Titanium Mesh Reconstruction of Orbital Roof Fracture with Traumatic Encephalocele: A Case Report and Review of Literature
Abstract
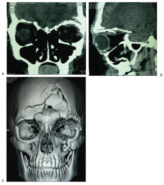
Case Report
Discussion
Conclusions
References
- Chapman, V.M.; Fenton, L.Z.; Gao, D.; Strain, J.D. Facial fractures in children: Unique patterns of injury observed by computed tomography. J Comput Assist Tomogr 2009, 33, 70–72. [Google Scholar] [CrossRef] [PubMed]
- Haug, R.H.; Van Sickels, J.E.; Jenkins, W.S. Demographics and treatment options for orbital roof fractures. Oral Surg Oral Med Oral Pathol Oral Radiol Endod 2002, 93, 238–246. [Google Scholar] [CrossRef] [PubMed]
- Martello, J.Y.; Vasconez, H.C. Supraorbital roof fractures: A formidable entity with which to contend. Ann Plast Surg 1997, 38, 223–227. [Google Scholar] [CrossRef] [PubMed]
- Antonelli, V.; Cremonini, A.M.; Campobassi, A.; Pascarella, R.; Zofrea, G.; Servadei, F. Traumatic encephalocele related to orbital roof fractures: Report of six cases and literature review. Surg Neurol 2002, 57, 117–125. [Google Scholar] [PubMed]
- Lee, H.J.; Jilani, M.; Frohman, L.; Baker, S. CT of orbital trauma. Emerg Radiol 2004, 10, 168–172. [Google Scholar] [CrossRef] [PubMed]
- Ma, C.; Nerad, J.A. Orbital roof fracture with ocular herniation. Am J Ophthalmol 1988, 105, 700–701. [Google Scholar] [CrossRef] [PubMed]
- Santos, D.T.; Oliveira, J.X.; Vannier, M.W.; Cavalcanti, M.G. Computed tomography imaging strategies and perspectives in orbital fractures. J Appl Oral Sci 2007, 15, 135–139. [Google Scholar] [PubMed]
- Gazioğlu, N.; Ulu, M.O.; Ozlen, F.; Uzan, M.; Ciplak, N. Acute traumatic orbital encephalocele related to orbital roof fracture: Reconstruction by using porous polyethylene. Ulus Travma Acil Cerrahi Derg 2008, 14, 247–252. [Google Scholar] [PubMed]
- Manolidis, S.; Weeks, B.H.; Kirby, M.; Scarlett, M.; Hollier, L. Classification and surgical management of orbital fractures: Experience with 111 orbital reconstructions. J Craniofac Surg 2002, 13, 726–737; discussion 738. [Google Scholar] [CrossRef] [PubMed]
- Mohindra, S.; Mukherjee, K.K.; Chhabra, R.; Gupta, R. Orbital roof growing fractures: A report of four cases and literature review. Br J Neurosurg 2006, 20, 420–423. [Google Scholar] [PubMed]
- Rubin, P.A.; Bilyk, J.R.; Shore, J.W. Orbital reconstruction using porous polyethylene sheets. Ophthalmology 1994, 101, 1697–1708. [Google Scholar] [CrossRef] [PubMed]
- Romano, J.J.; Iliff, N.T.; Manson, P.N. Use of Medpor porous polyethylene implants in 140 patients with facial fractures. J Craniofac Surg 1993, 4, 142–147. [Google Scholar] [CrossRef] [PubMed]
- Couldwell, W.T.; Stillerman, C.B.; Dougherty, W. Reconstruction of the skull base and cranium adjacent to sinuses with porous polyethylene implant: Preliminary report. Skull Base Surg 1997, 7, 57–63. [Google Scholar] [CrossRef] [PubMed]
- Lazaridis, N.; Makos, C.; Iordanidis, S.; Zouloumis, L. The use of titanium mesh sheet in the fronto-zygomatico-orbital region. Case reports. Aust Dent J 1998, 43, 223–228. [Google Scholar] [PubMed]
- Patel, M.F.; Langdon, J.D. Titanium mesh (TiMesh) osteosynthesis: A fast and adaptable method of semi-rigid fixation. Br J Oral Maxillofac Surg 1991, 29, 316–324. [Google Scholar] [CrossRef] [PubMed]
- Heiland, M.; Schulze, D.; Adam, G.; Schmelzle, R. 3D-imaging of the facial skeleton with an isocentric mobile C-arm system (Siremobil Iso-C3D). Dentomaxillofac Radiol 2003, 32, 21–25. [Google Scholar] [CrossRef] [PubMed]
- Manson, P.N.; Markowitz, B.; Mirvis, S.; Dunham, M.; Yaremchuk, M. Toward CT-based facial fracture treatment. Plast Reconstr Surg 1990, 85, 202–212; discussion 213–214. [Google Scholar] [CrossRef] [PubMed]
- Stuehmer, C.; Essig, H.; Schramm, A.; Rücker, M.; Eckardt, A.; Gellrich, N.C. Intraoperative navigation assisted reconstruction of a maxillofacial gunshot wound. Oral Maxillofac Surg 2008, 12, 199–203. [Google Scholar] [PubMed]
- Schramm, A.; Suarez-Cunqueiro, M.M.; Rücker, M.; et al. Computerassisted therapy in orbital and mid-facial reconstructions. Int J Med Robot 2009, 5, 111–124. [Google Scholar] [PubMed]
- Jamjoom, Z.A.B. Growing fracture of the orbital roof. Surg Neurol 1997, 48, 184–188. [Google Scholar] [PubMed]
- Manson, P.N.; Iliff, N.T. Fractures of the orbital roof. In Oculoplastic, Orbital and Reconstructive Surgery; Hornblass, A., Ed.; Williams and Wilkins: Baltimore, MD, USA, 1990; p. 1139. [Google Scholar]







© 2012 by the author. The Author(s) 2012.
Share and Cite
Mokal, N.J.; Desai, M.F. Titanium Mesh Reconstruction of Orbital Roof Fracture with Traumatic Encephalocele: A Case Report and Review of Literature. Craniomaxillofac. Trauma Reconstr. 2012, 5, 11-17. https://doi.org/10.1055/s-0031-1300958
Mokal NJ, Desai MF. Titanium Mesh Reconstruction of Orbital Roof Fracture with Traumatic Encephalocele: A Case Report and Review of Literature. Craniomaxillofacial Trauma & Reconstruction. 2012; 5(1):11-17. https://doi.org/10.1055/s-0031-1300958
Chicago/Turabian StyleMokal, Nitin J., and Mahinoor F. Desai. 2012. "Titanium Mesh Reconstruction of Orbital Roof Fracture with Traumatic Encephalocele: A Case Report and Review of Literature" Craniomaxillofacial Trauma & Reconstruction 5, no. 1: 11-17. https://doi.org/10.1055/s-0031-1300958
APA StyleMokal, N. J., & Desai, M. F. (2012). Titanium Mesh Reconstruction of Orbital Roof Fracture with Traumatic Encephalocele: A Case Report and Review of Literature. Craniomaxillofacial Trauma & Reconstruction, 5(1), 11-17. https://doi.org/10.1055/s-0031-1300958