Hepatic Abscess following Yttrium-90 Radioembolization in Patients with Surgical Bilioenteric Anastomosis or Compromised Sphincter of Oddi: A Tertiary Cancer Center Experience
Abstract
1. Introduction
2. Materials and Methods
2.1. Patient Population
2.2. Antibiotic Prophylaxis
2.3. Yttrium-90 Radioembolization
2.4. Follow-Up
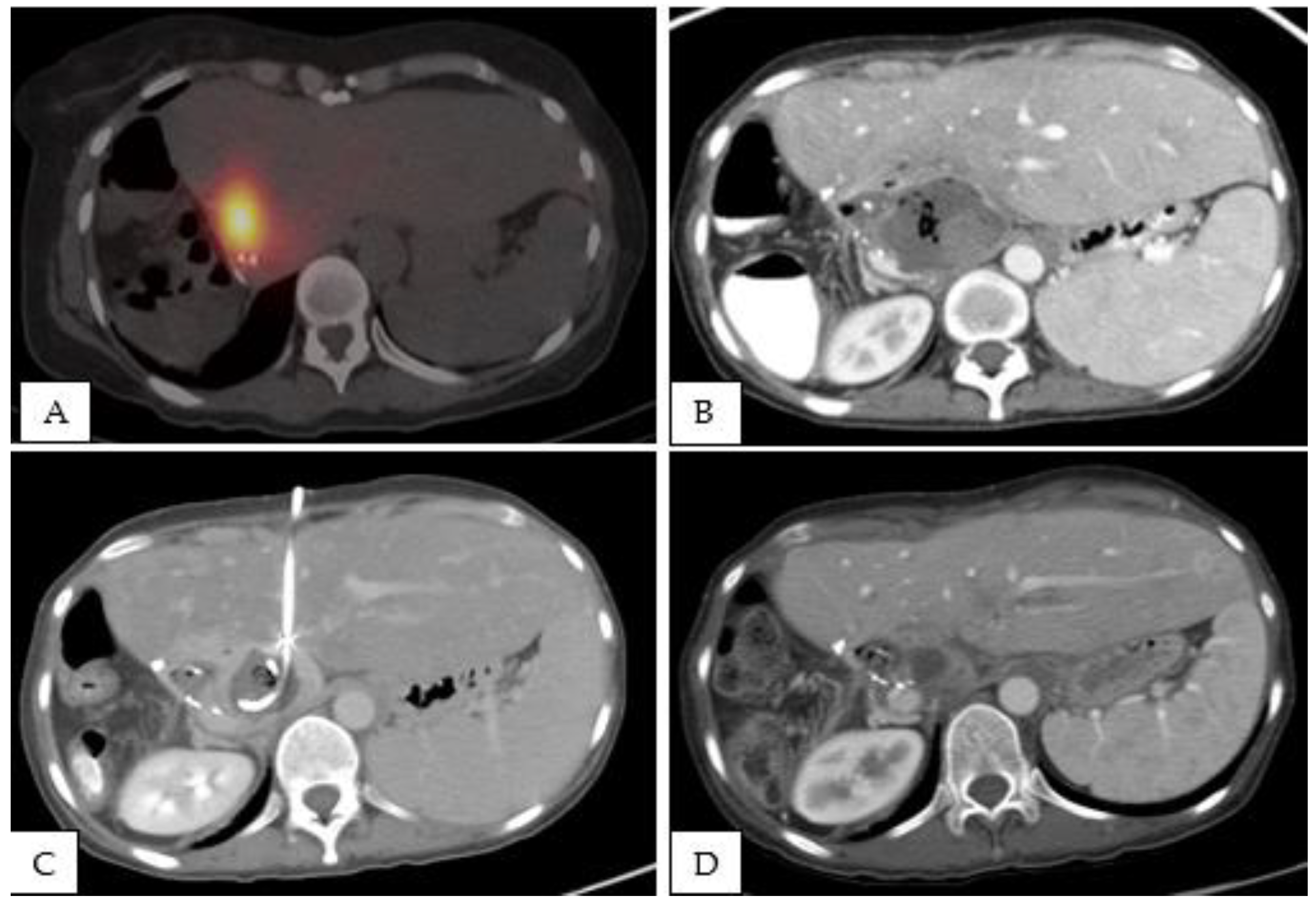
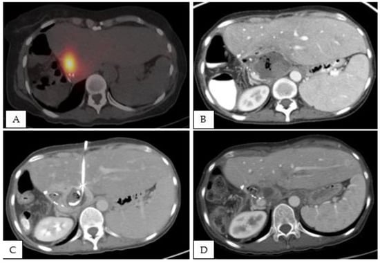
3. Results
4. Discussion
5. Conclusions
Author Contributions
Funding
Institutional Review Board Statement
Informed Consent Statement
Data Availability Statement
Acknowledgments
Conflicts of Interest
References
- Salem, R.; Thurston, K.G. Radioembolization with yttrium-90 microspheres: A state-of-the-art brachytherapy treatment for primary and secondary liver malignancies: Part 3: Comprehensive literature review and future direction. J. Vasc. Inter. Radiol. 2006, 17, 1571–1593. [Google Scholar] [CrossRef] [PubMed]
- Atassi, B.; Bangash, A.K.; Lewandowski, R.J.; Ibrahim, S.; Kulik, L.; Mulcahy, M.F.; Murthy, R.; Ryu, R.K.; Sato, K.T.; Miller, F.H.; et al. Biliary sequelae following radioembolization with yttrium-90 microspheres. J. Vasc. Interv. Radiol. 2008, 19, 691–697. [Google Scholar] [CrossRef] [PubMed]
- Mascarenhas, N.; Ryu, R.K.; Salem, R. Hepatic Radioembolization Complicated by Abscess. Semin. Intervent. Radiol. 2011, 28, 222–225. [Google Scholar] [CrossRef] [PubMed][Green Version]
- Song, S.Y.; Chung, J.W.; Han, J.K.; Lim, H.G.; Koh, Y.H.; Park, J.H.; Lee, H.S.; Kim, C.Y. Liver abscess after transcatheter oily chemoembolization for hepatic tumors: Incidence, predisposing factors, and clinical outcome. J. Vasc. Interv. Radiol. 2001, 12, 313–320. [Google Scholar] [CrossRef]
- Kim, M.H.; Choi, M.S.; Choi, Y.S.; Kim, D.Y.; Lee, J.M.; Paik, S.W.; Lee, J.H.; Koh, K.C.; Yoo, B.C.; Choi, D.; et al. Clinical features of liver abscess developed after radiofrequency ablation and transarterial chemoembolization for hepatocellular carcinoma. Korean J. Hepatol. 2006, 12, 55–64. (In Korean) [Google Scholar] [PubMed]
- Chen, C.; Chen, P.J.; Yang, P.M.; Huang, G.T.; Lai, M.Y.; Tsang, Y.M.; Chen, D.S. Clinical and microbiological features of liver abscess after transarterial embolization for hepatocellular carcinoma. Am. J. Gastroenterol. 1997, 92, 2257–2259. [Google Scholar]
- De Baere, T.; Roche, A.; Amenabar, J.M.; Lagrange, C.; Ducreux, M.; Rougier, P.; Elias, D.; Lasser, P.; Patriarche, C. Liver abscess formation after local treatment of liver tumors. Hepatology 1996, 23, 1436–1440. [Google Scholar] [CrossRef]
- De Jong, M.C.; Farnell, M.B.; Sclabas, G.; Cunningham, S.C.; Cameron, J.L.; Geschwind, J.F.; Wolfgang, C.L.; Herman, J.M.; Edil, B.H.; Choti, M.A.; et al. Liver-directed therapy for hepatic metastases in patients undergoing pancreaticoduodenectomy. Ann. Surg. 2010, 252, 142–148. [Google Scholar] [CrossRef]
- Choi, D.; Lim, H.K.; Kim, M.J.; Kim, S.J.; Kim, S.H.; Lee, W.J.; Lim, J.H.; Paik, S.W.; Yoo, B.C.; Choi, M.S.; et al. Liver abscess after percutaneous radiofrequency ablation for hepatocellular carcinomas: Frequency and risk factors. Am. J. Roentgenol. 2005, 184, 1860–1867. [Google Scholar] [CrossRef]
- Shibata, T.; Yamamoto, Y.; Yamamoto, N.; Maetani, Y.; Shibata, T.; Ikai, I.; Terajima, H.; Hatano, E.; Kubo, T.; Itoh, K.; et al. Cholangitis and liver abscess after percutaneous ablation therapy for liver tumors: Incidence and risk factors. J. Vasc. Interv. Radiol. 2003, 14, 1535–1542. [Google Scholar] [CrossRef]
- Georgiades, C.S.; Hong, K.; Geschwind, J.F. Pre- and postoperative clinical care of patients undergoing interventional oncology procedures: A comprehensive approach to preventing and mitigating complications. Tech. Vasc. Interv. Radiol. 2006, 9, 113–124. [Google Scholar] [CrossRef] [PubMed]
- Kim, W.; Clark, T.W.; Baum, R.A.; Soulen, M.C. Risk Factors for Liver Abscess Formation after Hepatic Chemoembolization. J. Vasc. Interv. Radiol. 2001, 12, 965–968. [Google Scholar] [CrossRef]
- Geschwind, J.F.; Kaushik, S.; Ramsey, D.E.; Choti, M.A.; Fishman, E.K.; Kobeiter, H. Influence of a new prophylactic antibiotic therapy on the incidence of liver abscesses after chemoembolization treatment of liver tumors. J. Vasc. Interv. Radiol. 2002, 13, 1163–1166. [Google Scholar] [CrossRef]
- Patel, S.; Tuite, C.M.; Mondshein, J.I.; Soulen, M.C. Effectiveness of an aggressive antibiotic regimen for chemoembolization in patients with previous biliary intervention. J. Vasc. Interv. Radiol. 2006, 17, 1931–1934. [Google Scholar] [CrossRef]
- Khan, W.; Sullivan, K.L.; McCann, J.W.; Gonsalves, C.F.; Sato, T.; Eschelman, D.J.; Brown, D.B. Moxifloxacin prophylaxis for chemoembolization or embolization in patients with previous biliary interventions: A pilot study. Am. J. Radiol. 2011, 197, 343–345. [Google Scholar] [CrossRef]
- Sakamoto, I.; Aso, N.; Nagaoki, K.; Matsuoka, Y.; Uetani, M.; Ashizawa, K.; Iwanaga, S.; Mori, M.; Morikawa, M.; Fukuda, T.; et al. Complications associated with transcatheter arterial embolization for hepatic tumors. Radiographics 1998, 18, 605–619. [Google Scholar] [CrossRef]
- Huang, S.F.; Ko, C.W.; Chang, C.S.; Chen, G.H. Liver abscess formation after transarterial chemoembolization for malignant hepatic tumors. Hepatogastroenterology 2003, 50, 1115–1118. [Google Scholar]
- Ong, G.Y.; Changchien, C.S.; Lee, C.M.; Wang, J.H.; Tung, H.D.; Chuah, S.K.; Chiu, K.W.; Chiou, S.S.; Cheng, Y.F.; Lu, S.N. Liver abscess complicating transcatheter arterial embolization: A rare but serious complication: A retrospective study after 3878 procedures. Eur. J. Gastroenterol. Hepatol. 2004, 16, 737–742. [Google Scholar] [CrossRef]
- Mezhir, J.J.; Fong, Y.; Fleischer, D.; Seo, S.K.; D’Amico, F.; Petre, E.; Covey, A.M.; Getrajdman, G.I.; Thornton, R.H.; Solomon, S.B.; et al. Pyogenic abscess after hepatic artery embolization: A rare but potentially lethal complication. J. Vasc. Interv. Radiol. 2011, 22, 177–182. [Google Scholar] [CrossRef]
- Devulapalli, K.K.; Fidelman, N.; Soulen, M.C.; Miller, M.; Johnson, M.S.; Addo, E.; El-Haddad, G.; Nutting, C.; Morrison, J.; Farsad, K.; et al. 90Y Radioembolization for hepatic malignancy in patients with previous biliary intervention: Multicenter analysis of hepatobiliary infections. Radiology 2018, 288, 774–781. [Google Scholar] [CrossRef]
- Nakamura, H.; Tanaka, M.; Oi, H. Hepatic embolization from the common hepatic artery using balloon occlusion technique. Am. J. Roentgenol. 1985, 145, 115–116. [Google Scholar] [CrossRef] [PubMed]
- Mahvash, A.; Zaer, N.; Shaw, C.; Chasen, B.; Avritscher, R.; Murthy, R. Temporary balloon occlusion of the common hepatic artery for administration of Yttrium-90 resin microspheres in a patient with patent hepatoenteric collaterals. J. Vasc. Interv. Radiol. 2012, 23, 277–280. [Google Scholar] [CrossRef] [PubMed]

| Demographics | |
|---|---|
| Median age (y) | 49 (range 30–73) |
| Sex | |
| M | 9 (60) |
| F | 6 (40) |
| Nature of Malignancy | |
| Primary liver tumor | 6 (40) |
| Hepatocellular carcinoma | 4 (27) |
| Cholangiocarcinoma | 2 (13) |
| Metastatic disease | 9 (60) |
| Adenocarcinoma | 1 (6.7) |
| Neuroendocrine tumors | 7 (47) |
| Ameloblastoma | 1 (6.7) |
| Biliary intervention | |
| Biliary-enteric anastomosis | 7 (47) |
| Endoscopic stent | 6 (40) |
| Biliary drainage catheter | 1 (6.7) |
| Sphincterotomy | 1 (6.7) |
| Concurrent systemic chemotherapy | |
| Yes | 8 (53) |
| No | 7 (47) |
| Prior liver resection or ablation | |
| Yes | 2 (13) |
| No | 13 (87) |
| Prior chemoembolization orbland embolization | |
| Yes | 2 (13) |
| No | 13 (87) |
| ECOG performance status | |
| 0 | 12 (80) |
| 1 | 3 (20) |
| 2 | 0 (0.0) |
| 3 | 0 (0.0) |
| Lab Value | Before TARE | After TARE (2 Weeks) |
|---|---|---|
| Aspartate Transaminase (U/L) | 34 | 45 |
| alanine transaminase (U/L) | 19 | 25 |
| Alkaline phosphatase (U/L) | 148 | 207 |
| Bilirubin (md/dL) | 0.5 | 0.8 |
| Albumin(g/dL) | 4.4 | 4.5 |
| Prothrombin Time (sec) | 14.2 | 14.9 |
| Platelets (K/μL) | 252 | 208 |
| Hemoglobin (gm/dL) | 14.8 | 13.5 |
| White blood cells (K/μL) | 5.5 | 4.3 |
Publisher’s Note: MDPI stays neutral with regard to jurisdictional claims in published maps and institutional affiliations. |
© 2022 by the authors. Licensee MDPI, Basel, Switzerland. This article is an open access article distributed under the terms and conditions of the Creative Commons Attribution (CC BY) license (https://creativecommons.org/licenses/by/4.0/).
Share and Cite
Agahi, K.N.; Mahvash, A.; Abdelsalam, M.E. Hepatic Abscess following Yttrium-90 Radioembolization in Patients with Surgical Bilioenteric Anastomosis or Compromised Sphincter of Oddi: A Tertiary Cancer Center Experience. Curr. Oncol. 2022, 29, 7051-7058. https://doi.org/10.3390/curroncol29100553
Agahi KN, Mahvash A, Abdelsalam ME. Hepatic Abscess following Yttrium-90 Radioembolization in Patients with Surgical Bilioenteric Anastomosis or Compromised Sphincter of Oddi: A Tertiary Cancer Center Experience. Current Oncology. 2022; 29(10):7051-7058. https://doi.org/10.3390/curroncol29100553
Chicago/Turabian StyleAgahi, Kevin N., Armeen Mahvash, and Mohamed E. Abdelsalam. 2022. "Hepatic Abscess following Yttrium-90 Radioembolization in Patients with Surgical Bilioenteric Anastomosis or Compromised Sphincter of Oddi: A Tertiary Cancer Center Experience" Current Oncology 29, no. 10: 7051-7058. https://doi.org/10.3390/curroncol29100553
APA StyleAgahi, K. N., Mahvash, A., & Abdelsalam, M. E. (2022). Hepatic Abscess following Yttrium-90 Radioembolization in Patients with Surgical Bilioenteric Anastomosis or Compromised Sphincter of Oddi: A Tertiary Cancer Center Experience. Current Oncology, 29(10), 7051-7058. https://doi.org/10.3390/curroncol29100553

