- Review
MINOCA and Spontaneous Dissection: Aiagnosis and Therapy
- Sarah Bär and
- Lorenz Räber
1 July 2022
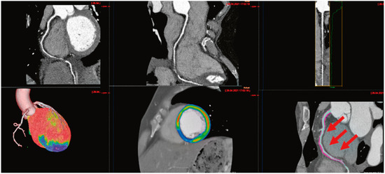
Myocardial infarction with nonobstructive coronary arteries (MINOCA): Myocardial infarction (MI) with non-obstructive coronary arteries (MINOCA) is defined as MI according to the fourth universal definition of MI [1] without coronary stenosis ≥50% on...

