]
- Srivastava, A.; Kumar, S.; Jaidi, M.; Raj, S.K. Characterization of a novel begomovirus associated with yellow mosaic disease of three ornamental species of Jatropha grown in India. Virus Res. 2015, 201, 41–49. [Google Scholar] [CrossRef] [PubMed]
- Sahu, A.K.; Nehra, C.; Marwal, A.; Gaur, R.K. First report of a begomovirus associated with betasatellites infecting spinach (Spinacia oleracea) in India. J. Gen. Plant Pathol. 2015, 81, 146–150. [Google Scholar] [CrossRef]
- Ullah, R.; Akhtar, K.P.; Hassan, I.; Saeed, M.; Sarwar, N.; Mansoor, S. Evidence of cotton leaf curl Burewala virus variant and its associate betasatellite causing yellow mosaic of eggplant (Solanum melongena) in Pakistan. J. Phytopathol. 2015, 163, 233–237. [Google Scholar] [CrossRef]
- Srivastava, A.; Jaidi, M.; Kumar, S.; Raj, S.K.; Shukla, S. Association of papaya leaf curl virus with the leaf curl disease of grain amaranth (Amaranthus cruentus L.) in India. Phytoparasitica 2015, 43, 97–101. [Google Scholar] [CrossRef]
- Wyant, P.; Strohmeier, S.; Fischer, A.; Schafer, B.; Briddon, R.W.; Krenz, B.; Jeske, H. Light-dependent segregation of begomoviruses in Asystasia gangetica leaves. Virus Res. 2015, 195, 225–235. [Google Scholar] [CrossRef] [PubMed]
- Kushawaha, A.K.; Rabindran, R.; Dasgupta, I. Phylogenetic analysis and biolistic infectivity of a cloned Sri Lankan cassava mosaic virus DNA-A from Tamil Nadu, India on Nicotiana benthamiana. Acta Virol. 2015, 59, 57–63. [Google Scholar] [CrossRef] [PubMed]
- Shahid, M.S.; Ikegami, M.; Briddon, R.W.; Natsuaki, K.T. Characterization of tomato yellow leaf curl virus and associated alphasatellite infecting Cucurbita maxima in Japan. J. Gen. Plant Pathol. 2015, 81, 92–95. [Google Scholar] [CrossRef]
- Leke, W.N.; Khatabi, B.; Mignouna, D.B.; Brown, J.K.; Fondong, V.N. Complete genome sequence of a new bipartite begomovirus infecting cotton in the republic of Benin in West Africa. Arch. Virol. 2016, 161, 2329–2333. [Google Scholar] [CrossRef] [PubMed]
- Deuschle, K.; Kepp, G.; Jeske, H. Differential methylation of the circular DNA in geminiviral minichromosomes. Virology 2016, 499, 243–258. [Google Scholar] [CrossRef] [PubMed]
- Priyavathi, P.; Kavitha, V.; Gopal, P. Complex nature of infection associated with yellow vein mosaic disease in bhendi (Abelmoschus esculentus). Curr. Sci. India 2016, 111, 1511–1515. [Google Scholar] [CrossRef]
- Kumar, S.; Srivastava, A.; Jaidi, M.; Chauhan, P.S.; Raj, S.K. Molecular characterization of a begomovirus, alpha-satellite, and beta-satellite associated with leaf curl disease of Parthenium hysterophorus in India. Plant Dis. 2016, 100, 2299–2305. [Google Scholar] [CrossRef]
- Pearson, V.M.; Caudle, S.B.; Rokyta, D.R. Viral recombination blurs taxonomic lines: Examination of single-stranded DNA viruses in a wastewater treatment plant. Peerj 2016, 4, e2585. [Google Scholar] [CrossRef] [PubMed]
- Sharma, S.; Singh, L.; Roshan, P.; Kulshreshtha, A.; Singh, N.; Hallan, V. Complete nucleotide sequence of Ageratum enation virus and an alphasatellite infecting a new host Glycine max in India. J. Phytopathol. 2016, 164, 554–557. [Google Scholar] [CrossRef]
- Bernardo, P.; Muhire, B.; Francois, S.; Deshoux, M.; Hartnady, P.; Farkas, K.; Kraberger, S.; Filloux, D.; Fernandez, E.; Galzi, S.; et al. Molecular characterization and prevalence of two capulaviruses: Alfalfa leaf curl virus from France and Euphorbia caput-medusae latent virus from South Africa. Virology 2016, 493, 142–153. [Google Scholar] [CrossRef] [PubMed]
- Kamali, M.; Heydarnejad, J.; Massumi, H.; Kvarnheden, A.; Kraberger, S.; Varsani, A. Molecular diversity of turncurtoviruses in Iran. Arch. Virol. 2016, 161, 551–561. [Google Scholar] [CrossRef] [PubMed]
- Nagendran, K.; Satya, V.K.; Mohankumar, S.; Karthikeyan, G. Molecular characterization of a distinct bipartite begomovirus species infecting ivy gourd (Coccinia grandis L.) in Tamil Nadu, India. Virus Genes 2016, 52, 146–151. [Google Scholar] [CrossRef] [PubMed]
- Naimuddin, K.; Akram, M.; Agnihotri, A.K. Molecular characterization of a first begomovirus associated with lentil (Lens culinaris) from India. Acta Virol. 2016, 60, 217–223. [Google Scholar] [CrossRef] [PubMed]
- Akmal, M.; Baig, M.S.; Khan, J.A. Suppression of cotton leaf curl disease symptoms in Gossypium hirsutum through over expression of host-encoded miRnas. J. Biotechnol. 2017, 263, 21–29. [Google Scholar] [CrossRef] [PubMed]
- Passos, L.S.; Rodrigues, J.S.; Soares, E.C.S.; Silva, J.P.; Zerbini, F.M.; Araujo, A.S.F.; Beserra, J.E.A. Complete genome sequence of a new bipartite begomovirus infecting Macroptilium lathyroides in Brazil. Arch. Virol. 2017, 162, 3551–3554. [Google Scholar] [CrossRef] [PubMed]
- Silva, J.C.F.; Carvalho, T.F.M.; Fontes, E.P.B.; Cerqueira, F.R. Fangorn forest (f2): A machine learning approach to classify genes and genera in the family Geminiviridae. BMC Bioinform. 2017, 18, 431. [Google Scholar] [CrossRef] [PubMed]
- Regnard, G.L.; de Moor, W.R.J.; Hitzeroth, I.I.; Williamson, A.L.; Rybicki, E.P. Xenogenic rolling-circle replication of a synthetic beak and feather disease virus genomic clone in 293tt mammalian cells and Nicotiana benthamiana. J. Gen. Virol. 2017, 98, 2329–2338. [Google Scholar] [CrossRef] [PubMed]
- Tang, Y.F.; He, Z.F.; Brown, J.K.; She, X.M.; Lan, G.B. Molecular characterization of a novel bipartite begomovirus isolated from Lycianthes biflora in China. Arch. Virol. 2017, 162, 2473–2476. [Google Scholar] [CrossRef] [PubMed]
- Boukari, W.; Alcala-Briseno, R.I.; Kraberger, S.; Fernandez, E.; Filloux, D.; Daugrois, J.H.; Comstock, J.C.; Lett, J.M.; Martin, D.P.; Varsani, A.; et al. Occurrence of a novel mastrevirus in sugarcane germplasm collections in Florida, Guadeloupe and Reunion. Virol. J. 2017, 14, 146. [Google Scholar] [CrossRef] [PubMed]
- Carvajal-Yepes, M.; Zambrano, L.; Bueno, J.M.; Raatz, B.; Cuellar, W.J. Complete genome sequence of bean leaf crumple virus, a novel begomovirus infecting common bean in Colombia. Arch. Virol. 2017, 162, 1773–1776. [Google Scholar] [CrossRef] [PubMed]
- Varsani, A.; Roumagnac, P.; Fuchs, M.; Navas-Castillo, J.; Moriones, E.; Idris, A.; Briddon, R.W.; Rivera-Bustamante, R.; Zerbini, F.M.; Martin, D.P. Capulavirus and Grablovirus: Two new genera in the family Geminiviridae. Arch. Virol. 2017, 162, 1819–1831. [Google Scholar] [CrossRef] [PubMed]
- Silva, J.C.F.; Carvalho, T.F.M.; Basso, M.F.; Deguchi, M.; Pereira, W.A.; Sobrinho, R.R.; Vidigal, P.M.P.; Brustolini, O.J.B.; Silva, F.F.; Dal-Bianco, M.; et al. Geminivirus data warehouse: A database enriched with machine learning approaches. BMC Bioinform. 2017, 18, 240. [Google Scholar] [CrossRef] [PubMed]
- Anwar, S. Distinct association of an alphasatellite and a betasatellite with tomato leaf curl New Delhi virus in field-infected cucurbit. J. Gen. Plant Pathol. 2017, 83, 185–188. [Google Scholar] [CrossRef]
- Parizipour, M.H.G.; Schubert, J.; Behjatnia, S.A.A.; Afsharifar, A.; Habekuss, A.; Wu, B.L. Phylogenetic analysis of wheat dwarf virus isolates from Iran. Virus Genes 2017, 53, 266–274. [Google Scholar] [CrossRef] [PubMed]
- Mishra, G.P.; Singh, B.; Seth, T.; Singh, A.K.; Halder, J.; Krishnan, N.; Tiwari, S.K.; Singh, P.M. Biotechnological advancements and begomovirus management in okra (Abelmoschus esculentus L.): Status and perspectives. Front. Plant Sci. 2017, 8, 360. [Google Scholar] [CrossRef] [PubMed]
- Ferro, C.G.; Silva, J.P.; Xavier, C.A.D.; Godinho, M.T.; Lima, A.T.M.; Mar, T.B.; Lau, D.; Zerbini, F.M. The ever increasing diversity of begomoviruses infecting non-cultivated hosts: New species from Sida spp. and Leonurus sibiricus, plus two new world alphasatellites. Ann. Appl. Biol. 2017, 170, 204–218. [Google Scholar] [CrossRef]
- Shahid, M.S.; Briddon, R.W.; Al-Sadi, A.M. Identification of mungbean yellow mosaic Indian virus associated with tomato leaf curl betasatellite infecting Phaseolus vulgaris in Oman. J. Phytopathol. 2017, 165, 204–211. [Google Scholar] [CrossRef]
- Just, K.; Sattar, M.N.; Arif, U.; Luik, A.; Kvarnheden, A. Infectivity of tomato yellow leaf curl virus isolated from imported tomato fruit in Estonia. Zemdirbyste 2017, 104, 47–52. [Google Scholar] [CrossRef]
- Godara, S.; Khurana, S.M.P.; Biswas, K.K. Three variants of cotton leaf curl begomoviruses with their satellite molecules are associated with cotton leaf curl disease aggravation in New Delhi. J. Plant Biochem. Biot. 2017, 26, 97–105. [Google Scholar] [CrossRef]
- Gronenborn, B.; Randles, J.W.; Knierim, D.; Barriere, Q.; Vetten, H.J.; Warthmann, N.; Cornu, D.; Sileye, T.; Winter, S.; Timchenko, T. Analysis of DNAs associated with coconut foliar decay disease implicates a unique single-stranded DNA virus representing a new taxon. Sci. Rep. 2018, 8, 5698. [Google Scholar] [CrossRef] [PubMed]
- Heydarnejad, J.; Kamali, M.; Hassanvand, V.; Massumi, H.; Shamshiri, M.; Varsani, A. Turnip leaf curl disease associated with two begomoviruses in south-eastern Iran. Trop. Plant Pathol. 2018, 43, 165–169. [Google Scholar] [CrossRef]
- Macedo, M.A.; Albuquerque, L.C.; Maliano, M.R.; Souza, J.O.; Rojas, M.R.; Inoue-Nagata, A.K.; Gilbertson, R.L. Characterization of tomato leaf curl purple vein virus, a new monopartite New World begomovirus infecting tomato in Northeast Brazil. Arch. Virol. 2018, 163, 737–743. [Google Scholar] [CrossRef] [PubMed]
- Mendoza-Figueroa, J.S.; Kvarnheden, A.; Mendez-Lozano, J.; Rodriguez-Negrete, E.A.; de los Monteros, R.A.E.; Soriano-Garcia, M. A peptide derived from enzymatic digestion of globulins from amaranth shows strong affinity binding to the replication origin of tomato yellow leaf curl virus reducing viral replication in Nicotiana benthamiana. Pestic. Biochem. Phys. 2018, 145, 56–65. [Google Scholar] [CrossRef] [PubMed]
- Kumar, A.; Bag, M.K.; Singh, R.; Jailani, A.A.K.; Mandal, B.; Roy, A. Natural infection of croton yellow vein mosaic virus and its cognate betasatellite in germplasm of different Crambe spp in India. Virus Res. 2018, 243, 60–64. [Google Scholar] [CrossRef] [PubMed]
- Mulabisana, M.J.; Cloete, M.; Mabasa, K.G.; Laurie, S.M.; Oelofse, D.; Esterhuizen, L.L.; Rey, M.E.C. Surveys in the Gauteng, Limpopo and Mpumalanga provinces of South Africa reveal novel isolates of sweet potato viruses. S. Afr. J. Bot. 2018, 114, 280–294. [Google Scholar] [CrossRef]
- Perry, K.L.; McLane, H.; Thompson, J.R.; Fuchs, M. A novel grablovirus from non-cultivated grapevine (Vitis sp.) in North America. Arch. Virol. 2018, 163, 259–262. [Google Scholar] [CrossRef] [PubMed]
- Dominguez-Duran, G.; Rodriguez-Negrete, E.A.; Morales-Aguilar, J.J.; Camacho-Beltran, E.; Romero-Romero, J.L.; Rivera-Acosta, M.A.; Leyva-Lopez, N.E.; Arroyo-Becerra, A.; Mendez-Lozano, J. Molecular and biological characterization of watermelon chlorotic stunt virus (WmCSV): An eastern hemisphere begomovirus introduced in the western hemisphere. Crop Prot. 2018, 103, 51–55. [Google Scholar] [CrossRef]
- Fondong, V.N. The search for resistance to cassava mosaic geminiviruses: How much we have accomplished, and what lies ahead. Front. Plant Sci. 2017, 8, 408. [Google Scholar] [CrossRef] [PubMed]
- Blanc, S.; Gutierrez, S. The specifics of vector transmission of arboviruses of vertebrates and plants. Curr. Opin. Virol. 2015, 15, 27–33. [Google Scholar] [CrossRef] [PubMed]
- Roumagnac, P.; Granier, M.; Bernardo, P.; Deshoux, M.; Ferdinand, R.; Galzi, S.; Fernandez, E.; Julian, C.; Abt, I.; Filloux, D.; et al. Alfalfa leaf curl virus: An aphid-transmitted geminivirus. J. Virol. 2015, 89, 9683–9688. [Google Scholar] [CrossRef] [PubMed]
- Zubair, M.; Zaidi, S.S.; Shakir, S.; Amin, I.; Mansoor, S. An insight into cotton leaf curl multan betasatellite, the most important component of cotton leaf curl disease complex. Viruses 2017, 9, 280. [Google Scholar] [CrossRef] [PubMed]
- Zaidi, S.S.; Mansoor, S. Viral vectors for plant genome engineering. Front. Plant Sci. 2017, 8, 539. [Google Scholar] [CrossRef] [PubMed]
- Rybicki, E.P.; Martin, D.P. Virus-derived ssDNA vectors for the expression of foreign proteins in plants. Curr. Top. Microbiol. Immunol. 2014, 375, 19–45. [Google Scholar] [PubMed]
- Moriones, E.; Praveen, S.; Chakraborty, S. Tomato leaf curl New Delhi virus: An emerging virus complex threatening vegetable and fiber crops. Viruses 2017, 9, 264. [Google Scholar] [CrossRef] [PubMed]
- Lozano-Duran, R. Geminiviruses for biotechnology: The art of parasite taming. New Phytol. 2016, 210, 58–64. [Google Scholar] [CrossRef] [PubMed]
- Hefferon, K.L. DNA virus vectors for vaccine production in plants: Spotlight on geminiviruses. Vaccines 2014, 2, 642–653. [Google Scholar] [CrossRef] [PubMed]
- Gilbertson, R.L.; Batuman, O.; Webster, C.G.; Adkins, S. Role of the insect supervectors Bemisia tabaci and Frankliniella occidentalis in the emergence and global spread of plant viruses. Annu. Rev. Virol. 2015, 2, 67–93. [Google Scholar] [CrossRef] [PubMed]
- Jeske, H.; Lütgemeier, M.; Preiss, W. Distinct DNA forms indicate rolling circle and recombination-dependent replication of Abutilon mosaic geminivirus. EMBO J. 2001, 20, 6158–6167. [Google Scholar] [CrossRef] [PubMed]
- Preiss, W.; Jeske, H. Multitasking in replication is common among geminiviruses. J. Virol. 2003, 77, 2972–2980. [Google Scholar] [CrossRef] [PubMed]
- Alberter, B.; Rezaian, A.M.; Jeske, H. Replicative intermediates of ToLCV and its satellite DNAs. Virology 2005, 331, 441–448. [Google Scholar] [CrossRef] [PubMed]
- Morilla, G.; Castillo, A.G.; Preiss, W.; Jeske, H.; Bejarano, E.R. A versatile transreplication-based system to identify cellular proteins involved in geminivirus replication. J. Virol. 2006, 80, 3624–3633. [Google Scholar] [CrossRef] [PubMed]
- Jovel, J.; Preiss, W.; Jeske, H. Characterization of DNA intermediates of an arising geminivirus. Virus Res. 2007, 130, 63–70. [Google Scholar] [CrossRef] [PubMed]
- Erdmann, J.B.; Shepherd, D.N.; Martin, D.P.; Varsani, A.; Rybicki, E.P.; Jeske, H. Replicative intermediates of maize streak virus found during leaf development. J. Gen. Virol. 2010, 91, 1077–1081. [Google Scholar] [CrossRef] [PubMed]
- Ruschhaupt, M.; Martin, D.P.; Lakay, F.; Bezuidenhout, M.; Rybicki, E.P.; Jeske, H.; Shepherd, D.N. Replication modes of maize streak virus mutants lacking repA or the repA-pRBR interaction motif. Virology 2013, 442, 173–179. [Google Scholar] [CrossRef] [PubMed]
- Richter, K.S.; Jeske, H. Ku80, a key factor for non-homologous end-joining, retards geminivirus multiplication. J. Gen. Virol. 2015, 96, 2913–2918. [Google Scholar] [CrossRef] [PubMed]
- Richter, K.S.; Ende, L.; Jeske, H. Rad54 is not essential for any geminiviral replication mode in planta. Plant Mol. Biol. 2015, 87, 193–202. [Google Scholar] [CrossRef] [PubMed]
- Richter, K.S.; Gotz, M.; Winter, S.; Jeske, H. The contribution of translesion synthesis polymerases on geminiviral replication. Virology 2016, 488, 137–148. [Google Scholar] [CrossRef] [PubMed]
- Saunders, K.; Lucy, A.; Stanley, J. DNA forms of the geminivirus African cassava mosaic virus consistent with a rolling circle mechanism of replication. Nucleic Acids Res. 1991, 19, 2325–2330. [Google Scholar] [CrossRef] [PubMed]
- Saunders, K.; Lucy, A.; Stanley, J. RNA-primed complementary-sense DNA synthesis of the geminivirus African cassava mosaic virus. Nucleic Acids Res. 1992, 20, 6311–6315. [Google Scholar] [CrossRef] [PubMed]
- Dean, F.B.; Nelson, J.R.; Giesler, T.L.; Lasken, R.S. Rapid amplification of plasmid and phage DNA using phi 29 DNA polymerase and multiply-primed rolling circle amplification. Genome Res. 2001, 11, 1095–1099. [Google Scholar] [CrossRef] [PubMed]
- Jeske, H.; Gotthardt, D.; Kober, S. In planta cloning of geminiviral DNA: The true Sida micrantha mosaic virus. J. Virol. Methods 2010, 163, 301–308. [Google Scholar] [CrossRef] [PubMed]
- Gutierrez, C.; Suarez-Lopez, P.; Ramirez-Parra, E.; Sanz-Burgos, A.; Poenninger, J.; Xie, Q. DNA bending as a potential regulatory cis-acting element of the geminivirus intergenic region. Agronomie 1995, 15, 415–420. [Google Scholar] [CrossRef]
- Richter, K.S.; Serra, H.; White, C.I.; Jeske, H. The recombination mediator rad51D promotes geminiviral infection. Virology 2016, 493, 113–127. [Google Scholar] [CrossRef] [PubMed]
- Finney, D.J. Probit Analysis; Cambridge University Press: London, UK, 1952. [Google Scholar]
- Gallet, R.; Fabre, F.; Michalakis, Y.; Blanc, S. The number of target molecules of the amplification step limits accuracy and sensitivity in ultra deep sequencing viral population studies. J. Virol. 2017. [Google Scholar] [CrossRef] [PubMed]
- Duffy, S.; Holmes, E.C. Multiple introductions of the old world begomovirus tomato yellow leaf curl virus into the New World. Appl. Environ. Microbiol. 2007, 73, 7114–7117. [Google Scholar] [CrossRef] [PubMed]
- Romay, G.; Chirinos, D.; Geraud-Pouey, F.; Desbiez, C. Association of an atypical alphasatellite with a bipartite New World begomovirus. Arch. Virol. 2010, 155, 1843–1847. [Google Scholar] [CrossRef] [PubMed]
- Hipp, K.; Rau, P.; Schafer, B.; Pfannstiel, J.; Jeske, H. Translation, modification and cellular distribution of two AC4 variants of African cassava mosaic virus in yeast and their pathogenic potential in plants. Virology 2016, 498, 136–148. [Google Scholar] [CrossRef] [PubMed]
- Stenger, D.C.; Revington, G.N.; Stevenson, M.C.; Bisaro, D.M. Replicational release of geminivirus genomes from tandemly repeated copies: Evidence for rolling-circle replication of a plant viral DNA. Proc. Natl. Acad. Sci. USA 1991, 88, 8029–8033. [Google Scholar] [CrossRef] [PubMed]
- Hellens, R.P.; Edwards, E.A.; Leyland, N.R.; Bean, S.; Mullineaux, P.M. Pgreen: A versatile and flexible binary Ti vector forAgrobacterium-mediated plant transformation. Plant Mol. Biol. 2000, 42, 819–832. [Google Scholar] [CrossRef] [PubMed]
- Mehta, D.; Hirsch-Hoffmann, M.; Patrignani, A.; Gruissem, W.; Vanderschuren, H. Cider-seq: Unbiased virus enrichment and single-read, full length genome sequencing. bioRxiv 2017. [Google Scholar] [CrossRef]
- Korlach, J.; Bjornson, K.P.; Chaudhuri, B.P.; Cicero, R.L.; Flusberg, B.A.; Gray, J.J.; Holden, D.; Saxena, R.; Wegener, J.; Turner, S.W. Real-time DNA sequencing from single polymerase molecules. In Methods in Enzymology; Walter, N.G., Ed.; Academic Press: Cambridge, MA, USA, 2010; Volume 472, pp. 431–455. [Google Scholar]
- Zamir, D. Farewell to the lose-lose reality of policing plant imports. PLoS Biol. 2016, 14, e1002438. [Google Scholar] [CrossRef] [PubMed]





| Genus | Mean Length | Mean Frequencies | Entries | Standard Deviations | ||||||||||
|---|---|---|---|---|---|---|---|---|---|---|---|---|---|---|
| A | C | G | T | A + T | G + C | n | A | C | G | T | A + T | G + C | ||
| Begomovirus | 2719 | 26.6 | 20.2 | 23.1 | 30.1 | 56.6 | 43.3 | 7001 | 1.1 | 1.5 | 1.6 | 1.5 | 2.1 | 2.1 |
| Curtovirus | 2932 | 28.2 | 17.3 | 23.1 | 31.4 | 59.6 | 40.4 | 193 | 1.1 | 0.4 | 1.1 | 0.6 | 1.4 | 1.4 |
| Mastrevirus | 2684 | 25.4 | 22.6 | 25.8 | 26.2 | 51.6 | 48.4 | 1619 | 1.4 | 1.9 | 1.0 | 1.7 | 2.4 | 2.4 |
| Other | 2708 | 26.5 | 22.6 | 23.5 | 27.4 | 53.9 | 46.1 | 327 | 2.6 | 4.3 | 2.1 | 3.7 | 4.9 | 4.9 |
© 2018 by the author. Licensee MDPI, Basel, Switzerland. This article is an open access article distributed under the terms and conditions of the Creative Commons Attribution (CC BY) license (http://creativecommons.org/licenses/by/4.0/).
Share and Cite
Jeske, H. Barcoding of Plant Viruses with Circular Single-Stranded DNA Based on Rolling Circle Amplification. Viruses 2018, 10, 469. https://doi.org/10.3390/v10090469
Jeske H. Barcoding of Plant Viruses with Circular Single-Stranded DNA Based on Rolling Circle Amplification. Viruses. 2018; 10(9):469. https://doi.org/10.3390/v10090469
Chicago/Turabian StyleJeske, Holger. 2018. "Barcoding of Plant Viruses with Circular Single-Stranded DNA Based on Rolling Circle Amplification" Viruses 10, no. 9: 469. https://doi.org/10.3390/v10090469
APA StyleJeske, H. (2018). Barcoding of Plant Viruses with Circular Single-Stranded DNA Based on Rolling Circle Amplification. Viruses, 10(9), 469. https://doi.org/10.3390/v10090469
