Next Issue
Volume 19, 05
Previous Issue
Volume 19, 03
 
 
cardiovascmed-logo

Journal Browser

Journal Browser
Cardiovascular Medicine is published by MDPI from Volume 28 Issue 1 (2025). Previous articles were published by another publisher in Open Access under a CC-BY (or CC-BY-NC-ND) licence, and they are hosted by MDPI on mdpi.com as a courtesy and upon agreement with Editores Medicorum Helveticorum (EMH).
From the start of 2016, the journal uses article numbers instead of page numbers to identify articles. If you are required to add page numbers to a citation, you can do with using a colon in the format [article number]:1–[last page], e.g. 10:1–20.

Cardiovasc. Med., Volume 19, Issue 4 (04 2016) – 8 articles

  • Issues are regarded as officially published after their release is announced to the table of contents alert mailing list.
  • You may sign up for e-mail alerts to receive table of contents of newly released issues.
  • PDF is the official format for papers published in both, html and pdf forms. To view the papers in pdf format, click on the "PDF Full-text" link, and use the free Adobe Reader to open them.
Order results
Result details
Select all
Export citation of selected articles as:
1 pages, 186 KB  
Interesting Images
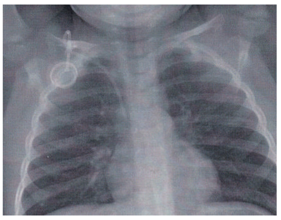
A Patent Foramen Ovale May Be Dangerous ... Even in Childhood
by Jean-Pierre Pfammatter and Bernhard Meier
Cardiovasc. Med. 2016, 19(4), 136; https://doi.org/10.4414/cvm.2016.00402 - 20 Apr 2016
Viewed by 126
Abstract
A 2-year-old boy was diagnosed with acute lymphatic leukaemia [...] Full article
Show Figures

Figure 1

2 pages, 133 KB  
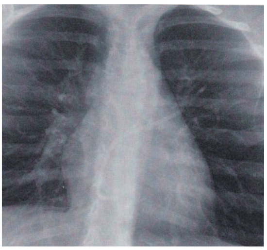
Interesting Images
An Unusual Case of Upper Rate Behaviour
by Simon Andreas Müggler, Michael Mutter and Stephan Andreas Müller-Burri
Cardiovasc. Med. 2016, 19(4), 134; https://doi.org/10.4414/cvm.2016.00414 - 20 Apr 2016
Viewed by 104
Abstract
Case report. A 67-year-old patient was admitted because of sudden onset of dyspnoea during physical exertion [...] Full article
Show Figures

Figure 1

2 pages, 260 KB  
Interesting Images
Topsy-Turvy Ventricular Tachycardia
by Federico Moccetti, Jan Novak, Aline Mühl and Michael Kühne
Cardiovasc. Med. 2016, 19(4), 132; https://doi.org/10.4414/cvm.2016.00409 - 20 Apr 2016
Viewed by 110
Abstract
We present the case of a 72-year-old male with a history of coronary artery disease and an inferior myocardial infarction 19 years previously, when the occluded right coronary artery was percutaneously revascularised [...] Full article
Show Figures

Figure 1

4 pages, 390 KB  
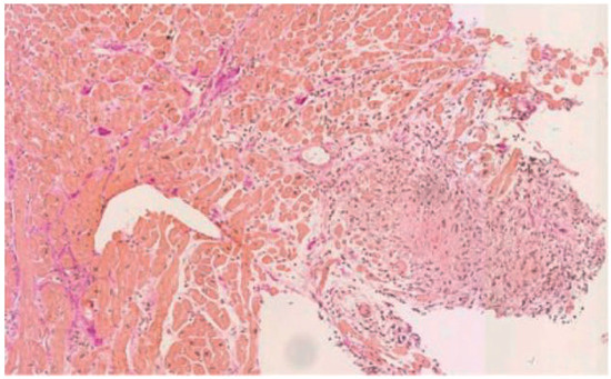
Case Report
Cardiac Sarcoidosis with Coeliac Disease
by Stéphane Fournier, Julien Regamey, Samuel Rotman, Etienne Pruvot and Roger Hullin
Cardiovasc. Med. 2016, 19(4), 128; https://doi.org/10.4414/cvm.2016.00412 - 20 Apr 2016
Viewed by 190
Abstract
This case of cardiac sarcoidosis started with manifestation of a complete atrioventricular block in a 42-year-old female without other cardiac dysfunction. Two years later, the patient presented with acute heart failure symptoms at the Emergency Department. Echocardiography at admission showed thinning and hyperdensity [...] Read more.
This case of cardiac sarcoidosis started with manifestation of a complete atrioventricular block in a 42-year-old female without other cardiac dysfunction. Two years later, the patient presented with acute heart failure symptoms at the Emergency Department. Echocardiography at admission showed thinning and hyperdensity of the basal interventricular septum, which is a rare but typical echocardiographic sign of cardiac sarcoidosis. Endomyocardial biopsy, positron emission tomography–computed t omography and transbronchial biopsy confirmed the clinical suspicion of sarcoidosis. Of note, the patient also had coeliac disease, which can occur conjointly with sarcoidosis. After 5 months of immunosuppressive treatment with methylprednisolone and azathioprine the burden of inflammatory lesions was significantly reduced and the patient had improved to New York Heart Association class I. Full article
Show Figures

Figure 1

9 pages, 1890 KB  
Editorial
The Subcutaneous Implantable Cardioverter-Defibrillator: Pros and Cons
by Nicolas Dayal, Haran Burri, Christian Sticherling and Angelo Auricchio
Cardiovasc. Med. 2016, 19(4), 121; https://doi.org/10.4414/cvm.2016.00396 - 20 Apr 2016
Viewed by 293
Abstract
The subcutaneous ICD (S-ICD) has recently been introduced as an alternative to transvenous devices. The system preserves venous access and reduces risk of lead issues and of systemic infection. However, pacing for antitachycardia, antibradycardia and cardiac resynchronisation therapy is not available, and the [...] Read more.
The subcutaneous ICD (S-ICD) has recently been introduced as an alternative to transvenous devices. The system preserves venous access and reduces risk of lead issues and of systemic infection. However, pacing for antitachycardia, antibradycardia and cardiac resynchronisation therapy is not available, and the risk of inappropriate shocks is relatively high (although it is improving). This article provides an overview of this novel therapy and discusses its advantages and shortcomings. Full article
Show Figures

Figure 1

4 pages, 261 KB  
Article
Five-Year Prognosis in Patients with Normal Coronaries Arteries
by Damien Casagrande, Jean-Jacques Goy, Laurent Poncioni, Robert Androux, Mario Togni and Stéphane Cook
Cardiovasc. Med. 2016, 19(4), 117; https://doi.org/10.4414/cvm.2016.00405 - 20 Apr 2016
Viewed by 124
Abstract
Objectives: The aim of this study was to assess the 5-year prognostic value of multidetector coronary computed tomography angiography (CCTA) in patients with normal coronary arteries. Background: Use of CCTA is increasing in patients with suspected coronary artery disease. Although there is [...] Read more.
Objectives: The aim of this study was to assess the 5-year prognostic value of multidetector coronary computed tomography angiography (CCTA) in patients with normal coronary arteries. Background: Use of CCTA is increasing in patients with suspected coronary artery disease. Although there is a large body of data supporting the prognostic role of CCTA for major adverse cardiac events in the long-term prognostic the role in patients with normal coronary arteries is still partially unknown. Methods: Between April 2005 and March 2007, 506 consecutive patients (313 men) were studied with CCTA in order to detect the presence of coronary artery disease. Patients were classified as having strictly normal coronary arteries versus abnormal coronary arteries (plaques, calcified and obstructive coronary arteries). Patients with strictly normal coronary arteries were followed up for 5 years, for the occurrence of: (1) cardiac death, (2) nonfatal myocardial infarction, (3) unstable angina requiring hospitalisation, and (4) revascularisation. Results: Two hundred patients (124 men, mean age 64 ± 27 years) were enrolled and subsequently followed up for exactly 5 years after the initial investigation. Pretest probability was 25 ± 15% in the total population and 13 ± 4% in the 200 studied patients. During this follow-up 2 patients (1%) died from noncardiac causes (1 sepsis and 1 chronic obstructive pulmonary disease), 1 patient underwent percutaneous atrial septal defect closure (0.5%) and 1 patient (0.5%) experienced nonfatal endocarditis. Acute coronary syndrome, myocardial infarction or stable angina pectoris did not occur during this follow-up. A total of 196 patients were free of adverse events (98%). Conclusions: CCTA provides important prognostic information in patients with normal coronary arteries showing excellent long-term prognosis without coronary events. Full article
Show Figures

Figure 1

9 pages, 526 KB  
Review
Antiplatelet Therapy Before Cardiac Surgery
by Stefanos Demertzis, Tiziano Cassina and Gabriele Casso
Cardiovasc. Med. 2016, 19(4), 110; https://doi.org/10.4414/cvm.2016.00401 - 20 Apr 2016
Cited by 4 | Viewed by 893
Abstract
Patients under double antiplatelet therapy (DAPT) waiting for cardiac surgery need careful multidisci plinary evaluation by the heart team. The decisions on if and when to stop oral DAPT and if, how and for how long to proceed to a bridge therapy, have [...] Read more.
Patients under double antiplatelet therapy (DAPT) waiting for cardiac surgery need careful multidisci plinary evaluation by the heart team. The decisions on if and when to stop oral DAPT and if, how and for how long to proceed to a bridge therapy, have to be made on an individual basis taking into consideration the clinical urgency, coronary status, type and anatomical localisation of already implanted stents and platelet function. This individualised approach is also encouraged by the newer guidelines. Point-of-care platelet function analysis is now available and used quite widely. These tests can, therefore, be integrated into simple algorithms and help to guide decisions for perioperative management of DAPT in cardiac surgery settings. The difficulties are mostly not in the function tests, but rather in the preanalytics and interpretation. New compounds (e.g., cangrelor) offering rapid reversibility with intravenous administration could in the future further simplify the difficult management of these patients. Full article
Show Figures

Figure 1

9 pages, 302 KB  
Review
Prevention, Epidemiology, and Prognosis of Perioperative ­Myocardial Injury
by Erin N. Sloan, Erin E. Morley and Philip J. Devereaux
Cardiovasc. Med. 2016, 19(4), 103; https://doi.org/10.4414/cvm.2016.00399 - 20 Apr 2016
Cited by 1 | Viewed by 134
Abstract
Annually over 200 million adults undergo noncardiac surgery worldwide. Myocardial ischaemia is a frequent cause of perioperative cardiac morbidity and mortality. Approximately 8 million patients will suffer a myocardial injury after noncardiac surgery (MINS) each year. MINS is defined as a prognostically important [...] Read more.
Annually over 200 million adults undergo noncardiac surgery worldwide. Myocardial ischaemia is a frequent cause of perioperative cardiac morbidity and mortality. Approximately 8 million patients will suffer a myocardial injury after noncardiac surgery (MINS) each year. MINS is defined as a prognostically important myocardial injury due to ischaemia that occurs during, or within 30 days after, noncardiac surgery. The diagnostic criterion for MINS is an elevated troponin measurement resulting from myocardial ischaemia. MINS is a strong, independent predictor of 30-day and 1-year mortality. The majority of patients suffering MINS would go undetected without troponin monitoring since >80% of these patients do not experience ischaemic symptoms. Intensification of pharmacotherapy may reduce 30-day mortality in patients who have experienced MINS. This paper will review the epidemiology, prevention, prognosis and treatment of MINS. Full article
Show Figures

Figure 1

Previous Issue
Next Issue
Back to TopTop