Open Partial Horizontal Laryngectomy as a Conservative Salvage Treatment for Laser-Recurrent Laryngeal Cancer: A Multi-Institutional Series
Abstract
1. Introduction
2. Materials and Methods
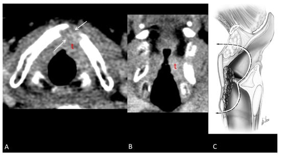
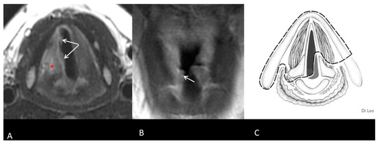
2.1. Salvage Open Partial Horizontal Laryngectomies
2.2. Adjuvant Treatments
2.3. Follow-Up
3. Results
4. Discussion
5. Conclusions
Author Contributions
Funding
Institutional Review Board Statement
Informed Consent Statement
Data Availability Statement
Conflicts of Interest
References
- Warner, L.; Lee, K.; Homer, J.J. Transoral laser microsurgery versus radiotherapy for T2 glottic squamous cell carcinoma: A systematic review of local control outcomes. Clin. Otolaryngol. 2017, 42, 629–636. [Google Scholar] [CrossRef] [PubMed]
- Abdurehim, Y.; Hua, Z.; Yasin, Y.; Xukurhan, A.; Imam, I.; Yuqin, F. Transoral laser surgery versus radiotherapy: Systematic review and meta-analysis for treatment options of T1a glottic cancer. Head Neck 2012, 34, 23–33. [Google Scholar] [CrossRef] [PubMed]
- Vaculik, M.F.; MacKay, C.A.; Taylor, S.M.; Trites, J.R.B.; Hart, R.D.; Rigby, M.H. Systematic review and meta-analysis of T1 glottic cancer outcomes comparing CO2 transoral laser microsurgery and radiotherapy. J. Otolaryngol. Head Neck Surg. 2019, 48, 44. [Google Scholar] [CrossRef] [PubMed]
- Guimarães, A.V.; Dedivitis, R.A.; Matos, L.L.; Aires, F.T.; Cernea, C.R. Comparison between transoral laser surgery and radiotherapy in the treatment of early glottic cancer: A systematic review and meta-analysis. Sci Rep. 2018, 8, 11900. [Google Scholar] [CrossRef] [PubMed]
- Forastiere, A.A.; Ismaila, N.; Wolf, G.T. Use of Larynx-Preservation Strategies in the Treatment of Laryngeal Cancer: American Society of Clinical Oncology Clinical Practice Guideline Update Summary. J. Oncol. Pract. 2018, 14, 123–128. [Google Scholar] [CrossRef] [PubMed]
- Ganly, I.; Patel, S.; Matsuo, J.; Singh, B.; Kraus, D.; Boyle, J.; Wong, R.; Lee, N.; Pfister, D.G.; Shaha, A.; et al. Postoperative complications of salvage total laryngectomy. Cancer 2005, 103, 2073–2081. [Google Scholar] [CrossRef]
- Paydarfar, J.A.; Birkmeyer, N.J. Complications in head and neck surgery: A meta-analysis of postlaryngectomy pharyngocutaneous fistula. Arch. Otolaryngol. Head Neck Surg. 2006, 132, 67–72. [Google Scholar] [CrossRef]
- Anschütz, L.; Nisa, L.; Elicin, O.; Bojaxhiu, B.; Caversaccio, M.; Giger, R. Pectoralis major myofascial interposition flap prevents postoperative pharyngocutaneous fistula in salvage total laryngectomy. Eur. Arch. Otorhinolaryngol. 2016, 273, 3943–3949. [Google Scholar] [CrossRef] [PubMed]
- Lucioni, M.; Bertolin, A.; Lionello, M.; Giacomelli, L.; Rizzotto, G.; Marioni, G. Open partial horizontal laryngectomy for salvage after failure of CO₂ laser-assisted surgery for glottic carcinoma. Eur. Arch. Otorhinolaryngol. 2016, 273, 169–175. [Google Scholar] [CrossRef]
- Succo, G.; Peretti, G.; Piazza, C.; Remacle, M.; Eckel, H.E.; Chevalier, D.; Simo, R.; Hantzakos, A.G.; Rizzotto, G.; Lucioni, M.; et al. Open partial horizontal laryngectomies: A proposal for classification by the working committee on nomenclature of the European Laryngological Society. Eur. Arch. Otorhinolaryngol. 2014, 271, 2489–2496. [Google Scholar] [CrossRef] [PubMed]
- Bertolin, A.; Lionello, M.; Ghizzo, M.; Barbero, E.; Crosetti, E.; Rizzotto, G.; Succo, G. Modular approach in OPHL: Are there preoperative predictors? Acta Otorhinolaryngol. Ital. 2020, 40, 352–359. [Google Scholar] [CrossRef]
- Crosetti, E.; Fantini, M.; Bertotto, I.; Bertolin, A.; Arrigoni, G.; Lorenzi, A.; Succo, G. Current Status of Partial Laryngeal Surgery for Advanced Laryngeal Cancer: When and Why? Curr. Oncol. Rep. 2024, 26, 614–624. [Google Scholar] [CrossRef]
- Peretti, G.; Piazza, C.; Cocco, D.; De Benedetto, L.; Del Bon, F.; Redaelli De Zinis, L.O.; Nicolai, P. Transoral CO(2) laser treatment for T(is)-T(3) glottic cancer: The University of Brescia experience on 595 patients. Head Neck 2010, 32, 977–983. [Google Scholar] [CrossRef] [PubMed]
- Piazza, C.; Filauro, M.; Paderno, A.; Marchi, F.; Perotti, P.; Morello, R.; Taboni, S.; Parrinello, G.; Incandela, F.; Iandelli, A.; et al. Three-Dimensional Map of Isoprognostic Zones in Glottic Cancer Treated by Transoral Laser Microsurgery as a Unimodal Treatment Strategy. Front. Oncol. 2018, 8, 175. [Google Scholar] [CrossRef] [PubMed]
- Amin, M.B.; Edge, S.B.; Greene, F.L.; Byrd, D.R.; Brookland, R.K.; Washington, M.K.; Gershenwald, J.E.; Compton, C.C.; Hess, K.R.; Sullivan, D.C.; et al. American Joint Committee on Cancer (AJCC) Cancer Staging Manual; Springer: New York, NY, USA, 2017. [Google Scholar]
- Remacle, M.; Van Haverbeke, C.; Eckel, H.; Bradley, P.; Chevalier, D.; Djukic, V.; de Vicentiis, M.; Friedrich, G.; Olofsson, J.; Peretti, G.; et al. Proposal for revision of the European Laryngological Society classification of endoscopic cordectomies. Eur. Arch. Otorhinolaryngol. 2007, 264, 499–504. [Google Scholar] [CrossRef] [PubMed]
- Robbins, K.T.; Clayman, G.; Levine, P.A.; Medina, J.; Sessions, R.; Shaha, A.; Som, P.; Wolf, G.T.; American Head and Neck Society; American Academy of Otolaryngology--Head and Neck Surgery. Neck dissection classification update: Revisions proposed by the American Head and Neck Society and the American Academy of Otolaryngology-Head and Neck Surgery. Arch. Otolaryngol. Head Neck Surg. 2002, 128, 751–758. [Google Scholar] [CrossRef]
- Piazza, C.; Del Bon, F.; Peretti, G.; Nicolai, P. Narrow band imaging in endoscopic evaluation of the larynx. Curr. Opin. Otolaryngol. Head Neck Surg. 2012, 20, 472–476. [Google Scholar] [CrossRef] [PubMed]
- Maroldi, R.; Ravanelli, M.; Farina, D. Magnetic resonance for laryngeal cancer. Curr. Opin. Otolaryngol. Head Neck Surg. 2014, 22, 131–139. [Google Scholar] [CrossRef]
- Saraniti, C.; Verro, B.; Ciodaro, F.; Galletti, F. Oncological Outcomes of Primary vs. Salvage OPHL Type II: A Systematic Review. Int. J. Environ. Res. Public Health 2022, 19, 1837. [Google Scholar] [CrossRef]
- Vilaseca, I.; Bernal-Sprekelsen, M. Transoral laser microsurgery for locally advanced laryngeal cancer. Acta Otorrinolaringol. Esp. 2013, 64, 140–149. [Google Scholar] [CrossRef]
- Canis, M.; Ihler, F.; Martin, A.; Wolff, H.A.; Matthias, C.; Steiner, W. Results of 226 patients with T3 laryngeal carcinoma after treatment with transoral laser microsurgery. Head Neck 2014, 36, 652–659. [Google Scholar] [CrossRef]
- Steiner, W.; Ambrosch, P.; Rödel, R.M.; Kron, M. Impact of anterior commissure involvement on local control of early glottic carcinoma treated by laser microresection. Laryngoscope 2004, 114, 1485–1491. [Google Scholar] [CrossRef]
- Rizzotto, G.; Succo, G.; Lucioni, M.; Pazzaia, T. Subtotal laryngectomy with tracheohyoidopexy: A possible alternative to total laryngectomy. Laryngoscope 2006, 116, 1907–1917. [Google Scholar] [CrossRef] [PubMed]
- Lima, R.A.; Freitas, E.Q.; Kligerman, J.; Dias, F.L.; Barbosa, M.M.; Sa, G.M.; Santos, I.C.; Farias, T. Supracricoid laryngectomy with CHEP: Functional results and outcome. Otolaryngol. Head Neck Surg. 2001, 124, 258–260. [Google Scholar] [CrossRef] [PubMed]
- Tomeh, C.; Holsinger, F.C. Laryngeal cancer. Curr. Opin. Otolaryngol. Head Neck Surg. 2014, 22, 147–153. [Google Scholar] [CrossRef]
- Ferreiro-Argüelles, C.; Jiménez-Juan, L.; Martínez-Salazar, J.M.; Cervera-Rodilla, J.L.; Martínez-Pérez, M.M.; Cubero-Carralero, J.; González-Cabestreros, S.; López-Pino, M.A.; Fernández-Gallardo, J.M. CT findings after laryngectomy. Radiographics 2008, 28, 869–882; quiz 914. [Google Scholar] [CrossRef]
- Del Bon, F.; Piazza, C.; Lancini, D.; Paderno, A.; Bosio, P.; Taboni, S.; Morello, R.; Montalto, N.; Missale, F.; Incandela, F.; et al. Open Partial Horizontal Laryngectomies for T3–T4 Laryngeal Cancer: Prognostic Impact of Anterior vs. Posterior Laryngeal Compartmentalization. Cancers 2019, 11, 289. [Google Scholar] [CrossRef]
- Succo, G.; Crosetti, E.; Bertolin, A.; Piazza, C.; Molteni, G.; Cirillo, S.; Petracchini, M.; Tascone, M.; Sprio, A.E.; Berta, G.N.; et al. Treatment for T3 to T4a laryngeal cancer by open partial horizontal laryngectomies: Prognostic impact of different pathologic tumor subcategories. Head Neck 2018, 40, 1897–1908. [Google Scholar] [CrossRef]
- Crosetti, E.; Bertolin, A.; Molteni, G.; Bertotto, I.; Balmativola, D.; Carraro, M.; Sprio, A.E.; Berta, G.N.; Presutti, L.; Rizzotto, G.; et al. Patterns of recurrence after open partial horizontal laryngectomy types II and III: Univariate and logistic regression analysis of risk factors. Acta Otorhinolaryngol. Ital. 2019, 39, 235–243. [Google Scholar] [CrossRef]
- de Vincentiis, M.; Greco, A.; Campo, F.; Candelori, F.; Ralli, M.; Di Traglia, M.; Colizza, A.; Cambria, F.; Zocchi, J.; Manciocco, V.; et al. Open partial horizontal laryngectomy for T2-T3-T4a laryngeal cancer: Oncological outcomes and prognostic factors of two Italian hospitals. Eur. Arch. Otorhinolaryngol. 2022, 279, 2997–3004. [Google Scholar] [CrossRef] [PubMed]
- Succo, G.; Bertolin, A.; Santos, I.C.; Tascone, M.; Lionello, M.; Fantini, M.; de Freitas, A.S.; Bertotto, I.; Sprio, A.E.; Sanguineti, G.; et al. Partial Laryngectomy for pT4a Laryngeal Cancer: Outcomes and Limits in Selected Cases. Cancers 2023, 15, 2861. [Google Scholar] [CrossRef]
- Bertolin, A.; Lionello, M.; Ghizzo, M.; Cena, I.; Leone, F.; Valerini, S.; Mattioli, F.; Crosetti, E.; Presutti, L.; Succo, G.; et al. Salvage open partial horizontal laryngectomy after failed radiotherapy: A multicentric study. Laryngoscope 2020, 130, 431–436. [Google Scholar] [CrossRef] [PubMed]
- Pellini, R.; Pichi, B.; Ruscito, P.; Ceroni, A.R.; Caliceti, U.; Rizzotto, G.; Pazzaia, A.; Laudadio, P.; Piazza, C.; Peretti, G.; et al. Supracricoid partial laryngectomies after radiation failure: A multi-institutional series. Head Neck 2008, 30, 372–379. [Google Scholar] [CrossRef]








| No. of Patients (%) | ||
|---|---|---|
| Age | Mean ± standard deviation | 60.9 ± 12.2 |
| Range | 23–79 | |
| Gender | Male | 63 (95.5%) |
| Female | 3 (4.5%) | |
| rcT vs. rpT | rcT2-3–>rpT4a | 12 (18.2%) |
| rcT4–>rpT4a | 6 (9.1%) |
| Pathological Staging | Arytenoid Mobility | No. of Patients (%) |
|---|---|---|
| pT3 | Normal | 19 (28.8%) |
| Impaired/fixed | 10 (15.2%) | |
| pT4 | Normal | 10 (15.2%) |
| Impaired/fixed | 5 (7.6%) |
| Type of CO2 Laser Cordectomy | No. of Patients (%) |
|---|---|
| Type I | 0 (0.0%) |
| Type II | 10 (15.2%) |
| Type III | 26 (39.4%) |
| Type IV | 13 (19.7%) |
| Type V | 13 (19.7%) |
| Type VI | 4 (6.0%) |
| Type of Treatment (OPHL) | No. of Patients (%) | rcT1 | rcT2 | rcT3 | rcT4 |
|---|---|---|---|---|---|
| Type IIa | 14 (21.2%) | 4 | 8 | 2 | - |
| Type IIa + ARY | 25 (37.9%) | 3 | 19 | 3 | - |
| Type IIb + ARY | 8 (12.1) | 1 | 3 | 4 | - |
| Type IIIa | 2 (3.0%) | - | 1 | 1 | - |
| Type IIIa + CAU | 14 (21.2%) | 1 | 1 | 7 | 5 |
| Type IIIb + CAU | 3 (4.6%) | - | 1 | 1 | 1 |
| Type of Treatment (ND) | No. of Patients (%) |
|---|---|
| Not performed | 14 (21.2%) |
| Level II–IV unilateral ND | 41 (62%) |
| Level II–IV bilateral ND | 11 (16.6%) |
| Level II–IV unilateral ND + Level VI ND | 25 (38%) |
| Level II–IV bilateral ND + Level VI ND | 6 (9.0%) |
| Level VI ND | 1 (1.5%) |
| Global | Subcategory | Adjuvant Treatment | |||
|---|---|---|---|---|---|
| Anterior | Posterior | Adjuvant | No Adjuvant | ||
| OS | 87.4 (76.4–93.5) | 83.8 (65.2–92.9) | 90.6 (73.5–96.9) | 70.7 (33.7–89.5) | 90.5 (78.6–96.0) |
| DSS | 93.5 (83.4–97.5) | 93.3 (75.6–98.3) | 93.6 (76.6–98.4) | 100 | 92.4 (80.9–97.1) |
| DFS | 85.4 (73.5–92.2 | 82.4 (61.7–92.5) | 87.9 (70.8–95.3) | 72.7 (24.1–93.1) | 87.3 (75.0–93.7) |
| FFL | 95.3 (86.2–98.5) | 93.4 (76.1–98.3) | 97.0 (80.4–99.6) | 100 | 94.6 (84.2–98.2) |
| LEDfs | 83.6 (71.4–90.9) | 79.1 (58.5–90.2) | 87.5 (69.9–95.2) | 50.9 (18.2–76.6) | 90.4 (78.3–95.9) |
| Global | Surgery | ||||
| OPHL II | OPHL III | ||||
| OS | 92.4 (78.1–97.5) | 79.9 (58.0–91.1) | |||
| DSS | 97.6 (83.9–99.7) | 86.8 (64.4–95.6) | |||
| DFS | 97.6 (83.9–99.7) | 68.5 (45.8–83.2) | |||
| FFL | 97.6 (83.9–99.7) | 91.7 (70.6–97.8) | |||
| LEDfs | 83.6 (71.4–90.9) | 92.4 (78.1–97.5) | 70.9 (47.6–85.3) | ||
| Variable | Univariable Analysis | Logistic Regression Model | ||
|---|---|---|---|---|
| Score Test | p-Value | Score Test | p-Value | |
| Type of surgery | 7.779 | 0.005 | 3.146 | 0.076 |
| Tumor site (anterior/posterior) | 1.188 | 0.276 | 0.057 | 0.811 |
| Tumor site (glottic/supraglottic) | 1.286 | 0.257 | 0.717 | 0.397 |
| pT subcategory | 9.474 | 0.002 | 5.669 | 0.017 |
| pN ≥ 1 staging | 0.281 | 0.596 | 0.086 | 0.769 |
| Grading | 5.457 | 0.019 | 2.741 | 0.098 |
| Cartilage involvement | 7.405 | 0.007 | 1.691 | 0.194 |
| Vascular invasion | 10.004 | 0.002 | 5.104 | 0.024 |
| Perineural invasion | 6.207 | 0.013 | 0.031 | 0.860 |
| Delphian node pN+ | 8.113 | 0.004 | 0.830 | 0.362 |
| Extranodal extension | 0.257 | 0.612 | 0.192 | 0.661 |
| Status of margins | 2.747 | 0.097 | 0.210 | 0.647 |
| Adjuvant treatments | 0.657 | 0.418 | 0.009 | 0.926 |
| Complications | No. of Events (%) | Adjuvant Therapy (N = 11) | Non-Adjuvant Therapy (N = 55) | rcT1 (N = 9) | rcT2 (N = 33) | rcT3 (N = 18) | rcT4 (N = 6) |
|---|---|---|---|---|---|---|---|
| Cervical bleeding | 1 (1.5%) | 1 (9.1%) | 0 (0.0%) | 0 (0.0%) | 1 (3.0%) | 0 (0.0%) | 0 (0.0%) |
| Kidney failure | 0 (0.0%) | 0 (0.0%) | 0 (0.0%) | 0 (0.0%) | 0 (0.0%) | 0 (0.0%) | 0 (0.0%) |
| Sepsis | 1 (1.5%) | 1 (9.1%) | 0 (0.0%) | 0 (0.0%) | 1 (3.0%) | 0 (0.0%) | 0 (0.0%) |
| Acute myocardial infarction | 0 (0.0%) | 0 (0.0%) | 0 (0.0%) | 0 (0.0%) | 0 (0.0%) | 0 (0.0%) | 0 (0.0%) |
| Respiratory failure | 0 (0.0%) | 0 (0.0%) | 0 (0.0%) | 0 (0.0%) | 0 (0.0%) | 0 (0.0%) | 0 (0.0%) |
| Aspiration pneumonia | 4 (6.1%) | 1 (9.1%) | 3 (5.5%) | 1 (11.1%) | 1 (3.0%) | 2 (11.1%) | 0 (0.0%) |
| Stroke | 0 (0.0%) | 0 (0.0%) | 0 (0.0%) | 0 (0.0%) | 0 (0.0%) | 0 (0.0%) | 0 (0.0%) |
| Wound infection | 1 (1.5%) | 0 (0.0%) | 1 (1.8%) | 1 (11.1%) | 0 (0.0%) | 0 (0.0%) | 0 (0.0%) |
| Fistula | 0 (0.0%) | 0 (0.0%) | 0 (0.0%) | 0 (0.0%) | 0 (0.0%) | 0 (0.0%) | 0 (0.0%) |
| Other | 0 (0.0%) | 0 (0.0%) | 0 (0.0%) | 0 (0.0%) | 0 (0.0%) | 0 (0.0%) | 0 (0.0%) |
| Total | 7 (10.6%) | 3 (27.3%) | 4 (7.3%) | 2 (22.2%) | 3 (9.1%) | 2 (11.1%) | 0 (0.0%) |
| Sequelae | No. of Events (%) | Adjuvant Therapy (N = 11) | Non-Adjuvant Therapy (N = 55) | rcT1 (N = 9) | rcT2 (N = 33) | rcT3 (N = 18) | rcT4 (N = 6) |
|---|---|---|---|---|---|---|---|
| Tracheostoma stenosis | 0 (0.0%) | 0 (0.0%) | 0 (0.0%) | 0 (0.0%) | 0 (0.0%) | 0 (0.0%) | 0 (0.0%) |
| Laryngeal tight stenosis | 4 (6.1%) | 0 (0.0%) | 4 (7.3%) | 1 (11.1%) | 2 (6.1%) | 1 (5.6%) | 0 (0.0%) |
| Dysphagia | 3 (4.5%) | 2 (18.2%) | 1 (1.8%) | 0 (0.0%) | 2 (6.1%) | 0 (0.0%) | 1 (16.7%) |
| Laryngeal tight stenosis + Tracheostoma stenosis | 0 (0.0%) | 0 (0.0%) | 0 (0.0%) | 0 (0.0%) | 0 (0.0%) | 0 (0.0%) | 0 (0.0%) |
| Dysphagia + Laryngeal tight stenosis | 0 (0.0%) | 0 (0.0%) | 0 (0.0%) | 0 (0.0%) | 0 (0.0%) | 0 (0.0%) | 0 (0.0%) |
| Total | 7 (10.6%) | 2 (18.2%) | 5 (9.1%) | 1 (11.1%) | 4 (12.2%) | 1 (5.6%) | 1 (16.7%) |
Disclaimer/Publisher’s Note: The statements, opinions and data contained in all publications are solely those of the individual author(s) and contributor(s) and not of MDPI and/or the editor(s). MDPI and/or the editor(s) disclaim responsibility for any injury to people or property resulting from any ideas, methods, instructions or products referred to in the content. |
© 2024 by the authors. Licensee MDPI, Basel, Switzerland. This article is an open access article distributed under the terms and conditions of the Creative Commons Attribution (CC BY) license (https://creativecommons.org/licenses/by/4.0/).
Share and Cite
Crosetti, E.; Borello, A.; Bertolin, A.; Santos, I.C.; Fantini, M.; Arrigoni, G.; Bertotto, I.; Sprio, A.E.; Dias, F.L.; Rizzotto, G.; et al. Open Partial Horizontal Laryngectomy as a Conservative Salvage Treatment for Laser-Recurrent Laryngeal Cancer: A Multi-Institutional Series. Curr. Oncol. 2025, 32, 12. https://doi.org/10.3390/curroncol32010012
Crosetti E, Borello A, Bertolin A, Santos IC, Fantini M, Arrigoni G, Bertotto I, Sprio AE, Dias FL, Rizzotto G, et al. Open Partial Horizontal Laryngectomy as a Conservative Salvage Treatment for Laser-Recurrent Laryngeal Cancer: A Multi-Institutional Series. Current Oncology. 2025; 32(1):12. https://doi.org/10.3390/curroncol32010012
Chicago/Turabian StyleCrosetti, Erika, Andrea Borello, Andy Bertolin, Izabela Costa Santos, Marco Fantini, Giulia Arrigoni, Ilaria Bertotto, Andrea Elio Sprio, Fernando Luiz Dias, Giuseppe Rizzotto, and et al. 2025. "Open Partial Horizontal Laryngectomy as a Conservative Salvage Treatment for Laser-Recurrent Laryngeal Cancer: A Multi-Institutional Series" Current Oncology 32, no. 1: 12. https://doi.org/10.3390/curroncol32010012
APA StyleCrosetti, E., Borello, A., Bertolin, A., Santos, I. C., Fantini, M., Arrigoni, G., Bertotto, I., Sprio, A. E., Dias, F. L., Rizzotto, G., & Succo, G. (2025). Open Partial Horizontal Laryngectomy as a Conservative Salvage Treatment for Laser-Recurrent Laryngeal Cancer: A Multi-Institutional Series. Current Oncology, 32(1), 12. https://doi.org/10.3390/curroncol32010012

