Effects of Natural Brown Cotton Bleached Gauze on Wound Healing
Abstract
:1. Introduction
2. Materials and Methods
2.1. Gauze Material
2.2. Experimental Protocol for Wound Healing in SD Rats
2.2.1. Laboratory Animals and Housed Conditions
2.2.2. Reagents and Equipment
2.2.3. Experimental Method
3. Results and Discussion
3.1. Analysis of Wound Healing in SD Rats
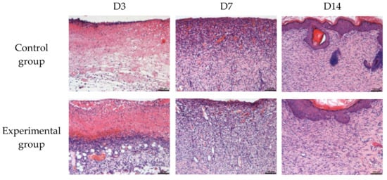
3.2. Wound Histological Analysis
4. Conclusions
Author Contributions
Funding
Institutional Review Board Statement
Informed Consent Statement
Data Availability Statement
Conflicts of Interest
References
- Bi, Y. Performance Analysis and Development Trend of Natural Colored Cotton. Shandong Text. Sci. Technol. 2017, 58, 4–7. [Google Scholar]
- MSS, M. Never say dye: The story of coloured cotton. Resonance 2001, 9, 29–35. [Google Scholar]
- Guo, S. Analysis of the Characteristic of Natural Colored Cotton and Its Application. China Fiber Insp. 2013, 07, 86–88. [Google Scholar]
- Tan, Y.; Zhou, X. The Research Status and Development Trends of Natural Colored Cotton. Prog. Text. Sci. Technol. 2015, 2, 1–4. [Google Scholar]
- Sun, J.; Sun, Y.; Zhu, Q.H. Breeding Next-Generation Naturally Colored Cotton. Trends Plant Sci. 2021, 26, 539–542. [Google Scholar] [CrossRef]
- Zhang, G.; Zhou, J.; Pan, R.; Wang, L.; Gao, W. Color Prediction for Pre-Colored Cotton Fiber Blends Based on Improved Kubelka-Munk Double-Constant Theory. Fibers Polym. 2021, 22, 412–420. [Google Scholar] [CrossRef]
- Chen, X.; Di, J.; Zhao, L. Breeding and Product Development of High Quality Colored Cotton. Cotton Text. Technol. 2015, 43, 81–84. [Google Scholar]
- Ren, H.; Tang, S.; Song, W.; Ke, L.; Sun, Y.; Liu, H. Research Progress on the Molecular Mechanism of the Pigment Formation in Naturally Colored Cotton Fiber. Cotton Sci. 2019, 31, 352–360. [Google Scholar]
- Ryser, U.; Meier, H.; Holloway, P.J. Identification and Localization of Suberin in the Cell Walls of Green Cotton Fibres (Gossypium hirsutum L., var. green lint). Protoplasma 1983, 117, 196–205. [Google Scholar] [CrossRef]
- Ryser, U.; Holloway, P.J. Ultrastructure and chemistry of soluble and polymeric lipids in cell walls from seed coats and fibres of Gossypium species. Planta 1985, 163, 151–163. [Google Scholar] [CrossRef]
- Zhao, X. Composition Analysis of Pigment in Colored Cotton Fiber. Acta Agron. Sinica 2005, 31, 456–462. [Google Scholar]
- Hua, S.; Yuan, S.; Shamsi, I.H.; Zhao, X.; Zhang, X.; Liu, Y.; Wen, G.; Wang, X.; Zhang, H. A Comparison of Three Isolines of Cotton Differing in Fiber Color for Yield, Quality, and Photosynthesis. Crop Sci. 2009, 49, 983–989. [Google Scholar] [CrossRef]
- Zhan, S.; Lin, Y.; Cai, Y.; Wang, Z. Preliminary Deductions of the Chemical Structure of the Pigment Brown in Cotton Fiber. Chin. Bull. Botany 2007, 24, 99–104. [Google Scholar]
- Feng, H.; Li, Y.; Wang, S.; Zhang, L.; Liu, Y.; Xue, F.; Sun, Y.; Wang, Y.; Sun, J. Molecular analysis of proanthocyanidins related to pigmentation in brown cotton fibre (Gossypium hirsutum L.). J. Exp. Bot. 2014, 65, 5759–5769. [Google Scholar] [CrossRef]
- Li, Y.J.; Zhang, X.Y.; Wang, F.X.; Yang, C.L.; Liu, F.; Xia, G.X.; Sun, J. A comparative proteomic analysis provides insights into pigment biosynthesis in brown color fiber. J. Proteom. 2013, 78, 374–388. [Google Scholar] [CrossRef]
- Peng, Z.; Gao, Q.; Luo, C.; Gong, W.; Tang, S.; Zhang, X.; Song, W.; Wang, Z.; Liu, H.; Du, X.; et al. Flavonoid biosynthetic and starch and sucrose metabolic pathways are involved in the pigmentation of naturally brown-colored cotton fibers. Ind. Crops Prod. 2020, 158, 113045. [Google Scholar] [CrossRef]
- Fan, J.; Liu, H.; Wang, J.; Zeng, J.; Tan, Y.; Wang, Y.; Yu, X.; Li, W.; Wang, P.; Yang, Z.; et al. Procyanidin B2 improves endothelial progenitor cell function and promotes wound healing in diabetic mice via activating Nrf2. J. Cell Mol. Med. 2021, 25, 652–665. [Google Scholar] [CrossRef]
- Badeggi, U.M.; Ismail, E.; Adeloye, A.O.; Botha, S.; Badmus, J.A.; Marnewick, J.L.; Cupido, C.N.; Hussein, A.A. Green Synthesis of Gold Nanoparticles Capped with Procyanidins from Leucosidea sericea as Potential Antidiabetic and Antioxidant Agents. Biomolecules 2020, 10, 452. [Google Scholar] [CrossRef] [Green Version]
- Wang, L.; Wang, C.; Wang, L.; Zhang, Q.; Wang, Y.; Xia, X. Emulsion electrospun polylactic acid/Apocynum venetum nanocellulose nanofiber membranes with controlled sea buckthorn extract release as a drug delivery system. Text. Res. J. 2020, 91, 1046–1055. [Google Scholar] [CrossRef]
- Ma, M.; Li, R.; Du, Y.; Tang, Z.; Zhou, W. Analysis of antibacterial properties of naturally colored cottons. Text. Res. J. 2012, 83, 462–470. [Google Scholar] [CrossRef]
- Ma, M.; Luo, S.; Hu, Z.; Tang, Z.; Zhou, W. Antioxidant properties of naturally brown-colored cotton fibers. Text. Res. J. 2015, 86, 256–263. [Google Scholar] [CrossRef]
- Fang, Q.Q.; Wang, X.F.; Zhao, W.Y.; Shi, B.H.; Lou, D.; Chen, C.Y.; Zhang, M.X.; Wang, X.; Ma, L.; Tan, W.Q. Development of a Chitosan-Vaseline Gauze Dressing with Wound-Healing Properties in Murine Models. Am. J. Trop. Med. Hyg. 2020, 102, 468–475. [Google Scholar] [CrossRef]










| Experimental Reagent | Manufacturer |
|---|---|
| Hematoxylin | SIGMA |
| Eosin | SIGMA |
| Improved Masson Tricolor Staining Solution | SOLARBIO |
| CD31 Antibody | GeneTex |
| (HAMA) ELISA Kit | Beijing Zhongshan Golden Bridge Biotechnology Co., Ltd. |
| Experimental Equipment | Model | Manufacturer |
|---|---|---|
| Pulsating vacuum pressure steam sterilizer | MZQD-0.6C | Wuhan Jianghan Medical Pharmaceutical Equipment Co., Ltd. |
| Rotary microtome | RM2235 | LEICA |
| Histopathology bake instrument drift | TEC2500 | Changzhou Hao Silin Instrument Equipment Co., Ltd. |
| Microscope | BX43 | OLYMPUS |
| Waterproof constant temperature incubator | PYX-DHS500BS-Ⅱ | Shanghai Yuejin Medical Equipment Co., Ltd. |
| Group | D0 | D3 | D5 | D7 | D9 | D11 | D14 |
|---|---|---|---|---|---|---|---|
| Control group | 0.00 ± 0.00 | 4.91 ± 5.46 | 22.19 ± 12.89 | 29.68 ± 15.86 | 65.96 ± 9.34 | 67.70 ± 7.59 | 72.02 ± 6.44 |
| Experimental group | 0.00 ± 0.00 | 2.38 ± 2.64 | 25.83 ± 4.25 | 34.12 ± 7.38 | 81.53 ± 1.48 | 81.98 ± 1.88 | 86.83 ± 2.53 ** |
| Inflammatory Cells (/mm2) | New Blood Vessels (/mm2) | Area of Granulation Tissue (/mm2) | |
|---|---|---|---|
| Control group-3d | 192.29 ± 9.56 | 16.07 ± 2.79 | 0.91 ± 0.14 |
| Experimental group-3d | 182.46 ± 9.03 | 17.02 ± 2.89 | 0.99 ± 0.21 |
| Control group-7d | 178.30 ± 16.04 | 50.30 ± 10.31 ※※ | 1.19 ± 0.08 ※※ |
| Experimental group-7d | 177.17 ± 12.59 | 60.32 ± 13.99 ** | 1.27 ± 0.10 ** |
| Control group-14d | 76.01 ± 4.68 ※※ | 82.44 ± 7.22 ※※ | 1.58 ± 0.26 ※※ |
| Experimental group-14d | 66.18 ± 6.54 &&** | 88.11 ± 9.17 ** | 1.75 ± 0.13 ** |
| Group | Area Ratio |
|---|---|
| Control group-3d | 20.56 ± 5.77 |
| Experimental group-3d | 21.05 ± 4.51 |
| Control group-7d | 24.52 ± 4.81 |
| Experimental group-7d | 25.57 ± 9.49 |
| Control group-14d | 30.64 ± 5.55 ※※ |
| Experimental group-14d | 40.97 ± 9.29 &** |
| Group | Optical Density Value |
|---|---|
| Control group-3d | 0.12 ± 0.03 |
| Experimental group-3d | 0.13 ± 0.04 |
| Control group-7d | 0.16 ± 0.03 ※※ |
| Experimental group-7d | 0.18 ± 0.03 ** |
| Control group-14d | 0.20 ± 0.02 ※※ |
| Experimental group-14d | 0.22 ± 0.03 ** |
Publisher’s Note: MDPI stays neutral with regard to jurisdictional claims in published maps and institutional affiliations. |
© 2022 by the authors. Licensee MDPI, Basel, Switzerland. This article is an open access article distributed under the terms and conditions of the Creative Commons Attribution (CC BY) license (https://creativecommons.org/licenses/by/4.0/).
Share and Cite
Xu, J.; Su, M.; Jin, Z.; Zhou, W.; Sun, Y.; Jin, Y.; Shi, Z. Effects of Natural Brown Cotton Bleached Gauze on Wound Healing. Materials 2022, 15, 2070. https://doi.org/10.3390/ma15062070
Xu J, Su M, Jin Z, Zhou W, Sun Y, Jin Y, Shi Z. Effects of Natural Brown Cotton Bleached Gauze on Wound Healing. Materials. 2022; 15(6):2070. https://doi.org/10.3390/ma15062070
Chicago/Turabian StyleXu, Jingying, Miao Su, Zimin Jin, Wenlong Zhou, Yuqiang Sun, Youyi Jin, and Zhansong Shi. 2022. "Effects of Natural Brown Cotton Bleached Gauze on Wound Healing" Materials 15, no. 6: 2070. https://doi.org/10.3390/ma15062070
APA StyleXu, J., Su, M., Jin, Z., Zhou, W., Sun, Y., Jin, Y., & Shi, Z. (2022). Effects of Natural Brown Cotton Bleached Gauze on Wound Healing. Materials, 15(6), 2070. https://doi.org/10.3390/ma15062070

