Next Article in Journal
Takotsubo Syndrome and Spontaneous Coronary Artery Dissection
Previous Article in Journal
Leadless Pacemaker Implantation via the Internal Jugular Vein
 
 
Cardiovascular Medicine is published by MDPI from Volume 28 Issue 1 (2025). Previous articles were published by another publisher in Open Access under a CC-BY (or CC-BY-NC-ND) licence, and they are hosted by MDPI on mdpi.com as a courtesy and upon agreement with Editores Medicorum Helveticorum (EMH).
Font Type:
Arial Georgia Verdana
Font Size:
Aa Aa Aa
Line Spacing:
Column Width:
Background:
Case Report

Isolated Right Ventricular Myocardial Infarction

by
Andrea Papa
1,*,†,
Edira Bekiri
2,†,
Marco Giacchi
3 and
Gregor Leibundgut
1
1
Department of Cardiology and Cardiovascular Research Institute, University Hospital Basel, Basel, Switzerland
2
Division of Cardiology, Medical University Department, Kantonsspital Aarau, Aarau, Switzerland
3
Division of Cardiology, Kantonsspital Graubünden, Chur, Switzerland
*
Author to whom correspondence should be addressed.
These authors contributed equally to this work.
Cardiovasc. Med. 2023, 26(6), 206; https://doi.org/10.4414/cvm.2023.1190638221
Submission received: 22 August 2023 / Revised: 22 September 2023 / Accepted: 22 October 2023 / Published: 22 November 2023

Abstract

A 67-year-old man with known coronary artery disease was rescued after an out-of-hospital cardiac arrest due to ventricular fibrillation (VF) and admitted to the catheterization laboratory with inferior ST-segment elevation, right bundle branch block and atrial fibrillation on the electrocardiogram. The patient had had an elective percutaneous coronary intervention (PCI) with implantation of a bare metal stent to the dominant mid left circumflex artery three years before and a second PCI with implantation of a drug-eluting stent to the proximal/mid left anterior descending artery at another local institution three months earlier. The prescribed dual antiplatelet therapy was interrupted by the patient right after discharge. Therefore, a stent thrombosis was initially deemed the most probable cause of his clinical presentation (the elephant in the room). Nevertheless, the coronary angiography showed patent stents and the left ventriculography revealed a normal left ventricular function. After excluding aortic dissection and pulmonary embolism, cardiac magnetic resonance imaging showed signs of acute isolated right ventricular myocardial infarction. Upon review of previous angiograms, a small occluded right ventricular branch appeared to be the lesion that triggered the VF.

Background

Isolated right ventricular myocardial infarction (iRVMI) is a rare condition and can be potentially overlooked [1]. The prognosis of such an event can be poor, irrespective of the involvement of the left ventricle (LV), potentially leading to lethal arrhythmic and mechanical complications. This report describes the rare case of an iRVMI due to an acute ostial occlusion of a small right ventricular branch (RVB), which triggered an out-of-hospital cardiac arrest (OHCA).

Case Presentation

A 67-year-old man alarmed the emergency medical service (EMS) after complaining of sudden chest pain at night. The patient had a history of coronary artery disease and peripheral artery disease besides hypercholesterolemia, obesity, and longtime smoking. Moreover, the patient was on antidepressant (venlafaxine) and antipsychotic (quetiapine) treatment for a bipolar affective disorder.
Three months earlier, he had an elective percutaneous coronary intervention (PCI) with a drug-eluting stent (DES; Xience Xpedition® 3.0/48) implanted to the proximal/mid left anterior descending artery (LAD). Three years before that, he had had another elective PCI with the implantation of a bare metal stent (BMS) to the dominant mid left circumflex artery (LCX), both done in other local hospitals.
The dual antiplatelet therapy (DAPT) with aspirin 100 mg o.d. and clopidogrel 75 mg o.d. was prematurely discontinued by the patient early after his last PCI.
Upon arrival, the rescuers witnessed the patient’s collapse. In absence of a palpable pulse a cardiopulmonary resuscitation (CPR) was initiated. On the monitor a ventricular fibrillation (VF) was detected (Figure 1). A first defibrillation reestablished a return to spontaneous circulation (ROSC) within a few minutes. The electrocardiogram (ECG) revealed a rapid atrial fibrillation (AF) with right bundle branch block (RBBB) and ST-segment elevation in the inferior leads (Figure 2). The patient experienced another VF requiring a second and a third defibrillation. The EMS was able to achieve a ROSC with hemodynamic stability and restoration of consciousness with a Glasgow Coma Scale of 14.
Once admitted to the catheter laboratory, an emergency coronary angiogram was performed.
At the time of admission, the images and reports from the previous coronary interventions were not available for comparison.
Despite the premature discontinuation of DAPT, the DES in the proximal/mid LAD and the BMS in the dominant LCX were both patent. The right coronary artery (RCA) was non-dominant, diffusely sclerotic and perfused to the distal periphery. The left ventriculography (LVG) showed a normal left ventricular function without regional wall motion abnormalities (RWMA) (Figure 3).
At this moment, a spontaneous coronary dissection was considered to be one of the plausible causes for a transient vessel occlusion resulting in VF. Therefore, intracoronary imaging was not performed as the risk of complications, such as the propagation of a dissected intimal flap, was deemed to be too high.
An acute type A aortic dissection was considered improbable due to the lack of typical signs on the aortic root angiography, like intimal flap, aortic ectasia or regurgitation. The blood tests showed a normal renal function, normal hemoglobin levels as well as negative inflammatory parameters. There was a relevant rise and fall of the cardiac biomarkers, so the working diagnosis of myocardial infarction with non-obstructive coronary arteries (MINOCA) was made. Because of the normal LVG, etiologies like Takotsubo syndrome or a myocarditis were considered improbable.
Given the clinically severe presentation, the recent history of PCI and DAPT malcompliance, a transient stent thrombosis with spontaneous recanalization after CPR and Heparin was considered as the most plausible cause of the OHCA, as the elephant in the room. The patient was subsequently monitored at the intermediate care unit.
A transthoracic echocardiography (TTE) confirmed a normal left ventricular function without RWMA or relevant valvular disease. Nevertheless, the TTE showed a dilated right ventricle (RV) with a hypokinetic free wall. A computer tomography (CT) of the pulmonary arteries ruled out a pulmonary embolism (PE).
On the third day of admission, cardiac magnetic resonance imaging (CMR) was performed and revealed an isolated transmural scar of the right ventricular free wall with surrounding myocardial edema on T2-weighted images. Accordingly, the diagnosis of iRVMI was established (Figure 4).
Retrospectively, upon review and comparison of previous angiograms from other hospitals, we could identify a blunt ostial occlusion of one small RVB of the RCA (Figure 5), which matched both with the clinical presentation and the CMR findings.

Treatment, Outcome and Follow-up

Considering 72 h had passed after the acute RVB occlusion with already regressive cardiac biomarker and an asymptomatic patient, no percutaneous revascularization of the small branch was performed.
According to DAPT Guideline in the setting of a conservative treated acute coronary syndrome (ACS) with indication for anticoagulation by AF [2], a triple anticoagulation therapy with aspirin 100 mg o.d., clopidogrel 75 mg o.d. and rivaroxaban 15 mg o.d. was established.
Guideline-directed therapy with a beta blocker and an angiotensin-converting enzyme inhibitor was also started [3].
The patient was referred to cardiac rehabilitation and made a good recovery.
After one month, the triple therapy was de-escalated to clopidogrel 75 mg and rivaroxaban 20 mg daily. At six month follow-up, the patient presented a good LV function, a residual poor RV function and a mild physical impairment due to pulmonary limitation on the cardiopulmonary exercise test. In persistent AF, electrical cardioversion reestablished a sinus rhythm with clinical improvement.

Differential Diagnosis and Investigation

The list of the possible clinical conditions that may trigger a VF is very heterogeneous:
  • Acute coronary syndrome
  • Myocardial infarction with non-obstructive coronary arteries (MINOCA)
  • Myocarditis
  • Takotsubo syndrome
  • Cardiomyopathies
  • Primary arrhythmias
  • Extra cardiac disorders:
    • Aortic dissection with coronary extension
    • Pulmonary embolism
    • Sepsis

Acute Coronary Syndrome

One of the most common causes of OHCA due to VF in adults is an ACS. According to international guidelines [3], in the presence of ST-segment elevation in the 12-lead ECG after ROSC, a coronary angiography has to be performed as soon as possible. The coronary angiogram in our case showed that both stents in the LAD and LCX were patent. The non-dominant RCA was diffusely but moderately diseased (Figure 3). At admission, the previous angiograms were not available for comparison, which made the diagnosis of iRVMI challenging. Due to the discontinuation of antiplatelet therapy, a transient late stent thrombosis was initially considered a possible cause.
The Academic Research Consortium-1 (ARC-1) classifies a stent thrombosis as definite, probable, and possible. The thrombosis is definite if confirmed on angiography or autopsy. In the presence of a documented acute ischemia in the territory of the implanted stent without angiographic confirmation, the stent thrombosis is defined as probable. In case of any unexplained death after the index procedure, the stent thrombosis is classified probable if the death happens within 30 days and possible afterwards. According to the ARC-1 definition of standardized endpoints for coronary intervention, if our patient would have died, a possible stent thrombosis would have been adjudicated as cause of death [4]. In other words, according to the ARC-1 criteria, our patient would have been misclassified as having a late stent thrombosis. Instead, in our case it was not the elephant in the room.
This risk of thrombosis overestimation is indeed considered in the updated ARC-2 classification of stent thrombosis. Here, an unexplained death within 30 days is no longer recommended as a criterion for probable stent thrombosis and the category of possible stent thrombosis was removed altogether [5].

MINOCA, Takotsubo Syndrome, Myocarditis, and Cardiomyopathies

The working diagnosis of MINOCA is defined by an ACS without evidence of epicardial obstructive coronary arteries (i.e., no coronary artery stenosis ≥50%) [6]. The term MINOCA refers to a group of heterogeneous causes for troponin elevation providing a framework for further diagnostic investigation. The definition implies the exclusion of evident alternative diagnosis, such as PE, sepsis, or aortic dissection. Moreover, it stresses the ischemic pathophysiology based on the fourth universal definition of myocardial infarction (MI) [6]. Consequently, conditions such as Takotsubo syndrome or myocarditis have to be ruled out. In the acute setting, the initial assessment of LV wall motion using LV-angiography or ECG may already indicate an epicardial or another specific cause. Intracoronary imaging with intravascular ultrasound or optical coherence tomography are key tools in detecting unrecognized causes in coronary angiography, such as thrombus, plaque rupture or erosion, or spontaneous coronary artery dissection [7].
When the etiology is still unclear, CMR represents a fundamental investigation. Late gadolinium enhancement (LGE) in the subendocardium suggests myocardial ischemia, subepicardial LGE distribution may indicate myocarditis, the absence of LGE is associated with oedema and typical wall motion abnormalities are pathognomonic for a Takotsubo syndrome. Moreover, a CMR can identify other causes of sudden cardiac arrest, like arrhythmogenic cardiomyopathy or cardiac sarcoidosis [8].
If history suggests vasospasm or microvascular spasm, then intracoronary acetylcholine or ergonovine testing may be considered, although studies verifying safety in the acute setting are limited [9].
When the underlying cause of MINOCA is identified, patients should be treated and followed up according to the guidelines of the specific diagnosis. Despite optimal work-up, the cause of 8–25% of MINOCA remains undetermined, a condition then identified as “myocardial infarction of unknown/unclear causes” [10].

Primary Arrhythmia

After excluding a coronary or structural heart disease, international guidelines on VF and cardiac arrest recommend to look for primary electrical disease, like Brugada syndrome and other channelopathies [11]. Taking blood for potential toxicology testing should be considered. In our case, an acquired long QT syndrome could have been postulated, considering the oral therapy with quetiapine and venlafaxine and the slightly prolonged corrected QT interval (473 ms) after ROSC. However, the CMR findings excluded this hypothesis. During the hospitalization, the corrected QT interval regressed to 404 ms.

Aortic Dissection with Coronary Extension

In a type A aortic dissection the intimal flap extends more frequently into the right coronary ostium than into the left coronary system [12]. This condition can potentially manifest itself with VF and inferior ST-segment elevation MI. In our case, the absence of aortic regurgitation, pericardial effusion and the absence of a flap in the aortic root angiogram made the diagnosis of an aortic root dissection improbable.

Pulmonary Embolism

In the context of chest pain, rapid AF and newly diagnosed RBBB along with a circulatory collapse, a central PE must be ruled out. In our case, the echocardiographic findings of a dilated and impaired RV corroborated this hypothesis. Nevertheless, the pulmonary angiography CT excluded a pulmonary embolism.

Discussion

The prevalence of iRVMI ranges from 2.5 to 4.6% [13]. In up to 50% of acute MIs, a postmortem RV involvement can be detected, suggesting that RV infarcts often remain underdiagnosed [14].
It may occur from acute occlusion of a non-dominant RCA or of the RV marginal branch, like in this case. However, most RV MIs occur in the setting of an inferior LV wall infarction, involving an occlusion of the proximal dominant RCA.
In these cases, the ECG findings express the injury of the inferior wall of the LV. Some ECG findings may help distinguish these two types of RV involvement, although the features are nonspecific. The most sensitive indicator of an occlusion of the proximal RCA is an ST-segment elevation of 1 mm or greater in V4R with a sensitivity of 88% and a specificity of 78% [15]. Prognosis can be poor irrespective of LV involvement. Conversely, some data suggests that RV dysfunction is an independent risk factor for higher long-term mortality after myocardial infarction [16,17].
RVB are not routinely described in detail in coronary angiogram reports, especially in the presence of a small non-dominant RCA.
Revascularization of small coronary vessels with PCI represents a real challenge. The clinical relevance of small-vessel stenosis is questionable, considering the supply of small myocardial territories. Nevertheless, revascularization could potentially decrease the risk of a recurrence of VF and improve the RV function. However, the best revascularization technique for treating a small coronary occlusion and the clinical benefit in the short and long term remain unknown [18].
Stenting a small vessel is tied with a high risk of acute coronary rupture with consequent pericardial tamponade and could prompt to in-stent-occlusion in the long term (thrombosis or restenosis) [19].
Revascularization solely via plain old balloon angioplasty can also lead to potential acute complications (coronary recoil or dissection) and chronic complications (reocclusion) in the long term.
In our case, the diagnosis was established with a delay of three days, therefore no revascularization was performed. Retrospectively, intracoronary imaging could have brought an earlier detection of the lesion, but with questionable therapeutic consequences. The diagnosis of iRVMI represents a clinical challenge. Clinical presentation can be very unspecific, such as high-grade atrioventricular block and cardiogenic shock. As in this case, several cardiovascular imaging techniques can be crucial for the diagnosis. RV dilation and dysfunction represent typical echocardiographic findings. Tricuspid regurgitation, low pulmonary arterial pressure and dilated hepatic veins may also be present.
The clinical management of patient with RV infarction is troublesome. Besides the prompt vascular reperfusion, one of the goals of the treatment is the maintenance of adequate RV filling pressure. The balance of fluid volume administration must be performed with caution. Due to the mechanical dependence of the RV from the preload, RV infarctions are usually characterized by an exaggerated response to preload-reducing agents such as nitrates, morphine, or diuretics. On the other hand, an excessive volume load may limit the LV filling by shifting the interventricular septum to the left with consequent worsening of the cardiac output [20].
In case of a fluid refractory shock, inotropic therapy should be considered. Nevertheless, an inotropic or vasopressor can exacerbate myocardial injury due to the increased myocardial oxygen demand. This may explain the poor outcome in some observational shock studies [21]. In such cases, temporary mechanical circulatory support devices for the treatment of acute right ventricular failure such as Impella RP® showed promising data [22].

Patient’s Perspective

Despite initial uncertainty about the underlying cause of the cardiac arrest, an open and continuous communication with the patient permitted to build a trustful relationship with the healthcare providers. This permitted the planning of every investigational step frictionless, which was central for the final treatment. The patient referred that he never felt to be exposed to unnecessary risks.

Learning Points/Take Home Message

  • It is not always the most obvious cause to engender a myocardial infarction and even a small branch occlusion can lead to massive clinical consequences.
  • The diagnosis of iRVMI can be challenging in some clinical context. Due to its chameleon-like clinical presentation, out-of-the-box thinking is crucial for diagnosis.
  • Intracoronary imaging and CMR can be of extreme value in providing the diagnosis.
  • The revascularization of small RVB is debatable. Further studies are needed to evaluate its safety and efficacy.

Ethics Statement

Written informed consent was obtained.

Conflicts of Interest

GL received consulting fees from Novomed (Austria), Abbot (Switzerland), Cordis (Switzerland) and Brosmed (China). He was paid for lectures by Novartis (Switzerland) and was supported for attending meetings by Abbott (Switzerland). The other authors reported no financial support and no other potential conflict of interest.

References

  1. Kinch, J.W.; Ryan, T.J. Right ventricular infarction. N Engl J Med. 1994, 330, 1211–1217. [Google Scholar] [CrossRef]
  2. Valgimigli, M.; Bueno, H.; Byrne, R.A.; Collet, J.P.; Costa, F.; Jeppsson, A.; et al. ESC Scientific Document Group; ESC Committee for Practice Guidelines (CPG); ESC National Cardiac Societies. 2017 ESC focused update on dual antiplatelet therapy in coronary artery disease developed in collaboration with EACTS: The Task Force for dual antiplatelet therapy in coronary artery disease of the European Society of Cardiology (ESC) and of the European Association for Cardio-Thoracic Surgery (EACTS). Eur Heart J. 2018, 39, 213–260. [Google Scholar]
  3. Ibanez, B.; James, S.; Agewall, S.; Antunes, M.J.; Bucciarelli-Ducci, C.; Bueno, H.; et al. ESC Scientific Document Group. 2017 ESC Guidelines for the management of acute myocardial infarction in patients presenting with ST-segment elevation: The Task Force for the management of acute myocardial infarction in patients presenting with ST-segment elevation of the European Society of Cardiology (ESC). Eur Heart J. 2018, 39, 119–177. [Google Scholar] [PubMed]
  4. Cutlip, D.E.; Windecker, S.; Mehran, R.; Boam, A.; Cohen, D.J.; van Es, G.A.; et al. Academic Research Consortium. Clinical end points in coronary stent trials: A case for standardized definitions. Circulation. 2007, 115, 2344–2351. [Google Scholar] [CrossRef] [PubMed]
  5. Garcia-Garcia, H.M.; McFadden, E.P.; Farb, A.; Mehran, R.; Stone, G.W.; Spertus, J.; et al. Academic Research Consortium. Standardized End Point Definitions for Coronary Intervention Trials: The Academic Research Consortium-2 Consensus Document. Eur Heart J. 2018, 39, 2192–2207. [Google Scholar] [CrossRef] [PubMed]
  6. Tamis-Holland, J.E.; Jneid, H.; Reynolds, H.R.; Agewall, S.; Brilakis, E.S.; Brown, T.M.; et al. American Heart Association Interventional Cardiovascular Care Committee of the Council on Clinical Cardiology; Council on Cardiovascular and Stroke Nursing; Council on Epidemiology and Prevention; Council on Quality of Care and Outcomes Research. Contemporary Diagnosis and Management of Patients With Myocardial Infarction in the Absence of Obstructive Coronary Artery Disease: A Scientific Statement From the American Heart Association [Internet]. Circulation. 2019, 139, e891–e908. [Google Scholar]
  7. Gudenkauf, B.; Hays, A.G.; Tamis-Holland, J.; Trost, J.; Ambinder, D.I.; Wu, K.C.; et al. Role of Multimodality Imaging in the Assessment of Myocardial Infarction With Nonobstructive Coronary Arteries: Beyond Conventional Coronary Angiography. J Am Heart Assoc. 2022, 11, e022787. [Google Scholar] [CrossRef]
  8. Pathik, B.; Raman, B.; Mohd Amin, N.H.; Mahadavan, D.; Rajendran, S.; McGavigan, A.D.; et al. Troponin-positive chest pain with unobstructed coronary arteries: Incremental diagnostic value of cardiovascular magnetic resonance imaging. Eur Heart J Cardiovasc Imaging. 2016, 17, 1146–1152. [Google Scholar] [CrossRef]
  9. Montone, R.A.; Niccoli, G.; Fracassi, F.; Russo, M.; Gurgoglione, F.; Cammà, G.; et al. Patients with acute myocardial infarction and non-obstructive coronary arteries: Safety and prognostic relevance of invasive coronary provocative tests. Eur Heart J. 2018, 39, 91–98. [Google Scholar] [CrossRef]
  10. Collet, J.P.; Thiele, H.; Barbato, E.; Barthélémy, O.; Bauersachs, J.; Bhatt, D.L.; et al. ESC Scientific Document Group. 2020 ESC Guidelines for the management of acute coronary syndromes in patients presenting without persistent ST-segment elevation. Eur Heart J. 2021, 42, 1289–1367. [Google Scholar] [CrossRef]
  11. Zeppenfeld, K.; Tfelt-Hansen, J.; de Riva, M.; Winkel, B.G.; Behr, E.R.; Blom, N.A.; et al. ESC Scientific Document Group. 2022 ESC Guidelines for the management of patients with ventricular arrhythmias and the prevention of sudden cardiac death. Eur Heart J. 2022, 43, 3997–4126. [Google Scholar] [CrossRef]
  12. Spittell, P.C.; Spittell JAJr Joyce, J.W.; Tajik, A.J.; Edwards, W.D.; Schaff, H.V.; et al. Clinical features and differential diagnosis of aortic dissection: Experience with 236 cases (1980 through 1990). Mayo Clin Proc. 1993, 68, 642–651. [Google Scholar] [CrossRef]
  13. Erhardt, L.R.; Sjögren, A.; Wahlberg, I. Single right-sided precordial lead in the diagnosis of right ventricular involvement in inferior myocardial infarction. Am Heart J. 1976, 91, 571–576. [Google Scholar] [CrossRef]
  14. Isner, J.M.; Roberts, W.C. Right ventricular infarction complicating left ventricular infarction secondary to coronary heart disease. Frequency, location, associated findings and significance from analysis of 236 necropsy patients with acute or healed myocardial infarction. Am J Cardiol. 1978, 42, 885–894. [Google Scholar] [CrossRef] [PubMed]
  15. Khan, S.; Kundi, A.; Sharieff, S. Prevalence of right ventricular myocardial infarction in patients with acute inferior wall myocardial infarction. Int J Clin Pract. 2004, 58, 354–357. [Google Scholar] [CrossRef]
  16. Zehender, M.; Kasper, W.; Kauder, E.; Schönthaler, M.; Geibel, A.; Olschewski, M.; et al. Right ventricular infarction as an independent predictor of prognosis after acute inferior myocardial infarction. N Engl J Med. 1993, 328, 981–988. [Google Scholar] [CrossRef] [PubMed]
  17. Di Bella, G.; Siciliano, V.; Aquaro, G.D.; De Marchi, D.; Rovai, D.; Carerj, S.; et al. Right ventricular dysfunction: An independent and incremental predictor of cardiac deaths late after acute myocardial infarction. Int J Cardiovasc Imaging. 2015, 31, 379–387. [Google Scholar] [CrossRef] [PubMed]
  18. Puymirat, E.; Barbato, E. Percutaneous revascularization strategies in small-vessel disease. Ann Cardiol Angeiol (Paris). 2014, 63, 28–31. [Google Scholar] [CrossRef]
  19. Rathore, S. Small coronary vessel angioplasty: Outcomes and technical considerations. Vasc Health Risk Manag. 2010, 6, 915–22. [Google Scholar] [CrossRef]
  20. Kakouros, N.; Cokkinos, D.V. Right ventricular myocardial infarction: Pathophysiology, diagnosis, and management. Postgrad Med J. 2010, 86, 719–728. [Google Scholar] [CrossRef]
  21. Goldstein, J.A.; Hanson, I. Impella RP for treatment of right ventricular shock: Appropriate unloading never gets old. Catheter Cardiovasc Interv. 2020, 96, 382–383. [Google Scholar] [CrossRef] [PubMed]
  22. Anderson, M.B.; Goldstein, J.; Milano, C.; Morris, L.D.; Kormos, R.L.; Bhama, J.; et al. Benefits of a novel percutaneous ventricular assist device for right heart failure: The prospective RECOVER RIGHT study of the Impella RP device. J Heart Lung Transplant. 2015, 34, 1549–1560. [Google Scholar] [CrossRef] [PubMed]
Figure 1. Ventricular fibrillation and defibrillation on monitor.
Figure 1. Ventricular fibrillation and defibrillation on monitor.
Cardiovascmed 26 00206 g001
Figure 2. 12-lead electrocardiogram after defibrillation showing a new onset of fast atrial fibrillation with incomplete right bundle branch block and ST-segment elevation in inferior and anterior leads.
Figure 2. 12-lead electrocardiogram after defibrillation showing a new onset of fast atrial fibrillation with incomplete right bundle branch block and ST-segment elevation in inferior and anterior leads.
Cardiovascmed 26 00206 g002
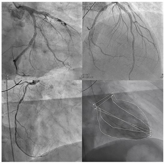
Figure 3. Angiograms of the left and right coronary arteries showing patent vessels and stents. Bottom left ventriculography showing normal left ventricular ejection fraction without regional wall motion abnormalities.
Figure 3. Angiograms of the left and right coronary arteries showing patent vessels and stents. Bottom left ventriculography showing normal left ventricular ejection fraction without regional wall motion abnormalities.
Cardiovascmed 26 00206 g003
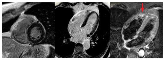
Figure 4. T1 magnetic resonance imaging (MRI) scan showing late gadolinium enhancement of the lateral right ventricular wall (scar, impaired microcirculation). The T2 MRI scan shows edema of the lateral right ventricular wall (acute myocardial infarction, red arrow).
Figure 4. T1 magnetic resonance imaging (MRI) scan showing late gadolinium enhancement of the lateral right ventricular wall (scar, impaired microcirculation). The T2 MRI scan shows edema of the lateral right ventricular wall (acute myocardial infarction, red arrow).
Cardiovascmed 26 00206 g004
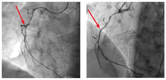
Figure 5. Comparison of the previous right coronary angiography (left) with the actual examination (right). Retrospectively a missing branch was noted.
Figure 5. Comparison of the previous right coronary angiography (left) with the actual examination (right). Retrospectively a missing branch was noted.
Cardiovascmed 26 00206 g005

Share and Cite

MDPI and ACS Style

Papa, A.; Bekiri, E.; Giacchi, M.; Leibundgut, G. Isolated Right Ventricular Myocardial Infarction. Cardiovasc. Med. 2023, 26, 206. https://doi.org/10.4414/cvm.2023.1190638221

AMA Style

Papa A, Bekiri E, Giacchi M, Leibundgut G. Isolated Right Ventricular Myocardial Infarction. Cardiovascular Medicine. 2023; 26(6):206. https://doi.org/10.4414/cvm.2023.1190638221

Chicago/Turabian Style

Papa, Andrea, Edira Bekiri, Marco Giacchi, and Gregor Leibundgut. 2023. "Isolated Right Ventricular Myocardial Infarction" Cardiovascular Medicine 26, no. 6: 206. https://doi.org/10.4414/cvm.2023.1190638221

APA Style

Papa, A., Bekiri, E., Giacchi, M., & Leibundgut, G. (2023). Isolated Right Ventricular Myocardial Infarction. Cardiovascular Medicine, 26(6), 206. https://doi.org/10.4414/cvm.2023.1190638221

Article Metrics

Back to TopTop