The Friction of Structurally Modified Isotactic Polypropylene
Abstract
:1. Introduction
2. Materials and Methods
2.1. Plan of Experiments
2.2. Materials
2.3. Samples Preparation
2.4. Polarized Microscopic Observation
2.5. Differential Scanning Calorimetry
2.6. Wide Angle X-Ray Scattering
2.7. Hardness Test
2.8. Tribological Tests
2.9. Surface Morphology and Topography Tests
2.10. Confocal Microscopy
3. Results and Discussion
3.1. Spherulitical Morphology
3.2. Melting and Crystallization Temperature by DSC
3.3. The Polymorphic Crystalline Structure by WAXS
3.4. Hardness Measurements
3.5. Evaluation of Tribological Properties
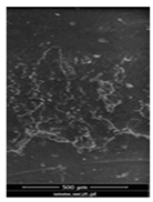
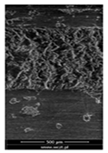
3.6. Scanning Electron Microscopy and Confocal Microscopy Observation of Friction Area
4. Conclusions
- By selective modification of iPP with gradually varying content of α and β nucleating agents samples with various content of hexagonal β phase may be produced.
- The specific structure creation in an isotactic polypropylene is followed by changes of the mechanical properties, where usually higher hardness for α—modified samples may be observed.
- By higher mold temperature, resulting in a lower cooling rate, thus by more nucleation induced structures of iPP, somehow higher values of COF were noted.
- Regarding the geometrical profile of the patch tracks, as observed by confocal microscopy, the height of friction induced scratches is related to the heterogeneous nucleation modified structure of iPP.
- The width of the tracks, due to the friction provoked plastic deformation of the modified iPP, appears to be dependent on the heterogeneous nucleation induced structure.
Author Contributions
Funding
Informed Consent Statement
Data Availability Statement
Acknowledgments
Conflicts of Interest
References
- Theiler, G.; Gradt, T. Influence of counterface and environment on the tribological behaviour of polymer materials. Polym. Test. 2021, 93, 106912. [Google Scholar] [CrossRef]
- Walczak, M.; Caban, J. Tribological characteristics of polymer materials used for slide bearings. Open Eng. 2021, 11, 624–629. [Google Scholar] [CrossRef]
- Dong, Z.; Chen, B.; Zhang, M.; Li, J.; Wang, S. One-step preparation of carbon fiber-ZrO2 hybrid and its enhancement on the wear-resistant properties of polyimide. Polym. Compos. 2021, 42, 2598–2607. [Google Scholar] [CrossRef]
- Hu, C.; Qi, H.; Yu, J.; Zhang, G.; Zhang, Y.; He, H. Significant improvement on tribological performance of polyimide composites by tuning the tribofilm nanostructures. J. Mater. Process. Technol. 2020, 281, 116602. [Google Scholar] [CrossRef]
- Wu, Y.; Dong, C.; Yuan, C.; Bai, X.; Zhang, L.; Tian, Y. MWCNTs filled high-density polyethylene composites to improve tribological performance. Wear 2021, 477, 203776. [Google Scholar] [CrossRef]
- Baduruthamal, Z.A.; Mohammed, A.S.; Madhan Kumar, A.; Hussein, M.A.; Al-Aqeeli, N. Tribological and electrochemical characterization of UHMWPE hybrid nanocomposite coating for biomedical applications. Materials 2019, 12, 3665. [Google Scholar] [CrossRef] [Green Version]
- Aliyu, I.K.; Mohammed, A.S.; Al-Qutub, A. Tribological performance of ultra high molecular weight polyethylene nanocomposites reinforced with graphene nanoplatelets. Polym. Compos. 2019, 40, E1301–E1311. [Google Scholar] [CrossRef]
- Bashandeh, K.; Tsigkis, V.; Lan, P.; Polycarpou, A.A. Extreme environment tribological study of advanced bearing polymers for space applications. Tribol. Int. 2021, 153, 106634. [Google Scholar] [CrossRef]
- Pelto, J.; Heino, V.; Karttunen, M.; Rytöluoto, I.; Ronkainen, H. Tribological performance of high density polyethylene (HDPE) composites with low nanofiller loading. Wear 2020, 460–461, 203451. [Google Scholar] [CrossRef]
- Bashandeh, K.; Lan, P.; Polycarpou, A.A. Tribological Performance Improvement of Polyamide against Steel Using Polymer Coating. Tribol. Trans. 2019, 62, 1051–1062. [Google Scholar] [CrossRef]
- Mahmoud, M.M.; Ali, W.Y. Abrasion resistance of blended polymers filled with metallic powders. Mat. Wiss. Werkstofftech. 2017, 48, 731–736. [Google Scholar] [CrossRef]
- Mudradi, S. Dry Sliding Wear Behavior of Cast Iron Powder Filled Epoxy Composite. AIP Conf. Proc. 2019, 2080, 020020. [Google Scholar]
- Xiong, X.; Ma, L.; Zhang, Z.; Yang, H. Mechanical, morphology, crystallization and melting behavior of polypropylene composites reinforced by non-metals recycled from waste printed circuit boards. Plast. Rubber Compos. 2021, 50, 162–171. [Google Scholar] [CrossRef]
- Lin, T.A.; Lin, J.-H.; Bao, L. Polypropylene/thermoplastic polyurethane blends: Mechanical characterizations, recyclability and sustainable development of thermoplastic materials. J. Mater. Res. Technol. 2020, 9, 5304–5312. [Google Scholar] [CrossRef]
- Hanna, E.G. Recycling of waste mixed plastics blends (PE/PP). J. Eng. Sci. Technol. Rev. 2019, 12, 87–92. [Google Scholar] [CrossRef]
- Bispo, S.J.L.; Freire Júnior, R.C.S.; Barbosa, J.F.; Silva, C.C.D.; Cöuras Ford, E.T.L. Recycling of polypropylene and curaua fiber-based ecocomposites: Effect of reprocessing on mechanical properties. J. Strain Anal. Eng. Des. 2021, 5, 1–9. [Google Scholar] [CrossRef]
- Luna, C.B.B.; Siqueira, D.D.; Ferreira, E.S.B.; da Silva, W.A.; Nogueira, J.A.S.; Araújo, E.M. From disposal to technological potential: Reuse of polypropylene waste from industrial containers as a polystyrene impact modifier. Sustainability 2020, 12, 5272. [Google Scholar] [CrossRef]
- Beck, H.N. Heterogeneous nucleating agents for polypropylene crystallization. J. Appl. Polym. Sci. 1967, 11, 673–685. [Google Scholar] [CrossRef]
- Binsbergen, F.L. Heterogeneous nucleation in the crystallization of polyolefins: Part 1. Chemical and physical nature of nucleating agents. Polymer 1970, 11, 117–135. [Google Scholar] [CrossRef]
- Binsbergen, F.L. Heterogeneous nucleation in the crystallization of polyolefins. III. Theory and mechanism. Polymer 1970, 11, 253–267. [Google Scholar] [CrossRef]
- Wittmann, J.C.; Lotz, B. Epitaxial crystallization of polyethylene on organic substrates: A reappraisal of the mode of action of selected nucleating agents. J. Polym. Sci. Polym. Phys. Ed. 1981, 19, 1837–1851. [Google Scholar] [CrossRef]
- Wittmann, J.C.; Lotz, B. Epitaxial crystallization of polymers on organic and polymeric substrates. Polym. Sci. 1990, 15, 909–948. [Google Scholar] [CrossRef]
- Lovinger, A.J.; Chua, J.O.; Gryte, C.C. Studies on the α and β forms of isotactic polypropylene by crystallisation in a temperature gradient. J. Polym. Sci. Polym. Phys. Part B 1977, 15, 641–656. [Google Scholar] [CrossRef]
- Lotz, B. α and β phases of isotactic polypropylene: A case of growth kinetics ‘phase reentrency’ in polymer crystallization. Polymer 1998, 39, 4561–4567. [Google Scholar] [CrossRef]
- Horváth, Z.; Menyhárd, A.; Doshev, P.; Gahleitner, M.; Friel, D.; Varga, J.; Pukánszky, B. Improvement of the impact strength of ethylene-propylene random copolymers by nucleation. J. Appl. Polym. Sci. 2016, 133, 43823. [Google Scholar] [CrossRef] [Green Version]
- Sterzynski, T. Nucleaton by Additives in Semi-Crystalline Polymers: Effects on Mechanical Behavior. In Perfomance Of Plastics; Brostow, W., Ed.; Hanser Publishers: Munich, Germany, 2002. [Google Scholar]
- Menczel, J.; Varga, J. Influence of nucleating agents on crystallization of polypropylene. J. Therm. Anal. 1983, 28, 161–174. [Google Scholar] [CrossRef]
- Garbarczyk, J.; Paukszta, D. Influence of additives on the structure and properties of polymers. Colloid Polym. Sci. 1985, 263, 985–990. [Google Scholar] [CrossRef]
- Garbarczyk, J.; Sterzynski, T.; Paukszta, D. Influence of additives on the structure and properties of polymers. 4. Study of phase transition in isotactic polypropylene by synchrotron radiation. Polym. Commun. 1989, 30, 153–157. [Google Scholar]
- Gahleitner, M.; Grein, C.; Kheirandish, S.; Wolfschwenger, J. Nucleation of Polypropylene Homo- and Copolymers. Int. Polym. Process. 2011, 26, 2–20. [Google Scholar] [CrossRef]
- Varga, J. β-modification of isotactic polypropylene: Preparation, structure, processing, properties, and application. J. Macromol. Sci. Part B 2002, 41, 1121–1171. [Google Scholar] [CrossRef]
- Schlarb, A.K.; Suwitaningsih, D.N.; Kopnarski, M.; Niedner-Schatteburg, G. Supermolecular morphology of polypropylene filled with nanosized silica. J. Appl. Polym. Sci. 2014, 131, 39655. [Google Scholar] [CrossRef]
- Mileva, D.; Androsch, R.; Zhuravlev, E.; Schick, C.; Wunderlich, B. Homogeneous nucleation and mesophase formation in glassy isotactic polypropylene. Polymer 2012, 53, 277–282. [Google Scholar] [CrossRef]
- Garbarczyk, J.; Paukszta, D. Influence of additives on the structure and properties of polymers: 2. Polymorphic transitions of isotactic polypropylene caused by aminosulphur compounds. Polymer 1981, 22, 562–564. [Google Scholar] [CrossRef]
- Nowicki, M. Nano mechanical Analysis of Nucleation Modified isotactic Polypropylene. Macromol. Symp. 2018, 378, 1600175. [Google Scholar] [CrossRef]
- Labour, T.; Ferry, L.; Hajji, P.; Vigier, G. α- and β-crystalline forms of isotactic polypropylene investigated by nanoindentation. J. Appl. Polym. Sci. 1999, 74, 195–200. [Google Scholar] [CrossRef]
- Tranchida, D.; Kandioller, G.; Schwarz, P.; Schaffer, W.; Gahleitner, M. Novel characterization of the β → α crystalline phase transition of isotactic polypropylene through high-temperature atomic force microscopy imaging and nanoindentation. Polym. Cryst. 2020, 3, 610140. [Google Scholar] [CrossRef]
- Sterzynski, T.; Lambla, M.; Crozier, H.; Thomas, M. Structure and properties of nucleated random and block copolymer of propylene. Adv. Polym. Technol. 1994, 13, 25–36. [Google Scholar] [CrossRef]
- Sowinski, P.; Piorkowska, E.; Boyer SA, E.; Haudin, J.M. High-Pressure Crystallization of iPP Nucleated with 1,3:2,4-bis(3,4-dimethylbenzylidene)sorbitol. Polymers 2021, 13, 145. [Google Scholar] [CrossRef]
- Sowinski, P.; Piorkowska, E.; Boyer, S.A.E.; Haudin, J.M.; Zapala, K. The role of nucleating agents in high-pressure-induced gamma crystallization in isotactic polypropylene. Colloid Polym. Sci. 2015, 293, 665–675. [Google Scholar] [CrossRef]
- Caom, Y.; Van Horn, R.M.; Tsai, C.-C.; Graham, M.J.; Jeong, K.; Wang, B.; Auriemma, F.; Rosa, C.; Lotz, B.; Cheng, S.Z.D. Epitaxially Dominated Crystalline Morphologies of the γ-Phase in Isotactic Polypropylene. Macromolecules 2009, 42, 4758–4768. [Google Scholar]
- Campus, A.; Lafin, B.; Sterzynski, T. Structure-Morphology Modification of Cable Insulation Polymers. In Proceedings of the 1998 IEEE 6th International Conference on Conduction and Breakdown in Solid Dielectrics, Vasteras, Sweden, 22–25 June 1998; Institute of Electrical and Electronics Engineers: Piscataway, NJ, USA, 1998; pp. 357–360. [Google Scholar]
- Romankiewicz, A.; Sterzynski, T.; Brostow, W. Structural characterization of α and β nucleated isotactic polypropylene. Polym. Int. 2004, 53, 2086–2091. [Google Scholar] [CrossRef]
- Sterzynski, T.; Oeaysed, H. Structure modification of isotactic polypropylene by bi-component nucleating system. Polym. Eng. Sci. 2004, 44, 352–361. [Google Scholar] [CrossRef]
- Wang, S.-W.; Leng, Y.-T.; Jiang, J.; Zheng, G.-Q.; Li, Q. Competition between α and β Crystallization in Isotactic Polypropylene: Effect of Nucleating Agents Composition. Int. Polym. Process. 2015, 30, 344–349. [Google Scholar] [CrossRef]
- Tjong, S.C.; Shen, J.S.; Li, R.K.Y. Morphological behaviour and instrumented dart impact properties of β-crystalline-phase polypropylene. Polymer 1996, 37, 2309–2316. [Google Scholar] [CrossRef]
- Li, J.X.; Wl, C. Conversion of growth and recrystallisation of β-phase in doped iPP. Polymer 1999, 40, 2085–2088. [Google Scholar] [CrossRef]
- Dou, Q. Effect of the composition ratio of pimelic acid/calcium stearate bicomponent nucleator and crystallisation temperature on the production of β crystal form in isotactic polypropylene. J. Appl. Polym. Sci. 2008, 107, 958–965. [Google Scholar] [CrossRef]
- Broda, J.; Baczek, M.; Fabia, J.; Binias, D.; Fryczkowski, R. Nucleating agents based on graphene and graphene oxide for crystallization of the β-form of isotactic polypropylene. J. Mater. Sci. 2020, 55, 1436–1450. [Google Scholar] [CrossRef] [Green Version]
- Sterzynski, T.; Lambla, M.; Georgi, F.; Thomas, M. Studies of the Trans-Quinacridone Nucleation of Poly-(ethylene-b-propylene): Dedicated to the memory of Prof. Morand Lambla. Int. Polym. Process. 1997, 12, 64–71. [Google Scholar] [CrossRef]
- Thomas, M. Etude de la Nucleation des (Co)Polymers du Propylene. Ph.D. Thesis, Universite Louis Pasteur Strasbourg I, ULP Strasbourg, France, 1993. [Google Scholar]
- Varga, J. Crystallisation, Melting and Supermolecular Structure of Isotactic Polypropylene. In Polypropylene Structure Blends and Composites; Springer: Dordrecht, The Netherlands, 1995; pp. 56–115. [Google Scholar]
- Varga, J. β-Modification of polypropylene and its two-component systems. J. Therm. Anal. 1989, 35, 1891–1912. [Google Scholar] [CrossRef]
- Turner Jones, A.; Aizlewood, J.M.; Beckett, D.R. Crystalline forms of isotactic polypropylene. Makromol. Chem. 1964, 75, 134–158. [Google Scholar] [CrossRef]
- Czapczyk, K.; Zawadzki, P.; Wierzbicka, N.; Talar, R. Microstructure and Properties of Electroless Ni-P/Si3 N4 Nanocomposite Coatings Deposited on the AW-7075 Aluminum Alloy. Materials 2021, 14, 4487. [Google Scholar] [CrossRef]
- Cho, D.H.; Bhushan, B.; Dyess, J. Mechanisms of static and kinetic friction of polypropylene, polyethylene terephthalate, and high-density polyethylene pairs during sliding. Tribol. Int. 2016, 94, 164–175. [Google Scholar] [CrossRef]
- Cho, D.H.; Bhushan, B. Nanofriction and nanowear of polypropylene, polyethylene terephthalate, and high-density polyethylene during sliding. Wear 2016, 352–353, 18–23. [Google Scholar] [CrossRef]
- Whitehouse, D. Surfaces and their Measurement, 1st ed.; Butterworth-Heinemann: Oxford, UK, 2004. [Google Scholar]
- Garbarczyk, J.; Paukszta, D.; Borysiak, S. Polymorphism of isotactic polypropylene in presence of additives, in blends and in composites. J. Macromol. Sci. Part B 2002, 41, 4–6. [Google Scholar] [CrossRef]
- Rhoades, M.; Wonderling, N.; Gohn, A.; Williams, J.; Mileva, D.; Gahleitner, M.; Androsch, R. Effect of cooling rate on crystal polymorphism in beta-nucleated isotactic polypropylene as revealed by a combined WAXS/FSC analysis. Polymer 2016, 90, 67–75. [Google Scholar] [CrossRef]
- Aboulfaraj, M.; G’Sell, C.; Ulrich, B.; Dahoun, A. In situ observation of the plastic deformation of polypropylene spherulites under uniaxial tension and simple shear in the scanning electron microscope. Polymer 1995, 36, 731–742. [Google Scholar] [CrossRef]
- Ariharan, A.; Maurya, R.; Sharma, R.K.; Sharma, V.K.; Lohia, S.; Balani, K. Damage mechanics of polypropylene-based composites using progressive- and constant-load scratching. Polym. Compos. 2020, 41, 3830–3841. [Google Scholar]
- Savas, S.; Uvez, H. Structure and resultant mechanical and tribological performance of PP/PLA/carbon fiber/ethylene-butyl acrylate composites. J. Compos. Mater. 2018, 53, 1299–1317. [Google Scholar] [CrossRef]
- Bahadur, S. Development of transfer layers and their role in polymer tribology. Wear 2000, 245, 92–99. [Google Scholar] [CrossRef]








| Specific Property | Monoclinic iPP α | Pseudohexagonal iPP β |
|---|---|---|
| Tensile modulus of elasticity | HIGH | LOW |
| Tensile elongation at break | LOW | HIGH |
| Impact resistance | LOW | HIGH |
| Optical transparency | HIGH | LOW |
| Notation | Total Concentration of Additives [wt.%] | Content of NA [wt.%] | |
|---|---|---|---|
| DMDBS | PACS | ||
| PP 20 | 0 | - | - |
| DMDBS20 | 0.2 | 0.2 | - |
| 3 D1 P20 | 0.2 | 0.15 | 0.05 |
| 1 D1 P20 | 0.2 | 0.1 | 0.1 |
| 1 D3 P20 | 0.2 | 0.05 | 0.15 |
| PACS20 | 0.2 | - | 0.2 |
| PP70 | 0 | - | - |
| DMDBS70 | 0.2 | 0.2 | - |
| 3 D1 P70 | 0.2 | 0.15 | 0.05 |
| 1 D1 P70 | 0.2 | 0.1 | 0.1 |
| 1 D3 P70 | 0.2 | 0.05 | 0.15 |
| PACS70 | 0.2 | - | 0.2 |
| Samples | Crystallization Temperature | Melting |
|---|---|---|
| PP20 | 116 | 148.1/164.1 |
| DMDBS 20 | 128.4 | -/164.8 |
| 3 D1 P20 | 128.4 | -/164.6 |
| 1 D1 P 20 | 123.3 | 150.7/164.5 |
| 1 D3 P20 | 123.7 | 150.8/167.5 |
| PACS20 | 123.9 | 151.0/168.4 |
| PP70 | 116.3 | 148.0/163.7 |
| DMDBS70 | 128.2 | -/165.0 |
| 3 D1 P70 | 128.4 | -/164.4 |
| 1 D1 P70 | 123.5 | 150.6/163.1 |
| 1 D3 P70 | 123.5 | 151.1/167.6 |
| PACS70 | 123.8 | 151.0/167.6 |
| Samples | Scanning Electron Microscopy | Confocal Microscopy | |
|---|---|---|---|
| PP20 | ![]() | ![]() | ![]() |
| PP70 | ![]() | ![]() | ![]() |
| PP + PACS20 | ![]() | ![]() | ![]() |
| PP + PACS70 | ![]() | ![]() | ![]() |
| PP + DMDBS20 | ![]() | ![]() | ![]() |
| PP + DMDBS70 | ![]() | ![]() | ![]() |
| PP 1 D1 P20 | ![]() | ![]() | ![]() |
| PP 1 D3 P20 | ![]() | ![]() | ![]() |
| PP 3 D1 P20 | ![]() | ![]() | ![]() |
| Sample | Sq1 [µm] | Sq2 [µm] | ΔSq |
|---|---|---|---|
| PP20 | 2.03 | 1.83 | −0.2 |
| PP70 | 0.54 | 1.75 | 1.21 |
| PACS20 | 0.73 | 2.18 | 1.45 |
| PACS70 | 1.81 | 5.78 | 3.97 |
| DMBDS20 | 1.71 | 3.64 | 1.92 |
| DMBDS70 | 0.53 | 4.48 | 3.95 |
| 1 D1 P20 | 0.80 | 7.19 | 6.38 |
| 1 D3 P20 | 0.72 | 5.28 | 4.56 |
| 3 D1 P20 | 0.80 | 7.19 | 6.38 |
Publisher’s Note: MDPI stays neutral with regard to jurisdictional claims in published maps and institutional affiliations. |
© 2021 by the authors. Licensee MDPI, Basel, Switzerland. This article is an open access article distributed under the terms and conditions of the Creative Commons Attribution (CC BY) license (https://creativecommons.org/licenses/by/4.0/).
Share and Cite
Wierzbicka, N.; Sterzyński, T.; Nowicki, M. The Friction of Structurally Modified Isotactic Polypropylene. Materials 2021, 14, 7462. https://doi.org/10.3390/ma14237462
Wierzbicka N, Sterzyński T, Nowicki M. The Friction of Structurally Modified Isotactic Polypropylene. Materials. 2021; 14(23):7462. https://doi.org/10.3390/ma14237462
Chicago/Turabian StyleWierzbicka, Natalia, Tomasz Sterzyński, and Marek Nowicki. 2021. "The Friction of Structurally Modified Isotactic Polypropylene" Materials 14, no. 23: 7462. https://doi.org/10.3390/ma14237462
APA StyleWierzbicka, N., Sterzyński, T., & Nowicki, M. (2021). The Friction of Structurally Modified Isotactic Polypropylene. Materials, 14(23), 7462. https://doi.org/10.3390/ma14237462




























