Implants Placed with a Ring Technique Using Inlay and Onlay Block Xenografts in the Mandible of Rabbits
Abstract
:1. Introduction
2. Materials and Methods
2.1. Ethical Statements
2.2. Study Design
2.3. Experimental Animals and Sample Size
2.4. Randomization and Allocation Concealment
2.5. Biomaterials
2.6. Anesthetic Procedures
2.7. Surgical Procedure
2.8. Animal Maintenance
2.9. Euthanasia
2.10. Histological Processing
2.11. Histomorphometric Evaluation
2.12. Experimental Outcomes and Statistical Methods
3. Results
3.1. Clinical Outcomes
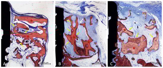
3.2. Descriptive Histological Evaluation
3.3. Histomorphometric Assessments
4. Discussion
5. Conclusions
Author Contributions
Funding
Institutional Review Board Statement
Informed Consent Statement
Data Availability Statement
Acknowledgments
Conflicts of Interest
References
- Felice, P.; Marchetti, C.; Piattelli, A.; Pellegrino, G.; Checchi, V.; Worthington, H.; Esposito, M. Vertical ridge augmentation of the atrophic posterior mandible with interpositional block grafts: Bone from the iliac crest versus bovine anorganic bone. Eur. J. Oral. Implantol. 2008, 1, 183–198. [Google Scholar]
- Cordaro, L.; Amadé, D.S.; Cordaro, M. Clinical results of alveolar ridge augmentation with mandibular block bone grafts in partially edentulous patients prior to implant placement. Clin. Oral Implant. Res. 2002, 13, 103–111. [Google Scholar] [CrossRef]
- Chiapasco, M.; Zaniboni, M.; Rimondini, L. Autogenous onlay bone grafts vs. alveolar distraction osteogenesis for the correction of vertically deficient edentulous ridges: A 2–4-year prospective study on humans. Clin. Oral. Implant. Res. 2007, 18, 432–440. [Google Scholar] [CrossRef]
- Marx, R.E. Bone and bone graft healing. Oral. Maxillofac. Surg. Clin. N. Am. 2007, 19, 455–466. [Google Scholar] [CrossRef]
- Habal, M.B. Bone grafting in craniofacial surgery. Clin. Plast. Surg. 1994, 21, 349–363. [Google Scholar] [CrossRef]
- Louis, P.J.; Sittitavornwong, S. Managing Bone Grafts for the Mandible. Oral Maxillofac. Surg. Clin. N. Am. 2019, 31, 317–330. [Google Scholar] [CrossRef] [PubMed]
- Stellingsma, C.; Raghoebar, G.M.; Meijer, H.J.; Batenburg, R.H. Reconstruction of the extremely resorbed mandible with interposed bone grafts and placement of endosseous implants. A preliminary report on outcome of treatment and patients’ satisfaction. Br. J. Oral Maxillofac. Surg. 1998, 36, 290–295. [Google Scholar] [CrossRef] [PubMed]
- Choi, B.H.; Lee, S.H.; Huh, J.Y.; Han, S.G. Use of the sandwich osteotomy plus an interpositional allograft for vertical augmentation of the alveolar ridge. J. Craniomaxillofac. Surg. 2004, 32, 51–54. [Google Scholar] [CrossRef] [PubMed]
- Stoelinga, P.J.; Blijdorp, P.A.; Ross, R.R.; De Koomen, H.A.; Huybers, T.J. Augmentation of the atrophic mandible with interposed bone grafts and particulate hydroxylapatite. J. Oral Maxillofac. Surg. 1986, 44, 353–360. [Google Scholar] [CrossRef] [PubMed]
- Yeung, R. Surgical management of the partially edentulous atrophic mandibular ridge using a modified sandwich osteotomy: A case report. Int. J. Oral Maxillofac. Implant. 2005, 20, 799–803. [Google Scholar]
- Jensen, O.T. Alveolar segmental “sandwich” osteotomies for posterior edentulous mandibular sites for dental implants. J. Oral Maxillofac. Surg. 2006, 64, 471–475. [Google Scholar] [CrossRef]
- Marchetti, C.; Trasarti, S.; Corinaldesi, G.; Felice, P. Interpositional bone grafts in the posterior mandibular region: A report on six patients. Int. J. Periodontics Restor. Dent. 2007, 27, 547–555. [Google Scholar]
- Bianchi, A.; Felice, P.; Lizio, G.; Marchetti, C. Alveolar distraction osteogenesis versus inlay bone grafting in posterior mandibular atrophy: A prospective study. Oral Surg. Oral Med. Oral Pathol. Oral Radiol. Endod. 2008, 105, 282–292. [Google Scholar] [CrossRef]
- Schwartz-Arad, D.; Levin, L.; Sigal, L. Surgical success of intraoral autogenous block onlay bone grafting for alveolar ridge augmentation. Implant. Dent. 2005, 14, 131–138. [Google Scholar] [CrossRef]
- Felice, P.; Pistilli, R.; Lizio, G.; Pellegrino, G.; Nisii, A.; Marchetti, C. Inlay versus onlay iliac bone grafting in atrophic posterior mandible: A prospective controlled clinical trial for the comparison of two techniques. Clin. Implant. Dent. Relat. Res. 2009, 11 (Suppl. 1), e69–e82. [Google Scholar] [CrossRef]
- Donovan, M.G.; Dickerson, N.C.; Mitchell, J.C. Calvarial bone harvest and grafting techniques for maxillary and mandibular implant surgery. Atlas. Oral Maxillofac. Surg. Clin. N. Am. 1994, 2, 109–122. [Google Scholar] [CrossRef]
- Von Arx, T.; Cochran, D.L.; Hermann, J.S.; Schenk, R.K.; Higginbottom, F.L.; Buser, D. Lateral ridge augmentation and implant placement: An experimental study evaluating implant osseointegration in different augmentation materials in the canine mandible. Int. J. Oral Maxillofac. Implants. 2001, 16, 343–354. [Google Scholar] [PubMed]
- Chiriac, G.; Herten, M.; Schwarz, F.; Rothamel, D.; Becker, J. Autogenous bone chips: Influence of a new piezoelectric device (Piezosurgery) on chip morphology, cell viability and differentiation. J. Clin. Periodontol. 2005, 32, 994–999. [Google Scholar] [CrossRef] [PubMed]
- Nowzari, H.; Aalam, A.A. Mandibular cortical bone graft part 2: Surgical technique, applications, and morbidity. Compend. Contin. Educ. Dent. 2007, 28, 274–280, quiz 281–282. [Google Scholar] [PubMed]
- Clavero, J.; Lundgren, S. Ramus or chin grafts for maxillary sinus inlay and local onlay augmentation: Comparison of donor site morbidity and complications. Clin. Implant. Dent. Relat. Res. 2003, 5, 154–160. [Google Scholar] [CrossRef] [PubMed]
- Chiapasco, M.; Zaniboni, M.; Boisco, M. Augmentation procedures for the rehabilitation of deficient edentulous ridges with oral implants. Clin. Oral Implant. Res. 2006, 17 (Suppl. 2), 136–159. [Google Scholar] [CrossRef]
- Nkenke, E.; Schultze-Mosgau, S.; Radespiel-Tröger, M.; Kloss, F.; Neukam, F.W. Morbidity of harvesting of chin grafts: A prospective study. Clin. Oral Implant. Res. 2001, 12, 495–502. [Google Scholar] [CrossRef] [PubMed]
- Nkenke, E.; Weisbach, V.; Winckler, E.; Kessler, P.; Schultze-Mosgau, S.; Wiltfang, J.; Neukam, F.W. Morbidity of harvesting of bone grafts from the iliac crest for preprosthetic augmentation procedures: A prospective study. Int. J. Oral Maxillofac. Surg. 2004, 33, 157–163. [Google Scholar] [CrossRef] [PubMed]
- Von Arx, T.; Häfliger, J.; Chappuis, V. Neurosensory disturbances following bone harvesting in the symphysis: A prospective clinical study. Clin. Oral Implant. Res. 2005, 16, 432–439. [Google Scholar] [CrossRef] [PubMed]
- McAllister, B.S.; Haghighat, K. Bone augmentation techniques. J. Periodontol. 2007, 78, 377–396. [Google Scholar] [CrossRef] [PubMed]
- Pistilli, R.; Felice, P.; Piatelli, M.; Nisii, A.; Barausse, C.; Esposito, M. Blocks of autogenous bone versus xenografts for the rehabilitation of atrophic jaws with dental implants: Preliminary data from a pilot randomized controlled trial. Eur. J. Oral Implantol. 2014, 7, 153–171. [Google Scholar]
- Al Ruhaimi, K.A. Bone graft substitutes: A comparative qualitative histologic review of current osteoconductive grafting materials. Int. J. Oral Maxillofac. Implant. 2001, 16, 105–114. [Google Scholar]
- Troeltzsch, M.; Troeltzsch, M.; Kauffmann, P.; Gruber, R.; Brockmeyer, P.; Moser, N.; Rau, A.; Schliephake, H. Clinical efficacy of grafting materials in alveolar ridge augmentation: A systematic review. J. Craniomaxillofac. Surg. 2016, 44, 1618–1629. [Google Scholar] [CrossRef]
- Silva, E.R.; Balan, V.F.; Botticelli, D.; Soldini, C.; Okamoto, R.; Xavier, S.P. Histomorphometric, Immunohistochemical and Microtomographic Comparison between Autogenous and Xenogenous Bone Blocks for Mandibular Lateral Augmentation in Rabbits. Materials 2021, 14, 6049. [Google Scholar] [CrossRef]
- Sakaguchi, R.; Xavier, S.P.; Morinaga, K.; Botticelli, D.; Silva, E.R.; Nakajima, Y.; Baba, S. Healing of Collagenated Cancellous Equine Bone Blocks Used as Inlay or Onlay for Lateral Bone Augmentation in Rabbits. Preprints 2023, 2023090756. [Google Scholar] [CrossRef]
- Peñarrocha-Diago, M.; Gómez-Adrián, M.D.; García-Mira, B.; Ivorra-Sais, M. Bone grafting simultaneous to implant placement. Present of a case. Med. Oral Patol. Oral Cir. Bucal. 2005, 10, 444–447. [Google Scholar] [PubMed]
- Omara, M.; Abdelwahed, N.; Ahmed, M.; Hindy, M. Simultaneous implant placement with ridge augmentation using an autogenous bone ring transplant. Int. J. Oral Maxillofac. Surg. 2016, 45, 535–544. [Google Scholar] [CrossRef]
- Yuce, M.O.; Adali, E.; Turk, G.; Isik, G.; Gunbay, T. Three-dimensional bone grafting in dental implantology using autogenous bone ring transplant: Clinical outcomes of a one-stage technique. Niger. J. Clin. Pract. 2019, 22, 977–981. [Google Scholar] [CrossRef]
- Chandra, R.V.; Shivateja, K.; Reddy, A.A. Autogenous Bone Ring Transplant vs Autologous Growth Factor-Enriched Bone Graft Matrix in Extraction Sockets With Deficient Buccal Bone: A Comparative Clinical Study. Int. J. Oral Maxillofac. Implant. 2019, 34, 1424–1433. [Google Scholar] [CrossRef] [PubMed]
- Giraddi, G.B.; Saifi, A.M. Bone Ring Augmentation Around Immediate Implants: A Clinical and Radiographic Study. Ann. Maxillofac. Surg. 2017, 7, 92–97. [Google Scholar] [PubMed]
- Wychowanski, P.; Woliński, J.; Morawiec, T.; Kownacki, P.; Starzynska, A.; Kosieradzki, M.; Fiedor, P. Preliminary Clinical Data and the Comparison of the Safety and Efficacy of Autogenous Bone Grafts Versus Xenograft Implantations in Vertical Bone Deficiencies Before Dental Implant Installation. Transpl. Proc. 2020, 52, 2248–2251. [Google Scholar] [CrossRef]
- Benlidayi, M.E.; Tatli, U.; Salimov, F.; Tükel, H.C.; Yuksel, O. Comparison of autogenous and allograft bone rings in surgically created vertical bone defects around implants in a sheep model. Clin. Oral Implant. Res. 2018, 29, 1155–1162. [Google Scholar] [CrossRef]
- Jinno, Y.; Jimbo, R.; Lindstrom, M.; Sawase, T.; Lilin, T.; Becktor, J.P. Vertical bone augmentation using ring technique with three different materials in the sheep mandible bone. Int. J. Oral Maxillofac. Implant. 2018, 33, 1057–1063. [Google Scholar] [CrossRef]
- Haga-Tsujimura, M.; Nakahara, K.; Kobayashi, E.; Igarashi, K.; Schaller, B.; Saulacic, N. Single-staged implant placement using bone ring technique with and without membrane placement: An experimental study in the beagle dog. Clin. Oral Implant. Res. 2018, 29, 263–276. [Google Scholar] [CrossRef]
- Nakahara, K.; Haga-Tsujimura, M.; Sawada, K.; Kobayashi, E.; Mottini, M.; Schaller, B.; Saulacic, N. Single-staged vs. two-staged implant placement using bone ring technique in vertically deficient alveolar ridges—Part 1: Histomorphometric and micro-CT analysis. Clin. Oral Implant. Res. 2016, 27, 1384–1391. [Google Scholar] [CrossRef]
- Nakahara, K.; Haga-Tsujimura, M.; Sawada, K.; Kobayashi, E.; Schaller, B.; Saulacic, N. Single-staged vs. two-staged implant placement in vertically deficient alveolar ridges using bone ring technique—Part 2: Implant osseointegration. Clin. Oral Implant. Res. 2017, 28, e31–e38. [Google Scholar] [CrossRef]
- El Zahwy, M.; Taha, S.A.A.K.; Mounir, R.; Mounir, M. Assessment of vertical ridge augmentation and marginal bone loss using autogenous onlay vs inlay grafting techniques with simultaneous implant placement in the anterior maxillary esthetic zone: A randomized clinical trial. Clin. Implant. Dent. Relat. Res. 2019, 21, 1140–1147. [Google Scholar] [CrossRef] [PubMed]
- Kanayama, M.; Botticelli, D.; Apaza Alccayhuaman, K.A.; Yonezawa, D.; Silva, E.R.; Xavier, S.P. The Impact on the Healing of Bioactivation with Argon Plasma of a Xenogeneic Graft with Adequate Fixation but Poor Adaptation to the Recipient Site: An Experimental Study in Rabbits. Int. J. Oral Maxillofac. Implant. 2021, 36, 703–714. [Google Scholar] [CrossRef] [PubMed]
- Schwarz, F.; Sager, M.; Ferrari, D.; Mihatovic, I.; Becker, J. Influence of recombinant human platelet-derived growth factor on lateral ridge augmentation using biphasic calcium phosphate and guided bone regeneration: A histomorphometric study in dogs. J. Periodontol. 2009, 80, 1315–1323. [Google Scholar] [CrossRef]
- Faria, P.E.; Okamoto, R.; Bonilha-Neto, R.M.; Xavier, S.P.; Santos, A.C.; Salata, L.A. Immunohistochemical, tomographic and histological study on onlay iliac grafts remodeling. Clin. Oral Implant. Res. 2008, 19, 393–401. [Google Scholar] [CrossRef] [PubMed]
- Caneva, M.; Botticelli, D.; Carneiro Martins, E.N.; Caneva, M.; Lang, N.P.; Xavier, S.P. Healing at the interface between recipient sites and autologous block bone grafts affixed by either position or lag screw methods: A histomorphometric study in rabbits. Clin. Oral Implant. Res. 2017, 28, 1484–1491. [Google Scholar] [CrossRef]
- Araújo, M.G.; Sonohara, M.; Hayacibara, R.; Cardaropoli, G.; Lindhe, J. Lateral ridge augmentation by the use of grafts comprised of autologous bone or a biomaterial. An experiment in the dog. J. Clin. Periodontol. 2002, 29, 1122–1131. [Google Scholar] [CrossRef] [PubMed]
- De Santis, E.; Lang, N.P.; Favero, G.; Beolchini, M.; Morelli, F.; Botticelli, D. Healing at mandibular block-grafted sites. An experimental study in dogs. Clin. Oral Implant. Res. 2015, 26, 516–522. [Google Scholar] [CrossRef]
- Kotagudda Ranganath, S.; Schlund, M.; Delattre, J.; Ferri, J.; Chai, F. Bilateral double site (calvarial and mandibular) critical-size bone defect model in rabbits for evaluation of a craniofacial tissue engineering constructs. Mater Today Bio. 2022, 14, 100267. [Google Scholar] [CrossRef]
- Wang, Y.; Zhang, X.; Mei, S.; Li, Y.; Khan, A.A.; Guan, S.; Li, X. Determination of critical-sized defect of mandible in a rabbit model: Micro-computed tomography, and histological evaluation. Heliyon 2023, 9, e18047. [Google Scholar] [CrossRef]
- Botticelli, D.; Berglundh, T.; Buser, D.; Lindhe, J. Appositional bone formation in marginal defects at implants. Clin. Oral Implant. Res. 2003, 14, 1–9. [Google Scholar] [CrossRef] [PubMed]
- Botticelli, D.; Berglundh, T.; Lindhe, J. Resolution of bone defects of varying dimension and configuration in the marginal portion of the peri-implant bone. An experimental study in the dog. J. Clin. Periodontol. 2004, 31, 309–317. [Google Scholar] [CrossRef] [PubMed]
- Akimoto, K.; Becker, W.; Persson, R.; Baker, D.A.; Rohrer, M.D.; O’Neal, R.B. Evaluation of titanium implants placed into simulated extraction sockets: A study in dogs. Int. J. Oral Maxillofac. Implant. 1999, 14, 351–360. [Google Scholar]
- Sáez-Alcaide, L.M.; Brinkmann, J.C.; Sánchez-Labrador, L.; Pérez-González, F.; Molinero-Mourelle, P.; López-Quiles, J. Effectiveness of the bone ring technique and simultaneous implant placement for vertical ridge augmentation: A systematic review. Int. J. Implant. Dent. 2020, 6, 82. [Google Scholar] [CrossRef]
- Gaikwad, A.M.; Joshi, A.A.; Padhye, A.M.; Nadgere, J.B. Autogenous bone ring for vertical bone augmentation procedure with simultaneous implant placement: A systematic review of histologic and histomorphometric outcomes in animal studies. J. Prosthet. Dent. 2021, 126, 626–635. [Google Scholar] [CrossRef]
- Botticelli, D.; Lang, N.P. Dynamics of osseointegration in various human and animal models—A comparative analysis. Clin. Oral Implant. Res. 2017, 28, 742–748. [Google Scholar] [CrossRef]
- Herford, A.S.; Boyne, P.J. Reconstruction of mandibular continuity defects with bone morphogenetic protein-2 (rhBMP-2). J. Oral Maxillofac. Surg. 2008, 66, 616–624. [Google Scholar] [CrossRef]
- Chim, H.; Gosain, A.K. Biomaterials in craniofacial surgery: Experimental studies and clinical application. J. Craniofac. Surg. 2009, 20, 29–33. [Google Scholar] [CrossRef]








Disclaimer/Publisher’s Note: The statements, opinions and data contained in all publications are solely those of the individual author(s) and contributor(s) and not of MDPI and/or the editor(s). MDPI and/or the editor(s) disclaim responsibility for any injury to people or property resulting from any ideas, methods, instructions or products referred to in the content. |
© 2023 by the authors. Licensee MDPI, Basel, Switzerland. This article is an open access article distributed under the terms and conditions of the Creative Commons Attribution (CC BY) license (https://creativecommons.org/licenses/by/4.0/).
Share and Cite
Kaneko, N.; Xavier, S.P.; Morinaga, K.; Botticelli, D.; Silva, E.R.; Nakajima, Y.; Baba, S. Implants Placed with a Ring Technique Using Inlay and Onlay Block Xenografts in the Mandible of Rabbits. Materials 2023, 16, 7490. https://doi.org/10.3390/ma16237490
Kaneko N, Xavier SP, Morinaga K, Botticelli D, Silva ER, Nakajima Y, Baba S. Implants Placed with a Ring Technique Using Inlay and Onlay Block Xenografts in the Mandible of Rabbits. Materials. 2023; 16(23):7490. https://doi.org/10.3390/ma16237490
Chicago/Turabian StyleKaneko, Naoki, Samuel Porfirio Xavier, Kenzo Morinaga, Daniele Botticelli, Erick Ricardo Silva, Yasushi Nakajima, and Shunsuke Baba. 2023. "Implants Placed with a Ring Technique Using Inlay and Onlay Block Xenografts in the Mandible of Rabbits" Materials 16, no. 23: 7490. https://doi.org/10.3390/ma16237490
APA StyleKaneko, N., Xavier, S. P., Morinaga, K., Botticelli, D., Silva, E. R., Nakajima, Y., & Baba, S. (2023). Implants Placed with a Ring Technique Using Inlay and Onlay Block Xenografts in the Mandible of Rabbits. Materials, 16(23), 7490. https://doi.org/10.3390/ma16237490

