Next Article in Journal
Antiplatelet Therapy Before Cardiac Surgery
Previous Article in Journal
Five-Year Prognosis in Patients with Normal Coronaries Arteries
 
 
Cardiovascular Medicine is published by MDPI from Volume 28 Issue 1 (2025). Previous articles were published by another publisher in Open Access under a CC-BY (or CC-BY-NC-ND) licence, and they are hosted by MDPI on mdpi.com as a courtesy and upon agreement with Editores Medicorum Helveticorum (EMH).
Font Type:
Arial Georgia Verdana
Font Size:
Aa Aa Aa
Line Spacing:
Column Width:
Background:
Interesting Images

A Patent Foramen Ovale May Be Dangerous ... Even in Childhood

by
Jean-Pierre Pfammatter
* and
Bernhard Meier
Centre for Congenital Heart Disease, Swiss Cardiovascular Centre, University Hospital of Bern, Inselspital Bern, Bern, Switzerland
*
Author to whom correspondence should be addressed.
Cardiovasc. Med. 2016, 19(4), 136; https://doi.org/10.4414/cvm.2016.00402
Submission received: 20 January 2016 / Revised: 20 February 2016 / Accepted: 20 March 2016 / Published: 20 April 2016
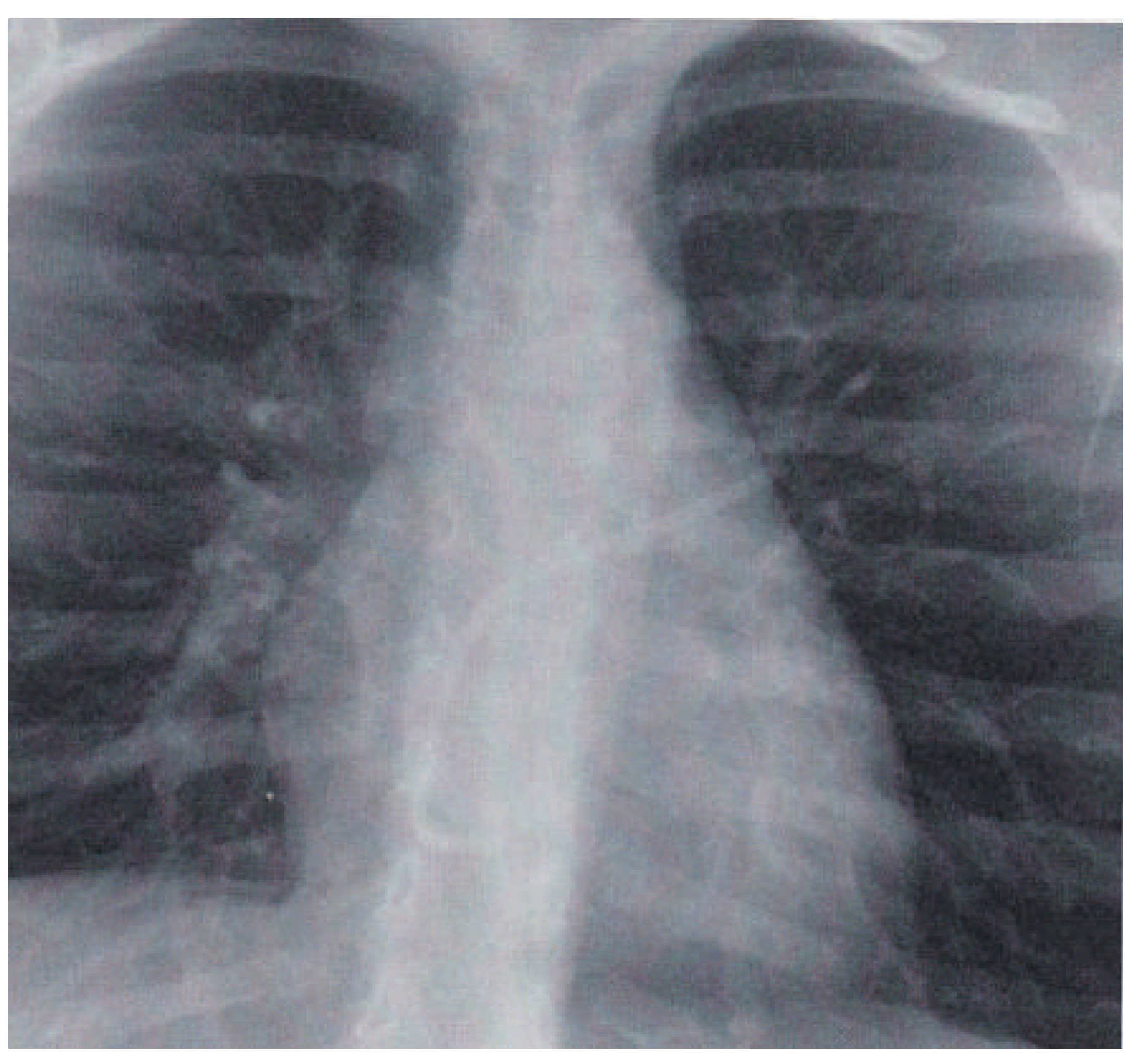
A 2-year-old boy was diagnosed with acute lymphatic leukaemia. For treatment a Port-a-Cath system was implanted surgically in standard fashion via the right subclavian vein (Figure 1).
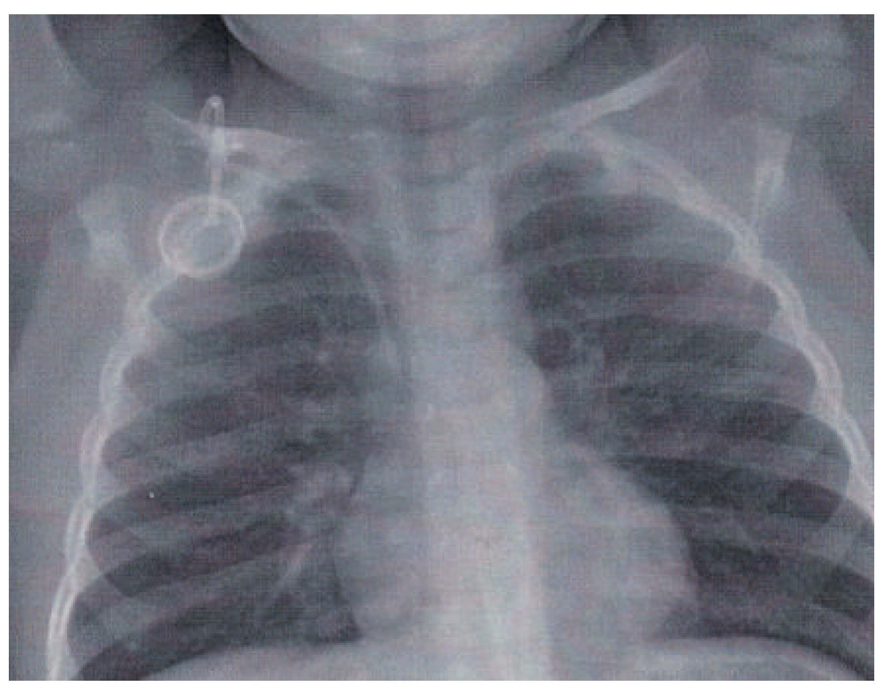
Aher the end of treatment and uneventful follow-up it was decided to remove the Port-a-Cath system surgically. A chest X-ray was performed prior to the intervention (Figure 2), which showed that, in the meantime, asymptomatic disconnection of the canula from the box of the system had occurred.
The catheter embolised into the heart, with one end of the canula being in the right atrium just above the tricuspid valve while the other end passed a patent foramen ovale (PFO) and remained stuck in the ostium of the upper leh pulmonary vein, as also verified by echocardiography.
In the catheterisation laboratory, transvenous removal of the catheter was easy and uneventful; it was caught with an Amplatz Goose Neck snare from the proximal end in the right atrium and brought out through a 8F Mullins long sheath. No resistance was felt when it was removed from the leh pulmonary vein and through the PFO.
Had the canula completely crossed the PFO and embolised into a sensitive vascular bed like that of the brain the incident could have found a fatal end.

Disclosure Statement

No financial support and no other potential conflict of interest relevant to this article was reported.
Figure 1. Chest X-ray immediately after implantation of the Port-a-Cath system showing the correct position of the system with the distal end of the canula in the superior vena cava.
Figure 1. Chest X-ray immediately after implantation of the Port-a-Cath system showing the correct position of the system with the distal end of the canula in the superior vena cava.
Cardiovascmed 19 00136 g001
Figure 2. Chest X-ray 3 years after implantation of the Porta-Cath prior to planned surgical removal of the system: the canula is disconnected from the box and straddles the PFO with the proximal end in the right atrium and the distal end in the upper left pulmonary vein, the catheter tip is seen just protruding outside the radiological heart shadow.
Figure 2. Chest X-ray 3 years after implantation of the Porta-Cath prior to planned surgical removal of the system: the canula is disconnected from the box and straddles the PFO with the proximal end in the right atrium and the distal end in the upper left pulmonary vein, the catheter tip is seen just protruding outside the radiological heart shadow.
Cardiovascmed 19 00136 g002

Share and Cite

MDPI and ACS Style

Pfammatter, J.-P.; Meier, B. A Patent Foramen Ovale May Be Dangerous ... Even in Childhood. Cardiovasc. Med. 2016, 19, 136. https://doi.org/10.4414/cvm.2016.00402

AMA Style

Pfammatter J-P, Meier B. A Patent Foramen Ovale May Be Dangerous ... Even in Childhood. Cardiovascular Medicine. 2016; 19(4):136. https://doi.org/10.4414/cvm.2016.00402

Chicago/Turabian Style

Pfammatter, Jean-Pierre, and Bernhard Meier. 2016. "A Patent Foramen Ovale May Be Dangerous ... Even in Childhood" Cardiovascular Medicine 19, no. 4: 136. https://doi.org/10.4414/cvm.2016.00402

APA Style

Pfammatter, J.-P., & Meier, B. (2016). A Patent Foramen Ovale May Be Dangerous ... Even in Childhood. Cardiovascular Medicine, 19(4), 136. https://doi.org/10.4414/cvm.2016.00402

Article Metrics

Back to TopTop