Coronary Risk Assessment by Computed Tomography in Asymptomatic Individuals
Abstract
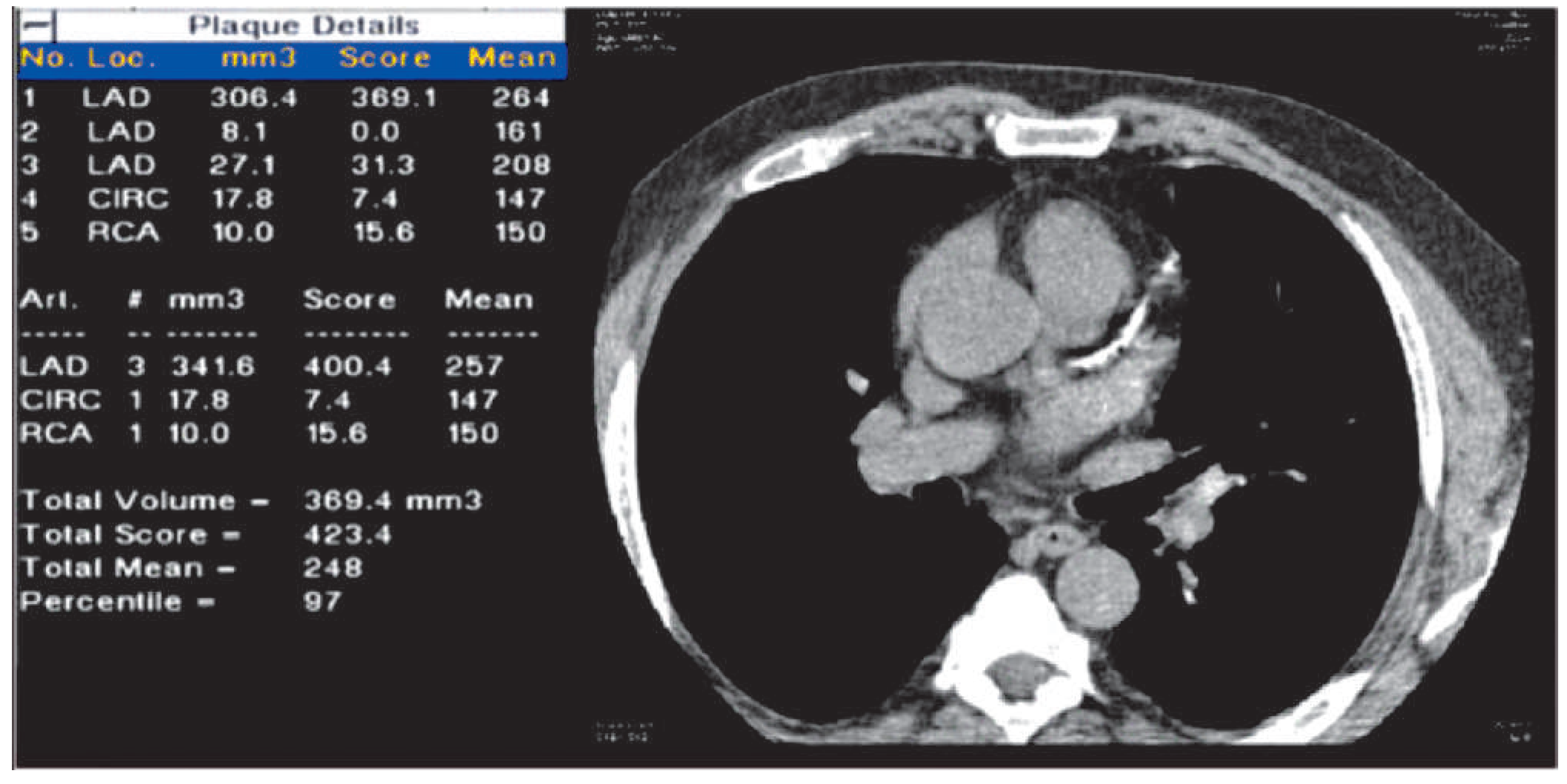
Coronary calcification
Electron beam computed tomography or multislice computed tomography?
Predictive value of coronary calcium
New evidence supports calcium scoring
Coronary calcium is not a screening test, but may be considered in subjects at intermediate risk
Recommendations for CAC use in primary care
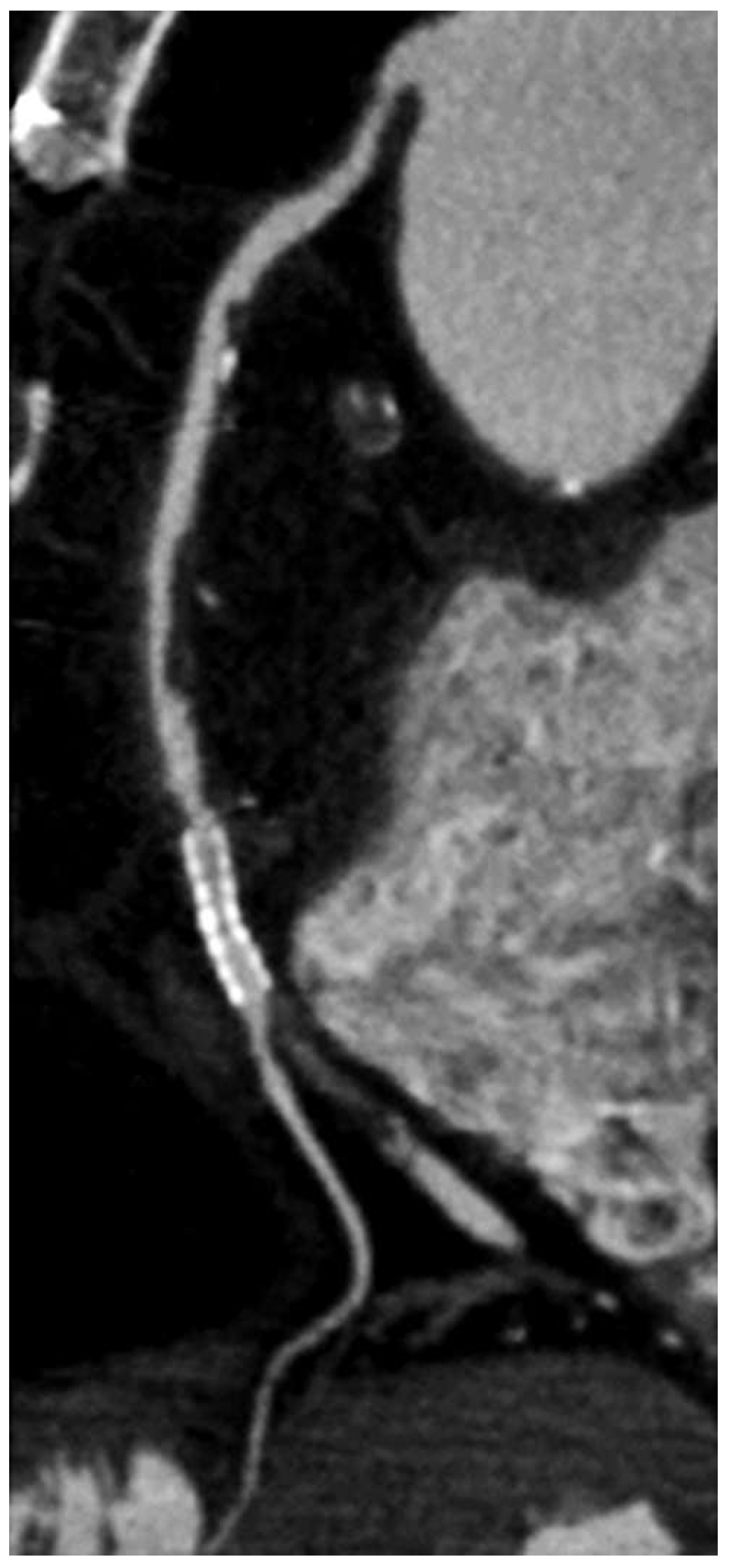
Contrast-enhanced coronary imaging with CT
Diagnostic accuracy of CTCA for coronary artery disease
The importance of CTCA and other imaging modalities in determining the risk of cardiac death / myocardial infarction (MACE) and allcause mortality
Recommendations for CTCA in primary care
Final recommendations
Acknowledgments
Funding/potential competing interests
Abbreviations
| AUC | area under the curve |
| CAC | coronary artery calcification |
| CCS | coronary calcium scoring |
| CTCA | computed tomography coronary angiography |
| EBCT | electron beam-computed tomography |
| FRS | Framingham risk score |
| MACE | major adverse coronary events |
| MESA | Multiethnic Study on Atherosclerosis |
| MPS | myocardial perfusion SPECT |
References
- Rumberger, J.; Simons, B.; Fitzpatrick, L.; Sheedy, P.; Schwartz, R. Coronary Artery Calcium Area by Electron-Beam Computed Tomography and Coronary Atherosclerotic Plaque Area. Circulation 1995, 92, 2157–2162. [Google Scholar] [CrossRef]
- Schmermund, A.; Baumgart, D.; Adamzik, M.; Ge, J.B.; Gronemeyer, D.; Seibel, R.; et al. Comparison of electron-beam computed tomography and intracoronary ultrasound in detecting calcified and noncalcified plaques in patients with acute coronary syndromes and no or minimal to moderate angiographic coronary artery disease. Am J Cardiol 1998, 81, 141–146. [Google Scholar] [CrossRef]
- Becker, C.R.; Jakobs, T.F.; Aydemir, S.; Becker, A.; Knez, A.; Schoepf, U.J.; et al. Helical and single-slice conventional CT versus electron beam CT for the quantification of coronary artery calcification. Am J Roentgenol 2000, 174, 543–547. [Google Scholar] [CrossRef]
- Carr, J.J.; Crouse, J.R.; Goff, D.C.; D’Agostino, R.B.; Peterson, N.P.; Burke, G.L. Evaluation of subsecond gated helical CT for quantification of coronary artery calcium and comparison with electron beam CT. Am J Roentgenol 2000, 174, 915–921. [Google Scholar] [CrossRef]
- Detrano, R.C.; Anderson, M.; Nelson, J.; Wong, N.D.; Carr, J.J.; McNitt-Gray, M.; et al. Coronary calcium measurements: effect of CT scanner type and calcium measure on rescan reproducibility – MESA study. Radiology 2005, 236, 477–484. [Google Scholar] [CrossRef]
- Achenbach, S.; Boehmer, K.; Pflederer, T.; Ropers, D.; Seltmann, M.; Lell, M.; et al. Influence of slice thickness and reconstruction kernel on the computed tomographic attenuation of coronary atherosclerotic plaque. J Cardiovasc Comput Tomogr 2010, 4, 110–115. [Google Scholar] [CrossRef] [PubMed]
- O’Rourke, R.A.; Brundage, B.H.; Froelicher, V.F.; Greenland, P.; Grundy, S.M.; Hachamovitch, R.; et al. American College of Cardiology/American Heart Association Expert Consensus Document on electron-beam computed tomography for the diagnosis and prognosis of coronary artery disease. Circulation 2000, 102, 126–140. [Google Scholar] [CrossRef] [PubMed]
- Detrano, R.C.; Wong, N.D.; Doherty, T.M.; Shavelle, R.M.; Tang, W.; Ginzton, L.E.; et al. Coronary calcium does not accurately predict near-term future coronary events in high-risk adults. Circulation 1999, 99, 2633–2638. [Google Scholar] [CrossRef]
- Arad, Y.; Spadaro La Goodman, K.; Lledo-Perez, A.; Sherman, S.; Lerner, G.; et al. Predictive value of electron beam computed tomography of the coronary arteries. 19-month follow-up of 1173 asymptomatic subjects. Circulation 1996, 93, 1951–1953. [Google Scholar] [CrossRef] [PubMed]
- Raggi, P.; Cooil, B.; Callister, T.Q. Use of electron beam tomography data to develop models for prediction of hard coronary events. Am Heart J 2001, 141, 375–382. [Google Scholar] [CrossRef]
- Arad, Y.; Spadaro La Goodman, K.; Newstein, D.; Guerci a, D. Prediction of coronary events with electron beam computed tomography. JACC 2000, 36, 1253–1260. [Google Scholar] [CrossRef] [PubMed]
- Greenland, P.; LaBree, L.; Azen, S.P.; Doherty, T.M.; Detrano, R.C. Coronary artery calcium score combined with Framingham score for risk prediction in asymptomatic individuals. JAMA 2004, 291, 210–215. [Google Scholar] [CrossRef]
- Vliegenthart, R.; Oudkerk, M.; Hofman, A.; Oei, H.H.S.; Van Dijck, W.; Van Rooij, F.J.A.; et al. Coronary calcification improves cardiovascular risk prediction in the elderly. Circulation 2005, 112, 572–577. [Google Scholar] [CrossRef]
- Shaw, L.J.; Raggi, P.; Schisterman, E.; Berman, D.S.; Callister, T.Q. Prognostic value of cardiac risk factors and coronary artery calcium screening for all-cause mortality. Radiology 2003, 228, 826–833. [Google Scholar] [CrossRef] [PubMed]
- Raggi, P.; Shaw, L.J.; Berman, D.S.; Callister, T.Q. Prognostic value of coronary artery calcium screening in subjects with and without diabetes. JACC 2004, 43, 1663–1669. [Google Scholar] [CrossRef] [PubMed]
- Taylor, A.J.; Bindeman, J.; Feuerstein, I.; Cao, F.; Brazaitis, M.; O’Malley, P.G. Coronary calcium independently predicts incident premature coronary heart disease over measured cardiovascular risk factors: mean threeyear outcomes in the Prospective Army Coronary Calcium (PACC) project. JACC 2005, 46, 807–814. [Google Scholar] [CrossRef]
- Cook, N.R. Use and misuse of the receiver operating characteristic curve in risk prediction. Circulation 2007, 115, 928–935. [Google Scholar] [CrossRef]
- Detrano, R.C.; Guerci, A.D.; Carr, J.J.; Bild, D.E.; Burke, G.; Folsom, A.R.; et al. Coronary calcium as a predictor of coronary events in four racial or ethnic groups. N Engl J Med 2008, 358, 1336–1345. [Google Scholar] [CrossRef]
- Erbel, R.; Möhlenkamp, S.; Moebus, S.; Schmermund, A.; Lehmann, N.; Stang, A.; et al. Coronary risk stratification, discrimination, and reclassification improvement based on quantification of subclinical coronary atherosclerosis: the Heinz Nixdorf Recall study. JACC 2010, 56, 1397–1406. [Google Scholar] [CrossRef]
- Arad, Y.; Goodman, K.J.; Roth, M.; Newstein, D.; Guerci, A.D. Coronary calcification, coronary disease risk factors, C-reactive protein, and atherosclerotic cardiovascular disease events – The St. Francis Heart Study. JACC 2005, 46, 158–165. [Google Scholar] [CrossRef] [PubMed]
- Assmann, G.; Cullen, P.; Schulte, H. Simple scoring scheme for calculating the risk of acute coronary events based on the 10-year follow-up of the prospective cardiovascular Münster (PROCAM) study. Circulation 2002, 105, 310–315. [Google Scholar] [CrossRef]
- Wilson, P.W.F.; Smith Jr, S.C.; Blumenthal, R.S.; Burke, G.L.; Wong, N.D. Task force #4 – how do we select patients for atherosclerosis imaging? JACC 2003, 41, 1898–1906. [Google Scholar]
- Romanens, M.; Berger, D.; Battegay, E. Predictive value of clinical risk assessment tools and guidelines for 10-year coronary heart disease risk in practice-based primary care. Kardiovaskuläre Medizin 2005, 8, 180–186. [Google Scholar]
- Romanens, M.; Ackermann, F.; Spence, J.D.; Darioli, R.; Rodondi, N.; Corti, R.; et al. Improvement of cardiovascular risk prediction: time to review current knowledge, debates, and fundamentals on how to assess test characteristics. Eur J Cardiovasc Prev Rehab 2010, 17, 18–23. [Google Scholar] [CrossRef]
- Greenland, P.; Bonow, R.O.; Brundage, B.H.; Budoff, M.J.; Eisenberg, M.J.; Grundy, S.M.; et al. ACCF/AHA 2007 clinical expert consensus document on coronary artery calcium scoring by computed tomography in global cardiovascular risk assessment and in evaluation of patients with chest pain. JACC 2007, 49, 378–402. [Google Scholar] [CrossRef]
- Taylor, A.J.; Cerqueira, M.; Hodgson, J.M.; Mark, D.; Min, J.K.; O’Gara, P.; et al. ACCF/SCCT/ACR/AHA/ASE/ASNC/SCAI/SCMR 2010 Appropriate Use Criteria for Cardiac Computed Tomography. JACC 2010, 56, 1864–1894. [Google Scholar] [CrossRef]
- McClelland, R.L.; Nasir, K.; Budoff, M.; Blumenthal, R.S.; Kronmal, R.A. Arterial Age as a Function of Coronary Artery Calcium (from the MultiEthnic Study of Atherosclerosis [MESA]). Am J Cardiol 2009, 103, 59–63. [Google Scholar] [CrossRef] [PubMed]
- Van der Meer, I.M.; Bots, M.L.; Hofman, A.; Del Sol, A.I.; Van der Kuip Da, M.; Witteman, J.C.M. Predictive value of noninvasive measures of atherosclerosis for incident myocardial infarction: the Rotterdam Study. Circulation 2004, 109, 1089–1094. [Google Scholar] [CrossRef] [PubMed]
- Mancia, G.; De Backer, G.; Dominiczak, A.; Cifkova, R.; Fagard, R.; Germano, G.; et al. 2007 Guidelines for the management of arterial hypertension: The Task Force for the Management of Arterial Hypertension of the European Society of Hypertension (ESH) and of the European Society of Cardiology (ESC). Eur Heart J 2007, 28, 1462–1536. [Google Scholar] [CrossRef] [PubMed]
- Graham, I.; Atar, D.; Borch-Johnsen, K.; Boysen, G.; Burell, G.; Cifkova, R.; et al. European guidelines on cardiovascular disease prevention in clinical practice: executive summary. Eur Heart J 2007, 28, 2375–2414. [Google Scholar] [CrossRef]
- Hendel, R.C.; Budoff, M.J.; Cardella, J.F.; Chambers, C.E.; Dent, J.M.; Fitzgerald, D.M.; et al. ACC/AHA/ACR/ASE/ASNC/HRS/NASCI/RSNA/SAIP/ SCAI/ SCCT/SCMR/SIR 2008 Key Data Elements and Definitions for Cardiac Imaging: A Report of the American College of Cardiology/American Heart Association Task Force on Clinical Data Standards (Writing Committee to. Circulation 2009, 119, 154–186. [Google Scholar]
- Alpert, J.S.; Beller, G.A.; J, E.; Budoff, M.J.; Fayad, Z.A.; Foster, E.; et al. 2010 ACCF/AHA Guideline for Assessment of Cardiovascular Risk in Asymptomatic Adults. JACC 2010, 56, 2182–2199. [Google Scholar]
- Naghavi, M.; Falk, E.; Hecht, H.S.; Jamieson, M.J.; Kaul, S.; Berman, D.; et al. From vulnerable plaque to vulnerable patient – Part III: Executive summary of the Screening for Heart Attack Prevention and Education (SHAPE) task force report. Am J Cardiol 2006, 98, 2–15. [Google Scholar] [CrossRef]
- Eckardstein, A. AGLA Guidelines. 2012. Available at: www.agla.ch.
- Perk, J.; De Backer, G.; Gohlke, H. European Guidelines on cardiovascular disease prevention in clinical practice (version 2012). Eur Heart J. 2012, 33, 1635–1701. [Google Scholar]
- McEvoy, J.W.; Blaha, M.J.; Defilippis, A.P.; Budoff, M.J.; Nasir, K.; Blumenthal, R.S.; et al. Coronary artery calcium progression: an important clinical measurement? A review of published reports. JACC 2010, 56, 1613–1622. [Google Scholar] [CrossRef] [PubMed]
- Hoffmann, U.; Ferencik, M.; Cury, R.C.; Pena, A.J. Coronary CT angiography. J Nucl Med 2006, 47, 797–806. [Google Scholar] [PubMed]
- Leschka, S.; Alkadhi, H.; Plass, A.; Desbiolles, L.; Grunenfelder, J.; Marincek, B.; et al. Accuracy of MSCT coronary angiography with 64-slice technology: first experience. Eur Heart J 2005, 26, 1482–1487. [Google Scholar] [CrossRef]
- Leber, A.W.; Knez, A.; Von Ziegler, F.; Becker, A.; Nikolaou, K.; Paul, S.; et al. Quantification of obstructive and nonobstructive coronary lesions by 64-slice computed tomography: a comparative study with quantitative coronary angiography and intravascular ultrasound. JACC 2005, 46, 147–154. [Google Scholar] [CrossRef]
- Raff GL, Gallagher MJ, O’Neill WW, Goldstein J a. Diagnostic accuracy of noninvasive coronary angiography using 64-slice spiral computed tomography. JACC 2005, 46, 552–557. [Google Scholar] [CrossRef] [PubMed]
- Ropers, D.; Rixe, J.; Anders, K.; Kuttner, A.; Baum, U.; Bautz, W.; et al. Usefulness of multidetector row spiral computed tomography with 64-x 0.6mm collimation and 330-ms rotation for the noninvasive detection of significant coronary artery stenoses. Am J Cardiol 2006, 97, 343–348. [Google Scholar] [CrossRef]
- Mollet, N.R.; Cademartiri, F.; Van Mieghem, C.A.G.; Runza, G.; McFadden, E.P.; Baks, T.; et al. High-resolution spiral computed tomography coronary angiography in patients referred for diagnostic conventional coronary angiography. Circulation 2005, 112, 2318–2323. [Google Scholar] [CrossRef]
- Achenbach, S.; Ropers, U.; Kuettner, A.; Anders, K.; Pflederer, T.; Komatsu, S.; et al. Randomized comparison of 64-slice singleand dual-source computed tomography coronary angiography for the detection of coronary artery disease. J Am Coll Cardiol Img 2008, 1, 177–186. [Google Scholar] [CrossRef]
- Alkadhi, H.; Scheffel, H.; Desbiolles, L.; Gaemperli, O.; Stolzmann, P.; Plass, A.; et al. Dual-source computed tomography coronary angiography: influence of obesity, calcium load, and heart rate on diagnostic accuracy. Eur Heart J 2008, 29, 766–776. [Google Scholar] [CrossRef] [PubMed]
- Budoff, M.J.; Dowe, D.; Jollis, J.G.; Gitter, M.; Sutherland, J.; Halamert, E.; et al. Diagnostic Performance of 64-Multidetector Row Coronary Computed Tomographic Angiography for Evaluation of Coronary Artery Stenosis in Individuals Without Known Coronary Artery Disease. JACC 2008, 52, 1724–1732. [Google Scholar] [CrossRef] [PubMed]
- Pugliese, F.; Mollet, N.R.; Runza, G.; Van Mieghem, C.; Meijboom, W.B.; Malagutti, P.; et al. Diagnostic accuracy of non-invasive 64-slice CT coronary angiography in patients with stable angina pectoris. Eur Radiol 2006, 16, 575–582. [Google Scholar] [CrossRef]
- Garcia, M.J.; Lessick, J.; Hoffmann, M.H.K. Accuracy of 16-row multidetector computed tomography for the assessment of coronary artery stenosis. JAMA 2006, 296, 403–411. [Google Scholar] [CrossRef]
- Meijboom, W.B.; Meijs, M.F.L.; Schuijf, J.D.; Cramer, M.J.; Mollet, N.R.; Van Mieghem Ca, G.; et al. Diagnostic accuracy of 64-slice computed tomography coronary angiography: a prospective, multicenter, multivendor study. JACC 2008, 52, 2135–2144. [Google Scholar] [CrossRef] [PubMed]
- Choi, E.K.; Il Choi, S.; Rivera, J.J.; Nasir, K.; Chang, S.A.; Chun, E.J.; et al. Coronary computed tomography angiography as a screening tool for the detection of occult coronary artery disease in asymptomatic individuals. JACC 2008, 52, 357–365. [Google Scholar] [CrossRef]
- Patel, M.R.; Dehmer, G.J.; Hirshfeld, J.W.; Smith, P.K.; Spertus, J.A. ACCF/ SCAI/STS/AATS/AHA/ASNC 2009 Appropriateness Criteria for Coronary Revascularization. JACC 2009, 53, 530–553. [Google Scholar] [CrossRef]
- Min, J.K.; Shaw, L.J.; Devereux, R.B.; Okin, P.M.; Weinsaft, J.W.; Russo, D.J.; et al. Prognostic value of multidetector coronary computed tomographic angiography for prediction of all-cause mortality. JACC 2007, 50, 1161–1170. [Google Scholar] [CrossRef]
- Hadamitzky, M.; Freissmuth, B.; Meyer, T.; Hein, F.; Kastrati, A.; Martinoff, S.; et al. Prognostic value of coronary computed tomographic angiography for prediction of cardiac events in patients with suspected coronary artery disease. J Am Coll Cardiol Img 2009, 2, 404–411. [Google Scholar] [CrossRef]
- Patel MR, Dehmer GJ, Hirshfeld JW, Smith PK, Spertus J a. Appropriateness Criteria ACCF/SCAI/STS/AATS/AHA/ASNC 2009 Appropriateness Criteria for Coronary Revascularization. Circulation 2009, 119, 1330–1352.
- Min, J.K.; Kang, N.; Shaw, L.J.; Devereux, R.B.; Robinson, M.; Lin, F.; et al. Costs and clinical outcomes after coronary multidetector CT angiography in patients without known coronary artery disease: Comparison to myocardial perfusion SPECT. Radiology 2008, 249, 62–70. [Google Scholar] [CrossRef] [PubMed]
- Van Werkhoven, J.M.; Schuijf, J.D.; Gaemperli, O.; Jukema, J.W.; Boersma, E.; Wijns, W.; et al. Prognostic value of multislice computed tomography and gated single-photon emission computed tomography in patients with suspected coronary artery disease. JACC 2009, 53, 623–632. [Google Scholar] [CrossRef] [PubMed]
- Shaw, L.J.; Narula, J. Risk assessment and predictive value of coronary artery disease testing. J Nucl Med 2009, 50, 1296–1306. [Google Scholar] [CrossRef]
- Gottlieb, I.; Lima Ja, C. Screening high-risk patients with computed tomography angiography. Circulation 2008, 117, 1318–1332. [Google Scholar] [CrossRef]
- Shreibati, J.B.; Baker, L.C.; Hlatky, M.A. Association of Coronary CT Angiography or Stress Testing With Subsequent Utilization and Spending Among Medicare Beneficiaries. JAMA 2011, 306, 2128–2136. [Google Scholar] [CrossRef]
- Achenbach, S.; Raggi, P. Imaging of coronary atherosclerosis by computed tomography. Eur Heart J 2010, 31, 1442–1448. [Google Scholar] [CrossRef]
- Perrone-Filardi, P.; Achenbach, S.; Möhlenkamp, S.; Reiner, Z.; Sambuceti, G.; Schuijf, J.D.; et al. Cardiac computed tomography and myocardial perfusion scintigraphy for risk stratification in asymptomatic individuals without known cardiovascular disease. Eur Heart J 2010, 39, 1–10. [Google Scholar]


| Author | Reference | n | Outcome | Population | Age | RF | CAC | p |
| Raggi | [15] | 10 377 | Mortality | Referred | 53 | 0.72 | 0.78 | <0.001 |
| Raggi | [10] | 903 | Mortality | Referred | 57 | 0.50 | 0.72 | <0.001 |
| Vliegenthart | [13] | 1795 | MACE | Population | 71 | 0.75 | 0.77 | 0.030 |
| Arad | [20] | 4903 | MACE | Population | 59 | 0.68 | 0.79 | <0.001 |
| Taylor | [16] | 2000 | MACE | Military | 43 | 0.50 | 0.89 | NS |
| Shaw | [14] | 676 | MACE | Referred | 52 | 0.71 | 0.82 | <0.030 |
| Detrano | [18] | 6722 | MACE | Population | 62 | 0.79 | 0.83 | 0.006 |
| Detrano | [18] | 2598 1 | MACE | Population | 63 | 0.76 | 0.79 | NS (0.10) |
| Erbel | [19] | 4129 | MACE | Population | 59 | 0.65 | 0.76 | <0.001 |
| ROC = receiver operating characteristic; RF = area under the curve (AUC) for independent cardiovascular risk factors; CAC = AUC for coronary artery calcium; MACE = major adverse cardiac events (death, myocardial infarction); Population = population-based study, p = p-value for AUC RF versus CAC 1 White population only | ||||||||
| Author | Reference | n | Sensitivity | Specificity | PPV | NPV | Excluded patients (%) | Vessel diameter |
| Leschka | [38] | 70 | 86 | 95 | 66 | 98 | 12% | >1.5 mm |
| Leber | [39] | 59 | 79 | 97 | 72 | 98 | 7% | >1.5 mm |
| Raff | [40] | 70 | 86 | 95 | 66 | 98 | 12% | All |
| Ropers | [41] | 82 | 93 | 97 | 80 | 98 | 4% | >1.5 mm |
| Mollet | [42] | 51 | 99 | 95 | 76 | 99 | 2% | All |
| Achenbach | [43] | 200 | 90 | 85 | 83 | 92 | 9% | All |
| Alkadhi | [44] | 150 | 97 | 87 | 83 | 98 | 2% | All |
| Budoff | [45] | 230 | 95 | 83 | 84 | 99 | 0% | All |
| Weighted mean value | 114 | 92 | 89 | 79 | 97 | 5% | ||
| PPV = positive predictive value; NPV = negative predictive value | ||||||||
© 2013 by the author. Attribution - Non-Commercial - NoDerivatives 4.0.
Share and Cite
Romanens, M.; Corti, R.; Depairon, M.; Darioli, R.; Kaufmann, B.; Rodondi, N.; Roffi, M.; Noll, G. Coronary Risk Assessment by Computed Tomography in Asymptomatic Individuals. Cardiovasc. Med. 2013, 16, 144. https://doi.org/10.4414/cvm.2013.00153
Romanens M, Corti R, Depairon M, Darioli R, Kaufmann B, Rodondi N, Roffi M, Noll G. Coronary Risk Assessment by Computed Tomography in Asymptomatic Individuals. Cardiovascular Medicine. 2013; 16(5):144. https://doi.org/10.4414/cvm.2013.00153
Chicago/Turabian StyleRomanens, Michel, Roberto Corti, Michèle Depairon, Roger Darioli, Beat Kaufmann, Nicolas Rodondi, Marco Roffi, and Georg Noll. 2013. "Coronary Risk Assessment by Computed Tomography in Asymptomatic Individuals" Cardiovascular Medicine 16, no. 5: 144. https://doi.org/10.4414/cvm.2013.00153
APA StyleRomanens, M., Corti, R., Depairon, M., Darioli, R., Kaufmann, B., Rodondi, N., Roffi, M., & Noll, G. (2013). Coronary Risk Assessment by Computed Tomography in Asymptomatic Individuals. Cardiovascular Medicine, 16(5), 144. https://doi.org/10.4414/cvm.2013.00153

