The Role of Adjuvant Radiotherapy in the Treatment of Breast Cancer
Abstract
1. Introduction
2. Radiotherapy after Radical Mastectomy
3. Radiotherapy after Breast-Conserving Surgery
4. Comparison of the Results of Breast-Conserving Surgery and Radical Mastectomy
5. Radiotherapy after Neoadjuvant Chemotherapy
6. Regional Lymph Node Irradiation and Risk of Serious Toxicity
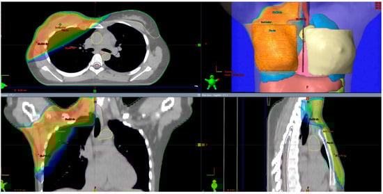
7. Internal Mammary and Medial Supraclavicular Lymph Node Chain Irradiation
8. The Significance of Axillary Lymph Node Dissection and Radiotherapy in Patients with Clinical N0 Disease and Positive Sentinel Lymph Node Biopsy
9. Patients at High Risk with Negative Findings on Axillary Surgery
10. Micrometastatic Involvement of Sentinel Lymph Nodes and Axillary Irradiation
11. The Number of Positive Lymph Nodes and Axillary Dissection
12. Indication of Lymph Node Irradiation in Patients with 1–3 Positive Lymph Nodes
13. Conclusions
Author Contributions
Funding
Acknowledgments
Conflicts of Interest
References
- Clarke, M.; Collins, R.; Darby, S.; Davies, C.; Elphinstone, P.; Evans, V.; Godwin, J.; Gray, R.; Hicks, C.; James, S.; et al. Early Breast Cancer Trialists’ Collaborative Group (EBCTCG). Effects of radiotherapy and of differences in the extent of surgery for early breast cancer on local recurrence and 15-year survival: An overview of the randomized trials. Lancet 2005, 366, 2087–2106. [Google Scholar] [PubMed]
- Nielsen, H.M.; Overgaard, M.; Grau, C.; Jensen, A.R.; Overgaard, J. Study of failure pattern among high-risk breast cancer patients with or without postmastectomy radiotherapy in addition to adjuvant systemic therapy: Long-term results from the Danish Breast Cancer Cooperative Group DBCG 82 b and c randomized studies. J. Clin. Oncol. 2006, 24, 2268–2275. [Google Scholar] [CrossRef] [PubMed]
- Taghian, A. Adjuvant Radiation Therapy for Women with Newly Diagnosed, Non-Metastatic Breast Cancer. Introduction. In UpToDate, Post TW (Ed), UpToDate, Waltham, MA, USA. Available online: https://www.uptodate.com/contents/adjuvant-radiation-therapy-for-women-with-newly-diagnosed-non-metastatic-breast-cancer (accessed on 22 March 2022).
- Harris, J.R. Fifty years of progress in radiation therapy for breast cancer. Am. Soc. Clin. Oncol. Educ. Book 2014, 34, 21–25. [Google Scholar] [CrossRef] [PubMed]
- Haussmann, J.; Corradini, S.; Nestle-Kraemling, C.; Bölke, E.; Njanang, F.J.D.; Tamaskovics, B.; Orth, K.; Ruckhaeberle, E.; Fehm, T.; Mohrmann, S.; et al. Recent advances in radiotherapy of breast cancer. Radiat. Oncol. 2020, 15, 71. [Google Scholar] [CrossRef] [PubMed]
- Meattini, I.; Becherini, C.; Boersma, L.; Kaidar-Person, O.; Marta, G.N.; Montero, A.; Offersen, B.V.; Aznar, M.C.; Belka, C.; Brunt, A.M.; et al. European Society for Radiotherapy and Oncology Advisory Committee in Radiation Oncology Practice consensus recommendations on patient selection and dose and fractionation for external beam radiotherapy in early breast cancer. Lancet Oncol. 2022, 23, e21–e31. [Google Scholar] [CrossRef] [PubMed]
- Remick, J.; Amin, N.P. Postmastectomy Breast Cancer Radiation Therapy. In StatPearls; StatPearls Publishing: Treasure Island, FL, USA; Available online: https://europepmc.org/article/NBK/nbk519034 (accessed on 8 September 2023).
- Taghian, A.G.; Jeong, J.H.; Mamounas, E.P.; Parda, D.S.; Deutsch, M.; Costantino, J.P.; Wolmark, N. Low locoregional recurrence rate among node-negative breast cancer patients with tumors 5 cm or larger treated by mastectomy, with or without adjuvant systemic therapy and without radiotherapy: Results from five national surgical adjuvant breast and bowel project randomized clinical trials. J. Clin. Oncol. 2006, 24, 3927–3932. [Google Scholar]
- Floyd, S.R.; Buchholz, T.A.; Haffty, B.G.; Goldberg, S.; Niemierko, A.; Raad, R.A.; Oswald, M.J.; Sullivan, T.; Strom, E.A.; Powell, S.N.; et al. Low local recurrence rate without postmastectomy radiation in node-negative breast cancer patients with tumors 5 cm and larger. Int. J. Radiat. Oncol. Biol. Phys. 2006, 66, 358–364. [Google Scholar] [CrossRef]
- Johnson, M.E.; Handorf, E.A.; Martin, J.M.; Hayes, S.B. Postmastectomy radiation therapy for T3N0: A SEER analysis. Cancer 2014, 120, 3569–3574. [Google Scholar] [CrossRef]
- EBCTCG (Early Breast Cancer Trialists’ Collaborative Group); McGale, P.; Taylor, C.; Correa, C.; Cutter, D.; Duane, F.; Ewertz, M.; Gray, R.; Mannu, G.; Peto, R.; et al. Effect of radiotherapy after mastectomy and axillary surgery on 10-year recurrence and 20-year breast cancer mortality: Meta-analysis of individual patient data for 8135 women in 22 randomised trials. Lancet 2014, 383, 2127–2135. [Google Scholar]
- Hansen, E.; Roach, M., III (Eds.) Handbook of Evidence-Based Radiation Oncology; Springer International Publishing: Berlin/Heidelberg, Germany, 2018; ISBN 978-3-31-962642-0, 978-3-31-962641-3. [Google Scholar]
- Tendulkar, R.D.; Rehman, S.; Shukla, M.E.; Reddy, C.A.; Moore, H.; Budd, G.T.; Dietz, J.; Crowe, J.P.; Macklis, R. Impact of postmastectomy radiation on locoregional recurrence in breast cancer patients with 1-3 positive lymph nodes treated with modern systemic therapy. Int. J. Radiat. Oncol. Biol. Phys. 2012, 83, 577–581. [Google Scholar] [CrossRef] [PubMed]
- Holland, R.; Veling, S.H.; Mravunac, M.; Hendriks, J.H. Histologic multifocality of Tis, T1-2 breast carcinomas. Implications for clinical trials of breast-conserving surgery. Cancer 1985, 56, 979–990. [Google Scholar] [CrossRef]
- Fisher, B.; Anderson, S.; Bryant, J.; Margolese, R.G.; Deutsch, M.; Fisher, E.R.; Jeong, J.H.; Wolmark, N. Twenty-year follow-up of a randomized trial comparing total mastectomy, lumpectomy, and lumpectomy plus irradiation for the treatment of invasive breast cancer. N. Engl. J. Med. 2002, 347, 1233–1241. [Google Scholar] [CrossRef]
- Early Breast Cancer Trialists’ Collaborative Group (EBCTCG); Darby, S.; McGale, P.; Correa, C.; Taylor, C.; Arriagada, R.; Clarke, M.; Cutter, D.; Davies, C.; Ewertz, M.; et al. Effect of radiotherapy after breast-conserving surgery on 10-year recurrence and 15-year breast cancer death: Meta-analysis of individual patient data for 10,801 women in 17 randomised trials. Lancet 2011, 378, 1707–1716. [Google Scholar]
- Tendulkar, D.; Shah, C.H. Early breast cancer. In Essentials of Clinical Radiation Oncology, 1st ed.; Ward, M.C., Tendulkar, R.D., Videtic, G.M.M., Eds.; Demos Medical: New York, NY, USA, 2018; p. 158. ISBN 9780826168559. [Google Scholar]
- de Boniface, J.; Szulkin, R.; Johansson, A.L.V. Survival after Breast Conservation vs Mastectomy Adjusted for Comorbidity and Socioeconomic Status: A Swedish National 6-Year Follow-up of 48 986 Women. JAMA Surg. 2021, 156, 628–637. [Google Scholar] [CrossRef] [PubMed]
- Correa, C.; Harris, E.E.; Leonardi, M.C.; Smith, B.D.; Taghian, A.G.; Thompson, A.M.; White, J.; Harris, J.R. Accelerated Partial Breast Irradiation: Executive summary for the update of an ASTRO Evidence-Based Consensus Statement. Pract. Radiat. Oncol. 2017, 7, 73–79. [Google Scholar] [CrossRef] [PubMed]
- Swisher, S.K.; Vila, J.; Tucker, S.L.; Bedrosian, I.; Shaitelman, S.F.; Litton, J.K.; Smith, B.D.; Caudle, A.S.; Kuerer, H.M.; Mittendorf, E.A. Locoregional Control According to Breast Cancer Subtype and Response to Neoadjuvant Chemotherapy in Breast Cancer Patients Undergoing Breast-conserving Therapy. Ann. Surg. Oncol. 2016, 23, 749–756. [Google Scholar] [CrossRef] [PubMed]
- Werutsky, G.; Untch, M.; Hanusch, C.; Fasching, P.A.; Blohmer, J.U.; Seiler, S.; Denkert, C.; Tesch, H.; Jackisch, C.; Gerber, B.; et al. Locoregional recurrence risk after neoadjuvant chemotherapy: A pooled analysis of nine prospective neoadjuvant breast cancer trials. Eur. J. Cancer. 2020, 130, 92–101. [Google Scholar] [CrossRef] [PubMed]
- Ditsch, N.; Rubio, I.T.; Gasparri, M.L.; de Boniface, J.; Kuehn, T. Breast and axillary surgery in malignant breast disease: A review focused on literature of 2018 and 2019. Curr. Opin. Obstet. Gynecol. 2020, 32, 91–99. [Google Scholar] [CrossRef]
- Polgár, C.; Kahán, Z.; Ivanov, O.; Chorváth, M.; Ligačová, A.; Csejtei, A.; Gábor, G.; Landherr, L.; Mangel, L.; Mayer, Á.; et al. Radiotherapy of Breast Cancer-Professional Guideline 1st Central-Eastern European Professional Consensus Statement on Breast Cancer. Pathol. Oncol. Res. 2022, 28, 1610378. [Google Scholar] [CrossRef] [PubMed]
- Nikyar, N.; Tegnelius, E.; Valachis, A. Adjuvant locoregional radiation therapy in breast cancer patients with pathologic complete response after neoadjuvant chemotherapy: A systematic review and meta-analysis. Clin. Transl. Radiat. Oncol. 2022, 33, 45–52. [Google Scholar] [CrossRef]
- Shah, C.; Al-Hilli, Z.; Vicini, F. Advances in Breast Cancer Radiotherapy: Implications for Current and Future Practice. JCO Oncol Pract. 2021, 17, 697–706. [Google Scholar] [CrossRef]
- NCCN Clinical Practice Guidelines in Oncology: Breast Cancer. Version 1. 2024. Available online: https://www.nccn.org/professionals/physician_gls/pdf/breast.pdf (accessed on 6 February 2024).
- Kaidar-Person, O.; Pfob, A.; Gentilini, O.D.; Borisch, B.; Bosch, A.; Cardoso, M.J.; Curigliano, G.; De Boniface, J.; Denkert, C.; Hauser, N.; et al. The Lucerne Toolbox 2 to optimise axillary management for early breast cancer: A multidisciplinary expert consensus. EClinicalMedicine 2023, 61, 102085. [Google Scholar] [CrossRef]
- Dodwell, D.; Taylor, C.; McGale, P.; Coles, C.; Duane, F.; Gray, R.; Kühn, T.; Hennequin, C.; Oliveros, S.; Wang, Y.; et al. Regional lymph node irradiation in early stage breast cancer: An EBCTCG meta-analysis of 13,000 women in 14 trials. In Proceedings of the 2018 San Antonio Breast Cancer Symposium, San Antonio, TX, USA, 4–8 December 2018. [Google Scholar]
- Poortmans, P.M.; Weltens, C.; Fortpied, C.; Kirkove, C.; Peignaux-Casasnovas, K.; Budach, V.; van der Leij, F.; Vonk, E.; Weidner, N.; Rivera, S.; et al. Internal mammary and medial supraclavicular lymph node chain irradiation in stage I-III breast cancer (EORTC 22922/10925): 15-year results of a randomised, phase 3 trial. Lancet Oncol. 2020, 21, 1602–1610. [Google Scholar] [CrossRef] [PubMed]
- Korzets, Y.; Levitas, D.; Grubstein, A.; Corn, B.W.; Amir, E.; Goldvaser, H. Efficacy and Safety of the Addition of Internal Mammary Irradiation to Standard Adjuvant Radiation in Early-Stage Breast Cancer: A Systematic Review and Meta-Analysis. Curr. Oncol. 2022, 29, 6657–6673. [Google Scholar] [CrossRef] [PubMed]
- Giuliano, A.E.; Hunt, K.K.; Ballman, K.V.; Beitsch, P.D.; Whitworth, P.W.; Blumencranz, P.W.; Leitch, A.M.; Saha, S.; McCall, L.M.; Morrow, M. Axillary dissection vs no axillary dissection in women with invasive breast cancer and sentinel node metastasis: A randomized clinical trial. JAMA 2011, 305, 569–575. [Google Scholar] [CrossRef]
- Lucci, A.; McCall, L.M.; Beitsch, P.D.; Whitworth, P.W.; Reintgen, D.S.; Blumencranz, P.W.; Leitch, A.M.; Saha, S.; Hunt, K.K.; Giuliano, A.E.; et al. Surgical complications associated with sentinel lymph node dissection (SLND) plus axillary lymph node dissection compared with SLND alone in the American College of Surgeons Oncology Group Trial Z0011. J. Clin. Oncol. 2007, 25, 3657–3663. [Google Scholar] [CrossRef] [PubMed]
- Jagsi, R.; Chadha, M.; Moni, J.; Ballman, K.; Laurie, F.; Buchholz, T.A.; Giuliano, A.; Haffty, B.G. Radiation field design in the ACOSOG Z0011 (Alliance) Trial. J. Clin. Oncol. 2014, 32, 3600–3606. [Google Scholar] [CrossRef] [PubMed]
- Giuliano, A.E.; McCall, L.; Beitsch, P.; Whitworth, P.W.; Blumencranz, P.; Leitch, A.M.; Saha, S.; Hunt, K.K.; Morrow, M.; Ballman, K. Locoregional recurrence after sentinel lymph node dissection with or without axillary dissection in patients with sentinel lymph node metastases: The American College of Surgeons Oncology Group Z0011 randomized trial. Ann. Surg. 2010, 252, 426–433. [Google Scholar] [CrossRef]
- Galimberti, V.; Cole, B.F.; Zurrida, S.; Viale, G.; Luini, A.; Veronesi, P.; Baratella, P.; Chifu, C.; Sargenti, M.; Intra, M.; et al. Axillary dissection versus no axillary dissection in patients with sentinel-node micrometastases (IBCSG 23-01): A phase 3 randomised controlled trial. Lancet Oncol. 2013, 14, 297–305. [Google Scholar] [CrossRef]
- Bartels, S.A.L.; Donker, M.; Poncet, C.; Sauvé, N.; Straver, M.E.; van de Velde, C.J.H.; Mansel, R.E.; Blanken, C.; Orzalesi, L.; Klinkenbijl, J.H.G.; et al. Radiotherapy or Surgery of the Axilla After a Positive Sentinel Node in Breast Cancer: 10-Year Results of the Randomized Controlled EORTC 10981-22023 AMAROS Trial. J. Clin. Oncol. 2023, 41, 2159–2165. [Google Scholar] [CrossRef]
- Whelan, T.J.; Olivotto, I.A.; Parulekar, W.R.; Ackerman, I.; Chua, B.H.; Nabid, A.; Vallis, K.A.; White, J.R.; Rousseau, P.; Fortin, A.; et al. MA.20 Study Investigators. Regional Nodal Irradiation in Early-Stage Breast Cancer. N. Engl. J. Med. 2015, 373, 307–316. [Google Scholar] [CrossRef] [PubMed]
- Taghian, A. Adjuvant Radiation Therapy for Women with Newly Diagnosed, Non-Metastatic Breast Cancer In: UpToDate, Post TW (Ed), Wolters Kluwer. Available online: https://www.uptodate.com (accessed on 8 September 2023).
- Recht, A.; Comen, E.A.; Fine, R.E.; Fleming, G.F.; Hardenbergh, P.H.; Ho, A.Y.; Hudis, C.A.; Hwang, E.S.; Kirshner, J.J.; Morrow, M.; et al. Postmastectomy Radiotherapy: An American Society of Clinical Oncology, American Society for Radiation Oncology, and Society of Surgical Oncology Focused Guideline Update. Pract. Radiat. Oncol. 2016, 6, e219–e234. [Google Scholar] [CrossRef] [PubMed]
- Sittenfeld, S.M.C.; Zabor, E.C.; Hamilton, S.N.; Kuerer, H.M.; El-Tamer, M.; Naoum, G.E.; Truong, P.T.; Nichol, A.; Smith, B.D.; Woodward, W.A.; et al. A multi-institutional prediction model to estimate the risk of recurrence and mortality after mastectomy for T1-2N1 breast cancer. Cancer 2022, 128, 3057–3066. [Google Scholar] [CrossRef] [PubMed]





| RT after preoperative therapy and breast-conserving surgery | |
|---|---|
| cN0 → ypN0 (SLNB) | WBI + boost to the tumor bed |
| cN+ → ypN0 | WBI + boost to the tumor bed + comprehensive RNI (ongoing NSABP B-51 trial assessing the benefit of RNI) |
| cN+→ ypN+ (SLNB) | ALND followed by comprehensive RNI (ongoing A11202 trial assessing the benefit of ALND) |
| RT after preoperative therapy and mastectomy | |
| cN0 → ypN0 (SLNB) | Consider RT to the chest wall without RNI |
| cN+ → ypN0 (SLNB) | RT to the chest wall and comprehensive RNI |
| cN+ → ypN+ | ALND followed by comprehensive RNI |
| ypN | Tx: Level I/II | RT: Level III/IV ± IM | |
|---|---|---|---|
| cN0 → ycN0 → SLNB | ypN0 | No local Tx | No local Tx |
| ypN+ | ALDR or Axillary RT | RT if risk factors * | |
| cN+ → ycN0 → TAD | ypN0 | Axillary RT | RT if risk factors * |
| ypN+ | ALND or Axillary RT | RT | |
| cN+→ ycN+ → ALND | ypN0 | No local Tx | RT if risk factors * |
| ypN+ | RT (only forgotten nodes) | RT |
| Study Title | NCT Number | Status | Interventions |
|---|---|---|---|
| Radiotherapy after Mastectomy for Breast Cancer Patients at Increased Risk of Local Recurrence | NCT03101683 SUPREMO | Not yet recruiting | Partial Chest Wall RT |
| Necessity of Post-mastectomy Radiotherapy after Neoadjuvant Chemotherapy and Mastectomy | NCT05993559 | Not yet recruiting | Arm I: No-PMRT Arm II: PMRT |
| DESCARTES: De-ESCAlation of RadioTherapy in Patients with Pathologic Complete rESponse to Neoadjuvant Systemic Therapy | NCT05416164 | Not yet recruiting | Omission of RT |
| ALND vs. ART in Positive Sentinel Node after Neoadjuvant Therapy in Breast Cancer | NCT04889924 | Recruiting | Arm I: Axillary RT Arm II: ALND |
| Axillary Management in Breast Cancer Patients with Needle Biopsy Proven Nodal Metastases after Neoadjuvant Chemotherapy | NCT04109079 | Recruiting | Arm I: ALND Arm II: axillary RT |
| Eliminating Surgery or Radiotherapy after Systemic Therapy in Treating Patients with HER2 Positive or Triple Negative Breast Cancer | NCT02945579 | Recruiting | Omission of RT in Exceptional Responders |
| Comparison of Axillary Lymph Node Dissection with Axillary Radiation for Patients with Node-Positive Breast Cancer Treated with Chemotherapy | NCT01901094 A011202 | Active, not recruiting | Arm I: ALND Arm II: nodal RT Arm III: axillary RT |
| Standard or Comprehensive Radiation Therapy in Treating Patients with Early-Stage Breast Cancer Previously Treated with Chemotherapy and Surgery | NCT01872975 NSABP B51/ RTOG 1304 | Active, not recruiting | Omission of RT |
Disclaimer/Publisher’s Note: The statements, opinions and data contained in all publications are solely those of the individual author(s) and contributor(s) and not of MDPI and/or the editor(s). MDPI and/or the editor(s) disclaim responsibility for any injury to people or property resulting from any ideas, methods, instructions or products referred to in the content. |
© 2024 by the authors. Licensee MDPI, Basel, Switzerland. This article is an open access article distributed under the terms and conditions of the Creative Commons Attribution (CC BY) license (https://creativecommons.org/licenses/by/4.0/).
Share and Cite
Kolářová, I.; Melichar, B.; Sirák, I.; Vaňásek, J.; Petera, J.; Horáčková, K.; Pohanková, D.; Ďatelinka, F.; Šinkorová, Z.; Vošmik, M. The Role of Adjuvant Radiotherapy in the Treatment of Breast Cancer. Curr. Oncol. 2024, 31, 1207-1220. https://doi.org/10.3390/curroncol31030090
Kolářová I, Melichar B, Sirák I, Vaňásek J, Petera J, Horáčková K, Pohanková D, Ďatelinka F, Šinkorová Z, Vošmik M. The Role of Adjuvant Radiotherapy in the Treatment of Breast Cancer. Current Oncology. 2024; 31(3):1207-1220. https://doi.org/10.3390/curroncol31030090
Chicago/Turabian StyleKolářová, Iveta, Bohuslav Melichar, Igor Sirák, Jaroslav Vaňásek, Jiří Petera, Kateřina Horáčková, Denisa Pohanková, Filip Ďatelinka, Zuzana Šinkorová, and Milan Vošmik. 2024. "The Role of Adjuvant Radiotherapy in the Treatment of Breast Cancer" Current Oncology 31, no. 3: 1207-1220. https://doi.org/10.3390/curroncol31030090
APA StyleKolářová, I., Melichar, B., Sirák, I., Vaňásek, J., Petera, J., Horáčková, K., Pohanková, D., Ďatelinka, F., Šinkorová, Z., & Vošmik, M. (2024). The Role of Adjuvant Radiotherapy in the Treatment of Breast Cancer. Current Oncology, 31(3), 1207-1220. https://doi.org/10.3390/curroncol31030090

