Next Article in Journal
Eine One-shot-Kur bei Arrhythmie
Previous Article in Journal
Should Anaemia and Iron Deficiency Be Treated in Patients with Chronic Heart Failure?
 
 
Cardiovascular Medicine is published by MDPI from Volume 28 Issue 1 (2025). Previous articles were published by another publisher in Open Access under a CC-BY (or CC-BY-NC-ND) licence, and they are hosted by MDPI on mdpi.com as a courtesy and upon agreement with Editores Medicorum Helveticorum (EMH).
Font Type:
Arial Georgia Verdana
Font Size:
Aa Aa Aa
Line Spacing:
Column Width:
Background:
Interesting Images

Annulus Paradoxus

by
Niklas F. Ehl
*,
Daniel Weilenmann
,
Hans Rickli
and
Micha T. Maeder
Division of Cardiology, Kantonsspital St. Gallen, Rorschacherstrasse 95, CH-9007 St. Gallen, Switzerland
*
Author to whom correspondence should be addressed.
Cardiovasc. Med. 2012, 15(4), 116; https://doi.org/10.4414/cvm.2012.01660
Submission received: 18 January 2012 / Revised: 18 February 2012 / Accepted: 18 March 2012 / Published: 18 April 2012

Case report

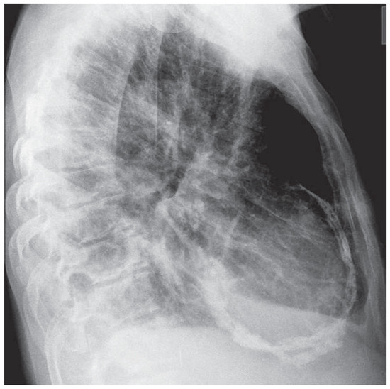
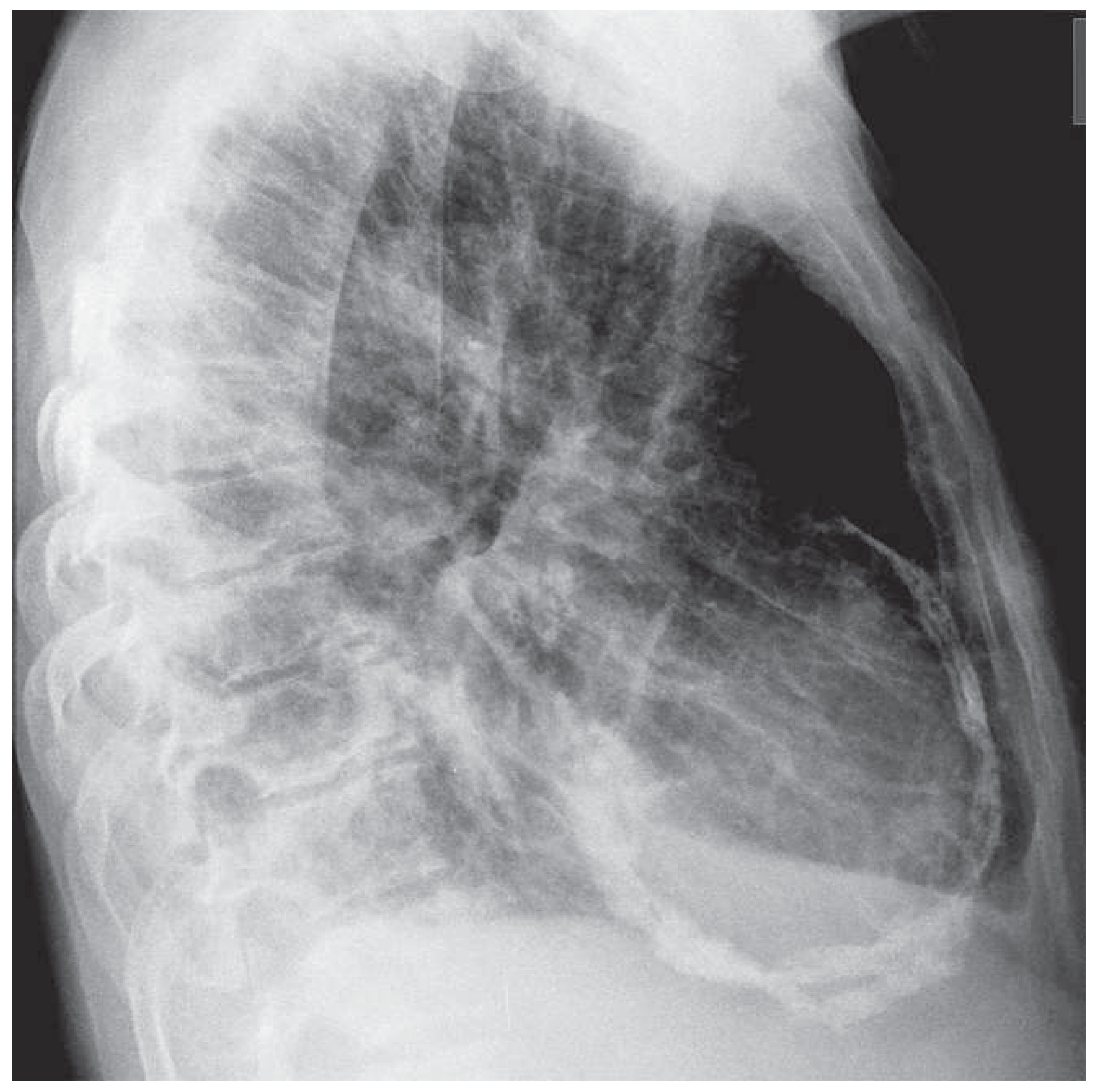
A 56-year-old man was admitted with massive signs of right heart failure, which had evolved over weeks. Chest X-ray revealed extensive pericardial calcifications in the lateral view ( Figure 1). Transthoracic echocardiography showed only mildly impaired biventricular systolic function but a dilated inferior vena cava without respiratory variability. The peak early mitral annular velocities (e’) assessed by pulsed wave tissue Doppler at the septal and lateral mitral annulus were 8 and 6 cm/s, and the ratio of the peak early transmitral velocity (E) to e’ (E/e’), based on an average e’ of 7 cm/s, was only 10 (Figure 2A,B,D). The pulmonary venous flow was clearly abnormal however (Figure 2C). There was an exaggerated respiratory variability of mitral in-flow (Figure 3).
Following diuretic therapy the patient lost 6 kg within a few days, and the oedema were significantly reduced. Cardiac catheterisation performed in a clinically euvolaemic condition showed normal coronary arteries and confirmed the presence of a constrictive physiology by demonstrating an increase in right atrial pressure during inspiration, end-diastolic equalisation of left and right heart pressures, the “square root sign” (Figure 4), and respiration-dependent discordance of ventricular pressures. The patient successfully underwent pericardectomy.

Comment

Tissue Doppler echocardiography is an important clinical tool for the non-invasive assessment of haemodynamics. The e’ is a measure of left ventricular relaxation that is relatively independent of filling pressures, and correction of E by e’ (i.e., the E/e’ ratio) has been shown to be related to left ventricular filling pressures [1]. An E/e’ ratio <8 is usually associated with low left ventricular filling pressure, whereas a high E/e’ ratio (>15 if based on the septal e’, >12 if based on the lateral e’, and >13 if based on the averaged e’) indicates elevated filling pressures [2]. The present patient had a very modestly elevated E/e’ of 10, which would not have allowed a diagnosis of elevated left-sided filling pressures although clinically the patient was in overt heart failure. From the size and respiratory variability of the inferior vena cava and pulmonary venous flow it can be assumed that right-sided and left-sided filling pressures were high at that time, although at the time of catheterisation filling pressures were not significantly elevated following aggressive diuretic therapy. Despite this a constrictive physiology could be demonstrated. Tissue Doppler measurements were misleading in this case because in constrictive pericarditis filling pressures are not determined by myocardial properties but by external pericardial constraint. In constrictive pericarditis, there is an “annulus paradoxus”, which refers to two phenomena: firstly, despite a relatively high e’ and low E/e’ ratio left ventricular filling pressures are elevated [3]; and secondly, unlike in the normal situation, e’ is higher at the septal than at the lateral annulus because the lateral excursion is limited by the abnormal pericardium whereas septal movement is not [2].
This image highlights that a proper non-invasive haemodynamic assessment must not rely on single parameters but a combination of 2D, M mode and Doppler measurements.

Funding/Potential Competing Interests

No financial support and no other potential conflict of interest relevant to this article were reported.

References

  1. Ommen, S.R.; Nishimura, R.A.; Appleton, C.P.; Miller, F.A.; Oh, J.K.; Redfield, M.M.; et al. Clinical utility of Doppler echocardiography and tissue Doppler imaging in the estimation of left ventricular filling pressures: A comparative simultaneous Doppler-catheterization study. Circulation. 2000, 102, 1788–1794. [Google Scholar] [CrossRef] [PubMed]
  2. Nagueh, S.F.; Appleton, C.P.; Gillebert, T.C.; Marino, P.N.; Oh, J.K.; Simiseth, O.A.; et al. Recommendations for the evaluation of left ventricular diastolic function by echocardiography. J Am Soc Echocard. 2009, 22, 107–133. [Google Scholar] [CrossRef] [PubMed]
  3. Ha, J.; Oh, J.K.; Ling, L.H.; Nishimura, R.A.; Seward, J.B.; Tajik, A.J. Annulus paradoxus—Transmitral flow velocity to mitral annular velocity ratio is inversely proportional to pulmonary capillary wedge pressure in patients with constrictive pericarditis. Circulation. 2001, 104, 976–978. [Google Scholar] [CrossRef] [PubMed]
Figure 1. Chest X-ray (lateral view) showing extensive pericardial calcifications.
Figure 1. Chest X-ray (lateral view) showing extensive pericardial calcifications.
Cardiovascmed 15 00116 g001
Figure 2. Transthoracic Doppler echocardiography. (A) Transmitral inflow assessed by pulsed wave Doppler (peak early transmitral velocity [E], 0.7 m/s). (B,D) Pulsed wave tissue Doppler at the septal (B) and lateral (D) mitral annulus revealing preserved peak early mitral annular velocities (e’, asterisks; septal 8 cm/s, lateral 6 cm/s). (C) Pulmonary venous flow assessed by pulsed wave Doppler showing prominent diastolic flow. dia = diastolic; sys = systolic.
Figure 2. Transthoracic Doppler echocardiography. (A) Transmitral inflow assessed by pulsed wave Doppler (peak early transmitral velocity [E], 0.7 m/s). (B,D) Pulsed wave tissue Doppler at the septal (B) and lateral (D) mitral annulus revealing preserved peak early mitral annular velocities (e’, asterisks; septal 8 cm/s, lateral 6 cm/s). (C) Pulmonary venous flow assessed by pulsed wave Doppler showing prominent diastolic flow. dia = diastolic; sys = systolic.
Cardiovascmed 15 00116 g002
Figure 3. Transthoracic Doppler echocardiography demonstrating the exaggerated respiratory variability of mitral inflow. Mitral inflow is reduced during inspiration, but increases during expiration.
Figure 3. Transthoracic Doppler echocardiography demonstrating the exaggerated respiratory variability of mitral inflow. Mitral inflow is reduced during inspiration, but increases during expiration.
Cardiovascmed 15 00116 g003
Figure 4. Cardiac catheterisation confirming the presence of a constrictive physiology, amongst other parameters, by demonstration of the “square root sign”, most evident in the post-extrasystolic diastole (arrows; left/right ventricular pressure in red and blue, respectively).
Figure 4. Cardiac catheterisation confirming the presence of a constrictive physiology, amongst other parameters, by demonstration of the “square root sign”, most evident in the post-extrasystolic diastole (arrows; left/right ventricular pressure in red and blue, respectively).
Cardiovascmed 15 00116 g004

Share and Cite

MDPI and ACS Style

Ehl, N.F.; Weilenmann, D.; Rickli, H.; Maeder, M.T. Annulus Paradoxus. Cardiovasc. Med. 2012, 15, 116. https://doi.org/10.4414/cvm.2012.01660

AMA Style

Ehl NF, Weilenmann D, Rickli H, Maeder MT. Annulus Paradoxus. Cardiovascular Medicine. 2012; 15(4):116. https://doi.org/10.4414/cvm.2012.01660

Chicago/Turabian Style

Ehl, Niklas F., Daniel Weilenmann, Hans Rickli, and Micha T. Maeder. 2012. "Annulus Paradoxus" Cardiovascular Medicine 15, no. 4: 116. https://doi.org/10.4414/cvm.2012.01660

APA Style

Ehl, N. F., Weilenmann, D., Rickli, H., & Maeder, M. T. (2012). Annulus Paradoxus. Cardiovascular Medicine, 15(4), 116. https://doi.org/10.4414/cvm.2012.01660

Article Metrics

Back to TopTop