Next Issue
Volume 14, March
Previous Issue
Volume 13, September
 
 
Craniomaxillofacial Trauma & Reconstruction is published by MDPI from Volume 18 Issue 1 (2025). Previous articles were published by another publisher in Open Access under a CC-BY (or CC-BY-NC-ND) licence, and they are hosted by MDPI on mdpi.com as a courtesy and upon agreement with Sage.

Craniomaxillofac. Trauma Reconstr., Volume 13, Issue 4 (December 2020) – 13 articles

  • Issues are regarded as officially published after their release is announced to the table of contents alert mailing list.
  • You may sign up for e-mail alerts to receive table of contents of newly released issues.
  • PDF is the official format for papers published in both, html and pdf forms. To view the papers in pdf format, click on the "PDF Full-text" link, and use the free Adobe Reader to open them.
Order results
Result details
Select all
Export citation of selected articles as:
7 pages, 484 KB  
Article
Resolution of Vertical Gaze Following a Delayed Presentation of Orbital Floor Fracture With Inferior Rectus Entrapment: The Contributions of Charles E. Iliff and Joseph S. Gruss in Orbital Surgery
by Arvind U. Gowda, Paul N. Manson, Nicholas Iliff, Michael P. Grant and Arthur J. Nam
Craniomaxillofac. Trauma Reconstr. 2020, 13(4), 253-259; https://doi.org/10.1177/1943387520965804 - 18 Nov 2020
Cited by 3 | Viewed by 319
Abstract
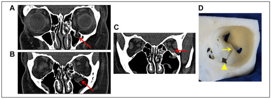
Introduction: Orbital floor fractures occur commonly as a result of blunt trauma to the face and periorbital region. Orbital floor fractures with a “trapdoor” component allow both herniation and incarceration of contents through a bone defect into the maxillary sinus as the bone [...] Read more.
Introduction: Orbital floor fractures occur commonly as a result of blunt trauma to the face and periorbital region. Orbital floor fractures with a “trapdoor” component allow both herniation and incarceration of contents through a bone defect into the maxillary sinus as the bone rebounds faster than the soft tissue, trapping muscle, fat, and fascia in the fracture site. In children, the fractured floor, which is often hinged on one side, tends to return toward its original anatomical position due to the incomplete nature of the fracture and elasticity of the bone. The entrapment of the inferior rectus muscle itself is considered a true surgical emergency—prolonged entrapment frequently leads to muscle ischemia and necrosis leading to permanent limitation of extraocular motility and difficult to correct diplopia. For this reason, prompt surgical intervention is recommended by most surgeons. In adults, true entrapment of the muscle itself is not as common because the orbital floor is not as elastic and fractures are more complete. Methods: We present an adult patient with an isolated orbital floor fracture with clinical and radiologic evidence of true entrapment of the inferior rectus muscle itself. Results: Despite the delayed surgical repair (4 days after the injury), the patient’s inferior rectus muscle function returned to near normal with mild upward gaze diplopia. Conclusions: Inferior rectus entrapment in adults may more likely be associated with immobilization of the muscle without total vascular compression/incarceration significant enough to lead to complete ischemic necrosis. Full article
Show Figures

Figure 1

5 pages, 177 KB  
Article
Distinguishing Between Lambdoid Craniosynostosis and Deformational Plagiocephaly: A Review of This Paradigm Shift in Clinical Decision-Making and Lesson for the Future
by Craig B. Birgfeld and Carrie Heike
Craniomaxillofac. Trauma Reconstr. 2020, 13(4), 248-252; https://doi.org/10.1177/1943387520965801 - 18 Nov 2020
Cited by 7 | Viewed by 287
Abstract
The cause of occipital asymmtery can be either extrinsic or intrinsic. Intrinsic causes include lambdoid craniosynsotosis. This condition is generally treated with cranial vault expansion surgery. Extrinsic causes include deformational plagiocephaly, which became commonplace after the “Back to Sleep Campaign” instituted in the [...] Read more.
The cause of occipital asymmtery can be either extrinsic or intrinsic. Intrinsic causes include lambdoid craniosynsotosis. This condition is generally treated with cranial vault expansion surgery. Extrinsic causes include deformational plagiocephaly, which became commonplace after the “Back to Sleep Campaign” instituted in the 1980s by the American Academy of Pediatrics. The treatment of this condition is non surgical. Dr. Joseph Gruss was instumental in differentiating between these conditions and reducing the number of unnecessary surgeries that were previously being performed. Full article
Show Figures

Figure 1

2 pages, 85 KB  
Editorial
Craniomaxillofacial Surgery and the Legacy of Joseph S. Gruss
by Richard A. Hopper and Srinivas M. Susarla
Craniomaxillofac. Trauma Reconstr. 2020, 13(4), 246-247; https://doi.org/10.1177/1943387520965803 - 18 Nov 2020
Cited by 1 | Viewed by 156
Abstract
Craniomaxillofacial (CMF) surgery is unique, not only in the breadth and depth of clinical problems treated by practitioners but also because of the inter- and multidisciplinary nature of the care required for patients with congenital, post-ablative, and post-traumatic facial differences [...] Full article
1 pages, 76 KB  
Other
“JOE” (JOSEPH S. GRUSS, MD)
by Paul N. Manson
Craniomaxillofac. Trauma Reconstr. 2020, 13(4), 245; https://doi.org/10.1177/1943387520965805 - 18 Nov 2020
Viewed by 178
Abstract
It has been over a year since the death of Joseph Gruss, MD, and it really does not seem possible that he is not still here [...] Full article
8 pages, 2477 KB  
Article
A Study of Aesthetic and Functional Outcome Following Structural Fat Grafting for Facial Scars and Contour Deformity
by Anantheswar Y. N. Rao, Sudarshan Nagireddy Reddy, Ashok Basroor Chandrappa, Srikanth Vasudevan and Rittu Batth
Craniomaxillofac. Trauma Reconstr. 2020, 13(4), 305-312; https://doi.org/10.1177/1943387520948709 - 11 Sep 2020
Cited by 4 | Viewed by 251
Abstract
Study Design: This is a prospective observational study of 60 consecutive cases with facial scars and contour deformity who underwent structural fat grafting. Objectives: The aim of the present article is to highlight how fat grafting helps to improve aesthetic and functional outcome [...] Read more.
Study Design: This is a prospective observational study of 60 consecutive cases with facial scars and contour deformity who underwent structural fat grafting. Objectives: The aim of the present article is to highlight how fat grafting helps to improve aesthetic and functional outcome in facial scars and contour deformities. It also highlights the factors that need to be considered while planning autologous fat grafting to get better aesthetic results. Methods: This is a prospective observational study of 60 consecutive cases with facial scars and contour deformity. The study was conducted from May 2014 to April 2019 in a tertiary care hospital. All the patients were followed up for a minimum period of 1 year from the date of surgery. Assessment of post-operative aesthetic outcome, in terms of satisfaction, was done using the Visual Analogue Scale (VAS), which ranges from 1 to 10 by the patient and operative surgeon. Results: The mean age was 30.8 9.8 years. Out of 60 patients, 20 patients underwent additional procedure like dermabrasion and collagen dressing to improve aesthetic outcome. Among 60 patients, 24 patients had transient edema and 10 patients had bruising at the recipient site. There were no major donor site complications except pain which was managed conservatively. Mean patient satisfaction score is 7 and mean surgeon satisfaction score is 7.25. Conclusions: Despite the ongoing concerns about survival and longevity of fat grafts and also unpredictability of long-term outcomes, fat grafting has become a very useful surgical tool to improve the quality of facial scars and correct contour deformity. Our series shows excellent outcome both clinically as well as from the patient satisfaction. Future research is warranted in the fields of the adipocyte derived stem cells and to expand the clinical application of fat grafting. Full article
Show Figures

Figure 1

5 pages, 479 KB  
Article
Variations of the Anatomy and Bony Landmarks of Deep Circumflex Iliac Artery in a Select Kenyan Population
by Krishan Sarna, Thomas Amuti, Fawzia Butt, Martin Kamau and Anne Muriithi
Craniomaxillofac. Trauma Reconstr. 2020, 13(4), 300-304; https://doi.org/10.1177/1943387520958333 - 10 Sep 2020
Cited by 3 | Viewed by 170
Abstract
Background: The deep circumflex iliac artery (DCIA) is a large caliber artery which branches laterally from the external iliac artery (EIA), directly opposite the origin of the inferior epigastric artery (IEA). Population variations have been reported in its origin, length, and branching patterns. [...] Read more.
Background: The deep circumflex iliac artery (DCIA) is a large caliber artery which branches laterally from the external iliac artery (EIA), directly opposite the origin of the inferior epigastric artery (IEA). Population variations have been reported in its origin, length, and branching patterns. These may alter its relationship to palpable surgical landmarks such as the anterior superior iliac spine (ASIS) and the pubic tubercle (PT) which are used to locate the artery preoperatively, thus predisposing it iatrogenic injury. Despite this, there is paucity of data from the Kenyan setting. Study Design: Cross-sectional study design. Objective: To determine the variations of the anatomy and bony landmarks of the Deep circumflex iliac artery in a select Kenyan population. Methods: A total of 104 DCIA from 52 formalin fixed adult cadavers were dissected to expose the DCIA, following which its vessel of origin and distance from the ASIS and PT, relation to the inguinal ligament (IL), length and branching patterns were noted. The average of the measurements were calculated. All data were collected and analyzed using Microsoft Excel 2007 (Microsoft Corporation, Redmond, WA). Representative photos of the vessel and its variations were taken. Results: The DCIA was found to be present and bilaterally symmetrical in all cadavers. In all cases observed, it originated as a lateral branch from the EIA (100%), opposite the IEA and directly behind the IL in 98% of the cases. Its average distance from the ASIS along the IL was 7.28 ± 0.99, while it was 5.91 ± 1.03 from the pubic tubercle to its origin. Its length ranged from 3.7 cm to 9.5 cm, with an average length of 3.86 cm in the right limb and 3.67 cm in the left limb. As regards its branching patterns, in 78% of the cases, it bifurcated into the horizontal and ascending branches, in 6%, it trifurcated and in 4%, it divided into more than 3, exhibiting a fine tree-like branching (arborization). Conclusions: The DCIA in our setting exhibited variations from other settings and an increase in awareness of these variations will probably reduce future iatrogenic lesions of the DCIA and its major branches in Kenya. Full article
Show Figures

Figure 1

16 pages, 500 KB  
Review
Treatment Algorithm for Hyaluronic Acid-Related Complication Based on a Systematic Review of Case Reports, Case Series, and Clinical Experience
by Uri Aviv, Josef Haik, Nathaniel Weiss, Ariel Berl, Hagit Ofir, Gil Nardini, Michelle Cleary, Rachel Kornhaber and Moti Harats
Craniomaxillofac. Trauma Reconstr. 2020, 13(4), 313-328; https://doi.org/10.1177/1943387520952687 - 1 Sep 2020
Cited by 10 | Viewed by 614
Abstract
Study Design: Systematic review of hyaluronic acid (HA)-related complications. Objective: To systematically review all available literature including case reports and case series to identify a pattern for the management of vascular compromise resulting in facial skin ischemia and ocular manifestations following HA injection. [...] Read more.
Study Design: Systematic review of hyaluronic acid (HA)-related complications. Objective: To systematically review all available literature including case reports and case series to identify a pattern for the management of vascular compromise resulting in facial skin ischemia and ocular manifestations following HA injection. Methods: This review was based on a systematic search of 3 electronic databases PubMed, CINAHL, and Scopus for all available literature including case series and case reports from database inception to July 2019. Only a total of 52 case reports/series were eligible for review and included 107 patients. Results: The reviewed literature available was comprised from case reports/series and indicated that management of both impending skin necrosis and visual disturbances is variable with no repetitive pattern of action. Yet, successful management is time dependent as early interventions stopped progression and, in some cases, even reversed adverse effects. Conclusions: Results found no universal protocol for achieving optimal results for adverse effects and as such, we present a step-by-step algorithm for the emergency management of complications following HA injection. Full article
Show Figures

Figure 1

8 pages, 1080 KB  
Article
Utilization of Virtual Surgical Planning for Surgical Splint-Assisted Comminuted Maxillomandibular Fracture Reduction and/or Fixation
by Wichuda Kongsong and Somsak Sittitavornwong
Craniomaxillofac. Trauma Reconstr. 2020, 13(4), 334-341; https://doi.org/10.1177/1943387520948677 - 17 Aug 2020
Cited by 9 | Viewed by 185
Abstract
Study Design: This article was a technical note. Objective: To demonstrate the utilization of virtual surgical planning for surgical splint (VSPSS) fabrication. The VSPSS was used as an intraoperative assisting and guiding tool for reduction and/or fixation of treatment of comminuted [...] Read more.
Study Design: This article was a technical note. Objective: To demonstrate the utilization of virtual surgical planning for surgical splint (VSPSS) fabrication. The VSPSS was used as an intraoperative assisting and guiding tool for reduction and/or fixation of treatment of comminuted maxillomandibular fractures. Methods: The presented technical note showed the fabrication process that began with data acquisition and presurgical planning using virtual surgical planning (VSP). The VSPSS was designed and fabricated after the fractures were reduced digitally in VSP. In the operating room, the VSPSS was seated to guide reduction and/or allow satisfactory fixation in three different situations. Results: Postoperative radiographs showed an acceptable reduction of the fractures. All patients had stable and repeatable occlusion postoperatively. Conclusions: The VSPSS is a feasible tool for surgeons to assist in the comminuted maxillomandibular fracture management, decrease operating time, and improve fracture stability. Full article
Show Figures

Figure 1

10 pages, 2295 KB  
Article
Clinical Accuracy of 3D-Planned Maxillary Positioning Using CAD/CAM-Generated Splints in Combination With Temporary Mandibular Fixation in Bimaxillary Orthognathic Surgery
by S. Pietzka, F. Mascha, K. Winter, P. W. Kämmerer, A. Sakkas, A. Schramm and F. Wilde
Craniomaxillofac. Trauma Reconstr. 2020, 13(4), 290-299; https://doi.org/10.1177/1943387520949348 - 17 Aug 2020
Cited by 8 | Viewed by 167
Abstract
Study Design: The aim of this study was to evaluate the accuracy of 3-dimensional (3D)-planned maxillary positioning by using computer-assisted design (CAD)/computer-assisted manufacturing (CAM) splints combined with temporary mandibular fixation in bimaxillary orthognathic surgery. In orthognathic surgery, customized splints work sufficiently well to [...] Read more.
Study Design: The aim of this study was to evaluate the accuracy of 3-dimensional (3D)-planned maxillary positioning by using computer-assisted design (CAD)/computer-assisted manufacturing (CAM) splints combined with temporary mandibular fixation in bimaxillary orthognathic surgery. In orthognathic surgery, customized splints work sufficiently well to transfer preoperative planning into the operation site for transverse und sagittal positioning of the maxilla. The vertical positioning is more difficult due to the non-fixed mandibular reference. Therefore, the combined use of CAD/CAM splints and temporary mandibular fixation to the zygomatic region was applied for transferring the 3D-planned maxillary position into the operation site from 2012 until 2015 in our hospital. Objective: In addition to the general accuracy, the precision should therefore be checked especially in the vertical plane compared to axial and sagittal plane. Methods: In this retrospective study, we calculated the deviation of 5 occlusal landmarks of the maxilla in 35 consecutive patients by fusing preoperative 3D planning images and postoperative computed tomography scans after bimaxillary surgery. Results: The overall median deviation of maxillary positioning between plan and surgical result was 0.99 mm. The accuracy of left–right positioning was median 0.96 mm. Anterior–posterior positioning of the maxilla showed a median accuracy of 0.94 mm. Just slightly higher values were determined for the upward–downward positioning (median 1.06 mm). Conclusions: This demonstrates the predictability of maxillary positioning by using CAD/CAM splints in combination with temporary mandibular fixation in all 3 axes. Full article
Show Figures

Figure 1

5 pages, 168 KB  
Article
Mandibular Reconstruction With Block Iliac Crest: An Institutional Experience
by Camila Camarini, Guilherme Spagnol, Manuela Monteiro Pinotti, Alan Motta do Canto, Fernando Alves Maciel and Ronaldo Rodrigues de Freitas
Craniomaxillofac. Trauma Reconstr. 2020, 13(4), 285-289; https://doi.org/10.1177/1943387520922763 - 17 Aug 2020
Cited by 3 | Viewed by 352
Abstract
Study Design: Mandibular reconstruction is a challenge. Several reconstructive techniques are available, and the individualization of choice for each patient leads to better results and quality of life for the individual. Objective: The aim of this study is to evaluate the characteristics and [...] Read more.
Study Design: Mandibular reconstruction is a challenge. Several reconstructive techniques are available, and the individualization of choice for each patient leads to better results and quality of life for the individual. Objective: The aim of this study is to evaluate the characteristics and complications of cases submitted to mandibular reconstruction with autogenous bone graft block of the iliac crest. Methods: Records of 45 patients undergoing mandibular reconstruction with autogenous bone graft block of the iliac crest were analyzed from January 2000 to December 2014. The data collected included age, gender, etiology and graft size, surgical approach, complications, comorbidities, and habits and addictions. Analysis of variance, chi-square test, and Fisher exact test were used for analysis of the variables with a significance level of P < .05. Results: The success rate of the 45 charts analyzed was 75.6%. No statistical differences were found between age and presence of complications, between defect size and presence or absence of complications, and between type of surgical approach and presence or absence of complications. Conclusion: According to our study, medical history may influence postoperative complications and require attention, though further studies should be performed to further elucidate the relationship between diseases and postoperative complications. Full article
Show Figures

Figure 1

5 pages, 262 KB  
Article
Ceramic 3D-Printed Titanium Cranioplasty
by Maurice Y. Mommaerts, Paul R. Depauw and Erik Nout
Craniomaxillofac. Trauma Reconstr. 2020, 13(4), 329-333; https://doi.org/10.1177/1943387520927916 - 16 Jul 2020
Cited by 13 | Viewed by 288
Abstract
Study Design: Inlay cranioplasties following partial craniectomy in tumor or trauma cases and onlay cranioplasties for reconstructions of residual developmental skull anomalies are frequently performed using CAD-CAM techniques. Objective: In this case series, we present a novel cranial implant design, being a combination [...] Read more.
Study Design: Inlay cranioplasties following partial craniectomy in tumor or trauma cases and onlay cranioplasties for reconstructions of residual developmental skull anomalies are frequently performed using CAD-CAM techniques. Objective: In this case series, we present a novel cranial implant design, being a combination of 3D-printed titanium grade 23 and calcium phosphate paste (CeTi). Methods: The titanium patient-specific implant, manufactured using selective laser melting, has a latticed border with interconnected micropores. The cranioplasty is miniscrew fixed and its border zone subsequently partially filled with calcium phosphate paste to promote osteoinduction and osteoconduction. From April 2017 to April 2019, 8 patients have been treated with such a CeTi implant. The inlay cranioplasties were each time revision surgeries of complicated cases. Results: All implants were successful after a limited follow-up time (range 18-42 months). There were no dehiscences and no infections, and no complaints of thermal conduction. Conclusions: The proposed CeTi cranial implant combines the strength of titanium implants with the biological integration potential of ceramic implants and seems particularly resistant to infection, probably due to the biofunctionalized titanium surface and the antimicrobial activity of elevated intracellular free calcium levels. Full article
Show Figures

Figure 1

18 pages, 340 KB  
Article
Segmental Mandibular Reconstruction Using Tissue Engineering Strategies: A Systematic Review of Individual Patient Data
by Vinay V. Kumar, Elke Rometsch, Andreas Thor, Eppo Wolvius and Anahí Hurtado-Chong
Craniomaxillofac. Trauma Reconstr. 2020, 13(4), 267-284; https://doi.org/10.1177/1943387520917511 - 8 Apr 2020
Cited by 5 | Viewed by 344
Abstract
Objective: The aim of the systematic review was to analyze the current clinical evidence concerning the use of tissue engineering as a treatment strategy for reconstruction of segmental defects of the mandible and their clinical outcomes using individual patient data. Methods: A systematic [...] Read more.
Objective: The aim of the systematic review was to analyze the current clinical evidence concerning the use of tissue engineering as a treatment strategy for reconstruction of segmental defects of the mandible and their clinical outcomes using individual patient data. Methods: A systematic review of the literature was conducted using PubMed and Cochrane Library on May 21, 2019. The eligibility criteria included patients in whom segmental mandibular reconstruction was carried out using tissue engineering as the primary treatment strategy. After screening and checking for eligibility, individual patient data were extracted to the extent it was available. Data extraction included the type of tissue engineering strategy, demographics, and indication for treatment, and outcomes included clinical and radiographic outcome measures, vitality of engineered bone, dental rehabilitation, and patient-reported outcome measures and complications. Results: Out of a total of 408 articles identified, 44 articles reporting on 285 patients were included, of which 179 patients fulfilled the inclusion criteria. The different tissue engineering treatment strategies could be broadly classified into 5 groups: “prefabrication,” “cell culture,” “bone morphogenetic protein (BMP) without autografts,” “BMP with autografts,” and “scaffolds containing autografts.” Most included studies were case reports or case series. A wide variety of components were used as scaffolds, cells, and biological substances. There was not a single outcome measure that was both objective and consistently reported, although most studies reported successful outcome. Discussion: A wide variety of tissue engineering strategies were used for segmental mandibular reconstruction that could be classified into 5 groups. Due to the low number of treated patients, lack of standardized and consistent reporting outcomes, lack of comparative studies, and low evidence of reported literature, there is insufficient evidence to recommend any particular tissue engineering strategy. Full article
Show Figures

Figure 1

7 pages, 764 KB  
Article
Free Dermal Fat Graft for Reconstruction of Soft Tissue Defects in the Maxillofacial Region
by Sabah Abdul-Aziz Issa and Mustafa Emaduldeen Jameel
Craniomaxillofac. Trauma Reconstr. 2020, 13(4), 260-266; https://doi.org/10.1177/1943387520910678 - 8 Apr 2020
Cited by 7 | Viewed by 232
Abstract
Study Design: Facial contour deformities are a very challenging issue for aesthetic and reconstructive surgeons. Free dermal fat graft is a composite graft used for the reconstruction of soft tissue defects in the maxillofacial region. The free dermal fat graft is easily adapted [...] Read more.
Study Design: Facial contour deformities are a very challenging issue for aesthetic and reconstructive surgeons. Free dermal fat graft is a composite graft used for the reconstruction of soft tissue defects in the maxillofacial region. The free dermal fat graft is easily adapted and contoured intraoperatively and provides a soft, natural, and favorable appearance after augmentation of the soft tissue defects. Objective: To assess the use of free dermal fat graft for reconstruction of soft tissue defects in the maxillofacial region in regard to graft success, percentage of overcorrection, any associated complications, and cone beam computed tomography scan linear measurements for defect’s depth. Methods: This is a prospective study that included a patients were grafted with free dermal fat graft for correction of facial soft tissue defects from November 2017 to July 2019. All patients possess a depression defect and facial asymmetry due to congenital facial deformities, post-traumatic deformities, and post-ablative surgical deformities. Results: Eleven patients (8 males and 3 females) with a mean age of 33.7 years were enrolled in this study. Five regions in the maxillofacial area were grafted in 11 patients. The mean of the postoperative follow-up was 6 months. The percentage of graft overcorrection was 15%. The mean for graft survival was 94.4% with no serious complications reported. Conclusions: The autologous FDFG is a versatile and less invasive method in the reconstruction of facial soft tissue defects with a very good survival rate. Full article
Show Figures

Figure 1

Previous Issue
Next Issue
Back to TopTop