Next Issue
Volume 9, 05
Previous Issue
Volume 9, 03
 
 
cardiovascmed-logo

Journal Browser

Journal Browser
Cardiovascular Medicine is published by MDPI from Volume 28 Issue 1 (2025). Previous articles were published by another publisher in Open Access under a CC-BY (or CC-BY-NC-ND) licence, and they are hosted by MDPI on mdpi.com as a courtesy and upon agreement with Editores Medicorum Helveticorum (EMH).

Cardiovasc. Med., Volume 9, Issue 4 (04 2006) – 8 articles

  • Issues are regarded as officially published after their release is announced to the table of contents alert mailing list.
  • You may sign up for e-mail alerts to receive table of contents of newly released issues.
  • PDF is the official format for papers published in both, html and pdf forms. To view the papers in pdf format, click on the "PDF Full-text" link, and use the free Adobe Reader to open them.
Order results
Result details
Select all
Export citation of selected articles as:
1 pages, 200 KB  
Editorial
Berufung von Pedro Trigo Trindade als Leitender Arzt für «Kongenitale Vitien» ans Universitätsspital Zürich
by Thomas F. Lüscher
Cardiovasc. Med. 2006, 9(4), 170; https://doi.org/10.4414/cvm.2006.01165 - 28 Apr 2006
Viewed by 99
Abstract
Dr. Pedro Trigo Trindade wurde per 1 [...] Full article
Show Figures

Figure 1

1 pages, 147 KB  
Communication
Facharztprüfung für Die Erlangung des Facharzttitels Kardiologie / Examen de spécialiste en vue de l’obtention du titre en Cardiologie
by
Cardiovasc. Med. 2006, 9(4), 169; https://doi.org/10.4414/cvm.2006.01166 - 28 Apr 2006
Viewed by 89
Abstract
Aufgrund des Weiterbildungsprogramms, welches am 1 [...] Full article
2 pages, 347 KB  
Interesting Images
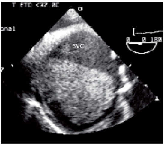
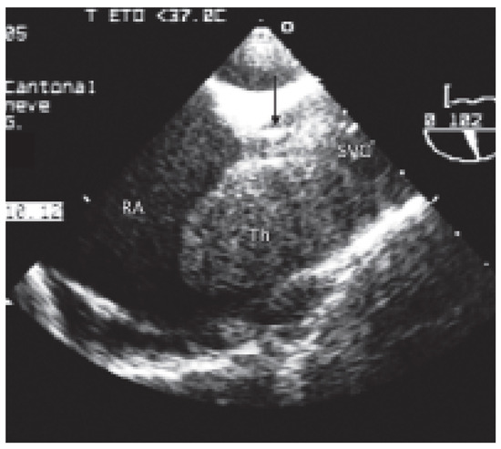
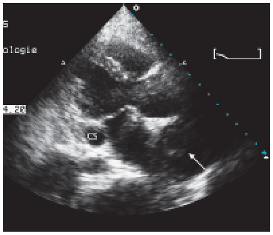
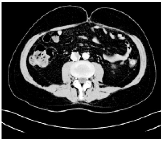
Valve Prosthesis in the Tricuspid Position: An Useasy Relationship
by P. Trigo Trindade, J. Sierra and C. Vuille
Cardiovasc. Med. 2006, 9(4), 167; https://doi.org/10.4414/cvm.2006.01163 - 28 Apr 2006
Viewed by 114
Abstract
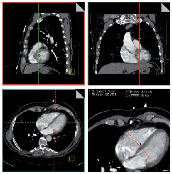
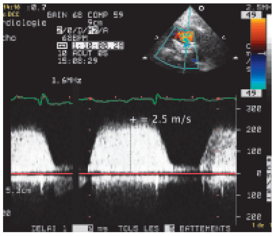
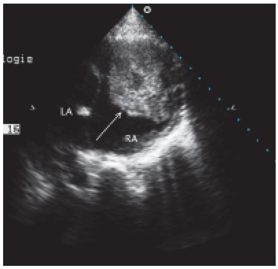
Case report. A27-year-old woman from Madagascar was referred to our institution because of right heart failure [...] Full article
Show Figures

Figure 1

1 pages, 195 KB  
Interesting Images
Palpitations Anciennes, Malaises Récents
by Jürg Schläpfer
Cardiovasc. Med. 2006, 9(4), 166; https://doi.org/10.4414/cvm.2006.01164 - 28 Apr 2006
Viewed by 95
Abstract
Histoire clinique. Patiente de 55 ans ayant présenté des épisodes de palpitations dans l’adolescence sans documentation ECG et qui, après un intervalle libre de plus de 20 ans, se plaint de malaises fréquents [...] Full article
Show Figures

Figure 1

4 pages, 331 KB  
Editorial
Vena Cava Interruption and Mechanical Thrombectomy in Acute Pulmonary Embolism
by Nils Kucher
Cardiovasc. Med. 2006, 9(4), 162; https://doi.org/10.4414/cvm.2006.01170 - 28 Apr 2006
Viewed by 226
Abstract
Most patients with pulmonary embolism will have an uneventful clinical course once therapeutic levels of anticoagulation are established. High risk patients, however, may require additional therapy to improve survival and prevent recurrent pulmonary embolism. This chapter focuses on inferior vena cava filter insertion, [...] Read more.
Most patients with pulmonary embolism will have an uneventful clinical course once therapeutic levels of anticoagulation are established. High risk patients, however, may require additional therapy to improve survival and prevent recurrent pulmonary embolism. This chapter focuses on inferior vena cava filter insertion, surgical embolectomy, and catheter interventions in pulmonary embolism. Full article
Show Figures

Figure 1

2 pages, 162 KB  
Editorial
Thrombolysis for Acute Pulmonary Embolism
by Stavros Konstantinides
Cardiovasc. Med. 2006, 9(4), 153; https://doi.org/10.4414/cvm.2006.01168 - 28 Apr 2006
Viewed by 179
Abstract
Physicians caring for patients with acute pulmonary embolism (PE) are often faced with the dilemma whether to «limit» therapy to heparin anticoagulation or administer thrombolytics. Assessment of right ventricular dysfunction may be useful in guiding therapeutic decisions in PE. Haemodynamically stable patients without [...] Read more.
Physicians caring for patients with acute pulmonary embolism (PE) are often faced with the dilemma whether to «limit» therapy to heparin anticoagulation or administer thrombolytics. Assessment of right ventricular dysfunction may be useful in guiding therapeutic decisions in PE. Haemodynamically stable patients without echocardiographic (or CT) evidence of right ventricular (RV) dysfunction (non-massive PE) have an excellent in-hospital prognosis and should thus be treated with heparin alone, preferably with weight-adjusted low molecular weight heparin. At the other end of the spectrum, unstable patients in cardiogenic shock (massive PE) must receive immediate thrombolysis or, in the presence of absolute contraindications to thrombolytic agents, undergo interventional or surgical pulmonary artery recanalisation. Recently, evidence has accumulated that normotensive patients with RV dysfunction (submassive PE) may also have a high mortality and complication risk during the acute phase. To date, only one study has investigated the possible benefits of thrombolysis compared to heparin alone in this latter patient population. Although the study could show a significant difference in favor of thrombolysis wirth regard to the primary combined end point (mortality or need for escalation of treatment), it did not find a pure survival benefit for patients receiving thrombolytic treatment. The optimal treatment (thrombolysis vs heparin alone) of patients with submassive PE will now be addressed by a large multinational controlled trial which is about to begin very soon. Full article
6 pages, 353 KB  
Editorial
Risk Stratification of Pulmonary Embolism
by Nils Kucher
Cardiovasc. Med. 2006, 9(4), 146; https://doi.org/10.4414/cvm.2006.01169 - 28 Apr 2006
Viewed by 149
Abstract
Acute pulmonary embolism (PE) is a heterogenous condition, with varying early and long term clinical outcomes. The mortality rate in PE patients is higher than in patients with acute myocardial infarction, exceeding 10% at 30 days and 16% at 3 months [1]. Within [...] Read more.
Acute pulmonary embolism (PE) is a heterogenous condition, with varying early and long term clinical outcomes. The mortality rate in PE patients is higher than in patients with acute myocardial infarction, exceeding 10% at 30 days and 16% at 3 months [1]. Within 30 days, the most common cause of death is right ventricular failure, and most deaths beyond 30 days often are due to underlying chronic conditions, including cancer, congestive heart failure, or chronic lung disease. With therapeutic levels of anticoagulation, most patients will likely have an uneventful clinical course. Some patients, however, suffer rapid clinical deterioration, including death from right ventricular failure or the need for cardiopulmonary resuscitation, mechanical ventilation, administration of pressors for systolic arterial hypotension, rescue thrombolysis, or surgical embolectomy. Contemporary PE risk stratification tools are (1.) the clinical evaluation, (2.) cardiac biomarkers, (3.) twelve-lead electrocardiography, (4.) echocardiography, and (5.) chest computed tomography. Full article
Show Figures

Figure 1

8 pages, 634 KB  
Editorial
Diagnosing Pulmonary Embolism
by Arnaud Perrier
Cardiovasc. Med. 2006, 9(4), 136; https://doi.org/10.4414/cvm.2006.01167 - 28 Apr 2006
Viewed by 109
Abstract
No single non invasive test has sufficient diagnostic accuracy to be used alone for diagnosing or ruling out pulmonary embolism. Therefore, modern diagnostic strategies for pulmonary embolism rely on combinations of non invasive tests such as plasma D-dimer measurement, lower limb venous compression [...] Read more.
No single non invasive test has sufficient diagnostic accuracy to be used alone for diagnosing or ruling out pulmonary embolism. Therefore, modern diagnostic strategies for pulmonary embolism rely on combinations of non invasive tests such as plasma D-dimer measurement, lower limb venous compression ultrasonography, ventilation-perfusion lung scan and/or spiral CT, the results of which should be interpreted according to the clinical likelihood of pulmonary embolism. Pulmonary angiography is rarely necessary. Clinical probability of pulmonary embolism can be assessed with fair accuracy, either implicitly or by clinical prediction rules. Management studies in which patients deemed not to have pulmonary embolism are left untreated and followed up to assess their 3-month thromboembolic risk have become the benchmark for the validation of diagnostic algorithms. Haemodynamically unstable patients should be managed by quick strategies including echocardiography and ventilation-perfusion scintigraphy or spiral CT. Full article
Show Figures

Figure 1

Previous Issue
Next Issue
Back to TopTop