Assessment of the Effects of Si Addition to a New TiMoZrTa System
Abstract
:1. Introduction
2. Materials and Methods
2.1. Material Preparation
- Electric arc melting furnace using non-fusible tungsten electrodes and a double wall water-cooled copper crucible, equipped with installations to ensure an inert protective atmosphere;
- Electron beam melting equipment, with a power supply of about 1000 kW, under high vacuum (10-4 torr), where the melted material solidifies in a water-cooled copper crucible;
- Vacuum arc melting equipment (VAR, under high vacuum (10-3–10-4 mbar) and in an argon-controlled atmosphere.
2.2. Microstructural Characterization Methods
2.3. Mechanical Properties
2.4. In Vitro Cytocompatibility Assessment
2.5. In Vivo Biocompatibility Assessment
3. Results and Discussion
3.1. Composition and Microstructure of Ti-Mo-Zr-Ta-Si Alloys
3.2. Mechanical Properties of Ti-Mo-Zr-Ta-Si Alloys
3.3. In Vitro Cytotoxicity of Ti-Mo-Zr-Ta-Si Alloys
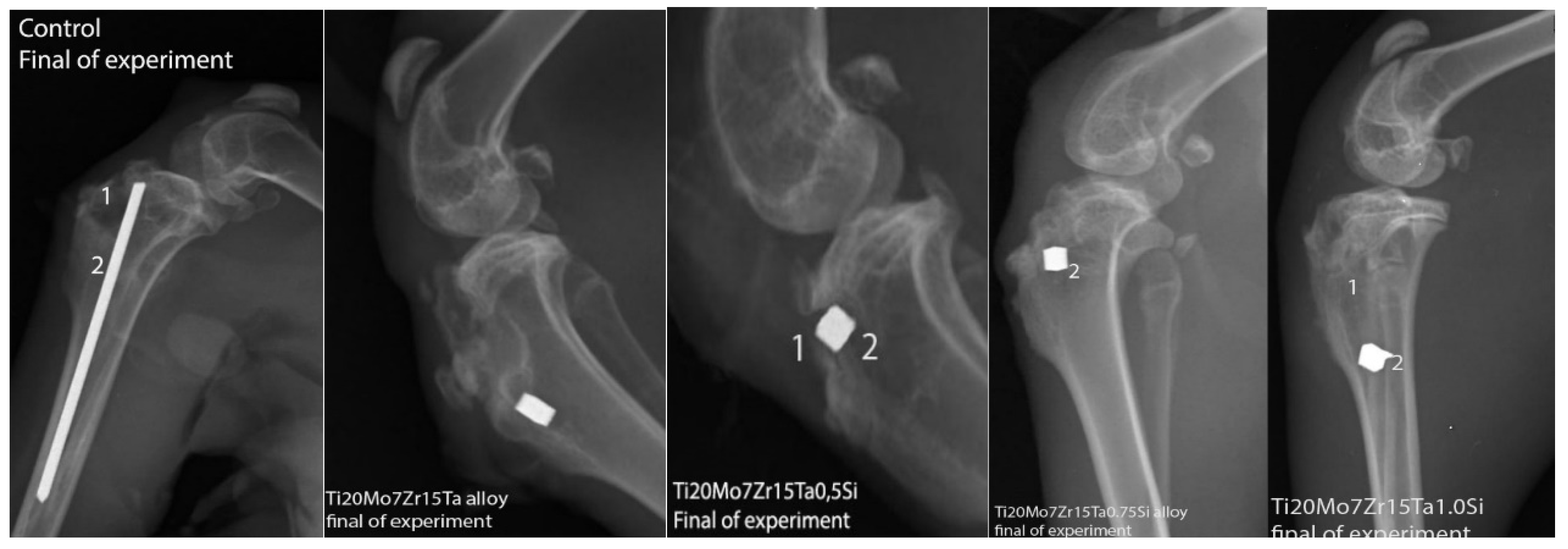
3.4. In Vivo Biocompatibility of Ti-Mo-Zr-Ta-Si Alloys
4. Conclusions
Author Contributions
Funding
Institutional Review Board Statement
Informed Consent Statement
Data Availability Statement
Conflicts of Interest
References
- Niinomi, M. Mechanical properties of biomedical titanium alloys. Mater. Sci. Eng. A 1998, 243, 231–236. [Google Scholar] [CrossRef]
- Niinomi, M. Titanium alloys. In Encyclopedia of Biomedical Engineering; Elsevier: Amsterdam, The Netherlands, 2019; pp. 213–224. [Google Scholar]
- Istrate, B.; Munteanu, C.; Chelariu, R.; Mihai, D.; Cimpoesu, R.; Tudose, F.S.V. Electrochemical evaluation of some Mg-Ca-Mn-Zr biodegradable alloys. Rev. Chim. 2019, 70, 3435–3440. [Google Scholar] [CrossRef]
- Chen, Q.; Thouas, G.A. Metallic implant biomaterials. Mater. Sci. Eng. R 2015, 87, 1–57. [Google Scholar] [CrossRef]
- Bombac, D.M.; Brojan, M.; Fajfar, P.; Kosel, F.; Turk, R. Review of materials in medical applications. RMZ-M&G 2007, 54, 471–499. [Google Scholar]
- Baltatu, M.S.; Tugui, C.A.; Perju, M.C.; Benchea, M.; Spataru, M.C.; Sandu, A.V.; Vizureanu, P. Biocompatible titanium alloys used in medical applications. Rev. Chim. 2019, 70, 1302–1306. [Google Scholar] [CrossRef]
- Song, Y.; Xu, D.S.; Yang, R.; Li, D.; Wu, W.T.; Guo, Z.X. Theoretical study of the effects of alloying elements on the strength and modulus of β-type bio-titanium alloys. Mater. Sci. Eng. A 1999, 260, 269–274. [Google Scholar] [CrossRef]
- Bermúdez, M.D.; Carrión, F.J.; Martínez-Nicolás, G.; López, R. Erosion–corrosion of stainless steels, titanium, tantalum and zirconium. Wear 2005, 258, 693–700. [Google Scholar] [CrossRef]
- Geetha, M.; Singh, A.K.; Asokamani, R.; Gogia, A.K. Ti based biomaterials, the ultimate choice for orthopaedic implants—A review. Mater. Sci. 2009, 54, 397–425. [Google Scholar] [CrossRef]
- Spataru, M.C.; Butnaru, M.; Sandu, A.V.; Vulpe, V.; Vlad, M.D.; Baltatu, M.S.; Geanta, V.; Voiculescu, I.; Vizureanu, P.; Solcan, C. In-depth assessment of new Ti-based biocompatible materials. Mater. Chem. Phys. 2021, 258, 123959. [Google Scholar] [CrossRef]
- Verestiuc, L.; Spataru, M.C.; Baltatu, M.S.; Butnaru, M.; Solcan, C.; Sandu, A.V.; Voiculescu, I.; Geanta, V.; Vizureanu, P. New Ti–Mo–Si materials for bone prosthesis applications. J. Mech. Behav. Biomed. Mater. 2021, 113, 104198. [Google Scholar] [CrossRef] [PubMed]
- Baltatu, M.S.; Vizureanu, P.; Cimpoesu, R.; Abdullah, M.M.A.; Sandu, A.V. The corrosion behavior of TiMoZrTa alloys used for medical applications. Rev. Chim. 2016, 67, 2100–2102. [Google Scholar]
- Baltatu, M.S.; Vizureanu, P.; Sandu, A.V.; Munteanu, C.; Istrate, B. Microstructural analysis and tribological behavior of Ti-based alloys with a ceramic layer using the thermal spray method. Coatings 2020, 10, 1216. [Google Scholar] [CrossRef]
- Wang, L.; Zhang, L.C. Development and Application of Biomedical Titanium Alloys; Bentham Science Publishers: Sharjah, United Arab Emirates, 2018. [Google Scholar] [CrossRef]
- Creteanu, A.; Pamfil, D.; Vasile, C.; Tantaru, G.; Ghiciuc, C.M.; Ochiuz, L.; Ghilan, A.; Macsim, A.M. Study on the role of the inclusion complexes with 2-hydroxypropyl-beta-cyclodextrin for oral administration of amiodarone. Int. J. Polym. Sci. 2019, 2019, 1695189. [Google Scholar] [CrossRef] [Green Version]
- Creteanu, A.; Stefanache, A.; Vieriu, M.; Ṭantaru, G.; Ochiuz, L. Study on the formulation and pharmacotechnical characterization of hydrophilic matrix tables with amiodarone chlorhydrate. Rev. Chim. 2019, 70, 1–5. [Google Scholar] [CrossRef]
- Niinomi, M. Titanium alloys for biomedical, dental, and healthcare applications. Ti-2007 Sci. Technol. 2007, 2, 1417–1424. [Google Scholar]
- Zhang, J.; Sun, F.; Chen, Z.; Yang, Y.; Shen, B.; Li, J.; Prima, F. Strong and ductile beta Ti–18Zr–13Mo alloy with multimodal twinning. Mater. Res. Lett. 2019, 7, 251–257. [Google Scholar] [CrossRef] [Green Version]
- Raganya, M.L.; Moshokoa, N.M.; Obadele, B.; Olubambi, P.A.; Machaka, R. The microstructural and mechanical characterization of the β-type Ti-11.1Mo-10.8Nb alloy for biomedical applications. IOP Conf. Ser. Mater. Sci. Eng. 2019, 655, 12025. [Google Scholar] [CrossRef]
- Lin, J.; Ozan, S.; Li, Y.; Ping, D.; Tong, X.; Li, G.; Wen, C. Novel Ti-Ta-Hf-Zr alloys with promising mechanical properties for prospective stent applications. Sci. Rep. 2016, 6, 37901. [Google Scholar] [CrossRef]
- Breme, H.J.; Biehl, V.; Helsen, J.A. Metals and Implants. Metals as Biomaterials; John Wiley and Sons Ltd.: Baffins Lane, UK, 1998; ISBN 0471 969354. [Google Scholar]
- Sandu, A.V.; Baltatu, M.S.; Nabialek, M.; Savin, A.; Vizureanu, P. Characterization and mechanical proprieties of new TiMo alloys used for medical applications. Materials 2019, 12, 2973. [Google Scholar] [CrossRef] [Green Version]
- Vasilescu, V.G.; Sandu, I.; Nemtoi, G.; Sandu, A.V.; Popescu, V.; Vasilache, V.; Sandu, I.G.; Vasilescu, E. The reactivity of Ti10Zr alloy in biological and electrochemical systems in the presence of chitosan. RSC Adv. 2017, 7, 13919–13927. [Google Scholar] [CrossRef]
- Li, S.J.; Yang, R.; Li, S.; Hao, Y.L.; Cui, Y.Y.; Niinomi, M.; Guo, Z.X. Wear characteristics of Ti–Nb–Ta–Zr and Ti–6Al–4V alloys for biomedical applications. Wear 2004, 257, 869–876. [Google Scholar] [CrossRef]
- Hua, N.; Wang, W.; Wang, Q.; Ye, Y.; Lin, S.; Zhang, L.; Guo, Q.; Brechtl, J.; Liaw, P.K. Mechanical, corrosion, and wear properties of biomedical Ti–Zr–Nb–Ta–Mo high entropy alloys. J. Alloy. Compd. 2021, 861, 157997. [Google Scholar] [CrossRef]
- Sidambe, A.T. Biocompatibility of advanced manufactured titanium implants—A review. Materials 2014, 7, 8168–8188. [Google Scholar] [CrossRef] [PubMed] [Green Version]
- Quinn, R.K.; Armstrong, N.R. Electrochemical and surface analytical characterization of titanium and titanium hydride thin-film electrode oxidation. J. Electrochem. Soc. 1978, 125, 1790–1796. [Google Scholar] [CrossRef]
- Jiang, Z.; Dai, X.; Middleton, H. Effect of silicon on corrosion resistance of Ti–Si alloys. Mater. Sci. Eng. B 2011, 176, 79–86. [Google Scholar] [CrossRef]
- Kitsugi, T.; Nakamura, T.; Oka, M.; Yan, W.Q.; Goto, T.; Shibuya, T.; Kokubo, T.; Miyaji, S. Bone bonding behavior of titanium and its alloys when coated with titanium oxide (TiO2) and titanium silicate (Ti5Si3). J. Biomed. Mater. Res. 1996, 32, 149–156. [Google Scholar] [CrossRef]
- Elias, C.N.; Lima, J.H.C.; Valiev, R.; Meyers, M.A. Biomedical applications of titanium and its alloys. JOM 2008, 60, 46–49. [Google Scholar] [CrossRef]
- Bobyn, J.D.; Stackpool, G.J.; Hacking, S.A. Characteristics of bone ingrowth and interface mechanics of a new porous tantalum biomaterial. J. Bone Joint Surg. Br. 1999, 81, 907–914. [Google Scholar] [CrossRef] [PubMed]
- Gandin, H.M.; Berner, S.; Dard, M. A review of titanium zirconium (TiZr) alloys for use in endosseous dental implants. Materials 2012, 5, 1348–1360. [Google Scholar] [CrossRef] [Green Version]
- Cristea, D.; Ghiuță, I.; Munteanu, D. Tantalum based materials for implants and prostheses applications. Bull. Transilv. Univ. Braşov Ser. I Eng. Sci. 2015, 82, 151–159. [Google Scholar]
- Ou, P.; Liu, J.; Hao, C.; He, R. Cytocompatibility, stability and osteogenic activity of powder metallurgy Ta-xZr alloys as dental implant materials. J. Biomater. Appl. 2020, 35, 790–798. [Google Scholar] [CrossRef] [PubMed]
- Zhu, J.; Kamiya, A.; Yamada, T.; Watazu, A.; Shi, W.; Naganuma, K. Effect of silicon addition on microstructure and mechanical properties of cast titanium alloys. Mater. Trans. 2001, 42, 336–341. [Google Scholar] [CrossRef] [Green Version]
- Barzilai, S.; Toher, C.; Curtarolo, S.; Levy, O. Evaluation of the tantalum-titanium phase diagram from ab-initio calculations. Acta Mater. 2016, 120, 255–263. [Google Scholar] [CrossRef] [Green Version]
- Bai, W.; Xu, G.; Tan, M.; Yang, Z.; Zeng, L.; Wu, D.; Liu, L.; Zhang, L. Diffusivities and atomic mobilities in bcc Ti-Mo-Zr alloys. Materials 2018, 11, 1909. [Google Scholar] [CrossRef] [Green Version]
- Geanta, V.; Voiculescu, I. Treaty for the Obtaining of Metallic Biocompatible Materials; Publishing House Printech: Bucharest, Romania, 2018; pp. 628–629. ISBN 978-606-23-0845-2. [Google Scholar]
- Hsu, S.K.; Ho, W.F.; Wu, S.C.; Chen, Y.S.; Hsu, H.C. In vitro study of Ti-Nb-Sn alloy surface modified with RGD peptide. Thin Solid Film. 2016, 620, 139–144. [Google Scholar] [CrossRef]
- Hwang, I.J.; Choe, H.C. Surface morphology and cell behavior of Zn-coated Ti-6Al-4V alloy by RF-sputtering after PEO-treatment. Surf. Coat. Technol. 2019, 361, 386–395. [Google Scholar] [CrossRef]
- Shahriyari, F.; Razaghian, A.; Taghiabadi, R.; Peirovi, A.; Amini, A. Effect of friction hardening pre-treatment on increasing cytocompatibility of alkali heat-treated Ti-6Al-4V alloy. Surf. Coat. Technol. 2018, 353, 148–157. [Google Scholar] [CrossRef]
- Law No 43/2014 on the Protection of Animals Used for Scientific Purposes Supplemented by Law 199/2018 and the Law 149/2019. Available online: http://legislatie.just.ro/Public/DetaliiDocument/157944 (accessed on 10 September 2021).
- De Vos, W.; Casselman, J.; Swennen, G.R.J. Cone-beam computerized tomography (CBCT) imaging of the oral and maxillofacial region: A systematic review of the literature. Int. J. Oral Maxillofac. Surg. 2009, 38, 609–625. [Google Scholar] [CrossRef]
- Ozan, S.; Lin, J.; Li, Y.; Wen, C. New Ti-Ta-Zr-Nb alloys with ultrahigh strength for potential orthopedic implant applications. J. Mech. Behav. Biomed. Mater. 2017, 75, 119–127. [Google Scholar] [CrossRef]
- Xu, J.L.; Tao, S.C.; Bao, L.Z.; Luo, J.M.; Zheng, Y.F. Effects of Mo contents on the microstructure, properties and cytocompatibility of the microwave sintered porous Ti-Mo alloys. Mater. Sci. Eng. C 2019, 97, 156–165. [Google Scholar] [CrossRef]
- Hanawa, T. Titanium–tissue interface reaction and its control with surface treatment. Front. Bioeng. Biotechnol. 2019, 7, 170. [Google Scholar] [CrossRef] [Green Version]
- Czekanska, E.M.; Stoddart, M.J.; Ralphs, J.R.; Richards, R.G.; Hayes, J.S. A phenotypic comparison of osteoblast cell lines versus human primary osteoblasts for biomaterials testing. J. Biomed. Mater. Res. A 2013, 102, 2636–2643. [Google Scholar] [CrossRef]
- Schwarz, F.; Langer, M.; Hagena, T.; Hartig, B.; Sader, R.; Becker, J. Cytotoxicity and proinflammatory effects of titanium and zirconia particles. Int. J. Implant. Dent. 2019, 5, 25. [Google Scholar] [CrossRef] [PubMed]
- Bodhak, S.; Bose, S.; Kinsel, W.C.; Bandyopadhyay, A. Investigation of in vitro bone cell adhesion and proliferation on Ti using direct current stimulation. Mater. Sci. Eng. C 2012, 32, 2163–2168. [Google Scholar] [CrossRef] [PubMed] [Green Version]
- Kuroda, P.A.B.; Silva, L.M.D.; Sousa, K.D.S.J.; Donato, T.A.G.; Grandini, C.R. Preparation, structural, microstructural, mechanical, and cytotoxic characterization of Ti-15Nb alloy for biomedical applications. Artif. Organs 2020, 44, 811–817. [Google Scholar] [CrossRef] [PubMed]
- Arisan, V.; Karabuda, Z.C.; Avsever, H.; Özdemir, T. Conventional multi-slice computed tomography (CT) and conebeam CT (CBCT) for computer-assisted implant placement. Part I: Relationship of radiographic gray density and implant stability. Clin. Implant Dent. Relat. Res. 2012, 15, 893–906. [Google Scholar] [CrossRef]
- Schepull, T.; Aspenberg, P. Healing of human Achilles tendon ruptures: Radiodensity reflects mechanical properties. Knee Surg. Sports Traumatol. Arthrosc. 2015, 23, 884–889. [Google Scholar] [CrossRef] [Green Version]
- Lev, M.H.; Gonzalez, R.G. CT Angiography and CT perfusion imaging, in brain mapping. In The Methods, 2nd ed.; An Imprint of Elsevier Science: San Diego, CA, USA, 2002; pp. 427–484. [Google Scholar] [CrossRef]
- Schack, L.; Stapulionis, R.; Christensen, B.; Kofod-Olsen, E.; Sørensen, U.B.S.; Vorup-Jensen, T.; Sørensen, E.S.; Höllsberg, P. Osteopontin enhances phagocytosis through a novel osteopontin receptor, the X 2 integrin. J. Immunol. 2009, 182, 6943–6950. [Google Scholar] [CrossRef] [Green Version]
- Hallman, M.; Thor, A. Bone substitutes and growth factors as an alternative/complement to autogenous bone for grafting in implant dentistry. Periodontology 2008, 47, 172–192. [Google Scholar] [CrossRef]
- Sodek, J.; Chen, J.; Nagata, T.; Kasugai, S.; Todescan, R.J.; Li, I.W.; Kim, R.H. Regulation of osteopontin expression in osteoblasts. Ann. N. Y. Acad. Sci. 1995, 760, 223–241. [Google Scholar] [CrossRef]
- Giachelli, C.M.; Schwartz, S.M.; Liaw, L. Molecular and cellular biology of osteopontin: Potential role in cardiovascular disease. Trends. Cardiovasc. Med. 1995, 5, 88–95. [Google Scholar] [CrossRef]
- Araújo, M.G.; Liljenberg, B.; Lindhe, J. Dynamics of bio-oss collagen incorporation in fresh extraction wounds: An experimental study in the dog. Clin. Oral Implants Res. 2010, 21, 55–64. [Google Scholar] [CrossRef] [PubMed]
- Denhardt, D.T.; Noda, M. Osteopontin expression and function: Role in bone remodeling. J. Cell Biochem. Suppl. 1998, 72, 92–102. [Google Scholar] [CrossRef]
- Gharagozlian, S.; Svennevig, K.; Bangstad, H.J.; Winberg, J.O.; Kolset, S.O. Matrix metalloproteinases in subjects with type 1 diabetes. BMC Clin. Pathol. 2009, 9, 7. [Google Scholar] [CrossRef] [Green Version]
- John, A.; Tuszynski, G. The role of matrix metalloproteinases in tumor angiogenesis and tumor metastasis. Pathol. Oncol. Res. 2001, 7, 14–23. [Google Scholar] [CrossRef]
- Page-McCaw, A.; Ewald, A.J.; Werb, Z. Matrix metalloproteinases and the regulation of tissue remodelling. Nat. Rev. Mol. Cell Biol. 2007, 8, 221–233. [Google Scholar] [CrossRef]
- Lieu, S.; Hansen, E.; Dedini, R.; Behonick, D.; Werb, Z.; Miclau, T.; Marcucio, R.; Colnot, C. Impaired remodeling phase of fracture repair in the absence of matrix metalloproteinase-2. Dis. Models Mech. 2011, 4, 203–211. [Google Scholar] [CrossRef] [Green Version]
- Pivodova, V.; Frankova, J.; Ulrichova, J. Osteoblast and gingival fibroblast markers in dental implant studies. Biomed. Pap. Med. Fac. Univ. Palacky Olomouc Czech Repub. 2011, 155, 109–116. [Google Scholar] [CrossRef] [Green Version]
- Colnot, C.; Thompson, Z.; Miclau, T.; Werb, Z.; Helms, J.A. Altered fracture repair in the absence of MMP9. Development 2003, 130, 4123–4133. [Google Scholar] [CrossRef] [PubMed] [Green Version]












| Sample | Designed Composition | Element Mass, g | Process Efficiency, % | Density g/cm3 |
|---|---|---|---|---|
| R5 | Ti20Mo7Zr15Ta | Ti = 31.5; Mo = 7.5; Zr = 3.5; Ta = 7.5 | 99.92 | 7.64 |
| R6 | Ti20Mo7Zr15Ta0.5Si | Ti = 31.25; Mo = 7.5; Zr = 3.5; Ta = 7.5; Si = 0.25 | 98.86 | 7.65 |
| R7 | Ti20Mo7Zr15Ta0.75Si | Ti = 31.13; Mo = 7.5; Zr = 3.5; Ta = 7.5; Si = 0.37 | 98.88 | 7.66 |
| R8 | Ti20Mo7Zr15TaSi | Ti = 31; Mo = 7.5; Zr = 3.5; Ta = 7.5; Si = 0.5 | 99.68 | 7.67 |
| Sample | R5 | R6 | R7 | R8 | |
|---|---|---|---|---|---|
| Average chemical composition | Ti (wt.%) | 58.35 ± 0.1 | 59.25 ± 0.2 | 57.86 ± 0.1 | 57.23 ± 0.1 |
| Mo (wt.%) | 19.00 ± 0.2 | 18.50 ± 0.3 | 19.50 ± 0.1 | 19.83 ± 0.3 | |
| Zr (wt.%) | 8.15 ± 0.1 | 7.00 ± 0.1 | 6.85 ± 0.1 | 6.93 ± 0.1 | |
| Ta (wt.%) | 14.50 ± 0.3 | 14.80 ± 0.1 | 15.04 ± 0.3 | 14.98 ± 0.2 | |
| Si (wt.%) | - | 0.45 ± 0.1 | 0.75 ± 0.1 | 1.03 ± 0.1 | |
| Alloys | Ti20Mo7Zr15Ta | Ti20Mo7Zr15Ta0.5Si | Ti20Mo7Zr15Ta0.75Si | Ti20Mo7Zr15TaSi |
|---|---|---|---|---|
| HV | 305.34 ± 2.5 | 339.24 ± 2.2 | 315.27 ± 2.3 | 274.64 ± 2.9 |
| Sample | Loading Deformation (N) | Release Deformation (μm) | Young Modulus (GPa) | Stiffness (N/μm) | Specimen Poisson Ration |
|---|---|---|---|---|---|
| R5 | 13.521 ± 0.1 | 6.759 ± 0.3 | 53.580 ± 0.3 | 4.531 ± 0.1 | 0.23 0.23 0.23 0.23 |
| R6 | 13.530 ± 0.3 | 6.814 ± 0.2 | 54.256 ±0.4 | 4.641 ± 0.1 | |
| R7 | 13.524 ± 0.2 | 5.992 ± 0.4 | 56.383 ± 0.1 | 4.269 ± 0.1 | |
| R8 | 13.535 ± 0.3 | 6.736 ± 0.3 | 63.882 ± 0.2 | 5.643 ± 0.2 |
Publisher’s Note: MDPI stays neutral with regard to jurisdictional claims in published maps and institutional affiliations. |
© 2021 by the authors. Licensee MDPI, Basel, Switzerland. This article is an open access article distributed under the terms and conditions of the Creative Commons Attribution (CC BY) license (https://creativecommons.org/licenses/by/4.0/).
Share and Cite
Spataru, M.-C.; Cojocaru, F.D.; Sandu, A.V.; Solcan, C.; Duceac, I.A.; Baltatu, M.S.; Voiculescu, I.; Geanta, V.; Vizureanu, P. Assessment of the Effects of Si Addition to a New TiMoZrTa System. Materials 2021, 14, 7610. https://doi.org/10.3390/ma14247610
Spataru M-C, Cojocaru FD, Sandu AV, Solcan C, Duceac IA, Baltatu MS, Voiculescu I, Geanta V, Vizureanu P. Assessment of the Effects of Si Addition to a New TiMoZrTa System. Materials. 2021; 14(24):7610. https://doi.org/10.3390/ma14247610
Chicago/Turabian StyleSpataru, Mihaela-Claudia, Florina Daniela Cojocaru, Andrei Victor Sandu, Carmen Solcan, Ioana Alexandra Duceac, Madalina Simona Baltatu, Ionelia Voiculescu, Victor Geanta, and Petrica Vizureanu. 2021. "Assessment of the Effects of Si Addition to a New TiMoZrTa System" Materials 14, no. 24: 7610. https://doi.org/10.3390/ma14247610
APA StyleSpataru, M.-C., Cojocaru, F. D., Sandu, A. V., Solcan, C., Duceac, I. A., Baltatu, M. S., Voiculescu, I., Geanta, V., & Vizureanu, P. (2021). Assessment of the Effects of Si Addition to a New TiMoZrTa System. Materials, 14(24), 7610. https://doi.org/10.3390/ma14247610

