Novel Mg-0.5Ca-xMn Biodegradable Alloys Intended for Orthopedic Application: An In Vitro and In Vivo Study
Abstract
:1. Introduction
2. Materials and Methods
2.1. Elaboration of the Mg-Ca-Mn Alloys and Microstructural Analysis
2.2. In Vitro Cytocompatibility Study
2.2.1. Cell Culture
2.2.2. Cell Viability
2.2.3. Cell Morphology
2.3. In Vivo Animal Study
3. Results and Discussion
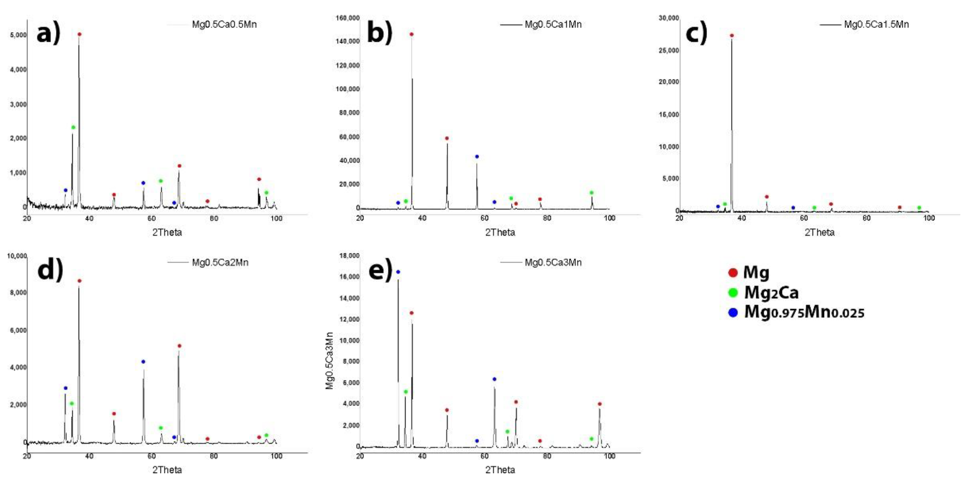
3.1. Microstructural Characterization
3.2. Cell Viability
3.3. Cell Morphology
3.4. In Vivo Clinical Results
3.5. Imagistic Interpertation
3.6. Histological Analysis
3.7. Scanning Electron Microscopy for the In Vivo Analysis
4. Conclusions
Author Contributions
Funding
Institutional Review Board Statement
Informed Consent Statement
Data Availability Statement
Acknowledgments
Conflicts of Interest
References
- Yang, L.; Ma, L.; Huang, Y.; Feyerabend, F.; Blawert, C.; Höche, D.; Willumeit-Römer, R.; Zhang, E.; Kainer, K.U.; Hort, N. Influence of Dy in solid solution on the degradation behavior of binary Mg-Dy alloys in cell culture medium. Mater. Sci. Eng. C 2017, 75, 1351–1358. [Google Scholar] [CrossRef]
- Antoniac, I.; Adam, R.; Bita, A.; Miculescu, M.; Trante, O.; Petrescu, I.M.; Pogarasteanu, M. Comparative Assessment of In Vitro and In Vivo Biodegradation of Mg-1Ca Magnesium Alloys for Orthopedic Applications. Materials 2021, 14, 84. [Google Scholar] [CrossRef]
- Cao, F.; Shi, Z.; Song, G.-L.; Liu, M.; Dargusch, M.S.; Atrens, A. Influence of hot rolling on the corrosion behavior of several Mg–X alloys. Corros. Sci. 2015, 90, 176–191. [Google Scholar] [CrossRef]
- Bahmani, A.; Arthanari, S.; Shin, K.S. Improved corrosion resistant and strength of a magnesium alloy using multi-directional forging (MDF). Int. J. Adv. Manuf. Technol. 2019, 105, 785–797. [Google Scholar] [CrossRef]
- Haynes, W.M. Properties of the Elements and Inorganic Compounds. CRC Handb. Phys. 2014, 4, 145. [Google Scholar]
- Shi, Y.; Qi, M.; Chen, Y.; Shi, P. MAO-DCPD composite coating on Mg alloy for degradable implant applications. Mater. Lett. 2011, 65, 2201–2204. [Google Scholar] [CrossRef]
- Baltatu, M.S.; Vizureanu, P.; Balan, T.; Lohan, M.; Tugui, C.A. Preliminary Tests for Ti-Mo-Zr-Ta Alloys as Potential Biomaterials. IOP Conf. Ser. Mater. Sci. Eng. 2018, 374, 12023. [Google Scholar] [CrossRef]
- Minciuna, M.G.; Vizureanu, P.; Achitei, D.C.; Sandu, A.V. The advanced characterization of a new alloy by Co-Cr-Mo system. J. Optoelectron. Adv. Mater. 2016, 18, 717–722. [Google Scholar]
- Baltatu, M.S.; Vizureanu, P.; Goanţă, V.; Tugui, C.A.; Voiculescu, I. Mechanical tests for Ti-based alloys as new medical materials. IOP Conf. Ser. Mater. Sci. Eng. 2019, 572, 012029. [Google Scholar] [CrossRef] [Green Version]
- Song, G.L. Control of biodegradation of biocompatible magnesium alloys. Corros. Sci. 2007, 49, 1696–1701. [Google Scholar] [CrossRef]
- Sun, Y.; Zhang, B.; Wang, Y.; Geng, L.; Jiao, X. Preparation and characterization of a new biomedical Mg-Zn-Ca alloy. Mater. Des. 2012, 34, 58–64. [Google Scholar] [CrossRef]
- Sugimoto, T.; Kanatani, M.; Kano, J.; Kobayashi, T.; Yamaguchi, T.; Fukase, M.; Chihara, K. IGF-I mediates the stimulatory effect of high-calcium concentration on osteoblastic cell-proliferation. Am. J. Physiol. 1994, 266, E709–E716. [Google Scholar]
- Blajan, A.I.; Miculescu, F.; Ciucă, I.; Cotruț, M.C.; Semenescu, A.; Antoniac, I.V. Effect of Calcium Content on the Microstructure and Degradation of Mg-Ca Binary Alloys Potentially Used as Orthopedic Biomaterials. KEM 2015, 638, 104–108. [Google Scholar] [CrossRef]
- Bita, A.I.; Antoniac, I.; Ciuca, I. Potential use of Mg-Ca alloys for orthopedic applications. Univ. Politeh. Buchar. Sci. Bull. Ser. B-Chem. Mater. Sci. 2016, 78, 173–184. [Google Scholar]
- Bakhsheshi-Rad, H.R.; Idris, M.H.; Kadir, M.R.A.; Farahany, S. Microstructure analysis and corrosion behavior of biodegradable Mg-Ca implant alloys. Mater. Des. 2012, 33, 88–97. [Google Scholar]
- Avedesian, M.M.; Baker, H. ASM Specialty Handbook: Magnesium and Magnesium Alloys; ASM International: Almere, The Netherlands, 1999; Volume 274. [Google Scholar]
- Helsen, J.A.; Breme, H.J. Metals as Biomaterials; John Wiley & Sons: Hoboken, NJ, USA, 1998. [Google Scholar]
- Khan, S.A.; Miyashita, Y.; Mutoh, Y. Influence of Mn content on mechanical properties and fatigue behavior of extruded Mg alloys. Mater. Sci. Eng. A 2006, 420, 315–321. [Google Scholar] [CrossRef]
- Witte, F.; Hort, N. Degradable biomaterials based on magnesium corrosion. Curr. Opin. Solid State Mater. Sci. 2008, 12, 63–72. [Google Scholar] [CrossRef] [Green Version]
- Abdiyan, F.; Mahmudi, R.; Ghasemi, H.M. Effect of Mn addition on the microstructure, mechanical properties and corrosion resistance of a biodegradable Mg–Gd–Zn alloy. Mater. Chem. Phys. 2021, 271, 124878. [Google Scholar] [CrossRef]
- Zhao, D.; Wang, T.; Nahan, K.; Guo, X.; Zhang, Z.; Dong, Z.; Chen, S.; Chou, D.T.; Hong, D.; Kumta, P.N.; et al. In vivo characterization of magnesium alloy biodegradation using electrochemical H2 monitoring, ICP-MS, and XPS. Acta Biomater. 2017, 50, 556–565. [Google Scholar] [CrossRef]
- Zhen, Z.; Xi, T.; Zheng, Y.; Li, L.; Li, L. In Vitro Study on Mg-Sn-Mn Alloy as Biodegradable Metals. J. Mater. Sci. Technol. 2014, 30, 675–685. [Google Scholar] [CrossRef]
- Master Alloys Supplier Website. Available online: http://www.hbnewmaterial.com/supplier-129192-master-alloy (accessed on 15 June 2020).
- Lupescu, S.; Istrate, B.; Munteanu, C.; Minciuna, M.G.; Focsaneanu, S.; Earar, K. Characterization of Some Master Mg-X System (Ca, Mn, Zr, Y) Alloys Used in Medical Applications. Rev. Chim. 2017, 68, 1408–1413. [Google Scholar] [CrossRef]
- Istrate, B.; Munteanu, C.; Cimpoesu, R.; Cimpoesu, N.; Popescu, O.D.; Vlad, M.D. Microstructural, Electrochemical and In Vitro Analysis of Mg-0.5Ca-xGd Biodegradable Alloys. Appl. Sci. 2021, 11, 981. [Google Scholar] [CrossRef]
- Mosmann, T. Rapid colorimetric assay for cellular growth and survival: Application to proliferation and cytotoxicity assays. J. Immunol. Methods 1983, 65, 55–63. [Google Scholar] [CrossRef]
- Vlad, M.D.; Valle, L.J.; Poeată, I.; Barracó, M.; López, J.; Torres, R.; Fernández, E. Injectable iron-modified apatitic bone cement intended for kyphoplasty: Cytocompatibility study. J. Mater. Sci. Mater. Med. 2008, 19, 3575–3583. [Google Scholar] [CrossRef]
- Vlad, M.D.; Valle, L.J.; Poeată, I.; López, J.; Torres, R.; Barracó, M.; Fernández, E. Biphasic calcium sulfate dihydrate/iron-modified alpha-tricalcium phosphate bone cement for spinal applications: In vitro study. Biomed. Mater. 2010, 5, 025006. [Google Scholar] [CrossRef] [PubMed]
- Sindilar, E.-V.; Munteanu, C.; Pasca, S.A.; Mihai, I.; Henea, M.E.; Istrate, B. Long Term Evaluation of Biodegradation and Biocompatibility In-Vivo the Mg-0.5Ca-xZr Alloys in Rats. Crystals 2021, 11, 54. [Google Scholar] [CrossRef]
- Yang, L.; Hort, N.; Laipple, D.; Höche, D.; Huang, Y.; Kainer, K.U.; Willumeit, R.; Feyerabend, F. Element distribution in the corrosion layer and cytotoxicity of alloy Mg–10Dy during in vitro biodegradation. Acta Biomater. 2013, 9, 8475–8487. [Google Scholar] [CrossRef] [Green Version]
- Oprisan, B.; Vasincu, D.; Lupescu, S.; Munteanu, C.; Istrate, B.; Popescu, D.; Condratovici, C.P.; Dimofte, A.R.; Earar, K. Electrochemical analysis of some biodegradable Mg-Ca-Mn alloys. Rev. Chim. 2019, 70, 4525–4530. [Google Scholar]
- Li, Z.; Sun, S.; Chen, M.; Fahlman, B.D.; Liu, D.; Bi, H. In vitro and in vivo corrosion, mechanical properties and biocompatibility evaluation of MgF2-coated Mg-Zn-Zr alloy as cancellous screws. Mater. Sci. Eng. C 2017, 75, 1268–1280. [Google Scholar] [CrossRef]
- Esmaily, M.; Svensson, J.E.; Fajardo, S.; Birbilis, N.; Frankel, G.S.; Virtanen, S.; Arrabal, R.; Thomas, S.; Johansson, L.G. Fundamentals and advances in magnesium alloy corrosion. Prog. Mater. Sci. 2017, 89, 92–193. [Google Scholar] [CrossRef]
- Gilles, R.; Belkhir, M.; Compere, P.; Libioulle, C.; Thiry, M. Effect of high osmolarity acclimation on tolerance to hyperosmotic shocks in L929 cultured cells. Tissue Cell 1995, 27, 679–687. [Google Scholar] [CrossRef]
- ISO 10993-5:2009-Biological Evaluation of Medical Devices-Part 5: Tests for In Vitro Cytotoxicity. Available online: http://nhiso.com/wp-content/uploads/2018/05/ISO-10993-5-2009.pdf (accessed on 25 June 2021).
- Atrens, A.; Johnston, S.; Shi, Z.; Dargusch, M.S. Viewpoint—Understanding Mg corrosion in the body for biodegradable medical implants. Scr. Mater. 2018, 154, 92–100. [Google Scholar] [CrossRef]
- Mbele, G.O.; Deloulme, J.C.; Gentil, B.J.; Delphin, C.; Ferro, M.; Garin, J.; Takahashi, M.; Baudier, J. The zinc and calcium-binding S100B interacts and co-localizes with IQGAP1 during dynamic rearrangement of cell membranes. J. Biol. Chem. 2002, 277, 49998–50007. [Google Scholar] [CrossRef] [PubMed] [Green Version]













| Specimens | Chemical Composition | Mg [g] | Mg–15Ca [g] | Mg–3Mn [g] |
|---|---|---|---|---|
| MgCa0.5Mn/M1 | Mg0.5%Ca0.5%Mn | 18.40 | 0.77 | 3.83 |
| MgCa1Mn/M2 | Mg0.5%Ca1%Mn | 14.56 | 0.77 | 7.67 |
| MgCa1.5Mn/M3 | Mg0.5%Ca1.5%Mn | 10.73 | 0.77 | 11.50 |
| MgCa2Mn/M4 | Mg0.5%Ca2%Mn | 6.9 | 0.77 | 15.33 |
| MgCa3Mn/M5 | Mg0.5%Ca3%Mn | - | 0.77 | 22.23 |
| Chemical Composition | wt.% Mg | wt.% Ca | wt.% Mn |
|---|---|---|---|
| Mg0.5%Ca0.5%Mn | 98.89 | 0.56 | 0.55 |
| Mg0.5%Ca1%Mn | 98.18 | 0.83 | 0.98 |
| Mg0.5%Ca1.5%Mn | 97.87 | 0.51 | 1.62 |
| Mg0.5%Ca2%Mn | 97.54 | 0.61 | 1.85 |
| Mg0.5%Ca3%Mn | 96.90 | 0.51 | 2.59 |
| Alloys | Average Grains Size [µm] |
|---|---|
| Mg0.5%Ca0.5%Mn | 198 ± 56 |
| Mg0.5%Ca1%Mn | 148 ± 15 |
| Mg0.5%Ca1.5%Mn | 140 ± 36 |
| Mg0.5%Ca2%Mn | 118 ± 31 |
| Mg0.5%Ca3%Mn | 79 ± 24 |
| The Lumbar Region | The Femoral Region | |||||||||
|---|---|---|---|---|---|---|---|---|---|---|
| Alloys | 1 day | 7 days | 14 days | 30 days | 60 days | 1 day | 7 days | 14 days | 30 days | 60 days |
| M1 | M | S | S | A | A | M | S | S | A | A |
| M2 | M | M | S | S | A | M | M | S | S | A |
| M3 | L | M | S | A | A | M | S | S | A | A |
| M4 | M | S | M | S | A | L | M | S | S | A |
| M5 | M | S | M | A | A | L | M | M | S | A |
Publisher’s Note: MDPI stays neutral with regard to jurisdictional claims in published maps and institutional affiliations. |
© 2021 by the authors. Licensee MDPI, Basel, Switzerland. This article is an open access article distributed under the terms and conditions of the Creative Commons Attribution (CC BY) license (https://creativecommons.org/licenses/by/4.0/).
Share and Cite
Munteanu, C.; Vlad, D.M.; Sindilar, E.-V.; Istrate, B.; Butnaru, M.; Pasca, S.A.; Nastasa, R.O.; Mihai, I.; Burlea, S.-L. Novel Mg-0.5Ca-xMn Biodegradable Alloys Intended for Orthopedic Application: An In Vitro and In Vivo Study. Materials 2021, 14, 7262. https://doi.org/10.3390/ma14237262
Munteanu C, Vlad DM, Sindilar E-V, Istrate B, Butnaru M, Pasca SA, Nastasa RO, Mihai I, Burlea S-L. Novel Mg-0.5Ca-xMn Biodegradable Alloys Intended for Orthopedic Application: An In Vitro and In Vivo Study. Materials. 2021; 14(23):7262. https://doi.org/10.3390/ma14237262
Chicago/Turabian StyleMunteanu, Corneliu, Daniela Maria Vlad, Eusebiu-Viorel Sindilar, Bogdan Istrate, Maria Butnaru, Sorin Aurelian Pasca, Roxana Oana Nastasa, Iuliana Mihai, and Stefan-Lucian Burlea. 2021. "Novel Mg-0.5Ca-xMn Biodegradable Alloys Intended for Orthopedic Application: An In Vitro and In Vivo Study" Materials 14, no. 23: 7262. https://doi.org/10.3390/ma14237262
APA StyleMunteanu, C., Vlad, D. M., Sindilar, E.-V., Istrate, B., Butnaru, M., Pasca, S. A., Nastasa, R. O., Mihai, I., & Burlea, S.-L. (2021). Novel Mg-0.5Ca-xMn Biodegradable Alloys Intended for Orthopedic Application: An In Vitro and In Vivo Study. Materials, 14(23), 7262. https://doi.org/10.3390/ma14237262

