CAD/CAM Engineered Patient-Specific Impants as a Reposition Device in Le Fort I and Modified Subcondylar Osteotomies: Case Report of Facial Deformity Correction in Acromegaly
Abstract
:Introduction
Case Report
The Patient
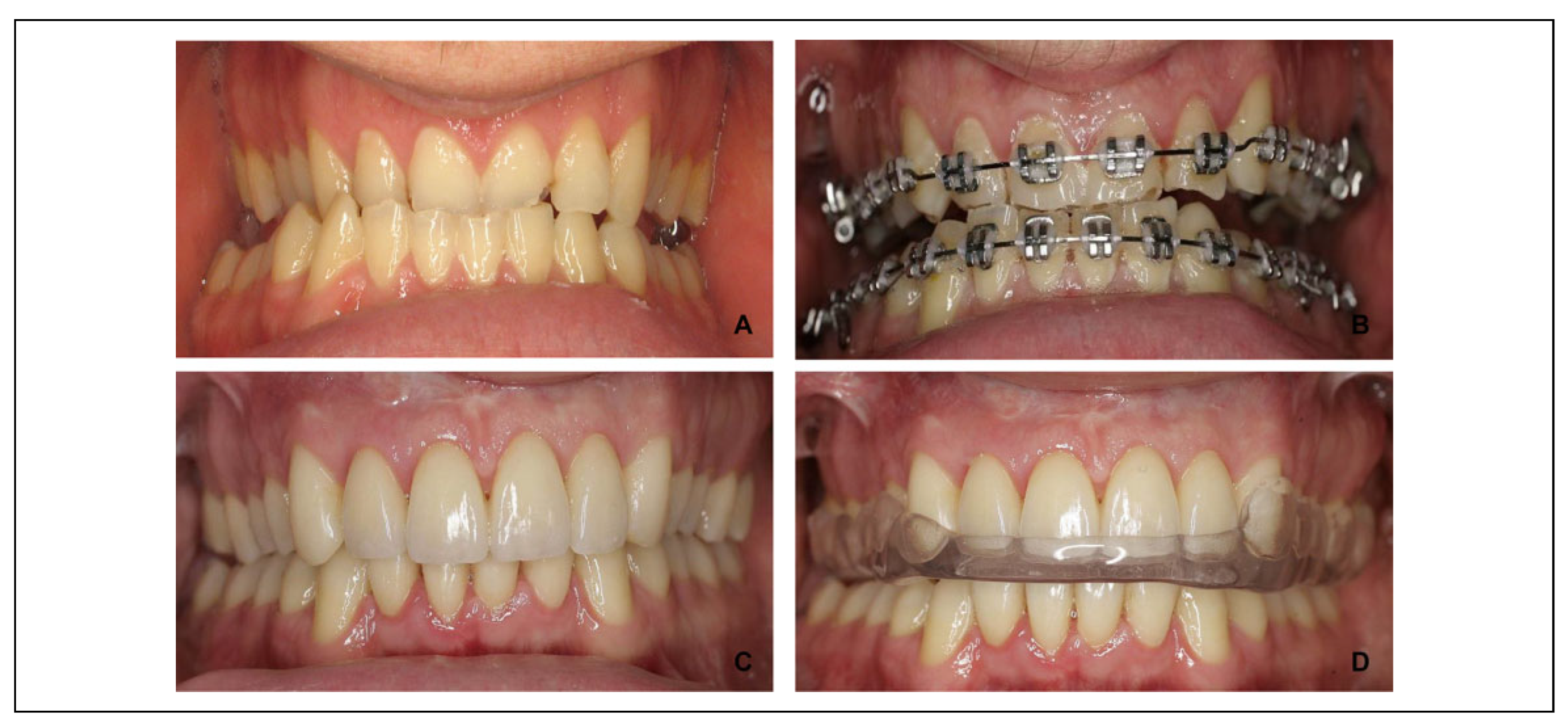
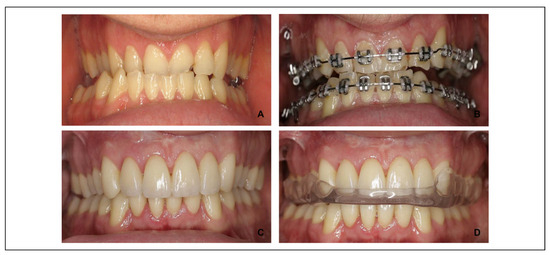
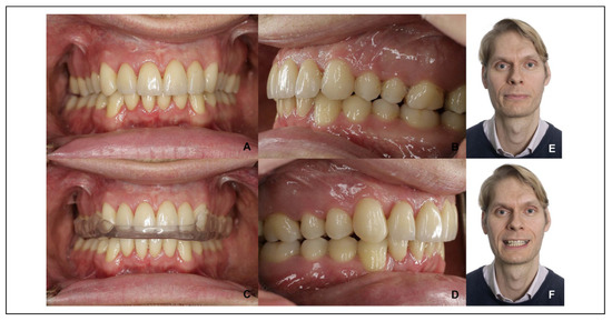
Clinical and Cephalometric Findings at the Beginning of the Treatment
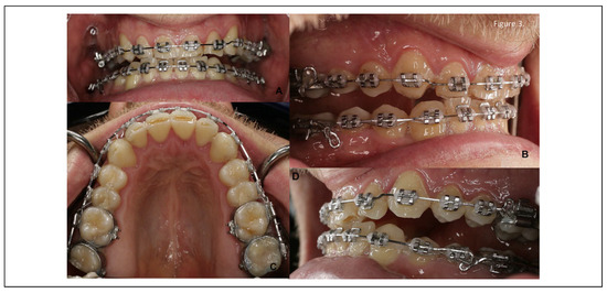
Orthognathic Surgery
Postsurgical Orthodontic and Prosthetic Treatment
Discussion
Conclusion
Funding
Acknowledgments
Authors’ Note
Conflicts of Interest
References
- Melmed, S. Acromegaly. N Engl J Med. 2006, 355, 2558–2573. [Google Scholar]
- Sala, E.; Ferrante, E.; Locatelli, M.; et al. Diagnostic features and outcome of surgical therapy of acromegalic patients: experience of the last three decades. Hormones. 2014, 13, 95–103. [Google Scholar] [CrossRef] [PubMed]
- Galerneau, L.M.; P´epin, J.L.; Borel, A.L.; et al. Acromegaly in sleep apnoea patients: a large observational study of 755 patients. Eur Resp J. 2016, 48, 1489–1492. [Google Scholar]
- Giustina, A.; Chanson, P.; Kleinberg, D.; et al. Expert consensus document: A consensus on the medical treatment of acromegaly. Nature Rev Endocr. 2014, 10, 243–248. [Google Scholar] [CrossRef] [PubMed]
- Melmed, S. Acromegaly pathogenesis and treatment. J Clin Invest. 2009, 119, 3189–3202. [Google Scholar] [PubMed]
- Katznelson, L.; Laws, E.; Melmed, S.; et al. Acromegaly: an endocrine society clinical practice guideline. J Clin Endocr Metabol. 2014, 99, 3933–3951. [Google Scholar]
- Trauner, R.; Obwegeser, H. The surgical correction ofmandibular prognathism and retrognathia with consideration of genioplasty. Oral Surg Oral Med Oral Path. 1957, 10, 677–689. [Google Scholar]
- Dal Pont, G. Retromolar osteotomy for the correction of prognathism. J Oral Surg Anesth Hosp Dent Serv. 1961, 19, 42. [Google Scholar]
- Hunsuck, E.E. A modified intraoral sagittal splitting technic for correction of mandibular prognathism. J Oral Surg. 1968, 26, 250–253. [Google Scholar]
- Böckmann, R.; Meyns, J.; Dik, E.; Kessler, P. The modifications of the sagittal ramus split osteotomy. Plast Recon Sur Global Open. 2014, 2, e271. [Google Scholar]
- Westermark, A.; Bystedt, H.; von Konow, L. Inferior alveolar nerve function after mandibular osteotomies. Brit J Oral Maxillofac Surg. 1998, 36, 425–428. [Google Scholar]
- Kriwalsky, M.; Maurer, P.; Veras, R.; Eckert, A.W.; Schubert, J. Risk factors for a bad split during sagittal split osteotomy. Brit J Oral Maxillofac Surg. 2008, 46, 177–179. [Google Scholar]
- Blair, V. Operations on the jaw-bone and face. Surg Gynecol Obstetr. 1907, 4, 67–78. [Google Scholar]
- Limberg, A.A. Treatment of open bite by means of plastic oblique osteotomy of the ascending rami the mandible. Dental Cosmos. 1925, 67, 1191. [Google Scholar]
- Moose, S.M. Surgical correction of mandibular prognathism by intraoral subcondylar osteotomy. J Oral Surg Anesth Hosp Dent Serv. 1964, 197–202. [Google Scholar]
- Caldwell, J.B.; Letterman, G.S. Vertical osteotomy in the mandibular raml for correction of prognathism. J Oral Surg. 1954, 12, 185–202. [Google Scholar] [PubMed]
- Winstanley, R.P. Subcondylar osteotomy of the mandible and the intraoral approach. Brit J Oral Surg. 1968, 6, 134–136. [Google Scholar]
- Hebert, J.M.; Kent, J.N.; Hinds, E.C. Correction of prognathism by an intraoral vertical subcondylar osteotomy. J Oral Surg. 1970, 28, 651–653. [Google Scholar]
- Paulus, G.; Steinhauser, E. A comparative study of wire osteosynthesis versus bone screws in the treatment of mandibular prognathism. Oral Surg Oral Med Oral Pathol. 1982, 54, 2–6. [Google Scholar]
- Kraut, R. Stabilization of the intraoral vertical osteotomy using small bone plates. J Oral Maxillofac Surg. 1988, 46, 908–910. [Google Scholar] [CrossRef]
- Ha°gensli, N.; Stenvik, A.; Espeland, L. Extraoral vertical subcondylar osteotomy with rigid fixation for correction of mandibular prognathism. Comparison with bilateral sagittal split osteotomy and surgical technique. J Craniomaxillofac Surg. 2013, 41, 212–218. [Google Scholar] [CrossRef] [PubMed]
- Suojanen, J.; Leikola, J.; Stoor, P. The Use of patient specific implants in ortognatic surgery—a series of 32 maxillary osteotomy patients. J Craniomaxillofac Surg. 2016, 44, 1913–1916. [Google Scholar] [PubMed]
- Mazzoni, S.; Bianchi, A.; Schiariti, G.; Badiali, G.; Marchetti, C. Computer-aided design and computer-aided manufacturing cutting guides and customized titanium plates are useful in upper maxilla waferless repositioning. J Oral Maxillofac Surg. 2015, 73, 701–707. [Google Scholar]
- Ghali, G.; Sikes, J. Intraoral vertical ramus osteotomy as the preferred treatment for mandibular prognathism. J Oral Maxillofac Surg. 2000, 58, 313–315. [Google Scholar] [PubMed]
- Al-Moraissi, E.; Ellis, E. Is there a difference in stability or neurosensory function between bilateral sagittal split ramus osteotomy and intraoral vertical ramus osteotomy for mandibular setback? J Oral Maxillofac Surg. 2015, 73, 360–1371. [Google Scholar]
- Rokutanda, S.; Yamada, S.; Yanamoto, S.; et al. Comparison of osseous healing after sagittal split ramus osteotomy and intraoral vertical ramus osteotomy. Int J Oral Maxillofac Surg. 2018, 47, 1316–1321. [Google Scholar]
- Kaduk, W.; Podmelle, F.; Louis, P. Revisiting the supraforaminal horizontal oblique osteotomy of the mandible. J Oral Maxillofac Surg. 2012, 70, 421–428. [Google Scholar]
- Seeberger, R.; Asi, Y.; Thiele, O.C.; Hoffmann, J.; Stucke, K.; Engel, M. Neurosensory alterations and function of the temporomandibular joint after high oblique sagittal split osteotomy: an alternative technique in orthognathic surgery. Brit J Oral Maxillofac Surg. 2013, 51, 536–540. [Google Scholar]
- Gander, T.; Bredell, M.; Eliades, T.; Rücker, M.; Essig, H. Spintless orthognatic surgery: a novel technique using patient-specific implants (PSI). J Craniomaxillofac Surg. 2016, 43, 319–322. [Google Scholar]
- Suojanen, J.; Järvinen, S.; Kotaniemi, K.V.M.; et al. Comparison between patient specific implants and conventional miniplates in Le Fort I osteotomy with regard to infections: No differences in up to 3-year follow-up. J Craniomaxillofac Surg. 2018, 46, 1814–1817. [Google Scholar]











![]() |
© 2020 by the author. The Author(s) 2020.
Share and Cite
Suojanen, J.; Hodzic, Z.; Palotie, T.; Stoor, P. CAD/CAM Engineered Patient-Specific Impants as a Reposition Device in Le Fort I and Modified Subcondylar Osteotomies: Case Report of Facial Deformity Correction in Acromegaly. Craniomaxillofac. Trauma Reconstr. 2020, 13, 226-236. https://doi.org/10.1177/1943387520924521
Suojanen J, Hodzic Z, Palotie T, Stoor P. CAD/CAM Engineered Patient-Specific Impants as a Reposition Device in Le Fort I and Modified Subcondylar Osteotomies: Case Report of Facial Deformity Correction in Acromegaly. Craniomaxillofacial Trauma & Reconstruction. 2020; 13(3):226-236. https://doi.org/10.1177/1943387520924521
Chicago/Turabian StyleSuojanen, Juho, Zlatan Hodzic, Tuula Palotie, and Patricia Stoor. 2020. "CAD/CAM Engineered Patient-Specific Impants as a Reposition Device in Le Fort I and Modified Subcondylar Osteotomies: Case Report of Facial Deformity Correction in Acromegaly" Craniomaxillofacial Trauma & Reconstruction 13, no. 3: 226-236. https://doi.org/10.1177/1943387520924521
APA StyleSuojanen, J., Hodzic, Z., Palotie, T., & Stoor, P. (2020). CAD/CAM Engineered Patient-Specific Impants as a Reposition Device in Le Fort I and Modified Subcondylar Osteotomies: Case Report of Facial Deformity Correction in Acromegaly. Craniomaxillofacial Trauma & Reconstruction, 13(3), 226-236. https://doi.org/10.1177/1943387520924521
