Valve Prosthesis in the Tricuspid Position: An Useasy Relationship
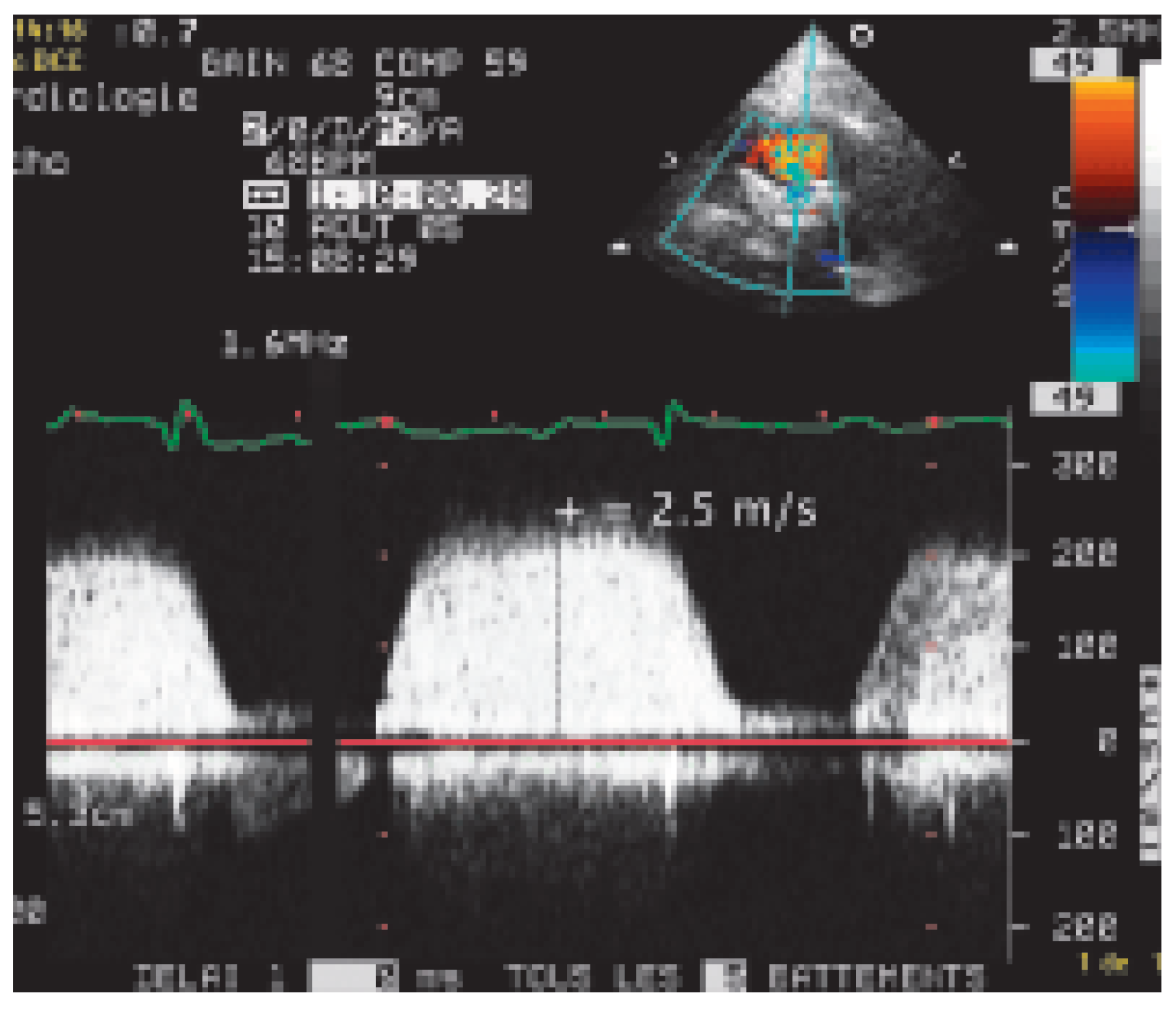
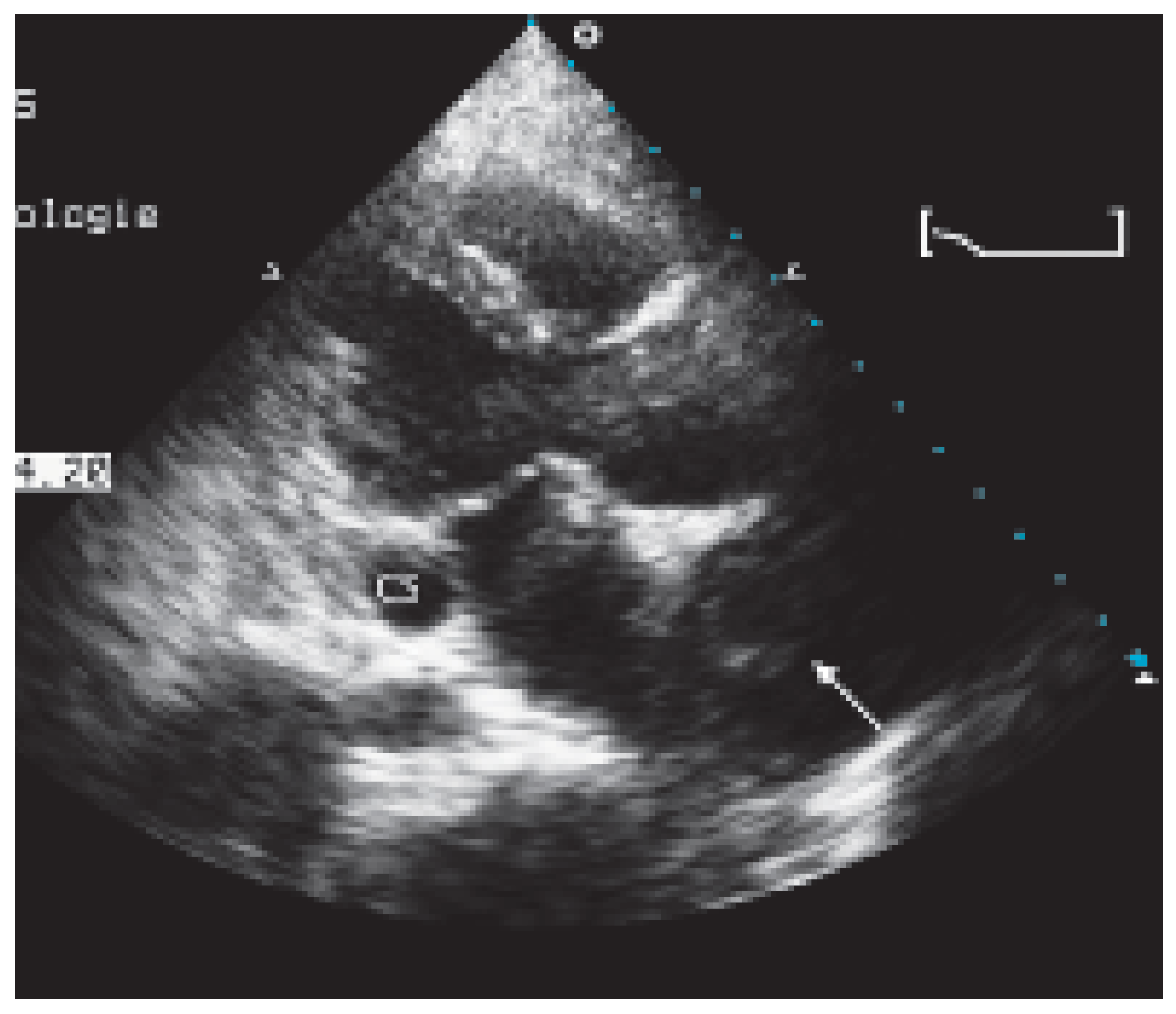
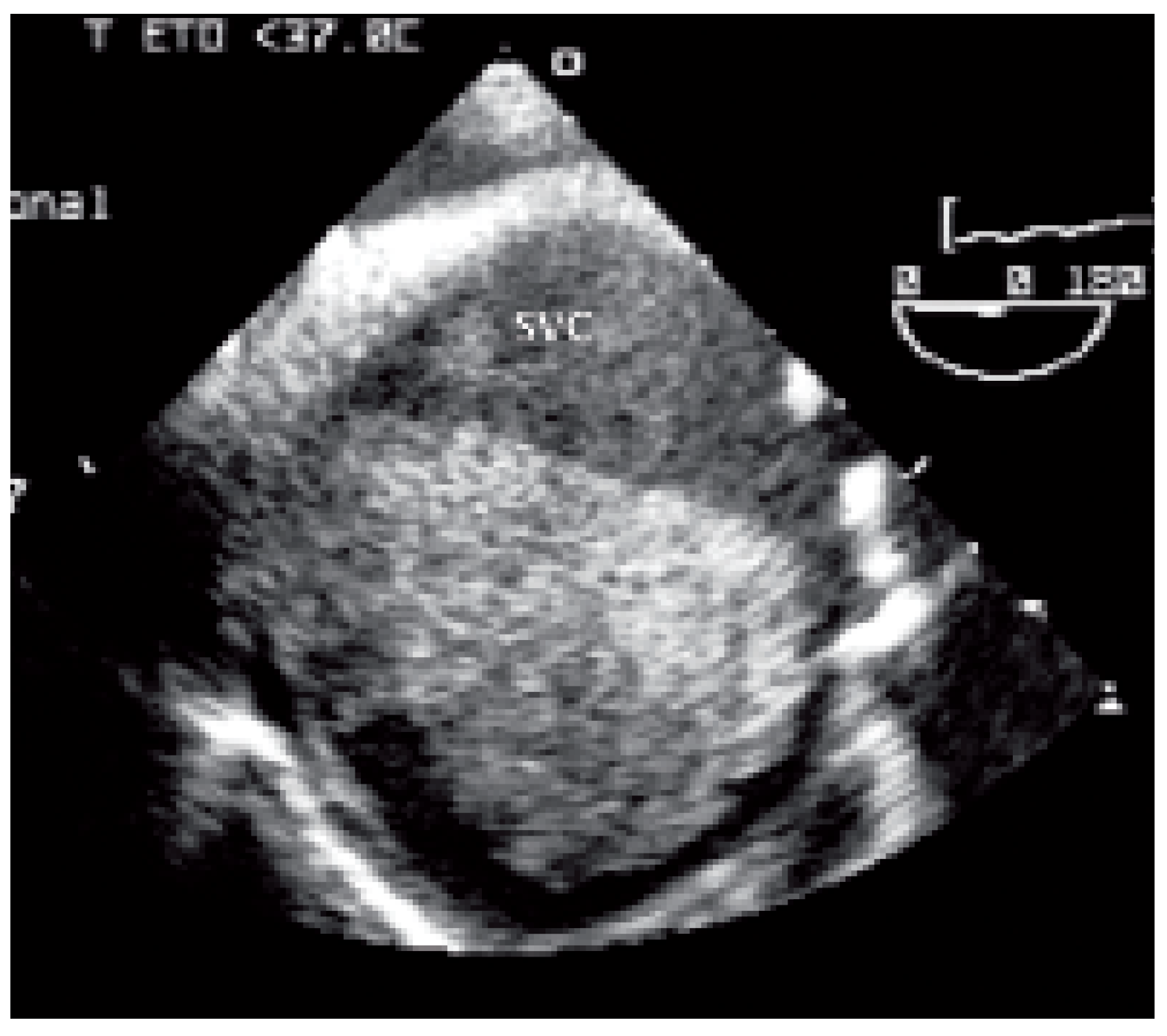
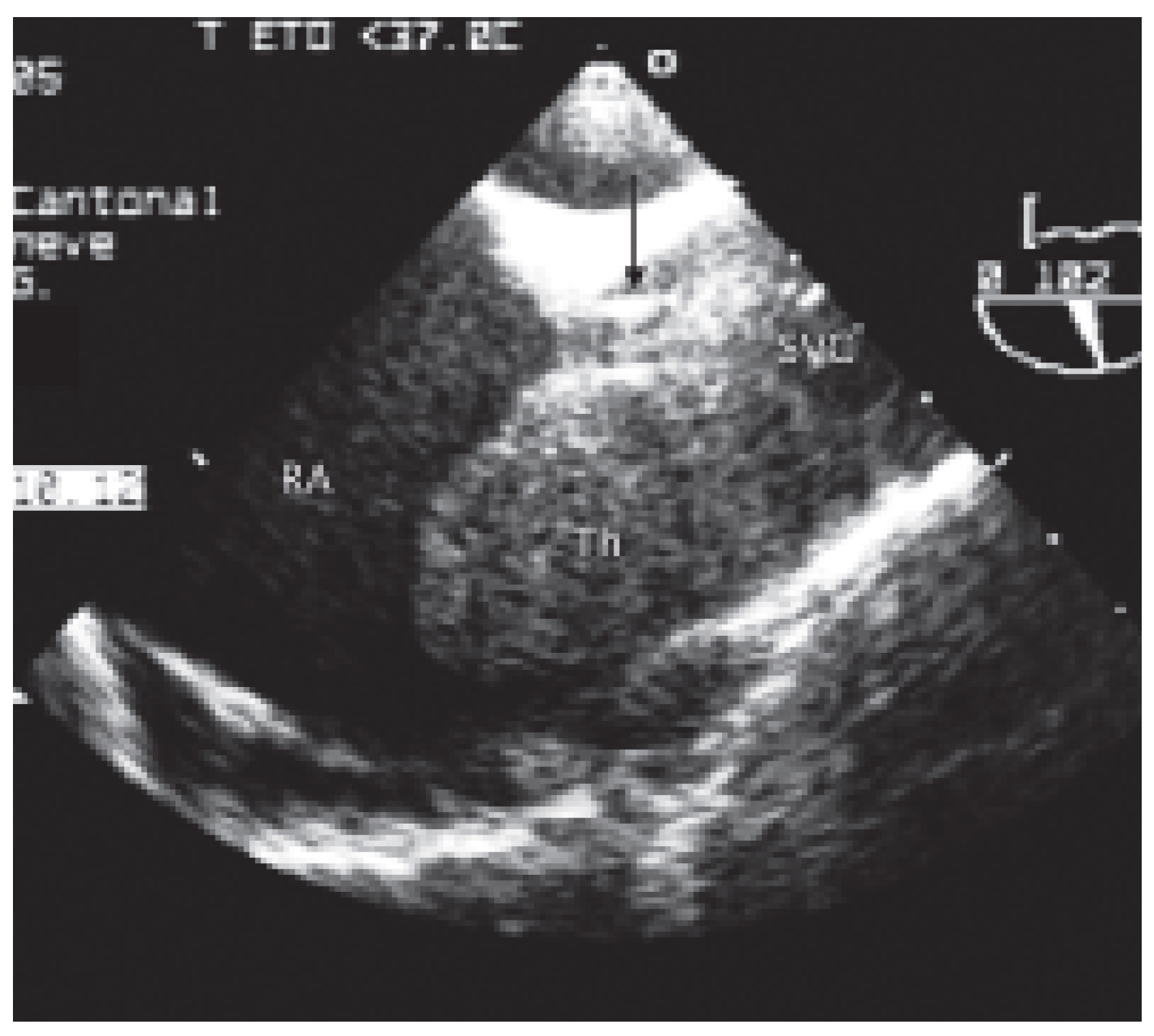
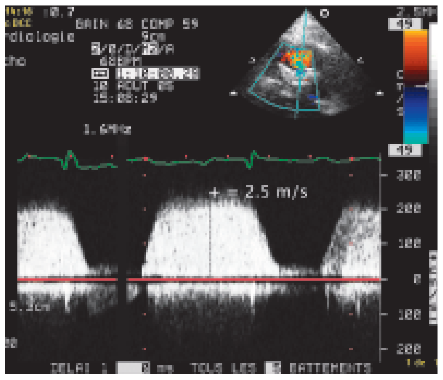
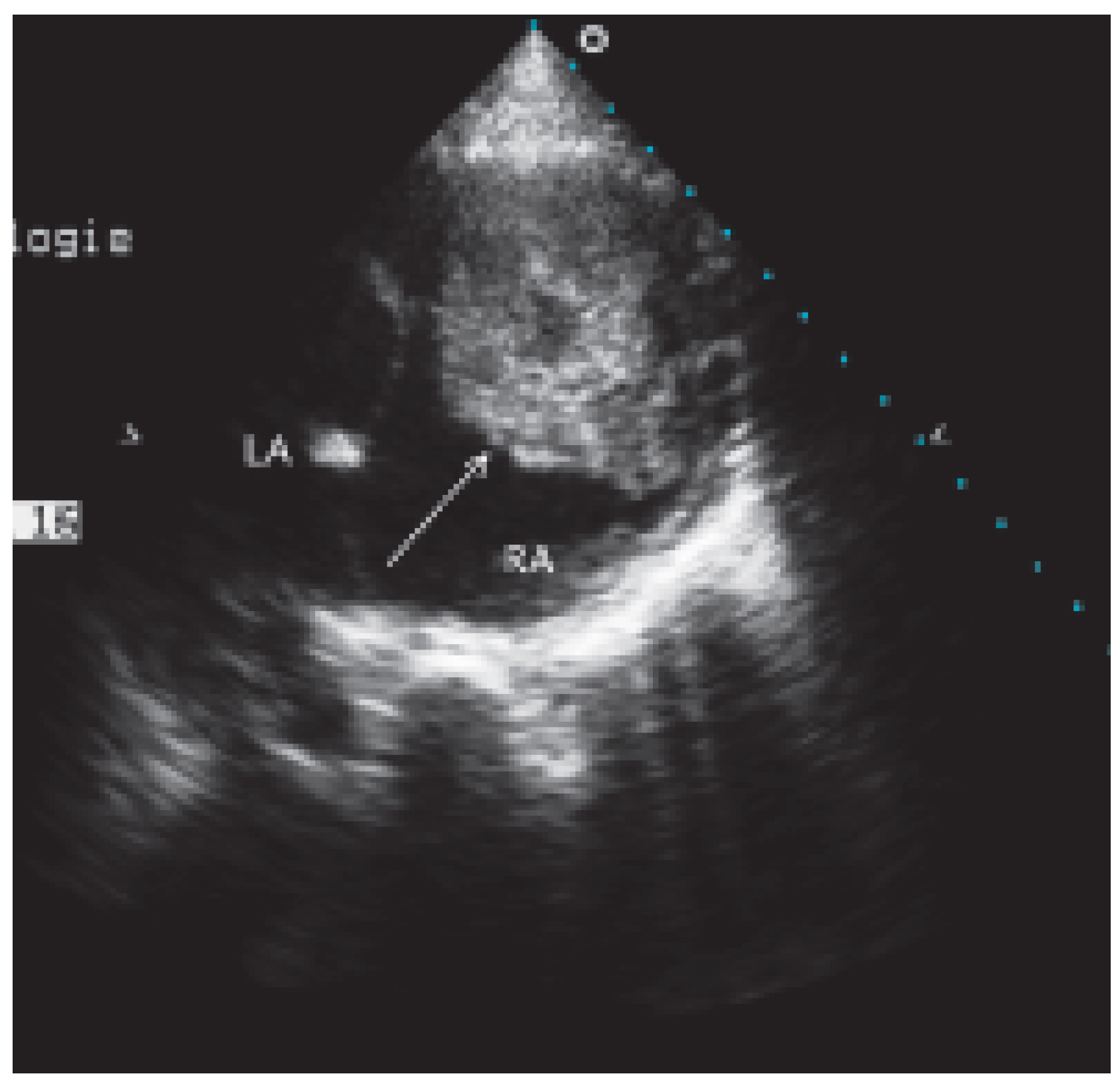
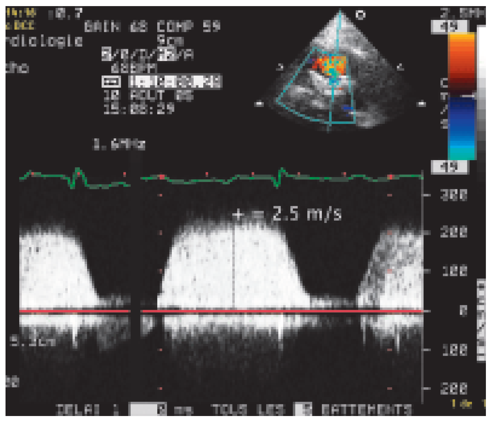
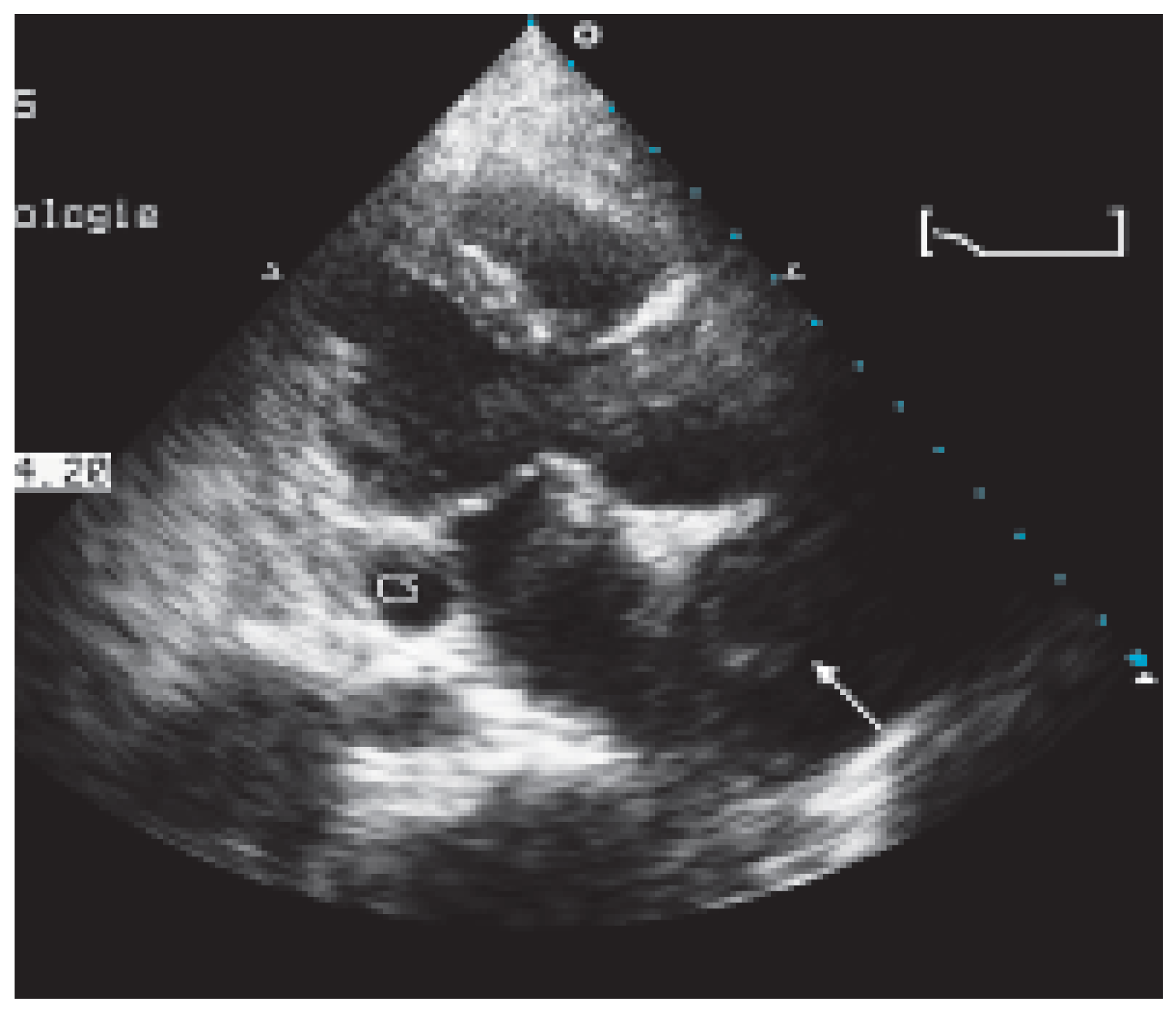
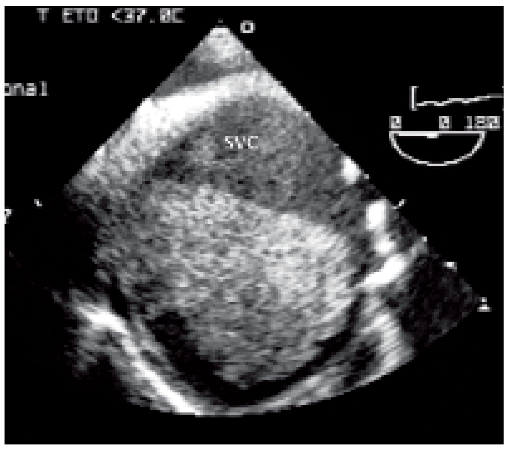
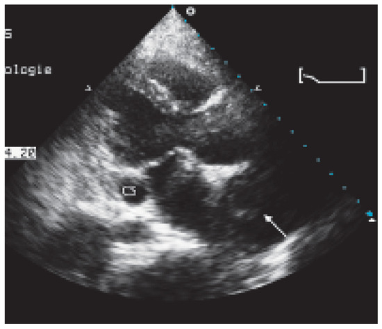
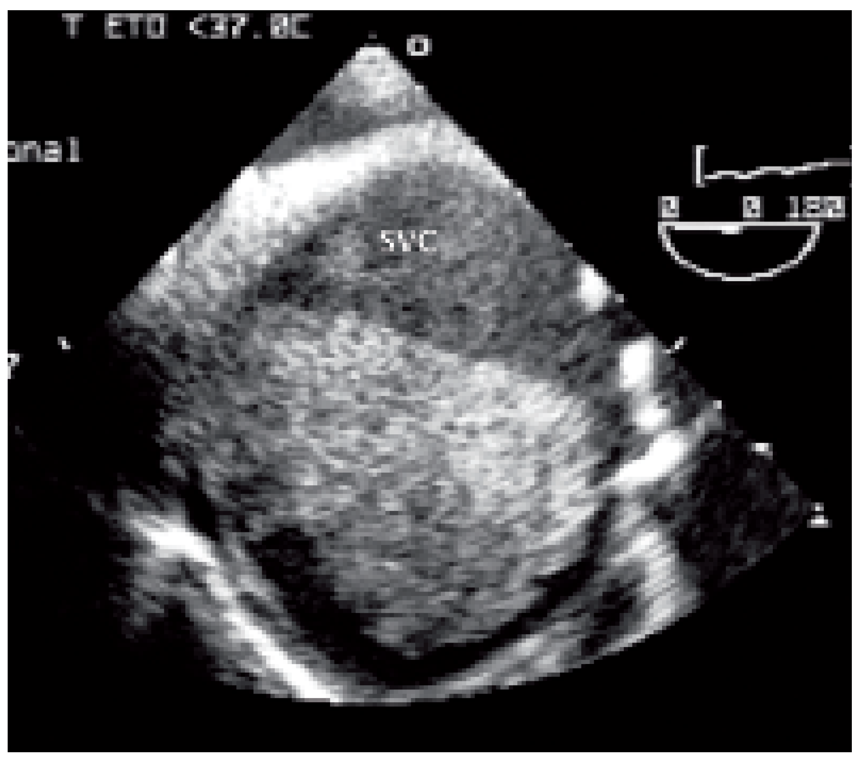
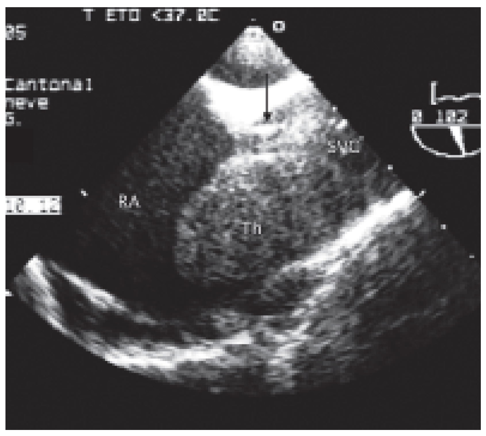
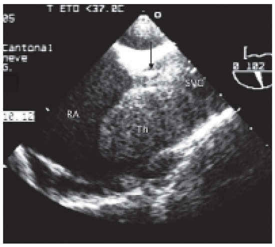
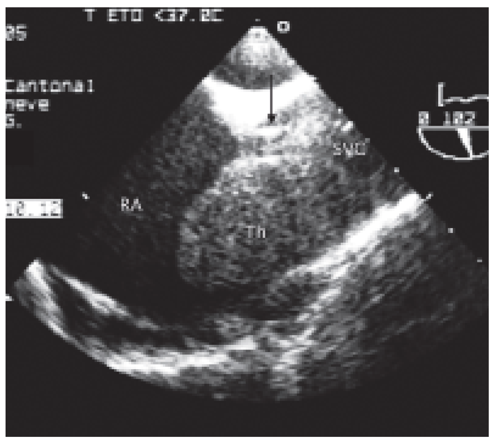
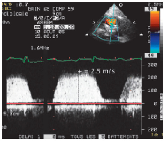
Case report
Discussion
References
- Filsoufi, F.; Anyanwu, A.C.; Salzberg, S.P.; Frankel, T.; Cohn, L.H.; Adams, D.H. Long-term outcomes of tricuspid valve replacement in the current era. Ann Thorac Surg 2005, 80, 845–850. [Google Scholar] [CrossRef] [PubMed]
- Rizzoli, G.; Vendramin, I.; Nesseris, G.; Bottio, T.; Guglielmi, C.; Schiavon, L. Biological or mechanical prostheses in tricuspid position? A meta-analysis of intra-institutional results. Ann Thorac Surg 2004, 77, 1607–1614. [Google Scholar] [CrossRef] [PubMed]






© 2006 by the author. Attribution - Non-Commercial - NoDerivatives 4.0.
Share and Cite
Trindade, P.T.; Sierra, J.; Vuille, C. Valve Prosthesis in the Tricuspid Position: An Useasy Relationship. Cardiovasc. Med. 2006, 9, 167. https://doi.org/10.4414/cvm.2006.01163
Trindade PT, Sierra J, Vuille C. Valve Prosthesis in the Tricuspid Position: An Useasy Relationship. Cardiovascular Medicine. 2006; 9(4):167. https://doi.org/10.4414/cvm.2006.01163
Chicago/Turabian StyleTrindade, P. Trigo, J. Sierra, and C. Vuille. 2006. "Valve Prosthesis in the Tricuspid Position: An Useasy Relationship" Cardiovascular Medicine 9, no. 4: 167. https://doi.org/10.4414/cvm.2006.01163
APA StyleTrindade, P. T., Sierra, J., & Vuille, C. (2006). Valve Prosthesis in the Tricuspid Position: An Useasy Relationship. Cardiovascular Medicine, 9(4), 167. https://doi.org/10.4414/cvm.2006.01163
