Clinical and Radiographic Evaluation of Nanohydroxyapatite Powder in Combination with Polylactic Acid/Polyglycolic Acid Copolymer as Bone Replacement Graft in the Surgical Treatment of Intrabony Periodontal Defects: A Retrospective Case Series Study
Abstract
1. Introduction
2. Materials and Methods
- adult patients (>18 years old) affected by chronic periodontal disease;
- completion of initial periodontal therapy (oral hygiene instructions, scaling and root planning under local anesthesia, re-evaluation 6–8 weeks later);
- good general health;
- full mouth plaque control record <30% before surgery [24];
- presence of at least one periodontal defect with two and/or three remaining walls with a minimum of 3 mm intrabony component and probing depth (PD) ≥6 mm;
- clear understanding of benefits and possible risks of the procedure and signed informed consent.
- heavy smokers (>10 cigarettes a day), pipe and/or cigar smokers;
- alcohol and/or drug abusers;
- medical conditions that could affect wound healing at the time of surgery;
- insufficient information found in medical records (e.g., lack of clinical measurements);
- patients who did not comply to scheduled recall visits after surgery.
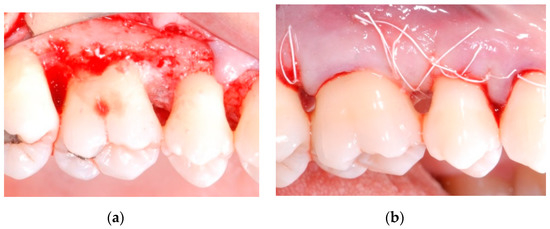
2.1. Surgical Procedure
2.2. Post-Operative Care
2.3. Clinical Measurements
2.4. Statistical Analysis
3. Results
3.1. Study Population
3.2. Clinical Outcomes
4. Discussion
5. Conclusions
Supplementary Materials
Author Contributions
Funding
Acknowledgments
Conflicts of Interest
References
- Haffajee, A.D.; Socransky, S.S. Microbial etiological agents of destructive periodontal diseases. Periodontol. 2000 1994, 5, 78–111. [Google Scholar] [CrossRef] [PubMed]
- Page, R.C.; Offenbacher, S.; Schroeder, H.E.; Seymour, G.J.; Kornman, K.S. Advances in the pathogenesis of periodontitis: Summary of developments, clinical implications and future directions. Periodontol. 2000 1997, 14, 216–248. [Google Scholar] [CrossRef] [PubMed]
- Könönen, E.; Gursoy, M.; Gursoy, U.K. Periodontitis: A multifaceted disease of tooth-supporting tissues. J. Clin. Med. 2019, 8, 1135. [Google Scholar] [CrossRef]
- Loos, B.G.; Papantonopoulos, G.; Jepsen, S.; Laine, M.L. What is the contribution of genetics to periodontal risk? Dent. Clin. N. Am. 2015, 59, 761–780. [Google Scholar] [CrossRef]
- Benakanakere, M.; Kinane, D.F. Innate cellular responses to the periodontal biofilm. Front. Oral Biol. 2012, 15, 41–55. [Google Scholar]
- Cekici, A.; Kantarci, A.; Hasturk, H.; Van Dyke, T.E. Inflammatory and immune pathways in the pathogenesis of periodontal disease. Periodontol. 2000 2014, 64, 57–80. [Google Scholar] [CrossRef]
- Damgaard, C.; Holmstrup, P.; Van Dyke, T.E.; Nielsen, C.H. The complement system and its role in the pathogenesis of periodontitis: Current concepts. J. Periodontal Res. 2015, 50, 283–293. [Google Scholar] [CrossRef]
- Verardi, S.; Page, R.C.; Ammons, W.F.; Bordin, S. Differential chemokine response of fibroblast subtypes to complement C1q. J. Periodontal Res. 2007, 42, 62–68. [Google Scholar] [CrossRef]
- Belibasakis, G.N.; Bostanci, N. The RANKL-OPG system in clinical Periodontol. J. Clin. Periodontol. 2012, 39, 239–248. [Google Scholar] [CrossRef]
- Page, R.C.; Eke, P.I. Case definitions for use in population-based surveillance of periodontitis. J. Periodontol. 2007, 78, 1387–1399. [Google Scholar] [CrossRef]
- Papapanou, P.N.; Wennström, J.L. The angular bony defect as indicator of further alveolar bone loss. J. Clin. Periodontol. 1991, 18, 317–322. [Google Scholar] [CrossRef] [PubMed]
- Laurell, L.; Gottlow, J.; Zybutz, M.; Persson, R. Treatment of intrabony defects by different surgical procedures. A literature review. J. Periodontol. 1998, 69, 303–313. [Google Scholar] [CrossRef] [PubMed]
- Verardi, S.; Schuler, R.; Janakievski, J. Guidelines for the use of osseous resective surgery in conjunction with implant placement. Pract. Proced. Aesthet. Dent. 2008, 20, 627–631. [Google Scholar]
- Karring, T.; Nyman, S.; Gottlow, J.; Laurell, L. Development of the biological concept of guided tissue regeneration—Animal and human studies. Periodontol. 2000 1993, 1, 26–35. [Google Scholar] [CrossRef] [PubMed]
- Robinson, E. Osseous coagulum for bone induction. J. Periodontol. 1969, 40, 503–510. [Google Scholar] [CrossRef]
- Schwartz, Z.; Mellonig, J.T.; Carnes, D.L.; de la Fontaine, J.; Cochran, D.L.; Dean, D.D.; Boyan, B.D. Ability of commercial demineralized freeze-dried bone allograft to induce new bone formation. J. Periodontol. 1996, 67, 918–926. [Google Scholar] [CrossRef]
- Schwartz, Z.; Weesner, T.; van Dijk, S.; Cochran, D.L.; Mellonig, J.T.; Lohmann, C.H.; Carnes, D.L.; Goldstein, M.; Dean, D.D.; Boyan, B.D. Ability of deproteinized cancellous bovine bone to induce new bone formation. J. Periodontol. 2000, 71, 1258–1269. [Google Scholar] [CrossRef]
- Kenney, E.B.; Lekovic, V.; Han, T.; Carranza, F.A.; Dimitrijevic, B. The use of a porous hydroxylapatite implant in periodontal defects. I. Clinical results after six months. J. Periodontol. 1985, 56, 82–88. [Google Scholar] [CrossRef]
- Turco, G.; Porrelli, D.; Marsich, E.; Vecchies, F.; Lombardi, T.; Stacchi, C.; Di Lenarda, R. Three-dimensional bone substitutes for oral and maxillofacial surgery: Biological and structural characterization. J. Funct. Biomater. 2018, 9, 62. [Google Scholar] [CrossRef]
- Kasaj, A.; Röhrig, B.; Zafiropoulos, G.G.; Willershausen, B. Clinical evaluation of nanocrystalline hydroxyapatite paste in the treatment of human periodontal bony defects—A randomized controlled clinical trial: 6-month results. J. Periodontol. 2008, 79, 394–400. [Google Scholar] [CrossRef]
- Canullo, L.; Sisti, A. Early implant loading after vertical ridge augmentation (VRA) using e-PTFE titanium-reinforced membrane and nano-structured hydroxyapatite: 2-year prospective study. Eur. J. Oral Implantol. 2010, 3, 59–69. [Google Scholar] [PubMed]
- Stacchi, C.; Lombardi, T.; Oreglia, F.; Alberghini Maltoni, A.; Traini, T. Histologic and histomorphometric comparison between sintered nanohydroxyapatite and anorganic bovine xenograft in maxillary sinus grafting: A split-mouth randomized controlled clinical trial. BioMed Res. Int. 2017, 2017, 9489825. [Google Scholar] [CrossRef] [PubMed]
- Lombardi, T.; Bernardello, F.; Berton, F.; Porrelli, D.; Rapani, A.; Camurri Piloni, A.; Fiorillo, L.; Di Lenarda, R.; Stacchi, C. Efficacy of alveolar ridge preservation after maxillary molar extraction in reducing crestal bone resorption and sinus pneumatization: A multicenter prospective case-control study. BioMed Res. Int. 2018, 2018, 9352130. [Google Scholar] [CrossRef] [PubMed]
- O’Leary, T.J.; Drake, R.B.; Naylor, J.E. The plaque control record. J. Periodontol. 1972, 43, 38. [Google Scholar] [CrossRef]
- Cortellini, P.; Pini Prato, G.P.; Tonetti, M.S. The modified papilla preservation technique. A new surgical approach for interproximal regenerative procedures. J. Periodontol. 1995, 66, 261–266. [Google Scholar] [CrossRef]
- Löe, H. The gingival index, the plaque index and the retention index system. J. Periodontol. 1967, 38, 610–616. [Google Scholar] [CrossRef]
- Röllke, L.; Schacher, B.; Wohlfeil, M.; Kim, T.S.; Kaltschmitt, J.; Krieger, J.; Krigar, D.M.; Reitmeir, P.; Eickholz, P. Regenerative therapy of infrabony defects with or without systemic doxycycline. A randomized placebo-controlled trial. J. Clin. Periodontol. 2012, 39, 448–456. [Google Scholar] [CrossRef]
- Rosen, P.S.; Reynolds, M.A.; Bowers, G.M. The treatment of intrabony defects with bone grafts. Periodontol. 2000 2000, 22, 88–103. [Google Scholar] [CrossRef]
- Reynolds, M.A.; Aichelmann-Reidy, M.E.; Branch-Mays, G.L. Regeneration of periodontal tissue: Bone replacement grafts. Dent. Clin. 2010, 54, 55–71. [Google Scholar] [CrossRef]
- Kao, R.T.; Nares, S.; Reynolds, M.A. Periodontal regeneration—Intrabony defects: A systematic review from the AAP Regeneration Workshop. J. Periodontol. 2015, 86, S77–S104. [Google Scholar] [CrossRef]
- Zubery, Y.; Kozlovsky, A.; Tal, H. Histologic assessment of a contiguous autogenous transplant in a human intrabony defect. A case report. J. Periodontol. 1993, 64, 66–71. [Google Scholar] [CrossRef] [PubMed]
- Masters, L.B.; Mellonig, J.T.; Brunsvold, M.A.; Nummikoski, P.V. A clinical evaluation of demineralized freeze-dried bone allograft in combination with tetracycline in the treatment of periodontal osseous defects. J. Periodontol. 1996, 67, 70–81. [Google Scholar] [CrossRef] [PubMed]
- Sculean, A.; Nikolidakis, D.; Nikou, G.; Ivanovic, A.; Chapple, I.L.; Stavropoulos, A. Biomaterials for promoting periodontal regeneration in human intrabony defects: A systematic review. Periodontol. 2000 2015, 68, 182–216. [Google Scholar] [CrossRef]
- Orsini, M.; Orsini, G.; Benlloch, D.; Aranda, J.J.; Sanz, M. Long-term clinical results on the use of bone replacement grafts in the treatment of intrabony periodontal defects. Comparison of the use of autogenous bone graft plus calcium sulfate to autogenous bone graft covered with a bioabsorbable membrane. J. Periodontol. 2008, 79, 1630–1637. [Google Scholar] [CrossRef]
- Maroo, S.; Murthy, K.R. Treatment of periodontal intrabony defects using β-TCP alone or in combination with rhPDGF-BB: A randomized controlled clinical and radiographic study. Int. J. Periodontics Restor. Dent. 2014, 34, 841–847. [Google Scholar] [CrossRef]
- Stein, J.M.; Fickl, S.; Yekta, S.S.; Hoischen, U.; Ocklenburg, C.; Smeets, R. Clinical evaluation of a biphasic calcium composite grafting material in the treatment of human periodontal intrabony defects: A 12-month randomized controlled clinical trial. J. Periodontol. 2009, 80, 1774–1782. [Google Scholar] [CrossRef]
- Galgut, P.N.; Waite, I.M.; Bookshaw, J.D.; Kingston, C.P. A 4-year controlled clinical study into the use of a ceramic hydroxylapatite implant material for the treatment of periodontal bone defects. J. Clin. Periodontol. 1992, 19, 570–577. [Google Scholar] [CrossRef]
- Yukna, R.A.; Krauser, J.T.; Callan, D.P.; Evans, G.H.; Cruz, R.; Martin, M. Thirty-six month follow-up of 25 patients treated with combination anorganic bovine-derived hydroxyapatite matrix (ABM)/cell-binding peptide (P-15) bone replacement grafts in human infrabony defects. I. Clinical findings. J. Periodontol. 2002, 73, 123–128. [Google Scholar] [CrossRef]
- Scabbia, A.; Trombelli, L. A comparative study on theuse of a HA/collagen/chondroitin sulphate biomaterial (Biostite) and a bovine-derived HA xenograft (Bio-Oss) in the treatment of deep intra-osseous defects. J. Clin. Periodontol. 2004, 31, 348–355. [Google Scholar] [CrossRef]
- Carranza, F.A.; Kenney, E.B.; Lekovic, V.; Talamante, E.; Valencia, J.; Dimitrijevic, B. Histologic study of healing of human periodontal defects after placement of porous hydroxylapatite implants. J. Periodontol. 1987, 58, 682–688. [Google Scholar] [CrossRef]
- Kenney, E.B.; Lekovic, V.; Sa Ferreira, J.C.; Han, T.; Dimitrijevic, B.; Carranza, F.A. Bone formation within porous hydroxylapatite implants in human periodontal defects. J. Periodontol. 1986, 57, 76–83. [Google Scholar] [CrossRef] [PubMed]
- Fang, C.H.; Lin, Y.W.; Lin, F.H.; Sun, J.S.; Chao, Y.H.; Lin, H.Y.; Chang, Z.C. Biomimetic synthesis of nanocrystalline hydroxyapatite composites: Therapeutic potential and effects on bone regeneration. Int. J. Mol. Sci. 2019, 20, 6002. [Google Scholar] [CrossRef] [PubMed]
- Yang, C.; Zhao, C.; Wang, X.; Shi, M.; Zhu, Y.; Jing, L.; Wu, C.; Chang, J. Stimulation of osteogenesis and angiogenesis by micro/nano hierarchical hydroxyapatite via macrophage immunomodulation. Nanoscale 2019, 11, 17699–17708. [Google Scholar] [CrossRef] [PubMed]
- Lock, J.; Nguyen, T.Y.; Liu, H. Nanophase hydroxyapatite and poly(lactide-co-glycolide) composites promote human mesenchymal stem cell adhesion and osteogenic differentiation in vitro. J. Mater. Sci. Mater. Med. 2012, 23, 2543–2552. [Google Scholar] [CrossRef] [PubMed]
- Qian, J.; Xu, W.; Yong, X.; Jin, X.; Zhang, W. Fabrication and in vitro biocompatibility of biomorphic PLGA/nHA composite scaffolds for bone tissue engineering. Mater. Sci. Eng. C 2014, 36, 95–101. [Google Scholar] [CrossRef]
- Li, D.; Sun, H.; Jiang, L.; Zhang, K.; Liu, W.; Zhu, Y.; Fangteng, J.; Shi, C.; Zhao, L.; Sun, H.; et al. Enhanced biocompatibility of PLGA nanofibers with gelatin/nano-hydroxyapatite bone biomimetics incorporation. ACS Appl. Mater. Interfaces 2014, 6, 9402–9410. [Google Scholar] [CrossRef]
- Holmes, B.; Bulusu, K.; Plesniak, M.; Zhang, L.G. A synergistic approach to the design, fabrication and evaluation of 3D printed micro and nano featured scaffolds for vascularized bone tissue repair. Nanotechnology 2016, 27, 064001. [Google Scholar] [CrossRef]
- He, S.; Lin, K.F.; Sun, Z.; Song, Y.; Zhao, Y.N.; Wang, Z.; Bi, L.; Liu, J. Effects of nano-hydroxyapatite/Poly (DL-lactic-co-glycolic acid) microsphere-based composite scaffolds on repair of bone defects: Evaluating the role of nano-hydroxyapatite content. Artif. Organs 2016, 40, e128–e135. [Google Scholar] [CrossRef]
- Liu, Y.; Hu, B.; Zhou, J.; Li, W.; Liu, Q.; Song, J. The effect of enamel matrix derivative alone versus in combination with alloplastic materials to treat intrabony defects: A meta-analysis. Int. J. Periodontics Restor. Dent. 2017, 37, e224–e233. [Google Scholar] [CrossRef]
- Pradeep, A.R.; Bajaj, P.; Rao, N.S.; Agarwal, E.; Naik, S.B. Platelet-rich fibrin combined with a porous hydroxyapatite graft for the treatment of 3-wall intrabony defects in chronic periodontitis: A randomized controlled clinical trial. J. Periodontol. 2017, 88, 1288–1296. [Google Scholar] [CrossRef]
- Bodhare, G.H.; Kolte, A.P.; Kolte, R.A.; Shirke, P.Y. Clinical and radiographic evaluation and comparison of bioactive bone alloplast morsels when used alone and in combination with platelet-rich fibrin in the treatment of periodontal intrabony defects—A randomized controlled trial. J. Periodontol. 2019, 90, 584–594. [Google Scholar] [CrossRef] [PubMed]




| Number | 25 |
| Gender | 13 males (52%); 12 females (48%) |
| Age (mean ± SD; range) | 55.1 ± 10.5 years; 44–79 |
| Non smokers | 16 (64%) |
| Light smokers * | 9 (36%) |
© 2020 by the authors. Licensee MDPI, Basel, Switzerland. This article is an open access article distributed under the terms and conditions of the Creative Commons Attribution (CC BY) license (http://creativecommons.org/licenses/by/4.0/).
Share and Cite
Verardi, S.; Lombardi, T.; Stacchi, C. Clinical and Radiographic Evaluation of Nanohydroxyapatite Powder in Combination with Polylactic Acid/Polyglycolic Acid Copolymer as Bone Replacement Graft in the Surgical Treatment of Intrabony Periodontal Defects: A Retrospective Case Series Study. Materials 2020, 13, 269. https://doi.org/10.3390/ma13020269
Verardi S, Lombardi T, Stacchi C. Clinical and Radiographic Evaluation of Nanohydroxyapatite Powder in Combination with Polylactic Acid/Polyglycolic Acid Copolymer as Bone Replacement Graft in the Surgical Treatment of Intrabony Periodontal Defects: A Retrospective Case Series Study. Materials. 2020; 13(2):269. https://doi.org/10.3390/ma13020269
Chicago/Turabian StyleVerardi, Simone, Teresa Lombardi, and Claudio Stacchi. 2020. "Clinical and Radiographic Evaluation of Nanohydroxyapatite Powder in Combination with Polylactic Acid/Polyglycolic Acid Copolymer as Bone Replacement Graft in the Surgical Treatment of Intrabony Periodontal Defects: A Retrospective Case Series Study" Materials 13, no. 2: 269. https://doi.org/10.3390/ma13020269
APA StyleVerardi, S., Lombardi, T., & Stacchi, C. (2020). Clinical and Radiographic Evaluation of Nanohydroxyapatite Powder in Combination with Polylactic Acid/Polyglycolic Acid Copolymer as Bone Replacement Graft in the Surgical Treatment of Intrabony Periodontal Defects: A Retrospective Case Series Study. Materials, 13(2), 269. https://doi.org/10.3390/ma13020269

