Inflammatory Mesenteric Disease and Sarcoidosis-like Reaction in a Patient with Lung Adenocarcinoma Who Received Pembrolizumab: Paraneoplastic Syndrome, Secondary to Checkpoint Inhibitor or Chance Finding?
Abstract
1. Introduction
| Etiology | Hypothesis | References |
|---|---|---|
| Abdominal surgery Abdominal trauma |
| Silvia Carbonell et al. J Ruiz-Tovar et al. [5,7] |
| Paraneoplastic syndrome |
| For
|
| Toxicity to immunotherapy |
| G kuang et al. [6] |
| Autoimmune conditions |
| Silvia Carbonell et al. J Ruiz-Tovar et al. [5,7] |
| Ischemic pictures |
| WW Ogden et al. A De la Peña et al. [17,18] |
| Ureteral lithiasis |
| Adeleh Dadkhah et al. Serra Ozbal et al. [19,20] |
| Previous infections (bacterial or viral infections in the abdomen, appendicitis, diverticulitis). |
| Silvia Carbonell et al. G Ege et al. [5,21] |
| Inflammatory bowel disease | J Ruiz-Tovar et al. [7] | |
| Metabolic factors (Obesity, diabetes mellitus, metabolic syndrome, etc). |
| Serra Ozbal et al. Hagai Scheweistein et al. [20,22] |
| Idiopathic | Silvia Carbonell et al. J Ruiz-Tovar et al. [5,7] |
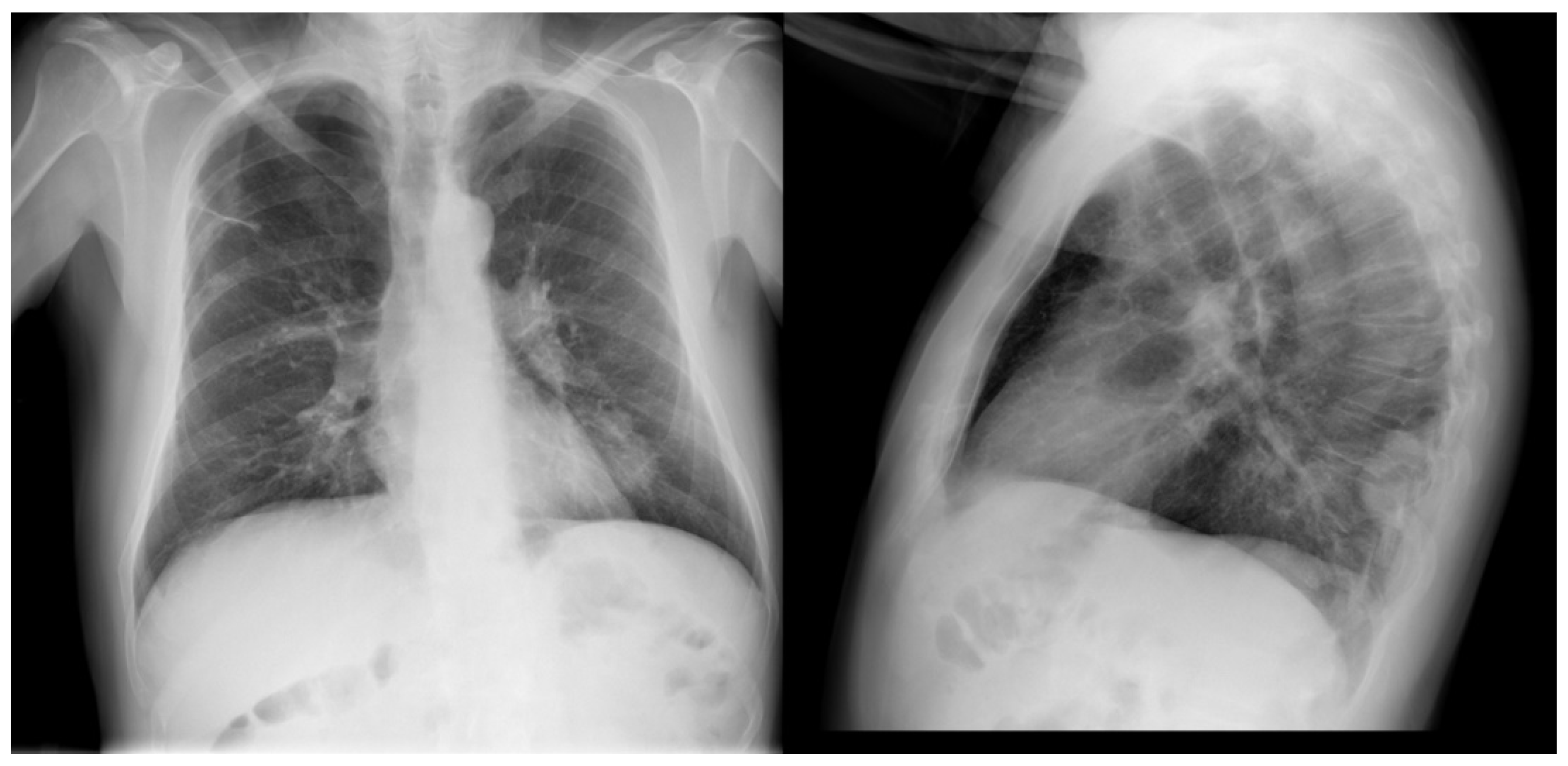
2. Clinical Case
3. Discussion
4. Conclusions
Author Contributions
Funding
Institutional Review Board Statement
Informed Consent Statement
Data Availability Statement
Conflicts of Interest
References
- Rozman, C.; Cardellach, F. Farreras Rozman Medicina Interna Decimonovena Edición Volumen 1, 19th ed.; Elsevier: Amsterdam, The Netherlands, 2020; ISBN 978-84-8086-349-0. [Google Scholar]
- Gögebakan, Ö.; Albrecht, T.; Osterhoff, M.A.; Reimann, A. Is mesenteric panniculitis truely a paraneoplastic phenomenon? A matched pair analysis. Eur. J. Radiol. 2013, 82, 1853–1859. [Google Scholar] [CrossRef] [PubMed]
- Khachaturian, T.; Hughes, J. Mesenteric panniculitis. West. J. Med. 1988, 148, 700–701. [Google Scholar] [PubMed]
- Daskalogiannaki, M.; Voloudaki, A.; Prassopoulos, P.; Magkanas, E.; Stefanaki, K.; Apostolaki, E.; Gourtsoyiannis, N. CT evaluation of mesenteric panniculitis: Prevalence and associated diseases. AJR Am. J. Roentgenol. 2000, 174, 427–431. [Google Scholar] [CrossRef] [PubMed]
- Carbonell, S.; Melgar, P.; Payá, A.; Vilas, I.; Jover, R.; Romero, M.; Lluís, F. Paniculitis mesentérica colónica. Gastroenterol. Hepatol. 2014, 37, 247–251. [Google Scholar] [CrossRef] [PubMed]
- Kuang, A.G.; Sperling, G.; Liang, T.Z.; Lu, Y.; Tan, D.; Bollin, K.; Johnson, D.B.; Manzano, J.-G.M.; Shatila, M.; Thomas, A.S.; et al. Sclerosing mesenteritis following immune checkpoint inhibitor therapy. J. Cancer Res. Clin. Oncol. 2023, 149, 9221–9227. [Google Scholar] [CrossRef] [PubMed]
- Ruiz-Tovar, J.; Alonso Hernández, N.; Sanjuanbenito Dehesa, A.; Martínez Molina, E. Paniculitis mesentérica: Presentación de 10 casos. Rev. Esp. Enfermedades Dig. 2007, 99, 240–241. [Google Scholar] [CrossRef]
- Cross, A.J.; McCormick, J.J.; Griffin, N.; Dixon, L.; Dobbs, B.; Frizelle, F.A. Malignancy and mesenteric panniculitis. Color. Dis. 2016, 18, 372–377. [Google Scholar] [CrossRef]
- Cohort Study of Mesenteric Panniculitis and Its Relationship to Malignancy—Buchwald—2016—BJS (British Journal of Surgery)—Wiley Online Library. Available online: https://bjssjournals.onlinelibrary.wiley.com/doi/abs/10.1002/bjs.10229 (accessed on 7 September 2024).
- Garassino, M.C.; Gadgeel, S.; Speranza, G.; Felip, E.; Esteban, E.; Dómine, M.; Hochmair, M.J.; Powell, S.F.; Bischoff, H.G.; Peled, N.; et al. Pembrolizumab Plus Pemetrexed and Platinum in Nonsquamous Non–Small-Cell Lung Cancer: 5-Year Outcomes From the Phase 3 KEYNOTE-189 Study. J. Clin. Oncol. 2023, 41, 1992–1998. [Google Scholar] [CrossRef]
- Barquín-García, A.; Molina-Cerrillo, J.; Garrido, P.; Garcia-Palos, D.; Carrato, A.; Alonso-Gordoa, T. New oncologic emergencies: What is there to know about inmunotherapy and its potential side effects? Eur. J. Intern. Med. 2019, 66, 1–8. [Google Scholar] [CrossRef]
- Ferini, G.; Zagardo, V.; Boncoraglio, A.; Aiello, M.M.; Pontoriero, A. Leptomeningeal tumor spread or immune checkpoint inhibitor-related encephalitis/(poli-)neuritis? An unsolved dilemma in a patient on pembrolizumab for a history of brain metastases from lung adenocarcinoma. Acta Neurol. Belg. 2024. [Google Scholar] [CrossRef]
- Peterman, C.M.; Robinson-Bostom, L.; Paek, S.Y. Pembrolizumab-induced lobular panniculitis in the setting of metastatic melanoma. Cutis 2020, 105, E22–E23. [Google Scholar] [PubMed]
- Rozenova, K.A.; Bridges, A.G. A Rare Case of Pembrolizumab-Associated Granulomatous Panniculitis. Mayo Clin. Proc. 2020, 95, 2315–2316. [Google Scholar] [CrossRef] [PubMed]
- Dimitriou, F.; Frauchiger, A.L.; Urosevic-Maiwald, M.; Naegeli, M.C.; Goldinger, S.M.; Barysch, M.; Franzen, D.; Kamarachev, J.; Braun, R.; Dummer, R.; et al. Sarcoid-like reactions in patients receiving modern melanoma treatment. Melanoma Res. 2018, 28, 230. [Google Scholar] [CrossRef] [PubMed]
- Cohen, P.R.; Kurzrock, R. Sarcoidosis and malignancy. Clin. Dermatol. 2007, 25, 326–333. [Google Scholar] [CrossRef] [PubMed]
- Ogden, W.W.; Bradburn, D.M.; Rives, J.D. Mesenteric Panniculitis: Review of 27 Cases. Ann. Surg. 1965, 161, 864–875. [Google Scholar] [CrossRef]
- de la Peña Fernández, A.; Yuste Ara, J.R.; Beloqui Ruiz, O.; Prieto Valtueña, J. Mesenteric panniculitis in the differential diagnosis of abdominal pain. Rev. Esp. Enfermedades Dig. 1996, 88, 505–508. [Google Scholar]
- Dadkhah, A.; Jafari, S.; Bagheri, S.M.; Ebrahimi, A. Association between mesenteric panniculitis and urolithiasis. Emerg. Radiol. 2024, 31, 661–668. [Google Scholar] [CrossRef]
- Gunes, S.O.; Akturk, Y.; Guldogan, E.S.; Yilmaz, K.B.; Ergun, O.; Hekimoglu, B. Association between mesenteric panniculitis and non-neoplastic disorders. Clin. Imaging 2021, 79, 219–224. [Google Scholar] [CrossRef]
- Ege, G.; Akman, H.; Cakiroglu, G. Mesenteric panniculitis associated with abdominal tuberculous lymphadenitis: A case report and review of the literature. Br. J. Radiol. 2002, 75, 378–380. [Google Scholar] [CrossRef]
- Schweistein, H.; Weintraub, Y.; Hornik-Lurie, T.; Haskiya, H.; Levin, S.; Ringel, Y.; Naftali, T. Mesenteric panniculitis is associated with cardiovascular risk-factors: A case-control study. Dig. Liver Dis. 2022, 54, 1657–1661. [Google Scholar] [CrossRef]
- Villanueva Gimeno, M.M.; Kurnat, Y.; Vázquez Rodríguez, J.; Gracia Sánchez, M.P.; Galindo Esteban, M.C. Síndrome de Löfgren. A propósito de un caso. SEMERGEN Med. Fam. 2009, 35, 249–251. [Google Scholar] [CrossRef]
- Gayá García-Manso, I.; García Ródenas, M.D.M.; Barroso Medel, M.E.; Illán Gambín, F.J. Sarcoidosis-like Granulomatous Reaction Associated With Pembrolizumab Immunotherapy. Arch. Bronconeumol. 2018, 54, 592–593. [Google Scholar] [CrossRef] [PubMed]





| Test | Date | Moment | Findings |
|---|---|---|---|
| PET-CT | March 2021 | Initial diagnosis, staging | - Hilar adenopathy compatible with malignancy (SUVmax 20.7). - Hypermetabolic mass (SUVmax 18.3) in the left lower lobe measuring 3.2 × 5.1 cm compatible with malignancy. - Calcified granuloma in right upper lobe. - Abdomen without foci of pathological uptake. |
| PET-CT | October 2021 | Re-evaluation | - Hypermetabolic mass (SUVmax 24.72) in left lower lobe of 4.2 × 3.5 cm. - Complete response of the hilar adenopathies, without pathologic uptake. - Focal increase of FDG in pseudonodular formations in mesenteric fat, up to SUVmax 12.48, in relation to mesenteric panniculitis. |
| PET-CT | October 2022 | Re-evaluation | - Morphometabolic progression of pathologic adenopathies observed on staging PET in March 2021 that had normalized in October 2021, SUVmax 19.5. - Complete morphometabolic response of primary left lower lobe neoplasm, currently 1.8 cm and SUVmax of 2.6. - Signs of mesenteric panniculitis, with practical metabolic normalization of the FDG uptake foci at this level that were visualized in the previous PET scan of Oct/21. |
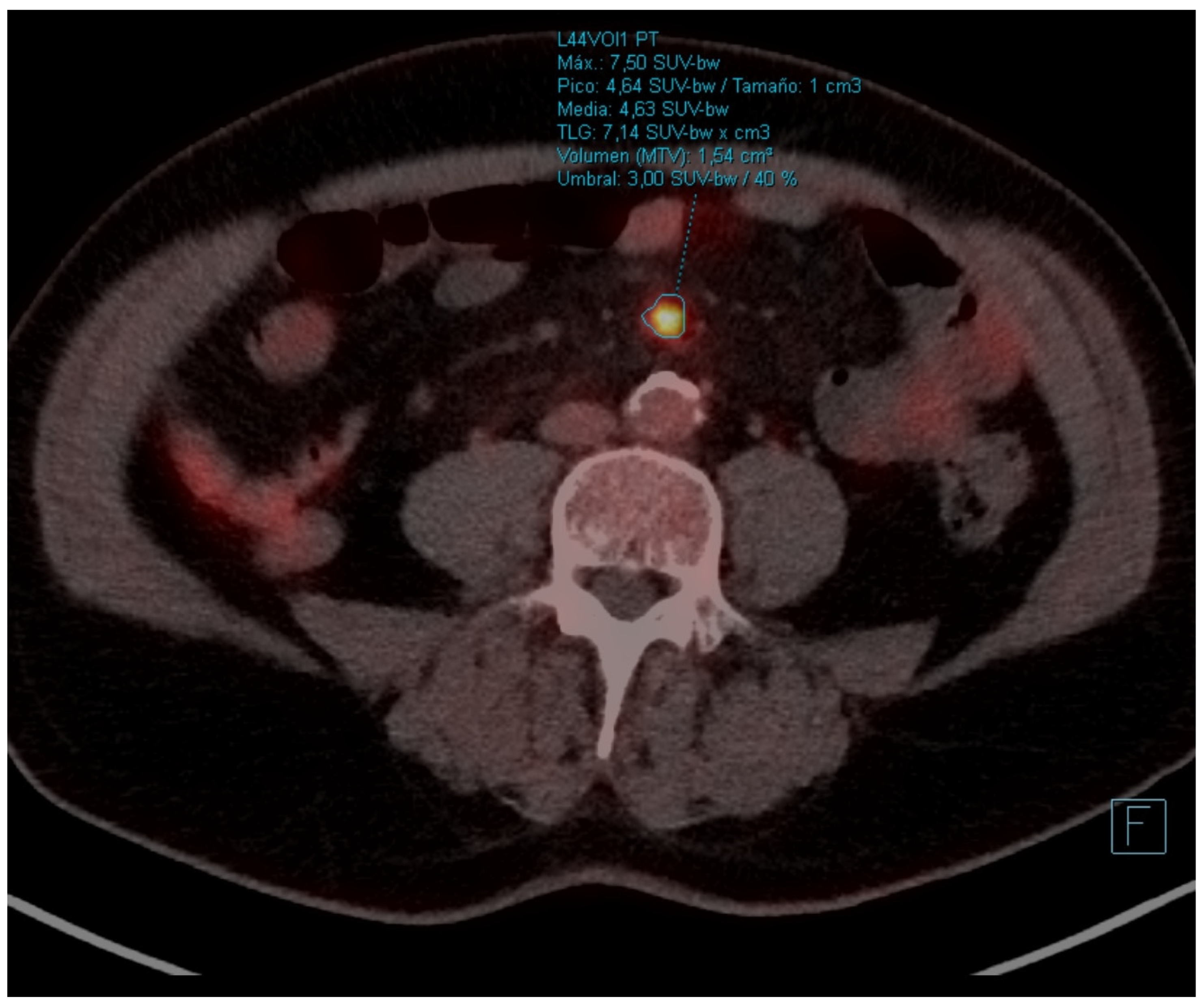
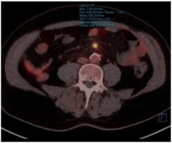
| PET-CT | April 2023 | Severe abdominal pain that had consulted 4 times in the emergency room | - Hypermetabolic persistence of adenopathies in the right cervical chain, lower paratracheal and right pulmonary hilum with dissociated response, some have progressed and others have improved. - Signs of mesenteric panniculitis, visualizing increased pseudonodular formations, several with FDG uptake up to SUVmax 7.50, not present in the previous study. |
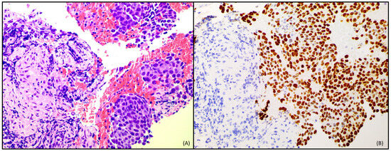
| Biopsy of hilar adenopathy | April 2023 | Sarcoid reaction vs. tumor progression | - Transbronchial FNA of region 4R: non-necrotizing granulomatous reaction. - Transbronchial FNA of region 7: non-necrotizing granulomatous reaction. |
| Mesentery biopsy in exploratory laparoscopy | July 2023 | Evaluation of mesenteric panniculitis. Rule out other causes of abdominal pain. | - Biopsy of transverse mesocolon: scanty patchy fibrosis. - Biopsy of greater omentum: scanty patchy fibrosis. - Mesenteric root biopsy: extensive fibrosis. |
| Biopsy of hilar adenopathy | July 2023 | Sarcoid reaction vs. tumor progression | - Transbronchial FNA of region 4R: non-necrotizing granulomatous reaction. - Transbronchial FNA of region 7: adenocarcinoma metastasis on non-necrotizing granulomatous reaction, TTF1+, p40-. |
Disclaimer/Publisher’s Note: The statements, opinions and data contained in all publications are solely those of the individual author(s) and contributor(s) and not of MDPI and/or the editor(s). MDPI and/or the editor(s) disclaim responsibility for any injury to people or property resulting from any ideas, methods, instructions or products referred to in the content. |
© 2024 by the authors. Licensee MDPI, Basel, Switzerland. This article is an open access article distributed under the terms and conditions of the Creative Commons Attribution (CC BY) license (https://creativecommons.org/licenses/by/4.0/).
Share and Cite
Posado-Domínguez, L.; Escribano-Iglesias, M.; Bellido-Hernández, L.; León-Gil, J.G.; Gómez-Muñoz, M.A.; Gómez-Caminero López, F.; Martín-Galache, M.; Inés-Revuelta, S.M.; Fonseca-Sánchez, E. Inflammatory Mesenteric Disease and Sarcoidosis-like Reaction in a Patient with Lung Adenocarcinoma Who Received Pembrolizumab: Paraneoplastic Syndrome, Secondary to Checkpoint Inhibitor or Chance Finding? Curr. Oncol. 2024, 31, 7319-7329. https://doi.org/10.3390/curroncol31110540
Posado-Domínguez L, Escribano-Iglesias M, Bellido-Hernández L, León-Gil JG, Gómez-Muñoz MA, Gómez-Caminero López F, Martín-Galache M, Inés-Revuelta SM, Fonseca-Sánchez E. Inflammatory Mesenteric Disease and Sarcoidosis-like Reaction in a Patient with Lung Adenocarcinoma Who Received Pembrolizumab: Paraneoplastic Syndrome, Secondary to Checkpoint Inhibitor or Chance Finding? Current Oncology. 2024; 31(11):7319-7329. https://doi.org/10.3390/curroncol31110540
Chicago/Turabian StylePosado-Domínguez, Luis, María Escribano-Iglesias, Lorena Bellido-Hernández, Johana Gabriela León-Gil, María Asunción Gómez-Muñoz, Felipe Gómez-Caminero López, María Martín-Galache, Sandra M. Inés-Revuelta, and Emilio Fonseca-Sánchez. 2024. "Inflammatory Mesenteric Disease and Sarcoidosis-like Reaction in a Patient with Lung Adenocarcinoma Who Received Pembrolizumab: Paraneoplastic Syndrome, Secondary to Checkpoint Inhibitor or Chance Finding?" Current Oncology 31, no. 11: 7319-7329. https://doi.org/10.3390/curroncol31110540
APA StylePosado-Domínguez, L., Escribano-Iglesias, M., Bellido-Hernández, L., León-Gil, J. G., Gómez-Muñoz, M. A., Gómez-Caminero López, F., Martín-Galache, M., Inés-Revuelta, S. M., & Fonseca-Sánchez, E. (2024). Inflammatory Mesenteric Disease and Sarcoidosis-like Reaction in a Patient with Lung Adenocarcinoma Who Received Pembrolizumab: Paraneoplastic Syndrome, Secondary to Checkpoint Inhibitor or Chance Finding? Current Oncology, 31(11), 7319-7329. https://doi.org/10.3390/curroncol31110540

