- Article
Direct His Bundle Pacing in Routine Clinical Practice
- Haran Burri and
- Carine Stettler
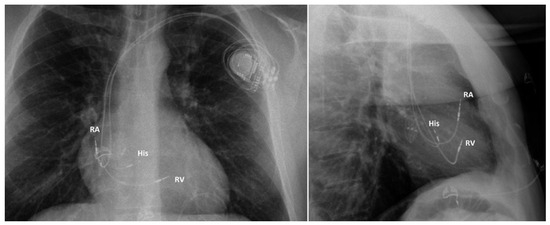
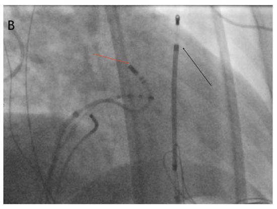
Direct His bundle pacing has recently attracted interest as a more physiological alternative to right ventricular or biventricular stimulation. The advent of new tools has facilitated the implantation procedure. This report relates our initial experi...

