Next Issue
Volume 16, 06
Previous Issue
Volume 16, 04
 
 
cardiovascmed-logo

Journal Browser

Journal Browser
Cardiovascular Medicine is published by MDPI from Volume 28 Issue 1 (2025). Previous articles were published by another publisher in Open Access under a CC-BY (or CC-BY-NC-ND) licence, and they are hosted by MDPI on mdpi.com as a courtesy and upon agreement with Editores Medicorum Helveticorum (EMH).

Cardiovasc. Med., Volume 16, Issue 5 (05 2013) – 3 articles

  • Issues are regarded as officially published after their release is announced to the table of contents alert mailing list.
  • You may sign up for e-mail alerts to receive table of contents of newly released issues.
  • PDF is the official format for papers published in both, html and pdf forms. To view the papers in pdf format, click on the "PDF Full-text" link, and use the free Adobe Reader to open them.
Order results
Result details
Select all
Export citation of selected articles as:
2 pages, 95 KB  
Interesting Images
A Curious Case of Premature Atrial Contractions
by David Altmann, Joëlle Günthard and Michael Kühne
Cardiovasc. Med. 2013, 16(5), 160; https://doi.org/10.4414/cvm.2013.00140 - 22 May 2013
Viewed by 141
Abstract
An ECG was performed in an asymptomatic 6-yearold boy for evaluation of bradycardia with a heart rate of approximately 50 beats per minute [...] Full article
Show Figures

Figure 1

2 pages, 358 KB  
Interesting Images
Propofol-Dip for Tricky Stent Delivery
by Lukas Burri, Mario Togni and Stéphane Cook
Cardiovasc. Med. 2013, 16(5), 153; https://doi.org/10.4414/cvm.2013.00137 - 22 May 2013
Cited by 1 | Viewed by 130
Abstract
A 70-year-old male patient was referred for closure of patent foramen ovale after recurrent transient cerebral ischaemia [...] Full article
Show Figures

Figure 1

9 pages, 278 KB  
Review
Coronary Risk Assessment by Computed Tomography in Asymptomatic Individuals
by Michel Romanens, Roberto Corti, Michèle Depairon, Roger Darioli, Beat Kaufmann, Nicolas Rodondi, Marco Roffi and Georg Noll
Cardiovasc. Med. 2013, 16(5), 144; https://doi.org/10.4414/cvm.2013.00153 - 22 May 2013
Viewed by 155
Abstract
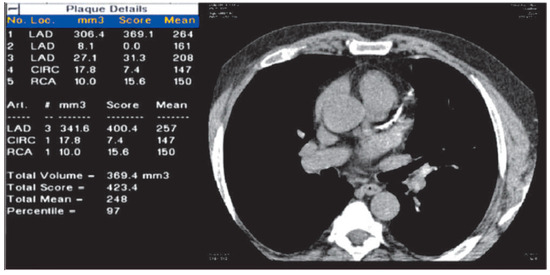
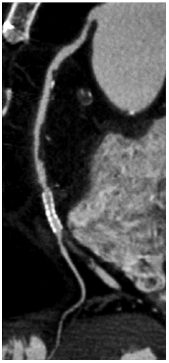
Coronary risk prediction remains a difficult task: coronary risk charts rely on major independent coronary risk factors, which do not necessarily predict risk in different populations, are poorly validated externally and may need recalibration to improve predictive accuracy. Coronary artery calcification (CAC) can [...] Read more.
Coronary risk prediction remains a difficult task: coronary risk charts rely on major independent coronary risk factors, which do not necessarily predict risk in different populations, are poorly validated externally and may need recalibration to improve predictive accuracy. Coronary artery calcification (CAC) can be visualised and quantified using computed tomography. On the basis of receiver operating characteristic (ROC) curves, several studies have shown that CAC does confer incremental value on coronary risk charts and increase the accuracy of outcome prediction. CAC measurements may be considered in intermediate- risk subjects, or in those where traditional cardiovascular risk factors fail to assess risk adequately, for example, subjects with a family history of premature coronary artery disease. Computed tomography coronary angiography (CTCA) visualises and helps to quantify soft coronary plaques and stenosis. CTCA in asymptomatic patients has very rarely been studied and its diagnostic accuracy in comparison with invasive procedures is acceptable in noncalcified coronary segments. There being no current role for CTCA imaging for asymptomatic patients to reduce risk in primary care, CTCA should not be used to stratify coronary risk. Full article
Show Figures

Figure 1

Previous Issue
Next Issue
Back to TopTop