Biocompatibility of a High-Plasticity, Calcium Silicate-Based, Ready-to-Use Material
Abstract
1. Introduction
2. Materials and Methods
2.1. Preparation and Characterization
2.2. Cytotoxicity Test
2.3. Animal and Tooth Preparation
3. Results
3.1. Characterization of Bio-C Sealer
3.2. Cytotoxicity Test for the Bio-C Sealer and Calcipex II
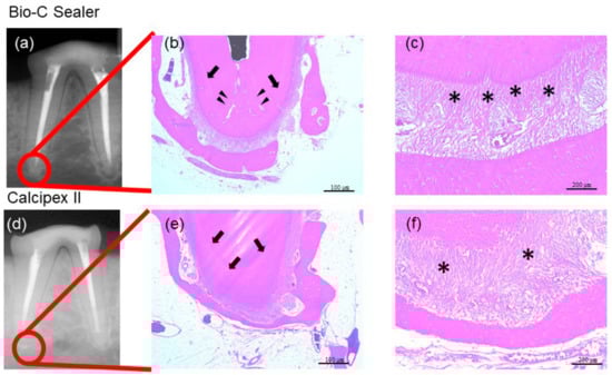
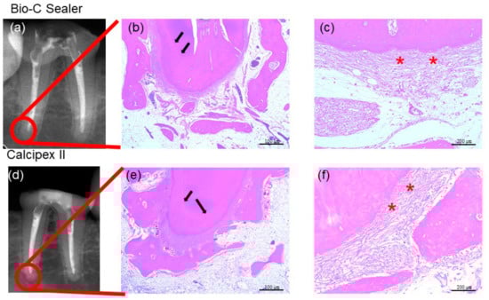
3.3. Histochemical Analysis
4. Discussion
5. Conclusions
Author Contributions
Funding
Conflicts of Interest
References
- Manhart, M.J. The calcium hydroxide method of endodontic sealing. Oral Surg. Oral Med. Oral Pathol. 1982, 54, 219–224. [Google Scholar] [CrossRef]
- Tronstad, L.; Barnett, F.; Flax, M. Solubility and biocompatibility of calcium hydroxide-containing root canal sealers. Dent. Traumatol. 1988, 4, 152–159. [Google Scholar] [CrossRef] [PubMed]
- Voicu, G.; Didilescu, A.C.; Stoian, A.B.; Dumitriu, C.; Greabu, M.; Andrei, M. Mineralogical and Microstructural Characteristics of Two Dental Pulp Capping Materials. Materials 2019, 12, 1772. [Google Scholar] [CrossRef]
- Torabinejad, M.; Chivian, N. Clinical applications of mineral trioxide aggregate. J. Endod. 1999, 25, 197–205. [Google Scholar] [CrossRef]
- Donnermeyer, D.; Bürklein, S.; Dammaschke, T.; Schäfer, E. Endodontic sealers based on calcium silicates: A systematic review. Odontology 2018, 107, 421–436. [Google Scholar] [CrossRef]
- Gandolfi, M.G.; Siboni, F.; Botero, T.; Bossù, M.; Riccitiello, F.; Prati, C. Calcium silicate and calcium hydroxide materials for pulp capping: Biointeractivity, porosity, solubility and bioactivity of current formulations. J. Appl. Biomater. Funct. Mater. 2014, 13, 43–60. [Google Scholar] [CrossRef]
- López-García, S.; Lozano, A.; García-Bernal, D.; Forner-Navarro, L.; Llena, C.; Guerrero-Gironés, J.; Moraleda, J.-M.; Murcia, L.; Rodríguez-Lozano, F.J. Biological Effects of New Hydraulic Materials on Human Periodontal Ligament Stem Cells. J. Clin. Med. 2019, 8, 1216. [Google Scholar] [CrossRef]
- Okiji, T.; Yoshiba, K. Reparative Dentinogenesis Induced by Mineral Trioxide Aggregate: A Review from the Biological and Physicochemical Points of View. Int. J. Dent. 2009, 2009, 1–12. [Google Scholar] [CrossRef]
- Parirokh, M.; Torabinejad, M. Mineral Trioxide Aggregate: A Comprehensive Literature Review—Part III: Clinical Applications, Drawbacks, and Mechanism of Action. J. Endod. 2010, 36, 400–413. [Google Scholar] [CrossRef] [PubMed]
- Chybowski, E.A.; Glickman, G.N.; Patel, Y.; Fleury, A.; Solomon, E.; He, J. Clinical Outcome of Non-Surgical Root Canal Treatment Using a Single-cone Technique with Endosequence Bioceramic Sealer: A Retrospective Analysis. J. Endod. 2018, 44, 941–945. [Google Scholar] [CrossRef] [PubMed]
- Giovarruscio, M.; Tonini, R.; Zavattini, A.; Foschi, F. Reparative procedures for endodontic perforations: Towards a standardised approach. ENDO. 2020, 14, 217–228. [Google Scholar]
- Gomes-Filho, J.E.; Watanabe, S.; Lodi, C.S.; Cintra, L.T.A.; Nery, M.J.; Filho, J.A.O.; Dezan, E.; Bernabé, P.F.E. Rat tissue reaction to MTA FILLAPEX®. Dent. Traumatol. 2011, 28, 452–456. [Google Scholar] [CrossRef] [PubMed]
- Li, X.; Yoshihara, K.; De Munck, J.; Cokic, S.; Pongprueksa, P.; Putzeys, E.; Pedano, M.S.; Chen, Z.; Van Landuyt, K.; Van Meerbeek, B. Modified tricalcium silicate cement formulations with added zirconium oxide. Clin. Oral Investig. 2016, 21, 895–905. [Google Scholar] [CrossRef] [PubMed]
- Celikten, B.; Jacobs, R.; Vasconcelos, K.D.F.; Huang, Y.; Shaheen, E.; Nicolielo, L.F.P.; Orhan, K. Comparative evaluation of cone beam CT and micro-CT on blooming artifacts in human teeth filled with bioceramic sealers. Clin. Oral Investig. 2018, 23, 3267–3273. [Google Scholar] [CrossRef]
- Zordan-Bronzel, C.L.; Torres, F.F.E.; Tanomaru-Filho, M.; Chávez-Andrade, G.M.; Bosso-Martelo, R.; Guerreiro-Tanomaru, J.M. Evaluation of Physicochemical Properties of a New Calcium Silicate-based Sealer, Bio-C Sealer. J. Endod. 2019, 45, 1248–1252. [Google Scholar] [CrossRef]
- Braga, J.M.; Oliveira, R.R.; Martins, R.C.; Vieira, L.Q.; Sobrinho, A.P.R. Assessment of the cytotoxicity of a mineral trioxide aggregate-based sealer with respect to macrophage activity. Dent. Traumatol. 2015, 31, 390–395. [Google Scholar] [CrossRef]
- Ferreira, C.M.A.; Sassone, L.; Gonçalves, A.S.; Carvalho, J.J.; Tomás-Catalá, C.J.; García-Bernal, D.; Oñate-Sánchez, R.E.; Rodríguez-Lozano, F.J.; Silva, E.J.N.L. Physicochemical, cytotoxicity and in vivo biocompatibility of a high-plasticity calcium-silicate based material. Sci. Rep. 2019, 9, 3933. [Google Scholar] [CrossRef]
- López-García, S.; Lloret, M.R.P.; Guerrero-Gironés, J.; Pecci-Lloret, M.P.; Lozano, A.; Llena, C.; Rodríguez-Lozano, F.J.; Forner-Navarro, L. Comparative Cytocompatibility and Mineralization Potential of Bio-C Sealer and TotalFill BC Sealer. Materials 2019, 12, 3087. [Google Scholar] [CrossRef]
- Grangeon, S.; Claret, F.; Linard, Y.; Chiaberge, C. X-ray diffraction: A powerful tool to probe and understand the structure of nanocrystalline calcium silicate hydrates. Acta Crystallogr. Sect. B Struct. Sci. Cryst. Eng. Mater. 2013, 69, 465–473. [Google Scholar] [CrossRef]
- Hamid, S.A. The crystal structure of the 11Å natural tobermorite Ca2.25[Si3O7.5(OH)1.5] · 1H2O. Z. für Kristallogr.–Cryst. Mater. 1981, 154, 1–2. [Google Scholar] [CrossRef]
- Jain, A.; Ong, S.P.; Hautier, G.; Chen, W.; Richards, W.D.; Dacek, S.; Cholia, S.; Gunter, D.; Skinner, D.; Ceder, G.; et al. Commentary: The Materials Project: A materials genome approach to accelerating materials innovation. APL Mater. 2013, 1, 011002. [Google Scholar] [CrossRef]
- Maddalena, R.; Li, K.; Chater, P.A.; Michalik, S.; Hamilton, A. Direct synthesis of a solid calcium-silicate-hydrate (C-S-H). Constr. Build. Mater. 2019, 223, 554–565. [Google Scholar] [CrossRef]
- Mollah, M.; Yu, W.; Schennach, R.; Cocke, D.L. A Fourier transform infrared spectroscopic investigation of the early hydration of Portland cement and the influence of sodium lignosulfonate. Cem. Concr. Res. 2000, 30, 267–273. [Google Scholar] [CrossRef]
- Yu, P.; Kirkpatrick, R.J.; Poe, B.; McMillan, P.F.; Cong, X. Structure of calcium silicate hydrate (C--S--H): Near--, Mid--, and Far--infrared spectroscopy. J. Am. Ceram. Soc. 1999, 82, 742–748. [Google Scholar] [CrossRef]
- Pavia, D.L.; Lampman, G.M.; Kriz, G.S.; Vyvyan, J. Introduction to Spectroscopy; Cengage Learning: Washington, DC, USA, 2008. [Google Scholar]
- Yazdi, K.A.; Ghabraei, S.; Bolhari, B.; Kafili, M.; Meraji, N.; Nekoofar, M.H.; Dummer, P.M.H. Microstructure and chemical analysis of four calcium silicate-based cements in different environmental conditions. Clin. Oral Investig. 2018, 23, 43–52. [Google Scholar] [CrossRef]
- Bolhari, B.; Nekoofar, M.H.; Sharifian, M.; Ghabrai, S.; Meraji, N.; Dummer, P.M.H. Acid and Microhardness of Mineral Trioxide Aggregate and Mineral Trioxide Aggregate–like Materials. J. Endod. 2014, 40, 432–435. [Google Scholar] [CrossRef]
- Grazziotin--Soares, R.; Nekoofar, M.H.; Davies, T.W.; Hubler, R.; Meraji, N.; Dummer, P.M.H. Crystalline phases involved in the hydration of calcium silicate--based cements: Semi--quantitative Rietveld X--ray diffraction analysis. Aust. Endod. J. 2017, 45, 26–32. [Google Scholar] [CrossRef]
- Biological Evaluation of Medical Devices—Part 5: Tests for In Vitro Cytotoxicity; ISO: Geneva, Switzerland, 2009; 10993–5.
- Huang, F.-M.; Tai, K.-W.; Chou, M.-Y.; Chang, Y.-C. Cytotoxicity of resin-, zinc oxide-eugenol-, and calcium hydroxide-based root canal sealers on human periodontal ligament cells and permanent V79 cells. Int. Endod. J. 2002, 35, 153–158. [Google Scholar] [CrossRef]
- Eldeniz, A.U.; Erdemir, A.; Kurtoglu, F.; Esener, T. Evaluation of pH and calcium ion release of Acroseal sealer in comparison with Apexit and Sealapex sealers. Oral Surg. Oral Med. Oral Pathol. Oral Radiol. 2007, 103, 86–91. [Google Scholar] [CrossRef]
- Arenholt-Bindslev, D.; Bleeg, H. Characterization of two types of human oral fibroblast with a potential application to cellular toxicity studies: Tooth pulp fibroblasts and buccal mucosa fibroblasts. Int. Endod. J. 1990, 23, 84–91. [Google Scholar] [CrossRef]
- Arenholt-Bindslev, D.; Horsted-Bindslev, P. A simple model for evaluating relative toxicity of root filling materials in cultures of human oral fibroblasts. Dent. Traumatol. 1989, 5, 219–226. [Google Scholar] [CrossRef]
- Bernabé, P.F.E.; Rocha, W.C.; Nery, M.J.; Gomes-Filho, J.E.; Otoboni-Filho, J.A.; Junior, E.D. Histological evaluation of MTA as a root-end filling material. Int. Endod. J. 2007, 40, 758–765. [Google Scholar] [CrossRef] [PubMed]
- Economides, N.; Pantelidou, O.; Kokkas, A.; Tziafas, D. Short-term periradicular tissue response to mineral trioxide aggregate (MTA) as root-end filling material. Int. Endod. J. 2003, 36, 44–48. [Google Scholar] [CrossRef] [PubMed]
- Sonat, B.; Dalat, D.; Gunhan, O. Periapical tissue reaction to root fillings with Sealapex. Int. Endod. J. 1990, 23, 46–52. [Google Scholar] [CrossRef] [PubMed]
- Torabinejad, M.; Ford, T.R.P.; McKendry, D.J.; Abedi, H.R.; Miller, D.A.; Kariyawasam, S.P. Histologic assessment of mineral trioxide aggregate as a root-end filling in monkeys. J. Endod. 1997, 23, 225–228. [Google Scholar] [CrossRef]
- Chen, I.; Karabucak, B.; Wang, C.; Wang, H.-G.; Koyama, E.; Kohli, M.R.; Nah, H.-D.; Kim, S. Healing after root-end microsurgery by using mineral trioxide aggregate and a new calcium silicate-based bioceramic material as root-end filling materials in dogs. J. Endod. 2015, 41, 389–399. [Google Scholar] [CrossRef]
- Saghiri, M.A.; Orangi, J.; Asatourian, A.; Gutmann, J.L.; Garcia-Godoy, F.; Lotfi, M.; Sheibani, N. Calcium silicate-based cements and functional impacts of various constituents. Dent. Mater. J. 2017, 36, 8–18. [Google Scholar] [CrossRef]
- Baek, S.-H.; Plenk, H.; Kim, S. Periapical Tissue Responses and Cementum Regeneration with Amalgam, SuperEBA, and MTA as Root-End Filling Materials. J. Endod. 2005, 31, 444–449. [Google Scholar] [CrossRef]
- Holland, R.; De Souza, V.; Nery, M.J.; Filho, J.A.O.; Bernabé, P.F.; Dezan, E. Reaction of rat connective tissue to implanted dentin tubes filled with mineral trioxide aggregate or calcium hydroxide. J. Endod. 1999, 25, 161–166. [Google Scholar] [CrossRef]







| Material | 2 θ | Intensity | Crystal System | Crystal Planes |
|---|---|---|---|---|
| C3S | 28.3 | 74 | Hexagonal | 2, 0, −2, 0 |
| ZrO2 | 30.2 | 525 | Tetragonal | 1, 0, 1 |
| C3S/ C2S | 31.4 | 59 | Hexagonal Hexagonal | 0, 0, 0, 2 1, 0, −1, 2 |
| C3S/ C2S | 32.5 | 43 | Hexagonal Hexagonal | 2, 0, −2, 1 2, −1, −1, 0 |
| ZrO2 | 35.2 | 90 | Tetragonal | 1, 1, 0 |
| ZrO2 | 50.3 | 187 | Tetragonal | 1, 1, 2 |
| ZrO2 | 59.4 | 72 | Tetragonal | 1, 0, 3 |
| ZrO2 | 60.0 | 116 | Tetragonal | 2, 1, 1 |
| Material | 2 θ | Intensity | Crystal System | Crystal Planes |
|---|---|---|---|---|
| ZrO2/CSH | 29.6 | 282 | Tetragonal Orthorhombic | 1, 0, 1 0, 2, 0 −2, 2, 0 |
| CSH | 31.8 | 63 | Orthorhombic | 2, −2, 2 0, 2, 2 |
| ZrO2 | 34.4 | 90 | Tetragonal | 1, 1, 0 |
| ZrO2/CSH | 49.8 | 213 | Tetragonal Orthorhombic | 1, 1, 2 2, 4, 0 |
| ZrO2 | 58.7 | 72 | Tetragonal | 1, 0, 3 |
| ZrO2 | 59.6 | 147 | Tetragonal | 2, 1, 1 |
| Material | Vibrational Mode | Wavenumber (cm−1) Experimental | Wavenumber (cm−1) (Reference) |
|---|---|---|---|
| C3S | vSi–O stretching vibrations | 1112 | ∼1060 [23] |
| C2S | vSi–O stretching vibrations | 912 | ∼925 [23] |
| C3S | δSiO4 bending | 573 | ∼522 [23] |
| C2S | δSiO4 bending | 494 | ∼452 [23] |
| Material | Vibrational Mode | Wavenumber (cm−1) Experimental | Wavenumber (cm−1) (Reference) |
|---|---|---|---|
| Ca(OH)2 | vO–H stretching (portlandite) | 3637 | ∼3644 [24] |
| CSH | vO–H stretching | 3431 | 3300 to 3600 [24] |
| PEG | vC–H stretching mode | 2868 | ∼2878 [25] |
| CHS | vH–O–H stretching vibrations | 1647 | ∼1640 [24] |
| PEG | δC–H bending | 1456 | ∼1464 [25] |
| PEG | δC–H bending | 1348 | ∼1343 [25] |
| PEG | vC–O stretching vibrations | 1246 | 1000 to 1300 [25] |
| PEG | vC–O stretching vibrations | 1101 | 1000 to 1300 [25] |
| CSH | vSi–O stretching vibrations | 925 | ∼1060 [24] |
| CSH | vSi–O stretching vibrations | 881 | ∼900 [24] |
| CSH | δSiO4 bending | 577 | ∼400 to 500 [24] |
| CSH | δSiO4 bending | 494 | ∼400 to 500 [24] |
| Groups | Roots Assessed (n) | Level of PI * | ||||
|---|---|---|---|---|---|---|
| None (%) | Mild (%) | Moderate | Severe | Tissue Necrosis | ||
| Bio-C Sealer Group 28 days | 18 | 17 (94) | 1 (6) | 0 | 0 | 0 |
| Control group (Calcipex II) 28 days | 10 | 8 (80) | 2 (20) | 0 | 0 | 0 |
| Bio-C Sealer Group 90 days | 18 | 17 (94) | 1 (6) | 0 | 0 | 0 |
| Control Group (Calcipex II) 90 days | 10 | 8 (80) | 2 (20) | 0 | 0 | 0 |
Publisher’s Note: MDPI stays neutral with regard to jurisdictional claims in published maps and institutional affiliations. |
© 2020 by the authors. Licensee MDPI, Basel, Switzerland. This article is an open access article distributed under the terms and conditions of the Creative Commons Attribution (CC BY) license (http://creativecommons.org/licenses/by/4.0/).
Share and Cite
Okamura, T.; Chen, L.; Tsumano, N.; Ikeda, C.; Komasa, S.; Tominaga, K.; Hashimoto, Y. Biocompatibility of a High-Plasticity, Calcium Silicate-Based, Ready-to-Use Material. Materials 2020, 13, 4770. https://doi.org/10.3390/ma13214770
Okamura T, Chen L, Tsumano N, Ikeda C, Komasa S, Tominaga K, Hashimoto Y. Biocompatibility of a High-Plasticity, Calcium Silicate-Based, Ready-to-Use Material. Materials. 2020; 13(21):4770. https://doi.org/10.3390/ma13214770
Chicago/Turabian StyleOkamura, Tomoharu, Liji Chen, Nobuhito Tsumano, Chihoko Ikeda, Satoshi Komasa, Kazuya Tominaga, and Yoshiya Hashimoto. 2020. "Biocompatibility of a High-Plasticity, Calcium Silicate-Based, Ready-to-Use Material" Materials 13, no. 21: 4770. https://doi.org/10.3390/ma13214770
APA StyleOkamura, T., Chen, L., Tsumano, N., Ikeda, C., Komasa, S., Tominaga, K., & Hashimoto, Y. (2020). Biocompatibility of a High-Plasticity, Calcium Silicate-Based, Ready-to-Use Material. Materials, 13(21), 4770. https://doi.org/10.3390/ma13214770

