Spontaneous coronary artery dissection
Spontaneous coronary artery dissection (SCAD) has emerged recently as an underestimated cause of acute coronary syndrome (ACS), myocardial infarction and sudden cardiac death. Recent studies supposed that SCAD is the underlying cause of 1.7% to 4% of ACS cases and leads to 0.5% of sudden cardiac deaths. This clinical entity predominantly affects young female patients or patients without traditional cardiovascular risk factors. This disease was overlooked and misdiagnosed until the last decade when the greater use of intracoronary imaging, such as optical coherence tomography and intravascular ultrasonography, progressively improved the feasibility of diagnosis. The current treatment recommendations are based only on expert opinion, mainly from retrospective and observational SCAD studies. This review aims to explain in detail its aetiopathogenesis and clinical features, and is focused on the diagnostic and therapeutic management of SCAD. The importance of awareness of, and vigilance related to, this condition is illustrated by two short case reports representing typical patients with SCAD.
Introduction
La SCAD est une dissection de l’artère coronaire épicardique créant une fausse lumière sans processus athérosclérotique, événement traumatique ou iatrogène associés. Ce mécanisme réduit la lumière artérielle, diminue le flux sanguin antérograde et provoque une ischémie myocardique qui peut conduire à l’infarctus [1]. La première description de SCAD date de 1931 suite à une autopsie d’une femme de 42 ans [2]. Malgré une compréhension croissante, la SCAD est souvent sous-diagnostiquée et identifiée comme un SCA athérosclérotique, ce qui peut conduire à un traitement suboptimal de cette entité clinique [3].
Après avoir exclu la dissection iatrogène, traumatique et une rupture de plaque d’athérome, la SCADserait responsable jusqu’à 4% de tous les cas de SCA [4]. La SCAD prédomine essentiellement chez les femmes et est responsable de 35% des infarctus du myocarde (IM) chez les femmes de moins de 50 ans. Elle est également la cause la plus fréquente d’IM associé à la grossesse (43%). Une prévalence plus élevée de la SCAD a également été reportée chez des patients présentant des maladies du tissu conjonctif sous-jacentes ainsi que des pathologies de l’aorte [5,13].
Etiopathogénèse
Le mécanisme prédominant de la lésion myocardique associé à une SCAD est provoquée par une brèche intimale de la paroi, entraînant la séparation de la couche intimale interne de la couche externe du vaisseau. La lésion intimale ou le saignement des vasa vasorum sont considérés comme les éléments principaux entraînant un hématome intramural (HIM). Il en résulte une ischémie myocardique aiguë par l’expansion sous pression de la fausse lumière due à une augmentation de l’hématome [6].
Toutefois, les patients atteints de SCAD ont des parois artérielles susceptibles de déchirure mais sans signe d’athérosclérose ou de calcifications qui pourraient, au contraire, limiter la propagation de la dissection. En conséquent, la SCAD entraîne généralement des dissections étendues et les segments de l’artère coronaire non affectés apparaissent lisses et sans calcifications à l’angiographie [7]. Parmi les patients atteints de la SCAD référés pour un examen génétique, on retrouve certaines gènes associés à des maladies du tissu conjonctif (syndrome de Marfan, syndrome d’Ehlers-Danlos ou syndrome de Loeys-Dietz) [8].
Par ailleurs, PHACTR1-EDN1 est un locus génétique connu pour être associé aux migraines, à la dissection de l'artère cervicale et à la dysplasie fibromusculaire. Il est également associé à un risque accru de SCAD dans plusieurs cohortes [9].
L’étude de Prasad et al. a montré que plus de 50% des patients atteints de SCAD présentaient une dysplasie fibromusculaire et la SCAD pourrait être également une première manifestation de la dysplasie fibromusculaire, même si cela ne se retrouve pas selon le profil génétique des patients liés à leur origine géographique [10].
Sémiologie et diagnostic
Les patients avec une SCAD présentent généralement des symptômes typiques de l’IM. La douleur thoracique est le symptôme le plus courant et les patients avec SCAD sont plus algiques que des patients avec SCA d’autre étiologie. Les autres manifestations fréquentes sont des douleurs au bras ou au cou, des nausées, des vomissements, une diaphorèse, de la dyspnée et des dorsalgies [11].
Une élévation du segment ST est présente chez approximativement la moitié des patients atteints de SCAD. Bien qu’un taux normal de troponines initial ne puisse pas écarter le diagnostic, la plupart des patients ont des taux d’enzymes cardiaques augmentés. Les arythmies ventriculaires et un choc cardiogène sont également des complications précoces (2,8–10% des patients avec SCAD) [12,14,15].
Les patients atteints de SCADrisquent d’être scotomisés après une évaluation aux urgences en raison de leur jeune âge et l’absence de FRCV qui souvent ne correspondent pas au phénotype attendu d’un patient avec un SCA typique.
La SCAD doit être différenciée de l’athérosclérose, du vasospasme coronarien, de la thromboembolie ou du syndrome de Takotsubo [16].
Coronarographie
Bien qu’une coronarographie conventionnelle, en tant qu’imagerie bidimensionnelle, ne visualise pas spécifiquement la paroi artérielle atteinte, elle reste la procédure diagnostique de référence. Notons qu’une coronarographie normale ne doit toutefois pas exclure un diagnostic de SCAD.
Les images de SCAD retrouvées lors de la coronarographie peuvent être divisés en trois types suivant la classification de Saw.
Le type 1 fait référence à l’apparence classique de multiples lumières radiotransparentes ou prise de contraste au niveau de la paroi artérielle.
Le type 2 comme la manifestation angiographique la plus courante (67% des cas) décrit la présence d’une sténose diffuse de gravité et de longueur variables (généralement >20 mm). La variante 2A est un rétrécissement artériel diffus bordé par des segments normaux au niveau proximal et distal par rapport à l'HIM. La variante 2B est un rétrécissement diffus qui s’étend jusqu’à l’extrémité distale de l’artère [17].
Le type 3 est la variante la plus rare de la SCAD (moins de 4%), caractérisé par une sténose focale ou tubulaire, généralement inférieure à 20 mm de longueur, qui peut être confondue avec l’athérosclérose. Dans de tels cas, l’imagerie intracoronaire est nécessaire pour confirmer la présence d’un HIM et pour diagnostiquer la SCAD [17,20].
Concernant l’anatomie des vaisseaux atteints, l’artère interventriculaire antérieure et ses branches avec les segments moyens à distaux sont les plus fréquemment atteints. Selon les études, la SCAD multitronculaire survient dans 9% à 23% des cas [18].
La prévalence de la dissection iatrogène au cours de cette procédure chez les patients présentant une SCAD sousjacente est rapportée à 3,4% contre moins de 0,2% pour l’angiographie coronarienne chez les patients avec SCA d’autre étiologie [19].
Imagerie intracoronaire
Depuis une dizaine d’années, l’imagerie intracoronaire (IVUS et OCT) est devenue une méthode très utile dans les cas de SCAD difficilement interprétables par angiographie et a révolutionné le diagnostic de cette maladie depuis sa première utilisation rapportée en 2008. Elle permet de visualiser la fausse lumière avec HIM ou thrombus intraluminal. La pénétration profonde de ces méthodes aide à estimer la profondeur et la longueur de la déchirure intimale.
L’OCT est au même titre que la coronographie, accompagnée de certains risques comme l’extension de la dissection coronaire ou l’occlusion de la vraie lumière résultant de la pression hydraulique due à l’injection de contraste. Dans les conditions idéales, si un gestte interventionnel est nécessaire, la procédure initiale est effectuée avec l’IVUS qui permet de vérifier que le stent sera déployé dans la bonne lumière. Un contrôle à distance avec l’OCT peut être effectué pour s'assurer de la bonne cicatrisation de l'artère et/ou expansion/apposition du stent [20,21].
Tableau 1.
Situations cliniques qui augmentent la suspicion de la SCAD.
Tableau 1.
Situations cliniques qui augmentent la suspicion de la SCAD.
| Clinique | • SCA chez les jeunes femmes (âge < 50) |
| • absence ou peu de FRCV | |
| Comorbidités | • grossesse, multiparité, peripartum |
| • dysplasie fibromusuclaire | |
| • syndrome de Marfan, syndrome d’Ehler Danlos | |
| • lupus érythémateux disséminé, maladie inflammatoire de l’intestin, poly-artérite noueuse, syndrome de Churg-Strauss, granulomatose de Wegener, arthrite rhumatoïde, sarcoïdose, maladie de Kawasaki, maladie coeliaque | |
| Facteurs de stress hémodynamique | • exercice intense (aérobie ou isométrique) |
| • stress émotionnel | |
| • accouchement | |
| • manoeuvres de Valsalva (toux importante, vomissements) | |
| • cocaïne, amphétamines |
CT scan des artères coronaires
Selon les recommandations européennes, un CT coronaire n’est pas recommandé en tant qu’investigation de première intention pour la SCAD aiguë. En effet, cette méthode d’imagerie a une résolution spatiale et temporelle inférieure à l’angiographie conventionnelle qui conduit souvent à des résultats faussement négatifs. Néanmoins, plusieurs études ont montré son utilité dans le suivi des patients, de la guérison spontanée et de la recanalisation en particulier dans les artères de plus grand diamètre [22].
Prise en charge
Contrairement aux avantages d’une revascularisation précoce avec implantation de stent dans le SCA secondaire à une maladie athéroscléreuse, des études observationnelles ont montré que chez les patients avec une SCAD, un risque de complications et un taux d’échec est assez élevé en cas d’intervention [23].
Selon les données disponibles, la prise en charge conservatrice est préférée à la revascularisation dans la majorité des cas, à l’exception des patients instables et à haut risque de complications. Chez la majorité des patients, une cicatrisation spontanée débute après quelques jours avec une résorption complète généralement observée à 1 mois [24].
La prise en charge globale comprend également une détection précoce des complications liées à la propagation de la dissection, pouvant parfois mener à un infarctus du myocarde récurrent. Les manifestations cliniques peuvent être des douleurs angineuses récurrentes ou récidivantes, des nouvelles modifications à l’ECG, une augmentation des enzymes cardiaques ou une apparition d’arythmies ventriculaires. L’infarctus du myocarde récidivant après la SCAD peut se développer chez 5% à 10% des patients avec un traitement conservateur. Il est principalement lié à l’extension de la dissection dans la semaine qui suit un épisode aigu. Chez ces patients, une revascularisation en urgence doit être envisagée [25].
Dans tous les cas, il est généralement recommandé de prendre en charge ces patients aux soins intensifs pour un suivi hospitalier (3–5 jours) dans le cadre d’une stratégie conservatrice.
Traitement médicamenteux
Malgré l’absence d’études, un traitement par aspirine pendant au moins un an après SCAD est recommandé selon plusieurs experts [25].
La double antiagrégation plaquettaire (DAPT) augmente le risque de progression de l’hématome et devrait être proscrite en l’absence d’implantation de stent.
Selon les recommandations européennes, en raison du risque d’aggravation de l’hématome intramural, le traitement anticoagulant doit être arrêté après que la SCAD est confirmée par une coronarographie [23].
L’hypertension artérielle est un facteur de risque important associée à une récidive de la SCAD. Afin de réduire le risque d’événements récurrents, les bêtabloquants sont fortement recommandés selon plusieurs experts comme un anti-hypertenseur de première intention. La douleur thoracique après une SCAD peut parfois persister plusieurs mois et est souvent une cause d’une réhospitalisation. Un traitement pharmacologique de la douleur thoracique chronique est nécessaire comme traitement complémentaire de la prise en charge à long terme [23,25,26].
Angioplastie et pontage coronarien
Même si une prise en charge conservatrice est la thérapie de choix chez la majorité des patients, une angioplastie peut être indispensable chez certains patients présentant une dissection de l’artère interventriculaire antérieure, une lésion obstructive avec le flux coronaire TIMI <2 (Thrombolysis in myocardial infarction), une dissection récurrente ou une instabilité hémodynamique. Un consensus multidisciplinaire est nécessaire pour établir la meilleure méthode d’intervention avec angioplastie ou pontage aorto-coronarien (PAC) [25].
L’augmentation du risque de dissection iatrogène observé dans certaines artériopathies associées au SCAD doit être prise en considération lorsqu’une angioplastie est envisagée.
Dans le cas où un guide entre dans la fausse lumière, il peut conduire à l’occlusion complète de la vraie lumière. Le gonflement du ballon et la mise en place du stent peuvent également être la cause de l’extension de la dissection de l’intima ou de la migration de l’HIM en amont et en aval du vaisseau, ce qui peut provoquer une occlusion complète.
Plusieurs approches interventionnelles ont été décrites dans la littérature pour augmenter le succès de l’angioplastie chez les patients avec SCAD. 1.) L’implantation des longs stents 5 à 10 mm en amont et en aval des bords distaux de l’HIM pour empêcher sa propagation. 2.) Un stenting direct sans prédilatation par ballon pour éviter des risques supplémentaires d´extension de l’HIM. 3.) Une angioplastie par ballon seul pour restaurer le flux coronaire sans implantation de stent [11].
Tableau 2.
Approche thérapeutique à long terme pour les patients atteints d’une SCAD.
Tableau 2.
Approche thérapeutique à long terme pour les patients atteints d’une SCAD.
| Traitement de la douleur chronique |
| Prescrire un traitement antiangineux ( nitrates, anticalciques ou ranolazine) |
| Recherche d’une ischémie |
| Considérer les diagnostics autres que les lésions épicardiques |
| Prévenir la récidive de la SCAD |
| contrôle de la tension artérielle |
| introduction des bétabloquants |
| activité physique |
| conseils en matière de contraception |
| Recherche des atteintes extracoronaires |
| Rediscuter le bilan avec un angio CT ou angio IRM de tout le corps |
| Améliorer la qualité de vie |
| réadaptation cardiaque |
| traitement concomitant des pathologies psychiatriques |
4.) L’utilisation de l’angioplastie avec ballon coupant pour décompresser l’hématome intramural en créant une communication entre la fausse et la vrai lumière. Selon quelques cas rapportés, il est recommendé d´éviter cette méthode en cas de dissection proximale de l´artère coronaire gauche et de viser seulement les patients avec TIMI 0 ou TIMI <2 associé à des symptômes ischémiques persistants [27].
Le PAC est réservé aux situations où l’angioplastie est contre-indiquée et aux patients qui nécessitent une revascularisation en raison d’une ischémie persistante, d’une instabilité hémodynamique ou atteinte multitronculaire. Dans ces cas, le PAC est une intervention de dernier recours avec un succès à court terme mais une faible perméabilité du pontage à long terme. Cela s’explique par la recanalisation des artères coronaires natives qui se traduit par un flux compétitif et une occlusion ultérieure du greffon [28].
Pronostic
Certaines études ont observé un risque de récidives ne dépassent pas 5% avec une médiane de deux ans, tandis que les estimations de la déclaration SCAD AHA 2018 ont conclu à des taux allant jusqu'à 30% entre 4 et 10 ans. Les 75% à 90% des patients avec des événements SCAD récurrents présentent d’autres atteintes de segments coronaires non impliqués au moment de la présentation initiale [24].
Selon l’étude de Saw et al., la mortalité après SCAD est faible, estimé à 1% sur une période de 3 ans et à 2% sur une période d’un an [3].
En référence à ces études, nous pouvons conclure que la survie à l’hôpital et à long terme est excellente mais avec un risque significativement élevé pour les SCAD récurrents. Par conséquent, il est important de renseigner des patients sur les risques de récidive de SCAD.
Il est conseillé aux patients d’éviter les exercices isométriques, les entraînements d’endurance de haute intensité ou les activités qui impliquent une manoeuvre de Valsalva prolongée. Les femmes qui ont eu une SCAD devraient recevoir des conseils relatifs aux risques liés à une grossesse.
Au vu une prévalence élevée d’anomalies artérielles coexistantes touchant d’autres organes que le coeur chez les patients atteints de SCAD, il faut envisager de réaliser une angio-CT ou angio-IRM de tout le corps [24].
Cas clinique 1
Notre premier cas clinique est celui d’une femme de 39 ans sans comorbidités ou FRCV qui a accouché par voie basse sans complications une semaine auparavant (3ème accouchement). Elle est adressée aux urgences pour des douleurs thoraciques oppressives d’apparition brutale au repos avec une irradiation dans l’épaule gauche et associées à une dyspnée. L’ECG d’entrée montre des troubles de la repolarisation compatibles avec un STEMI inférieur. La coronarographie montre une lésion significative de l’artère circonflexe proximale qui s’étend jusqu’à une sténose significative de la première marginale et une sténose significative du segment distale de l’artère circonflexe (Figure 1). Les images parlent en faveur d’une SCAD de type 2A. Nous décidons d’un traitement conservateur et la patiente est hospitalisée pour surveillance. Le bilan biologique montre une élévation des enzymes cardiaques avec des troponines élevées (13 481 ng/l, norme 4–16 ng/ l ) et des CK élevées (6114 U/l, norme 25–190 U/l). Une échographie cardiaque a mis en évidence une FEVG estimée à 48% avec une akinésie inférolatérale. Le traitement par aspirine 100 mg et métoprolol 37,5 mg est débuté. Pendant la surveillance, la patiente reste hémodynamiquement stable sans troubles rythmiques ni récidive des douleurs thoraciques. Ce cas est l’illustration d’une SCAD sans argument pour une vasculopathie sous-jacente.
Figure 1.
Sténose tubulaire avec HIM de l’artère coronaire circonflexe proximale (SCAD type 2A).
Tableau 3.
Algorithme décisionnel pour la prise en charge des patients avec SCAD.
Tableau 3.
Algorithme décisionnel pour la prise en charge des patients avec SCAD.

Cas clinique 2
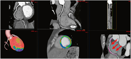
Notre deuxième cas est celui d’une femme de 50 ans avec des antécédents de SCAD de l’artère interventriculaire postérieure 6 ans auparavant. Elle vient aux urgences pour une douleur thoracique oppressive avec irradiation dans l’épaule gauche et la mâchoire, qui a commencé spontanément au repos et a duré 30 minutes. Elle rapporte des symptômes vagaux précédant les douleurs thoraciques (diaphorèse, pâleur, nausées et vomissements). L’ECG d’entrée est sans signes d’ischémie. Le bilan paraclinique est complété par la mise en évidence d’une légère élévation des troponines à 20 ng/l (norme 4–16 ng/l). Au vu d’une possible récidive de SCAD on effectue un angio-CT coronaire qui met en évidence une dissection étendue de l’artère coronaire droite s’étendant de son ostium jusqu’à sa bifurcation entre l’artère interventriculaire postérieure (IVP) et l’artère rétroventriculaire postérieure (RVP) (Figure 2) Cette dissection s’étend dans l’ostium de l’IVP avec à cet endroit une sténose significative subocclusive (99%). L’échographie cardiaque a mis en évidence une FEVG dans la norme malgré une akinésie inféro-septale moyenne et distale. Nous décidons d’administrer un traitement conservateur avec aspirine 100 mg 1×/j. Pendant le séjour, la patiente se plainte également de céphalées et cervicalgies après une manipulation cervicale par un physiothérapeute quelques jours auparavant. Une IRM cérébrale est réalisée et met en évidence une dissection du segment V2 de l’artère vertébrale droite avec une perméabilité résiduelle de l’artère en distalité et sans signe d’AVC associé. Cette patiente présente ainsi un deuxième épisode de SCAD sans facteur de stress précipitant retrouvé et associé avec une dissection de l’artère vertébrale probablement après une manipulation cervicale. Cette présentation rare est évocatrice d’une vasculopathie sous-jacente et le diagnostic d’une dysplasie fibromusculaire est confirmé par la suite.
Figure 2.
Une dissection étendue de l’artère coronaire droite s’étendant de son ostium jusqu’à sa bifurcation entre l’IVP et la RVP avec la region ischémique des segments inféro-septaux moyens et distaux.
Conclusion
La SCAD est une entité clinique distincte de l’infarctus du myocarde « classique » (lié à l’athérosclérose) avec une présentation le plus souvent sous forme de SCA et qui touche principalement les femmes. La plupart des dissections coronaires spontanées se rétablissent spontanément et une prise en charge conservatrice est préférée aux méthodes de revascularisation. Deux cas cliniques illustrent le phénotype associé à cette pathologie. Des études sont nécessaires pour clarifier les facteurs prédisposants sousjacents, la génétique et le traitement pharmacologique ou interventionnel adéquat. Pour les médecins, il est important de rester attentif et conscient de cette maladie parce que la prise en charge et le pronostic sont différents de ceux des patients atteints de SCA athéroscléreux.
Disclosure statement
No financial support and no other potential conflict of interest relevant to this article was reported.
References
- Saw, J. Pregnancy-Associated Spontaneous Coronary Artery Dissection Represents an Exceptionally High-Risk Spontaneous Coronary Artery Dissection Cohort. Circ Cardiovasc Interv. 2017, 10, e005119. [Google Scholar] [CrossRef]
- Rashid, H.N.; Wong, D.T.; Wijesekera, H.; Gutman, S.J.; Shanmugam, V.B.; Gulati, R.; et al. Incidence and characterisation of spontaneous coronary artery dissection as a cause of acute coronary syndrome--A single-centre Australian experience. Int J Cardiol. 2016, 202, 336–338. [Google Scholar] [CrossRef]
- Saw, J.; Humphries, K.; Aymong, E.; Sedlak, T.; Prakash, R.; Starovoytov, A.; et al. Spontaneous Coronary Artery Dissection: Clinical Outcomes and Risk of Recurrence. J Am Coll Cardiol. 2017, 70, 1148–58. [Google Scholar] [CrossRef]
- Franke, K.B.; Wong, D.T.L.; Baumann, A.; Nicholls, S.J.; Gulati, R.; Psaltis, P.J. Current state-of-play in spontaneous coronary artery dissection. Cardiovasc Diagn Ther. 2019, 9, 281–98. [Google Scholar] [CrossRef]
- Yip, A.; Saw, J. Spontaneous coronary artery dissection-A review. Cardiovasc Diagn Ther. 2015, 5, 37–48. [Google Scholar] [CrossRef]
- Tweet, M.S.; Hayes, S.N.; Pitta, S.R.; Simari, R.D.; Lerman, A.; Lennon, R.J.; et al. Clinical features, management, and prognosis of spontaneous coronary artery dissection. Circulation. 2012, 126, 579–88. [Google Scholar] [CrossRef] [PubMed]
- Saw, J. Rebuttal: with regards to “angiographic appearance of spontaneous coronary artery dissection with intramural hematoma proven on intracoronary imaging”. Catheter Cardiovasc Interv. 2017, 89, 507. [Google Scholar] [CrossRef] [PubMed]
- Saw, J.; Aymong, E.; Sedlak, T.; Buller, C.E.; Starovoytov, A.; Ricci, D.; et al. Spontaneous coronary artery dissection: association with predisposing arteriopathies and precipitating stressors and cardiovascular outcomes. Circ Cardiovasc Interv. 2014, 7, 645–55. [Google Scholar] [CrossRef]
- Adlam, D.; Olson, T.M.; Combaret, N.; Kovacic, J.C.; Iismaa, S.E.; Al-Hussaini, A.; et al. DISCO Consortium; CARDIoGRAMPlusC4D Study Group. Association of the PHACTR1/EDN1 Genetic Locus With Spontaneous Coronary Artery Dissection. J Am Coll Cardiol. 2019, 73, 58–66. [Google Scholar] [CrossRef] [PubMed]
- Prasad, M.; Tweet, M.S.; Hayes, S.N.; Leng, S.; Liang, J.J.; Eleid, M.F.; et al. Prevalence of extracoronary vascular abnormalities and fibromuscular dysplasia in patients with spontaneous coronary artery dissection. Am J Cardiol. 2015, 115, 1672–7. [Google Scholar] [CrossRef]
- Hayes, S.N.; Kim, E.S.H.; Saw, J.; Adlam, D.; Arslanian-Engoren, C.; Economy, K.E.; et al. American Heart Association Council on Peripheral Vascular Disease; Council on Clinical Cardiology; Council on Cardiovascular and Stroke Nursing; Council on Genomic and Precision Medicine; and Stroke Council. Spontaneous Coronary Artery Dissection: Current State of the Science: A Scientific Statement From the American Heart Association. Circulation 2018, 137, e523–57. [Google Scholar] [CrossRef]
- Alfonso, F.; Paulo, M.; Lennie, V.; Dutary, J.; Bernardo, E.; JiménezQuevedo, P.; et al. Spontaneous coronary artery dissection: long-term follow-up of a large series of patients prospectively managed with a “conservative” therapeutic strategy. JACC Cardiovasc Interv. 2012, 5, 1062–70. [Google Scholar] [CrossRef] [PubMed]
- Saw, J.; Starovoytov, A.; Humphries, K.; Sheth, T.; So, D.; Minhas, K.; et al. Canadian spontaneous coronary artery dissection cohort study: in-hospital and 30-day outcomes. Eur Heart J. 2019, 40, 1188–97. [Google Scholar] [CrossRef] [PubMed]
- Luong, C.; Starovoytov, A.; Heydari, M.; Sedlak, T.; Aymong, E.; Saw, J. Clinical presentation of patients with spontaneous coronary artery dissection. Catheter Cardiovasc Interv. 2017, 89, 1149–54. [Google Scholar] [CrossRef] [PubMed]
- Lettieri, C.; Zavalloni, D.; Rossini, R.; Morici, N.; Ettori, F.; Leonzi, O.; et al. Management and long-term prognosis of spontaneous coronary artery dissection. Am J Cardiol. 2015, 116, 66–73. [Google Scholar] [CrossRef]
- Saw, J.; Mancini, G.B.J.; Humphries, K.H. Contemporary review on spontaneous coronary artery dissection. J Am Coll Cardiol. 2016, 68, 297–312. [Google Scholar] [CrossRef]
- Tweet, M.S.; Eleid, M.F.; Best, P.J.; Lennon, R.J.; Lerman, A.; Rihal, C.S.; et al. Spontaneous coronary artery dissection: revascularization versus conservative therapy. Circ Cardiovasc Interv. 2014, 7, 777–86. [Google Scholar] [CrossRef]
- Tweet, M.S.; Kok, S.N.; Hayes, S.N. Spontaneous coronary artery dissection in women: What is known and what is yet to be understood. Clin Cardiol. 2018, 41, 203–10. [Google Scholar] [CrossRef]
- Prakash, R.; Starovoytov, A.; Heydari, M.; Mancini, G.B.; Saw, J. Catheterinduced iatrogenic coronary artery dissection in patients with spontaneous coronary artery dissection. JACC Cardiovasc Interv. 2016, 9, 1851–3. [Google Scholar] [CrossRef]
- Saw, J.; Mancini, G.B.; Humphries, K.; Fung, A.; Boone, R.; Starovoytov, A.; et al. Angiographic appearance of spontaneous coronary artery dissection with intramural hematoma proven on intracoronary imaging. Catheter Cardiovasc Interv. 2016, 87, E54–61. [Google Scholar] [CrossRef]
- Paulo, M.; Sandoval, J.; Lennie, V.; Dutary, J.; Medina, M.; Gonzalo, N.; et al. Combined use of OCT and IVUS in spontaneous coronary artery dissection. JACC Cardiovasc Imaging. 2013, 6, 830–2. [Google Scholar] [CrossRef]
- Eleid, M.F.; Tweet, M.S.; Young, P.M.; Williamson, E.; Hayes, S.N.; Gulati, R. Spontaneous coronary artery dissection: challenges of coronary computed tomography angiography. Eur Heart J Acute Cardiovasc Care. 2018, 7, 609–13. [Google Scholar] [CrossRef]
- Adlam, D.; Alfonso, F.; Maas, A.; Vrints, C.; al-Hussaini, A.; Bueno, H.; et al. Writing Committee. European Society of Cardiology, acute cardiovascular care association, SCAD study group: a position paper on spontaneous coronary artery dissection. Eur Heart J. 2018, 39, 3353–68. [Google Scholar] [CrossRef]
- Hayes, S.N.; Kim, E.S.H.; Saw, J.; Adlam, D.; Arslanian Engoren, C.; Economy, K.E.; et al. Spontaneous coronary artery dissection: current state of the science: a scientific statement from the American Heart Association. Circulation. 2018, 137, e523–e557. [Google Scholar] [CrossRef] [PubMed]
- Kim, E.S.H. Spontaneous Coronary-Artery Dissection. N Engl J Med. 2020, 383, 2358–70. [Google Scholar] [CrossRef] [PubMed]
- Lettieri, C.; Zavalloni, D.; Rossini, R.; Morici, N.; Ettori, F.; Leonzi, O.; et al. Management and Long-Term Prognosis of Spontaneous Coronary Artery Dissection. Am J Cardiol. 2015, 116, 66–73. [Google Scholar] [CrossRef] [PubMed]
- Main, A.; Lombardi, W.L.; Saw, J. Cutting balloon angioplasty for treatment of spontaneous coronary artery dissection: case report, literature review, and recommended technical approaches. Cardiovasc Diagn Ther. 2019, 9, 50–4. [Google Scholar] [CrossRef]
- Collet, J.; Thiele, H.; Barbato, E.; Barthélémy, O.; Bauersachs, J.; Bhatt, D.L.; et al. 2020 ESC Guidelines for the management of acute coronary syndromes in patients presenting without persistent ST-segment elevation. European Heart Journal. 2020. [Google Scholar]
© 2021 by the author. Attribution Non-Commercial NoDerivatives 4.0.