Fallbeschreibung
Ein 10jähriger Knabe wurde zur Abklärung eines Systolikums bei unauffälliger Anamnese und insbesondere uneingeschränkter körperlicher Belastbarkeit vorgestellt. Bei gutem All gemeinzustand und perzentilengerechter Entwicklung fiel eine marmorierte Haut der im Vergleich zu den Armen hypotrophen Beine auf. Die Pulse waren an den oberen Extremitäten kräftig, hingegen von inguinal nach distal kaum palpabel. Der systolische Blutdruck betrug 160 bzw. 158 mm Hg am rechten bzw. linken Oberarm und 98 mm Hg an beiden Beinen. Die kardiale Palpation und Auskultation fiel bis auf ein mittelfrequentes 3/6-Systolikum mit PM über Erb und Aorta normal aus. Die übrige körperliche Untersuchung war altersentsprechend normal.
Echokardiographisch kam bis auf eine kompetente bikuspide Aortenklappe und eine leichte linksventrikuläre Hypertrophie ein strukturell normales Herz zur Darstellung. Die Aorta ascendens hingegen war mit 26 mm Durchmesser ektatisch, wobei der distale Aortenbogen sich auf 9 mm verjüngte. Der Aortenisthmusbereich distal der linken A. subclavia war echokardiographisch nicht einsehbar. Die kaum pulsierende Aorta abdominalis wies ein pathologisches systolodiastolisches Flussprofil (Figure 1) auf.
Figure 1.
Typisches systolodiastolisches Flussprofil, gemessen dopplersonographisch in der proximalen Aorta descendens nach der Stenose. Die maximale Flussgeschwindigkeit von 380 cm/sec entspricht einem Druckgradienten von max/mean 60/20 mm Hg.
Der hochgradige Verdacht auf eine Aortenisthmusstenose (AIS) wurde durch die MRT bestätigt: hier fand sich eine subatretische, kurzstreckige AIS mit ausgeprägter Kollateralisierung (Figure 2).
Figure 2.
Dreidimensionale Rekonstruktion der MR-Angiographie. Eine hochgradige Stenose zeigt sich im Isthmusbereich. Ausgeprägter Umgehungskreislauf durch die Paravertebralarterien und beide Aa. mammariae.
Die katheterinterventionelle Therapie gestaltete sich als komplikationslose Stent-Implantation mit Erweiterung des Aortenlumens im Bereich der AIS von knapp 1,4 mm auf 12 mm und entsprechender Reduktion des Druckgradienten von initial 40 mm Hg auf 5 mm Hg (Figure 3).
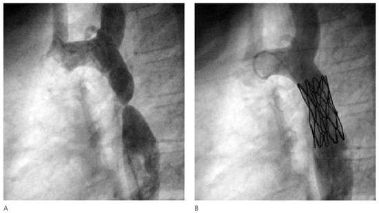
Figure 3.
Angiographische Darstellung der hochgradige Stenose (A) und postinterventionelles Resultat mit korrekter Position des Stentes und vollständiger Behebung der Einengung (B).
Die klinische Verlaufskontrolle 3 Monate postinterventionell liess eine Blutdruckdifferenz von den oberen zu den unteren Extremitäten von 2 mm Hg dokumentieren. Der Knabe war weiterhin beschwerdefrei und gut belastbar. Echokardiographisch kam ein perfektes Interventionsresultat ohne Restenosierung oder Aneurysma-Bildung zur Darstellung.
Diskussion
Bei arterieller Hypertonie im Kindesund Jugendalter soll eine AIS ausgeschlossen werden, was bereits klinisch mittels Erhebung des Pulsstatus und Blutdruckmessung an allen vier Extremitäten angegangen werden kann.
Die Aortenisthmusstenose (AIS) liegt mit einer Prävalenz von 0,2–0,62 pro 1000 Lebendgeborene bei 5–8% aller angeborenen Herzfehler vor, wobei knapp 2/3 Knaben sind. Nicht selten findet sich eine Kombination mit anderen Fehlbildungssyndromen (Turner-, Holt Oram-, Williams-Beurenoder Marfan-Syndrom). Häufig verläuft die postduktale Form der AIS bis ins Jugendalter wie in unserem Fall asymptomatisch.
Bei älteren Kindern ab dem Schulalter stehen therapeutisch die katheterinterventionelle Angioplastie ggf. mit Stenting einerseits und operative Verfahren andererseits zur Verfügung. Beide sind im Langzeitverlauf bis auf das häufigere Auftreten von Aneurysmen bei der Angioplastie gleichwertig; allerdings war bei den bisherigen Vergleichsstudien die Angioplastie mit Stenting noch nicht berücksichtigt [1].
Prognostisch bedeutsam ist neben einer möglichst frühen Intervention jedoch die prinzipiell gegebene verminderte Elastizität der prästenotischen Arterien im Sinne eines kongenitalen Leidens mit erhöhtem Risiko für eine arterielle Hypertonie oder Entstehung von Aneurysmen [2]. Bereits hieraus ist die Notwendigkeit einer umfassenden Langzeitkontrolle evident.
References
- Cowley, G.; Orsmond, G.; Feola, P.; McQuillan, L.; Shaddy, R. Longterm, randomized comparison of ballon angioplasty and surgery for native coarctation of the aorta in childhood. Circulation 2005, 111, 3453–3456. [Google Scholar] [CrossRef] [PubMed]
- Vogt, M.; Kühn, A.; Baumgartner, D.; Baumgartner, C.; Busch, R.; Kostolny, M.; Hess, J. Impaired elastic properties of the ascending aorta in newborns before and early after successful coarctation repair. Circulation 2005, 111, 3269–3273. [Google Scholar] [CrossRef] [PubMed]
© 2006 by the author. Attribution - Non-Commercial - NoDerivatives 4.0.


