Next Issue
Volume 15, 05
Previous Issue
Volume 15, 03
 
 
cardiovascmed-logo

Journal Browser

Journal Browser
Cardiovascular Medicine is published by MDPI from Volume 28 Issue 1 (2025). Previous articles were published by another publisher in Open Access under a CC-BY (or CC-BY-NC-ND) licence, and they are hosted by MDPI on mdpi.com as a courtesy and upon agreement with Editores Medicorum Helveticorum (EMH).

Cardiovasc. Med., Volume 15, Issue 4 (04 2012) – 8 articles

  • Issues are regarded as officially published after their release is announced to the table of contents alert mailing list.
  • You may sign up for e-mail alerts to receive table of contents of newly released issues.
  • PDF is the official format for papers published in both, html and pdf forms. To view the papers in pdf format, click on the "PDF Full-text" link, and use the free Adobe Reader to open them.
Order results
Result details
Select all
Export citation of selected articles as:
72 KB  
Letter
Gedanken zum Beitrag «Indignez-vous!»
by Stephan von Arx
Cardiovasc. Med. 2012, 15(4), 139; https://doi.org/10.4414/cvm.2012.01658 - 18 Apr 2012
Viewed by 32
Abstract
Die Darstellung der aktuellen Situation der Medizin durch Prof. Lüscher [1] ist über weite Strecken zutreffend [...] Full article
594 KB  
Abstract
AGLA & Cardiovascular Biology Meeting 2012: Abstracts from the Working Group Cardiovascular Biology
by
Cardiovasc. Med. 2012, 15(4), 131; https://doi.org/10.4414/cvm.2012.01663 - 18 Apr 2012
Viewed by 18
Abstract
FM 1: Autocrine/paracrine signaling via adenosine A1 receptor is arrhythmogenic in the developing heart [...] Full article
9 pages, 141 KB  
Communication
Conflict of Interest Policies and Disclosure Requirements Among European Society of Cardiology National Cardiovascular Journals
by Fernando Alfonso, Adam Timmis, Fausto J. Pinto, Giuseppe Ambrosio, Hugo Ector, Piotr Kulakowski and Panos Vardas
Cardiovasc. Med. 2012, 15(4), 122; https://doi.org/10.4414/cvm.2012.01657 - 18 Apr 2012
Viewed by 59
Abstract
Disclosure of potential conflicts of interest (COI) is used by biomedical journals to guarantee credibility and transparency of the scientific process. COI disclosure, however, is not systematically nor consistently dealt with by journals. Recent joint editorial efforts paved the way towards the implementation [...] Read more.
Disclosure of potential conflicts of interest (COI) is used by biomedical journals to guarantee credibility and transparency of the scientific process. COI disclosure, however, is not systematically nor consistently dealt with by journals. Recent joint editorial efforts paved the way towards the implementation of uniform vehicles for COI disclosure. This paper provides a comprehensive editorial perspective on classical COI-related issues. New insights into current COI policies and practices among European Society of Cardiology national cardiovascular journals, as derived from a cross-sectional survey using a standardised questionnaire, are discussed. Full article
3 pages, 880 KB  
Article
Eine One-shot-Kur bei Arrhythmie
by Ardan M. Saguner, Christoph Schalcher and Laurent M. Haegeli
Cardiovasc. Med. 2012, 15(4), 119; https://doi.org/10.4414/cvm.2012.01659 - 18 Apr 2012
Viewed by 59
Abstract
Ein 19-jähriger Patient wurde uns aufgrund von intermittierenden Palpitationen und atypischen Thoraxschmerzen bei gehäufter ventrikulärer Extrasystolie zugewiesen, welche unter Verapamil nicht besserte. [...] Full article
Show Figures

Figure 1

3 pages, 983 KB  
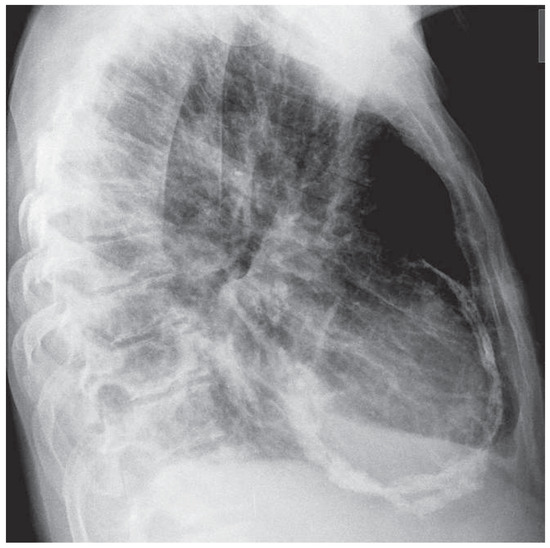
Interesting Images
Annulus Paradoxus
by Niklas F. Ehl, Daniel Weilenmann, Hans Rickli and Micha T. Maeder
Cardiovasc. Med. 2012, 15(4), 116; https://doi.org/10.4414/cvm.2012.01660 - 18 Apr 2012
Viewed by 72
Abstract
A 56-year-old man was admitted with massive signs o f right heart failure, which had evolved over weeks. [...] Full article
Show Figures

Figure 1

7 pages, 615 KB  
Review
Should Anaemia and Iron Deficiency Be Treated in Patients with Chronic Heart Failure?
by Otmar Pfister, Dominique Evéquoz, François Mach, Giorgio Moschovitis, Kaveh Samii and Gérard Waeber
Cardiovasc. Med. 2012, 15(4), 109; https://doi.org/10.4414/cvm.2012.01661 (registering DOI) - 18 Apr 2012
Cited by 1 | Viewed by 57
Abstract
Anaemia and iron deficiency are common co-morbidities in chronic heart failure (CHF) patients and are both independently associated with poor outcomes. Their cause in heart failure is multifactorial with contributing factors including proinflammatory cytokines, renal dysfunction, haemodilution, intestinal malabsorption and heart failure medications. [...] Read more.
Anaemia and iron deficiency are common co-morbidities in chronic heart failure (CHF) patients and are both independently associated with poor outcomes. Their cause in heart failure is multifactorial with contributing factors including proinflammatory cytokines, renal dysfunction, haemodilution, intestinal malabsorption and heart failure medications. Since anaemia in heart failure is considered an anaemia of chronic disease, its treatment remains a clinical challenge. While the long-term safety and risk/benefit ratio of chronic erythropoietin (EPO) substitution is highly debated, correction of iron deficiency in CHF patients with or without anaemia was shown to be safe and efficacious in improving exercise capacity and heart failure symptoms. This review focuses on the pathophysiology, diagnosis and clinical consequences of anaemia and iron deficiency in CHF and discusses what treatment options have been explored in clinical trials. Full article
Show Figures

Figure 1

4 pages, 468 KB  
Editorial
In Search of the White Doctor: The ESC White Paper on Governance in Medicine and Research
by Thomas F. Lüscher
Cardiovasc. Med. 2012, 15(4), 105; https://doi.org/10.4414/cvm.2012.01664 - 18 Apr 2012
Viewed by 58
Abstract
“Don’t go for perfection; you will never reach it.” Salvador Dali [...] Full article
468 KB  
Editorial
In Search of The White Doctor: The ESC White Paper on Governance in Medicine and Research
by Thomas F. Lüscher
Cardiovasc. Med. 2012, 15(4), 105; https://doi.org/10.4414/cvm.2012.01662 - 18 Apr 2012
Abstract
“Don’t go for perfection; you will never reach it.” Salvador Dali [...] Full article
Previous Issue
Next Issue
Back to TopTop