Myocardial Infarction due to Obstruction of the Left Main Coronary
Abstract
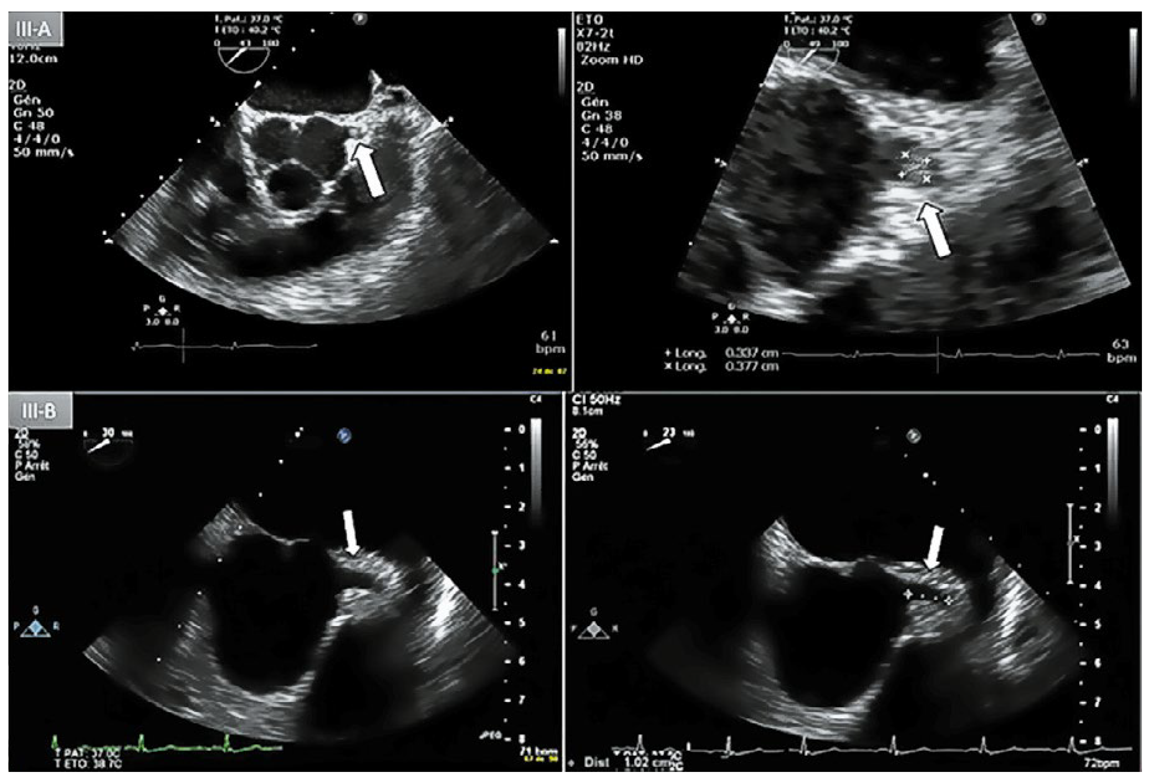
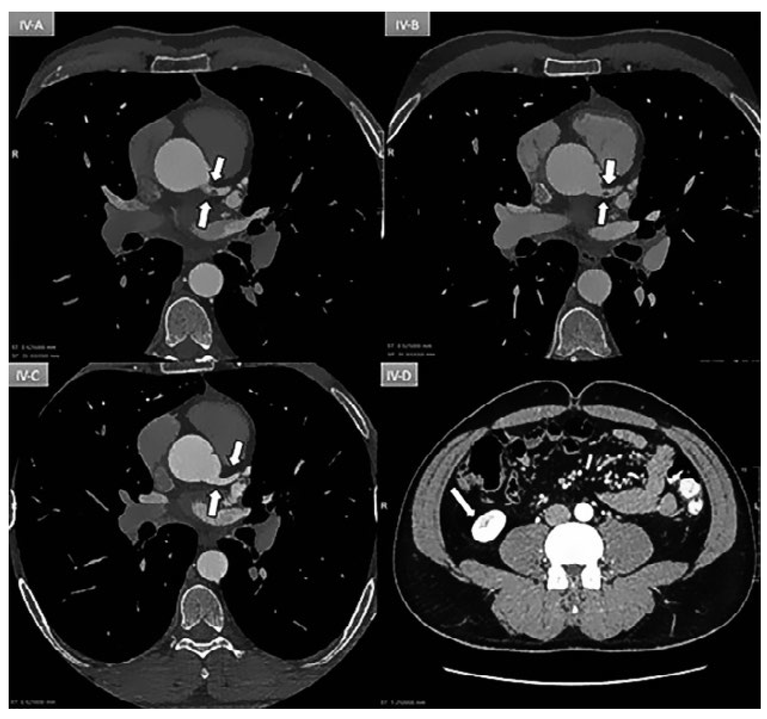
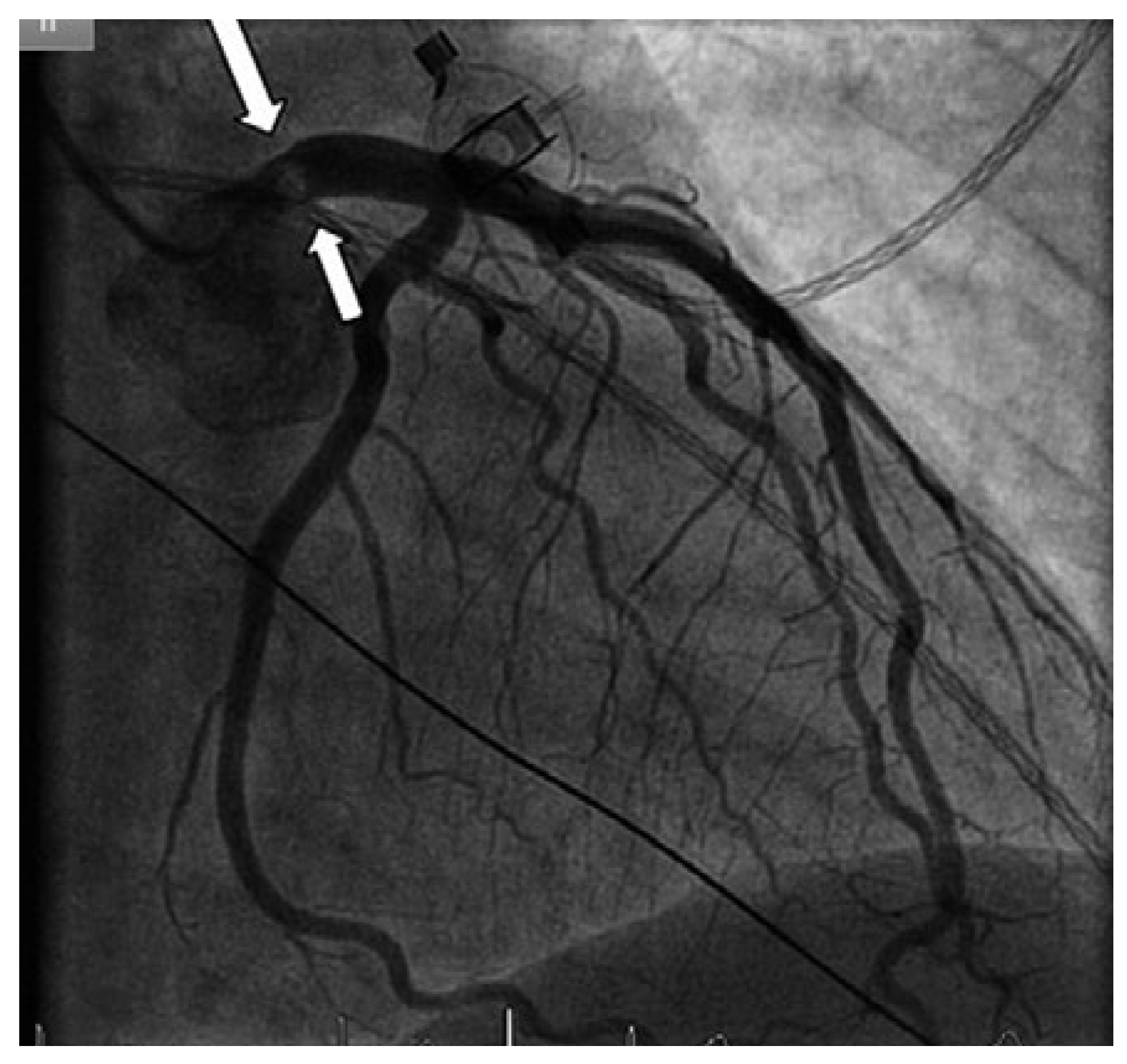
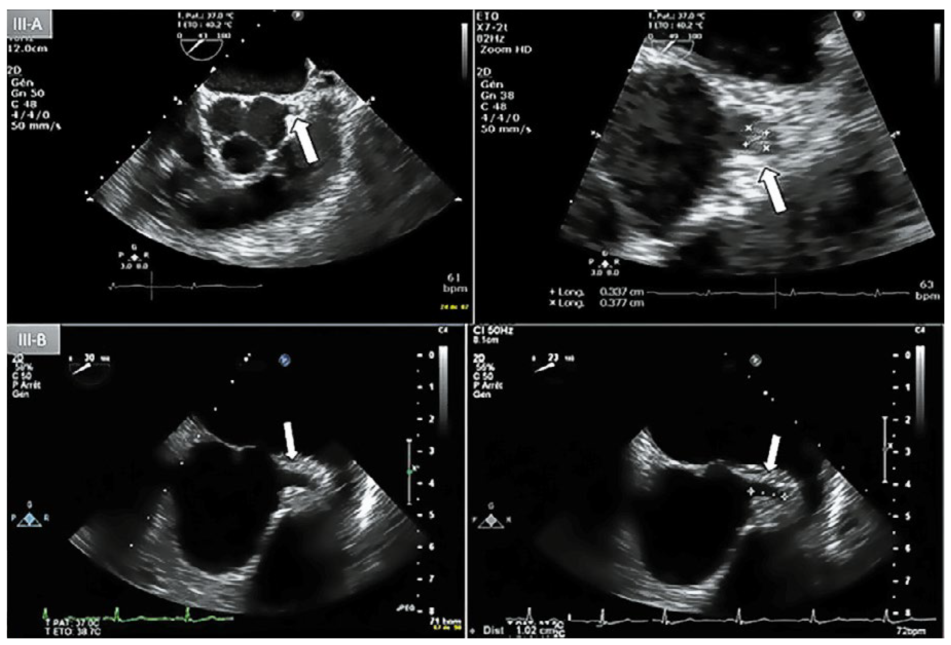
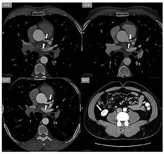
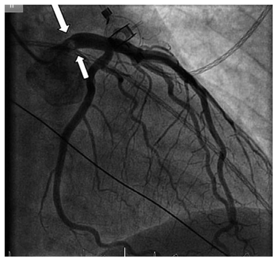
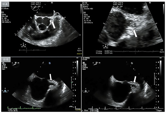
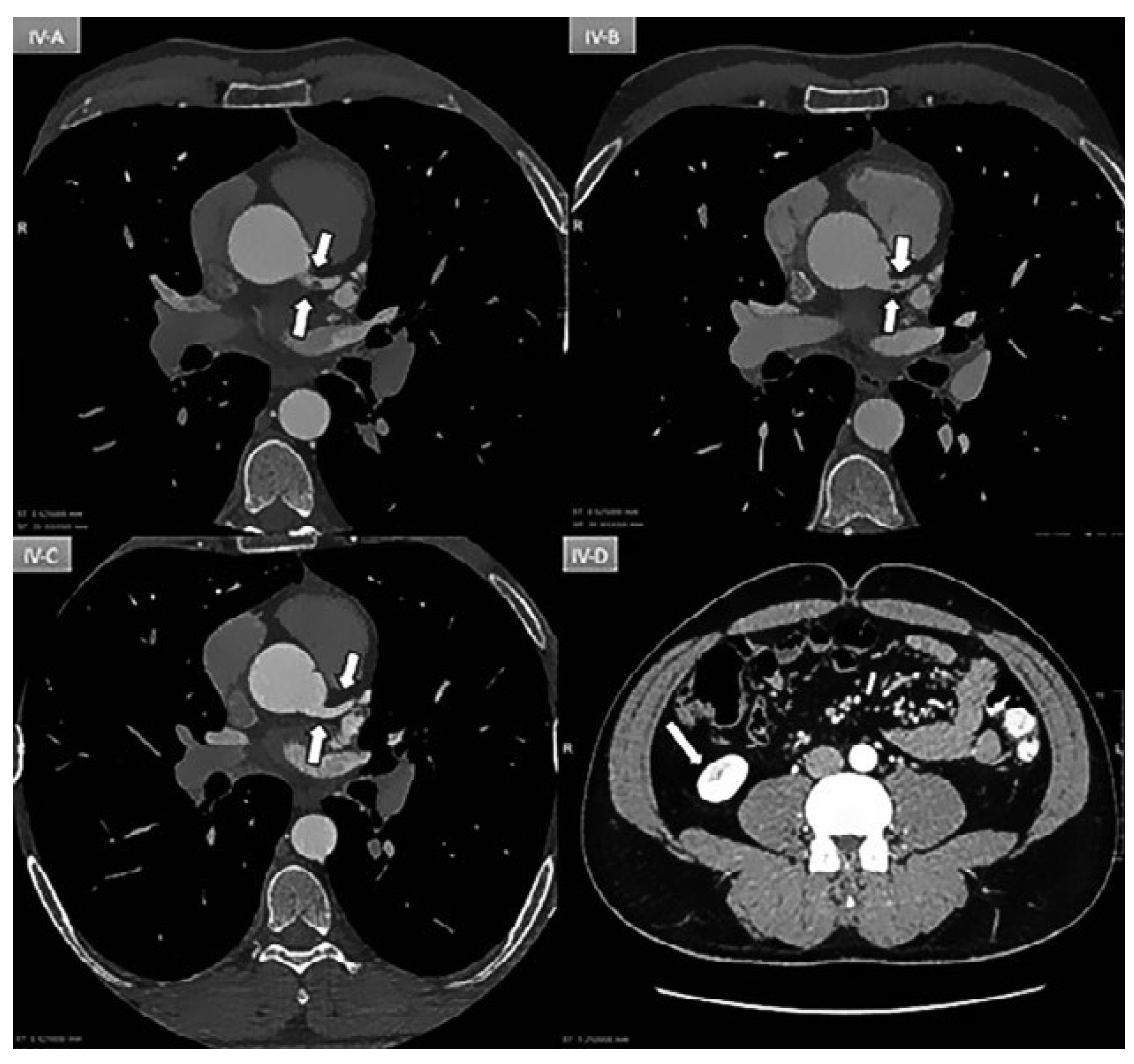
Case report
Discussion
Disclosure statement
References
- Yerebakan, C.; Liebold, A.; Steinhoff, G.; Skrabal, C.A. Papillary fibroelastoma of the aortic wall with partial occlusion of the right coronary ostium. Ann Thorac Surg. 2009, 87, 1953–1954. [Google Scholar] [CrossRef]
- Rolf, T.; Iglesias, J.F.; Tozzi, P.; von Segesser, L.K. Acute myocardial infarction caused by coronary embolization of a papillary fibroelastoma of the thoracic ascending aorta. Interact CardioVasc Thorac Surg. 2010, 11, 676–677. [Google Scholar] [CrossRef] [PubMed]
- Gowda, R.M.; Khan, I.A.; Mehta, N.J.; Gowda, M.R.; Gropen, T.I.; Dogan, O.M.; et al. Cardiac papillary fibroelastoma originating from pulmonary veina case report. Angiology. 2002, 53, 745–748. [Google Scholar] [CrossRef] [PubMed]
- Vander Salm, T.J. Unusual primary tumors of the heart. Semin Thorac Cardiovasc Surg. 2000, 12, 89–100. [Google Scholar] [CrossRef]
- Gupta, R.; Rahman, R.A.; Uretsky, B.F.; Schwarz, E.R. Leh main coronary artery thrombus: a case series with different outcomes. J Thromb Thrombolysis. 2005, 19, 125–131. [Google Scholar] [CrossRef] [PubMed]
- Klein, A.J.; Casserly, I.P.; Messenger, J.C. Acute leh main coronary arterial thrombosis a case series. J Invasive Cardiol. 2008, 20, E243–E246. [Google Scholar] [PubMed]
- Arora, N.P.; Jourmaa, M.; Rosman, H.; Mehta, R. Leh main coronary artery thrombosis with acute myocardial infarction: a management dilemma. Am J Med Sci. 2017, 53, 597–602. [Google Scholar] [CrossRef] [PubMed]
- Boodhwani, M.; Veinot, J.P.; Hendry, P.J. Surgical approach to cardiac papillary fibroelastomas. Can J Cardiol. 2007, 23, 301–302. [Google Scholar] [CrossRef] [PubMed]
- Nguyen, J.; Sethi, S.; Ahmed, H.; Pradad, A. Myocardial infarction secondary to inflammatory myofibroblastic tumor obstruction of the leh main: treated with primary PCI. Res Cardiovasc Med. 2016, 5, e32619. [Google Scholar] [PubMed]




© 2018 by the author. Attribution - Non-Commercial - NoDerivatives 4.0.
Share and Cite
Adjibodou, B.; Arroyo, D.; Desgraz, B.; Goy, J.-J.; Katchatourov, G.; Cook, S.; Stauffer, J.-C. Myocardial Infarction due to Obstruction of the Left Main Coronary. Cardiovasc. Med. 2018, 21, 259. https://doi.org/10.4414/cvm.2018.00585
Adjibodou B, Arroyo D, Desgraz B, Goy J-J, Katchatourov G, Cook S, Stauffer J-C. Myocardial Infarction due to Obstruction of the Left Main Coronary. Cardiovascular Medicine. 2018; 21(10):259. https://doi.org/10.4414/cvm.2018.00585
Chicago/Turabian StyleAdjibodou, Boris, Diego Arroyo, Benoit Desgraz, Jean-Jacques Goy, Gregory Katchatourov, Stephane Cook, and Jean-Christophe Stauffer. 2018. "Myocardial Infarction due to Obstruction of the Left Main Coronary" Cardiovascular Medicine 21, no. 10: 259. https://doi.org/10.4414/cvm.2018.00585
APA StyleAdjibodou, B., Arroyo, D., Desgraz, B., Goy, J.-J., Katchatourov, G., Cook, S., & Stauffer, J.-C. (2018). Myocardial Infarction due to Obstruction of the Left Main Coronary. Cardiovascular Medicine, 21(10), 259. https://doi.org/10.4414/cvm.2018.00585
