Next Article in Journal
A Family with Upper Limb Malformations and Dyspnoea–The Holt-Oram Syndrome
Previous Article in Journal
The Fast and the Furious...
 
 
Cardiovascular Medicine is published by MDPI from Volume 28 Issue 1 (2025). Previous articles were published by another publisher in Open Access under a CC-BY (or CC-BY-NC-ND) licence, and they are hosted by MDPI on mdpi.com as a courtesy and upon agreement with Editores Medicorum Helveticorum (EMH).
Font Type:
Arial Georgia Verdana
Font Size:
Aa Aa Aa
Line Spacing:
Column Width:
Background:
Interesting Images

Multiple Silent Postinfarction Complications

Service de Cardiologie, Hôpitaux Universitaires de Genève, Geneva, Switzerland
*
Author to whom correspondence should be addressed.
Cardiovasc. Med. 2012, 15(3), 101; https://doi.org/10.4414/cvm.2012.01650
Submission received: 21 December 2011 / Revised: 21 January 2012 / Accepted: 21 February 2012 / Published: 21 March 2012
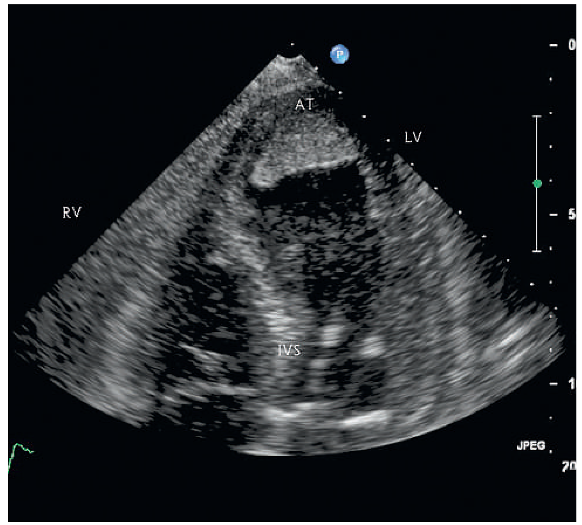
A 87-year-old female patient was hospitalised for decline in general health status, fatigue and oedema following a fall two weeks earlier. On no occasion did the patient experience chest pain or shortness of breath. The blood pressure and heart rate on admission were 113/79 mm and 80 bpm Hg respectively. Cardiopulmonary auscultation revealed a harsh, loud holosystolic murmur most audible along the left sternal border and radiating to the base, apex and right parasternal area, with accentuation of the second heart sound and crepitus rales across all lung fields. Bilateral ankle oedema was present without distention of the jugular veins. The ECG was compatible with subacute anterior and inferior myocardial infarction. Echocardiography showed severely depressed left ventricular function in the presence of apical and anteroseptal dyskinesia and septal rupture with bidirectional shunt on colour Doppler. In addition, an apical thrombus and severe aortic stenosis with severe pulmonary hypertension were noted. In light of the patient’s age and the echocardiographic findings it was decided not to institute active treatment, and during the echocardiographic examination the patient developed profound cardiogenic shock and died.
Aggressive reperfusion therapy – in particular with primary percutaneous coronary intervention – has reduced the incidence of mechanical complications of myocardial infarction. It is known that in elderly patients myocardial infarction may occur with few or no symptoms. The peculiarity of our case is that not only the myocardial infarction was completely silent but the septal rupture occurred in total absence of pain. In addition, a simultaneous complication of myocardial infarction was observed, i.e., an apical thrombus.
Key words: postinfarction mechanical complications; myocardial infarction; ventricular septal rupture; apical thrombosis
Figure 1. Apical four chamber view of echocardiography showing apical thrombus. AT = apex with apical thrombus; LV = left ventricle; IVS = interventricular septum; RV = right ventricule.
Figure 1. Apical four chamber view of echocardiography showing apical thrombus. AT = apex with apical thrombus; LV = left ventricle; IVS = interventricular septum; RV = right ventricule.
Cardiovascmed 15 00101 g001
Figure 2. Colour Doppler with ventricular septal rupture (left to right shunt). IVS = interventricular septum.
Figure 2. Colour Doppler with ventricular septal rupture (left to right shunt). IVS = interventricular septum.
Cardiovascmed 15 00101 g002
Figure 3. Parasternal short axis showing bidirectional shunt: right to left shunt (A), left to right shunt (B). LV = left ventricle; IVS = interventricular septum; RV = right ventricle.
Figure 3. Parasternal short axis showing bidirectional shunt: right to left shunt (A), left to right shunt (B). LV = left ventricle; IVS = interventricular septum; RV = right ventricle.
Cardiovascmed 15 00101 g003

Funding/Potential Competing Interests

No financial support and no other potential conflict of interest relevant to this article was reported.

Share and Cite

MDPI and ACS Style

Rosa, A.; Roffi, M. Multiple Silent Postinfarction Complications. Cardiovasc. Med. 2012, 15, 101. https://doi.org/10.4414/cvm.2012.01650

AMA Style

Rosa A, Roffi M. Multiple Silent Postinfarction Complications. Cardiovascular Medicine. 2012; 15(3):101. https://doi.org/10.4414/cvm.2012.01650

Chicago/Turabian Style

Rosa, Antonio, and Marco Roffi. 2012. "Multiple Silent Postinfarction Complications" Cardiovascular Medicine 15, no. 3: 101. https://doi.org/10.4414/cvm.2012.01650

APA Style

Rosa, A., & Roffi, M. (2012). Multiple Silent Postinfarction Complications. Cardiovascular Medicine, 15(3), 101. https://doi.org/10.4414/cvm.2012.01650

Article Metrics

Back to TopTop