Next Issue
Volume 13, December
Previous Issue
Volume 13, June
 
 
Craniomaxillofacial Trauma & Reconstruction is published by MDPI from Volume 18 Issue 1 (2025). Previous articles were published by another publisher in Open Access under a CC-BY (or CC-BY-NC-ND) licence, and they are hosted by MDPI on mdpi.com as a courtesy and upon agreement with Sage.

Craniomaxillofac. Trauma Reconstr., Volume 13, Issue 3 (September 2020) – 15 articles

  • Issues are regarded as officially published after their release is announced to the table of contents alert mailing list.
  • You may sign up for e-mail alerts to receive table of contents of newly released issues.
  • PDF is the official format for papers published in both, html and pdf forms. To view the papers in pdf format, click on the "PDF Full-text" link, and use the free Adobe Reader to open them.
Order results
Result details
Select all
Export citation of selected articles as:
6 pages, 134 KB  
Article
AO CMF International Task Force Recommendations on Best Practices for Maxillofacial Procedures During COVID-19 Pandemic
by Michael Grant, Daniel Buchbinder, Thomas B. Dodson, Stefano Fusetti, Mike Yiu Yan Leung, Gregorio Sánchez Aniceto, Alexander Schramm, Edward Bradley Strong and Eppo Wolvius
Craniomaxillofac. Trauma Reconstr. 2020, 13(3), 151-156; https://doi.org/10.1177/1943387520948826 - 27 Sep 2020
Cited by 21 | Viewed by 225
Abstract
The COVID-19 pandemic is a global problem that has adversely and significantly impacted the safe practice of maxillofacial surgery. The risk lies in the heavy viral load in the oral/nasal/upper respiratory mucosal surfaces. Surgical procedures performed in this anatomic regional produce aerosalized viral [...] Read more.
The COVID-19 pandemic is a global problem that has adversely and significantly impacted the safe practice of maxillofacial surgery. The risk lies in the heavy viral load in the oral/nasal/upper respiratory mucosal surfaces. Surgical procedures performed in this anatomic regional produce aerosalized viral particles which are highly infectious. Best practices and recommendations are outlined to mitigate the risk to the provider. Full article
2 pages, 86 KB  
Editorial
Education and Training for Craniomaxillofacial Surgeons in the Context of COVID-19
by Sat Parmar, Srinivas M. Susarla and Rui P. Fernandes
Craniomaxillofac. Trauma Reconstr. 2020, 13(3), 149-150; https://doi.org/10.1177/1943387520948815 - 18 Aug 2020
Viewed by 134
Abstract
As worldwide efforts to address the COVID-19 pandemic continue, we are seeing the impacts, both positive and negative, on all aspects of craniomaxillofacial (CMF) surgical care.[...] Full article
21 pages, 334 KB  
Abstract
FACE AHEAD 2020 Abstracts Supplement
by
Craniomaxillofac. Trauma Reconstr. 2020, 13(3), 1-21; https://doi.org/10.1177/1943387520904172 - 26 Jul 2020
Viewed by 198
Abstract
Welcome to FACE AHEAD, organized by AO CMF.[...] Full article
11 pages, 1678 KB  
Brief Report
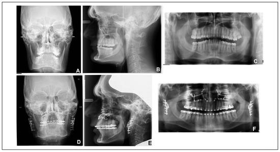
CAD/CAM Engineered Patient-Specific Impants as a Reposition Device in Le Fort I and Modified Subcondylar Osteotomies: Case Report of Facial Deformity Correction in Acromegaly
by Juho Suojanen, Zlatan Hodzic, Tuula Palotie and Patricia Stoor
Craniomaxillofac. Trauma Reconstr. 2020, 13(3), 226-236; https://doi.org/10.1177/1943387520924521 - 6 Jul 2020
Cited by 3 | Viewed by 192
Abstract
Acromegaly is a medical condition where elevated growth hormone or insulin-like growth factor I levels cause several changes in the craniofacial soft and hard features. We report the correction of facial deformity and posterior open bite with Le Fort I and modified subcondylar [...] Read more.
Acromegaly is a medical condition where elevated growth hormone or insulin-like growth factor I levels cause several changes in the craniofacial soft and hard features. We report the correction of facial deformity and posterior open bite with Le Fort I and modified subcondylar osteotomies in a patient affected by acromegaly. Computer-aided design and manufacturing generated saw and drill guides were used to perform osteotomies and segment removal. The placement of the patient-specific implants (PSIs) was guided by predesigned drill holes ensuring the required and planned movement of the jaws and position of the PSIs. After segment removal, the PSIs fitted the predesigned drill holes with high precision and were secured without problems. The planned amount of mandibular and maxillary movement was achieved. The occlusion and osteotomies remained stable for the follow-up of 22 months. The use of PSIs combined with guided surgery can be beneficial for selected cases with asymmetry or posterior open bite enabling new approaches and yielding good functional and aesthetic outcome. The modification of conventional ramus osteotomy combined with utilization of ramus segment removal and the use of PSI for reposition is an interesting and promising technique for rare conditions with ramus height asymmetry. Full article
Show Figures

Figure 1

11 pages, 801 KB  
Article
The Global Impact of COVID-19 on Craniomaxillofacial Surgeons
by Justin van der Tas, Thomas Dodson, Daniel Buchbinder, Stefano Fusetti, Michael Grant, Yiu Yan Leung, Erich Roethlisberger, Gregorio Sánchez Aniceto, Alexander Schramm, Edward Bradley Strong and Eppo Wolvius
Craniomaxillofac. Trauma Reconstr. 2020, 13(3), 157-167; https://doi.org/10.1177/1943387520929809 - 31 May 2020
Cited by 9 | Viewed by 204
Abstract
Study Design: The COrona VIrus Disease-19 (COVID-19) pandemic has disrupted craniomaxillofacial (CMF) surgeons practice worldwide. We implemented a cross-sectional study and enrolled a sample of CMF surgeons who completed a survey. Objective: To measure the impact that COVID-19 has had on CMF surgeons [...] Read more.
Study Design: The COrona VIrus Disease-19 (COVID-19) pandemic has disrupted craniomaxillofacial (CMF) surgeons practice worldwide. We implemented a cross-sectional study and enrolled a sample of CMF surgeons who completed a survey. Objective: To measure the impact that COVID-19 has had on CMF surgeons by (1) identifying variations that may exist by geographic region and specialty and (2) measuring access to adequate personal protective equipment (PPE) and identify factors associated with limited access to adequate PPE. Methods: Primary outcome variable was availability of adequate PPE for health-care workers (HCWs) in the front line and surgeons. Descriptive and analytic statistics were computed. Level of statistical significance was set at P < .05. Binary logistic regression models were created to identify variables associated with PPE status (adequate or inadequate). Results: Most of the respondents felt that hospitals did not provide adequate PPE to the HCWs (57.3%) with significant regional differences (P = .04). Most adequate PPE was available to surgeons in North America with the least offered in Africa. Differences in PPE adequacy per region (P < .001) and per country (P < .001) were significant. In Africa and South America, regions reporting previous virus outbreaks, the differences in access to adequate PPE evaporated compared to Europe (P = .18 and P = .15, respectively). Conclusion: The impact of COVID-19 among CMF surgeons is global and adversely affects both clinical practice and personal lives of CMF surgeons. Future surveys should capture what the mid- and long-term impact of the COVID-19 crisis will look like. Full article
Show Figures

Figure 1

4 pages, 465 KB  
Brief Report
Inferior Oblique Entrapment After Orbital Fracture With Transection and Repair
by Andrea A. Tooley, Benjamin Levine, Kyle J. Godfrey, Richard D. Lisman, Ann Q. Tran and John E. Sherman
Craniomaxillofac. Trauma Reconstr. 2020, 13(3), 211-214; https://doi.org/10.1177/1943387520928652 - 21 May 2020
Cited by 1 | Viewed by 241
Abstract
Extraocular muscle (EOM) entrapment with resulting reduction in motility and diplopia is a known complication of orbital fractures. Less commonly, transection of the EOMs due to trauma, iatrogenic injury, or intentional myotomy may lead to persistent diplopia. The inferior oblique (IO) is often [...] Read more.
Extraocular muscle (EOM) entrapment with resulting reduction in motility and diplopia is a known complication of orbital fractures. Less commonly, transection of the EOMs due to trauma, iatrogenic injury, or intentional myotomy may lead to persistent diplopia. The inferior oblique (IO) is often encountered during orbital surgery along the medial wall and floor, and may be disinserted to aid in visualization. The authors present a case of IO entrapment which occurred during zygomaticomaxillary fracture reduction. Intraoperatively, an IO transection was performed and the muscle was reattached within the orbit. Postoperatively, the patient did not develop diplopia or motility disruption. This technique may provide a useful solution to an unusual problem during orbital fracture repair. Full article
Show Figures

Figure 1

6 pages, 632 KB  
Article
Reoperation in Zygomatico-orbital Trauma: A Review of Patients With Suboptimal Outcomes Following Initial Repair
by Richard Taylor, Deepshikha Kumar, Jai Ghelani and Iain Varley
Craniomaxillofac. Trauma Reconstr. 2020, 13(3), 205-210; https://doi.org/10.1177/1943387520923924 - 19 May 2020
Cited by 1 | Viewed by 166
Abstract
Introduction: Treatment to restore anatomy, function, and aesthetics after trauma should involve as little surgical insult as possible. As such, repeated procedures may suggest failed initial management. To date, no predictive factors for failure of primary surgery have been identified. Objectives: The aim [...] Read more.
Introduction: Treatment to restore anatomy, function, and aesthetics after trauma should involve as little surgical insult as possible. As such, repeated procedures may suggest failed initial management. To date, no predictive factors for failure of primary surgery have been identified. Objectives: The aim of this review was to identify factors affecting the requirement for reoperation following treatment of zygomatico-orbital injuries. Study Design and Methods: A retrospective review of patients undergoing surgery for zygomatico-orbital fractures between 2011 and 2019 in a single UK major trauma center was undertaken. All operative notes and imaging were reviewed independently by 2 authors to classify the fracture patterns for both zygomatic and orbital components of the injury. For all cases, the mode of preoperative imaging the grade of operating surgeon, materials used for fixation, and the surgical approaches were recorded. Results: Coding data identified 432 patients who underwent surgery for zygomatico-orbital fractures. In total, 116 cases were treated with closed reduction and 316 with open reduction and internal fixation; 20 cases required reoperation. There were no significant differences identified between cases requiring reoperation and those who did not. Conclusions: A need for repeated surgery is rare. However, this review identified an increased risk of infection of fixation when an intraoral approach was used and highlights the potential benefits that can be achieved by open reduction and internal fixation when more conservative approaches fail to achieve the desired outcome. Full article
Show Figures

Figure 1

6 pages, 143 KB  
Review
Review of Orbital Fractures in an Urban Level I Trauma Center
by Dina Amin, Kareem Al-Mulki, Oswaldo A. Henriquez, Angela Cheng, Steven Roser and Shelly Abramowicz
Craniomaxillofac. Trauma Reconstr. 2020, 13(3), 174-179; https://doi.org/10.1177/1943387520924515 - 8 May 2020
Cited by 9 | Viewed by 271
Abstract
Objective: To perform a comprehensive review and analysis of surgically treated orbital fractures. Study Design: Retrospective cohort chart review study for surgically treated orbital fractures during 5 years. Results: A total of 173 patients (average age 41.6 years) were diagnosed with orbital fractures. [...] Read more.
Objective: To perform a comprehensive review and analysis of surgically treated orbital fractures. Study Design: Retrospective cohort chart review study for surgically treated orbital fractures during 5 years. Results: A total of 173 patients (average age 41.6 years) were diagnosed with orbital fractures. Most were male with a ratio of 3.3:1. Most fractures were caused by assault (39.3%); 22.5% of the cases were bilateral. The left orbit (40.5%) was fractured more than the right. The orbital floor (97.1%) was the most common anatomic location and the maxilla (65.3%) was the most commonly involved bone. The average time from trauma to surgical intervention was 8.7 ± 14.6 days and the average time from surgical intervention to discharge was 5.1 ± 9.0 days. The transconjunctival incision (63%) was the most commonly used incision, and nonresorbable implant (92.7%) was the most commonly used implant. Finally, the length of stay for the repair of a simple orbital fracture was less than for complex orbital fracture (1.5 days and 5.9 days, respectively). Conclusion: Understanding the patterns and mechanisms of injury associated with orbital fractures can assist in developing standardized treatment protocols across all surgical specialties. This would ultimately allow for a uniform high quality of surgical care for patients with maxillofacial fractures. Full article
6 pages, 1456 KB  
Article
Assessment of the Learning Curve for Virtual Surgical Planning in Orbital Fractures
by Tsung-yen Hsieh, Mena Said, Raj D. Dedhia, Mary Roz Timbang, Toby O. Steele and Edward Bradley Strong
Craniomaxillofac. Trauma Reconstr. 2020, 13(3), 186-191; https://doi.org/10.1177/1943387520923940 - 5 May 2020
Cited by 6 | Viewed by 200
Abstract
Virtual surgical planning (VSP) is becoming more widely used in maxillofacial reconstruction and can be surgeon-based or industry-based. Surgeon-based models require software training but allow surgeon autonomy. We evaluate the learning curve for VSP through a prospective cohort study in which planning [...] Read more.
Virtual surgical planning (VSP) is becoming more widely used in maxillofacial reconstruction and can be surgeon-based or industry-based. Surgeon-based models require software training but allow surgeon autonomy. We evaluate the learning curve for VSP through a prospective cohort study in which planning times and accuracy of 7 otolaryngology residents with no prior VSP experience were compared to that of a proficient user after a single training protocol and 6 planning sessions for orbital fractures. The average planning time for the first session was 21 minutes 41 seconds ± 6 minutes 11 seconds with an average maximum deviation of 2.5 ± 0.8 mm in the lateral orbit and 2.3 ± 0.6 mm in the superior orbit. The average planning time for the last session was 13 minutes 5 seconds ± 10 minutes and 7 seconds with an average maximum deviation of 1.4 ± 0.5 mm in the lateral orbit and 1.3 ± 0.4 mm in the superior orbit. Novice users reduced planning time by 40% and decreased maximum deviation of plans by 44% and 43% in the lateral and superior orbits, respectively, approaching that of the proficient user. Virtual surgical planning has a quick learning curve and may be incorporated into surgical training. Full article
Show Figures

Figure 1

6 pages, 193 KB  
Article
Clinical Criteria for Selective Exploration of Orbital Floor in Zygomaticomaxillary Complex Fractures
by Venkatesh Anehosur, Jayesh Nathani, Nikhil Nagraj and Krithi Nikhil
Craniomaxillofac. Trauma Reconstr. 2020, 13(3), 180-185; https://doi.org/10.1177/1943387520922035 - 1 May 2020
Cited by 6 | Viewed by 254
Abstract
Purpose: Exposing the orbital floor requires a surgical procedure that has its own challenges. Despite the meticulous clinical examination followed by sophisticated imaging modalities, orbital floor defects associated with zygomaticomaxillary complex (ZMC) fractures may evade diagnosis and appropriate management. If surgeons can decide [...] Read more.
Purpose: Exposing the orbital floor requires a surgical procedure that has its own challenges. Despite the meticulous clinical examination followed by sophisticated imaging modalities, orbital floor defects associated with zygomaticomaxillary complex (ZMC) fractures may evade diagnosis and appropriate management. If surgeons can decide about the need for orbital floor exploration in patients with ZMC fracture, the chance of a postoperative eyelid deformity can be prevented. The aim of this article is to assess whether an association exists between the pattern of fracture line and the need for exploration of the orbital floor in ZMC fracture. Materials and Methods: A retrospective study of 94 patients with isolated, unilateral ZMC fractures who were treated at our unit by open reduction of the ZMC complex with internal orbital exploration from January 2016 to January 2018. The records of all patients were reviewed and specific data related to fracture pattern and orbital floor defect were registered and assessed. Results: Of the 94 cases with isolated, unilateral ZMC fractures, in 80 cases the fracture line propagated to the orbital floor, which required exploration but did not required any reconstruction and only the infraorbital rim was addressed; 14 of them required orbital floor reconstruction. Among the cases which required orbital floor reconstruction, the majority of the cases where those with fracture involving medial side of infraorbital foramen (n = 10) followed by lateral side (n = 3) and through the foramen (n = 0) and lastly bilateral side of the foramen (n = 1). Conclusion: The present study highlights the pattern of fracture line at the level of infraorbital rim can predict the need for orbital floor exploration while treating ZMC fractures for purpose of orbital floor reconstruction. Based on the results and a review of the records, authors strongly recommend the need for exploration of orbital floor when the fracture line passes medial to the infraorbital foramen. Full article
Show Figures

Figure 1

7 pages, 444 KB  
Article
The Utility of Postoperative Computed Tomography Imaging Following Isolated Orbital Blowout Fracture Repair
by Sara E. Francomacaro, Jana A. Bregman, Kalpesh T. Vakharia and Francis L. Grumbine
Craniomaxillofac. Trauma Reconstr. 2020, 13(3), 198-204; https://doi.org/10.1177/1943387520922048 - 30 Apr 2020
Cited by 3 | Viewed by 207
Abstract
Purpose: To determine the clinical utility of computed tomography (CT) imaging following isolated orbital blowout fracture (OBF) repair. Methods: Single-center retrospective review of adult patients undergoing surgical repair of isolated OBFs between November 2008 and August 2016 who received postoperative CT scans. Preoperative [...] Read more.
Purpose: To determine the clinical utility of computed tomography (CT) imaging following isolated orbital blowout fracture (OBF) repair. Methods: Single-center retrospective review of adult patients undergoing surgical repair of isolated OBFs between November 2008 and August 2016 who received postoperative CT scans. Preoperative and postoperative examination data, postoperative imaging reads, postoperative courses, and any reoperation documentation were collected from electronic medical records. Postoperative imaging findings were categorized as major, indeterminate, or minor by predicted impact on clinical management. Major findings indicated a need for reoperation, indeterminate a potential reoperation, and minor no reoperation. Results: Fifty-two cases met inclusion criteria: 94.2% (n = 49) of postoperative scans included minor findings, 34.6% (n = 18) indeterminate findings, and 19.2% (n = 10) major findings. Three patients returned to the operating room (OR) for surgical revision. All 3 had a significant and concerning change on postoperative examination. Only 1 also had a major finding on postoperative imaging. The remaining 49 patients had benign postoperative examinations, despite 9 (17.3%) with major imaging findings who did not undergo reoperation. Conclusions: In the majority of OBF repairs, postoperative CT scan findings were not predictive of a need to return to the OR for revision. Reoperation was instead largely prompted by concerning changes in the postoperative clinical examination. Our findings suggest that postoperative imaging in the absence of clinical concern should not be included in the surgical management of isolated OBFs. Instead, targeted imaging will help reduce radiation exposure and health-care costs without sacrificing patient care. Full article
Show Figures

Figure 1

6 pages, 213 KB  
Article
Associated Ophthalmic Injuries in Patients With Fractures of the Midface
by Michael Blumer, Claudio Rostetter, Jean-Pierre Johner, Julian J. Ebner, Daniel Wiedemeier, Martin Rücker and Thomas Gander
Craniomaxillofac. Trauma Reconstr. 2020, 13(3), 168-173; https://doi.org/10.1177/1943387520922056 - 28 Apr 2020
Cited by 11 | Viewed by 249
Abstract
Purpose: Concomitant ophthalmic injuries are common in patients with facial fractures, though frequency varies widely in the literature. Major ophthalmic injuries can have drastic consequences for patients, and permanent visual impairment cannot be prevented in all cases. This study analyzed the frequency and [...] Read more.
Purpose: Concomitant ophthalmic injuries are common in patients with facial fractures, though frequency varies widely in the literature. Major ophthalmic injuries can have drastic consequences for patients, and permanent visual impairment cannot be prevented in all cases. This study analyzed the frequency and distribution pattern of associated ophthalmic injuries in patients who received operative treatment for fractures of the midface. Material and Methods: The clinical information system was searched for patients with midface fractures that were treated operatively between December 2014 and November 2017. Demographic, fracture-related, and ophthalmic data were assessed and statistically analyzed. Results: This study included 282 patients. The most common fracture types were zygomaticomaxillary complex fractures and orbital floor fractures. Falls and violence were the most common causes of fractures (43.3% and 24.5%, respectively). Chemosis and subconjunctival bleeding were the most common associated eye injuries. The most prevalent long-term eye injury was diplopia, which was identified in 18.4% of cases preoperatively. Postoperative diplopia persisted in 36 cases (12.8%) at 3-month follow-up. Optic neuropathy, enophthalmos, exophthalmos, and retrobulbar hematomas were identified infrequently. Conclusion: Minor ophthalmic injuries, including chemosis and subconjunctival bleeding, are more frequently associated with midface trauma. These minor injuries tend to heal quickly and without sequela. Major ophthalmic injuries, including retinal detachment, optic neuropathy, and retrobulbar hematomas, are identified less frequently. Special attention should be paid to patients with diplopia, as this condition may persist and have long-term occupational consequences. Therefore, close interdisciplinary collaboration is essential when treating patients with fractures of the midface to prevent permanent visual impairment. Full article
Show Figures

Figure 1

7 pages, 219 KB  
Review
Etiopathogenesis of Trismus in Patients With Head and Neck Cancer: An Exploratory Literature Review
by Radhu Raj, Krishnakumar Thankappan, Chandrasekhar Janakiram, Subramania Iyer and Anil Mathew
Craniomaxillofac. Trauma Reconstr. 2020, 13(3), 219-225; https://doi.org/10.1177/1943387520917518 - 27 Apr 2020
Cited by 17 | Viewed by 393
Abstract
Trismus refers to a person’s inability to normally open his or her mouth. Trismus can occur as a symptom due to tumor ingrowth or it can occur postsurgical following the treatment for head and neck cancer. Radiation-induced trismus is also a relatively common [...] Read more.
Trismus refers to a person’s inability to normally open his or her mouth. Trismus can occur as a symptom due to tumor ingrowth or it can occur postsurgical following the treatment for head and neck cancer. Radiation-induced trismus is also a relatively common oral complication. This review aimed at reviewing the etiopathogenesis of trismus in patients with head and neck cancer. Of the 16 publications included after final screening, of which one was a nonrandomized control trial, one a randomized control trial, 6 prospective cohort studies, and 8 retrospective cohort studies. Among them, 6 articles addressed the possible mechanism for trismus related to tumor ingrowth, 8 articles suggested the likely reason for trismus in patients who had undergone radiation therapy and 2 articles addressed the postsurgical cause for trismus. This review highlights the possible involvement of infratemporal fossa as a predetermining factor for developing trismus related to tumor extension. The molecular mechanism of radiation-induced fibrosis is well studied in the literature. Full article
Show Figures

Figure 1

6 pages, 388 KB  
Article
Role of Plain Radiographs in Assessing Appropriate Placement of Orbital Implants for Repair of Floor Fractures
by Hooman Nikizad and Warren Schubert
Craniomaxillofac. Trauma Reconstr. 2020, 13(3), 192-197; https://doi.org/10.1177/1943387520905999 - 8 Apr 2020
Viewed by 176
Abstract
Intraoperative imaging is becoming increasingly common in repair of facial fractures. Many institutions do not have access to intraoperative advanced 3D imaging but have the capability of obtaining plain radiographs intraoperatively. At institutions where advanced 3D imaging is available, scout radiographs are usually [...] Read more.
Intraoperative imaging is becoming increasingly common in repair of facial fractures. Many institutions do not have access to intraoperative advanced 3D imaging but have the capability of obtaining plain radiographs intraoperatively. At institutions where advanced 3D imaging is available, scout radiographs are usually obtained prior to a complete scan. These scout images can provide some information about the placement of radiopaque implants before a complete scan is performed. The aim of this study is to examine the correct anatomic positioning of an orbital floor implant using lateral plain radiographs. Titanium orbital fan implants were molded and secured to orbital floor of 14 adult dry skulls (7 males and 7 females). Lateral radiographs were obtained for both the left and the right orbits individually. The antero-posterior angle of inclination that the implant makes relative to the Frankfort horizontal plane was measured, and results were compared in the male versus female radiographs. The mean angle that the implant made with the Frankfort horizontal plane was 20.1±2.4° in the male orbits (95% CI 18.8-21.5°) and 22.6 ± 2.0° in the female orbits (95% CI, 21.4-23.7°). We found no statistically significant differences between the male and female angles (P-value 0.62). For the combined specimens (i.e., 28 sides in 14 skulls), the overall mean angle was 21.4 ± 2.5° (95% CI, 20.4-22.3°). Based on these findings, the angle that the implant makes with the Frankfort horizontal plane on lateral cross-table plain radiographs can be used intraoperatively to assist the surgeon in confirming the appropriate placement of the implant. Full article
Show Figures

Figure 1

4 pages, 218 KB  
Review
The Anomalous Radial Artery: A Rare Vascular Variant and Its Implications in Radial Forearm Free Tissue Transfer
by Maximilian H. Staebler, Charles Lane Anzalone and Daniel L. Price
Craniomaxillofac. Trauma Reconstr. 2020, 13(3), 215-218; https://doi.org/10.1177/1943387520904206 - 7 Apr 2020
Cited by 2 | Viewed by 159
Abstract
The radial forearm free flap (RFFF) has become a workhorse for soft tissue reconstruction following surgical ablation of head and neck cancer. Given the popularity of the RFFF, it is important to understand potential variants of upper extremity vascular anatomy and the effects [...] Read more.
The radial forearm free flap (RFFF) has become a workhorse for soft tissue reconstruction following surgical ablation of head and neck cancer. Given the popularity of the RFFF, it is important to understand potential variants of upper extremity vascular anatomy and the effects of these findings on pre- and intraoperative planning. The purpose of this series is to synthesize the existing literature to raise awareness for potential radial artery aberrations during planned reconstruction. Full article
Show Figures

Figure 1

Previous Issue
Next Issue
Back to TopTop