- Review
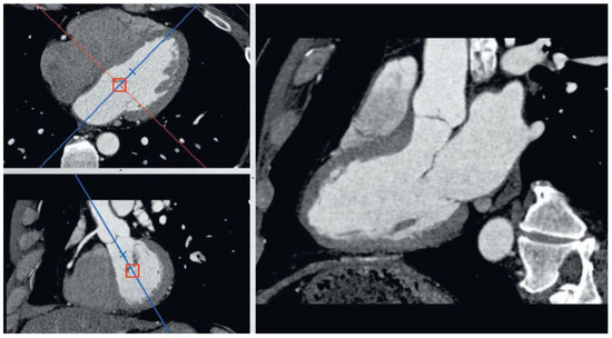
Coronary CT angiography (CTA) is emerging as a highly effective alternative imaging technique for the assessment of coronary artery disease (CAD). The rapid evolution of multidetector CT scanners has lead to major improvement in temporal resolution o...

