Transcription Factor and Zeatin Co-Regulate Mixed Catkin Differentiation of Chinese Chestnut (Castanea mollissima)
Abstract
:1. Introduction
2. Materials and Methods
2.1. Plant Materials and Growth Conditions
2.2. Preparation for Paraffin Section
2.3. Detection of Endogenous Hormones
2.4. Spray Verification in the Field
2.5. RNA Extraction, Sequencing, Quality Control and Functional Annotations
2.6. Analysis of Transcriptomic Data
2.7. Verification of Transcriptome Data Using RT-qPCR
2.8. Statistical Analysis
3. Results
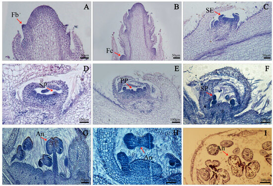
3.1. Morphological Changes during the Differentiation of Female and Male Flowers in Castanea mollissima ‘Tanqiao’
3.2. Dynamics of Endogenous Hormones during Female and Male Flower Differentiation in Castanea mollissima ‘Tanqiao’
3.3. Spray Verification in the Field
3.4. Basic Data of Transcriptome Sequencing
3.5. Differentially Expressed Genes during Female and Male Flower Differentiation
3.6. Analysis of KEGG Pathway of DEGs
3.7. WGCNA Analysis
3.8. DEGs Related to Flower Differentiation
3.9. Time-Series Analysis
3.10. DEGs Associated with Zeatin and Jasmonic Acid during Flower Differentiation
3.11. RT-qPCR Verification
4. Discussion
4.1. The Differentiation Process of Male and Female Flowers in Castanea mollissima
4.2. Dynamic Change in Endogenous Hormones during Female and Male Flower Differentiation
4.3. Exogenous ZT Application Alters the Number of Female Flowers
4.4. Transcription Factors and Genes Related to Zeatin Co-Regulate the Flower Differentiation
5. Conclusions
Supplementary Materials
Author Contributions
Funding
Data Availability Statement
Conflicts of Interest
References
- Fiammetta, A.; Marco, C.; Giulio, G.; Fabrizio, C.; Loretta, D.; Paolo, F.; Loredana, L.; Chiara, C.; Roberto, M.; Nicolò, C.; et al. Correction: Transcript analysis and regulative events during flower development in olive (Olea europaea L.). PLoS ONE 2022, 17, e0263101. [Google Scholar]
- Xing, L.B.; Zhang, D.; Li, Y.M.; Shen, Y.W.; Zhao, C.P.; Ma, J.J.; An, N.; Han, M.Y. Transcription profiles reveal sugar and hormone signaling pathways mediating flower induction in apple (Malus domestica Borkh.). Plant Cell Physiol. 2015, 56, 2052–2068. [Google Scholar] [CrossRef] [PubMed]
- Guo, Y.Y.; An, L.Z.; Yu, H.Y.; Yang, M.M. Endogenous hormones and biochemical changes during flower development and florescence in the buds and leaves of Lycium ruthenicum Murr. Forests 2022, 13, 763. [Google Scholar] [CrossRef]
- Qing, J.; Zhu, L.L.; Du, H.Y. Flower bud differentiation and dynamic changes of endogenous hormone in Eucommia ulmoides. J. Cent. South Univ. For. Technol. 2021, 41, 58–64. [Google Scholar]
- Takeshi, I. What is going on with the hormonal control of flowering in plants? Plant J. 2021, 105, 431–445. [Google Scholar]
- Cai, J.Y.; Qin, B.T.; Liu, C.P.; Lu, X.J.; Zhang, L.J. Hormone regulation of flower bud sex Differentiation of Juglans mandshurica cloning and expression analysis of related SAUR genes. Mol. Plant Breed. 2021, 9, 1–8. [Google Scholar]
- Chi, Z.H.; Wang, Y.Q.; Deng, Q.X.; Zhuang, H.; Pan, C.P.; Yang, Z.W. Endogenous phytohormones and the expression of flowering genes synergistically induce flowering in loquat. J. Integr. Agric. 2020, 19, 2247–2256. [Google Scholar] [CrossRef]
- Zhang, S.W.; Zhang, D.; Fan, S.; Du, L.S.; Shen, Y.W.; Xing, L.B.; Li, Y.M.; Ma, J.J.; Han, M.Y. Effect of exogenous GA3 and its inhibitor paclobutrazol on floral formation, endogenous hormones, and flowering-associated genes in ‘fuji’ apple (Malus domestica Borkh.). Plant Physiol. Biochem. 2016, 107, 178–186. [Google Scholar] [CrossRef]
- Wang, L.Y.; Li, H.W.; Sun, P.; Suo, Y.J.; Han, W.J.; Diao, S.Y.; Mai, Y.N.; Li, F.D.; Fu, J.M. Effects of plant growth regulators, soil moisture contents, and carbon/nitrogen ratios on sex differentiation in persimmon (Diospyros kaki Thunb.) flowers. J. Plant Growth Regul. 2020, 40, 1121–1138. [Google Scholar] [CrossRef]
- Wang, J.B.; Li, W.Y.; Ge, C.; Zhang, L.; Tan, X.F.; Liu, M.L. Effects of exogenous hormones on the flowering and fruit characteristics of male tung trees of ‘putaotong’ (Vernicia fordii Hemsl.). J. Cent. South Univ. For. Technol. 2023, 43, 20–33. [Google Scholar]
- Safoora, A.; Khadijah, R.; Mohd-faizal, A.; Halimah, A.; Mohd-Noor, M.; Mohd-Afiq-Aizat, J.; Jumaat, H.; Hoe-han, G.; Kiew-lian, W. Transcriptome landscape of Rafflesia cantleyi floral buds reveals insights into the roles of transcription factors and phytohormones in flower development. PLoS ONE 2019, 14, e0226338. [Google Scholar]
- Ma, Y.J.; Li, P.T.; Sun, L.M.; Zhou, H.; Zeng, R.F.; Ai, X.Y.; Zhang, J.Z.; Hu, C.G. HD-ZIP I transcription factor (PtHB13) negatively regulates citrus flowering through binding to flowering locus C promoter. Plants 2020, 9, 114. [Google Scholar] [CrossRef] [PubMed]
- Xiao, H.X.; Tao, J.; Xing, A.; Wu, Z.C.; Xu, Y.Q.; Sun, Y.; Zhu, J.Y.; Dai, X.; Wang, Y.H. Transcriptome analysis reveals the roles of phytohormone signaling in tea plant (Camellia sinensis L.) flower development. BMC Plant Biol. 2022, 22, 471–490. [Google Scholar]
- Bai, S.L.; Tuan, P.A.; Saito, T.; Ito, A.; Ubi, B.E.; Ban, Y.; Moriguchi, T.; Wilson, Z. Repression of TERMINAL FLOWER1 primarily mediates floral induction in pear (Pyrus pyrifolia Nakai) concomitant with change in gene expression of plant hormone-related genes and transcription factors. J. Exp. Bot. 2017, 68, 4899–4914. [Google Scholar] [CrossRef] [PubMed]
- Zhang, M.Z.; Ye, D.; Wang, L.L.; Pang, J.L.; Zhang, Y.H.; Zheng, K.; Bian, H.W.; Han, N.; Pan, J.W.; Wang, J.H.; et al. Overexpression of the cucumber LEAFY homolog CFL and hormone treatments alter flower development in gloxinia (Sinningia speciosa). Plant Mol. Biol. 2008, 67, 419–427. [Google Scholar] [CrossRef] [PubMed]
- Li, Y.; Jiang, J.; Du, M.L.; Li, L.; Wang, X.L.; Li, X.B. A cotton gene encoding MYB-like transcription factor is specifically expressed in pollen and is involved in regulation of late anther/pollen development. Plant Cell Physiol. 2013, 54, 893–906. [Google Scholar] [CrossRef]
- Xiong, H.; Zou, F.; Guo, S.J.; Yuan, D.Y.; Niu, G.H. Self-sterility may be due to prezygotic late-acting self-incompatibility and early-acting inbreeding depression in Chinese chestnut. J. Am. Soc. Hortic. Sci. 2019, 144, 172–181. [Google Scholar] [CrossRef]
- Teresa, A.A.; Nunes, R.M.J.; Sofia, A.; Margarida, R.; Leonor, M.; José, G.; Rómulo, S.; Ribeiro, C.M.M. The dynamics of flower development in Castanea sativa mill. Plants 2021, 10, 1538. [Google Scholar]
- Xie, C.; Tian, E.L.; Jim, C.Y.; Liu, D.W.; Hu, Z.K. Effects of climate-change scenarios on the distribution patterns of Castanea henryi. Ecol. Evol. 2022, 12, e9597. [Google Scholar] [CrossRef] [PubMed]
- Zhang, Y.; Liu, Y.; Yu, W.J.; Fang, K.F.; Zhang, Q.; Cao, Q.Q.; Xing, Y.; Qin, L. Expression analysis of FT/TFL1-like genes in primary and secondary flowering of Chinese chestnu. Mol. Plant Breed. 2022, 20, 1137–1144. [Google Scholar]
- Cheng, Y.H.; Cheng, L.L.; Hu, G.L.; Yang, Q.Y.; Han, X.; Lan, Y.P. Cloning and functional analysis of CmFT in Chinese chestnut. J. Fruit Sci. 2022, 39, 935–944. [Google Scholar]
- Cheng, H.; Zha, S.Y.; Luo, Y.Y.; Li, L.; Wang, S.Y.; Wu, S.; Cheng, S.Y.; Li, L.L. JAZ1-3 and MYC2-1 synergistically regulate the transformation from completely mixed flower buds to female flower buds in Castanea mollisima. Int. J. Mol. Sci. 2022, 23, 6452. [Google Scholar] [CrossRef]
- Chen, P.; Li, Z.; Wang, L.; Wang, S.; Yuan, D.Y.; Zou, F. Histochemical observation of anthers development in Castanea mollissima. Mol. Plant Breed. 2021, 7, 1–16. [Google Scholar]
- Benke, M.; Mertinger, V. In situ optical microscopic examination techniques of thermally induced displacive transformations. Mater. Sci. Forum. 2015, 812, 279–284. [Google Scholar] [CrossRef]
- Lin, M.F.; Wang, S.; Liu, Y.Y.; Li, J.C.; Zhong, H.Q.; Zou, F.; Yuan, D.Y. Hydrogen cyanamide enhances flowering time in tea oil camellia (Camellia oleifera Abel.). Ind. Crops Prod. 2022, 176, 114313. [Google Scholar] [CrossRef]
- Jansen, R.K.; Saski, C.; Lee, S.B.; Hansen, A.K.; Daniell, H. Complete plastid genome sequences of three rosids (Castanea, Prunus, Theobroma): Evidence for at least two independent transfers of rpl22 to the nucleus. Mol. Biol. Evol. 2011, 28, 835–847. [Google Scholar] [CrossRef] [PubMed]
- Mortazavi, A.; Williams, B.A.; McCue, K.; Schaeffer, L.; Wold, B. Mapping and quantifying mammalian transcriptomes by RNA-Seq. Nat. Methods 2008, 5, 621–628. [Google Scholar] [CrossRef] [PubMed]
- Hanum, C. The intercropping soybean searches in the national center for biotechnology information (NCBI). IOP Conf. Ser. Earth Environ. Sci. 2022, 1, 12–45. [Google Scholar]
- Zhang, C.; Chen, Z.W.; Zhang, M.M.; Jia, S.L. KEGG extractor: An effective extraction tool for KEGG orthologs. Genes 2023, 14, 386. [Google Scholar] [CrossRef]
- Li, C.Z.; Lin, Y.J.; Yu, X.Z. Transcriptome analysis of cyanide-treated rice seedlings: Insights into gene functional classifications. Life 2022, 12, 1701. [Google Scholar] [CrossRef] [PubMed]
- Cheng, G.H.; Zhang, F.J.; Shu, X.C.; Wang, N.; Wang, T.; Zhuang, W.B.; Wang, Z. Identification of differentially expressed genes related to floral bud differentiation and flowering time in three populations of Lycoris radiata. Int. J. Mol. Sci. 2022, 23, 14036. [Google Scholar] [CrossRef]
- Meng, H.L.; Sun, P.Y.; Wang, J.R.; Sun, X.Q.; Zheng, C.Z.; Fan, T.; Chen, Q.F.; Li, H.Y. Comparative physiological, transcriptomic, and WGCNA analyses reveal the key genes and regulatory pathways associated with drought tolerance in tartary buckwheat. Front. Plant Sci. 2022, 13, 985088. [Google Scholar] [CrossRef]
- Huang, B.; Huang, Z.N.; Ma, R.F.; Ramakrishnan, M.; Chen, J.L.; Zhang, Z.J.; Kim, Y. Genome-wide identification and expression analysis of LBD transcription factor genes in moso bamboo (Phyllostachys edulis). BMC Plant Biol. 2021, 21, 296–318. [Google Scholar] [CrossRef] [PubMed]
- Livak, K.J.; Schmittgen, T.D. Analysis of relative gene expression data using real-time quantitative PCR and the 2(-Delta Delta C(T)) method. Methods 2001, 25, 402–408. [Google Scholar] [CrossRef]
- Zou, F.; Guo, S.J.; Xiong, H.; Xie, P.; Lv, W.J.; Li, G.H. A morphological and histological characterization of male flower in chestnut (Castanea) cultivar ‘Yanshanzaofeng’. Adv. J. Food Sci. Technol. 2013, 5, 1192–1197. [Google Scholar] [CrossRef]
- Chen, F.; Su, S.C. Study on generation and development of megaspores, microspores, and female and male gametophytes in chestnut ‘Zunyu’. Non-Wood For. Res. 2015, 33, 44–49. [Google Scholar]
- Yan, L.; Zhang, R.; Shi, Z.G. Morphological study on female flower differentiation in chestnut of ‘Yongfeng No.1’. N. Hortic. 2018, 15, 52–57. [Google Scholar]
- Yan, B.B.; Hou, J.L.; Cui, J.; He, C.; Li, W.B.; Chen, X.Y.; Li, M.; Wang, W.Q. The effects of endogenous hormones on the flowering and fruiting of Glycyrrhiza uralensis. Plants 2019, 8, 519. [Google Scholar] [CrossRef]
- Zhou, C.B.; Rao, M.X.; Xu, G.N.; Wang, Z.Q.; Gong, W.; Yang, Y.J.; Tian, Z.Y.; Zeng, B.P. Changes of hormones, polyamines and C/N in different floral sex differentiation stages of Zanthoxylum planispinum var. dingtanensis flower buds. J. Sichuan Agric. Univ. 2022, 40, 387–394, 407. [Google Scholar]
- Jiang, H.D.; Sun, F.F.; Qin, H.Z.; Tang, J.M.; Wei, X.; Chai, S.F. Flower bud differentiation and leaf endogenous hormone changes of Camellia perpetua. Guihaia. 2023, 6, 1–14. [Google Scholar]
- Niu, H.L.; Zhang, H.W.; Bian, Y.; Li, X.G. Flower formation and endogenous hormones dynamic in Chinese Jujube. Acta Hortic. Sinica 2015, 42, 655–664. [Google Scholar]
- Zhu, Z.J.; Yuan, D.Y.; Fang, X.M.; Zhuang, X.H.; Tan, L.M.; Tang, J.; Liu, D.M.; Li, C.X.; Sun, X.J. Effects of plant growth regulator on flower bud sex differentiation and fruiting branch growth of Castanea henryi. J. Cent. South Univ. For. Technol. 2016, 36, 63–66. [Google Scholar]
- Xu, H.X.; Li, X.Y.; Ge, H.; Zhu, Q.X.; Chen, J.W. Transcriptome-based analysis of the role od endogenous hormones in regulating flower development in loquat (Eriobotrya japonica Lindl). Acta Agric. Zhejiangensis 2023, 35, 1648–1661. [Google Scholar]
- Li, H.R.; Zhang, X.F.; Chen, H.X.; Yang, H.X.; Liang, Z.H.; Lan, X.; Huang, Z.L.; Mo, Z.M.; He, W.; Guo, S.Y. Study on morphological structure and physiological regulation of female and male flowers differentiation in Cassava. J. Plant Genet. Resour. 2022, 23, 255–262. [Google Scholar]
- Fan, X.M.; Yuan, D.Y.; Tian, X.M.; Zhu, Z.J.; Liu, M.L.; Cao, H.P. Comprehensive transcriptome analysis of phytohormone biosynthesis and signaling genes in the flowers of Chinese chinquapin (Castanea henryi). J. Agric. Food Chem. 2017, 65, 10332–10349. [Google Scholar] [CrossRef]
- Heslop-Harrison, J. Auxin and sexuality in Cannabis sativa. Physiol. Plant 2006, 9, 588–597. [Google Scholar] [CrossRef]
- Ni, J.; Shah, F.A.; Liu, W.B.; Wang, Q.J.; Wang, D.D.; Zhao, W.W.; Lu, W.L.; Huang, S.W.; Fu, S.L.; Wu, L.F. Comparative transcriptome analysis reveals the regulatory networks of cytokinin in promoting the floral feminization in the oil plant Sapium sebiferum. BMC Plant Biol. 2018, 18, 96–112. [Google Scholar] [CrossRef] [PubMed]
- Xu, P.L.; Jiao, Z.Q.; Wang, Z.X.; Ai, J. Proteomic analysis of sex conversion induced by CPPU in male grapevine of Vitis amurensis. Vitis 2013, 52, 177–184. [Google Scholar]
- Wu, G.L.; Zhu, Z.J.; Qiu, Q.; Fan, X.M.; Yuan, D.Y. Transcriptome analysis reveals the regulatory networks of cytokinin in promoting floral feminization in Castanea henryi. Int. J. Mol. Sci. 2022, 23, 6389. [Google Scholar] [CrossRef]
- Villar, L.; Lienqueo, I.; Llanes, A.; Rojas, P.; Perez, J.; Correa, F.; Sagredo, B.; Masciarelli, O.; Luna, V.; Almada, R. Comparative transcriptomic analysis reveals novel roles of transcription factors and hormones during the flowering induction and floral bud differentiation in sweet cherry trees (Prunus avium L. cv. Bing). PLoS ONE 2020, 15, e0230110. [Google Scholar] [CrossRef] [PubMed]
- Li, Y.M.; Zhang, D.; Zhang, L.Z.; Zuo, X.Y.; Fan, S.; Zhang, X.; Shalmani, A.; Han, M.Y. Identification and expression analysis of cytokinin response-regulator genes during floral induction in apple (Malus domestica Borkh). Plant Growth Regul. 2017, 83, 455–464. [Google Scholar] [CrossRef]
- Luo, Y.; Pan, B.Z.; Li, L.; Yang, C.X.; Xu, Z.F. Developmental basis for flower sex determination and effects of cytokinin on sex determination in Plukenetia volubilis (Euphorbiaceae). Plant Reprod. 2020, 33, 21–34. [Google Scholar] [CrossRef] [PubMed]
- Wang, Z.X.; Jiao, Z.Q.; Xu, P.L.; Chen, L.; Ai, J.; Liu, X.M.; Yang, Y.M. Bisexual flower ontogeny after chemical induction and berry characteristics evaluation in male Vitis amurensis Rupr. Sci. Hortic. 2013, 162, 11–19. [Google Scholar] [CrossRef]
- Chen, M.S.; Pan, B.Z.; Wang, G.J.; Ni, J.; Niu, L.J.; Xu, Z.F. Analysis of the transcriptional responses in inflorescence buds of Jatropha curcas exposed to cytokinin treatment. BMC Plant Biol. 2014, 14, 318–333. [Google Scholar] [CrossRef]
- Yu, M.M.; Li, X.G.; Zhang, X.S. Expression of AtIPT4 gene under the control of APETALA1 promoter results in abnormal flower and floral organ development. Chin Bull. Bot. 2009, 44, 59–68. [Google Scholar]
- Liu, X.; Yuan, M.; Dang, S.Z.; Zhou, J.; Zhang, Y.H. Comparative transcriptomic analysis of transcription factors and hormones during flower bud differentiation in ‘Red Globe’ grape under red–blue light. Sci. Rep. 2023, 13, 8932–8944. [Google Scholar] [CrossRef] [PubMed]
- Liu, X.Y.; Zhang, L.F.; Yang, S.H. Analysis of floral organ development and sex determination in Schisandra chinensis by scanning electron microscopy and RNA-sequencing. Life 2022, 12, 1260. [Google Scholar] [CrossRef] [PubMed]
- Li, T.T.; Li, F.S.; Mei, L.J.; Li, N.; Yao, M.; Tang, L. Transcriptome analysis of Idesia polycarpa Maxim. var vestita Diels flowers during sex differentiation. J. For. Res. 2019, 31, 2463–2478. [Google Scholar] [CrossRef]
- Jia, H.M.; Zhao, L.; Wang, Y.; Wu, H.X.; Zhao, H.B.; Zhu, Y.F.; Jiao, Y.; Wang, G.Y.; Zhou, C.C.; Huang, C.H.; et al. Comparative transcriptome analysis reveals sex-biased expression of hormone-related genes at an early stage of sex differentiation in red bayberry (Morella rubra). Hortic 2022, 8, 183. [Google Scholar] [CrossRef]
- Wang, J.Y.; Wang, L.; Qu, S.T.; Sun, W.X.; Xu, Y.; Liu, X.J.; Zhang, C.X. Cloning and expression analysis of PavMYC2 gene in Prunus avium L. J. Fruit Sci. 2022, 39, 701–711. [Google Scholar]
- Jiang, Y.J.; Chen, J.J.; Tan, B.; Zheng, X.B.; Wang, W.; Zhang, L.L.; Cheng, J.; Feng, J.C. Function exploration of PpIDD11 in regulating peach flower development. Acta Hortic. Sin. 2022, 49, 1841–1852. [Google Scholar]
- Zhou, F.W.; Chen, Y.N.; Wu, H.T.; Yin, T.M. Genome-wide comparative analysis of R2R3 MYB gene family in Populus and Salix and identification of male flower bud development-related genes. Front. Plant Sci. 2021, 12, 721558. [Google Scholar] [CrossRef] [PubMed]
- Jiang, Y.J.; Chen, J.J.; Zheng, X.B.; Tan, B.; Ye, X.; Wang, W.; Zhang, L.L.; Li, J.D.; Li, Z.Q.; Cheng, J.; et al. Multiple indeterminate domain (IDD)-DELLA1 complexes participate in gibberellin feedback regulation in peach. Plant Mol. Biol. 2022, 109, 147–157. [Google Scholar] [CrossRef] [PubMed]
- Qi, S.Y.; Xing, L.B.; Zhang, D.; Du, L.S.; Li, Y.M.; Fan, S.; Ma, J.; Zhao, C.P.; Han, M.Y. Molecular cloning and expression analysis of the flowering regulation transcription factor gene MdIDD7 in Malus × domestica. Acta Hortic. Sin. 2017, 44, 828–838. [Google Scholar]












| Gene Name | Forward Primer (5′–3′) | Reverse Primer (5′–3′) |
|---|---|---|
| AGL2 | GTCTGAAGCGCATACGAACA | GTGTGCTTGCTCAGGAATGT |
| DPOD4 | TGCGGAAATTCGACATGAAC | GATTTCTTCAGGCGGGTTCA |
| RNS3 | AAGAGGCCGTTAGTTTCACCC | AAGCACATCTGCCCTTTGGA |
| SOC1 | CCGTCGGCATACAAAAGACAC | CTCCCAGGAGTCTCCGTTTT |
| TM6 | TAGCCCCTCCATCATAACGACAA | CAGACCGTTCAGATCCTCAC |
| MADS9 | GGTAAGAGGTTGTGGGATGC | TCGGATACTTGAGAGCCCAT |
| ACTIN | ATTCACGAGACCACCTACA | TGCCACAACCTTAATCTTCAT |
| Hormone Type | Fruit Branch | ||||||
|---|---|---|---|---|---|---|---|
| Type | Concentration (mg/L) | The Number of Female Flowers on Each Fruit Branch/per | Male Catkin/Strip | Mixed Catkin/Strip | The Length of Mixed Catkin on Each Fruit Branch/cm | The Length of Fruit Branch/cm | The Diameter of Fruit Branch/cm |
| JA | CK | 8.65 ± 2.12 a | 8.90 ± 3.18 a | 4.46 ± 0.99 a | 5.14 ± 1.38 a | 21.77 ± 5.82 a | 4.15 ± 0.66 a |
| 10 | 7.88 ± 2.40 a | 8.53 ± 2.58 a | 4.00 ± 1.18 ab | 4.45 ± 1.33 b | 20.79 ± 4.18 a | 4.14 ± 0.61 a | |
| 50 | 7.63 ± 2.00 a | 9.43 ± 3.27 a | 3.78 ± 0.97 b | 5.01 ± 1.48 a | 22.10 ± 4.55 a | 4.22 ± 0.63 a | |
| ZT | CK | 7.71 ± 1.70 c | 6.85 ± 2.48 a | 3.94 ± 0.89 b | 5.87 ± 1.69 a | 25.11 ± 6.77 a | 4.03 ± 0.68 a |
| 5 | 9.10 ± 1.97 b | 6.20 ± 3.21 a | 4.48 ± 1.06 a | 5.23 ± 2.10 ab | 25.76 ± 8.02 a | 3.78 ± 0.62 a | |
| 20 | 10.24 ± 2.71 a | 7.20 ± 2.48 a | 4.89 ± 1.22 a | 5.05 ± 1.78 b | 24.84 ± 5.75 a | 3.82 ± 0.48 a | |
| Database | Number of Annotated Genes | Percentage of Annotated Genes (%) | Percentage of All-Unigene (%) |
|---|---|---|---|
| GO | 22,244 | 63 | 61.91 |
| KEGG | 13,474 | 38.03 | 37.50 |
| COG | 27,346 | 77.55 | 76.11 |
| NR | 34,117 | 94.77 | 94.96 |
| Swiss Prot | 24,861 | 70.52 | 69.20 |
| Pfam | 25,265 | 71.84 | 70.32 |
| Total | 34,053 |
| Gene ID | Gene Name | Functional Annotation |
|---|---|---|
| gene-CMV_002842 | IDD7 | Protein indeterminate-domain 7 |
| gene-CMV_007156 | BBX19 | B-box zinc finger protein 19 |
| gene-CMV_009221 | APC1 | Anaphase-promoting complex subunit 1 |
| gene-CMV_015433 | EF1G3 | Elongation factor 1-gamma 3 |
| gene-CMV_020812 | ARATH | Pentatricopeptide repeat-containing protein |
| gene-CMV_023061 | DIRL1 | Putative lipid-transfer protein DIR1 |
| gene-CMV_024365 | ACD6 | Protein ACCELERATED CELL DEATH 6 |
| gene-CMV_024461 | NAKR1 | Protein SODIUM POTASSIUM ROOT DEFECTIVE 1 |
| gene-CMV_025624 | UFOG5 | Anthocyanidin 3-O-glucosyltransferase 5 |
| gene-CMV_029222 | LBD25 | LOB domain-containing protein 25 |
| Gene Pathway Definition | Gene Name | Number | Gene ID |
|---|---|---|---|
| JA biosynthesis and signal transduction | AOS3 | 1 | gene-CMV_027313 |
| COIL | 1 | gene-CMV_028222 | |
| MYC2 | 1 | gene-CMV_022981 | |
| Zeatin biosynthesis and signal transduction | AHK3 | 1 | gene-CMV_002656 |
| ARR17 | 1 | gene-CMV_030552 | |
| UGTK4 | 1 | gene-CMV_017378 | |
| UFOG4 | 1 | gene-CMV_008253 | |
| CKX5 | 1 | gene-CMV_017974 | |
| CKX3 | 1 | gene-CMV_014383 | |
| CKX6 | 1 | gene-CMV_022840 | |
| LOGL1 | 1 | gene-CMV_018548 | |
| LOG1 | 2 | gene-CMV_025587 | |
| gene-CMV_005650 | |||
| LOG3 | 1 | gene-CMV_020510 | |
| LOG5 | 2 | gene-CMV_017862 | |
| gene-CMV_009202 | |||
| UGT8 | 2 | gene-CMV_014086 | |
| gene-CMV_026607 | |||
| 7DLGT | 2 | gene-CMV_010956 | |
| gene-CMV_026588 | |||
| U73C6 | 4 | gene-CMV_008252 | |
| gene-CMV_014625 | |||
| gene-CMV_015292 | |||
| gene-CMV_015294 | |||
| UGTK5 | 5 | gene-CMV_017379 | |
| gene-CMV_021009 | |||
| gene-CMV_017377 | |||
| gene-CMV_017576 | |||
| gene-CMV_027806 | |||
| UGT2 | 8 | gene-CMV_005081 | |
| gene-CMV_008238 | |||
| gene-CMV_023426 | |||
| gene-CMV_025853 | |||
| gene-CMV_027908 | |||
| gene-CMV_023427 | |||
| gene-CMV_006423 | |||
| gene-CMV_021488 |
Disclaimer/Publisher’s Note: The statements, opinions and data contained in all publications are solely those of the individual author(s) and contributor(s) and not of MDPI and/or the editor(s). MDPI and/or the editor(s) disclaim responsibility for any injury to people or property resulting from any ideas, methods, instructions or products referred to in the content. |
© 2023 by the authors. Licensee MDPI, Basel, Switzerland. This article is an open access article distributed under the terms and conditions of the Creative Commons Attribution (CC BY) license (https://creativecommons.org/licenses/by/4.0/).
Share and Cite
Zhou, X.; Wang, L.; Yin, Q.; Liu, X.; Masabni, J.; Xiong, H.; Yuan, D.; Zou, F. Transcription Factor and Zeatin Co-Regulate Mixed Catkin Differentiation of Chinese Chestnut (Castanea mollissima). Forests 2023, 14, 2057. https://doi.org/10.3390/f14102057
Zhou X, Wang L, Yin Q, Liu X, Masabni J, Xiong H, Yuan D, Zou F. Transcription Factor and Zeatin Co-Regulate Mixed Catkin Differentiation of Chinese Chestnut (Castanea mollissima). Forests. 2023; 14(10):2057. https://doi.org/10.3390/f14102057
Chicago/Turabian StyleZhou, Xuan, Lu Wang, Qian Yin, Xinghui Liu, Joseph Masabni, Huan Xiong, Deyi Yuan, and Feng Zou. 2023. "Transcription Factor and Zeatin Co-Regulate Mixed Catkin Differentiation of Chinese Chestnut (Castanea mollissima)" Forests 14, no. 10: 2057. https://doi.org/10.3390/f14102057
APA StyleZhou, X., Wang, L., Yin, Q., Liu, X., Masabni, J., Xiong, H., Yuan, D., & Zou, F. (2023). Transcription Factor and Zeatin Co-Regulate Mixed Catkin Differentiation of Chinese Chestnut (Castanea mollissima). Forests, 14(10), 2057. https://doi.org/10.3390/f14102057

