A Novel Technique for Attaining Maxillomandibular Fixation in the Edentulous Mandible Fracture
Abstract
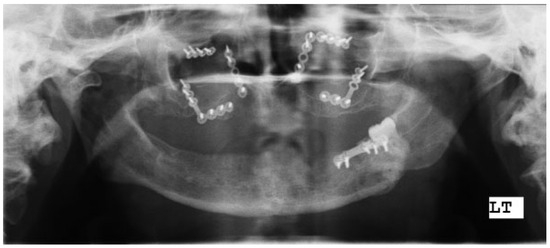
:Case Report
Discussion
References
- Luhr, H.G.; Reidick, T.; Merten, H.A. Results of treatment of fractures of the atrophic edentulous mandible by compression plating: A retrospective evaluation of 84 consecutive cases. J Oral Maxillofac Surg 1996, 54, 250–254. [Google Scholar] [PubMed]
- Madsen, M.J.; Haug, R.H.; Christensen, B.S.; Aldridge, E. Management of atrophic mandible fractures. Oral Maxillofac Surg Clin North Am 2009, 21, 175–183. [Google Scholar] [PubMed]
- Ellis, E.I.I.I.; Price, C. Treatment protocol for fractures of the atrophic mandible. J Oral Maxillofac Surg 2008, 66, 421–435. [Google Scholar] [PubMed]
- Nasser, M.; Fedorowicz, Z.; Ebadifar, A. Management of the fractured edentulous atrophic mandible. Cochrane Database Syst Rev 2007, CD006087. [Google Scholar]
- Ellis, E.I.I.I.; Muniz, O.; Anand, K. Treatment considerations for comminuted mandibular fractures. J Oral Maxillofac Surg 2003, 61, 861–870. [Google Scholar] [PubMed]
- Wood, G.A.; Campbell, D.F.; Greene, L.E. Transmucosal fixation of the fractured edentuous mandible. Int J Oral Maxillofac Surg 2011, 40, 549–552. [Google Scholar] [PubMed]
- Furr, A.M.; Schweinfurth, J.M.; May, W.L. Factors associated with longterm complications after repair of mandibular fractures. Laryngoscope 2006, 116, 427–430. [Google Scholar] [CrossRef] [PubMed]
- Bell, R.B.; Wilson, D.M. Is the use of arch bars or interdental wire fixation necessary for successful outcomes in the open reduction and internal fixation of mandibular angle fractures? J Oral Maxillofac Surg 2008, 66, 2116–2122. [Google Scholar] [CrossRef] [PubMed]
- Gear, A.J.; Apasova, E.; Schmitz, J.P.; Schubert, W. Treatment modalities for mandibular angle fractures. J Oral Maxillofac Surg 2005, 63, 655–663. [Google Scholar] [CrossRef]
- Rinehart, G.C. Mandibulomaxillary fixation with bone anchors and quick-release ligatures. J Craniofac Surg 1998, 9, 215–221. [Google Scholar] [PubMed]
- Engelstad, M.E.; Kelly, P. Embrasure wires for intraoperative maxillomandibular fixation are rapid and effective. J Oral Maxillofac Surg 2011, 69, 120–124. [Google Scholar] [CrossRef] [PubMed]
- Laurentjoye, M.; Majoufre-Lefebvre, C.; Siberchicot, F.; Ricard, A.S. Result of maxillomandibular fixation using intraoral cortical bone screws for condylar fractures of the mandible. J Oral Maxillofac Surg 2009, 67, 767–770. [Google Scholar] [CrossRef] [PubMed]
- Utley, D.S.; Utley, J.D.; Koch, R.J.; Goode, R.L. Direct bonded orthodontic brackets for maxillomandibular fixation. Laryngoscope 1998, 108, 1338–1345. [Google Scholar] [CrossRef] [PubMed]
- Schneider, M.; Erasmus, F.; Gerlach, K.L.; et al. Open reduction and internal fixation versus closed treatment and mandibulomaxillary fixation of fractures of the mandibular condylar process: A randomized, prospective, multicenter study with special evaluation of fracture level. J Oral Maxillofac Surg 2008, 66, 2537–2544. [Google Scholar] [CrossRef] [PubMed]
- Zachariades, N.; Mezitis, M.; Mourouzis, C.; Papadakis, D.; Spanou, A. Fractures of the mandibular condyle: A review of 466 cases. Literature review, reflections on treatment and proposals. J Craniomaxillofac Surg 2006, 34, 421–432. [Google Scholar] [PubMed]
- Danda, A.K.; Muthusekhar, M.R.; Narayanan, V.; Baig, M.F.; Siddareddi, A. Open versus closed treatment of unilateral subcondylar and condylar neck fractures: A prospective, randomized clinical study. J Oral Maxillofac Surg 2010, 68, 1238–1241. [Google Scholar] [CrossRef] [PubMed]
- Baker, S.B.; Goldstein, J.A.; Seiboth, L.; Weinzweig, J. Posttraumatic maxillomandibular reconstruction: A treatment algorithm for the partially edentulous patient. J Craniofac Surg 2010, 21, 217–221. [Google Scholar] [CrossRef] [PubMed]



© 2012 by the author. The Author(s) 2012.
Share and Cite
Knotts, C.; Workman, M.; Sawan, K.; El Amm, C. A Novel Technique for Attaining Maxillomandibular Fixation in the Edentulous Mandible Fracture. Craniomaxillofac. Trauma Reconstr. 2012, 5, 7-10. https://doi.org/10.1055/s-0031-1300962
Knotts C, Workman M, Sawan K, El Amm C. A Novel Technique for Attaining Maxillomandibular Fixation in the Edentulous Mandible Fracture. Craniomaxillofacial Trauma & Reconstruction. 2012; 5(1):7-10. https://doi.org/10.1055/s-0031-1300962
Chicago/Turabian StyleKnotts, Christopher, Meredith Workman, Kamal Sawan, and Christian El Amm. 2012. "A Novel Technique for Attaining Maxillomandibular Fixation in the Edentulous Mandible Fracture" Craniomaxillofacial Trauma & Reconstruction 5, no. 1: 7-10. https://doi.org/10.1055/s-0031-1300962
APA StyleKnotts, C., Workman, M., Sawan, K., & El Amm, C. (2012). A Novel Technique for Attaining Maxillomandibular Fixation in the Edentulous Mandible Fracture. Craniomaxillofacial Trauma & Reconstruction, 5(1), 7-10. https://doi.org/10.1055/s-0031-1300962