Abnormalities in Stamen and Ovary Development Responsible for Low Seed Set of Dendrocalamus hamiltonii Nees et Arn. ex Munro
Abstract
:1. Introduction
2. Materials and Methods
2.1. Sample Collection
2.2. Sample Measurement and Slice Preparation
3. Results
3.1. Inflorescence and Morphology
3.2. Development of Male Gametophyte
3.3. Abortions in Development of Stamens
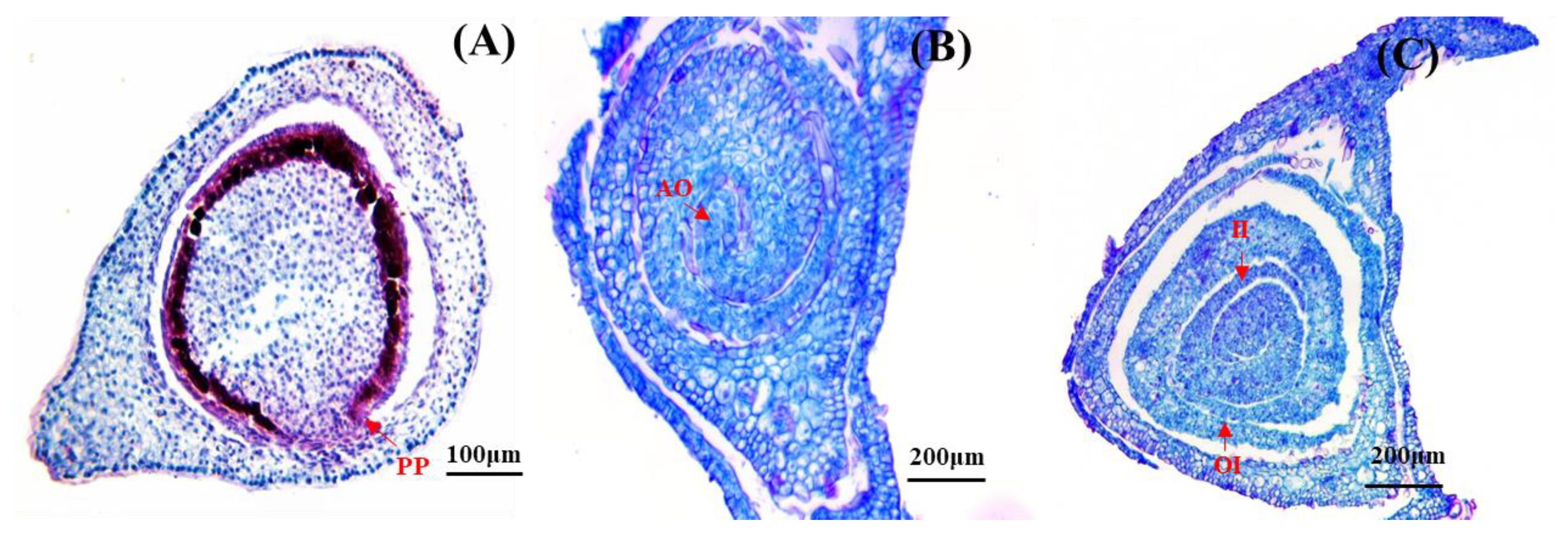
3.4. Development of Female Gametophyte
3.5. Abortions in Development of Pistils
4. Discussion
4.1. Morphological Characteristics
4.2. Factors Influencing of Low Seed Setting Rate
5. Conclusions
Author Contributions
Funding
Data Availability Statement
Conflicts of Interest
References
- Yeasmin, L.; Ali, M.N.; Gantait, S.; Chakraborty, S. Bamboo: An overview on its genetic diversity and characterization. 3 Biotech 2015, 5, 1–11. [Google Scholar] [CrossRef]
- Dlamini, L.C.; Fakudze, S.; Makombe, G.G.; Muse, S.; Zhu, J. Bamboo as a valuable resource and its utilization in historical and modern-day china. BioResources 2022, 17, 1926–1938. [Google Scholar] [CrossRef]
- Nongdam, P.; Tikendra, L. The nutritional facts of bamboo shoots and their usage as important traditional foods of northeast India. Int. Sch. Res. Not. 2014, 2014, 679073. [Google Scholar] [CrossRef] [PubMed]
- Emamverdian, A.; Ding, Y.L.; Ranaei, F.; Ahmad, Z.; Ren, H. Application of bamboo plants in nine aspects. Sci. World J. 2020, 2020, 7284203. [Google Scholar] [CrossRef]
- Janzen, D.H. Why bamboos wait so long to flower. Ann. Rev. Ecol. Syst. 1976, 7, 347–391. [Google Scholar] [CrossRef]
- Lin, S.Y.; Shi, W.W.; Miu, B.B.; Ding, Y.L. Research advances in reproduction biology of bamboos. J. Bamboo Ratt. 2018, 8, 1–6. [Google Scholar]
- Yi, T.P.; Shi, J.Y.; Ma, L.S.; Wang, H.T.; Yang, L. Iconographia Bambusoidearum Sinicarum; Science Press: Beijing, China, 2008. [Google Scholar]
- Li, R.; Zeng, B.S.; He, G.F.; Guo, Q.R. Research Advance and trend of bamboo tissue culture. J. Anhui Agric. Sci. 2008, 36, 4405–4407. [Google Scholar]
- Chen, G.C.; Ma, N.X. Advances in studies on genetics and breeding of bamboos. Rore. Res. 2005, 18, 749–754. [Google Scholar]
- Zhao, H.S.; Yang, L.; Peng, Z.H.; Sun, H.Y.; Yue, X.H.; Lou, Y.F.; Dong, L.L.; Wang, L.L.; Gao, Z.M. Developing genome-wide microsatellite markers of bamboo and their applications on molecular marker assisted taxonomy for accessions in the genus Phyllostachys. Sci. Rep. 2015, 5, 8018–8028. [Google Scholar] [CrossRef]
- Tang, G.J.; Yang, J.M.; Ding, Y.L.; Zhan, H.; Zhao, J.W.; Wang, Y.J.; Wang, S.G. Studies on the flower morphology and structure in Bambusa eutuldoides McClure var. viridi-vittata (W.T.Lin) Chia. J. Nanjing For. Univ. 2016, 40, 71–75. [Google Scholar]
- Wang, Y.J.; Luo, J.; Chen, N.N.; Lin, S.Y.; Ding, Y.L.; Wang, S.G. Floral morphology and development of female and male gametophyte of Bambusa intermedia Hsueh et Yi. Bull. Bot. Res. 2017, 37, 492–498. [Google Scholar]
- Li, J.; Wang, Y.F.; Chu, C.H.; Zhan, H.; Zhang, Y.G.; Wang, S.G. Studies on flower morphology and structure of Bambusa rigida. Fore. Res. 2020, 33, 28–34. [Google Scholar]
- Yang, N.; Cui, Y.J.; Wang, Q.; Wang, S.G. A study on the morphology and anatomical structure of Bambusa rutila spiklets. J. Nanjing For. Univ. 2021, 45, 90–96. [Google Scholar]
- Wang, S.G.; Pu, X.L.; Ding, Y.L. The structures of reproductive organs and development of the female and male gametophyte of Dendrocalamus sinicus. Bull. Bot. Res. 2006, 26, 270–274. [Google Scholar]
- Deng, L.; Huang, L.; Chu, C.H.; Wang, Q.; Zhan, H.; Wang, S.G. Study on the flower morphology and structure of Fargesia fungosa. Bull. Bot. Res. 2019, 39, 801–807. [Google Scholar]
- Lin, S.Y.; Hao, J.J.; Xin, H.; Ding, Y.L. The megasporogenesis, microsporogenesis and the development of their female and male gametophyte in Menstruocalamus sichuanensis. J. Nanjing For. Univ. 2009, 33, 9–12. [Google Scholar]
- Sun, L.F.; Guo, Q.R.; Wang, Q.; Feng, Y.; Mu, S.H. Flower organs morphology and structure of Phyllostachys edulis. Sci. Silvae Sin. 2012, 48, 124–129. [Google Scholar]
- Huang, J.Q.; Huang, H.H.; He, F.J.; Li, Z.J.; Pan, C.H. The formation of microspore and the development of male gametophyte of Phyllostachys praecox. J. Bam. Res. 1999, 18, 55–58. [Google Scholar]
- Keng, P.; Wang, Z.P. FLORA; Science Press: Beijing, China, 1996; Volume 9, p. 183. [Google Scholar]
- Das, M.C.; Singnar, P.; Nath, A.J.; Das, A.K. Flowering of Dendrocalamus hamiltonii in Northeast India during recent years. NeBio J. Environ. Biodivers. 2018, 9, 304–306. [Google Scholar]
- Kaur, D.; Dogra, V.; Thapa, P.; Bhattacharya, A.; Sood, A.; Sreenivasulu, Y. In vitro flowering associated protein changes in Dendrocalamus hamiltonii. Proteomics 2015, 15, 1291–1306. [Google Scholar] [CrossRef] [PubMed]
- Du, F.; Xue, J.R.; Yang, Y.M.; Hui, C.M.; Wang, J. Study on the bamboo flowering phenomenon and its types in Yunnan in the past fifteen years. Sci. Silvae Sin. 2000, 36, 57–68. [Google Scholar]
- Wang, Q.; Wang, S.G.; Deng, L.; He, W.Z.; Wang, C.M.; Zhan, H. Nutrient Analysis of Dendrocalamus hamiltonii shoots from different provenances. J. Southwest For. Univ. 2017, 37, 188–193. [Google Scholar]
- Tan, H.C.; Yang, J.M. A study of quality and preservation technology of fresh Dendrocalamus hamitonii shoots. World Bamboo Ratt. 2018, 16, 25–27. [Google Scholar]
- Singh, S.R.; Dalal, S.; Singh, R.; Dhawan, A.K.; Kalia, R.K. Ascertaining clonal fidelity of micropropagated plants of Dendrocalamus hamiltonii Nees et Arn. ex Munro using molecular markers. Vitr. Cell. Dev. Biol.-Plant 2013, 49, 572–583. [Google Scholar] [CrossRef]
- Li, Z.L. Plant Tissue Production; Peking University Press: Beijing, China, 1996; pp. 15–50. [Google Scholar]
- Keng, P. A preliminary study of the inflorescence type arising from bamboos and its variation. J. Wuhan Bot. Res. 1986, 4, 323–336. [Google Scholar]
- Lin, S.Y.; Wan, Y.W.; Fu, H.J.; Zhang, L.; Jing, M.Y.; Yin, Z.F.; Ding, Y.L. Research on inflorescence establishment and revision of inflorescence type in bamboo plants. J. Nanjing For. Univ. 2018, 42, 1–6. [Google Scholar]
- Lin, S.Y.; Fu, H.J.; Wan, Y.W.; Zhang, S.X.; Zhu, R.J.; Wang, F.S.; Ding, Y.L. Anther development and floral morphology characteristics of Bambusa oldhami‘Xia Zao’ZSX. J. Nanjing For. Univ. 2019, 43, 7–13. [Google Scholar]
- Yang, M.; Zhang, Y.; Ding, Y.L.; Yao, W.J.; Lin, S.Y. Flowering characteristics and floral organ development characteristics of Chimonobambusa utilis. J. Northeast For. Univ. 2022, 50, 7–13. [Google Scholar]
- Yao, W.J.; Jiang, M.Y.; Wang, X.; Shi, W.S.; Ding, Y.L.; Lin, S.Y. Biological analysis of flowering and pollen germination in Sasaella kongosanensis ‘Aureostriatus’. J. Northeast. For. Univ. 2020, 48, 13–18. [Google Scholar]
- Lin, S.Y. Studies on the Reproductive Biology of Shibataea chinensis and Arundinaria simonii f. albostriatus. Ph.D. Thesis, Nanjing Forestry University, Nanjing, China, 2009. [Google Scholar]
- Lin, S.Y.; Li, J.; Zhao, R.; Dong, X.B.; Ding, Y.L. The development of flowering bud differentiation and male gametophyte of Bambusa multiplex. J. Nanjing For. Univ. 2015, 39, 51–56. [Google Scholar]
- Zhong, Y.B.; Yue, J.J.; Lou, C.; Yuan, J.L.; Gu, X.P. Floral organ and breeding system of Dendrocalamus latiflorus. Sci. Silvae Sin. 2017, 53, 1–10. [Google Scholar]
- Zhang, W.Y.; Ma, N.X. Vitality of bamboo pollens and natural pollination in bamboo plants. For. Res. 1990, 3, 250–255. [Google Scholar]
- Chu, C.H.; Huang, L.; Wang, S.G. Floral morphology and development of female and male gametophytes of Neomicrocalamus prainii. Acta Bot. Boreal.-Occident. Sin. 2019, 39, 763–769. [Google Scholar]
- Zhang, Y.T.; Yang, H.D.; Chenzhu, X.Z. Advances on the study of tapetum. Chin. Bull. Bot. 1996, 13, 6–13. [Google Scholar]
- He, Y.; Liu, C.; Zhu, L.; Fu, M.; Sun, Y.; Zeng, H. Jasmonic acid plays a pivotal role in pollen development and fertility regulation in different types of P(T)GMS rice lines. Int. J. Mol. Sci. 2021, 22, 7926. [Google Scholar] [CrossRef] [PubMed]
- Wang, S.G.; Pu, X.L.; Lin, S.Y.; Ding, Y.L. Reproductive characteristics of three bamboo species. Pak. J. Bot. 2015, 47, 2301–2308. [Google Scholar]
- Lin, S.Y.; Ding, Y.L. Development of the male and female gametophytes in Shibataea chinensis (Bambusoideae). Acta Bot. Boreal.-Occident. Sin. 2012, 32, 907–914. [Google Scholar]
- Pang, Y.J.; Yu, F.G.; Hu, C.H.; Chen, S.L. Preliminary observation on abnormal development of the stamens of Drepanostachyum microphyllum. J. Bamboo Res. 1994, 13, 42–46. [Google Scholar]
- Long, H.; Chu, C.H.; Jin, D.K.; Lv, Z.; Wang, S.G. Anatomical observation and analysis on floral of Bamnusa tuldoides. Cuihaia 2022, 42, 174–182. [Google Scholar]
- Hua, L.; Deng, L.; Chu, C.H.; Zhan, H.; Wang, S.G. Morphological and anatomical oberservations of floral organs and sterility analysis of Fargesia yuanjianggensis. Sci. Silvae Sin. 2020, 56, 64–73. [Google Scholar]
- Lin, S.Y.; Shao, L.J.; Li, J.; Zhang, L.; Ding, Y.L. Studies on development of megasporogenesis and female gametophyte of Bambusa multiplex. J. Trop. Subtrop. Bot. 2018, 26, 278–284. [Google Scholar]
- Xu, Z.G.; Liang, X.J.; Liang, M.H.; Huang, D.Y.; Luo, S.X. Study on the flowering sterility development process and fertility regulation of Dendrocalamus latiflorus. Non-Wood For. Res. 2018, 36, 89–93. [Google Scholar]
- Yang, D.; Yang, J.; Wan, J.; Xu, Y.; Li, L.; Rong, J.; Chen, L.; He, T.; Zheng, Y. Genome-Wide identification of MIKCc-Type MADS-Box family gene and floral organ transcriptome characterization in Ma Bamboo (Dendrocalamus latiflorus Munro). Genes 2023, 14, 78. [Google Scholar] [CrossRef] [PubMed]





Disclaimer/Publisher’s Note: The statements, opinions and data contained in all publications are solely those of the individual author(s) and contributor(s) and not of MDPI and/or the editor(s). MDPI and/or the editor(s) disclaim responsibility for any injury to people or property resulting from any ideas, methods, instructions or products referred to in the content. |
© 2023 by the authors. Licensee MDPI, Basel, Switzerland. This article is an open access article distributed under the terms and conditions of the Creative Commons Attribution (CC BY) license (https://creativecommons.org/licenses/by/4.0/).
Share and Cite
Yang, D.; Li, J.; Wang, S.; Yu, L.; Zhan, H.; Ma, Y. Abnormalities in Stamen and Ovary Development Responsible for Low Seed Set of Dendrocalamus hamiltonii Nees et Arn. ex Munro. Forests 2023, 14, 2282. https://doi.org/10.3390/f14122282
Yang D, Li J, Wang S, Yu L, Zhan H, Ma Y. Abnormalities in Stamen and Ovary Development Responsible for Low Seed Set of Dendrocalamus hamiltonii Nees et Arn. ex Munro. Forests. 2023; 14(12):2282. https://doi.org/10.3390/f14122282
Chicago/Turabian StyleYang, Dejia, Juan Li, Shuguang Wang, Lixia Yu, Hui Zhan, and Yingchun Ma. 2023. "Abnormalities in Stamen and Ovary Development Responsible for Low Seed Set of Dendrocalamus hamiltonii Nees et Arn. ex Munro" Forests 14, no. 12: 2282. https://doi.org/10.3390/f14122282
APA StyleYang, D., Li, J., Wang, S., Yu, L., Zhan, H., & Ma, Y. (2023). Abnormalities in Stamen and Ovary Development Responsible for Low Seed Set of Dendrocalamus hamiltonii Nees et Arn. ex Munro. Forests, 14(12), 2282. https://doi.org/10.3390/f14122282
